Comparison of MMP-2, MMP-9, COX-2, and PGP Expression in Feline Injection-Site and Feline Noninjection-Site Sarcomas—Pilot Study
Abstract
Simple Summary
Abstract
1. Introduction
2. Materials and Methods
2.1. Sample Collection
2.2. Mitotic Count (MC)
2.3. Immunohistochemical Staining
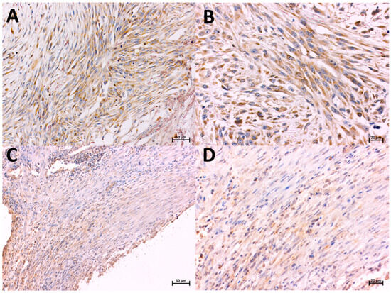
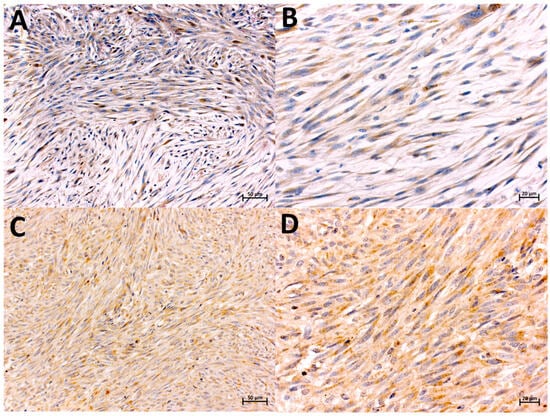
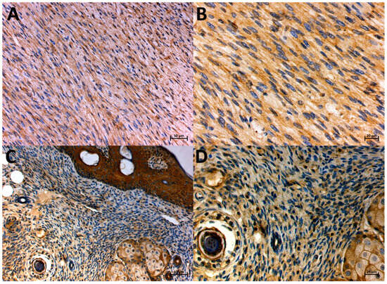
2.4. Immunohistochemical Evaluation
2.5. COX-2 Evaluation
2.6. MMP-2 and MMP-9 Evaluation
2.7. PGP Evaluation
2.8. Statistical Analysis
3. Results
3.1. Characteristics of Evaluated Samples
3.2. Mitotic Count (MC)
3.3. Evaluation of COX-2 Expression
3.4. Evaluation of MMP-2 Expression
3.5. Evaluation of MMP-9 Expression
3.6. Evaluation of PGP Expression
3.7. Correlation between Mitotic Count and PGP, COX-2, MMP-2, and MMP-9 Expressions
4. Discussion
5. Conclusions
Supplementary Materials
Author Contributions
Funding
Institutional Review Board Statement
Informed Consent Statement
Data Availability Statement
Conflicts of Interest
References
- Martano, M.; Morello, E.; Buracco, P. Feline Injection-Site Sarcoma: Past, Present and Future Perspectives. Vet. J. 2011, 188, 136–141. [Google Scholar] [CrossRef] [PubMed]
- Ladlow, J. Injection Site-Associated Sarcoma in the Cat: Treatment Recommendations and Results to Date. J. Feline Med. Surg. 2013, 15, 409–418. [Google Scholar] [CrossRef] [PubMed]
- Withrow, S.J.; Vail, D.M. Withrow and McEwen’s Small Animal Clinical Oncology, 4th ed.; Saunders: Philadelphia, PA, USA, 2007. [Google Scholar]
- Hendrick, M.J.; Brooks, J.J. Postvaccinal Sarcomas in the Cat: Histology and Immunohistochemistry. Vet. Pathol. 1994, 31, 126–129. [Google Scholar] [CrossRef] [PubMed]
- Couto, S.S.; Griffey, S.M.; Duarte, P.C.; Madewell, B.R. Feline vaccine-associated fibrosarcoma: Morphologic distinctions. Vet. Pathol. 2002, 39, 33–41. [Google Scholar] [CrossRef] [PubMed]
- Kass, P.H.; Spangler, W.L.; Hendrick, M.J.; McGill, L.D.; Esplin, D.G.; Lester, S.; Slater, M.; Meyer, E.K.; Boucher, F.; Peters, E.M.; et al. Multicenter Case-Control Study of Risk Factors Associated with Development of Vaccine-Associated Sarcomas in Cats. J. Am. Vet. Med. Assoc. 2003, 223, 1283–1292. [Google Scholar] [CrossRef] [PubMed]
- Carminato, A.; Vascellari, M.; Marchioro, W.; Melchiotti, E.; Mutinelli, F. Microchip-Associated Fibrosarcoma in a Cat. Vet. Dermatol. 2011, 22, 565–569. [Google Scholar] [CrossRef] [PubMed]
- Hartmann, K.; Day, M.J.; Thiry, E.; Lloret, A.; Frymus, T.; Addie, D.; Boucraut-Baralon, C.; Egberink, H.; Gruffydd-Jones, T.; Horzinek, M.C.; et al. Feline Injection-Site Sarcoma: ABCD Guidelines on Prevention and Management. J. Feline Med. Surg. 2015, 17, 606–613. [Google Scholar] [CrossRef] [PubMed]
