Adhesive Bowel Obstruction (ABO) in a Stranded Narrow-Ridged Finless Porpoise (Neophocaena asiaeorientalis sunameri)
Abstract
Simple Summary
Abstract
1. Introduction
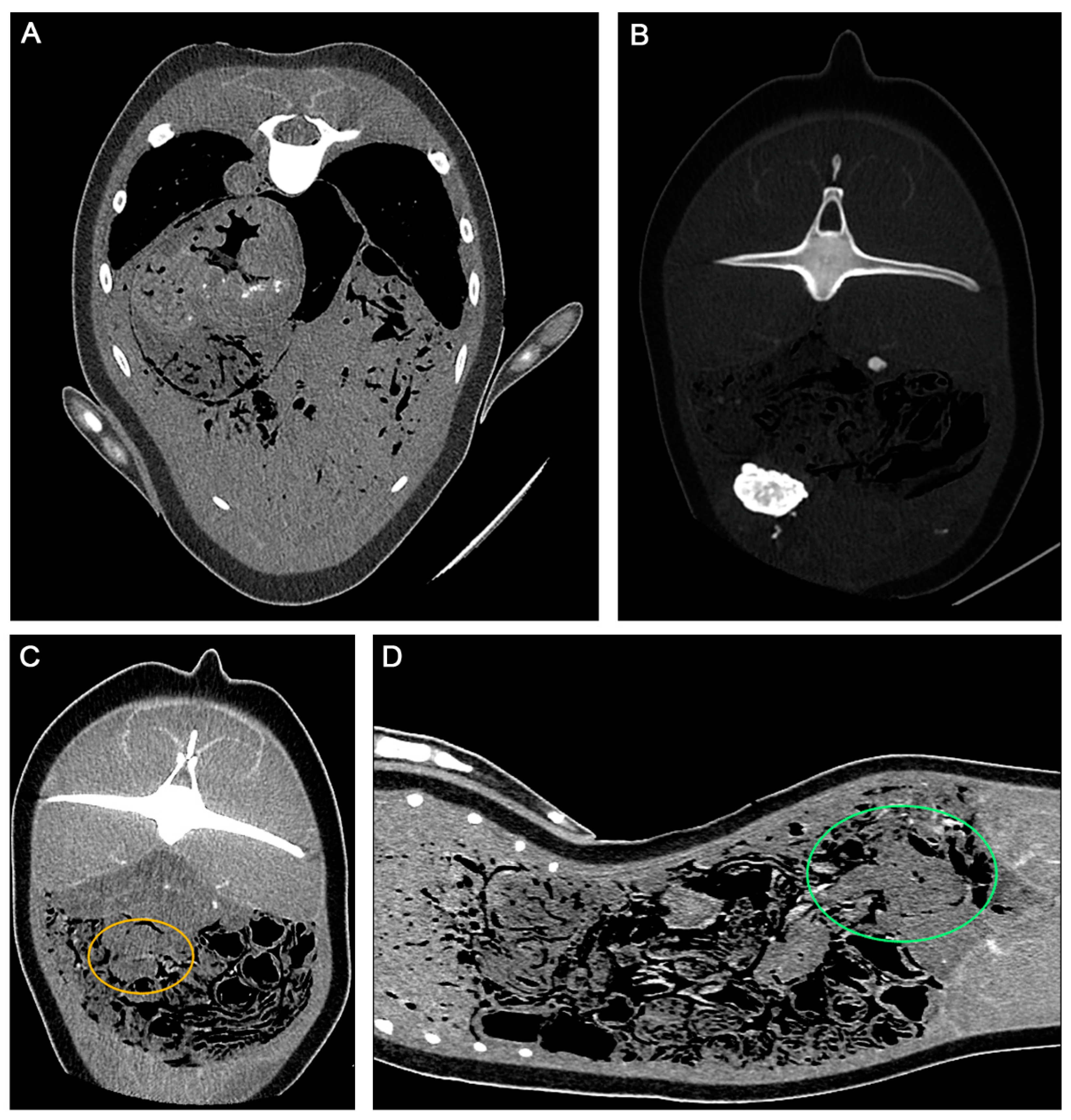
2. Case Description
3. Discussion
4. Conclusions
Author Contributions
Funding
Institutional Review Board Statement
Informed Consent Statement
Data Availability Statement
Acknowledgments
Conflicts of Interest
References
- Estes, J.A. (Ed.) Whales, Whaling, and Ocean Ecosystems; University of California Press: Berkeley, CA, USA, 2006. [Google Scholar]
- Begeman, L.; Leger, J.S.; Blyde, D.J.; Jauniaux, T.P.; Lair, S.; Lovewell, G.; Raverty, S.; Seibel, H.; Siebert, U.; Staggs, S.L.; et al. Intestinal volvulus in cetaceans. Vet. Pathol. 2012, 50, 590–596. [Google Scholar] [CrossRef]
- Cummings, C.O.; Pirie, G.; Sasaki, E.; Wakamatsu, N. Gastric dilatation-volvulus in two North American river otters (Lontra canadensis). Vet. Rec. Case Rep. 2021, 9, e96. [Google Scholar] [CrossRef]
- Rosenberg, J.F.; Haulena, M.; Bailey, J.E.; Hendrickson, D.A.; Ivančić, M.; Raverty, S.A. Emergency anesthesia and exploratory laparotomy in a compromised pacific white-sided dolphin (Lagenorhynchus obliquidens). J. Zoo Wildl. Med. 2017, 48, 581–585. [Google Scholar] [CrossRef]
- Anderson, H.F.; Rawson, A.J. Volvulus with necrosis of intestine in Stenella attenuata. Mar. Mammal Sci. 1997, 13, 147–149. [Google Scholar] [CrossRef]
- Scaglione, F.E.; Bollo, E.; Pregel, P.; Chiappino, L.; Sereno, A.; Mignone, W.; Guarda, F. Heart pathologies in dolphins stranded along the northwestern Italian coast. Dis. Aquat. Org. 2013, 107, 31–36. [Google Scholar] [CrossRef]
- Stallknecht, D.E. Impediments to Wildlife Disease Surveillance, Research, and Diagnostics. Wildlife and Emerging Zoonotic Diseases: The Biology, Circumstances and Consequences of Cross-Species Transmission; Springer: Berlin/Heidelberg, Germany, 2007; pp. 445–461. [Google Scholar]
- Ryser-Degiorgis, M.P. Wildlife health investigations: Needs, challenges and recommendations. BMC Vet. Res. 2013, 9, 223. [Google Scholar] [CrossRef] [PubMed]
- Yuen, A.H.L.; Kim, S.W.; Lee, S.B.; Lee, S.; Lee, Y.R.; Kim, S.M.; Poon, C.T.C.; Kwon, J.; Jung, W.J.; Giri, S.S.; et al. Radiological investigation of gas embolism in the East Asian finless porpoise (Neophocaena asiaeorientalis sunameri). Front. Mar. Sci. 2022, 9, 711174. [Google Scholar] [CrossRef]
