Diagnostic Performance of Multi-Detector Computed Tomography Arthrography and 3-Tesla Magnetic Resonance Imaging to Diagnose Experimentally Created Articular Cartilage Lesions in Equine Cadaver Stifles
Abstract
Simple Summary
Abstract
1. Introduction
2. Materials and Methods
2.1. Arthroscopy Protocol
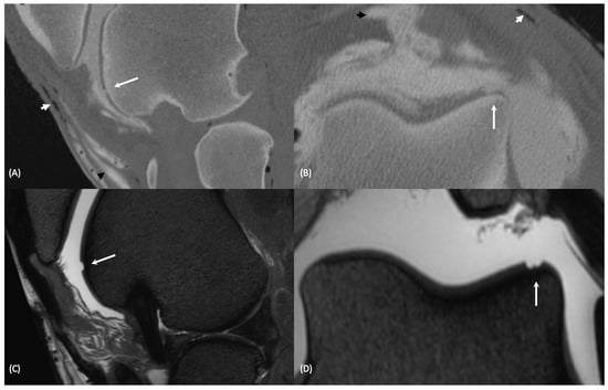
2.2. Diagnostic Imaging
2.3. Gross Analysis
2.4. Image Analysis
2.5. Data Analysis
3. Results
4. Discussion
5. Conclusions
Supplementary Materials
Author Contributions
Funding
Institutional Review Board Statement
Informed Consent Statement
Data Availability Statement
Acknowledgments
Conflicts of Interest
References
- Madry, H.; Kon, E.; Condello, V.; Peretti, G.M.; Steinwachs, M.; Seil, R.; Berruto, M.; Engebretsen, L.; Filardo, G.; Angele, P. Early osteoarthritis of the knee. Knee Surg. Sports Traumatol. Arthrosc. 2016, 24, 1753–1762. [Google Scholar] [CrossRef]
- McIlwraith, C.W.; Fortier, L.A.; Frisbie, D.D.; Nixon, A.J. Equine Models of Articular Cartilage Repair. Cartilage 2011, 2, 317–326. [Google Scholar] [CrossRef] [PubMed]
- Cohen, J.M.; Richardson, D.W.; McKnight, A.L.; Ross, M.W.; Boston, R.C. Long-term outcome in 44 horses with stifle lameness after arthroscopic exploration and debridement. Vet. Surg. 2009, 38, 543–551. [Google Scholar] [CrossRef] [PubMed]
- Schneider, R.K.; Jenson, P.; Moore, R.M. Evaluation of cartilage lesions on the medial femoral condyle as a cause of lameness in horses: 11 cases (1988–1994). J. Am. Vet. Med. Assoc. 1997, 210, 1649–1652. [Google Scholar] [PubMed]
- McIlwraith, C.W.; Nixon, A.J.; Wright, I.M. Chapter 6—Diagnostic and Surgical Arthroscopy of the Femoropatellar and Femorotibial Joints. In Diagnostic and Surgical Arthroscopy in the Horse, 4th ed.; McIlwraith, C.W., Nixon, A.J., Wright, I.M., Eds.; Mosby: Maryland Heights, MO, USA, 2015; pp. 175–242. [Google Scholar]
- Croxford, A.K.; Parker, R.A.; Burford, J.H.; Lloyd, D.; Boswell, J.C.; Hughes, T.K.; Phillips, T.J. Chondromalacia of the cranial medial femoral condyle; its occurrence and association with clinical outcome in a population of adult horses with stifle lameness. Equine Vet. J. 2020, 52, 379–383. [Google Scholar] [CrossRef]
- Radtke, A.; Fortier, L.A.; Regan, S.; Kraus, S.; Delco, M.L. Intra-articular anesthesia of the equine stifle improves foot lameness. Equine Vet. J. 2020, 52, 314–319. [Google Scholar] [CrossRef]
- Adrian, A.; Barrett, M.; Werpy, N.; Kawcak, C.; Chapman, P.; Goodrich, L. A comparison of arthroscopy to ultrasonography for identification of pathology of the equine stifle. Equine Vet. J. 2017, 49, 314–321. [Google Scholar] [CrossRef]
- De Lasalle, J.; Alexander, K.; Olive, J.; Laverty, S. Comparisons among radiography, ultrasonography and computed tomography for ex vivo characterization of stifle osteoarthritis in the horse. Vet. Radiol. Ultrasound 2016, 57, 489–501. [Google Scholar] [CrossRef]
- Hoey, S.; Stokes, D.; McAllister, H.; Puggioni, A.; Skelly, C. A systematic review evaluating the use of ultrasound in the identification of osteochondrosis in horses. Vet. J. 2022, 282, 105825. [Google Scholar] [CrossRef]