- Porcellato, I.; Menchetti, L.; Brachelente, C.; Sforna, M.; Reginato, A.; Lepri, E.; Mechelli, L. Feline Injection-Site Sarcoma: Matrix Remodeling and Prognosis. Vet. Pathol. 2017, 54, 204–211. [Google Scholar] [CrossRef] [PubMed]
- Dean, R.S.; Pfeiffer, D.U.; Adams, V.J. The Incidence of Feline Injection Site Sarcomas in the United Kingdom. BMC Vet. Res. 2013, 9, 17. [Google Scholar] [CrossRef]
- Séguin, B. Feline Injection Site Sarcomas. Vet. Clin. N. Am. Small Anim. Pract. 2002, 32, 983–995. [Google Scholar] [CrossRef]
- Zabielska-Koczywas, K.; Wojtalewicz, A.; Lechowski, R. Current Knowledge on Feline Injection-Site Sarcoma Treatment. Acta Vet. Scand. 2017, 59, 47. [Google Scholar] [CrossRef]
- Beam, S.L.; Rassnick, K.M.; Moore, A.S.; McDonough, S.P. An immunohistochemical study of cyclooxygenase-2 expression in various feline neoplasms. Vet. Pathol. 2003, 40, 496–500. [Google Scholar] [CrossRef] [PubMed]
- Bernard, M.P.; Bancos, S.; Sime, P.J.; Phipps, R.P. Targeting Cyclooxygenase-2 in Hematological Malignancies: Rationale and Promise. Curr. Pharm. Des. 2008, 14, 2051–2060. [Google Scholar] [CrossRef]
- Smith, K.M.; Scase, T.J.; Miller, J.L.; Donaldson, D.; Sansom, J. Expression of Cyclooxygenase-2 by Equine Ocular and Adnexal Squamous Cell Carcinomas. Vet. Ophthalmol. 2008, 11, 8–14. [Google Scholar] [CrossRef]
- Greenhough, A.; Smartt, H.J.M.; Moore, A.E.; Roberts, H.R.; Williams, A.C.; Paraskeva, C.; Kaidi, A. The COX-2/PGE2 Pathway: Key Roles in the Hallmarks of Cancer and Adaptation to the Tumour Microenvironment. Carcinogenesis 2009, 30, 377–386. [Google Scholar] [CrossRef]
- Sun, W.H.; Sun, Y.L.; Fang, R.N.; Shao, Y.; Xu, H.C.; Xue, Q.P.; Ding, G.X.; Cheng, Y.L. Expression of Cyclooxygenase-2 and Matrix Metalloproteinase-9 in Gastric Carcinoma and Its Correlation with Angiogenesis. Jpn. J. Clin. Oncol. 2005, 35, 707–713. [Google Scholar] [CrossRef] [PubMed]
- Stefanidakis, M.; Koivunen, E. Cell-Surface Association between Matrix Metalloproteinases and Integrins: Role of the Complexes in Leukocyte Migration and Cancer Progression Leukocyte Adhesion and Migration. Blood 2006, 108, 1441–1450. [Google Scholar] [CrossRef] [PubMed]
- Niland, S.; Riscanevo, A.X.; Eble, J.A. Matrix Metalloproteinases Shape the Tumor Microenvironment in Cancer Progression. Int. J. Mol. Sci. 2022, 23, 146. [Google Scholar] [CrossRef] [PubMed]
- Köhrmann, A.; Kammerer, U.; Kapp, M.; Dietl, J.; Anacker, J. Expression of Matrix Metalloproteinases (MMPs) in Primary Human Breast Cancer and Breast Cancer Cell Lines: New Findings and Review of the Literature. BMC Cancer 2009, 9, 188. [Google Scholar] [CrossRef]
