Non-12α-Hydroxylated Bile Acids Improve Piglet Growth Performance by Improving Intestinal Flora, Promoting Intestinal Development and Bile Acid Synthesis
Abstract
:Simple Summary
Abstract
1. Introduction
2. Materials and Methods
2.1. Animals, Diets and Treatments
2.2. Sample Collection and Preparation
2.3. Growth Performance and Nutrient Digestibility
2.4. Plasma Biochemical Analysis
2.5. Intestinal Morphology Analysis
2.6. Quantitative Real-Time PCR
2.7. 16S rDNA
2.8. Quantification of SCFAs
2.9. Statistical Analysis
3. Results
3.1. Effects of NBAs on the Growth Performance of Piglets
3.2. Effect of NBAs on Nutrient Digestibility in Piglets
3.3. Effects of NBAs on Blood Biochemistry of Piglets
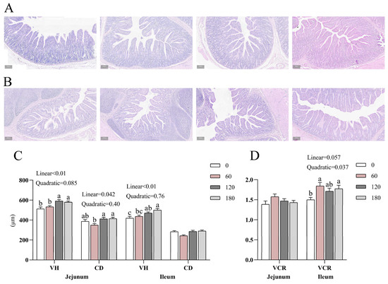
3.4. Effects of NBAs on Intestinal Morphology of Piglets
3.5. Effects of NBAs on Relative mRNA Abundance of BA Cycling-Related Genes
3.6. Effects of NBAs on Colon Microbiota
3.7. Effect of NBAs on KEGG Pathways of Colonic Flora
3.8. Effect of NBAs on SCFAs Content in Ileum
3.9. Regression Analysis
4. Discussion
5. Conclusions
Supplementary Materials
Author Contributions
Funding
Institutional Review Board Statement
Informed Consent Statement
Data Availability Statement
Conflicts of Interest
References
- Lewis, D.S.; Oren, S.; Wang, X.; Moyer, M.L.; Beitz, D.C.; Knight, T.J.; Mott, G.E. Developmental changes in cholesterol 7alpha- and 27-hydroxylases in the piglet. J. Anim. Sci. 2000, 78, 943–951. [Google Scholar] [CrossRef] [PubMed]
- Krogdahl, A. Digestion and Absorption of Lipids in Poultry. J. Nutr. 1985, 115, 675–685. [Google Scholar] [CrossRef]
- Poudel, P.; Samuel, R.; Levesque, C.; St-Pierre, B. Investigating the effects of peptide-based, MOS and protease feed additives on the growth performance and fecal microbial composition of weaned pigs. J. Anim. Sci. Biotechnol. 2022, 13, 25. [Google Scholar] [CrossRef] [PubMed]
- Zheng, X.; Chen, T.; Zhao, A.; Ning, Z.; Kuang, J.; Wang, S.; You, Y.; Bao, Y.; Ma, X.; Yu, H.; et al. Hyocholic acid species as novel biomarkers for metabolic disorders. Nat. Commun. 2021, 12, 1487. [Google Scholar] [CrossRef]
- Yang, B.; Huang, S.; Zhao, G.; Ma, Q. Dietary supplementation of porcine bile acids improves laying performance, serum lipid metabolism and cecal microbiota in late-phase laying hens. Anim. Nutr. 2022, 11, 283–292. [Google Scholar] [CrossRef]
- Liu, Y.; Azad, M.A.K.; Zhu, Q.; Yu, Z.; Kong, X. Dietary bile acid supplementation alters plasma biochemical and hormone indicators, intestinal digestive capacity, and microbiota of piglets with normal birth weight and intrauterine growth retardation. Front. Microbiol. 2022, 13, 1053128. [Google Scholar] [CrossRef] [PubMed]
- Haeusler, R.A.; Pratt-Hyatt, M.; Welch, C.L.; Klaassen, C.D.; Accili, D. Impaired Generation of 12-Hydroxylated Bile Acids Links Hepatic Insulin Signaling with Dyslipidemia. Cell Metab. 2012, 15, 65–74. [Google Scholar] [CrossRef]
