Strategies for the Diagnosis of Granulocytic Anaplasmosis in Two Naturally Infected Dogs
Abstract
Simply Summary
Abstract
1. Introduction
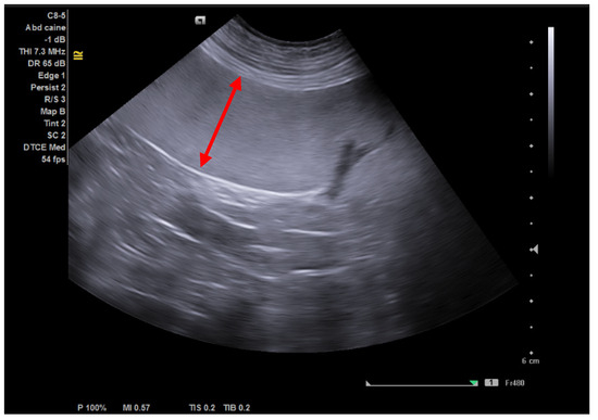
2. Results
3. Discussion
4. Materials and Methods
4.1. Clinical Presentation
4.2. Diagnostics
5. Conclusions
Author Contributions
Funding
Institutional Review Board Statement
Informed Consent Statement
Data Availability Statement
Acknowledgments
Conflicts of Interest
References
- El Hamiani Khatat, S.; Daminet, S.; Duchateau, L.; Elhachimi, L.; Kachani, M.; Sahibi, H. Epidemiological and clinicopathological features of Anaplasma phagocytophilum infection in dogs: A systematic review. Front. Vet. Sci. 2021, 8, 686644. [Google Scholar] [CrossRef] [PubMed]
- El Hamiani Khatat, S.; Kachani, M.; Duchateau, L.; Elhachimi, L.; Sahibi, H.; Daminet, S. Anaplasma spp in Dogs: Is There a Danger for Humans? Rev. Vétérinaire Clin. 2022, 57, 1–15. [Google Scholar] [CrossRef]
- Sainz, Á.; Roura, X.; Miró, G.; Estrada-Peña, A.; Kohn, B.; Harrus, S.; Solano-Gallego, L. Guideline for veterinary practitioners on canine ehrlichiosis and anaplasmosis in Europe. Parasites Vectors 2015, 8, 75. [Google Scholar] [CrossRef] [PubMed]
- Latrofa, M.S.; Dantas-Torres, F.; de Caprariis, D.; Cantacessi, C.; Capelli, G.; Lia, R.P.; Breitschwerdt, E.B.; Otranto, D. Vertical Transmission of Anaplasma Platys and Leishmania Infantum in Dogs during the First Half of Gestation. Parasites Vectors 2016, 9, 269. [Google Scholar] [CrossRef] [PubMed][Green Version]
- Matei, I.A.; Stuen, S.; Modrý, D.; Degan, A.; D’Amico, G.; Mihalca, A.D. Neonatal Anaplasma Platys Infection in Puppies: Further Evidence for Possible Vertical Transmission. Vet. J. 2017, 219, 40–41. [Google Scholar] [CrossRef] [PubMed]
- Stuen, S.; Granquist, E.; Silaghi, C. Anaplasma phagocytophilum—A widespread multi-host pathogen with highly adaptive strategies. Front. Cell. Infect. Microbiol. 2013, 3, 31. [Google Scholar] [CrossRef] [PubMed]
- Liu, J.; Drexel, J.; Andrews, B.; Eberts, M.; Breitschwerdt, E.; Chandrashekar, R. Comparative Evaluation of 2 In-Clinic Assays for Vector-Borne Disease Testing in Dogs. Top. Companion Anim. Med. 2018, 33, 114–118. [Google Scholar] [CrossRef]
- Matei, I.A.; Estrada-Peña, A.; Cutler, S.J.; Vayssier-Taussat, M.; Varela-Castro, L.; Potkonjak, A.; Zeller, H.; Mihalca, A.D. A Review on the eco-epidemiology and clinical management of human granulocytic anaplasmosis and its agent in Europe. Parasites Vectors 2019, 12, 599. [Google Scholar] [CrossRef]
- Human Granulocytic Anaplasmosis. Factsheet on Human Granulocytic Anaplasmosis-ECDC. Available online: https://www.ecdc.europa.eu/en/all-topics-z/human-granulocytic-anaplasmosis/factsheet-human-granulocytic-anaplasmosis (accessed on 2 October 2023).
