Environmental and Nesting Variables Associated with Atlantic Leatherback Sea Turtle (Dermochelys coriacea) Embryonic and Hatching Success Rates in Grenada, West Indies
Abstract
Simple Summary
Abstract
1. Introduction
2. Materials and Methods
2.1. Nest Monitoring and Environmental Data Collection
2.2. Temperature Monitoring
2.3. Histopathology
2.4. Statistical Analysis
3. Results
3.1. Nesting Data and Environmental Variables
3.2. Temperature Monitoring
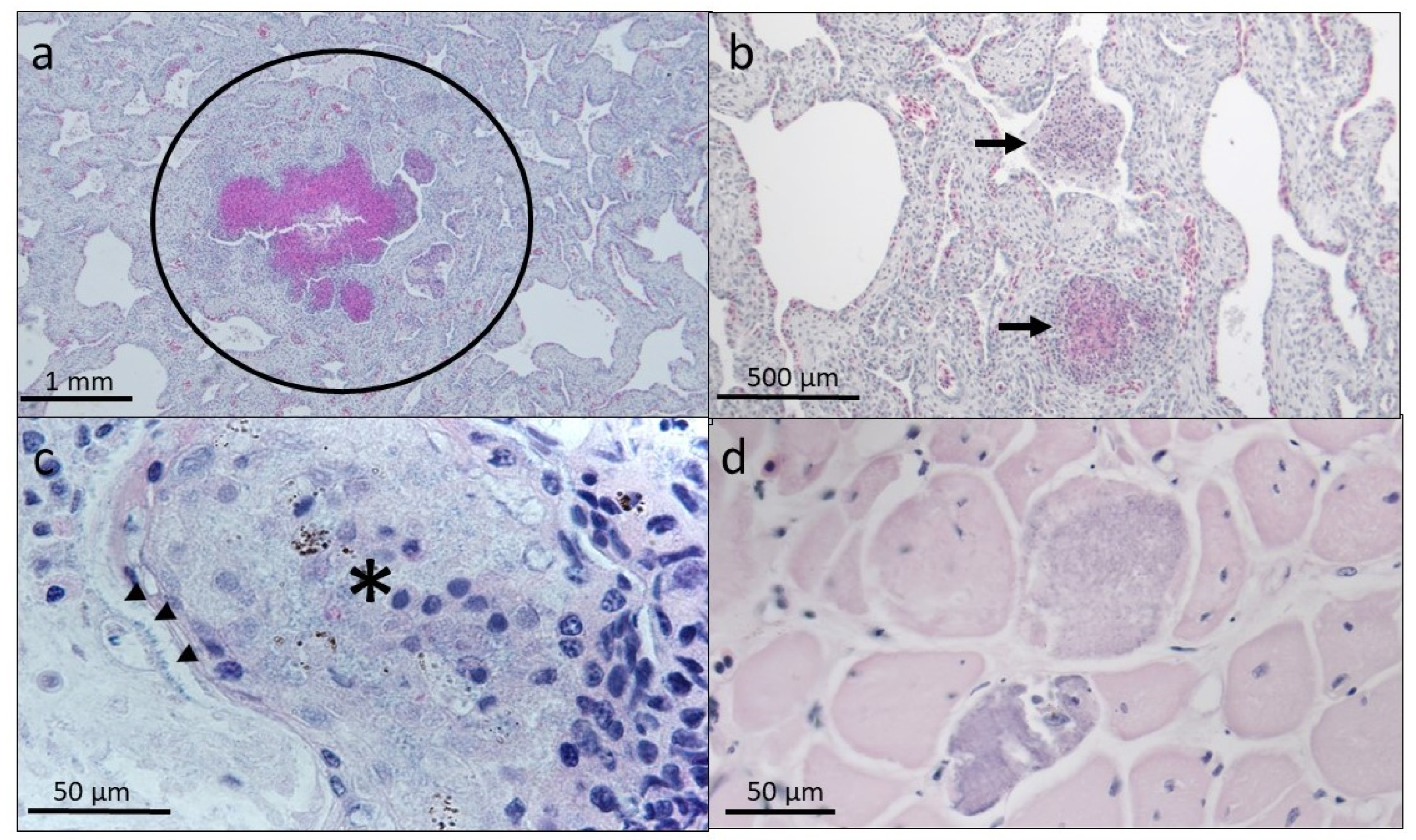
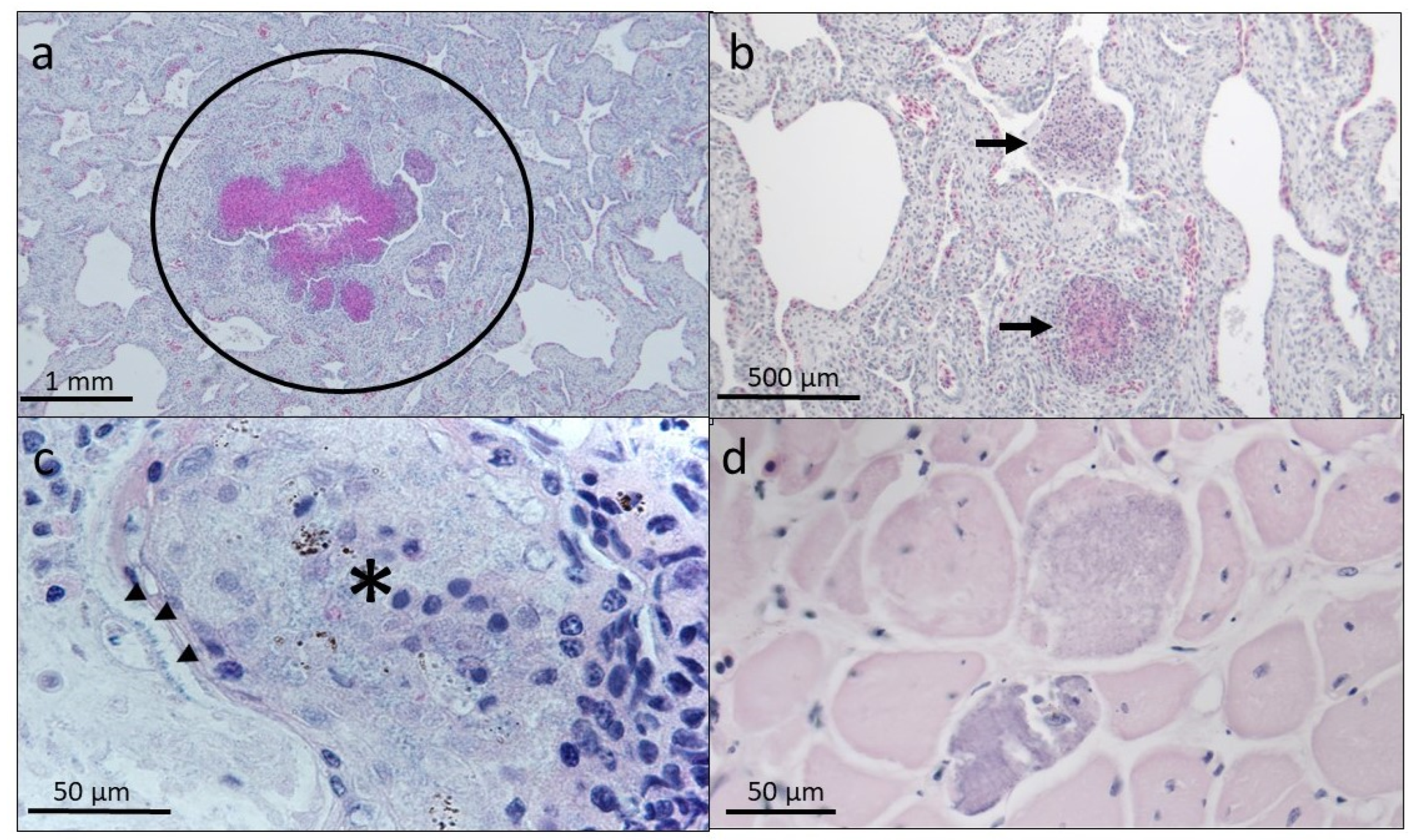
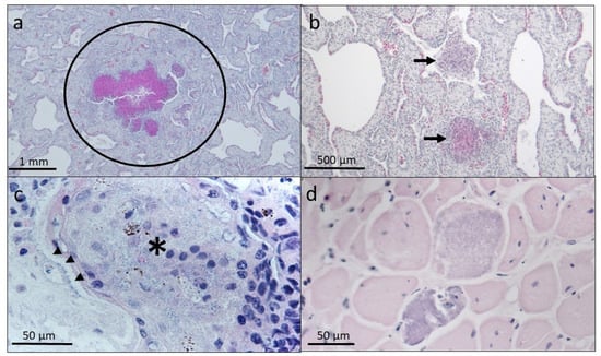
3.3. Histopathology
4. Discussion
5. Conclusions
Supplementary Materials
Author Contributions
Funding
Institutional Review Board Statement
Informed Consent Statement
Data Availability Statement
Acknowledgments
Conflicts of Interest
References
- Hilterman, M.L.; Goverse, E. Aspects of Nesting and Nest Success of the Leatherback Turtle (Dermochelys coriacea) in Suriname, 2002. Guianas Forests and Environmental Conservation Project (GFECP); Technical Report, World Wildlife Fund Guianas/Biotopic Foundation: Amsterdam, the Netherlands, 2003; 31p. [Google Scholar]
- Rafferty, A.R.; Tomillo, S.P.; Spotila, J.R.; Paladino, F.V.; Reina, R.D. Embryonic death is linked to maternal identity in the Leatherback turtle (Dermochelys coriacea). PLoS ONE 2011, 6, e21038. [Google Scholar] [CrossRef] [PubMed]
- Wallace, B.P.; DiMatteo, A.D.; Bolten, A.B.; Chaloupka, M.Y.; Hutchinson, B.J.; Abreu-Grobois, F.A.; Mortimer, J.A.; Seminoff, J.A.; Amorocho, D.; Bjorndal, K.A.; et al. Global conservation priorities for marine turtles. PLoS ONE 2011, 6, e24510. [Google Scholar] [CrossRef] [PubMed]
