Exploring the Maintaining Period and the Differentially Expressed Genes between the Yellow and Black Stripes of the Juvenile Stripe in the Offspring of Wild Boar and Duroc
Abstract
Simple Summary
Abstract
1. Introduction
2. Materials and Methods
2.1. Animals
2.2. Photo and Sample Collection
2.2.1. Photo Collection
2.2.2. Hair Collection
2.2.3. Skin Tissue Collection
2.3. Phenotyping
2.3.1. Counting the Hair Number of Each Color Category
2.3.2. Quantifying the Pigment Content in Hairs
2.3.3. Hematoxylin–Eosin Staining
2.4. Whole Transcriptome
2.4.1. Extraction of RNA and Library Preparation
2.4.2. RT-qPCR Method
2.5. Data Analysis
2.5.1. Analyzing Pigment Content
2.5.2. Analyzing LncRNA and mRNA
2.5.3. Analyzing microRNA
2.5.4. Constructing lncRNA–miRNA–Gene Regulatory Networks
3. Results
3.1. Changing of Juvenile Stripes from 20 to 160 d
3.2. Pigment Contents in the Hairs of Light and Dark Stripes
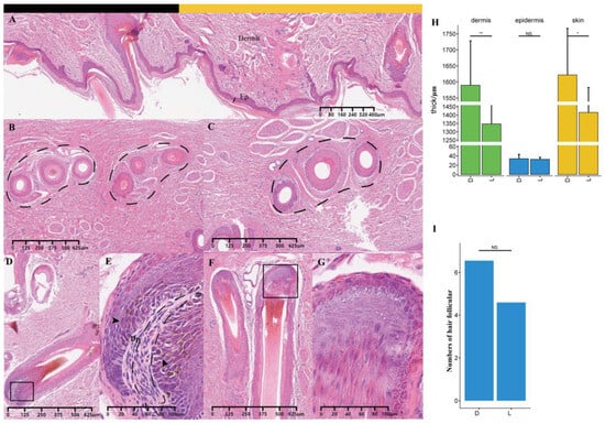
3.3. Histological Differences between the Light and Dark Stripes
3.4. Differentially Expressing mRNA and lncRNA between the Light and Dark Stripes
3.5. Differentially Expressed miRNAs and Their Predicted Target Genes
4. Discussion
5. Conclusions
Supplementary Materials
Author Contributions
Funding
Institutional Review Board Statement
Informed Consent Statement
Data Availability Statement
Acknowledgments
Conflicts of Interest
References
- Zhong, H.; Zhang, J.; Tan, C.; Shi, J.; Yang, J.; Cai, G.; Wu, Z.; Yang, H. Pig Coat Color Manipulation by MC1R Gene Editing. Int. J. Mol. Sci. 2022, 23, 10356. [Google Scholar] [CrossRef]
- Sun, G.; Liang, X.; Qin, K.; Qin, Y.; Shi, X.; Cong, P.; Mo, D.; Liu, X.; Chen, Y.; He, Z. Functional Analysis of KIT Gene Structural Mutations Causing the Porcine Dominant White Phenotype Using Genome Edited Mouse Models. Front. Genet. 2020, 11, 138. [Google Scholar] [CrossRef]
- Wu, X.; Zhang, Y.; Shen, L.; Du, J.; Luo, J.; Liu, C.; Pu, Q.; Yang, R.; Li, X.; Bai, L.; et al. A 6-bp deletion in exon 8 and two mutations in introns of TYRP1 are associated with blond coat color in Liangshan pigs. Gene 2016, 578, 132–136. [Google Scholar] [CrossRef]
- Drögemüller, C.; Giese, A.; Martins-Wess, F.; Wiedemann, S.; Andersson, L.; Brenig, B.; Fries, R.; Leeb, T. The mutation causing the black-and-tan pigmentation phenotype of Mangalitza pigs maps to the porcine ASIP locus but does not affect its coding sequence. Mamm. Genome 2006, 17, 58–66. [Google Scholar] [CrossRef]
- Fang, M.; Larson, G.; Ribeiro, H.S.; Li, N.; Andersson, L. Contrasting mode of evolution at a coat color locus in wild and domestic pigs. PLoS Genet. 2009, 5, e1000341. [Google Scholar] [CrossRef]
- Fulgione, D.; Rippa, D.; Buglione, M.; Trapanese, M.; Petrelli, S.; Maselli, V. Unexpected but welcome. Artificially selected traits may increase fitness in wild boar. Evol. Appl. 2016, 9, 769–776. [Google Scholar] [CrossRef]
- Kratochwil, C.F.; Mallarino, R. Mechanisms Underlying the Formation and Evolution of Vertebrate Color Patterns. Annu. Rev. Genet. 2023, 57, 135–156. [Google Scholar] [CrossRef]
