Effects of Atmospheric Ammonia on Skeletal Muscle Growth in Broilers
Abstract
Simple Summary
Abstract
1. Introduction
2. Materials and Methods
2.1. Experimental Design
2.2. Sample Collection
2.3. Serum Biochemical Indexes Analysis
2.4. Morphology and Analysis of Skeletal Muscle Tissue
2.5. RNA Extraction and Reverse-Transcription PCR
2.6. Relative Quantitative Real-Time PCR Analysis
2.7. Data Analysis
3. Results
3.1. Effect of Ammonia Exposure on the Muscle Weight
3.2. Effect of Ammonia Exposure on Serum Biochemical Indexes
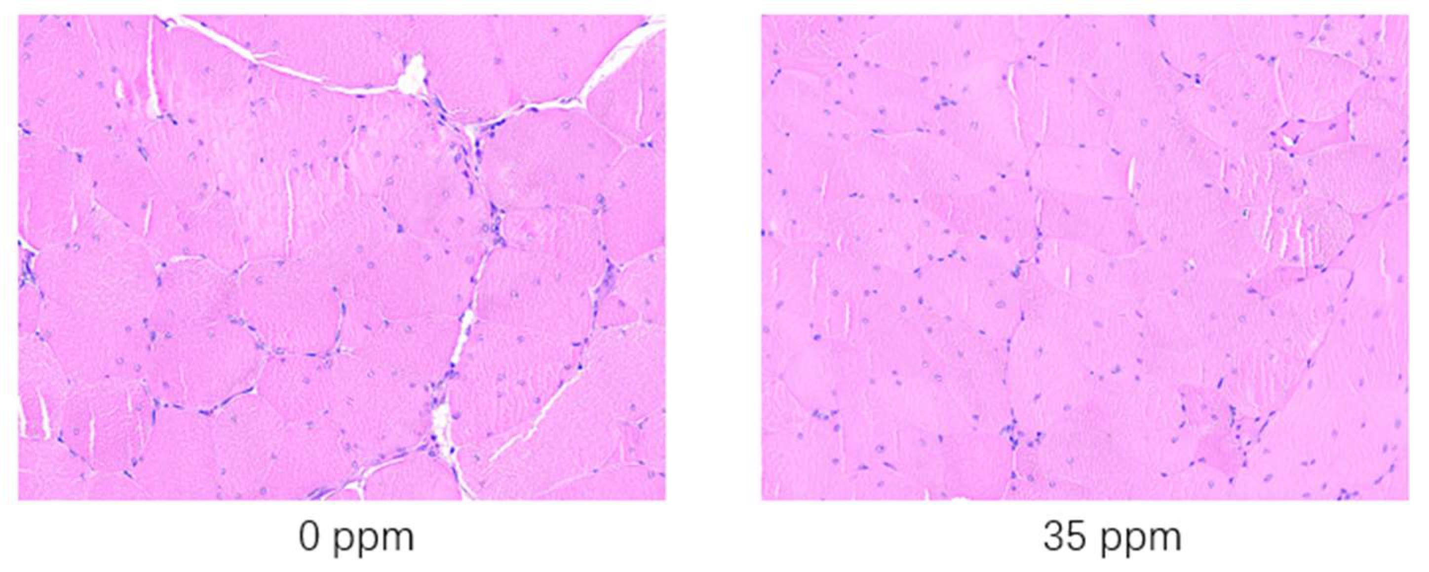
3.3. Effect of Ammonia Exposure on Skeletal Muscle Fibres and Tissue Morphology
3.4. Effect of Ammonia Exposure on the Expression of Genes Associated with Skeletal Muscle Growth
4. Discussion
5. Conclusions
Author Contributions
Funding
Institutional Review Board Statement
Informed Consent Statement
Data Availability Statement
Conflicts of Interest
References
- Naseem, S.; King, A.J. Ammonia production in poultry houses can affect health of humans, birds, and the environment—Techniques for its reduction during poultry production. Environ. Sci. Pollut. Res. 2018, 25, 15269–15293. [Google Scholar] [CrossRef] [PubMed]
 - Wathes, C.M.; Jones, C.D.; Webster, A.J. Ventilation, air hygiene and animal health. Vet. Rec. 1983, 113, 554. [Google Scholar] [PubMed]
 - Xing, H.; Luan, S.; Sun, Y.; Sa, R.; Zhang, H. Effects of ammonia exposure on carcass traits and fatty acid composition of broiler meat. Anim. Nutr. 2016, 2, 282–287. [Google Scholar] [CrossRef] [PubMed]
 - Yi, B.; Chen, L.; Sa, R.; Zhong, R.; Xing, H.; Zhang, H. High concentrations of atmospheric ammonia induce alterations of gene expression in the breast muscle of broilers (Gallus gallus) based on RNA-Seq. BMC Genom. 2016, 17, 598. [Google Scholar] [CrossRef] [PubMed]
 - Robert, W.; Annesophie, B.; Viola, G.; Peter, Z. Dynamics of muscle fibre growth during postnatal mouse development. BMC Dev. Biol. 2010, 10, 21. [Google Scholar]
 - Schiaffino, S.; Dyar, K.A.; Ciciliot, S.; Blaauw, B.; Sandri, M. Mechanisms regulating skeletal muscle growth and atrophy. FEBS J. 2013, 280, 4294–4314. [Google Scholar] [CrossRef]
 - Latres, E.; Amini, A.R.; Amini, A.A.; Griffiths, J.; Martin, F.J.; Wei, Y.; Lin, H.C.; Yancopoulos, G.D.; Glass, D.J. Insulin-like Growth Factor-1 (IGF-1) Inversely Regulates Atrophy-induced Genes via the Phosphatidylinositol 3-Kinase/Akt/Mammalian Target of Rapamycin (PI3K/Akt/mTOR) Pathway. J. Biol. Chem. 2005, 280, 2737–2744. [Google Scholar] [CrossRef]
 - Li, J.; Johnson, S.E. ERK2 is required for efficient terminal differentiation of skeletal myoblasts. Biochem. Biophys. Res. Commun. 2006, 345, 1425–1433. [Google Scholar] [CrossRef]
 - Monier, S.; Le Cam, A.; Le Marchand-Brustel, Y. Insulin and insulin-like growth factor I. Effects on protein synthesis in isolated muscles from lean and goldthioglucose-obese mice. Diabetes 1983, 32, 392–397. [Google Scholar] [CrossRef]
 - Sacheck, J.M.; Ohtsuka, A.; McLary, S.C.; Goldberg, A.L. IGF-I stimulates muscle growth by suppressing protein breakdown and expression of atrophy-related ubiquitin ligases, atrogin-1 and MuRF1. Am. J. Physiol.-Endocrinol. Metab. 2004, 287, E591–E601. [Google Scholar] [CrossRef]