- Charles, K.E. (Ocean Spirits, Inc., Grenada, West Indies) Research and Monitoring of Grenada’s Sea Turtles: Summary; Ocean Spirits, Inc.: Grenada, West Indies, 2017; Unpublished work. [Google Scholar]
- Bell, B.A.; Spotila, J.R.; Paladino, F.V.; Reina, R.D. Low reproductive success of leatherback turtles, Dermochelys coriacea, is due to high embryonic mortality. Biol. Conserv. 2003, 115, 113–138. [Google Scholar] [CrossRef]
- Wallace, B.P.; Sotherland, P.R.; Spotila, J.R.; Reina, R.D.; Franks, B.F.; Paladino, F.V. Biotic and Abiotic factors affect the nest environment of embryonic Leatherback turtles, Dermochelys coriacea. Physiol. Biochem. Zool. 2004, 77, 423–432. [Google Scholar] [CrossRef]
- Eckert, K.L.; Wallace, B.P.; Frazier, J.G.; Eckert, S.A.; Pritchard, P.C.H. Synopsis of the Biological Data on the Leatherback Sea Turtle (Dermochelys coriacea); U.S. Department of Interior, Fish and Wildlife Service, Biological Technical Publication: Washington, DC, USA, 2012; BTP-R4015-2012. [Google Scholar]
- Choi, E.; Charles, K.E.; Charles, K.L.; Stewart, K.M.; Morrall, C.E.; Dennis, M.M. Leatherback sea turtle (Dermochelys coriacea) embryo and hatchling pathology in Grenada, with comparison to St. Kitts. Chelonian Conserv. Biol. 2020, 19, 111–123. [Google Scholar] [CrossRef]
- Tomillo, P.; Saba, V.S.; Blanco, G.S.; Stock, C.A.; Paladino, F.V.; Spotila, J.R. Climate driven egg and hatchling mortality threatens survival of Eastern Pacific leatherback turtles. PLoS ONE 2012, 7, e37602. [Google Scholar]
- Rafferty, A.R.; Johnstone, C.P.; Garner, J.A.; Reina, R.D. A 20-year investigation of declining leatherback hatching success: Implications of climate variation. R. Soc. Open Sci. 2017, 4, 170196. [Google Scholar] [CrossRef]
