Pathological Spectrum of Ovine Pulmonary Adenocarcinoma in Small Ruminants: A Focus on the Mixed Form
Abstract
:Simple Summary
Abstract
1. Introduction
2. Materials and Methods
2.1. Animals
2.2. Molecular Testing for Lesion-Associated Exogenous JSRV
2.3. Small Ruminant Lentivirus (SRLV) Testing
3. Results
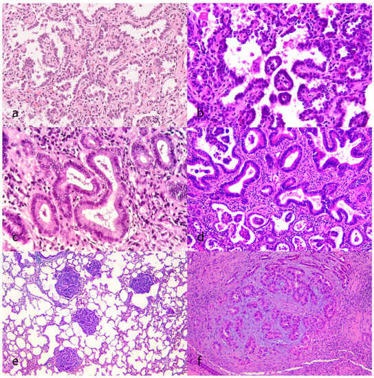
3.1. Pathology
3.2. Molecular Testing for Exogenous JSRV
3.3. MVV / SRLV Results
4. Discussion
5. Conclusions
Author Contributions
Funding
Institutional Review Board Statement
Informed Consent Statement
Data Availability Statement
Conflicts of Interest
References
- Sharp, J.M.; DeMartini, J.C. Natural history of JSRV in sheep. Curr. Top. Microbiol. Immunol. 2003, 275, 55–79. [Google Scholar] [PubMed]
- Palmarini, M.; Sharp, J.M.; de las Heras, M.; Fan, H. Jaagsiekte sheep retrovirus is necessary and sufficient to induce a contagious lung cancer in sheep. J. Virol. 1999, 73, 6964–6972. [Google Scholar] [CrossRef] [PubMed]
- De Las Heras, M.; Borobia, M.; Ortin, A. Neoplasia-Associated Wasting Diseases with Economic Relevance in the Sheep Industry. Animals 2021, 11, 381. [Google Scholar] [CrossRef] [PubMed]
- Wilson, D.G. Tumors of the Respiratory Tract. In Tumors in Domestic Animals, 5th ed.; Meuten, D.J., Ed.; John Wiley & Sons Inc.: Ames, IA, USA, 2017; pp. 467–498. [Google Scholar]
- DeMartini, J. Retroviral Oncogenesis in an ovine model of lung cancer. In Proceedings of the 55th Annual Meeting of the American College of Veterinary Pathologists & 39th Annual Meeting of the American Society of Clinical Pathology, Middleton, WI, USA, 13 November 2004; International Veterinary Information Service: Middleton, WI, USA, 2004. [Google Scholar]
- De las Heras, M.; Gonzalez, L.; Sharp, J.M. Pathology of ovine pulmonary adenocarcinoma. Curr. Top. Microbiol. Immunol. 2003, 275, 25–54. [Google Scholar] [PubMed]
- Griffiths, D.J.; Martineau, H.M.; Cousens, C. Pathology and pathogenesis of ovine pulmonary adenocarcinoma. J. Comp. Pathol. 2010, 142, 260–283. [Google Scholar] [CrossRef] [PubMed]
- Hudachek, S.F.; Kraft, S.L.; Thamm, D.H.; Bielefeldt-Ohmann, H.; DeMartini, J.C.; Miller, A.D.; Dernell, W.S. Lung tumor development and spontaneous regression in lambs coinfected with Jaagsiekte sheep retrovirus and ovine lentivirus. Vet. Pathol. 2010, 47, 148–162. [Google Scholar] [CrossRef] [PubMed]
- Uzal, F.A.; Delhon, G.; Murcia, P.R.; De las Heras, M.; Luján, L.; Fernandez Miyakawa, M.E.; Morris, W.E.; Gonzalez, M.J. Ovine pulmonary adenomatosis in Patagonia, Argentina. Vet. Res. Commun. 2004, 28, 159–170. [Google Scholar] [CrossRef] [PubMed]
- Garcia-Goti, M.; Gonzalez, L.; Cousens, C.; Cortabarria, N.; Extramiana, A.B.; Minguijon, E.; Ortín, A.; De las Heras, M.; Sharp, J.M. Sheep pulmonary adenomatosis: Characterization of two pathological forms associated with jaagsiekte retrovirus. J. Comp. Pathol. 2000, 122, 55–65. [Google Scholar] [CrossRef] [PubMed]
- Toma, C.; Bâlteanu, V.A.; Tripon, S.; Trifa, A.; Rema, A.; Amorim, I.; Pop, R.M.; Popa, R.; Catoi, C.; Taulescu, M. Exogenous Jaagsiekte Sheep Retrovirus type 2 (exJSRV2) related to ovine pulmonary adenocarcinoma (OPA) in Romania: Prevalence, anatomical forms, pathological description, immunophenotyping and virus identification. BMC Vet. Res. 2020, 16, 296. [Google Scholar] [CrossRef] [PubMed]
- Palmarini, M.; Cousens, C.; Dalziel, R.G.; Bai, J.; Stedman, K.; DeMartini, J.C.; Sharp, J.M. The exogenous form of Jaagsiekte retrovirus is specifically associated with a contagious lung cancer of sheep. J. Virol. 1996, 70, 1618–1623. [Google Scholar] [CrossRef] [PubMed]
- Glaria, I.; Reina, R.; Ramirez, H.; De Andres, X.; Crespo, H.; Jauregui, P.; Salazar, E.; Luján, L.; Pérez, M.M.; Benavides, J.; et al. Visna/Maedi virus genetic characterization and serological diagnosis of infection in sheep from a neurological outbreak. Vet. Microbiol. 2012, 155, 137–146. [Google Scholar] [CrossRef] [PubMed]
- Dawson, M.; Done, S.H.; Venables, C.; Jenkins, C.E. Maedi-visna and sheep pulmonary adenomatosis: A study of concurrent infection. Br. Vet. J. 1990, 146, 531–538. [Google Scholar] [CrossRef] [PubMed]


