Morphology, Histology, and Histochemistry of the Digestive Tract of the Marbled Flounder Pseudopleuronectes yokohamae
Simple Summary
Abstract
1. Introduction
2. Materials and Methods
2.1. Specimens
2.2. Histochemistry
2.3. Immunohistochemistry
2.4. Statistical Analysis
3. Results
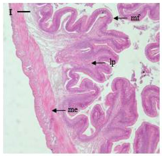
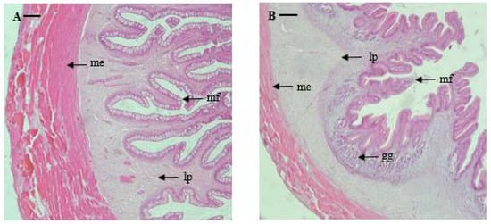
3.1. Histological Characteristics of the Digestive Tract
3.2. Distribution and Characteristics of Goblet Cells
3.3. Distribution and Characteristics of CCK-Producing Cells
4. Discussion
5. Conclusions
Author Contributions
Funding
Institutional Review Board Statement
Informed Consent Statement
Data Availability Statement
Acknowledgments
Conflicts of Interest
References
- Ray, A.K.; Ringø, E. Chapter 1: The gastrointestinal tract of fish. In Aquaculture Nutrition: Gut Health, Probiotics and Prebiotics; John Wiley and Sons: Hoboken, NJ, USA, 2014; pp. 1–13. [Google Scholar]
- Kirschbaum, F.; Formicki, K. Digestive System. The Histology of Fishes; CRC Press LLC: Boca Raton, FL, USA, 2019; pp. 88–115. [Google Scholar]
- Rønnestad, I.; Yúfera, M.; Ueberschär, B.; Ribeiro, L.; Sæle, Ø.; Boglione, C. Feeding behaviour and digestive physiology in larvae fish: Current knowledge, and gaps and bottlenecks in research. Rev. Aquac. 2013, 5, S59–S98. [Google Scholar] [CrossRef]
- Pena, R.; Dumas, S.; Villalejo-Fuerte, M.; Ortiz-Galindo, J.L. Ontogenetic development of the digestive tract in reared spotted sand bass Paralabrax maculatofasciatus larvae. Aquaculture 2003, 219, 633–644. [Google Scholar] [CrossRef]
- Wegner, A.; Ostaszewska, T.; Rożek, W. The ontogenetic development of the digestive tract and accessory glands of sterlet (Acipenser ruthenus L.) larvae during endogenous feeding. Rev. Fish Biol. Fish. 2009, 19, 431–444. [Google Scholar] [CrossRef]
- Ostaszewska, T.; Krajnik, K.; Adamek-Urbanska, D.; Kasprzak, R.; Rzepkowska, M.; Luczynski, M.; Karczewska, A.T.; Dabrowski, K. Effect of feeding strategy on digestive tract morphology and physiology of lake whitefish (Coregonus lavaretus). Aquaculture 2018, 497, 32–41. [Google Scholar] [CrossRef]
- Lipscomb, T.N.; Yanong, R.P.; Ramee, S.W.; DiMaggio, M.A. Histological, histochemical and biochemical characterization of larval digestive system ontogeny in black tetra Gymnocorymbus ternetzi to inform aquaculture weaning protocols. Aquaculture 2020, 520, 734957. [Google Scholar] [CrossRef]
- Alves, A.P.C.; Pereira, R.T.; Rosa, P.V. Morphology of the digestive system in carnivorous freshwater dourado Salminus brasiliensis. J. Fish Biol. 2021, 99, 1222–1235. [Google Scholar] [CrossRef]
- Carrassón, M.; Grau, A.; Dopazo, L.R.; Crespo, S. A histological, histochemical and ultrastructural study of the digestive tract of Dextex dextex (Pisces, Sparidae). Histol. Histopathol. 2006, 21, 579–593. [Google Scholar]
- Wilson, J.M.; Castro, L.F.C. Morphological diversity of the gastrointestinal tract in fishes. In Fish Physiology: The Multifunctional Gut of Fish; Grosell, M., Farrell, A.P., Brauner, C.J., Eds.; Academic Press: San Diego, CA, USA, 2010; pp. 1–55. [Google Scholar]