- Harland, D.P.; Plowman, J.E. Development of Hair Fibres. Adv. Exp. Med. Biol. 2018, 1054, 109–154. [Google Scholar] [CrossRef]
- Xu, X.; Dong, G.X.; Hu, X.S.; Miao, L.; Zhang, X.L.; Zhang, D.L.; Yang, H.D.; Zhang, T.Y.; Zou, Z.T.; Zhang, T.T.; et al. The genetic basis of white tigers. Curr. Biol. CB 2013, 23, 1031–1035. [Google Scholar] [CrossRef]
- Xu, X.; Dong, G.X.; Schmidt-Kuntzel, A.; Zhang, X.L.; Zhuang, Y.; Fang, R.; Sun, X.; Hu, X.S.; Zhang, T.Y.; Yang, H.D.; et al. The genetics of tiger pelage color variations. Cell Res. 2017, 27, 954–957. [Google Scholar] [CrossRef]
- Kaelin, C.B.; Xu, X.; Hong, L.Z.; David, V.A.; McGowan, K.A.; Schmidt-Küntzel, A.; Roelke, M.E.; Pino, J.; Pontius, J.; Cooper, G.M.; et al. Specifying and Sustaining Pigmentation Patterns in Domestic and Wild Cats. Science 2012, 337, 1536–1541. [Google Scholar] [CrossRef]
- Xi, Y.; Liu, H.; Li, L.; Xu, Q.; Liu, Y.; Wang, L.; Ma, S.; Wang, J.; Bai, L.; Zhang, R.; et al. Transcriptome Reveals Multi Pigmentation Genes Affecting Dorsoventral Pattern in Avian Body. Front. Cell Dev. Biol. 2020, 8, 560766. [Google Scholar] [CrossRef] [PubMed]
- Jones, M.R.; Mills, L.S.; Alves, P.C.; Callahan, C.M.; Alves, J.M.; Lafferty, D.J.R.; Jiggins, F.M.; Jensen, J.D.; Melo-Ferreira, J.; Good, J.M. Adaptive introgression underlies polymorphic seasonal camouflage in snowshoe hares. Science 2018, 360, 1355–1358. [Google Scholar] [CrossRef] [PubMed]
- Bannasch, D.L.; Kaelin, C.B.; Letko, A.; Loechel, R.; Hug, P.; Jagannathan, V.; Henkel, J.; Roosje, P.; Hytonen, M.K.; Lohi, H.; et al. Dog colour patterns explained by modular promoters of ancient canid origin. Nat. Ecol. Evol. 2021, 5, 1415–1423. [Google Scholar] [CrossRef] [PubMed]
- Johnson, M.R.; Li, S.; Guerrero-Juarez, C.F.; Miller, P.; Brack, B.J.; Mereby, S.A.; Moreno, J.A.; Feigin, C.Y.; Gaska, J.; Rivera-Perez, J.A.; et al. A multifunctional Wnt regulator underlies the evolution of rodent stripe patterns. Nat. Ecol. Evol. 2023, 7, 2143–2159. [Google Scholar] [CrossRef] [PubMed]
- Mallarino, R.; Henegar, C.; Mirasierra, M.; Manceau, M.; Schradin, C.; Vallejo, M.; Beronja, S.; Barsh, G.S.; Hoekstra, H.E. Developmental mechanisms of stripe patterns in rodents. Nature 2016, 539, 518–523. [Google Scholar] [CrossRef]
- Kaelin, C.B.; McGowan, K.A.; Barsh, G.S. Developmental genetics of color pattern establishment in cats. Nat. Commun. 2021, 12, 5127. [Google Scholar] [CrossRef] [PubMed]
- Zhu, Z.; Ma, Y.; Li, Y.; Li, P.; Cheng, Z.; Li, H.; Zhang, L.; Tang, Z. The comprehensive detection of miRNA, lncRNA, and circRNA in regulation of mouse melanocyte and skin development. Biol. Res. 2020, 53, 4. [Google Scholar] [CrossRef] [PubMed]
- Wu, Z.; Fu, Y.; Cao, J.; Yu, M.; Tang, X.; Zhao, S. Identification of differentially expressed miRNAs between white and black hair follicles by RNA-sequencing in the goat (Capra hircus). Int. J. Mol. Sci. 2014, 15, 9531–9545. [Google Scholar] [CrossRef]