- Hylemon, P.B.; Zhou, H.; Pandak, W.M.; Ren, S.; Gil, G.; Dent, P. Bile acids as regulatory molecules. J. Lipid Res. 2009, 50, 1509–1520. [Google Scholar] [CrossRef]
- Joyce, S.A.; MacSharry, J.; Casey, P.G.; Kinsella, M.; Murphy, E.F.; Shanahan, F.; Hill, C.; Gahan, C.G.M. Regulation of host weight gain and lipid metabolism by bacterial bile acid modification in the gut. Proc. Natl. Acad. Sci. USA 2014, 111, 7421–7426. [Google Scholar] [CrossRef]
- Kiriyama, Y.; Nochi, H. The Biosynthesis, Signaling, and Neurological Functions of Bile Acids. Biomolecules 2019, 9, 232. [Google Scholar] [CrossRef]
- Bai, G.; He, W.; Yang, Z.; Fu, H.; Qiu, S.; Gao, F.; Shi, B. Effects of different emulsifiers on growth performance, nutrient digestibility, and digestive enzyme activity in weanling pigs1. J. Anim. Sci. 2019, 97, 4235–4241. [Google Scholar] [CrossRef] [PubMed]
- Cai, J.; Rimal, B.; Jiang, C.; Chiang, J.Y.; Patterson, A.D. Bile acid metabolism and signaling, the microbiota, and metabolic disease. Pharmacol. Ther. 2022, 237, 108238. [Google Scholar] [CrossRef] [PubMed]
- Joyce, S.A.; Gahan, C.G. Bile Acid Modifications at the Microbe-Host Interface: Potential for Nutraceutical and Pharmaceutical Interventions in Host Health. Annu. Rev. Food Sci. Technol. 2016, 7, 313–333. [Google Scholar] [CrossRef] [PubMed]
- Qiu, Y.; Liu, S.; Hou, L.; Li, K.; Wang, L.; Gao, K.; Yang, X.; Jiang, Z. Supplemental Choline Modulates Growth Performance and Gut Inflammation by Altering the Gut Microbiota and Lipid Metabolism in Weaned Piglets. J. Nutr. 2021, 151, 20–29. [Google Scholar] [CrossRef] [PubMed]
- Sorrentino, G.; Perino, A.; Yildiz, E.; El Alam, G.; Bou Sleiman, M.; Gioiello, A.; Pellicciari, R.; Schoonjans, K. Bile Acids Signal via TGR5 to Activate Intestinal Stem Cells and Epithelial Regeneration. Gastroenterology 2020, 159, 956–968. [Google Scholar] [CrossRef] [PubMed]
- Gao, Y.; Meng, Q.; Qin, J.; Zhao, Q.; Shi, B. Resveratrol alleviates oxidative stress induced by oxidized soybean oil and improves gut function via changing gut microbiota in weaned piglets. J. Anim. Sci. Biotechnol. 2023, 14, 54. [Google Scholar] [CrossRef] [PubMed]
- Bai, G.; Jiang, X.; Qin, J.; Zou, Y.; Zhang, W.; Teng, T.; Shi, B.; Sun, H. Perinatal exposure to glyphosate-based herbicides impairs progeny health and placental angiogenesis by disturbing mitochondrial function. Environ. Int. 2022, 170, 107579. [Google Scholar] [CrossRef]
- Geng, S.; Zhang, Y.; Cao, A.; Liu, Y.; Di, Y.; Li, J.; Lou, Q.; Zhang, L. Effects of Fat Type and Exogenous Bile Acids on Growth Performance, Nutrient Digestibility, Lipid Metabolism and Breast Muscle Fatty Acid Composition in Broiler Chickens. Animals 2022, 12, 1258. [Google Scholar] [CrossRef]
- Lai, W.; Huang, W.; Dong, B.; Cao, A.; Zhang, W.; Li, J.; Wu, H.; Zhang, L. Effects of dietary supplemental bile acids on performance, carcass characteristics, serum lipid metabolites and intestinal enzyme activities of broiler chickens. Poult. Sci. 2018, 97, 196–202. [Google Scholar] [CrossRef]