- Akkoc, A.; Inan, S.; Sonmez, G. Matrix Metalloproteinase (MMP-2 and MMP-9) and Steroid Receptor Expressions in Feline Mammary Tumors. Biotech. Histochem. 2012, 87, 312–319. [Google Scholar] [CrossRef]
- Leonardi, L.; Quattrini, I.; Roperto, F.; Benassi, M.S. Protease Expression in Giant Cell Tumour of Bone: A Comparative Study on Feline and Human Samples. Res. Vet. Sci. 2013, 95, 310–315. [Google Scholar] [CrossRef] [PubMed]
- Pisamai, S.; Rungsipipat, A.; Kunnasut, N.; Suriyaphol, G. Immunohistochemical Expression Profiles of Cell Adhesion Molecules, Matrix Metalloproteinases and Their Tissue Inhibitors in Central and Peripheral Neoplastic Foci of Feline Mammary Carcinoma. J. Comp. Pathol. 2017, 157, 150–162. [Google Scholar] [CrossRef] [PubMed]
- Pulz, L.H.; Strefezzi, R.F. Proteases as Prognostic Markers in Human and Canine Cancers. Vet. Comp. Oncol. 2017, 15, 669–683. [Google Scholar] [CrossRef] [PubMed]
- Zucker, S.; Vacirca, J. Role of Matrix Metalloproteinases (MMPs) in Colorectal Cancer; Kluwer Academic Publishers: Alphen aan den Rijn, The Netherlands, 2004; Volume 23. [Google Scholar]
- Daniele, A.; Zito, A.F.; Giannelli, G.; Divella, R.; Asselti, M.; Mazzocca, A.; Paradiso, A.; Quaranta, M. Expression of Metalloproteinases MMP-2 and MMP-9 in Sentinel Lymph Node and Serum of Patients with Metastatic and Non-Metastatic Breast Cancer. Anticancer. Res. 2010, 30, 3521–3527. [Google Scholar] [PubMed]
- Łukaszewicz-Zajac, M.; Mroczko, B.; Szmitkowski, M. Gastric Cancer—The Role of Matrix Metalloproteinases in Tumor Progression. Clin. Chim. Acta 2011, 412, 1725–1730. [Google Scholar] [CrossRef]
- Said, A.H.; Raufman, J.P.; Xie, G. The Role of Matrix Metalloproteinases in Colorectal Cancer. Cancers 2014, 6, 366–375. [Google Scholar] [CrossRef] [PubMed]
- Sorensen, K.C.; Kitchell, B.E.; Schaeffer, D.J.; Mardis, P.E. Expression of Matrix Metalloproteinases in Feline Vaccine Site-Associated Sarcomas. Am. J. Vet. Res. 2004, 65, 373–379. [Google Scholar] [CrossRef] [PubMed]
- Callaghan, R.; Luk, F.; Bebawy, M. Inhibition of the Multidrug Resistance P-Glycoprotein: Time for a Change of Strategy? Drug Metab. Dispos. 2014, 42, 623–631. [Google Scholar] [CrossRef]
- Seelig, A. P-Glycoprotein: One Mechanism, Many Tasks and the Consequences for Pharmacotherapy of Cancers. Front. Oncol. 2020, 10, 576559. [Google Scholar] [CrossRef]
- Miyoshi, N.; Tojo, E.; Oishi, A.; Fujiki, M.; Misumi, K.; Sakamoto, H.; Kameyama, K.; Shimizu, T.; Yasuda, N. Immunohistochemical detection of P-glycoprotein (PGP) and multidrug resistance-associated protein (MRP) in canine cutaneous mast cell tumors. J. Vet. Med. Sci. 2002, 64, 531–533. [Google Scholar] [CrossRef] [PubMed]