- Buddington, R.K.; Krogdahl, Å. Hormonal regulation of the fish gastrointestinal tract. Comp. Biochem. Physiol. A 2004, 139, 261–271. [Google Scholar] [CrossRef]
- Collie, N.L.; Ferraris, R.P. Nutrient fluxes and regulation in fish intestine. In Biochemistry and Molecular Biology of Fishes, Metabolic Biochemistry; Hochachka, P.W., Mommsen, T., Eds.; Elsevier Science: New York, NY, USA, 1995; Volume Ⅳ, pp. 221–239. [Google Scholar]
- Takei, Y.; Loretz, C.A. The gastrointestinal tract as an endocrine/neuroendocrine/paracrine organ: Organization, chemical messengers and physiological targets. Fish Physiol. 2010, 30, 261–317. [Google Scholar]
- Won, E.T.; Borski, R.J. Endocrine regulation of compensatory growth in fish. Front. Endocrinol. 2013, 4, 74. [Google Scholar] [CrossRef]
- Miller, L.J.; Harikumar, K.G.; Wootten, D.; Sexton, P.M. Roles of cholecystokinin in the nutritional continuum. Physiology and potential therapeutics. Front. Endocrinol. 2021, 12, 684656. [Google Scholar] [CrossRef]
- Gustafsson, J.K.; Johansson, M.E.V. The role of goblet cells and mucus in intestinal homeostasis. Net. Rev. Gastroenterol. Hepatol. 2022, 19, 785–803. [Google Scholar] [CrossRef]
- Kim, I.S.; Youn, C.H. Taxonomic revision of the flounders (pisces: Pleuronectiformens) from Korea. Korean J. Ichthyol. 1994, 6, 99–131, (In Korean with English Abstract). [Google Scholar]
- Ji, H.S.; Kim, J.K.; Kim, B.J. Molecular phylogeny of the families Pleuronectidae and Poecilopsettidae (PISCES, Pleuronectiformes) from Korea, with a proposal for a new classification. Ocean Sci. J. 2016, 51, 299–304. [Google Scholar] [CrossRef]
- Hur, S.H.; Nam, K.M.; Park, J.M.; Jeong, J.M.; Baeck, G.W. Feeding habits of the mabled flounder, Peluronectes yokohamae in the Coastal waters off Tong-yeong. Korean J. Ichthyol. 2012, 24, 77–83, (In Korean with English Abstract). [Google Scholar]
- Hernández, D.R.; Pérez Gianeselli, M.; Domitrovic, H.A. Morphology, histology and histochemistry of the digestive system of south American catfish (Rhamdia quelen). Int. J. Morphol. 2009, 27, 105–111. [Google Scholar] [CrossRef]
- Cao, X.J.; Wang, W.M. Histology and mucin histochemistry of the digestive tract of yellow catfish, Pelteobagrus fulvidraco. Anat. Histol. Embryol. 2009, 38, 254–261. [Google Scholar] [CrossRef]
- Suvarva, S.K.; Layton, C.; Bancroft, J.D. Bancroft’s Theory and Practice of Histological Techniques, 7th ed.; Churchill Livingstone: London, UK, 2012. [Google Scholar]
- Al-Hussaini, A.H. The Feeding Habits and the Morphology of the Alimentary Tract of Some Teleosts Living in the Neighbourhood of the Marine Biological Station, Ghardaqa, Red Sea; Publications of the Marine Biology Station Ghardaga (Red Sea); Fouad I Univ. Press: Cairo, Egypt, 1947; p. 61. [Google Scholar]
- Dasgupta, M. Relative length of the gut of some freshwater fishes of West Benga in relation to food and feeding habits. Indian J. Fish. 2004, 51, 381–384. [Google Scholar]