- Cao, A.Z.; Lai, W.Q.; Zhang, W.W.; Dong, B.; Lou, Q.Q.; Han, M.M.; He, D.T.; Gai, X.R.; Sun, Y.B.; Zhang, L.Y. Effects of porcine bile acids on growth performance, antioxidant capacity, blood metabolites and nutrient digestibility of weaned pigs. Anim. Feed Sci. Tech. 2021, 276, 114931. [Google Scholar] [CrossRef]
- Guo, X.; Okpara, E.S.; Hu, W.; Yan, C.; Wang, Y.; Liang, Q.; Chiang, J.Y.L.; Han, S. Interactive Relationships between Intestinal Flora and Bile Acids. Int. J. Mol. Sci. 2022, 23, 8343. [Google Scholar] [CrossRef] [PubMed]
- Sato, H.; Macchiarulo, A.; Thomas, C.; Gioiello, A.; Une, M.; Hofmann, A.F.; Saladin, R.; Schoonjans, K.; Pellicciari, R.; Auwerx, J. Novel Potent and Selective Bile Acid Derivatives as TGR5 Agonists: Biological Screening, Structure−Activity Relationships, and Molecular Modeling Studies. J. Med. Chem. 2008, 51, 1831–1841. [Google Scholar] [CrossRef] [PubMed]
- Yoshio, A.; Akira, A.; Hiromichi, B.; Kouhei, Y.; Hisakazu, D.; Yasunobu, K.; Akihiko, H.; Yoshihide, F. The cytotoxicity of hydrophobic bile acids is ameliorated by more hydrophilic bile acids in intestinal cell lines IEC-6 and Caco-2. Oncol. Rep. 2003, 10, 1931–1936. [Google Scholar]
- Lai, W.; Cao, A.; Li, J.; Zhang, W.; Zhang, L. Effect of High Dose of Bile Acids Supplementation in Broiler Feed on Growth Performance, Clinical Blood Metabolites, and Organ Development. J. Appl. Poult. Res. 2018, 27, 532–539. [Google Scholar] [CrossRef]
- Delgado, M.E.; Grabinger, T.; Brunner, T. Cell death at the intestinal epithelial front line. FEBS J. 2016, 283, 2701–2719. [Google Scholar] [CrossRef] [PubMed]
- Ji, C.; Xie, X.; Yin, J.; Qi, W.; Chen, L.; Bai, Y.; Wang, N.; Zhao, D.; Jiang, X.; Jiang, H. Bile acid receptor TGR5 overexpression is associated with decreased intestinal mucosal injury and epithelial cell proliferation in obstructive jaundice. Transl. Res. 2017, 182, 88–102. [Google Scholar] [CrossRef] [PubMed]
- Dossa, A.Y.; Escobar, O.; Golden, J.; Frey, M.R.; Ford, H.R.; Gayer, C.P. Bile acids regulate intestinal cell proliferation by modulating EGFR and FXR signaling. Am. J. Physiol.-Gastr. L. 2016, 310, G81–G92. [Google Scholar] [CrossRef]
- Chiang, J.Y.L. Bile acids: Regulation of synthesis. J. Lipid Res. 2009, 50, 1955–1966. [Google Scholar] [CrossRef]
- Perino, A.; Demagny, H.; Velazquez-Villegas, L.; Schoonjans, K. Molecular physiology of bile acid signaling in health, disease, and aging. Physiol. Rev. 2021, 101, 683–731. [Google Scholar] [CrossRef]
- Ticho, A.L.; Malhotra, P.; Dudeja, P.K.; Gill, R.K.; Alrefai, W.A. Intestinal Absorption of Bile Acids in Health and Disease. Compr. Physiol. 2019, 10, 21–56. [Google Scholar]
- Schneider, K.M.; Albers, S.; Trautwein, C. Role of bile acids in the gut-liver axis. J. Hepatol. 2018, 68, 1083–1085. [Google Scholar] [CrossRef] [PubMed]
