Identification and Characterization of α-Actinin 1 of Histomonas meleagridis and Its Potential Vaccine Candidates against Histomonosis
Abstract
Simple Summary
Abstract
1. Introduction
2. Material and Methods
2.1. Animals
2.2. Parasites
2.3. Gene Cloning and Sequence Analysis
2.4. Prokaryotic Expression
2.5. Polyclonal Antibody Preparation
2.6. Monoclonal Antibody Preparation
2.7. Western Blot
2.8. Indirect Immunofluorescence Assays
2.9. Immunization and Challenge
2.10. Detection of Serum Antibody Levels
2.11. Determination of Serum Cytokine Levels
2.12. Evaluation of Immune Protection
2.13. Statistical Analysis
3. Results
3.1. Gene Cloning and Sequence Analysis
3.2. Prokaryotic Expression
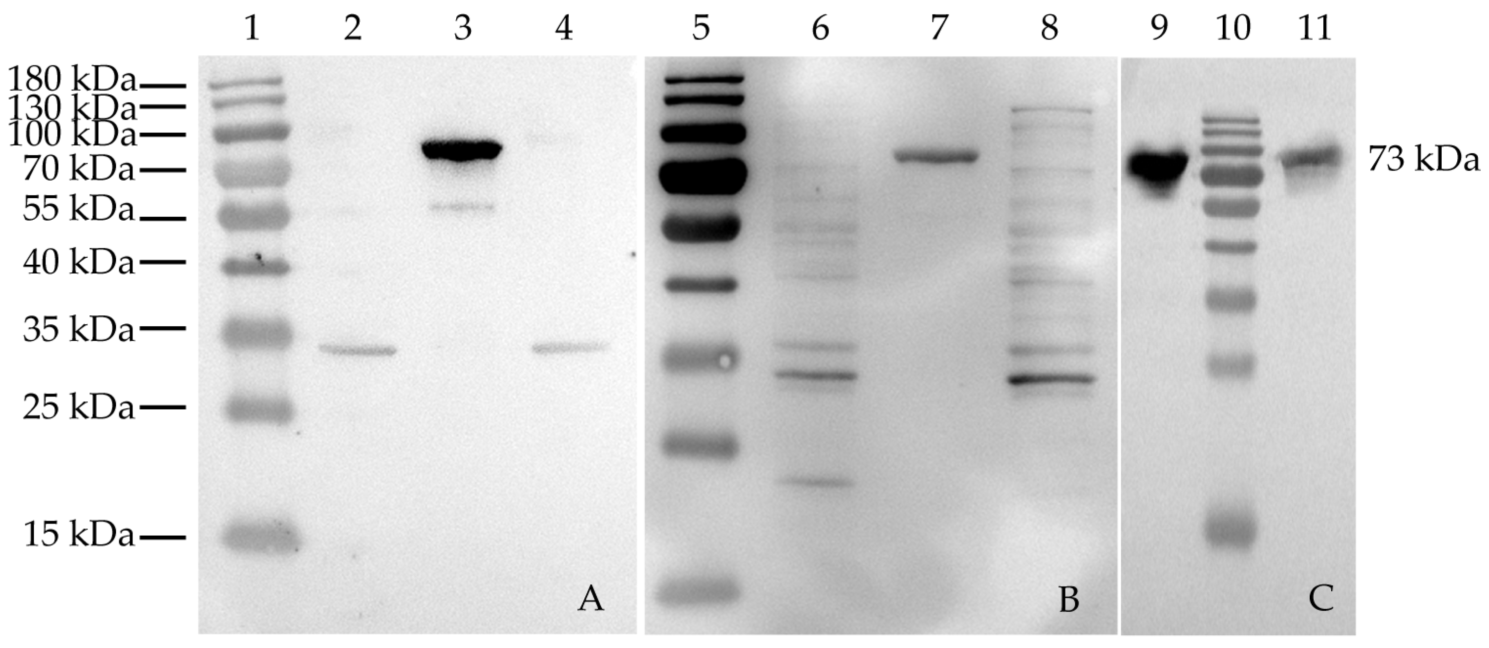
3.3. Western Blot
3.3.1. Titer of Polyclonal Antibodies
3.3.2. IgG Subtype of Monoclonal Antibodies
3.3.3. Reactogenicity of Recombinant Protein (Polyclonal, Monoclonal, and Recovery Serum)
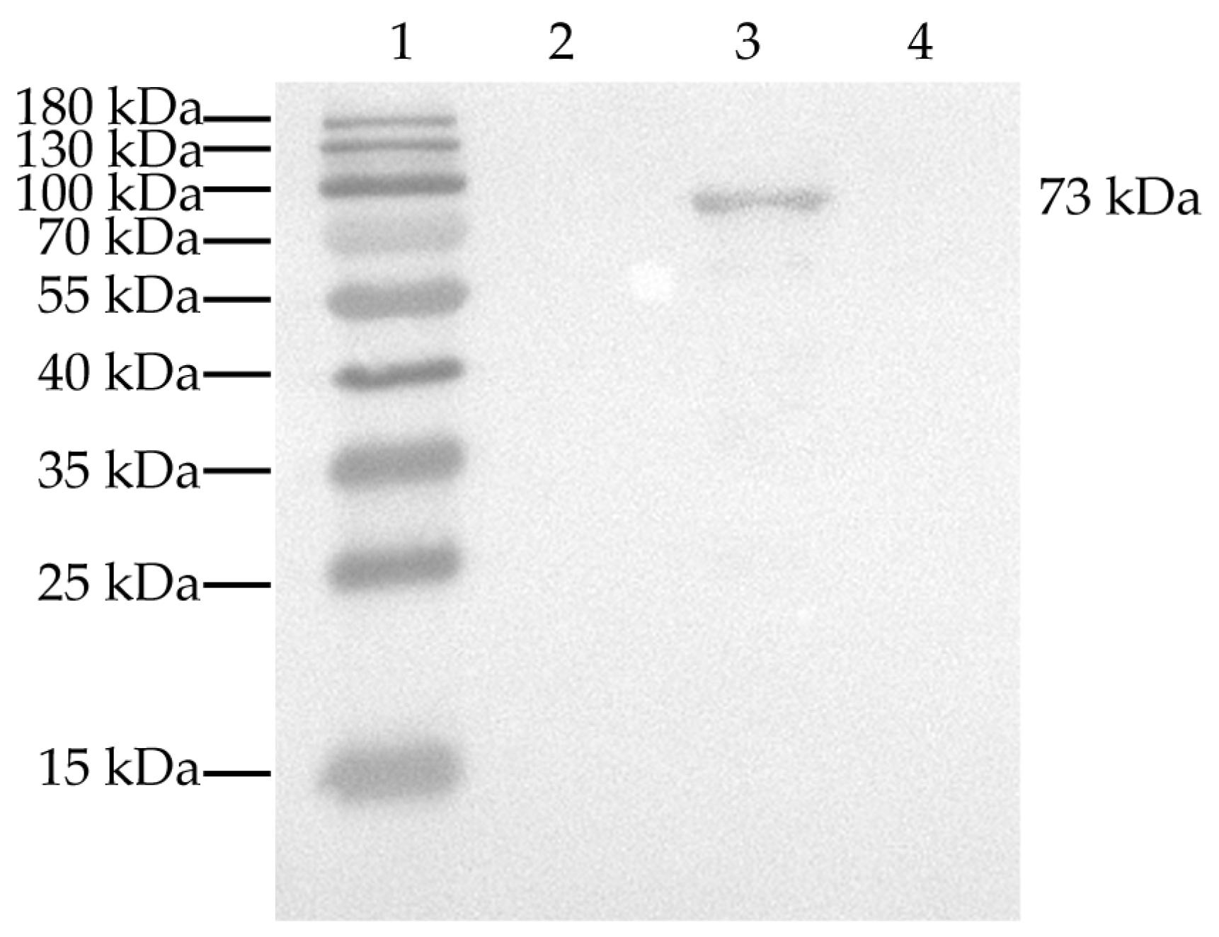
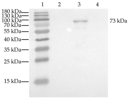
3.3.4. Native Protein Verified by Monoclonal Antibodies
3.4. Indirect Immunofluorescence
3.5. Serum Antibody Levels
3.6. Serum Cytokine Levels
3.7. Protective Effect of rHmα-Actinin 1
4. Discussion
5. Conclusions
Supplementary Materials
Author Contributions
Funding
Institutional Review Board Statement
Informed Consent Statement
Data Availability Statement
Conflicts of Interest
References
- Beer, L.C.; Petrone-Garcia, V.M.; Graham, B.D.; Hargis, B.M.; Tellez-Isaias, G.; Vuong, C.N. Histomonosis in Poultry: A Comprehensive Review. Front. Vet. Sci. 2022, 9, 880738. [Google Scholar] [CrossRef] [PubMed]
- Regmi, P.R.; Shaw, A.L.; Hungerford, L.L.; Messenheimer, J.R.; Zhou, T.; Pillai, P.; Omer, A.; Gilbert, J.M. Regulatory Considerations for the Approval of Drugs Against Histomoniasis (Blackhead Disease) in Turkeys, Chickens, and Game Birds in the United States. Avian Dis. 2016, 60, 725–730. [Google Scholar] [CrossRef] [PubMed]
- Liebhart, D.; Ganas, P.; Sulejmanovic, T.; Hess, M. Histomonosis in poultry: Previous and current strategies for prevention and therapy. Avian Pathol. 2017, 46, 1–18. [Google Scholar] [CrossRef]
