Development of Monoclonal Antibody against PirB and Establishment of a Colloidal Gold Immunochromatographic Assay for the Rapid Detection of AHPND-Causing Vibrio
Abstract
Simple Summary
Abstract
1. Introduction
2. Materials and Methods
2.1. Bacterial Strains and Plasmid
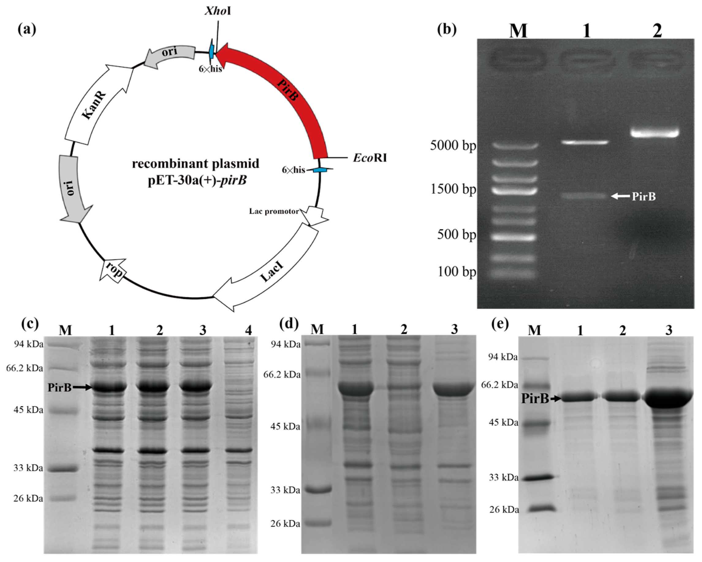
2.2. Expression, Purification, and Identification of Recombinant PirB Protein
2.3. Mouse Immunization
2.4. Hybridoma Cell Fusion and Screening
2.5. Detection of Optimal Antibody Labeling Efficiency for Immune Colloidal Gold Test Strips
2.6. Preparation of Immune Colloidal Gold Test Strips for PirB
2.7. Animal Infection Experiment
2.8. Detection of Virulence Genes in Experimental Infection Samples and Bacteria Samples
2.9. SDS-PAGE and Western Blot Analysis
2.10. Detection of AHPND-Causing Vibrio and Tissue Samples Using Immunochromatographic Strip
3. Results
3.1. PirB Protein Purification and Identification Results
3.2. Detection Results of Virulence Genes and Proteins in Experimental Bacteria Samples
3.3. Detection Results of Optimal Antibody Labeling for Immunochromatographic Test Strips
3.4. Detection Results of Virulence Genes of Samples from the Experimentally Infected Shrimp
4. Discussion
5. Conclusions
Supplementary Materials
Author Contributions
Funding
Institutional Review Board Statement
Informed Consent Statement
Data Availability Statement
Acknowledgments
Conflicts of Interest
References
- World Organisation for Animal Health. Chapter 2.2.1 Acute Hepatopancreatic Necrosis Disease. In Manual of Diagnostic Tests for Aquatic Animals; World Organisation for Animal Health: Paris, France, 2021. [Google Scholar]
- Lee, C.T.; Chen, I.T.; Yang, Y.T.; Ko, T.P.; Huang, Y.T.; Huang, J.Y.; Huang, M.F.; Lin, S.J.; Chen, C.Y.; Lin, S.S.; et al. The opportunistic marine pathogen Vibrio parahaemolyticus becomes virulent by acquiring a plasmid that expresses a deadly toxin. Proc. Natl. Acad. Sci. USA 2015, 112, 10798–10803. [Google Scholar] [CrossRef]
- Tran, L.; Nunan, L.; Redman, R.M.; Mohney, L.L.; Pantoja, C.R.; Fitzsimmons, K.; Lightner, D.V. Determination of the infectious nature of the agent of acute hepatopancreatic necrosis syndrome affecting penaeid shrimp. Dis. Aquat. Org. 2013, 105, 45–55. [Google Scholar] [CrossRef]
- Liu, L.; Xiao, J.; Xia, X.; Pan, Y.; Yan, S.; Wang, Y. Draft genome sequence of Vibrio owensii strain SH-14, which causes shrimp acute hepatopancreatic necrosis disease. Genome Announc. 2015, 3, e01395-01315. [Google Scholar] [CrossRef]
- Liu, L.; Xiao, J.; Zhang, M.; Zhu, W.; Xia, X.; Dai, X.; Pan, Y.; Yan, S.; Wang, Y. A Vibrio owensii strain as the causative agent of AHPND in cultured shrimp, Litopenaeus vannamei. J. Invertebr. Pathol. 2018, 153, 156–164. [Google Scholar] [CrossRef]
- Han, J.E.; Tang, K.F.; Aranguren, L.F.; Piamsomboon, P. Characterization and pathogenicity of acute hepatopancreatic necrosis disease natural mutants, pirABvp (−) V. parahaemolyticus, and pirABvp (+) V. campbellii strains. Aquaculture 2017, 470, 84–90. [Google Scholar] [CrossRef]