- Zhou, J.; Li, C.; Liu, Y.; Lin, S.; Wang, Y.; Xie, C.; Nan, F. Discovery of 9,11-Seco-Cholesterol Derivatives as Novel FXR Antagonists. ACS Omega 2022, 7, 17401–17405. [Google Scholar] [CrossRef] [PubMed]
- Ito, K.; Okumura, A.; Takeuchi, J.S.; Watashi, K.; Inoue, R.; Yamauchi, T.; Sakamoto, K.; Yamashita, Y.; Iguchi, Y.; Une, M.; et al. Dual Agonist of Farnesoid X Receptor and Takeda G Protein-Coupled Receptor 5 Inhibits Hepatitis B Virus Infection In Vitro and In Vivo. Hepatology 2021, 74, 83–98. [Google Scholar] [CrossRef] [PubMed]
- Kuang, J.; Wang, J.; Li, Y.; Li, M.; Zhao, M.; Ge, K.; Zheng, D.; Cheung, K.C.P.; Liao, B.; Wang, S.; et al. Hyodeoxycholic acid alleviates non-alcoholic fatty liver disease through modulating the gut-liver axis. Cell Metab. 2023, 35, 1752–1766. [Google Scholar] [CrossRef] [PubMed]
- Ridlon, J.M.; Alves, J.M.; Hylemon, P.B.; Bajaj, J.S. Cirrhosis, bile acids and gut microbiota: Unraveling a complex relationship. Gut Microbes 2013, 4, 382–387. [Google Scholar] [CrossRef] [PubMed]
- Ridlon, J.M.; Kang, D.J.; Hylemon, P.B. Bile salt biotransformations by human intestinal bacteria. J. Lipid Res. 2006, 47, 241–259. [Google Scholar] [CrossRef] [PubMed]
- Ringseis, R.; Gessner, D.K.; Eder, K. The Gut-Liver Axis in the Control of Energy Metabolism and Food Intake in Animals. Annu. Rev. Anim. Biosci. 2020, 8, 295–319. [Google Scholar] [CrossRef]
- Salminen, S.; Deighton, M. Lactic acid bacteria in the gut in normal and disordered states. Dig. Dis. 1992, 10, 227–238. [Google Scholar] [CrossRef]
- Davoren, M.J.; Liu, J.; Castellanos, J.; Rodríguez-Malavé, N.I.; Schiestl, R.H. A novel probiotic, Lactobacillus johnsonii 456, resists acid and can persist in the human gut beyond the initial ingestion period. Gut Microbes 2019, 10, 458–480. [Google Scholar] [CrossRef]
- Mack, D.R.; Ahrne, S.; Hyde, L.; Wei, S.; Hollingsworth, M.A. Extracellular MUC3 mucin secretion follows adherence of Lactobacillus strains to intestinal epithelial cells in vitro. Gut 2003, 52, 827–833. [Google Scholar] [CrossRef]
- Seth, A.; Yan, F.; Polk, D.B.; Rao, R.K. Probiotics ameliorate the hydrogen peroxide-induced epithelial barrier disruption by a PKC- and MAP kinase-dependent mechanism. Am. J. Physiol.-Gastrointest. Liver Physiol. 2008, 294, G1060–G1069. [Google Scholar] [CrossRef] [PubMed]
- Hooper, L. Bacterial contributions to mammalian gut development. Trends Microbiol. 2004, 12, 129–134. [Google Scholar] [CrossRef] [PubMed]
- Hooper, L.V.; Gordon, J.I. Commensal Host-Bacterial Relationships in the Gut. Science 2001, 292, 1115–1118. [Google Scholar] [CrossRef]
- XiaoFeng, C.; Xiangqi, C.; Xiaoqiang, T. Short-chain fatty acid, acylation and cardiovascular diseases. Clin. Sci. 2020, 134, 657–676. [Google Scholar]
- He, Q.; Zou, T.; Chen, J.; He, J.; Jian, L.; Xie, F.; You, J.; Wang, Z. Methyl-Donor Micronutrient for Gestating Sows: Effects on Gut Microbiota and Metabolome in Offspring Piglets. Front. Nutr. 2021, 8, 675640. [Google Scholar] [CrossRef] [PubMed]