- Valverde, R.A.; Wingard, S.; Gómez, F.; Tordoir, M.T.; Orrego, C.M. Field lethal incubation temperature of olive ridley sea turtle Lepidochelys olivacea embryos at a mass nesting rookery. Endanger. Species Res. 2010, 12, 77–86. [Google Scholar] [CrossRef]
- Conrad, J.R.; Wyneken, J.; Garner, J.A.; Garner, S. Experimental study of dune vegetation impact and control on Leatherback Sea Turtle (Dermochelys coriacea) nests. Endanger. Species 2011, 115, 13–27. [Google Scholar] [CrossRef]
- Sarmiento-Ramirez, J.M.; Abella-Pérez, E.; Phillott, A.D.; Sim, J.; van West, P.; Martin, M.P.; Marco, A.; Dieguez-Uribeondo, J. Global distribution of two fungal pathogens threatening endangered sea turtles. PLoS ONE 2014, 9, e85853. [Google Scholar] [CrossRef]
- Siqueira-Silva, I.S.; Arantes, M.O.; Hackradt, C.W.; Schiavetti, A. Environmental and anthropogenic factors affecting nesting site selection by sea turtles. Mar. Environ. Res. 2020, 162, 105090. [Google Scholar] [CrossRef] [PubMed]
- Chen, H.C.; Cheng, I.J.; Hong, E. The influence of the beach environment on the digging success and nest site distribution of the green turtle, Chelonia mydas, on Wanan Island, Penghu Archipelago, Taiwan. J. Coast. Res. 2007, 23, 1277–1286. [Google Scholar] [CrossRef]
- Godfrey, M.H.; Barreto, R. Beach Vegetation and sea finding orientation of turtle hatchlings. Biol. Conserv. 1995, 74, 29–32. [Google Scholar] [CrossRef]
- Charles, K.E. (Ocean Spirits, Inc., Grenada, West Indies) Research and Monitoring of Grenada’s Sea Turtles: Summary; Ocean Spirits, Inc.: Grenada, West Indies, 2019; Unpublished work. [Google Scholar]