- Dong, X.; Wang, H.; Zou, P.; Chen, J.; Liu, Z.; Wang, X.; Huang, J. Complete genome sequence of Vibrio campbellii strain 20130629003S01 isolated from shrimp with acute hepatopancreatic necrosis disease. Gut Pathog. 2017, 9, 31. [Google Scholar] [CrossRef]
- Dong, X.; Wang, H.; Xie, G.; Zou, P.; Guo, C.; Liang, Y.; Huang, J. An isolate of Vibrio campbellii carrying the pirVP gene causes acute hepatopancreatic necrosis disease. Emerg. Microbes Infect. 2017, 6, e2. [Google Scholar] [CrossRef]
- Muthukrishnan, S.; Defoirdt, T.; Ina-Salwany, M.Y.; Yusoff, F.M.; Shariff, M.; Ismail, S.I.; Natrah, I. Vibrio parahaemolyticus and Vibrio harveyi causing acute hepatopancreatic necrosis disease (AHPND) in Penaeus vannamei (Boone, 1931) isolated from Malaysian shrimp ponds. Aquaculture 2019, 511, 734227. [Google Scholar] [CrossRef]
- Wang, D.; Wang, L.; Bi, D.; Song, J.; Wang, G.; Gao, Y.; Tang, K.F.J.; Meng, F.; Xie, J.; Zhang, F.; et al. Conjugative transfer of acute hepatopancreatic necrosis disease-causing pVA1-type plasmid is mediated by a novel self-encoded type IV secretion system. Microbiol. Spectr. 2022, 10, e0170222. [Google Scholar] [CrossRef]
- Han, J.E.; Tang, K.F.; Tran, L.H.; Lightner, D.V. Photorhabdus insect-related (Pir) toxin-like genes in a plasmid of Vibrio parahaemolyticus, the causative agent of acute hepatopancreatic necrosis disease (AHPND) of shrimp. Dis. Aquat. Org. 2015, 113, 33–40. [Google Scholar] [CrossRef]
- Dangtipa, S.; Sirikharinb, R.; Sanguanrutc, P.; Thitamadeed, S.; Sritunyalucksanab, K.; Taengchaiyaphumb, S.; Mavichake, R.; Proespraiwonge, P.; Flegel, T.W. AP4 method for two-tube nested PCR detection of AHPND isolates of Vibrio parahaemolyticus. Aquaculture 2015, 2, 158–162. [Google Scholar] [CrossRef]
- Han, J.E.; Tang, K.F.; Pantoja, C.R.; White, B.L.; Lightner, D.V. qPCR assay for detecting and quantifying a virulence plasmid in acute hepatopancreatic necrosis disease (AHPND) due to pathogenic Vibrio parahaemolyticus. Aquaculture 2015, 442, 12–15. [Google Scholar] [CrossRef]
- Kongrueng, J.; Tansila, N.; Mitraparp-arthorn, P.; Nishibuchi, M.; Vora, G.J.; Vuddhakul, V. LAMP assay to detect Vibrio parahaemolyticus causing acute hepatopancreatic necrosis disease in shrimp. Aquac. Int. 2015, 23, 1179–1188. [Google Scholar] [CrossRef]
- Jeon, M.Y.; Han, J.E.; Lee, D.G.; Cho, Y.L.; Jang, J.H.; Lee, J.; Park, J.G.; Kwon, D.H.; Park, S.Y.; Kim, W.; et al. Novel sandwich immunoassay detects a shrimp AHPND-causing binary PirABVp toxin produced by Vibrio parahaemolyticus. Front. Cell. Infect. Microbiol. 2023, 13, 1294801. [Google Scholar] [CrossRef] [PubMed]
- Vicente, A.; Taengphu, S.; Hung, A.; Mora, C.; Dong, H.; Senapin, S. Detection of Vibrio campbellii and V. parahaemolyticus carrying full-length pirABVp but only V. campbellii produces PirVp toxins. Aquaculture 2020, 519, 734708. [Google Scholar] [CrossRef]
