Porcine Forebrain Vacuolization Associated with Wasting in Pigs: A Novel Pathological Outcome Associated with Vitamin–Mineral Deficiency?
Abstract
Simple Summary
Abstract
1. Introduction
2. Materials and Methods
2.1. Clinical Presentation
2.2. Study Population and Data Collection
2.3. Sample Collection and Histopathology
2.4. Biochemical and Hematological Studies
2.5. Determination of Heavy Metals
2.6. Histochemical and Immunohistochemical Studies
2.7. Molecular Biology
2.8. Transmission Electron Microscopy
2.9. Statistical Analyses
3. Results
3.1. Clinical and Gross Findings
3.2. Biochemistry, Hematology and Heavy Metal Determination in Serum
3.3. Pathogen Detection
3.4. General Histopathological Findings
3.5. Neuropathological Characterization
3.6. Histochemical and Inmunohistochemical Findings of the Brain
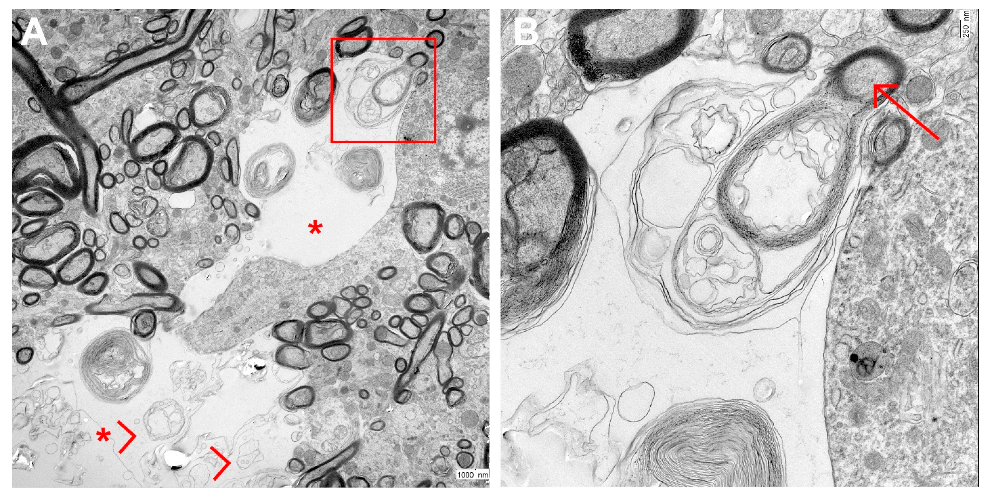
3.7. Transmission Electron Microscopy
4. Discussion
5. Conclusions
Supplementary Materials
Author Contributions
Funding
Institutional Review Board Statement
Informed Consent Statement
Data Availability Statement
Acknowledgments
Conflicts of Interest
References
- Straw, B.; Dewey, C.E.; Wilson, M.R. Differential diagnosis of disease. In Diseases of Swine, 9th ed.; Straw, B.E., Zimmerman, J.J., D’Allaire, S., Taylor, D.J., Eds.; Wiley-Blackwell: Hoboken, NJ, USA, 2006; pp. 241–283. [Google Scholar]
- Deboer, M.D. Animal models of anorexia and cachexia. Expert Opin. Drug Discov. 2009, 4, 1145–1155. [Google Scholar] [CrossRef] [PubMed]
- Ramirez, A.; Karriker, L. Heard evaluation. In Diseases of Swine, 11th ed.; Zimmerman, J., Karriker, L.A., Ramirez, A., Schwartz, K.J., Stevenson, G.W., Zhang, J., Eds.; Wiley-Blackwell: Hoboken, NJ, USA, 2019; pp. 3–17. [Google Scholar]
- Muirhead Michael, R. Managing health in the farrowing and sucking period. In Managing Pig Health, 2nd ed.; Carr, J., Ed.; 5m Books: Great Easton, UK, 2013; pp. 269–327. [Google Scholar]
- Vandevelde, M.; Higgins, R.; Oevermann, A. Metabolic-toxic diseases. In Veterinary Neuropathology: Essentials of Theory and Practice; Wiley-Blackwell: Hoboken, NJ, USA, 2012; pp. 106–128. [Google Scholar]
- Cantile, C.; Youssed, S. Nervous system. In Jubb, Kennedy and Palmer’s Pathology of Domestic Animals; Grant Maxine, M., Ed.; Elsevier: Amsterdam, The Netherlands, 2016; pp. 346–347. [Google Scholar]
- Darin, M.; Paulo, H.E.; Arruda, B.L. Nervous and locomotor system. In Diseases of Swine, 11th ed.; Zimmerman, J., Karriker, L.A., Ramirez, A., Schwartz, K.J., Stevenson, G.W., Zhang, J., Eds.; Wiley-Blackwell: Hoboken, NJ, USA, 2019; pp. 3–17. [Google Scholar]
- Arruda, B.L.; Arruda, P.H.; Magstadt, D.R.; Schwartz, K.J.; Dohlman, T.; Schleining, J.A.; Patterson, A.R.; Visek, C.A.; Victoria, J.G. Identification of a Divergent Lineage Porcine Pestivirus in Nursing Piglets with Congenital Tremors and Reproduction of Disease following Experimental Inoculation. PLoS ONE 2016, 11, e0150104. [Google Scholar] [CrossRef] [PubMed]
- Hedman, C.; Bolea, R.; Marín, B.; Cobrière, F.; Filali, H.; Vazquez, F.; Pitarch, J.L.; Vargas, A.; Acín, C.; Moreno, B.; et al. Transmission of sheep-bovine spongiform encephalopathy to pigs. BMC Vet. Res. 2016, 47, 14. [Google Scholar] [CrossRef] [PubMed]