- Degregorio, B.A.; Williard, A.S. Incubation temperatures and metabolic heating of relocated and in situ Loggerhead sea turtle (Caretta caretta) nests at a northern rookery. Chelonian Conserv. Biol. 2011, 10, 54–61. [Google Scholar] [CrossRef]
- Staines, M.N.; Booth, D.T.; Limpus, C.J. Microclimatic effects on the incubation success, hatchling morphology and locomotor performance of marine turtles. Acta Oecologica 2019, 97, 49–56. [Google Scholar] [CrossRef]
- Chevalier, J.; Godfrey, M.H.; Girondot, M. Significant difference of temperature-dependent sex determination between French Guiana (Atlantic) and Playa Grande (Costa-Rica, Pacific) leatherbacks (Dermochelys coriacea). Ann. Des Sci. Nat.-Zool. Et Biol. Anim. 1999, 20, 147–152. [Google Scholar] [CrossRef]
- Mrosovsky, N. Sex ratios of sea turtles. J. Exp. Zool. 1994, 270, 16–27. [Google Scholar] [CrossRef]
- Sieg, A.E.; Binckley, C.A.; Wallace, B.P.; Santidrián Tomillo, P.; Reina, R.D.; Paladino, F.V.; Spotila, J.R. Sex ratios of leatherback turtles: Hatchery translocation decreases metabolic heating and female bias. Endang Species Res. 2011, 15, 195–204. [Google Scholar] [CrossRef]
- Jensen, M.P.; Allen, C.D.; Eguchi, T.; Bell, I.P.; LaCasella, E.L.; Hilton, W.A.; Hoff, C.A.M.; Dutton, P.H. Environmental warming and feminization of one of the largest sea turtle populations in the world. Curr. Biol. 2018, 28, 154–159. [Google Scholar] [CrossRef]
- NOAA National Centers for Environmental Information, State of the Climate: Global Climate Report for Annual 2020. Available online: https://www.ncdc.noaa.gov/sotc/global/202013 (accessed on 1 July 2022).