- Huber, D.; Reil, I.; Duvnjak, S.; Jurković, D.; Lukačević, D.; Pilat, M.; Beck, A.; Mihaljević, Ž.; Vojta, L.; Polkinghorne, A.; et al. Molecular detection of Anaplasma platys, Anaplasma phagocytophilum and Wolbachia sp. but not Ehrlichia canis in Croatian dogs. Parasitol. Res. 2017, 116, 3019–3026. [Google Scholar] [CrossRef]
- Karshima, S.N.; Ahmed, M.I.; Mohammed, K.M.; Pam, V.A.; Momoh-Abdullateef, H.; Gwimi, B.P. Worldwide Meta-Analysis on Anaplasma phagocytophilum Infections in Animal Reservoirs: Prevalence, Distribution and Reservoir Diversity. Veter Parasitol. Reg. Stud. Rep. 2023, 38, 100830. [Google Scholar] [CrossRef]
- Matei, I.A.; Ionică, A.M.; D’Amico, G.; Corduneanu, A.; Daskalaki, A.A.; Lefkaditis, M.; Mihalca, A.D. Altitude-dependent prevalence of canine granulocytic anaplasmosis in Romania. Vector Borne Zoonotic Dis. 2017, 17, 147–151. [Google Scholar] [CrossRef] [PubMed]
- Matei, I.A.; Kalmár, Z.; Lupşe, M.; D’Amico, G.; Ionică, A.M.; Dumitrache, M.O.; Gherman, C.M.; Mihalca, A.D. The risk of exposure to rickettsial infections and human granulocytic anaplasmosis associated with Ixodes ricinus tick bites in humans in Romania: A Multiannual Study. Ticks Tick-Borne Dis. 2017, 8, 375–378. [Google Scholar] [CrossRef] [PubMed]
- Ilie, M.S.; Imre, K.; Hotea, I.; Morariu, S.; Oprescu, I.; Sorescu, D.; Ilie, A.; Andrei, S.; Dărăbuș, G. Seroprevalence of Anaplasma phagocytophilum in dogs from Timiș County, Romania. Lucr. Științifice Med. Vet. 2011, 54, 343–347. [Google Scholar]
- Mircean, V.; Dumitrache, M.O.; Györke, A.; Pantchev, N.; Jodies, R.; Mihalca, A.D.; Cozma, V. Seroprevalence and geographic distribution of Dirofilaria immitis and tick-borne infections (Anaplasma phagocytophilum, Borrelia burgdorferi sensu lato, and Ehrlichia canis) in dogs from Romania. Vector Borne Zoonotic Dis. 2012, 12, 595–604. [Google Scholar] [CrossRef] [PubMed]
- Hamel, D.; Silaghi, C.; Lescai, D.; Pfister, K. Epidemiological aspects on vector-borne infections in stray and pet dogs from Romania and Hungary with focus on Babesia spp. Parasitol Res 2012, 110, 1537–1545. [Google Scholar] [CrossRef] [PubMed]
- Kiss, T.; Cadar, D.; Krupaci, F.A.; Bordeanu, A.D.; Spînu, M. Prevalence of Anaplasma phagocytophilum Infection in European Wild Boar (Sus Scrofa) Populations from Transylvania, Romania. Epidemiol. Infect. 2014, 142, 246–250. [Google Scholar] [CrossRef] [PubMed]
- Cazan, C.D.; Ionică, A.M.; Matei, I.A.; D’Amico, G.; Muñoz, C.; Berriatua, E.; Dumitrache, M.O. Detection of Leishmania Infantum DNA and Antibodies against Anaplasma spp., Borrelia burgdorferi s.l. and Ehrlichia canis in a Dog Kennel in South-Central Romania. Acta Vet. Scand. 2020, 62, 42. [Google Scholar] [CrossRef]