- Yuen, A.H.L.; Lee, S.B.; Kim, S.W.; Lee, Y.M.; Kim, D.G.; Poon, C.T.C.; Seo, J.-P.; Baeck, G.W.; Kim, B.Y.; Park, S.C. Fatal upper aerodigestive tract obstruction in an East Asian finless porpoise (Neophocaena asiaeorientalis sunameri): Findings in post-mortem computed tomography. Forensic Sci. Med. Pathol. 2023, 19, 1–8. [Google Scholar] [CrossRef]
- Geraci, J.R.; Lounsbury, V.J. Marine Mammals Ashore: A Field Guide for Strandings; National Aquarium in Baltimore: Baltimore, MD, USA, 2005. [Google Scholar]
- Wan, X.L.; Zheng, J.S.; Li, W.X.; Zeng, X.Y.; Yang, J.W.; Hao, Y.J.; Wang, D. Parasitic infections in the East Asian finless porpoise Neophocaena asiaeorientalis sunameri living off the Chinese Yellow/Bohai Sea coast. Dis. Aquat. Org. 2017, 125, 63–71. [Google Scholar] [CrossRef]
- Kim, S.; Youn, H.; Lee, K.; Lee, H.; Kim, M.J.; Kang, Y.; Choe, S.; Georgieva, S. Novel morphological and molecular data for Nasitrema spp. (Digenea: Brachycladiidae) in the East Asian finless porpoise (Neophocaena asiaeorientalis sunameri). Front. Mar. Sci. 2023, 10, 1187451. [Google Scholar] [CrossRef]
- Lempereur, L.; Delobelle, M.; Doom, M.; Haelters, J.; Levy, E.; Losson, B.; Jauniaux, T. Crassicauda boopis in a fin whale (Balaenoptera physalus) ship-struck in the eastern North Atlantic Ocean. Parasitol. Open 2017, 3, e9. [Google Scholar] [CrossRef][Green Version]
- Ilić, T.; Debeljak, M.; Prodanović, R.; Bogunovic, D. Epizootiological and clinical significance of Stephanurus dentatus nematode in swine. Arch. Vet. Sci. 2022, 15, 5–19. [Google Scholar] [CrossRef]
- Menzies, D.; Ellis, H. Intestinal obstruction from adhesions--how big is the problem? Ann. R. Coll. Surg. Engl. 1990, 72, 60. [Google Scholar] [PubMed]
- Eggleston, R.B.; Mueller, P.E. Prevention and treatment of gastrointestinal adhesions. Vet. Clin. North Am. Equine Pract. 2003, 19, 741–763. [Google Scholar] [CrossRef] [PubMed]
- Hyun, J.E.; Han, H.J. Small Bowel Obstruction Induced by Concurrent Postoperative Intra-Abdominal Adhesions and Small Bowel Fecal Materials in a Young Dog. Vet. Sci. 2021, 8, 83. [Google Scholar] [CrossRef] [PubMed]
- Tong, J.W.V.; Lingam, P.; Shelat, V.G. Adhesive small bowel obstruction—An update. Acute Med. Surg. 2020, 7, e587. [Google Scholar] [CrossRef]
- Franklin, S.D.; Fierro, J.; Hysinger, E.B.; Phinizy, P.A.; Piccione, J. Hemosiderin-laden macrophages in bronchoalveolar lavage samples of children with bronchopulmonary dysplasia. J. Pediatr. 2023, 253, 79–85. [Google Scholar] [CrossRef]
- Byard, R.W.; Heath, K. Mesenteric fibrosis—A histologic marker of previous blunt abdominal trauma in early childhood. Int. J. Legal Med. 2010, 124, 71–73. [Google Scholar] [CrossRef]