- Kanrar, S.; Dhar, A.K. Complete genome sequence of a novel mutant strain of Vibrio parahaemolyticus from Pacific white shrimp (Penaeus vannamei). Genome Announc. 2018, 6, e00497-00418. [Google Scholar] [CrossRef] [PubMed]
- Wangman, P.; Chaivisuthangkura, P.; Sritunyalucksana, K.; Taengchaiyaphum, S.; Senapin, S.; Pengsuk, C.; Sithigorngul, P.; Longyant, S. Development of monoclonal antibodies specific to ToxA and ToxB of Vibrio parahaemolyticus that cause acute hepatopancreatic necrosis disease (AHPND). Aquaculture 2017, 474, 75–81. [Google Scholar] [CrossRef]
- Mai, H.N.; Cruz-Flores, R.; Dhar, A.K. Development of an indirect Enzyme Linked Immunoassay (iELISA) using monoclonal antibodies against Photorhabdus insect related toxins, PirAVp and PirBVp released from Vibrio spp. J. Microbiol. Methods 2020, 176, 106002. [Google Scholar] [CrossRef] [PubMed]
- Wangman, P.; Chaivisuthangkura, P.; Taengchaiyaphum, S.; Pengsuk, C.; Sithigorngul, P.; Longyant, S. Development of a rapid immunochromatographic strip test for the detection of Vibrio parahaemolyticus toxin B that cause acute hepatopancreatic necrosis disease. J. Fish Dis. 2020, 43, 207–214. [Google Scholar] [CrossRef]
- Duong, N.D.; Nguyen-Phuoc, K.H.; Mai-Hoang, T.D.; Do, K.T.; Huynh, T.B.; Nguyen, N.T.; Tran, T.L.; Tran-Van, H. Fabrication of lateral flow immunoassay strip for rapid detection of acute hepatopancreatic necrosis disease. 3 Biotech 2022, 12, 243. [Google Scholar] [CrossRef]
- Hanumanthappa, S.K.; Kumar, B.T.N.; Patil, P.; Poojary, S.R.; Ballyaya, A.P.; Ramesh, K.S.; Shankar, K.M.; Tyagi, A. Polyclonal antibody-based farmer-friendly fow-through test for the detection of acute hepatopancreatic necrosis disease in shrimp. Aquac. Res. 2020, 51, 2863–2869. [Google Scholar] [CrossRef]
- Liu, H.; Xiu, Y.; Xu, Y.; Tang, M.; Li, S.; Gu, W.; Meng, Q.; Wang, W. Development of a colloidal gold immunochromatographic assay (GICA) for the rapid detection of Spiroplasma eriocheiris in commercially exploited crustaceans from China. J. Fish Dis. 2017, 40, 1839–1847. [Google Scholar] [CrossRef] [PubMed]
- Lu, Y.; Wang, S.; Cai, X.; Cao, M.; Lu, Q.; Hu, D.; Chen, Q.; Xiong, X. A rapid colloidal gold immunochromatographic assay based on polyclonal antibodies against HtpsC protein for the detection of Streptococcus suis. Front. Microbiol. 2023, 14, 1294368. [Google Scholar] [CrossRef]
- Na, G.; Hu, X.; Yang, J.; Sun, Y.; Kwee, S.; Tang, L.; Xing, G.; Xing, Y.; Zhang, G. Colloidal gold-based immunochromatographic strip assay for the rapid detection of bacitracin zinc in milk. Food Chem. 2020, 327, 126879. [Google Scholar] [CrossRef] [PubMed]
- Ye, L.; Xu, X.; Song, S.; Xu, L.; Kuang, H.; Xu, C. Rapid colloidal gold immunochromatographic assay for the detection of SARS-CoV-2 total antibodies after vaccination. J. Mater. Chem. B 2022, 10, 1786–1794. [Google Scholar] [CrossRef]