- Hess, M.; Liebhart, D.; Bilic, I.; Ganas, P. Histomonas meleagridis-New insights into an old pathogen. Vet. Parasitol. 2015, 208, 67–76. [Google Scholar] [CrossRef]
- Powell, F.L.; Rothwell, L.; Clarkson, M.J.; Kaiser, P. The turkey, compared to the chicken, fails to mount an effective early immune response to Histomonas meleagridis in the gut. Parasite Immunol. 2009, 31, 312–327. [Google Scholar] [CrossRef]
- Xu, J.; Qu, C.; Guo, P.; Zhuo, Z.; Liu, D.; Tao, J. Epidemic Characteristics of Clinical Histomoniasis in Chicken Flocks in Eastern China. Avian Dis. 2018, 62, 189–194. [Google Scholar] [CrossRef]
- Zhang, Y.M.; Chen, Q.G.; Chen, C.; Wang, S.; Li, Z.F.; Hou, Z.F.; Liu, D.D.; Tao, J.P.; Xu, J.J. MicroRNA expression profile of chicken cecum in different stages during Histomonas meleagridis infection. BMC Vet. Res. 2022, 18, 222. [Google Scholar] [CrossRef]
- Liebhart, D.; Hess, M. Spotlight on Histomonosis (blackhead disease): A re-emerging disease in turkeys and chickens. Avian Pathol. 2020, 49, 1–4. [Google Scholar] [CrossRef]
- Liebhart, D.; Sulejmanovic, T.; Grafl, B.; Tichy, A.; Hess, M. Vaccination against histomonosis prevents a drop in egg production in layers following challenge. Avian Pathol. 2013, 42, 79–84. [Google Scholar] [CrossRef]
- Gerth, C.; Rudiger-Boesch, B.; Schmidt, U.; Mumme, J.; Friedhoff, K.T. Histomoniasis in pullet stock and its effect on later laying performance. Tierarztl. Prax. 1985, 13, 519–527. [Google Scholar]
- Liebhart, D.; Windisch, M.; Hess, M. Oral vaccination of 1-day-old turkeys with in vitro attenuated Histomonas meleagridis protects against histomonosis and has no negative effect on performance. Avian Pathol. 2010, 39, 399–403. [Google Scholar] [CrossRef] [PubMed]
- Hess, M.; Liebhart, D.; Grabensteiner, E.; Singh, A. Cloned Histomonas meleagridis passaged in vitro resulted in reduced pathogenicity and is capable of protecting turkeys from histomonosis. Vaccine 2008, 26, 4187–4193. [Google Scholar] [CrossRef]
- Xie, Y.T.; Gao, J.M.; Wu, Y.P.; Tang, P.; Hide, G.; Lai, D.H.; Lun, Z.R. Recombinant alpha-actinin subunit antigens of Trichomonas vaginalis as potential vaccine candidates in protecting against trichomoniasis. Parasit. Vectors. 2017, 10, 83. [Google Scholar] [CrossRef] [PubMed]