- Ionita, M.; Silaghi, C.; Mitrea, I.L.; Edouard, S.; Parola, P.; Pfister, K. Molecular Detection of Rickettsia Conorii and Other Zoonotic Spotted Fever Group Rickettsiae in Ticks, Romania. Ticks Tick-Borne Dis. 2016, 7, 150–153. [Google Scholar] [CrossRef]
- Anton, A.; Solcan, G. A Case Study of Photosensitivity Associated with Anaplasma spp. Infection in Cattle. Animals 2022, 12, 3568. [Google Scholar] [CrossRef]
- Mărcuţan, I.-D.; Sándor, A.D.; Kalmár, Z.; Mihalca, A.D.; Mircea, C.; Cozma, V.; D’Amico, G. Anaplasma phagocytophilum in ticks and tissues collected from wild birds in Romania. Sci. Parasitol. 2015, 16, 103–111. [Google Scholar]
- Dumitrache, M.O.; Matei, I.A.; Ionică, A.M.; Kalmár, Z.; D’Amico, G.; Sikó-Barabási, S.; Ionescu, D.T.; Gherman, C.M.; Mihalca, A.D. Molecular Detection of Anaplasma phagocytophilum and Borrelia burgdorferi sensu lato Genospecies in Red Foxes (Vulpes Vulpes) from Romania. Parasites Vectors 2015, 8, 514. [Google Scholar] [CrossRef] [PubMed]
- Matei, I.A.; D’Amico, G.; Ionică, A.M.; Kalmár, Z.; Corduneanu, A.; Sándor, A.D.; Fiţ, N.; Bogdan, L.; Gherman, C.M.; Mihalca, A.D. New records for Anaplasma phagocytophilum infection in small mammal species. Parasites Vectors 2018, 11, 193. [Google Scholar] [CrossRef] [PubMed]
- Silaghi, C.; Santos, A.S.; Gomes, J.; Christova, I.; Matei, I.A.; Walder, G.; Domingos, A.; Bell-Sakyi, L.; Sprong, H.; von Loewenich, F.D.; et al. guidelines for the direct detection of Anaplasma spp. in diagnosis and epidemiological studies. Vector Borne Zoonotic Dis. 2017, 17, 12–22. [Google Scholar] [CrossRef] [PubMed]
- Schäfer, I.; Kohn, B.; Silaghi, C.; Fischer, S.; Marsboom, C.; Hendrickx, G.; Müller, E. Molecular and Serological Detection of Anaplasma phagocytophilum in Dogs from Germany (2008–2020). Animals 2023, 13, 720. [Google Scholar] [CrossRef]
- Greene, C.E. Infectious Diseases of the Dog and Cat, 4th ed.; Elsevier Saunders: Cambridge, MA, USA, 2012. [Google Scholar]
- Chandrashekar, R.; Beall, M.J.; Thatcher, B.; Saucier, J.M.; Tyrrell, P.; Lappin, M.R. Serologic Responses to Peptides of Anaplasma phagocytophilum and Borrelia Burgdorferi in Dogs Infested with Wild-Caught Ixodes Scapularis. Vet. J. 2017, 226, 6–11. [Google Scholar] [CrossRef]
- Schotthoefer, A.M.; Meece, J.K.; Ivacic, L.C.; Bertz, P.D.; Zhang, K.; Weiler, T.; Uphoff, T.S.; Fritsche, T.R. Comparison of a Real-Time PCR Method with Serology and Blood Smear Analysis for Diagnosis of Human Anaplasmosis: Importance of Infection Time Course for Optimal Test Utilization. J. Clin. Microbiol. 2013, 51, 2147–2153. [Google Scholar] [CrossRef]