- O’Neill, H.D.; Bladon, B.M. An alternative arthroscopic approach to the caudal pouches of the equine lateral femorotibial joint. Equine Vet. J. 2020, 52, 857–862. [Google Scholar] [CrossRef]
- Desjardins, M.R.; Hurtig, M.B. Diagnosis of equine stifle joint disorders: Three cases. Can. Vet. J. 1991, 32, 543–550. [Google Scholar] [PubMed]
- Muurlink, T.; Walmsley, J.; Young, D.; Whitton, C. A cranial intercondylar arthroscopic approach to the caudal medial femorotibial joint of the horse. Equine Vet. J. 2009, 41, 5–10. [Google Scholar] [CrossRef]
- Nelson, B.B.; Kawcak, C.E.; Goodrich, L.R.; Werpy, N.M.; Valdés-Martínez, A.; McIlwraith, C.W. Comparison between computed tomographic arthrography, radiography, ultrasonography, and arthroscopy for the diagnosis of femorotibial joint disease in Western performance horses. Vet. Radiol. Ultrasound 2016, 57, 387–402. [Google Scholar] [CrossRef]
- Bergman, E.H.J.; Puchalski, S.M.; van der Veen, H.; Wiemer, P.; Green, E.M. Computed tomography and computed tomography arthrography of the equine stifle: Technique and preliminary results in 16 clinical cases. AAEP Proc. 2007, 53, 46–55. [Google Scholar]
- Van der Vekens, E.; Bergman, E.H.J.; Vanderperren, K.; Raes, E.V.; Puchalski, S.M.; Bree, H.J.J.; Saunders, J.H. Computed tomographic anatomy of the equine stifle joint. Am. J. Vet. Res. 2011, 72, 512–521. [Google Scholar] [CrossRef]
- McQuillan, S.; Kearney, C.; Hoey, S.; Connolly, S.; Rowan, C. A threshold volume of 10 ml is suggested for detecting articular cartilage defects in equine carpal joints using CT arthrography: Ex vivo pilot study. Vet. Radiol. Ultrasound 2022, 63, 54–63. [Google Scholar] [CrossRef]
- Valdés-Martínez, A. Computed tomographic arthrography of the equine stifle joint. Vet. Clin. N. Am. Equine Pract. 2012, 28, 583–598. [Google Scholar] [CrossRef]
- Aßmann, A.D.; Ohlerth, S.; Suárez Sánchez-Andráde, J.; Torgerson, P.R.; Bischofberger, A.S. Ex vivo comparison of 3 Tesla magnetic resonance imaging and multidetector computed tomography arthrography to identify artificial soft tissue lesions in equine stifles. Vet. Surg. 2022, 51, 648–657. [Google Scholar] [CrossRef]
- Suarez Sanchez-Andrade, J.; Richter, H.; Kuhn, K.; Bischofberger, A.S.; Kircher, P.R.; Hoey, S. Comparison between magnetic resonance imaging, computed tomography, and arthrography to identify artificially induced cartilage defects of the equine carpal joints. Vet. Radiol. Ultrasound 2018, 59, 312–325. [Google Scholar] [CrossRef] [PubMed]
- Hontoir, F.; Nisolle, J.F.; Meurisse, H.; Simon, V.; Tallier, M.; Vanderstricht, R.; Antoine, N.; Piret, J.; Clegg, P.; Vandeweerd, J.M. A comparison of 3-T magnetic resonance imaging and computed tomography arthrography to identify structural cartilage defects of the fetlock joint in the horse. Vet. J. 2014, 199, 115–122. [Google Scholar] [CrossRef]
- Omoumi, P.; Berg, B.C.V.; Lecouvet, F.E. Value of CT arthrography in the assessment of cartilage pathology. In Cartilage Imaging: Significance, Techniques, and New Developments; Springer: Berlin/Heidelberg, Germany, 2011; pp. 37–48. [Google Scholar]