- Manoel, V.C.; De Carvalho, P.L.T.; Govoni, V.M.; Da Silva, T.C.; Queiroga, F.L.; Cogliati, B. Immunoexpression and Prognostic Significance of Multidrug Resistance Markers in Feline Mammary Carcinomas. J. Comp. Pathol. 2021, 183, 13–25. [Google Scholar] [CrossRef] [PubMed]
- Brenn, S.H.; Couto, S.S.; Craft, D.M.; Leung, C.; Bergman, P.J. Evaluation of P-Glycoprotein Expression in Feline Lymphoma and Correlation with Clinical Outcome. Vet. Comp. Oncol. 2008, 6, 201–211. [Google Scholar] [CrossRef] [PubMed]
- Hifumi, T.; Miyoshi, N.; Kawaguchi, H.; Nomura, K.; Yasuda, N. Immunohistochemical detection of proteins associated with multidrug resistance to anti-cancer drugs in canine and feline primary pulmonary carcinoma. J. Vet. Med. Sci. 2010, 72, 665–668. [Google Scholar] [CrossRef] [PubMed]
- Rousset, N.; Holmes, M.A.; Caine, A.; Dobson, J.; Herrtage, M.E. Clinical and Low-Field Mri Characteristics of Injection Site Sarcoma in 19 Cats. Vet. Radiol. Ultrasound 2013, 54, 623–629. [Google Scholar] [CrossRef] [PubMed]
- Kliczkowska, K.; Jankowska, U.; Jagielski, D.; Czopowicz, M.; Sapierzyński, R. Epidemiological and Morphological Analysis of Feline Injection Site Sarcomas. Pol. J. Vet. Sci. 2015, 18, 313–322. [Google Scholar] [CrossRef]
- Meuten, D.J.; Moore, F.M.; George, J.W. Mitotic Count and the Field of View Area. Vet. Pathol. 2016, 53, 7–9. [Google Scholar] [CrossRef]
- Jelinek, F. Gliomatosis of the spinal cord in a cat: A case report. Vet. Med. 2013, 6, 331–337. [Google Scholar] [CrossRef]
- Carneiro, C.S.; de Queiroz, G.F.; Pinto, A.C.B.C.F.; Dagli, M.L.Z.; Matera, J.M. Feline Injection Site Sarcoma: Immunohistochemical Characteristics. J. Feline Med. Surg. 2019, 21, 314–321. [Google Scholar] [CrossRef]
- Van Der Heyden, S.; Chiers, K.; Ducatelle, R. Tissue Distribution of P-Glycoprotein in Cats. J. Vet. Med. Ser. C Anat. Histol. Embryol. 2009, 38, 455–460. [Google Scholar] [CrossRef] [PubMed]
- Van der Heyden, S.; Chiers, K.; Vercauteren, G.; Daminet, S.; Wegge, B.; Paepe, D.; Ducatelle, R. Expression of Multidrug Resistance-Associated P-Glycoprotein in Feline Tumours. J. Comp. Pathol. 2011, 144, 164–169. [Google Scholar] [CrossRef][Green Version]
- Aresu, L.; Giantin, M.; Morello, E.; Vascellari, M.; Castagnaro, M.; Lopparelli, R.; Zancanella, V.; Granato, A.; Garbisa, S.; Aricò, A.; et al. Matrix Metalloproteinases and Their Inhibitors in Canine Mammary Tumors. BMC Vet. Res. 2011, 7, 33. [Google Scholar] [CrossRef] [PubMed]