- Roh, T.H.; Choi, D.H.; Lee, S.H.; Kwon, D.H.; Han, K.H.; Kim, M. J Feeding habits of the marbled flounder Pseudopleuronectes yokohamae in the West Sea in Korea. Korean J. Fish. Aquat. Sci. 2022, 55, 583–589, (In Korean with English Abstract). [Google Scholar]
- Park, J.Y.; Kim, I.S. Histology and mucin histochemistry of the gastrointestinal tract of the mud loach, in relation to respiration. J. Fish Biol. 2001, 58, 861–872. [Google Scholar] [CrossRef]
- Germano, R.M.; Stabille, S.R.; Mari, R.B.; Pereira, J.N.B.; Faglioni, J.R.S.; Miranda Neto, M.H. Morphological characteristics of the Pterodoras granulosus digestive tuve (Valenciennes, 1821) (Osteichthyes, Doradidae). Acta Zool. 2014, 95, 166–175. [Google Scholar] [CrossRef]
- Matheus, V.A.; Faccioli, C.K.; Chedid, R.A.; Senhorini, J.A.; Franceschini-Vicentini, I.B.; Vicentini, C.A. Morphological and histochemical features of the digestive tract of Leiarius marmoratus (Gill, 1870). J. Fish Biol. 2021, 99, 1622–1631. [Google Scholar] [CrossRef]
- Løkka, G.; Austbø, L.; Falk, K.; Bjerkås, I.; Koppang, E.O. Intestinal morphology of the wild Atlantic salmon (Salmo salar). J. Morphol. 2013, 274, 859–876. [Google Scholar] [CrossRef]
- Hur, S.W.; Kim, S.K.; Kim, D.J.; Lee, B.I.; Park, S.J.; Hwang, H.G.; Jun, J.C.; Myeong, J.I.; Leem, C.H.; Leem, Y.D. Digestive physiological characteristics of the Gobiidae—Characteristics of CCK-producing cells and mucus-secreting goblet cells of stomach fish and stomachless fish. Dev. Reprod. 2016, 20, 207–217. [Google Scholar] [CrossRef]
- Cho, J.H.; Park, J.W.; Lee, B.J.; Kim, K.W.; Hur, S.W. Low extrusion pressure and small feed particle size improve the growth performance and digestive physiology of rockfish (Sebastes shclegeli). Aquaculture 2023, 566, 739199. [Google Scholar] [CrossRef]
- Lee, J.S.; Chin, P. Morphology and histology of the digestive tract of the black sea bream, Acanthopagrus shcelegeli. J. Korean Fish. Soc. 1999, 32, 642–648, (In Korean with English Abstract). [Google Scholar]
- Banan Khojasteh, S.M. The morphology of the post-gastric alimentary canal in teleost fishes: A brief review. Int. J. Aquat. Sci. 2012, 3, 71–88. [Google Scholar]
- Hossain, A.M.; Dutta, H.M. Phylogeny, Ontogeny, Structure and Function of Digestive Tract Appendages (Caeca) in Teleost Fish. In Fish Morphology: Horizons of New Research; Datta-Munshi, J.S., Dutta, M.H., Eds.; Taylor & Francis Inc.: London, UK, 1996. [Google Scholar]
- Faccioli, C.K.; Chedid, R.A.; do Amaral, A.C.; Vicentini, I.B.F.; Vicentini, C.A. Morphology and histochemistry of the digestive tract in carnivorous freshwater Hemisorubim platyrhynchos (Siluriformes: Pimelodidae). Micron 2014, 64, 10–19. [Google Scholar] [CrossRef]
- Diaz, A.O.; Escalante, A.H.; Garcia, A.M.; Goldemberg, A.L. Histology and histochemistry of the pharyngeal cavity and oesophagus of the silverside Odontesthes bonariensis (Cuvier and Valencienns). Ant. Histol. Embryol. 2006, 35, 42–46. [Google Scholar] [CrossRef]
- Kalhoro, H.; Tong, S.; Wang, L.; Hua, Y.; Volatiana, J.A.; Shao, Q. Morphological study of the gastrointestinal tract of Larimichthys crocea (Acanthopterygil: Perciformes). Zoologia 2018, 35, 1–9. [Google Scholar] [CrossRef]