- Francis, M.J. Recent Advances in Vaccine Technologies. Vet. Clin. North Am. Small Anim. Pract. 2018, 48, 231–241. [Google Scholar] [CrossRef]
- Noon, J.B.; Aroian, R.V. Recombinant subunit vaccines for soil-transmitted helminths. Parasitology 2017, 144, 1845–1870. [Google Scholar] [CrossRef]
- Hansson, M.; Nygren, P.A.; Stahl, S. Design and production of recombinant subunit vaccines. Biotechnol. Appl. Biochem. 2000, 32, 95–107. [Google Scholar] [CrossRef]
- Mazet, M.; Diogon, M.; Alderete, J.F.; Vivares, C.P.; Delbac, F. First molecular characterisation of hydrogenosomes in the protozoan parasite Histomonas meleagridis. Int. J. Parasitol. 2008, 38, 177–190. [Google Scholar] [CrossRef]
- Bilic, I.; Leberl, M.; Hess, M. Identification and molecular characterization of numerous Histomonas meleagridis proteins using a cDNA library. Parasitology 2009, 136, 379–391. [Google Scholar] [CrossRef]
- Lynn, E.C.; Beckstead, R.B. Identification of gene expression elements in histomonas meleagridis using splinkerette pcr, a variation of ligated adaptor PCR. J. Parasitol. 2012, 98, 135–141. [Google Scholar] [CrossRef]
- Klodnicki, M.E.; McDougald, L.R.; Beckstead, R.B. A genomic analysis of histomonas meleagridis through sequencing of a cdna library. J. Parasitol. 2013, 99, 264–269. [Google Scholar] [CrossRef]
- Leberl, M.; Hess, M.; Bilic, I. Histomonas meleagridis possesses three alpha-actinins immunogenic to its hosts. Mol. Biochem. Parasitol. 2010, 169, 101–107. [Google Scholar] [CrossRef] [PubMed]
- Monoyios, A.; Patzl, M.; Schlosser, S.; Hess, M.; Bilic, I. Unravelling the differences: Comparative proteomic analysis of a clonal virulent and an attenuated Histomonas meleagridis strain. Int. J. Parasitol. 2018, 48, 145–157. [Google Scholar] [CrossRef] [PubMed]
- Blanchard, A.; Ohanian, V.; Critchley, D. The structure and function of alpha-actinin. J. Muscle Res. Cell Motil. 1989, 10, 280–289. [Google Scholar] [CrossRef]
- Pelletier, O.; Pokidysheva, E.; Hirst, L.S.; Bouxsein, N.; Li, Y.; Safinya, C.R. Structure of actin cross-linked with alpha-actinin: A network of bundles. Phys. Rev. Lett. 2003, 91, 148102. [Google Scholar] [CrossRef]