- Atif, F.A.; Mehnaz, S.; Qamar, M.F.; Roheen, T.; Sajid, M.S.; Ehtisham-ul-Haque, S.; Kashif, M.; Ben Said, M. Epidemiology, Diagnosis, and Control of Canine Infectious Cyclic Thrombocytopenia and Granulocytic Anaplasmosis: Emerging Diseases of Veterinary and Public Health Significance. Vet. Sci. 2021, 8, 312. [Google Scholar] [CrossRef]
- Kovačević Filipović, M.M.; Beletić, A.D.; Ilić Božović, A.V.; Milanović, Z.; Tyrrell, P.; Buch, J.; Breitschwerdt, E.B.; Birkenheuer, A.J.; Chandrashekar, R. Molecular and serological prevalence of Anaplasma phagocytophilum, A. platys, Ehrlichia canis, E. chaffeenses, E. ewingii, Borrelia burgdorferi, Babesia canis, B. gibsoni and B. vogeli among clinically healthy outdoor dogs in Serbia. Vet. Parasitol. Reg. Stud. Rep. 2018, 14, 117–122. [Google Scholar] [CrossRef]
- Mihalca, A.D.; Gherman, C.M.; Magdaş, C.; Dumitrache, M.O.; Györke, A.; Sándor, A.D.; Domşa, C.; Oltean, M.; Mircean, V.; Mărcuţan, D.I.; et al. Ixodes ricinus is the dominant questing tick in forest habitats in Romania: The results from a countrywide dragging campaign. Exp. Appl. Acarol. 2012, 58, 175–182. [Google Scholar] [CrossRef]
- Matei, I.A.; Kalmár, Z.; Magdaş, C.; Magdaş, V.; Toriay, H.; Dumitrache, M.O.; Ionică, A.M.; D’Amico, G.; Sándor, A.D.; Mărcuţan, D.I.; et al. Anaplasma phagocytophilum in Questing Ixodes Ricinus Ticks from Romania. Ticks Tick Borne Dis. 2015, 6, 408–413. [Google Scholar] [CrossRef]
- Martinescu, G.-V.; Ivănescu, L.; Mîndru, R.; Andronic, L.; Miron, L. Prevalence of tick infestation in dogs from Iasi Area (Romania). J. Vet. Med. Iasi-Sci. Pap. J. 2022, 65, 48–55. [Google Scholar]
- Weese, S.; Evason, M. Infectious Diseases of the Dog and Cat: A Color Handbook; CRC Press: Boca Raton, FL, USA, 2019. [Google Scholar]
- Foley, J.; Drazenovich, N.; Leutenegger, C.M.; Chomel, B.B. Association between Polyarthritis and Thrombocytopenia and Increased Prevalence of Vectorborne Pathogens in Californian Dogs. Vet. Rec. 2007, 160, 159–162. [Google Scholar] [CrossRef] [PubMed]
- Miron, L.D.; Ciuca, L.; Ilie, C.; Potoroaca, A.; Lazăr, C.; Martinescu, G.-V. Co-Infection with Babesia canis and Borrelia burgdorferi s.l. in a dog from Northeastern Romania: A case report. JALSE 2022, 54, 439–449. [Google Scholar] [CrossRef]
- Carrade, D.D.; Foley, J.E.; Borjesson, D.L.; Sykes, J.E. Canine Granulocytic Anaplasmosis: A Review. J. Vet. Intern. Med. 2009, 23, 1129–1141. [Google Scholar] [CrossRef] [PubMed]
- Jensen, J.; Simon, D.; Escobar, H.M.; Soller, J.T.; Bullerdiek, J.; Beelitz, P.; Pfister, K.; Nolte, I. Anaplasma phagocytophilum in Dogs in Germany. Zoonoses Public Health 2007, 54, 94–101. [Google Scholar] [CrossRef] [PubMed]