- Konold, T.; Spiropoulos, J.; Chaplin, M.J.; Thorne, L.; Spencer, Y.I.; Wells, G.A.; Hawkins, S.A. Transmissibility studies of vacuolar changes in the rostral colliculus of pigs. BMC Vet. Res. 2009, 5, 35. [Google Scholar] [CrossRef]
- Ryder, S.J.; Hawkins, S.A.C.; Dawson, M.; Wells, G.A.H. The Neuropathology of Experimental Bovine Spongiform Encephalopathy in the Pig. J. Comp. Pathol. 2000, 122, 131–143. [Google Scholar] [CrossRef]
- Saporiti, V.; Huerta, E.; Correa-Fiz, F.; Grosse Liesner, B.; Duran, O.; Segalés, J.; Sibila, M. Detection and genotyping of Porcine circovirus 2 (PCV-2) and detection of Porcine circovirus 3 (PCV-3) in sera from fattening pigs of different European countries. Transbound. Emerg. Dis. 2020, 67, 2521–2531. [Google Scholar] [CrossRef]
- Mateo, E.; Martín, M.; Vidal, D. Genetic diversity, and phylogenetic analysis of glycoprotein 5 of European-type porcine reproductive and respiratory virus strains in Spain. J. Gen. Virol. 2003, 84 Pt 3, 529–534. [Google Scholar] [CrossRef]
- Nadeem, M.; Spitzbarth, I.; Haist, V.; Rohn, K.; Tauscher, K.; Rohn, K.; Bossers, A.; Langeveld, J.; Papasavva-Stylianou, P.; Groschup, M.H.; et al. Immunolabelling of non-phosphorylated neurofilament indicates damage of spinal cord axons in TSE-infected goats. Vet. Rec. 2016, 178, 141. [Google Scholar] [CrossRef]
- Jackson, P.G.G.; Cockcroft, P.D. Clinical examination of the pig. In Clinical Examination of Farm Animals; Jackson, P.G.G., Ed.; Wiley-Blackwell: Hoboken, NJ, USA, 2002; pp. 251–278. [Google Scholar]
- Loynachan, N.A.R. Cardiovascular and Hematopoietic systems. In Diseases of Swine, 11th ed.; Zimmerman, J., Karriker, L.A., Ramirez, A., Schwartz, K.J., Stevenson, G.W., Zhang, J., Eds.; Wiley-Blackwell: Hoboken, NJ, USA, 2019; pp. 223–233. [Google Scholar]
- Chałabis-Mazurek, A.; Valverde Piedra, J.L.; Muszyński, S.; Tomaszewska, E.; Szymańczyk, S.; Kowalik, S.; Arciszewski, M.B.; Zacharko-Siembida, A.; Schwarz, T. The Concentration of Selected Heavy Metals in Muscles, Liver and Kidneys of Pigs Fed Standard Diets and Diets Containing 60% of New Rye Varieties. Animals 2021, 11, 1377. [Google Scholar] [CrossRef]
- Schöne, F.; Zimmermann, C.; Quanz, G.; Richter, G.; Leiterer, M. A high dietary iodine increases thyroid iodine stores and iodine concentration in blood serum but has little effect on muscle iodine content in pigs. Meat Sci. 2006, 72, 365–372. [Google Scholar] [CrossRef]
- Félix, B.; Léger, M.E.; Albe-Fessard, D.; Marcilloux, J.C.; Rampin, O.; Laplace, J.P. Stereotaxic atlas of the pig brain. Brain Res. Bull. 1999, 49, 1–137. [Google Scholar] [CrossRef] [PubMed]
- Herskin, M.S.; Jensen, H.E.; Jespersen, A.; Forkman, B.; Jensen, M.B.; Canibe, N.; Pedersen, L.J. Impact of the amount of straw provided to pigs kept in intensive production conditions on the occurrence and severity of gastric ulceration at slaughter. Res. Vet. Sci. 2016, 104, 200–206. [Google Scholar] [CrossRef]
- Chantziaras, I.; Dewulf, J.; Van Limbergen, T.; Klinkenberg, M.; Palzer, A.; Pineiro, C.; Aarestrup Moustsen, V.; Niemi, J.; Kyriazakis, I.; Maes, D. Factors associated with specific health, welfare and reproductive performance indicators in pig herds from five EU countries. Prev. Vet Med. 2018, 159, 106–114. [Google Scholar] [CrossRef] [PubMed]