- Fiori, P.L.; Rappelli, P.; Addis, M.F. The flagellated parasite Trichomonas vaginalis: New insights into cytopathogenicity mechanisms. Microbes Infect. 1999, 1, 149–156. [Google Scholar] [CrossRef]
- Lee, H.Y.; Kim, J.; Park, S.J. Role of alpha-Actinin 2 in Cytoadherence and Cytotoxicity of Trichomonas vaginalis. J. Microbiol. Biotechnol. 2017, 27, 1844–1854. [Google Scholar] [CrossRef]
- Addis, M.F.; Rappelli, P.; Delogu, G.; Carta, F.; Cappuccinelli, P.; Fiori, P.L. Cloning and molecular characterization of a cDNA clone coding for Trichomonas vaginalis alpha-actinin and intracellular localization of the protein. Infect. Immun. 1998, 66, 4924–4931. [Google Scholar] [CrossRef]
- Addis, M.F.; Rappelli, P.; Pinto De Andrade, A.M.; Rita, F.M.; Colombo, M.M.; Cappuccinelli, P.; Fiori, P.L. Identification of Trichomonas vaginalis alpha-actinin as the most common immunogen recognized by sera of women exposed to the parasite. J. Infect. Dis. 1999, 180, 1727–1730. [Google Scholar] [CrossRef]
- Lee, H.Y.; Kim, J.; Ryu, J.S.; Park, S.J. Trichomonas vaginalis alpha-Actinin 2 modulates host immune responses by inducing tolerogenic dendritic cells via il-10 production from regulatory t cells. Korean J. Parasitol. 2017, 55, 375–384. [Google Scholar] [CrossRef]
- Chen, Q.G.; Zhang, Y.M.; Chen, C.; Wang, S.; Li, Z.F.; Hou, Z.F.; Liu, D.D.; Tao, J.P.; Xu, J.J. Tandem mass tag-based quantitative proteomics analyses of a chicken-original virulent and its attenuated Histomonas meleagridis strain in China. Front. Vet. Sci. 2023, 10, 1106807. [Google Scholar] [CrossRef]
- Nelson, P.N.; Reynolds, G.M.; Waldron, E.E.; Ward, E.; Giannopoulos, K.; Murray, P.G. Monoclonal antibodies. Mol. Pathol. 2000, 53, 111–117. [Google Scholar] [CrossRef] [PubMed]
- Liu, D.; Cao, L.; Zhu, Y.; Deng, C.; Su, S.; Xu, J.; Jin, W.; Li, J.; Wu, L.; Tao, J. Cloning and characterization of an Eimeria necatrix gene encoding a gametocyte protein and associated with oocyst wall formation. Parasit. Vectors 2014, 7, 27. [Google Scholar] [CrossRef] [PubMed]