- Eckert, K.; Bjournal, K.; Abreu-Gobois, F.; Donnelly, M. Research and management techniques for the conservation of sea turtles. Chelonian Conserv. Biol. 1999, 3, 538. [Google Scholar]
- Tsoukali, S.; Visser, A.W.; MacKenzie, B.R. Functional responses of North Atlantic fish eggs to increasing temperature. MEPS 2016, 555, 151–165. [Google Scholar] [CrossRef]
- R: A Language and Environment for Statistical Computing. R Foundation for Statistical Computing, Vienna, Austria. Available online: https://www.R-project.org (accessed on 15 July 2022).
- Kamal, S.J.; Mrosovsky, N. Nest site selection in leatherbacks, Dermochelys coriacea: Individual patterns and their consequences. Anim. Behav. 2004, 68, 357–366. [Google Scholar] [CrossRef]
- Eckert, K.L.; Wallace, B.P.; Spotila, J.R.; Bell, B.A. Nesting ecology and reproductive investment of the leatherback turtle. In The Leatherback Turtle; Biology and Conservation; Spotila, J.R., Tomillo, P.S., Eds.; Johns Hopkins University Press: Baltimore, MD, USA, 2015; pp. 63–73. [Google Scholar]
- Binckly, C.A.; Spotila, J.R. Sex determination and hatchling sex ratios of the leatherback turtle. In The Leatherback Turtle; Biology and Conservation; Spotila, J.R., Tomillo, P.S., Eds.; Johns Hopkins University Press: Baltimore, MD, USA, 2015; pp. 63–73. [Google Scholar]
- Laloë, J.O.; Esteban, N.; Berkel, J.; Hays, G.C. Sand temperatures for nesting sea turtles in the Caribbean: Implications for hatchling sex ratios in the face of climate change. J. Exp. Mar. Biol. Ecol. 2016, 477, 92–99. [Google Scholar] [CrossRef]
- Hill, J.E.; Paladino, F.V.; Spotila, J.R.; Tomillo, P.S. Shading and watering as a tool to mitigate the impacts of climate change in sea turtle nests. PLoS ONE 2015, 10, e0129528. [Google Scholar] [CrossRef]
- Reboula, I.; Bootha, D.; Ruslib, Y. Artificial and natural shade: Implications for green turtle (Chelonia mydas) rookery management. Ocean. Coast. Manag. 2020, 204, 105521. [Google Scholar] [CrossRef]
- Blanck, C.E.; Sawyer, R.H. Hatchery practices in relation to early embryology of the loggerhead sea turtle, Caretta caretta (Linné). J. Exp. Mar. Biol. Ecol. 1981, 49, 163–177. [Google Scholar] [CrossRef]
- Martins, S.; Ferreira-Veiga, N.; Rodrigues, Z.; Querido, A.; de Santos Loureiro, N.; Freire, K.; Abella, E.; Oujo, C.; Marco, A. Hatchery efficiency as a conservation tool in threatened sea turtle rookeries with high embryonic mortality. Ocean. Coast. Manag. 2021, 212, 105807. [Google Scholar] [CrossRef]
- Ditmer, M.A.; Stapleton, S.P. Factors affecting hatch success of hawksbill sea turtles on Long Island, Antigua, West Indies. PLOS ONE 2012, 7, e38472. [Google Scholar] [CrossRef]
- Hoh, D.Z.; Lin, Y.F.; Sidique, S.N.M.; Tsai, I.J. Nest microbiota and pathogen abundance in sea turtle hatcheries. Fungal Ecol. 2020, 47, 100964. [Google Scholar] [CrossRef]