- Zhu, Z.; He, J.; Jia, X.; Jiang, J.; Bai, R.; Yu, X.; Lv, L.; Fan, R.; He, X.; Geng, J.; et al. MicroRNA-25 functions in regulation of pigmentation by targeting the transcription factor MITF in Alpaca (Lama pacos) skin melanocytes. Domest. Anim. Endocrinol. 2010, 38, 200–209. [Google Scholar] [CrossRef]
- Yuan, W.; Qin, H.; Bi, H.; Zhao, D.; Zhang, Y.; Chen, W. Ssc-mir-221-3p regulates melanin production in Xiang pigs melanocytes by targeting the TYRP1 gene. BMC Genom. 2023, 24, 369. [Google Scholar] [CrossRef] [PubMed]
- Xu, Q.; Liu, X.; Chao, Z.; Wang, K.; Wang, J.; Tang, Q.; Luo, Y.; Zheng, J.; Tan, S.; Fang, M. Transcriptomic Analysis of Coding Genes and Non-Coding RNAs Reveals Complex Regulatory Networks Underlying the Black Back and White Belly Coat Phenotype in Chinese Wuzhishan Pigs. Genes 2019, 10, 201. [Google Scholar] [CrossRef] [PubMed]
- Zheng, H.; Xiong, S.Y.; Xiao, S.J.; Zhang, Z.K.; Tu, J.M.; Cui, D.S.; Yu, N.B.; Huang, Z.Y.; Li, L.Y.; Guo, Y.M. Association between MC1R gene and coat color segregation in Shanxia long black pig and Lulai black pig. BMC Genom. Data 2023, 24, 74. [Google Scholar] [CrossRef] [PubMed]
- Fan, R.; Yang, S.; Bai, J.; Dong, C. Correlation Study on Melanin Content in Alpaca Hair Fiber. Chin. Agric. Sci. Bull. 2013, 29, 7–10. [Google Scholar]
- Ozeki, H.; Ito, S.; Wakamatsu, K. Chemical characterization of melanins in sheep wool and human hair. Pigment. Cell Res. 1996, 9, 51–57. [Google Scholar] [CrossRef] [PubMed]
- Eizirik, E.; Trindade, F.J. Genetics and Evolution of Mammalian Coat Pigmentation. Annu. Rev. Anim. Biosci. 2021, 9, 125–148. [Google Scholar] [CrossRef]
- Ozeki, H.; Ito, S.; Wakamatsu, K.; Hirobe, T. Chemical characterization of hair melanins in various coat-color mutants of mice. J. Investig. Dermatol. 1995, 105, 361–366. [Google Scholar] [CrossRef] [PubMed]
- Song, W.; Xing, R.e.; Yang, H.; Liu, S.; Li, P. Optimization of extractions of eumelanin from cuttlefish ink and the hypoglycemic effects: In vitro enzyme inhibitory activity and glucose consumption in HepG2 cells. J. Food Process. Preserv. 2021, 45, e15868. [Google Scholar] [CrossRef]
- Koh, J.J.-M.; Webb, E.L.; Leung, L.K.-P. Using a spatial mark-resight model to estimate the parameters of a wild pig (Sus scrofa) population in Singapore. Raffles Bull. Zool. 2018, 66, 494–505. [Google Scholar]
- Du, Z.; Huang, K.; Zhao, J.; Song, X.; Xing, X.; Wu, Q.; Zhang, L.; Xu, C. Comparative Transcriptome Analysis of Raccoon Dog Skin to Determine Melanin Content in Hair and Melanin Distribution in Skin. Sci. Rep. 2017, 7, 40903. [Google Scholar] [CrossRef]
- Watson, S.A.; Moore, G.P. Postnatal development of the hair cycle in the domestic pig. J. Anat. 1990, 170, 1–9. [Google Scholar]
- Jiang, Y.; Zou, Q.; Liu, B.; Li, S.; Wang, Y.; Liu, T.; Ding, X. Atlas of Prenatal Hair Follicle Morphogenesis Using the Pig as a Model System. Front. Cell Dev. Biol. 2021, 9, 721979. [Google Scholar] [CrossRef] [PubMed]
- Bossel Ben-Moshe, N.; Gilad, S.; Perry, G.; Benjamin, S.; Balint-Lahat, N.; Pavlovsky, A.; Halperin, S.; Markus, B.; Yosepovich, A.; Barshack, I.; et al. mRNA-seq whole transcriptome profiling of fresh frozen versus archived fixed tissues. BMC Genom. 2018, 19, 419. [Google Scholar] [CrossRef] [PubMed]