- Liu, D.; Wang, F.; Cao, L.; Wang, L.; Su, S.; Hou, Z.; Xu, J.; Hu, J.; Tao, J. Identification and characterization of a cDNA encoding a gametocyte-specific protein of the avian coccidial parasite Eimeria necatrix. Mol. Biochem. Parasitol. 2020, 240, 111318. [Google Scholar] [CrossRef] [PubMed]
- Gerbod, D.; Edgcomb, V.P.; Noel, C.; Zenner, L.; Wintjens, R.; Delgado-Viscogliosi, P.; Holder, M.E.; Sogin, M.L.; Viscogliosi, E. Phylogenetic position of the trichomonad parasite of turkeys, Histomonas meleagridis (Smith) Tyzzer, inferred from small subunit rRNA sequence. J. Eukaryot. Microbiol. 2001, 48, 498–504. [Google Scholar] [CrossRef]
- Hauck, R.; Hafez, H.M. Partial sequence of the beta-tubulin of Histomonas meleagridis and the activity of benzimidazoles against H. meleagridis in vitro. Parasitol. Res. 2009, 104, 1183–1189. [Google Scholar] [CrossRef]
- Calla-Choque, J.S.; Figueroa-Angulo, E.E.; Avila-Gonzalez, L.; Arroyo, R. Corrigendum to “alpha-Actinin TvACTN3 of Trichomonas vaginalis Is an RNA-Binding Protein That Could Participate in Its Posttranscriptional Iron Regulatory Mechanism”. Biomed. Res. Int. 2016, 2016, 2676598. [Google Scholar] [CrossRef]
- Calla-Choque, J.S.; Figueroa-Angulo, E.E.; Avila-Gonzalez, L.; Arroyo, R. Alpha -Actinin TvACTN3 of Trichomonas vaginalis is an RNA-binding protein that could participate in its posttranscriptional iron regulatory mechanism. Biomed. Res. Int. 2014, 2014, 424767. [Google Scholar] [CrossRef]
- Zaragatzki, E.; Hess, M.; Grabensteiner, E.; Abdel-Ghaffar, F.; Al-Rasheid, K.A.; Mehlhorn, H. Light and transmission electron microscopic studies on the encystation of Histomonas meleagridis. Parasitol. Res. 2010, 106, 977–983. [Google Scholar] [CrossRef]
- Lagler, J.; Schmidt, S.; Mitra, T.; Stadler, M.; Patricia, W.; Grafl, B.; Hatfaludi, T.; Hess, M.; Gerner, W.; Liebhart, D. Comparative investigation of IFN-gamma-producing T cells in chickens and turkeys following vaccination and infection with the extracellular parasite Histomonas meleagridis. Dev. Comp. Immunol. 2021, 116, 103949. [Google Scholar] [CrossRef]
- McDougald, L.R.; Hu, J. Blackhead disease (Histomonas meleagridis) aggravated in broiler chickens by concurrent infection with cecal coccidiosis (Eimeria tenella). Avian Dis. 2001, 45, 307–312. [Google Scholar] [CrossRef]