| Case # | Signalment | Gross | Histology | Other Pulmonary Findings | JSRV Hemi-Nested PCR | SRLV PCR | SRLV Serology | Additional Findings |
|---|---|---|---|---|---|---|---|---|
| 1 | Sheep | A | P ACA (M) | GP, LW, BALT, FMN | + | − | ND | Suppurative arthritis |
| 2 | Sheep | M | P ACA (Ac) | IP, BALT | + | − | ND | D. dendriticum |
| 3 | Goat | A | P ACA (Ac) | BP | + | − | ND | D. dendriticum |
| 4 | Sheep | M | P ACA (M) | GP, LW, BALT | + | − | ND | |
| 5 | Sheep | M | P ACA (L) | BIP | + | − | ND | D. dendriticum, Sarcocystis spp., |
| 6 | Sheep | M | P ACA (M) | BIP, A | + | − | ND | |
| 7 | Sheep | M | P ACA (M) | GP, BALT, LW | + | − | ND | C. tenuicollis |
| 8 | Sheep | M | P ACA (M) | GP, LW, BALT | + | − | ND | Suppurative arthritis |
| 9 | Sheep | C | P ACA (M) | BP, BALT | + | − | ND | |
| 10 | Sheep | M | P ACA (L) | BIP | + | − | ND | Hepatic abscesses, D. dendriticum, caseous lymphadenitis |
| 11 | Sheep | M | P ACA (P) | IP, MN, BALT, FMN, LW | + | − | ND | Hydatid cysts, D. dendriticum, Sarcocystis spp., uterine torsion with rupture and peritonitis |
| 12 | Sheep | C | P ACA (L) | BIP, A | + | − | ND | Caseous lymphadenitis |
| 13 | Sheep | M | P ACA (Ac) | GP, LW, A | + | − | ND | D. dendriticum |
| 14 | Sheep | M | P ACA (Ac) | GP, BALT, LW, A | + | + | ND | D. dendriticum |
| 15 | Sheep | M | P ACA (M) | BIP, BALT, FMN | + | + | ND | C. tenuicollis, Sarcocystis spp., |
| 16 | Sheep | M | P ACA (M) | BP, GP, BALT, LW | + | − | ND | O. ovis, Teladorsagia sp. D. dendriticum |
| 17 | Sheep | M | P ACA (M) | BIP/GP, LW | + | − | ND | D. dendriticum |
| 18 | Sheep | M | P ACA (P) | IP, BALT, IF | + | − | ND | Necrotizing pneumonia, renal amyloidosis, D. dendriticum |
| 19 | Sheep | C | P ACA (P) | IP, BALT | + | − | ND | D. dendriticum |
| 20 | Sheep | M | P ACA (Ac) | BIP/GP, LW, BALT, IF | + | − | ND | Necrotizing mastitis |
| 21 | Sheep | M | P ACA (M) | BP | + | − | ND | D. dendriticum |
| 22 | Sheep | M | P ACA (M) | BP, IF, A, BALT | + | − | − | Portal hepatitis D. dendriticum |
| 23 | Sheep | M | P ACA (P) | BIP, BALT, FMN | + | − | − | D. dendriticum |
| 24 | Sheep | M | P ACA (M) | BIP, BALT, IF | + | − | − | Portal hepatitis, /cholangitis, D. dendriticum, renal amyloidosis, |
| 25 | Sheep | M | P ACA (P) | IP, IF | + | − | + | D. dendriticum |
| 26 | Sheep | M | P ACA (P) | IP, A | + | − | − | Intravascular pulm metastases |
| 27 | Sheep | M | P ACA (M) | BIP, BALT, IF | + | − | + | C. tenuicollis, D. dendriticum |
Disclaimer/Publisher’s Note: The statements, opinions and data contained in all publications are solely those of the individual author(s) and contributor(s) and not of MDPI and/or the editor(s). MDPI and/or the editor(s) disclaim responsibility for any injury to people or property resulting from any ideas, methods, instructions or products referred to in the content. |
© 2023 by the authors. Licensee MDPI, Basel, Switzerland. This article is an open access article distributed under the terms and conditions of the Creative Commons Attribution (CC BY) license (https://creativecommons.org/licenses/by/4.0/).
Share and Cite
Ortega, J.; Corpa, J.M.; Castillo, D.; Murphy, B.G. Pathological Spectrum of Ovine Pulmonary Adenocarcinoma in Small Ruminants: A Focus on the Mixed Form. Animals 2023, 13, 2828. https://doi.org/10.3390/ani13182828
Ortega J, Corpa JM, Castillo D, Murphy BG. Pathological Spectrum of Ovine Pulmonary Adenocarcinoma in Small Ruminants: A Focus on the Mixed Form. Animals. 2023; 13(18):2828. https://doi.org/10.3390/ani13182828
Chicago/Turabian StyleOrtega, Joaquín, Juan M. Corpa, Diego Castillo, and Brian G. Murphy. 2023. "Pathological Spectrum of Ovine Pulmonary Adenocarcinoma in Small Ruminants: A Focus on the Mixed Form" Animals 13, no. 18: 2828. https://doi.org/10.3390/ani13182828
APA StyleOrtega, J., Corpa, J. M., Castillo, D., & Murphy, B. G. (2023). Pathological Spectrum of Ovine Pulmonary Adenocarcinoma in Small Ruminants: A Focus on the Mixed Form. Animals, 13(18), 2828. https://doi.org/10.3390/ani13182828