- Metzger, C.D.; van der Werf, Y.D.; Walter, M. Functional mapping of thalamic nuclei and their integration into cortico-striatal-thalamo-cortical loops via ultra-high resolution imaging-from animal anatomy to in vivo imaging in humans. Front. Neurosci. 2013, 7, 24. [Google Scholar] [CrossRef] [PubMed]
- Li, F.Y.; Cuddon, P.A.; Song, J.; Wood, S.L.; Patterson, J.S.; Shelton, G.D.; Duncan, I.D. Canine spongiform leukoencephalomyelopathy is associated with a missense mutation in cytochrome b. Neurobiol. Dis. 2006, 21, 35–42. [Google Scholar] [CrossRef] [PubMed]
- García, J.; Batlle, M.; Romero, A.; Alvarez, E.; Dutra, F. Spongiform leukoencephalopathy in an adult mixed breed female dog. Braz. J. Vet. Pathol. 2020, 13, 519–523. [Google Scholar] [CrossRef]
- Zachary, J.F.; O’Brien, D.P. Spongy degeneration of the central nervous system in two canine littermates. Vet. Pathol. 1985, 22, 561–571. [Google Scholar] [CrossRef]
- Kortz, G.D.; Meier, W.A.; Higgins, R.J.; French, R.A.; McKiernan, B.C.; Fatzer, R.; Zachary, J.F. Neuronal vacuolation and spinocerebellar degeneration in young rottweiler dogs. Vet. Pathol. 1997, 34, 296–302. [Google Scholar] [CrossRef]
- Mhlanga-Mutangadura, T.; Johnson, G.S.; Schnabel, R.D.; Taylor, J.F.; Johnson, G.C.; Katz, M.L.; Shelton, G.D.; Lever, T.E.; Giuliano, E.; Granger, N.; et al. A mutation in the Warburg syndrome gene, RAB3GAP1, causes a similar syndrome with polyneuropathy and neuronal vacuolation in Black Russian Terrier dogs. Neurobiol. Dis. 2016, 86, 75–85. [Google Scholar] [CrossRef]
- Healy, P.J.; Dennis, J.A. Heterozygote detection for maple syrup urine disease in cattle. Aust. Vet. J. 1995, 72, 346–348. [Google Scholar] [CrossRef]
- Hamir, A.N.; Miller, J.M.; Yaeger, M.J. Neuronal vacuolation in an adult ferret. Can. Vet. J. 2007, 48, 389–391. [Google Scholar] [PubMed]
- Vidal, E.; Montoliu, P.; Añor, S.; Sisó, S.; Ferrer, I.; Pumarola, M. A novel spongiform degeneration of the grey matter in the brain of a kitten. J. Comp. Pathol. 2004, 131, 98–103. [Google Scholar] [CrossRef] [PubMed]
- Bates, M.C.; Rowdy, P.; Lehner, A.F.; Buchweitz, J.P.; Heggem-Perry, B.; Lezmi, S. Atypical bromethalin intoxication in a dog: Pathologic features and identification of an isomeric breakdown product. BMC Vet. Res. 2015, 11, 244. [Google Scholar] [CrossRef]
- Takahashi, M.; Seimiya, Y.M.; Asano, T.; Tamura, T.; Kubo, M.; Kimura, K.M.; Haritani, M. Lead Poisoning with Neuropil Vacuolation at the Bovine Dorsal Vagus Nuclei. J. Jpn. Vet. Med. Assoc. 2003, 56, 249–252. [Google Scholar] [CrossRef]
- Anholt, H.; Himsworth, C.; Britton, A. Polioencephalomalacia and Heart Failure Secondary to Presumptive Thiamine Deficiency, Hepatic Lipidosis, and Starvation in 2 Abandoned Siamese Cats. Vet. Pathol. 2016, 53, 840–843. [Google Scholar] [CrossRef]
- Marks, S.L.; Lipsitz, D.; Vernau, K.M.; Dickinson, P.J.; Draper, W.; Larsen, J.A.; Fascetti, A.J. Reversible encephalopathy secondary to thiamine deficiency in 3 cats ingesting commercial diets. J. Vet. Intern. Med. 2011, 25, 949–953. [Google Scholar] [CrossRef] [PubMed]