- Mitra, T.; Gerner, W.; Kidane, F.A.; Wernsdorf, P.; Hess, M.; Saalmuller, A.; Liebhart, D. Vaccination against histomonosis limits pronounced changes of B cells and T-cell subsets in turkeys and chickens. Vaccine 2017, 35, 4184–4196. [Google Scholar] [CrossRef] [PubMed]
- Lagler, J.; Mitra, T.; Schmidt, S.; Pierron, A.; Vatzia, E.; Stadler, M.; Hammer, S.E.; Mair, K.H.; Grafl, B.; Wernsdorf, P.; et al. Cytokine production and phenotype of Histomonas meleagridis-specific T cells in the chicken. Vet. Res. 2019, 50, 107. [Google Scholar] [CrossRef] [PubMed]







| Groups | No. of Chickens | Immunization—Dose and Route | Challenge—(Dose and Route) | |
|---|---|---|---|---|
| 5-Day-Old Chicken | 12-Day-Old Chicken | 19-Day-Old Chicken | ||
| 200 μg | 10 | rHmα-actinin1 200 μg S.C route * Adjuvant: FCA ** | rHmα-actinin1 200 μg S.C route Adjuvant: FIA *** | 300,000 H. meleagridis JSYZ-D9 CR **** |
| 150 μg | 10 | rHmα-actinin1 150 μg S.C route Adjuvant: FCA | rHmα-actinin1 150 μg S.C route Adjuvant: FIA | 300,000 H. meleagridis JSYZ-D9 CR |
| 100 μg | 10 | rHmα-actinin1 100 μg S.C route Adjuvant: FCA | rHmα-actinin1 100 μg S.C route Adjuvant: FIA | 300,000 H. meleagridis JSYZ-D9 CR |
| 50 μg | 10 | rHmα-actinin1 50 μg S.C route Adjuvant: FCA | rHmα-actinin1 50 μg S.C route Adjuvant: FIA | 300,000 H. meleagridis JSYZ-D9 CR |
| Adjuvant | 10 | FCA plus PBS S.C route | FIA plus PBS S.C route | 300,000 H. meleagridis JSYZ-D9 CR |
| UC | 10 | PBS via S.C route | PBS via S.C route | 300,000 H. meleagridis JSYZ-D9 CR |
| UU | 10 | PBS via S.C route | PBS via S.C route | culture medium via CR |
| Groups | Survival Rate (%) | Body Weight Gain | Average Lesion Score | ||||
|---|---|---|---|---|---|---|---|
| BWG1 (g) | RWG1 (%) | BWG2 (g) | RWG2 (%) | Liver | Cecal | ||
| 200 μg | 100 | 112.23 ± 2.40 a | 93.56 | 80.25 ± 6.42 ab | 87.32 | 0.00 ± 0.00 a | 2.65 ± 0.33 c |
| 150 μg | 100 | 120.67 ± 4.05 a | 100.59 | 90.00 ± 4.02 a | 97.93 | 0.00 ± 0.00 a | 1.30 ± 0.26 d |
| 100 μg | 100 | 106.72 ± 3.10 a | 88.96 | 85.78 ± 4.46 ab | 93.34 | 0.20 ± 0.20 a | 3.00 ± 0.22 bc |
| 50 μg | 100 | 119.58 ± 6.09 a | 99.68 | 61.53 ± 4.11 c | 66.95 | 0.20 ± 0.20 a | 3.45 ± 0.16 ab |