- Lu, W.; Zhou, Q.; Chen, Y. Impact of RNA degradation on next-generation sequencing transcriptome data. Genomics 2022, 114, 110429. [Google Scholar] [CrossRef] [PubMed]
- Opitz, L.; Salinas-Riester, G.; Grade, M.; Jung, K.; Jo, P.; Emons, G.; Ghadimi, B.M.; Beissbarth, T.; Gaedcke, J. Impact of RNA degradation on gene expression profiling. BMC Med. Genom. 2010, 3, 36. [Google Scholar] [CrossRef] [PubMed]
- Jin, S.Y.; Park, H.H.; Li, G.Z.; Lee, H.J.; Hong, M.S.; Park, H.J.; Park, H.K.; Seo, J.C.; Yim, S.V.; Chung, J.H.; et al. Association of estrogen receptor 1 intron 1 C/T polymorphism in Korean vitiligo patients. J. Dermatol. Sci. 2004, 35, 181–186. [Google Scholar] [CrossRef]
- Natale, C.A.; Duperret, E.K.; Zhang, J.; Sadeghi, R.; Dahal, A.; O’Brien, K.T.; Cookson, R.; Winkler, J.D.; Ridky, T.W. Sex steroids regulate skin pigmentation through nonclassical membrane-bound receptors. eLife 2016, 5, e15104. [Google Scholar] [CrossRef]
- Kawanishi, T.; Kaneko, T.; Moriyama, Y.; Kinoshita, M.; Yokoi, H.; Suzuki, T.; Shimada, A.; Takeda, H. Modular development of the teleost trunk along the dorsoventral axis and zic1/zic4 as selector genes in the dorsal module. Development 2013, 140, 1486–1496. [Google Scholar] [CrossRef]
- Abe, K.; Kawanishi, T.; Takeda, H. Zic Genes in Teleosts: Their Roles in Dorsoventral Patterning in the Somite. In Zic Family: Advances in Experimental Medicine and Biology; Springer: Berlin/Heidelberg, Germany, 2018; pp. 141–156. [Google Scholar]
- Inaba, M.; Jiang, T.-X.; Liang, Y.-C.; Tsai, S.; Lai, Y.-C.; Widelitz, R.B.; Chuong, C.M. Instructive role of melanocytes during pigment pattern formation of the avian skin. Proc. Natl. Acad. Sci. USA 2019, 116, 6884–6890. [Google Scholar] [CrossRef]
- Cal, L.; Suarez-Bregua, P.; Comesaña, P.; Owen, J.; Braasch, I.; Kelsh, R.; Cerdá-Reverter, J.M.; Rotllant, J. Countershading in zebrafish results from an Asip1 controlled dorsoventral gradient of pigment cell differentiation. Sci. Rep. 2019, 9, 3449. [Google Scholar] [CrossRef]









| Sample | Clean Reads | Error Rate, % | Q30, % | GC, % | Mapped Reads, % | Uniquely Mapped Reads |
|---|---|---|---|---|---|---|
| WD12_D | 86,785,883 | 20 | 95.38 | 54.0 | 93.78 | 72,522,887 (83.57%) |
| WD12_L | 86,030,558 | 20 | 95.04 | 54.0 | 83.06 | 61,768,321 (71.80%) |
| WD13_D | 85,300,011 | 20 | 95.48 | 54.0 | 89.65 | 67,497,154 (79.13%) |
| WD13_L | 85,408,475 | 20 | 95.41 | 55.0 | 93.56 | 69,157,672 (80.97%) |
| WD14_D | 84,933,279 | 20 | 95.35 | 55.0 | 96.85 | 70,709,996 (83.25%) |
| WD14_L | 85,725,420 | 30 | 95.10 | 57.0 | 96.23 | 68,646,288 (80.08%) |
| WD15_D | 86,755,681 | 20 | 95.22 | 56.0 | 96.61 | 72,592,898 (83.68%) |
| WD15_L | 85,916,341 | 20 | 95.52 | 55.0 | 96.10 | 71,438,074 (83.15%) |
| WD16_D | 85,440,535 | 20 | 95.36 | 55.0 | 95.52 | 69,992,205 (81.92%) |
| WD16_L | 85,452,301 | 20 | 95.6 | 55.0 | 95.95 | 71,610,674 (83.80%) |