- Cheng, Y.; Liu, J.; Ling, Z. Short-chain fatty acids-producing probiotics: A novel source of psychobiotics. Crit. Rev. Food Sci. Nutr. 2022, 62, 7929–7959. [Google Scholar] [CrossRef] [PubMed]
- Koh, A.; De Vadder, F.; Kovatcheva-Datchary, P.; Bäckhed, F. From Dietary Fiber to Host Physiology: Short-Chain Fatty Acids as Key Bacterial Metabolites. Cell 2016, 165, 1332–1345. [Google Scholar] [CrossRef]
- Flint, H.J.; Scott, K.P.; Louis, P.; Duncan, S.H. The role of the gut microbiota in nutrition and health. Nat. Rev. Gastroenterol. Hepatol. 2012, 9, 577–589. [Google Scholar] [CrossRef]
- Zhou, H.; Yu, B.; Sun, J.; Liu, Z.; Chen, H.; Ge, L.; Chen, D. Short-chain fatty acids can improve lipid and glucose metabolism independently of the pig gut microbiota. J. Anim. Sci. Biotechnol. 2021, 12, 61. [Google Scholar] [CrossRef]
- Zhou, H.; Sun, J.; Ge, L.; Liu, Z.; Chen, H.; Yu, B.; Chen, D. Exogenous infusion of short-chain fatty acids can improve intestinal functions independently of the gut microbiota. J. Anim. Sci. 2020, 98, skaa371. [Google Scholar] [CrossRef]
- Parada Venegas, D.; De la Fuente, M.K.; Landskron, G.; González, M.J.; Quera, R.; Dijkstra, G.; Harmsen, H.J.M.; Faber, K.N.; Hermoso, M.A. Short Chain Fatty Acids (SCFAs)-Mediated Gut Epithelial and Immune Regulation and Its Relevance for Inflammatory Bowel Diseases. Front. Immunol. 2019, 10, 277. [Google Scholar] [CrossRef]





| Items | NBAs Addition (mg/kg) | p-Value | ||||||
|---|---|---|---|---|---|---|---|---|
| 0 | 60 | 120 | 180 | SEM | ANOVA | Linear | Quadratic | |
| IW, kg | 10.13 | 10.17 | 10.13 | 10.05 | 0.068 | 0.97 | 0.69 | 0.78 |
| FW, kg | 22.95 a | 24.63 ab | 23.98 a | 26.28 b | 0.42 | 0.027 | <0.01 | 0.93 |
| ADFI, kg | 0.91 a | 0.93 ab | 0.93 ab | 1.07 b | 0.025 | 0.078 | 0.028 | 0.42 |
| ADG, kg | 0.45 a | 0.52 ab | 0.49 a | 0.58 b | 0.015 | 0.023 | <0.01 | 0.98 |
| F/G | 2.01 | 1.82 | 1.89 | 1.85 | 0.034 | 0.24 | 0.20 | 0.19 |
| Items | NBAs Addition (mg/kg) | p-Value | ||||||
|---|---|---|---|---|---|---|---|---|
| 0 | 60 | 120 | 180 | SEM | ANOVA | Linear | Quadratic | |
| GE, % | 83.29 | 83.45 | 83.14 | 82.20 | 0.50 | 0.84 | 0.44 | 0.70 |
| CP, % | 77.82 | 78.76 | 77.06 | 78.29 | 0.57 | 0.78 | 0.96 | 0.90 |
| EE, % | 72.46 a | 73.76 a | 75.84 b | 76.14 b | 0.48 | <0.01 | <0.01 | 0.14 |
| CF, % | 81.21 | 81.54 | 81.20 | 81.86 | 0.32 | 0.88 | 0.58 | 0.86 |
| OM, % | 80.38 | 81.68 | 81.73 | 81.93 | 0.26 | 0.13 | 0.04 | 0.14 |
| Items | NBAs Addition (mg/kg) | p-Value | ||||||
|---|---|---|---|---|---|---|---|---|
| 0 | 60 | 120 | 180 | SEM | ANOVA | Linear | Quadratic | |
| TBA (μmol/L) | 11.75 | 23.20 | 11.88 | 21.98 | 2.18 | 0.088 | 0.34 | 0.76 |
| TBIL (μmol/L) | 0.72 | 1.19 | 0.61 | 0.60 | 0.13 | 0.45 | 0.77 | 0.66 |
| ALP (IU/L) | 246.18 | 256.28 | 190.33 | 232.20 | 12.18 | 0.24 | 0.34 | 0.44 |
| GGT (IU/L) | 32.18 | 34.20 | 34.93 | 36.03 | 1.35 | 0.82 | 0.33 | 0.74 |
| BUN (mmol/L) | 1.76 | 1.97 | 2.53 | 2.75 | 0.16 | 0.065 | <0.01 | 0.61 |