- Friemert, B.; Oberländer, Y.; Schwarz, W.; Häberle, H.J.; Bähren, W.; Gerngross, H.; Danz, B. Diagnosis of chondral lesions of the knee joint: Can MRI replace arthroscopy? A prospective study. Knee Surg. Sports Traumatol. Arthrosc. 2004, 12, 58–64. [Google Scholar] [CrossRef]
- Von Engelhardt, L.V.; Schmitz, A.; Burian, B.; Pennekamp, P.H.; Schild, H.H.; Kraft, C.N.; von Falkenhausen, M. 3-Tesla MRI vs. arthroscopy for diagnostics of degenerative knee cartilage diseases: Preliminary clinical results. Orthopade 2008, 37, 914–922. [Google Scholar] [CrossRef]
- Daglish, J.; Frisbie, D.D.; Selberg, K.T.; Barrett, M.F. High field magnetic resonance imaging is comparable with gross anatomy for description of the normal appearance of soft tissues in the equine stifle. Vet. Radiol. Ultrasound 2018, 59, 721–736. [Google Scholar] [CrossRef]
- Santos, M.P.; Gutierrez-Nibeyro, S.D.; McKnight, A.L.; Singh, K. Gross and histopathologic correlation of low-field Magnetic Resonance Imaging findings in the stifle of asymptomatic horses. Vet. Radiol. Ultrasound 2015, 56, 407–416. [Google Scholar] [CrossRef] [PubMed]
- Waselau, M.; McKnight, A.; Kasparek, A. Magnetic resonance imaging of equine stifles: Technique and observations in 76 clinical cases. Equine Vet. Educ. 2020, 32, 85–91. [Google Scholar] [CrossRef]
- Watts, A.E.; Nixon, A.J. Comparison of arthroscopic approaches and accessible anatomic structures during arthroscopy of the caudal pouches of equine femorotibial joints. Vet. Surg. 2006, 35, 219–226. [Google Scholar] [CrossRef] [PubMed]
- Moyer, W.; Schumacher, J.; Schumacher, J. Equine Joint Injection and Regional Anesthesia; Academic Veterinary Solutions: Chadds Ford, PA, USA, 2011. [Google Scholar]
- Schumacher, J.; Schumacher, J.; Wilhite, R. Comparison of four techniques of arthrocentesis of the lateral compartment of the femorotibial joint of the horse. Equine Vet. J. 2012, 44, 664–667. [Google Scholar] [CrossRef] [PubMed]
- Herdrich, M.R.; Arrieta, S.E.; Nelson, B.B.; Frisbie, D.D.; Moorman, V.J. A technique of needle redirection at a single craniolateral site for injection of three compartments of the equine stifle joint. Am. J. Vet. Res. 2017, 78, 1077–1084. [Google Scholar] [CrossRef]
- O’Brien, T.; Baker, T.A.; Brounts, S.H.; Sample, S.J.; Markel, M.D.; Scollay, M.C.; Marquis, P.; Muir, P. Detection of articular pathology of the distal aspect of the third metacarpal bone in thoroughbred racehorses: Comparison of radiography, computed tomography and magnetic resonance imaging. Vet. Surg. 2011, 40, 942–951. [Google Scholar] [CrossRef]
- Bolen, G.; Haye, D.; Dondelinger, R.; Busoni, V. Magnetic resonance signal changes during time in equine limbs refrigerated at 4 degrees C. Vet. Radiol. Ultrasound 2010, 51, 19–24. [Google Scholar] [CrossRef]
- Johnston, G.C.A.; Ahern, B.J.; Woldeyohannes, S.M.; Young, A.C. Does the Low-Field MRI Appearance of Intraosseous STIR Hyperintensity in Equine Cadaver Limbs Change when Subjected to a Freeze-Thaw Process? Animals 2021, 11, 475. [Google Scholar] [CrossRef]