- Okuthe, G.E.; Bhomela, B. Morphology, histology and histochemistry of the digestive tract of the Banded tilapia, Tilapia sparrmanii (Perciformes: Cichlidae). Zoologia 2021, 37, 1–14. [Google Scholar] [CrossRef]
- Hur, S.W.; Lee, C.H.; Lee, S.H.; Kim, B.H.; Kim, H.B.; Baek, H.J.; Lee, Y.D. Characterization of cholecystokinin-producing cells and mucus-secreting goblet cells in the blacktip grouper, Epinephelus fasciatus. Tissue Cell 2013, 45, 153–157. [Google Scholar] [CrossRef]
- Ku, S.K.; Lee, J.H.; Lee, H.S. Immunohistochemical study on the endocrine cells in gut of the stomachless teleost, Zacco platypus (Cyprinidae). Anat. Histol. Embtyol. 2004, 33, 212–219. [Google Scholar] [CrossRef]
- Vigliano, F.A.; Muñoz, L.; Hernández, D.; Cerutti, P.; Bermúdez, R.; Quiroga, M.I. Immunohistochemical study on the gut neuroendocrine system of juvenile pejerrey (Odontesthes bonariensis). J. Fish Biol. 2011, 78, 901–911. [Google Scholar] [CrossRef]
- Murashita, K.; Fukada, H.; Hosokawa, H.; Matsumoto, T. Changes in cholecystokinin and peptide Y gene expression with feeding in yellowtail (Seriola quinqueradiata): Relation to pancreatic exocrine regulation. Comp. Biochem. Physiol. B Biochem. Mol. Biol. 2007, 146, 318–325. [Google Scholar] [CrossRef]
- Kurokawa, T.; Suzuki, T.; Andoh, T. Development of cholecystokinin and pancreatic polypeptide endocrine systems during the larval stage of Japanese flounder, Paralichthys olivaceus. Gen. Comp. Endocrinol. 2000, 120, 8–16. [Google Scholar] [CrossRef]
- Kamisaka, Y.; Totland, G.K.; Tagawa, M.; Kurokawa, T.; Suzuki, T.; Tanaka, M.; Ronnestad, I. Ontogeny of cholecystokinin-immunoreactive cells in the digestive tract of Atlantic halibut, Hippoglossus hippoglossus, larvae. Gen. Comp. Endocrinol. 2001, 123, 31–37. [Google Scholar] [CrossRef]
- Hernández, D.R.; Vigliano, F.A.; Sánchez, S.; Bermúdez, R.; Domitrovic, H.A.; Quiroga, M.I. Neuroendocrine system of the digestive tract in Rhamdia quelen juvenile: An immunohistochemical study. Tissue Cell 2012, 44, 220–226. [Google Scholar] [CrossRef]
- Pereira, R.T.; Costa, L.S.; Oliveira, I.R.C.; Araújo, J.C.; Aerts, M.; Vigliano, F.A. Relative distribution of gastrin-, CCK-8-, NPY- and CGRP-immunoreactive cells in the digestive tract of dorado (Salminus brasiliensis). Tissue Cell 2015, 47, 123–131. [Google Scholar] [CrossRef]
- Barrios, C.E.; Santinón, J.J.; Domitrovic, H.A.; Sánchez, S.; Hernández, D.R. Localization and distribution of CCK-8, NPY, Leu-ENK-, and ghrelin- in the digestive tract of Prochilodus lineatus (Valenciennes, 1836). An. Acad. Bras. Cienc. 2020, 92, e20181165. [Google Scholar] [CrossRef]
- Jensen, H.; Rourke, I.J.; Moller, M.; Jonson, L.; Johnsen, A.H. Identification and distribution of CCK-related pepteides and mRNAs in the rainbow trout, Oncorhynchus mykiss. BBA-Mol. Cell Res. 2001, 1517, 190–201. [Google Scholar]
- Lin, X.; Wang, P.; Ou, Y.; Li, J.; Wen, J. An immunohistochemical study on endocrine cells in the neuroendocrine system of the digestive stract of milkfish Chanos chanos (Forsskal, 1775). Aquac. Res. 2017, 48, 1439–1449. [Google Scholar] [CrossRef]