- Gebhard, C.; Fuchs-Baumgartinger, A.; Razzazi-Fazeli, E.; Miller, I.; Walter, I. Distribution and Activity Levels of Matrix Metalloproteinase 2 and 9 in Canine and Feline Osteosarcoma. Can. J. Vet. Res. 2016, 80, 66–73. [Google Scholar] [PubMed]
- Chan, Y.H. Biostatistics 104: Correlational Analysis. Singap. Med. J. 2003, 44, 614–619. [Google Scholar]
- Akoglu, H. User’s Guide to Correlation Coefficients. Turk. J. Emerg. Med. 2018, 18, 91–93. [Google Scholar] [CrossRef] [PubMed]
- Doré, M.; Lanthier, I.; Sirois, J. Cyclooxygenase-2 Expression in Canine Mammary Tumors. Vet. Pathol. 2003, 40, 207–212. [Google Scholar] [CrossRef] [PubMed]
- Hashemi Goradel, N.; Najafi, M.; Salehi, E.; Farhood, B.; Mortezaee, K. Cyclooxygenase-2 in Cancer: A Review. J. Cell Physiol. 2019, 234, 5683–5699. [Google Scholar] [CrossRef] [PubMed]
- Sheng, H.; Shao, J.; Washington, M.K.; DuBois, R.N. Prostaglandin E2 Increases Growth and Motility of Colorectal Carcinoma Cells. J. Biol. Chem. 2001, 276, 18075–18081. [Google Scholar] [CrossRef] [PubMed]
- Sharma, S.; Zhu, L.; Yang, S.C.; Zhang, L.; Lin, J.; Hillinger, S.; Gardner, B.; Reckamp, K.; Strieter, R.M.; Huang, M.; et al. Cyclooxygenase 2 Inhibition Promotes IFN-γ-Dependent Enhancement of Antitumor Responses. J. Immunol. 2005, 175, 813–819. [Google Scholar] [CrossRef] [PubMed]
- Vahidi, R.; Safi, S.; Farsinejad, A.; Panahi, N. Citrate and Celecoxib Induce Apoptosis and Decrease Necrosis in Synergistic Manner in Canine Mammary Tumor Cells. Cell Mol. Biol. 2015, 61, 22–28. [Google Scholar] [CrossRef]
- Rizzo, M.T. Cyclooxygenase-2 in Oncogenesis. Clin. Chim. Acta 2011, 412, 671–687. [Google Scholar] [CrossRef]
- Magi, G.E.; Mari, S.; Renzoni, G.; Rossi, G. Immunohistochemical Expression of COX-2 in Feline Injection Site Sarcoma. J. Comp. Pathol. 2010, 143, 340. [Google Scholar] [CrossRef]
- Larkins, T.L.; Nowell, M.; Singh, S.; Sanford, G.L. Inhibition of Cyclooxygenase-2 Decreases Breast Cancer Cell Motility, Invasion and Matrix Metalloproteinase Expression. BMC Cancer 2006, 6, 181. [Google Scholar] [CrossRef]
- Ahmadi, M.; Bekeschus, S.; Weltmann, K.-D.; von Woedtke, T.; Wende, K. Non-Steroidal Anti-Inflammatory Drugs: Recent Advances in the Use of Synthetic COX-2 Inhibitors. RSC Med. Chem. 2022, 13, 471–496. [Google Scholar] [CrossRef]
- Pang, L.; Nie, M.; Corbett, L.; Knox, A.J. Cyclooxygenase-2 Expression by Nonsteroidal Anti-Inflammatory Drugs in Human Airway Smooth Muscle Cells: Role of Peroxisome Proliferator-Activated Receptors. J. Immunol. 2003, 170, 1043–1051. [Google Scholar] [CrossRef] [PubMed]