- Azizi, H.; Nourani, H.; Moradi, A. Infestation and pathological lesions of some lymph nodes induced by Linguatula serrata nymphs in sheep slaughtered in Shahrekord Area (Southwest Iran). Asian Pac. J. Trop. Biomed. 2015, 5, 574–578. [Google Scholar] [CrossRef]
- Tatz, A.J.; Segev, G.; Steinman, A.; Berlin, D.; Milgram, J.; Kelmer, G. Surgical treatment for acute small intestinal obstruction caused by Parascaris equorum infection in 15 horses (2002–2011). Equine Vet. J. 2012, 44, 111–114. [Google Scholar] [CrossRef]
- Carvalho, V.L.; Bevilaqua, C.M.L.; Iñiguez, A.M.; Mathews-Cascon, H.; Ribeiro, F.B.; Pessoa, L.M.B.; de Lima Silva, F.J. Metazoan parasites of cetaceans off the northeastern coast of Brazil. Vet. Parasitol. 2010, 173, 116–122. [Google Scholar] [CrossRef] [PubMed]
- Díaz-Delgado, J.; Fernández, A.; Xuriach, A.; Sierra, E.; Bernaldo de Quirós, Y.; Mompeo, B.; Pérez, L.; Andrada, M.; Marigo, J.; Catão-Dias, J.L.; et al. Verminous arteritis due to Crassicauda sp. in Cuvier’s beaked whales (Ziphius cavirostris). Vet. Pathol. 2016, 53, 1233–1240. [Google Scholar] [CrossRef] [PubMed]
- Kang, D.B.; Oh, J.T.; Park, W.C.; Lee, J.K. Small bowel obstruction caused by acute invasive enteric anisakiasis. Korean J. Gastroenterol. 2010, 56, 192–195. [Google Scholar] [CrossRef]
- Sasaki, T.; Fukumori, D.; Matsumoto, H.; Ohmori, H.; Yamamoto, F. Small bowel obstruction caused by anisakiasis of the small intestine: Report of a case. Surg. Today. 2003, 33, 123–125. [Google Scholar] [CrossRef]
- Ishikura, H. Anisakis. Rinshou Syokaki Naika (Clin. Gastroenterol.) 1991, 6, 1052–1060. [Google Scholar]
- Caramello, P.; Vitali, A.; Canta, F.; Caldana, A.; Santi, F.; Caputo, A.; Lipani, F.; Balbiano, R. Intestinal localization of anisakiasis manifested as acute abdomen. Clin. Microbiol. Infect. 2003, 9, 734–737. [Google Scholar] [CrossRef][Green Version]
- Orusa, T.; Orusa, R.; Viani, A.; Carella, E.; Borgogno Mondino, E. Geomatics and EO data to support wildlife diseases assessment at landscape level: A pilot experience to map infectious keratoconjunctivitis in chamois and phenological trends in Aosta Valley (NW Italy). Remote Sens. 2020, 12, 3542. [Google Scholar] [CrossRef]
- Caravaggi, A.; Burton, A.C.; Clark, D.A.; Fisher, J.T.; Grass, A.; Green, S.; Hobaiter, C.; Hofmeester, T.R.; Kalan, A.K.; Rabaiotti, D.; et al. A review of factors to consider when using camera traps to study animal behavior to inform wildlife ecology and conservation. Conserv. Sci. Pract. 2020, 2, e239. [Google Scholar] [CrossRef]