| CREA (μmol/L) | 61.30 | 63.48 | 68.28 | 70.03 | 1.60 | 0.180 | 0.024 | 0.62 |
| BUN/CREA | 0.029 | 0.031 | 0.041 | 0.040 | 0.0022 | 0.11 | 0.025 | 0.37 |
| Items (mmol/kg) | NBAs Addition (mg/kg) | p-Value | ||||||
|---|---|---|---|---|---|---|---|---|
| 0 | 60 | 120 | 180 | SEM | ANOVA | Linear | Quadratic | |
| Acetic acid | 84.42 a | 115.45 c | 105.81 bc | 100.97 b | 3.12 | <0.01 | 0.16 | <0.01 |
| Propionic acid | 56.36 a | 68.99 b | 65.61 b | 66.43 b | 1.42 | <0.01 | 0.03 | <0.01 |
| Isobutyric acid | 2.91 a | 4.00 c | 3.69 bc | 3.57 b | 0.11 | <0.01 | 0.084 | <0.01 |
| Butyric acid | 23.23 a | 35.55 c | 30.46 b | 28.74 b | 1.26 | <0.01 | 0.33 | <0.01 |
| Isovaleric acid | 4.17 a | 5.85 b | 5.83 b | 5.45 b | 0.21 | <0.01 | 0.042 | <0.01 |
| Valeric acid | 7.18 a | 11.89 c | 10.06 bc | 8.62 ab | 0.50 | <0.01 | 0.59 | <0.01 |
| Items (Y) | Correlation |
|---|---|
| FW | y = 4.28 × 10−5x2 + 7.87 × 10−3x + 23.21 |
| ADG | y = 1.82 × 10−6x2 + 2.46 × 10−4x + 0.47 |
| ADFI | y = 8.02 × 10−6x2 −6.28 × 10−4x + 0.92 |
| EE | y = −6.91 × 10−5x2 + 0.03x + 72.33 |
| OM | y = 7.83 × 10−3x + 80.73 |
| BUN | y = 1.04 × 10−6x2 + 5.7 × 10−3x + 1.73 |
| CREA | y = 0.05x + 61.12 |
| BUN/CREA | y = 7.17 × 10−5x + 0.03 |
Disclaimer/Publisher’s Note: The statements, opinions and data contained in all publications are solely those of the individual author(s) and contributor(s) and not of MDPI and/or the editor(s). MDPI and/or the editor(s) disclaim responsibility for any injury to people or property resulting from any ideas, methods, instructions or products referred to in the content. |
© 2023 by the authors. Licensee MDPI, Basel, Switzerland. This article is an open access article distributed under the terms and conditions of the Creative Commons Attribution (CC BY) license (https://creativecommons.org/licenses/by/4.0/).
Share and Cite
Qin, J.; Wei, X.; Cao, M.; Shi, B. Non-12α-Hydroxylated Bile Acids Improve Piglet Growth Performance by Improving Intestinal Flora, Promoting Intestinal Development and Bile Acid Synthesis. Animals 2023, 13, 3380. https://doi.org/10.3390/ani13213380
Qin J, Wei X, Cao M, Shi B. Non-12α-Hydroxylated Bile Acids Improve Piglet Growth Performance by Improving Intestinal Flora, Promoting Intestinal Development and Bile Acid Synthesis. Animals. 2023; 13(21):3380. https://doi.org/10.3390/ani13213380
Chicago/Turabian StyleQin, Jianwei, Xinke Wei, Mingming Cao, and Baoming Shi. 2023. "Non-12α-Hydroxylated Bile Acids Improve Piglet Growth Performance by Improving Intestinal Flora, Promoting Intestinal Development and Bile Acid Synthesis" Animals 13, no. 21: 3380. https://doi.org/10.3390/ani13213380
APA StyleQin, J., Wei, X., Cao, M., & Shi, B. (2023). Non-12α-Hydroxylated Bile Acids Improve Piglet Growth Performance by Improving Intestinal Flora, Promoting Intestinal Development and Bile Acid Synthesis. Animals, 13(21), 3380. https://doi.org/10.3390/ani13213380