- Phillips, R.A.; Opitz, H.M. Pathogenicity and persistence of Salmonella enteritidis and egg contamination in normal and infectious bursal disease virus-infected leghorn chicks. Avian Dis. 1995, 39, 778–787. [Google Scholar] [CrossRef]
- Fulton, R.M. Causes of normal mortality in commercial egg-laying chickens. Avian Dis. 2017, 61, 289–295. [Google Scholar] [CrossRef] [PubMed]
- Hilf, M.; Wagner, R.A.; Yu, V.L. A prospective study of upper airway flora in healthy boid snakes and snakes with pneumonia. J. Zoo Wildl. Med. 1990, 21, 318–325. [Google Scholar]
- Al-Bahry, S.; Mahmoud, I.; Elshafie, A.; Al-Harthy, A.; Al-Ghafri, S.; Al-Amri, I.; Alkindi, A. Bacteria flora and antibiotic resistance from eggs of green turtles Chelonia mydas: An indication of polluted effluents. Mar. Pollut. Bull. 2009, 58, 720–725. [Google Scholar] [CrossRef] [PubMed]
- Soslau, G.; Spotila, J.R.; Chun, A.; Yi, S.; Weber, K.T. Potentially lethal bacteria in leatherback turtle eggs in the wild threatened both turtles and conservationists. J. Exp. Mar. Biol. Ecol. 2011, 410, 101–106. [Google Scholar] [CrossRef]
- Edwards, J.; Amadi, V.; Soto, E.; Jay-Russel, M.; Aminabadi, P.; Kenelty, K.; Charles, K.; Mistry, K.; Arya, G.; Nicholas, R.; et al. Prevalence and phenotypic characterization of Salmonella enterica isolates from three species of wild marine turtles in Grenada, West Indies. Vet. World 2021, 14, 222–229. [Google Scholar] [CrossRef]
- Miller, D.L.; Wyneken, J.; Rajeev, S.; Perrault, J.; Mader, D.R.; Weege, J.; Baldwin, C.A. Pathologic findings in hatchling and post hatchling leatherback sea turtles (Dermochelys coriacea) from Florida. J. Wildl. Dis. 2009, 45, 962–971. [Google Scholar] [CrossRef]
- Zieger, U.; Trelease, H.; Winkler, N.; Matthew, V.; Sharma, R.N. Bacterial contamination of leatherback turtle (Dermochelys coriacea) eggs and sand in nesting chambers at Levera Beach, Grenada, West Indies- a preliminary study. West Indian Vet. J. 2009, 9, 21–26. [Google Scholar]




| Year | Confirmed Nests | Number of Nests Excavated | Eggs per Nest | Eggs with Embryo Present per Nest | Hatched Eggs per Nest | Eggs with Microbial Growth per Nest | Eggs with Inspissated Yolk per Nest | Depth of Top of Egg Chamber (cm) | Depth of Bottom of Egg Chamber (cm) |
|---|---|---|---|---|---|---|---|---|---|
| 2015 | 967 | 94 | 77.6 ± 18.1 a | 45.5 ± 16.9 (59.7%) a | 35.2 ± 14.1 (47.5%) a | 6.3 ± 9.6 (8.1%) a | NA | 60.6 ± 10.0 a | 80.2 ± 11.3 a |
| 2016 | 915 | 99 | 79.9 ± 23.3 a | 32.6 ± 19.6 (39.8%) b | 23.2 ± 17.4 (30.5%) b | 3.6 ± 6.6 (4.2%) a | 0.7 ± 2.5 (0.7%) a | 50.6 ± 11.5 a | 77.0 ± 11.2 a |
| 2017 | 412 | 123 | 76.1 ± 24.5 a | 29.7 ± 20.3 (40.5%) b | 22.7 ± 15.2 (25.0%) b | 4.8 ± 7.4 (2.8%) a | 3.4 ± 9.3 (0.04%) b | 54.8 ± 14.5 a | 77.4 ± 14.6 a |
| 2018 | 609 | 49 | 90.9 ± 30.6 b | 31.4 ± 17.5 (36.4%) b | 24.1 ± 15.6 (28.8%) b | 3.7 ± 6.9 (4.2%) a | 5.1 ± 9.9 (0.1%) c | 46.2 ± 11.9 b | 68.4 ± 11.6 b |