- Ogawa, M.; Kimura, S.S. Variations in echolocation click characteristics of finless porpoise in response to day/night and absence/presence of vessel noise. PLoS ONE 2023, 18, e0288513. [Google Scholar] [CrossRef]
- Akyildiz, I.F.; Pompili, D.; Melodia, T. Underwater acoustic sensor networks: Research challenges. Ad Hoc Netw. 2005, 3, 257–279. [Google Scholar] [CrossRef]
- Stephenson, P.J. Technological advances in biodiversity monitoring: Applicability, opportunities and challenges. Curr. Opin. Environ. Sustain. 2020, 45, 36–41. [Google Scholar] [CrossRef]
- Hussey, N.E.; Kessel, S.T.; Aarestrup, K.; Cooke, S.J.; Cowley, P.D.; Fisk, A.T.; Harcourt, R.G.; Holland, K.N.; Iverson, S.J.; Kocik, J.F.; et al. Aquatic animal telemetry: A panoramic window into the underwater world. Science 2015, 348, 1255642. [Google Scholar] [CrossRef] [PubMed]
- Kimura, S.; Akamatsu, T.; Wang, K.; Wang, D.; Li, S.; Dong, S.; Arai, N. Comparison of stationary acoustic monitoring and visual observation of finless porpoises. J. Acoust. Soc. Am. 2009, 125, 547–553. [Google Scholar] [CrossRef] [PubMed]
- Gopireddy, D.R.; Soule, E.; Arif-Tiwari, H.; Sharma, S.; Kanmaniraja, D.; Jain, K.; Lall, C. Spectrum of CT findings related to bowel adhesions without bowel obstruction: A comprehensive imaging review. J. Clin. Imaging Sci. 2020, 10, 80. [Google Scholar] [CrossRef] [PubMed]
- Copello, J.M.; Bellazzi, G.; Cazenave, J.; Visser, I.N. Argentinean orca (Orcinus orca) as an umbrella species: Conservation & management benefits. In Contributions to the Global Management and Conservation of Marine Mammals; Editora Artemis: Curitiba, Brazil, 2021; pp. 1–27. [Google Scholar] [CrossRef]
- Tardin, R.H.; Chun, Y.; Jenkins, C.N.; Maciel, I.S.; Simão, S.M.; Alves, M.A.S. Environment and anthropogenic activities influence cetacean habitat use in southeastern Brazil. Mar. Ecol. Prog. 2019, 616, 197–210. [Google Scholar] [CrossRef]
- Parsons, E.C.M.; Baulch, S.; Bechshoft, T.; Bellazzi, G.; Bouchet, P.; Cosentino, A.M.; Godard-Codding, C.; Gulland, F.; Hoffmann-Kuhnt, M.; Hoyt, E.; et al. Key research questions of global importance for cetacean conservation. Endanger. Species Res. 2015, 27, 113–118. [Google Scholar] [CrossRef]
- Alava, J.J. Modeling the bioaccumulation and biomagnification potential of microplastics in a cetacean foodweb of the northeastern pacific: A prospective tool to assess the risk exposure to plastic particles. Front. Mar. Sci. 2020, 7, 566101. [Google Scholar] [CrossRef]