- Kohler, G.; Milstein, C. Continuous cultures of fused cells secreting antibody of predefined specificity. Nature 1975, 256, 495–497. [Google Scholar] [CrossRef] [PubMed]
- Nelson, P.N.; Reynolds, G.M.; Waldron, E.E.; Ward, E.; Giannopoulos, K.; Murray, P.G. Monoclonal antibodies. Mol. Pathol. 2000, 53, 111–117. [Google Scholar] [CrossRef]
- Flegel, T.W.; Lo, C.F. Announcement regarding free release of primers for specific detection of bacterial isolates that cause acute hepatopancreatic necrosis disease (AHPND). In Proceedings of the Network of Aquaculture Centres in Asia-Pacific, Bangkok, Thailand, 5–8 January 2014. [Google Scholar]
- Li, C.; Lin, N.; Feng, Z.; Lin, M.; Guan, B.; Chen, K.; Liang, W.; Wang, Q.; Li, M.; You, Y.; et al. CRISPR/Cas12a based rapid molecular detection of acute hepatopancreatic necrosis disease in shrimp. Front. Vet. Sci. 2021, 8, 819681. [Google Scholar] [CrossRef] [PubMed]
- Koiwai, K.; Tinwongger, S.; Nozaki, R.; Kondo, H.; Hirono, I. Detection of acute hepatopancreatic necrosis disease strain of Vibrio parahaemolyticus using loop-mediated isothermal amplification. J. Fish Dis. 2016, 39, 603–606. [Google Scholar] [CrossRef]
- Mai, H.N.; Aranguren Caro, L.F.; Cruz-Flores, R.; Dhar, A.K. Development of a Recombinase Polymerase Amplification (RPA) assay for acute hepatopancreatic necrosis disease (AHPND) detection in Pacific white shrimp (Penaeus vannamei). Mol. Cell. Probes 2021, 57, 101710. [Google Scholar] [CrossRef]
- Santos, H.M.; Tsai, C.Y.; Maquiling, K.R.A.; Tayo, L.L.; Mariatulqabtiah, A.R.; Lee, C.W.; Chuang, K.P. Diagnosis and potential treatments for acute hepatopancreatic necrosis disease (AHPND): A review. Aquac. Int. 2020, 28, 169–185. [Google Scholar] [CrossRef] [PubMed]
- Tinwongger, S.; Nochiri, Y.; Thawonsuwan, J.; Nozaki, R.; Kondo, H.; Awasthi, S.P.; Hinenoya, A.; Yamasaki, S.; Hirono, I. Virulence of acute hepatopancreatic necrosis disease PirAB-like relies on secreted proteins not on gene copy number. J. Appl. Microbiol. 2016, 121, 1755–1765. [Google Scholar] [CrossRef] [PubMed]




| Strains and Plasmid | Source/Reference | AHPND-Causing Strain | Culture Medium | Growing Temperature |
|---|---|---|---|---|
| V. parahaemolyticus 20130629002S01 (Vp2S01) | PMID: 29051747 | + | 2216E broth | 28 °C |
| Vp2S01::cat | PMID: 31231618 | + | 2216E broth | 28 °C |
| V. campbellii LMB29 (VcLMB29) | PMID: 29109705 | − | 2216E broth | 28 °C |
| VcLMB29-pVPGX1 | PMID: 31231618 | + | 2216E broth | 28 °C |
| V. campbellii 20130629003S01 (Vc3S01) | PMID: 28050022 | + | 2216E broth | 28 °C |
| V. owensii X170302 | Isolated from AHPND water sample in Ruian, Wenzhou, China | + | 2216E broth | 28 °C |
| V. owensii 20220331001-6 | Isolated from AHPND water sample in Ruian, Wenzhou, China | − | 2216E broth | 28 °C |
| V. parahaemolyticus 20211214002-3 | Isolation of AHPND-infected samples in toxicity challenge | − | 2216E broth | 28 °C |