- Kritikos, G.; Parr, J.M.; Verbrugghe, A. The Role of Thiamine and Effects of Deficiency in Dogs and Cats. Vet. Sci. 2017, 4, 59. [Google Scholar] [CrossRef]





| Farm ID (Number of Studied Pigs) | Gross Lesions | Histological Features | ||
|---|---|---|---|---|
| Healthy | Clinically Affected | Healthy | Clinically Affected | |
| 1 (n = 10) | - Gastric erosions of pars oesophagea (1/5). | - Gastric erosions (2/5). - Gastric ulceration of pars oesophagea (1/5). - Serous fat atrophy (2/5). - Nasal turbinate atrophy (2/5). - Cranioventral pulmonary consolidation (1/5). | - Non-suppurative rhinitis (4/5). - Inclusion body rhinitis (1/5). - Non-suppurative gastritis (1/5). - Non-suppurative colitis (1/5). - Vacuolization of the thalamus neuropil (1/5). | - Non-suppurative rhinitis (5/5). - Non-suppurative gastritis (4/5). - Ulcerative gastritis (1/5). - Non-suppurative colitis (2/5). - Balantidium coli infection (1/5). - Vacuolation of the thalamus neuropil (3/5). |
| Average weight: 16.24 kg. (Range: 14.82–17.56 kg) | Average weight: 12.40 kg. (Range: 11.78–14.18 kg) | |||
| 2 (n = 10) | - Hyperkeratosis of the gastric pars oesophagea (3/5). | - No gross lesions. | - Non-suppurative rhinitis (5/5). - Inclusion body rhinitis (2/5). - Non-suppurative gastritis (4/5). | - Non-suppurative rhinitis (4/5). - Inclusion body rhinitis (1/5). - Non-suppurative gastritis (2/5). - Atrophy and fusion of intestinal villi (1/5). - Non-suppurative colitis (1/5). - Vacuolation of the thalamus neuropil (4/5). |
| Average weight: 15.59 kg (Range: 12.30–18.34 kg) | Average weight: 9.02 kg. (Range: 8.28–9.42 kg) | |||
| 3 (n = 10) * | Not available. | - Mild cranioventral pulmonary consolidation and focal fibrous pleuritis (1/10). - Gastric erosions of pars oesophagea (1/10) - Pulmonary abscess (1/10). | Not available. | - Suppurative bronchopneumonia and pulmonary sequestrum (2/10). - Mild interstitial pneumonia (2/10). - Non-suppurative rhinitis (7/10). - Ulcerative gastritis (2/10). - Non-suppurative colitis (3/10). - Vacuolation of thalamus, cerebellum and pons neuropil (8/10). |
| Average weight: 7.4 kg. (Range: 6.20–10.04 kg) | ||||
| 4 (n = 10) | - Umbilical abscess (1/5). - Cranioventral pulmonary consolidation (1/5). - Fibrous pericarditis (2/5). - Gastric erosions of pars oesophagea (3/5). | - Otohematoma (1/5). - Cranioventral pulmonary consolidation (1/5). - Gastric ulceration of pars oesophagea (1/5). | - Non-suppurative rhinitis (4/5). - Non-suppurative colitis (1/5). - Fibrous/fibrinous pericarditis (1/5). | - Non-suppurative rhinitis (4/5). - Non-suppurative gastritis (1/5). - Vacuolization of thalamus, cerebellum and subcortical neuropil (4/5). |
| Average weight: 18.04 kg. (Range: 14.20–20.94 kg) | Average weight: 8.88 kg. (Range: 7.46–10.82 kg) | |||
| 5 (n = 11) | - Hyperkeratosis of gastric pars esophagica (2/5). - Gastric erosion of pars oesophagea (1/5). - Umbilical abscess (1/5). | - Hyperkeratosis of gastric pars oesophagea (2/6). - Erosion/ulceration of gastric pars oesophagea (3/6). - Umbilical abscess (1/6). - Pneumonia (1/6). | - Interstitial pneumonia (1/5). - Non-suppurative rhinitis (4/5). | - Suppurative bronchopneumonia (1/6). - Non-suppurative rhinitis (5/6). - Non-suppurative gastritis (5/6). - Vacuolation of the thalamus neuropil (4/6). |