- Kohl, S.; Meier, S.; Ahmad, S.S.; Bonel, H.; Exadaktylos, A.K.; Krismer, A.; Evangelopoulos, D.S. Accuracy of cartilage-specific 3-Tesla 3D-DESS magnetic resonance imaging in the diagnosis of chondral lesions: Comparison with knee arthroscopy. J. Orthop. Surg. Res. 2015, 10, 191. [Google Scholar] [CrossRef]
- Jones, K.J.; Sheppard, W.L.; Arshi, A.; Hinckel, B.B.; Sherman, S.L. Articular Cartilage Lesion Characteristic Reporting Is Highly Variable in Clinical Outcomes Studies of the Knee. Cartilage 2019, 10, 299–304. [Google Scholar] [CrossRef] [PubMed]
- De Filippo, M.; Bertellini, A.; Pogliacomi, F.; Sverzellati, N.; Corradi, D.; Garlaschi, G.; Zompatori, M. Multidetector computed tomography arthrography of the knee: Diagnostic accuracy and indications. Eur. J. Radiol. 2009, 70, 342–351. [Google Scholar] [CrossRef]
- Lee, G.Y.; Kim, S.; Baek, S.H.; Jang, E.C.; Ha, Y.C. Accuracy of Magnetic Resonance Imaging and Computed Tomography Arthrography in Diagnosing Acetabular Labral Tears and Chondral Lesions. Clin. Orthop. Surg. 2019, 11, 21–27. [Google Scholar] [CrossRef] [PubMed]
- Smith, T.O.; Drew, B.T.; Toms, A.P.; Donell, S.T.; Hing, C.B. Accuracy of magnetic resonance imaging, magnetic resonance arthrography and computed tomography for the detection of chondral lesions of the knee. Knee Surg. Sports Traumatol. Arthrosc. 2012, 20, 2367–2379. [Google Scholar] [CrossRef] [PubMed]
- Slattery, C.; Kweon, C.Y. Classifications in Brief: Outerbridge Classification of Chondral Lesions. Clin. Orthop. Relat. Res. 2018, 476, 2101–2104. [Google Scholar] [CrossRef]
- Convery, F.R.; Akeson, W.H.; Keown, G.H. The repair of large osteochondral defects. An experimental study in horses. Clin. Orthop. Relat. Res. 1972, 82, 253–262. [Google Scholar] [CrossRef]
- Salonius, E.; Rieppo, L.; Nissi, M.J.; Pulkkinen, H.J.; Brommer, H.; Brünott, A.; Silvast, T.S.; Van Weeren, P.R.; Muhonen, V.; Brama, P.A.J.; et al. Critical-sized cartilage defects in the equine carpus. Connect. Tissue Res. 2019, 60, 95–106. [Google Scholar] [CrossRef] [PubMed]
- Nelson, B.B.; Mäkelä, J.T.A.; Lawson, T.B.; Patwa, A.N.; Barrett, M.F.; McIlwraith, C.W.; Hurtig, M.B.; Snyder, B.D.; Moorman, V.J.; Grinstaff, M.W.; et al. Evaluation of equine articular cartilage degeneration after mechanical impact injury using cationic contrast-enhanced computed tomography. Osteoarthr. Cartil. 2019, 27, 1219–1228. [Google Scholar] [CrossRef] [PubMed]
- Chellini, D.; Kinman, K. Dual-Energy CT Principles and Applications. Radiol. Technol. 2020, 91, 561ct–576ct. [Google Scholar] [PubMed]
- Goo, H.W.; Goo, J.M. Dual-Energy CT: New Horizon in Medical Imaging. Korean J. Radiol. 2017, 18, 555–569. [Google Scholar] [CrossRef]
- Kajabi, A.W.; Casula, V.; Sarin, J.K.; Ketola, J.H.; Nykänen, O.; Te Moller, N.C.R.; Mancini, I.A.D.; Visser, J.; Brommer, H.; René van Weeren, P.; et al. Evaluation of articular cartilage with quantitative MRI in an equine model of post-traumatic osteoarthritis. J. Orthop. Res. 2021, 39, 63–73. [Google Scholar] [CrossRef] [PubMed]