- Silaghi, C.; Kohn, B.; Chirek, A.; Thiel, C.; Nolte, I.; Liebisch, G.; Pfister, K. Relationship of Molecular and Clinical findings on Anaplasma phagocytophilum involved in natural infections of dogs. J. Clin. Microbiol. 2011, 49, 4413–4414. [Google Scholar] [CrossRef]
- Chirek, A.; Silaghi, C.; Pfister, K.; Kohn, B. Granulocytic Anaplasmosis in 63 Dogs: Clinical Signs, Laboratory Results, Therapy and Course of Disease. J. Small Anim. Pract. 2018, 59, 112–120. [Google Scholar] [CrossRef]
- Silveira, J.A.; Valente, P.C.; Paes, P.R.; Vasconcelos, A.V.; Silvestre, B.T.; Ribeiro, M.F. The first clinical and laboratory evidence of co-infection by Anaplasma phagocytophilum and Ehrlichia canis in a brazilian dog. Ticks Tick-Borne Dis. 2015, 6, 242–245. [Google Scholar] [CrossRef]
- Khatat, S.E.; Culang, D.; Gara-Boivin, C. Granulocytic anaplasmosis in 2 dogs from Quebec. Can Vet J 2018, 59, 663–667. [Google Scholar]
- Hecht, S. Spleen in Atlas of Small Animal Ultrasonography; Penninck, D., d’Anjou, M.A., Eds.; Blackwell Pub.: Ames, IA, USA, 2008; pp. 263–280. ISBN 978-0-8138-2800-8. [Google Scholar]
- Serdean, C.; Dana, C. Ultrasonography of spleen and lymph nodes. In Treatise of Veterinary Clinical Ultrasonography; Codreanu, M.D., Ed.; Medicala: Bucharest, Romania, 2022; pp. 221–236, (In Romanian). ISBN 978-973-39-0931-6. [Google Scholar]
- Miró, G.; Wright, I.; Michael, H.; Burton, W.; Hegarty, E.; Rodón, J.; Buch, J.; Pantchev, N.; von Samson-Himmelstjerna, G. Seropositivity of main vector-borne pathogens in dogs across Europe. Parasites Vectors 2022, 15, 189. [Google Scholar] [CrossRef]
- Ionescu, T.-S.; Radulescu, S.; Florea, R.; Baraitareanu, S.; Danes, D. Vector-Borne Pathogens-Testing in a Romanian Canine Blood Bank. CBU Int. Conf. Proc. 2018, 6, 904–911. [Google Scholar] [CrossRef]
- Kohn, B.; Galke, D.; Beelitz, P.; Pfister, K. Clinical Features of Canine Granulocytic Anaplasmosis in 18 Naturally Infected Dogs. J. Vet. Intern. Med. 2008, 22, 1289–1295. [Google Scholar] [CrossRef]
- Walder, G.; Fuchs, D.; Sarcletti, M.; Berek, K.; Falkensammer, B.; Huber, K.; Petrovec, M.; Dierich, M.P.; Würzner, R. Human granulocytic anaplasmosis in Austria: Epidemiological, clinical, and laboratory findings in five consecutive patients from Tyrol, Austria. Int. J. Med. Microbiol. 2006, 296, 297–301. [Google Scholar] [CrossRef]
- Yancey, C.B.; Diniz, P.P.V.P.; Breitschwerdt, E.B.; Hegarty, B.C.; Wiesen, C.; Qurollo, B.A. Doxycycline treatment efficacy in dogs with naturally occurring Anaplasma phagocytophilum infection. J. Small Anim. Pract. 2018, 59, 286–293. [Google Scholar] [CrossRef]
- VETSCAN® Flex4 Rapid Test. Available online: https://www.zoetisus.com/products/diagnostics/rapid-tests/vetscan-flex4 (accessed on 3 October 2023).