| 2019 | 435 | 129 | 81.2 ± 20.9 a | 27.9 ± 17.1 (35.6%) b | 23.5 ± 16.5 (30.6%) b | 3.9 ± 10.4 (5.3%) a | 6.4 ± 10.9 (0.5%) c | 58.6 ± 12.3 a | 77.9 ± 10.4 a |
| Date Deployed | Mean and Min-Max Nest Temperature (°C) | Degree Days >35 °C | Mean TSD Period Nest Temp (°C) | Embryos Developed (%) | Hatched Eggs (%) | Eggs With Microbial Growth (%) | Eggs With Inspissated Yolk (%) | |
|---|---|---|---|---|---|---|---|---|
| Nest 1 | 30 March | 32.4, 28.3–36.1 | 6.3 | 31.4 | 52.3 | 31.8 | 0.0 | 1.0 |
| Nest 2 | 30 March | 30.3, 26.3–31.4 | 0.0 | 30.3 | 0.0 | 0.0 | 76.9 | 23.1 |
| Nest 3 | 31 March | 30.9, 28.9–32.9 | 0.0 | 30.6 | 51.0 | 46.1 | 2.9 | 26.5 |
| Nest 4 | 25 April | 33.4, 31.4–37.7 | 17.9 | 32.5 | 20.9 | 18.7 | 0.0 | 1.1 |
| Nest 5 | 25 April | 33.4, 28.4–38.8 | 18.7 | 32.6 | 27.5 | 22.5 | 0.0 | 1.3 |
| Nest 6 | 21 May | 32.7, 30.0–37.0 | 17.2 | 31.7 | 39.1 | 34.8 | 5.8 | 5.8 |
| Nest 7 | 21 May | 29.1, 27.0–35.7 | 3.0 | 31.8 | 49.5 | 49.5 | 0.0 | 1.0 |
Disclaimer/Publisher’s Note: The statements, opinions and data contained in all publications are solely those of the individual author(s) and contributor(s) and not of MDPI and/or the editor(s). MDPI and/or the editor(s) disclaim responsibility for any injury to people or property resulting from any ideas, methods, instructions or products referred to in the content. |
© 2023 by the authors. Licensee MDPI, Basel, Switzerland. This article is an open access article distributed under the terms and conditions of the Creative Commons Attribution (CC BY) license (https://creativecommons.org/licenses/by/4.0/).
Share and Cite
Charles, K.E.; Morrall, C.E.; Edwards, J.J.; Carter, K.D.; Afema, J.A.; Butler, B.P.; Marancik, D.P. Environmental and Nesting Variables Associated with Atlantic Leatherback Sea Turtle (Dermochelys coriacea) Embryonic and Hatching Success Rates in Grenada, West Indies. Animals 2023, 13, 685. https://doi.org/10.3390/ani13040685
Charles KE, Morrall CE, Edwards JJ, Carter KD, Afema JA, Butler BP, Marancik DP. Environmental and Nesting Variables Associated with Atlantic Leatherback Sea Turtle (Dermochelys coriacea) Embryonic and Hatching Success Rates in Grenada, West Indies. Animals. 2023; 13(4):685. https://doi.org/10.3390/ani13040685
Chicago/Turabian StyleCharles, Kate E., Clare E. Morrall, Jonnel J. Edwards, Kenrith D. Carter, Josephine A. Afema, Brian P. Butler, and David P. Marancik. 2023. "Environmental and Nesting Variables Associated with Atlantic Leatherback Sea Turtle (Dermochelys coriacea) Embryonic and Hatching Success Rates in Grenada, West Indies" Animals 13, no. 4: 685. https://doi.org/10.3390/ani13040685
APA StyleCharles, K. E., Morrall, C. E., Edwards, J. J., Carter, K. D., Afema, J. A., Butler, B. P., & Marancik, D. P. (2023). Environmental and Nesting Variables Associated with Atlantic Leatherback Sea Turtle (Dermochelys coriacea) Embryonic and Hatching Success Rates in Grenada, West Indies. Animals, 13(4), 685. https://doi.org/10.3390/ani13040685