- Ciliberti, F.K.; Guerrini, L.; Gunnarsson, A.E.; Recenti, M.; Jacob, D.; Cangiano, V.; Tesfahunegn, Y.A.; Islind, A.S.; Tortorella, F.; Tsirilaki, M.; et al. CT- and MRI-Based 3D Reconstruction of Knee Joint to Assess Cartilage and Bone. Diagnostics 2022, 12, 279. [Google Scholar] [CrossRef] [PubMed]





| Joint (n/nc/nn) | Sensitivity MRI (nd) CI | Sensitivity CTA (nd) CI | p-Value | Specificity MRI (nd) CI | Specificity CTA (nd) CI | p-Value |
|---|---|---|---|---|---|---|
| Stifle overall (15/79/68) | 66% (52) | 53% (42) | 0.09 | 52% (35) | 66% (45) | 0.04 * |
| 0.54–0.66 | 0.42–0.64 | 0.39–0.64 | 0.54–0.77 | |||
| FPJ (15/35/25) | 77% (27) | 66% (23) | 0.39 | 36% (9) | 56% (14) | 0.18 |
| 0.60–0.89 | 0.49–0.80 | 0.19–0.54 | 0.36–0.74 | |||
| Medial FTJ (15/27/18) | 63% (17) | 48% (13) | 0.34 | 61% (11) | 72% (13) | 0.62 |
| 0.42–0.81 | 0.29–0.68 | 0.36–0.83 | 0.47–0.90 | |||
| Lateral FTJ (14/17/25) | 47% (8) | 35% (6) | 0.69 | 60% (15) | 72% (18) | 0.45 |
| 0.25–0.71 | 0.17–0.59 | 0.4–0.78 | 0.52–0.87 |
Disclaimer/Publisher’s Note: The statements, opinions and data contained in all publications are solely those of the individual author(s) and contributor(s) and not of MDPI and/or the editor(s). MDPI and/or the editor(s) disclaim responsibility for any injury to people or property resulting from any ideas, methods, instructions or products referred to in the content. |
© 2023 by the authors. Licensee MDPI, Basel, Switzerland. This article is an open access article distributed under the terms and conditions of the Creative Commons Attribution (CC BY) license (https://creativecommons.org/licenses/by/4.0/).
Share and Cite
Bolz, N.M.; Sánchez-Andrade, J.S.; Torgerson, P.R.; Bischofberger, A.S. Diagnostic Performance of Multi-Detector Computed Tomography Arthrography and 3-Tesla Magnetic Resonance Imaging to Diagnose Experimentally Created Articular Cartilage Lesions in Equine Cadaver Stifles. Animals 2023, 13, 2304. https://doi.org/10.3390/ani13142304
Bolz NM, Sánchez-Andrade JS, Torgerson PR, Bischofberger AS. Diagnostic Performance of Multi-Detector Computed Tomography Arthrography and 3-Tesla Magnetic Resonance Imaging to Diagnose Experimentally Created Articular Cartilage Lesions in Equine Cadaver Stifles. Animals. 2023; 13(14):2304. https://doi.org/10.3390/ani13142304
Chicago/Turabian StyleBolz, Nico M., José Suárez Sánchez-Andrade, Paul R. Torgerson, and Andrea S. Bischofberger. 2023. "Diagnostic Performance of Multi-Detector Computed Tomography Arthrography and 3-Tesla Magnetic Resonance Imaging to Diagnose Experimentally Created Articular Cartilage Lesions in Equine Cadaver Stifles" Animals 13, no. 14: 2304. https://doi.org/10.3390/ani13142304
APA StyleBolz, N. M., Sánchez-Andrade, J. S., Torgerson, P. R., & Bischofberger, A. S. (2023). Diagnostic Performance of Multi-Detector Computed Tomography Arthrography and 3-Tesla Magnetic Resonance Imaging to Diagnose Experimentally Created Articular Cartilage Lesions in Equine Cadaver Stifles. Animals, 13(14), 2304. https://doi.org/10.3390/ani13142304