- SNAP 4DX Plus IDEXX. Available online: https://www.idexx.com/en/veterinary/snap-tests/snap-4dx-plus-test/ (accessed on 3 October 2023).
- O’Connor, T.P. SNAP Assay Technology. Top. Companion Anim. Med. 2015, 30, 132–138. [Google Scholar] [CrossRef][Green Version]
- Ramos, R.A.N.; Latrofa, M.S.; Giannelli, A.; Lacasella, V.; Campbell, B.E.; Dantas-Torres, F.; Otranto, D. Detection of Anaplasma platys in dogs and Rhipicephalus sanguineus group ticks by a quantitative Real-Time PCR. Vet. Parasitol. 2014, 205, 285–288. [Google Scholar] [CrossRef]
- Courtney, J.W.; Kostelnik, L.M.; Zeidner, N.S.; Massung, R.F. Multiplex Real-Time PCR for Detection of Anaplasma phagocytophilum and Borrelia burgdorferi. J. Clin. Microbiol. 2004, 42, 3164–3168. [Google Scholar] [CrossRef]


| Species | Primer/Probe | Sequence 5′–3′ | Concentrations | References |
|---|---|---|---|---|
| A. platys | EP-963F | CGCAGTTCGGCTGGATCT | 400 nM | [53] |
| EP-1029R | CCCAACATCTCACGACACGA | 400 nM | ||
| EP16Sp | FAM-TGACGACAGCCATGCAGCACCTG | 140 nM | ||
| A. phagocytophilum | ApMSP2F | ATGGAAGGTAGTGTTGGTTATGGTATT | 900 nM | [54] |
| ApMSP2R | TTGGTCTTGAAGCGCTCGTA | 900 nM | ||
| ApMSP2p | FAM-TGGTGCCAGGGTTGAGCTTGAGATTG | 125 nM |
Disclaimer/Publisher’s Note: The statements, opinions and data contained in all publications are solely those of the individual author(s) and contributor(s) and not of MDPI and/or the editor(s). MDPI and/or the editor(s) disclaim responsibility for any injury to people or property resulting from any ideas, methods, instructions or products referred to in the content. |
© 2023 by the authors. Licensee MDPI, Basel, Switzerland. This article is an open access article distributed under the terms and conditions of the Creative Commons Attribution (CC BY) license (https://creativecommons.org/licenses/by/4.0/).
Share and Cite
Martinescu, G.-V.; Ivănescu, L.; Ștefănescu, R.; Andronic, L.; Mătiuț, S.; Mîndru, R.; Solcan, G.; Miron, L. Strategies for the Diagnosis of Granulocytic Anaplasmosis in Two Naturally Infected Dogs. Animals 2024, 14, 49. https://doi.org/10.3390/ani14010049
Martinescu G-V, Ivănescu L, Ștefănescu R, Andronic L, Mătiuț S, Mîndru R, Solcan G, Miron L. Strategies for the Diagnosis of Granulocytic Anaplasmosis in Two Naturally Infected Dogs. Animals. 2024; 14(1):49. https://doi.org/10.3390/ani14010049
Chicago/Turabian StyleMartinescu, Gabriela-Victoria, Larisa Ivănescu, Raluca Ștefănescu, Lavinia Andronic, Simona Mătiuț, Raluca Mîndru, Gheorghe Solcan, and Liviu Miron. 2024. "Strategies for the Diagnosis of Granulocytic Anaplasmosis in Two Naturally Infected Dogs" Animals 14, no. 1: 49. https://doi.org/10.3390/ani14010049
APA StyleMartinescu, G.-V., Ivănescu, L., Ștefănescu, R., Andronic, L., Mătiuț, S., Mîndru, R., Solcan, G., & Miron, L. (2024). Strategies for the Diagnosis of Granulocytic Anaplasmosis in Two Naturally Infected Dogs. Animals, 14(1), 49. https://doi.org/10.3390/ani14010049