- Méndez-Fernandez, P.; Spitz, J.; Dars, C.; Dabin, W.; Mahfouz, C.; André, J.M.; Chouvelon, T.; Authier, M.; Caurant, F. Two cetacean species reveal different long-term trends for toxic trace elements in European Atlantic French waters. Chemosphere 2022, 294, 133676. [Google Scholar] [CrossRef]
- Lee, S.M.; Park, K.J.; Kim, B.Y.; Min, M.S.; Lee, H.; Lee, M.Y. Genetic diversity and population demography of narrow-ridged finless porpoises from South Korea on the basis of mitochondrial DNA variation: Implications for its conservation in East Asia. Mar. Mammal Sci. 2019, 35, 574–594. [Google Scholar] [CrossRef]



Disclaimer/Publisher’s Note: The statements, opinions and data contained in all publications are solely those of the individual author(s) and contributor(s) and not of MDPI and/or the editor(s). MDPI and/or the editor(s) disclaim responsibility for any injury to people or property resulting from any ideas, methods, instructions or products referred to in the content. |
© 2023 by the authors. Licensee MDPI, Basel, Switzerland. This article is an open access article distributed under the terms and conditions of the Creative Commons Attribution (CC BY) license (https://creativecommons.org/licenses/by/4.0/).
Share and Cite
Lee, S.B.; Yuen, A.H.L.; Lee, Y.M.; Kim, S.W.; Kim, S.; Poon, C.T.C.; Jung, W.J.; Giri, S.S.; Kim, S.G.; Jo, S.J.; et al. Adhesive Bowel Obstruction (ABO) in a Stranded Narrow-Ridged Finless Porpoise (Neophocaena asiaeorientalis sunameri). Animals 2023, 13, 3767. https://doi.org/10.3390/ani13243767
Lee SB, Yuen AHL, Lee YM, Kim SW, Kim S, Poon CTC, Jung WJ, Giri SS, Kim SG, Jo SJ, et al. Adhesive Bowel Obstruction (ABO) in a Stranded Narrow-Ridged Finless Porpoise (Neophocaena asiaeorientalis sunameri). Animals. 2023; 13(24):3767. https://doi.org/10.3390/ani13243767
Chicago/Turabian StyleLee, Sung Bin, Adams Hei Long Yuen, Young Min Lee, Sang Wha Kim, Sunmin Kim, Cherry Tsz Ching Poon, Won Joon Jung, Sib Sankar Giri, Sang Guen Kim, Su Jin Jo, and et al. 2023. "Adhesive Bowel Obstruction (ABO) in a Stranded Narrow-Ridged Finless Porpoise (Neophocaena asiaeorientalis sunameri)" Animals 13, no. 24: 3767. https://doi.org/10.3390/ani13243767
APA StyleLee, S. B., Yuen, A. H. L., Lee, Y. M., Kim, S. W., Kim, S., Poon, C. T. C., Jung, W. J., Giri, S. S., Kim, S. G., Jo, S. J., Park, J. H., Hwang, M. H., Seo, J.-p., Choe, S., Kim, B. Y., & Park, S. C. (2023). Adhesive Bowel Obstruction (ABO) in a Stranded Narrow-Ridged Finless Porpoise (Neophocaena asiaeorientalis sunameri). Animals, 13(24), 3767. https://doi.org/10.3390/ani13243767