- Ratnasinghe, D.; Daschner, P.J.; Anver, M.R.; Kasprzak, B.H.; Taylor, P.R.; Yeh, G.C.; Tangrea, J.A. Cyclooxygenase-2, P-Glycoprotein-170 and Drug Resistance; Is Chemoprevention against Multidrug Resistance Possible? Anticancer Res. 2001, 21, 2141–2147. [Google Scholar] [PubMed]
- Lee, J.Y.; Tanabe, S.; Shimohira, H.; Kobayashi, Y.; Oomachi, T.; Azuma, S.; Ogihara, K.; Inokuma, H. Expression of Cyclooxygenase-2, P-Glycoprotein and Multi-Drug Resistance-Associated Protein in Canine Transitional Cell Carcinoma. Res. Vet. Sci. 2007, 83, 210–216. [Google Scholar] [CrossRef]
- Jankowski, M.K.; Ogilvie, G.K.; Lana, S.E.; Fettman, M.J.; Hansen, R.A.; Powers, B.E.; Mitchener, K.M.; Lovett, S.D.; Richardson, K.L.; Parsley, L.; et al. Matrix Metalloproteinase Activity in Tumor, Stromal Tissue, and Serum from Cats with Malignancies. J. Vet. Intern. Med. 2002, 16, 105–108. [Google Scholar] [CrossRef]
- Yasumitsu, H.; Miyazaki, K.; Umenishi, F.; Koshikawa, N.; Umeda, M. Comparison of extracellular matrix-degrading activities between 64-kDa and 90-kDa gelatinases purified in inhibitor-free forms from human schwannoma cells. J. Biochem. 1992, 111, 74–80. [Google Scholar] [CrossRef] [PubMed]
- Venstrom, K.A.; Reichardt, L.F. Extracellular Matrix 2: Role of Extracellular Matrix Molecules and Their Receptors in the Nervous System. FASEB J. 1993, 7, 996–1003. [Google Scholar] [CrossRef]






| Breed | Gender | Age (Years) | Type of Tumor | Tumor Location | COX-2 Score | MMP-2 Score | MMP-9 Score | PGP Score | MC |
|---|---|---|---|---|---|---|---|---|---|
| Domestic shorthair | F | 11 | Non-FISS | Gingiva | 3 | 90 | 140 | 3 | 3 |
| Domestic shorthair | M | 4.5 | Non-FISS | Concha of ear | 3 | 86 | 200 | 3 | 3 |
| Domestic shorthair | F | 8 | Non-FISS | Abdominal skin (area of mammary gland) | 0 | 70 | 40 | 9 | 3 |
| Domestic shorthair | F | 10 | Non-FISS | Concha of ear | 0 | 225 | 270 | 9 | 2 |
| Domestic shorthair | F | 12 | Non-FISS | Abdominal skin (area of mammary gland) | 2 | 45 | 80 | 3 | 3 |
| Domestic shorthair | M | 5 | Non-FISS | Oral cavity | 2 | 0 | 60 | 3 | 3 |
| Domestic shorthair | M | 11 | Non-FISS | Facial area | 3 | 40 | 60 | 3 | 2 |
| Domestic shorthair | F | 12 | Non-FISS | Abdominal skin (area of mammary gland) | 0 | 70 | 54 | 6 | 3 |
| Domestic shorthair | F | 4 | FISS | Interscapular area | 4 | 0 | 258 | 9 | 3 |
| Domestic shorthair | M | 9 | FISS | Interscapular area | 6 | 288 | 297 | 9 | 2 |
| Domestic shorthair | M | 11 | FISS | Interscapular area | 8 | 0 | 192 | 6 | 2 |
| Domestic shorthair | F | 8 | FISS | Interscapular area | 6 | 0 | 150 | 6 | 3 |
| Domestic shorthair | M | 7 | FISS | Interscapular area | 2 | 28 | 288 | 6 | 3 |
| Domestic shorthair | F | 12 | FISS | Interscapular area | 8 | 174 | 279 | 9 | 3 |