- Volkoff, H. The neuroendocrine regulation of food intake in fish: A review of current knowledge. Front. Neurosci. 2016, 10, 540. [Google Scholar] [CrossRef]






| Marbled Flounder | |
|---|---|
| Sample number | 20 |
| Body length (cm) | 14.6 ± 0.5 |
| Body weight (g) | 56.6 ± 5.1 |
| Digestive tract length (cm) | 22.5 ± 2.0 |
| Relative length of the gut | 1.54 ± 0.10 |
| Muscularis Externa Thickness (μm) | Mucosal Fold Length (μm) | |
|---|---|---|
| Esophagus | 483.5 ± 23.1 | 1031.7 ± 26.0 |
| Cardiac stomach portion | 245.3 ± 31.8 | 1044.3 ± 90.4 |
| Fundic stomach portion | 150.1 ± 3.0 | 1383.3 ± 51.3 |
| Pyloric stomach portion | 603.5 ± 40.3 | 906.8 ± 45.0 |
| Pyloric caeca | 32.2 ± 1.2 | 669.4 ± 34.0 |
| Anterior intestine portion | 57.4 ± 8.6 | 630.7 ± 21.9 |
| Mid intestine portion | 50.9 ± 6.2 | 486.5 ± 20.2 |
| Posterior intestine portion | 70.4 ± 4.1 | 458.6 ± 34.1 |
| Rectum | 198.0 ± 10.8 | 859.5 ± 49.6 |
| Numbers/Tissue Section | ||
|---|---|---|
| Tissue Section | Goblet Cells | CCK-Producing Cells |
| Esophagus | 5743 ± 107 a | None |
| Cardiac stomach portion | None | None |
| Fundic stomach portion | None | None |
| Pyloric stomach portion | None | None |
| Pyloric caeca | 300 ± 32 c | 65 ± 6 a |
| Anterior intestine portion | 650 ± 86 c | 62 ± 3 a |
| Mid intestine portion | 528 ± 59 c | 13 ± 1 b |
| Posterior intestine portion | 467 ± 72 c | 8 ± 2 b |
| Rectum | 1943 ± 144 b | 4 ± 1 b |
Disclaimer/Publisher’s Note: The statements, opinions and data contained in all publications are solely those of the individual author(s) and contributor(s) and not of MDPI and/or the editor(s). MDPI and/or the editor(s) disclaim responsibility for any injury to people or property resulting from any ideas, methods, instructions or products referred to in the content. |
© 2023 by the authors. Licensee MDPI, Basel, Switzerland. This article is an open access article distributed under the terms and conditions of the Creative Commons Attribution (CC BY) license (https://creativecommons.org/licenses/by/4.0/).
Share and Cite
Cho, J.-H.; Park, J.W.; Ryu, Y.-W.; Kim, K.-W.; Hur, S.-W. Morphology, Histology, and Histochemistry of the Digestive Tract of the Marbled Flounder Pseudopleuronectes yokohamae. Animals 2023, 13, 936. https://doi.org/10.3390/ani13050936
Cho J-H, Park JW, Ryu Y-W, Kim K-W, Hur S-W. Morphology, Histology, and Histochemistry of the Digestive Tract of the Marbled Flounder Pseudopleuronectes yokohamae. Animals. 2023; 13(5):936. https://doi.org/10.3390/ani13050936
Chicago/Turabian StyleCho, Jeong-Hyeon, Jin Woo Park, Yong-Woon Ryu, Kang-Woong Kim, and Sang-Woo Hur. 2023. "Morphology, Histology, and Histochemistry of the Digestive Tract of the Marbled Flounder Pseudopleuronectes yokohamae" Animals 13, no. 5: 936. https://doi.org/10.3390/ani13050936
APA StyleCho, J.-H., Park, J. W., Ryu, Y.-W., Kim, K.-W., & Hur, S.-W. (2023). Morphology, Histology, and Histochemistry of the Digestive Tract of the Marbled Flounder Pseudopleuronectes yokohamae. Animals, 13(5), 936. https://doi.org/10.3390/ani13050936