| V. campbellii 20230718001-5 | Isolated from Penaeus vannamei sample in Zhejiang, China | + | 2216E broth | 28 °C |
| Alteromonas macleodii 20170907027 | Isolated from P. vannamei sample in Zhejiang, China | − | LB broth | 37 °C |
| Edwardsiella tarda 20230524001 | Lab collection | − | LB broth | 37 °C |
| Escherichia coli BL21 | Lab collection | / | LB broth | 37 °C |
| E. coli expression vector pET-30a(+) | Lab collection | / | / | / |
| Dilution Ratio | Mouse #1 | Mouse #2 | Mouse #3 | Mouse #4 |
|---|---|---|---|---|
| 200 | 1.720 | 1.701 | 1.631 | 1.387 |
| 400 | 1.629 | 1.599 | 1.498 | 1.234 |
| 800 | 1.555 | 1.438 | 1.310 | 1.157 |
| 1600 | 1.478 | 1.359 | 1.366 | 1.193 |
| 3200 | 1.359 | 1.257 | 1.305 | 1.136 |
| 6400 | 1.283 | 1.183 | 1.064 | 1.042 |
| 12,800 | 1.126 | 1.009 | 0.801 | 0.810 |
| 25,600 | 0.836 | 0.716 | 0.677 | 0.671 |
| 51,200 | 0.583 | 0.439 | 0.456 | 0.563 |
| 102,400 | 0.390 | 0.307 | 0.277 | 0.388 |
| Blank control | 0.023 | 0.021 | 0.018 | 0.001 |
| Negative control | 0.068 | 0.062 | 0.048 | 0.028 |
Disclaimer/Publisher’s Note: The statements, opinions and data contained in all publications are solely those of the individual author(s) and contributor(s) and not of MDPI and/or the editor(s). MDPI and/or the editor(s) disclaim responsibility for any injury to people or property resulting from any ideas, methods, instructions or products referred to in the content. |
© 2024 by the authors. Licensee MDPI, Basel, Switzerland. This article is an open access article distributed under the terms and conditions of the Creative Commons Attribution (CC BY) license (https://creativecommons.org/licenses/by/4.0/).
Share and Cite
Dong, X.; Xie, J.; Wang, L.; Li, X.; Lou, H.; Wang, G.; Huang, J. Development of Monoclonal Antibody against PirB and Establishment of a Colloidal Gold Immunochromatographic Assay for the Rapid Detection of AHPND-Causing Vibrio. Animals 2024, 14, 1600. https://doi.org/10.3390/ani14111600
Dong X, Xie J, Wang L, Li X, Lou H, Wang G, Huang J. Development of Monoclonal Antibody against PirB and Establishment of a Colloidal Gold Immunochromatographic Assay for the Rapid Detection of AHPND-Causing Vibrio. Animals. 2024; 14(11):1600. https://doi.org/10.3390/ani14111600
Chicago/Turabian StyleDong, Xuan, Jingmei Xie, Liying Wang, Xuan Li, Haoyu Lou, Guohao Wang, and Jie Huang. 2024. "Development of Monoclonal Antibody against PirB and Establishment of a Colloidal Gold Immunochromatographic Assay for the Rapid Detection of AHPND-Causing Vibrio" Animals 14, no. 11: 1600. https://doi.org/10.3390/ani14111600
APA StyleDong, X., Xie, J., Wang, L., Li, X., Lou, H., Wang, G., & Huang, J. (2024). Development of Monoclonal Antibody against PirB and Establishment of a Colloidal Gold Immunochromatographic Assay for the Rapid Detection of AHPND-Causing Vibrio. Animals, 14(11), 1600. https://doi.org/10.3390/ani14111600