| Adjuvant | 100 | 107.67 ± 3.52 a | 89.75 | 75.26 ± 3.23 b | 81.89 | 0.65 ± 0.28 a | 3.80 ± 0.11 a |
| UC | 100 | 107.65 ± 3.17 a | 89.74 | 58.97 ± 6.47 c | 64.17 | 0.35 ± 0.24 a | 3.70 ± 0.15 a |
| UU | 100 | 119.96 ± 2.61 a | 100.00 | 91.90 ± 1.88 a | 100.00 | 0.00 ± 0.00 a | 0.00 ± 0.00 e |
Disclaimer/Publisher’s Note: The statements, opinions and data contained in all publications are solely those of the individual author(s) and contributor(s) and not of MDPI and/or the editor(s). MDPI and/or the editor(s) disclaim responsibility for any injury to people or property resulting from any ideas, methods, instructions or products referred to in the content. |
© 2023 by the authors. Licensee MDPI, Basel, Switzerland. This article is an open access article distributed under the terms and conditions of the Creative Commons Attribution (CC BY) license (https://creativecommons.org/licenses/by/4.0/).
Share and Cite
Liu, D.; Chen, C.; Chen, Q.; Wang, S.; Li, Z.; Rong, J.; Zhang, Y.; Hou, Z.; Tao, J.; Xu, J. Identification and Characterization of α-Actinin 1 of Histomonas meleagridis and Its Potential Vaccine Candidates against Histomonosis. Animals 2023, 13, 2330. https://doi.org/10.3390/ani13142330
Liu D, Chen C, Chen Q, Wang S, Li Z, Rong J, Zhang Y, Hou Z, Tao J, Xu J. Identification and Characterization of α-Actinin 1 of Histomonas meleagridis and Its Potential Vaccine Candidates against Histomonosis. Animals. 2023; 13(14):2330. https://doi.org/10.3390/ani13142330
Chicago/Turabian StyleLiu, Dandan, Chen Chen, Qiaoguang Chen, Shuang Wang, Zaifan Li, Jie Rong, Yuming Zhang, Zhaofeng Hou, Jianping Tao, and Jinjun Xu. 2023. "Identification and Characterization of α-Actinin 1 of Histomonas meleagridis and Its Potential Vaccine Candidates against Histomonosis" Animals 13, no. 14: 2330. https://doi.org/10.3390/ani13142330
APA StyleLiu, D., Chen, C., Chen, Q., Wang, S., Li, Z., Rong, J., Zhang, Y., Hou, Z., Tao, J., & Xu, J. (2023). Identification and Characterization of α-Actinin 1 of Histomonas meleagridis and Its Potential Vaccine Candidates against Histomonosis. Animals, 13(14), 2330. https://doi.org/10.3390/ani13142330