| Average weight: 17.02 kg. (Range: 15.00–23.00 kg) | Average weight: 8.2 kg. (Range: 4.50–11.50 kg) | |||
| 6 (n = 10) | Not available. | Not available. | - Vacuolization of the thalamus neuropil (2/5). | - Vacuolization of the thalamus neuropil (4/5). |
| 7 (n = 5) | Not available. | Not available. | - Vacuolization of the thalamus neuropil (5/5). | |
| 8 (n = 10) First batch | - No gross lesions. | - Variable colonic lymphoid hyperplasia (4/5). - Periarticular abscess (1/5). | - Non-suppurative rhinitis (1/5). - Non-suppurative gastritis (1/5). - Non-suppurative colitis (1/5). -Vacuolization of the thalamus neuropil (1/5). | - Interstitial pneumonia (4/5). - Non-suppurative rhinitis (1/5). - Non-suppurative gastritis (2/5). - Non-suppurative colitis (4/5). - Non-suppurative hepatitis (1/5). - Vacuolization of the thalamus neuropil (4/5). |
| Average weight: 14.33 kg. (Range: 9.98–16.70 kg) | Average weight: 8.88 kg. (Range: 7.64–9.58 kg) | |||
| 8 (n = 5) Second batch ** | - Not available. | - Not available. | - Not available. | - Vacuolization of thalamus and subcortical white matter neuropil (4/5). |
Disclaimer/Publisher’s Note: The statements, opinions and data contained in all publications are solely those of the individual author(s) and contributor(s) and not of MDPI and/or the editor(s). MDPI and/or the editor(s) disclaim responsibility for any injury to people or property resulting from any ideas, methods, instructions or products referred to in the content. |
© 2023 by the authors. Licensee MDPI, Basel, Switzerland. This article is an open access article distributed under the terms and conditions of the Creative Commons Attribution (CC BY) license (https://creativecommons.org/licenses/by/4.0/).
Share and Cite
Ruiz-Riera, E.; Vidal, E.; Canturri, A.; Lehmbecker, A.; Cuvertoret, M.; Lopez-Figueroa, C.; Baumgärtner, W.; Domingo, M.; Segalés, J. Porcine Forebrain Vacuolization Associated with Wasting in Pigs: A Novel Pathological Outcome Associated with Vitamin–Mineral Deficiency? Animals 2023, 13, 2255. https://doi.org/10.3390/ani13142255
Ruiz-Riera E, Vidal E, Canturri A, Lehmbecker A, Cuvertoret M, Lopez-Figueroa C, Baumgärtner W, Domingo M, Segalés J. Porcine Forebrain Vacuolization Associated with Wasting in Pigs: A Novel Pathological Outcome Associated with Vitamin–Mineral Deficiency? Animals. 2023; 13(14):2255. https://doi.org/10.3390/ani13142255
Chicago/Turabian StyleRuiz-Riera, E., E. Vidal, A. Canturri, A. Lehmbecker, M. Cuvertoret, C. Lopez-Figueroa, W. Baumgärtner, M. Domingo, and J. Segalés. 2023. "Porcine Forebrain Vacuolization Associated with Wasting in Pigs: A Novel Pathological Outcome Associated with Vitamin–Mineral Deficiency?" Animals 13, no. 14: 2255. https://doi.org/10.3390/ani13142255
APA StyleRuiz-Riera, E., Vidal, E., Canturri, A., Lehmbecker, A., Cuvertoret, M., Lopez-Figueroa, C., Baumgärtner, W., Domingo, M., & Segalés, J. (2023). Porcine Forebrain Vacuolization Associated with Wasting in Pigs: A Novel Pathological Outcome Associated with Vitamin–Mineral Deficiency? Animals, 13(14), 2255. https://doi.org/10.3390/ani13142255