| Sample | Raw Counts | Clean Reads | Average Read Length, bp | Q30, % | Mapped Reads within Two Mismatches, % | Mapped Reads without Mismatch, % | |
|---|---|---|---|---|---|---|---|
| Genome | Mature | ||||||
| WD12_D | 27,200,000 | 25,301,429 | 21.83 | 96.97 | 95.03% | 75.95% | 54.28% |
| WD12_L | 27,680,000 | 25,256,111 | 22.17 | 97.48 | 83.72% | 63.05% | 44.63% |
| WD13_D | 29,600,000 | 25,184,809 | 21.89 | 96.89 | 86.67% | 64.23% | 45.63% |
| WD13_L | 27,200,000 | 25,272,976 | 21.81 | 97.58 | 94.90% | 76.68% | 55.61% |
| WD14_D | 27,360,000 | 25,378,446 | 21.62 | 97.15 | 98.44% | 79.69% | 60.59% |
| WD14_L | 27,680,000 | 25,151,135 | 21.74 | 97.46 | 97.74% | 78.90% | 50.34% |
| WD15_D | 27,520,000 | 25,173,779 | 21.74 | 97.04 | 98.38% | 80.69% | 56.40% |
| WD15_L | 27,840,000 | 25,169,469 | 21.58 | 97.16 | 98.59% | 81.79% | 58.35% |
| WD16_D | 27,200,000 | 24,988,396 | 21.90 | 96.75 | 98.18% | 80.89% | 55.75% |
| WD16_L | 28,480,000 | 25,193,907 | 21.75 | 96.97 | 97.89% | 81.13% | 55.00% |
Disclaimer/Publisher’s Note: The statements, opinions and data contained in all publications are solely those of the individual author(s) and contributor(s) and not of MDPI and/or the editor(s). MDPI and/or the editor(s) disclaim responsibility for any injury to people or property resulting from any ideas, methods, instructions or products referred to in the content. |
© 2024 by the authors. Licensee MDPI, Basel, Switzerland. This article is an open access article distributed under the terms and conditions of the Creative Commons Attribution (CC BY) license (https://creativecommons.org/licenses/by/4.0/).
Share and Cite
Xiong, S.; Cui, D.; Yu, N.; He, R.; Zhu, H.; Wei, J.; Wang, M.; Duan, W.; Huang, X.; Ge, L.; et al. Exploring the Maintaining Period and the Differentially Expressed Genes between the Yellow and Black Stripes of the Juvenile Stripe in the Offspring of Wild Boar and Duroc. Animals 2024, 14, 2109. https://doi.org/10.3390/ani14142109
Xiong S, Cui D, Yu N, He R, Zhu H, Wei J, Wang M, Duan W, Huang X, Ge L, et al. Exploring the Maintaining Period and the Differentially Expressed Genes between the Yellow and Black Stripes of the Juvenile Stripe in the Offspring of Wild Boar and Duroc. Animals. 2024; 14(14):2109. https://doi.org/10.3390/ani14142109
Chicago/Turabian StyleXiong, Sanya, Dengshuai Cui, Naibiao Yu, Ruiqiu He, Haojie Zhu, Jiacheng Wei, Mingyang Wang, Wenxin Duan, Xiaoqing Huang, Liming Ge, and et al. 2024. "Exploring the Maintaining Period and the Differentially Expressed Genes between the Yellow and Black Stripes of the Juvenile Stripe in the Offspring of Wild Boar and Duroc" Animals 14, no. 14: 2109. https://doi.org/10.3390/ani14142109
APA StyleXiong, S., Cui, D., Yu, N., He, R., Zhu, H., Wei, J., Wang, M., Duan, W., Huang, X., Ge, L., & Guo, Y. (2024). Exploring the Maintaining Period and the Differentially Expressed Genes between the Yellow and Black Stripes of the Juvenile Stripe in the Offspring of Wild Boar and Duroc. Animals, 14(14), 2109. https://doi.org/10.3390/ani14142109