| Domestic shorthair | M | 4 | FISS | Interscapular area | 8 | 170 | 10 | 6 | 2 |
| Domestic shorthair | F | 14 | FISS | Interscapular area | 6 | 172 | 146 | 6 | 2 |
| Domestic shorthair | F | 8 | FISS | Interscapular area | 6 | 150 | 270 | 2 | 2 |
| Domestic shorthair | M | 15 | FISS | Interscapular area | 12 | 80 | 270 | 6 | 3 |
| Domestic shorthair | F | 8 | FISS | Interscapular area | 8 | 81 | 210 | 6 | 2 |
| MC 1 | MC 2 | MC 3 | |
|---|---|---|---|
| FISS | 0% | 57.14% | 36.36% |
| Non-FISS | 0% | 75.00% | 25.00% |
Disclaimer/Publisher’s Note: The statements, opinions and data contained in all publications are solely those of the individual author(s) and contributor(s) and not of MDPI and/or the editor(s). MDPI and/or the editor(s) disclaim responsibility for any injury to people or property resulting from any ideas, methods, instructions or products referred to in the content. |
© 2024 by the authors. Licensee MDPI, Basel, Switzerland. This article is an open access article distributed under the terms and conditions of the Creative Commons Attribution (CC BY) license (https://creativecommons.org/licenses/by/4.0/).
Share and Cite
Wojtkowska, A.; Małek, A.; Giziński, S.; Sapierzyński, R.; Rodo, A.; Sokołowska, J.; Zabielska-Koczywąs, K.A.; Wojtalewicz, A.; Walewska, M.; Kautz, E.; et al. Comparison of MMP-2, MMP-9, COX-2, and PGP Expression in Feline Injection-Site and Feline Noninjection-Site Sarcomas—Pilot Study. Animals 2024, 14, 2110. https://doi.org/10.3390/ani14142110
Wojtkowska A, Małek A, Giziński S, Sapierzyński R, Rodo A, Sokołowska J, Zabielska-Koczywąs KA, Wojtalewicz A, Walewska M, Kautz E, et al. Comparison of MMP-2, MMP-9, COX-2, and PGP Expression in Feline Injection-Site and Feline Noninjection-Site Sarcomas—Pilot Study. Animals. 2024; 14(14):2110. https://doi.org/10.3390/ani14142110
Chicago/Turabian StyleWojtkowska, Agata, Anna Małek, Sławomir Giziński, Rafał Sapierzyński, Anna Rodo, Justyna Sokołowska, Katarzyna A. Zabielska-Koczywąs, Anna Wojtalewicz, Magdalena Walewska, Ewa Kautz, and et al. 2024. "Comparison of MMP-2, MMP-9, COX-2, and PGP Expression in Feline Injection-Site and Feline Noninjection-Site Sarcomas—Pilot Study" Animals 14, no. 14: 2110. https://doi.org/10.3390/ani14142110
APA StyleWojtkowska, A., Małek, A., Giziński, S., Sapierzyński, R., Rodo, A., Sokołowska, J., Zabielska-Koczywąs, K. A., Wojtalewicz, A., Walewska, M., Kautz, E., Ostrzeszewicz, M., & Lechowski, R. (2024). Comparison of MMP-2, MMP-9, COX-2, and PGP Expression in Feline Injection-Site and Feline Noninjection-Site Sarcomas—Pilot Study. Animals, 14(14), 2110. https://doi.org/10.3390/ani14142110