 - Rommel, C.; Bodine, S.; Clarke, B.A.; Rossman, R.; Nunez, L.; Stitt, T.N.; Yancopoulos, G.D.; Glass, D.J. Mediation of IGF-1-induced skeletal myotube hypertrophy by PI(3)K/Akt/mTOR and PI(3)K/Akt/GSK3 pathways. Nat. Cell Biol. 2001, 3, 1009–1013. [Google Scholar] [CrossRef] [PubMed]
 - Taylor, W.E.; Bhasin, S.; Artaza, J.; Byhower, F.; Azam, M.; Willard, D.H., Jr.; Kull, F.C., Jr.; Gonzalez-Cadavid, N. Myostatin inhibits cell proliferation and protein synthesis in C2C12 muscle cells. Am. J. Physiol.-Endocrinol. Metab. 2001, 280, E221. [Google Scholar] [CrossRef]
 - Lee, S.-J.; Huynh, T.V.; Lee, Y.-S.; Sebald, S.M.; Wilcox-Adelman, S.A.; Iwamori, N.; Lepper, C.; Matzuk, M.M.; Fan, C.-M. Role of satellite cells versus myofibers in muscle hypertrophy induced by inhibition of the myostatin/activin signaling pathway. Proc. Natl. Acad. Sci. USA 2012, 109, E2353–E2360. [Google Scholar] [CrossRef] [PubMed]
 - Brooke, M.H.; Kaiser, K.K. Three ‘myosin adenosine triphosphatase’ systems: The nature of their pH lability and sulfhydryl dependence. J. Histochem. Cytochem. 1970, 18, 670–672. [Google Scholar] [CrossRef] [PubMed]
 - Ashmore, C.; Doerr, L. Comparative aspects of muscle fiber types in different species. Exp. Neurol. 1971, 31, 408–418. [Google Scholar] [CrossRef] [PubMed]
 - Yan, Z.; Okutsu, M.; Akhtar, Y.N.; Lira, V.A. Regulation of exercise-induced fiber type transformation, mitochondrial biogenesis, and angiogenesis in skeletal muscle. J. Appl. Physiol. 2011, 110, 264–274. [Google Scholar] [CrossRef] [PubMed]
 - Girgenrath, S.; Song, K.; Whittemore, L.-A. Loss of myostatin expression alters fiber-type distribution and expression of myosin heavy chain isoforms in slow- and fast-type skeletal muscle. Muscle Nerve 2005, 31, 34–40. [Google Scholar] [CrossRef]
 - Zhou, Y.; Zhang, M.; Liu, Q.; Feng, J. The alterations of tracheal microbiota and inflammation caused by different levels of ammonia exposure in broiler chickens. Poult. Sci. 2021, 100, 685–696. [Google Scholar] [CrossRef]
 - Miles, D.M.; Branton, S.L.; Lott, B.D. Atmospheric Ammonia is Detrimental to the Performance of Modern Commercial Broilers. Poult. Sci. 2004, 83, 1650–1654. [Google Scholar] [CrossRef]
 - Shin, J.E.; Park, S.J.; Ahn, S.I.; Choung, S.-Y. Soluble Whey Protein Hydrolysate Ameliorates Muscle Atrophy Induced by Immobilization via Regulating the PI3K/Akt Pathway in C57BL/6 Mice. Nutrients 2020, 12, 3362. [Google Scholar] [CrossRef]
 - Goh, Q.; Millay, D.P. Requirement of myomaker-mediated stem cell fusion for skeletal muscle hypertrophy. eLife 2017, 6, e20007. [Google Scholar] [CrossRef]
 - Mirzoev, T.M. Skeletal Muscle Recovery from Disuse Atrophy: Protein Turnover Signaling and Strategies for Accelerating Muscle Regrowth. Int. J. Mol. Sci. 2020, 21, 7940. [Google Scholar] [CrossRef]
 - Liu, Z.; Nie, R.; Liu, Y.; Li, Z.; Yang, C.; Xiong, Z. Effects of total soy saponins on free radicals in the quadriceps femoris, serum testosterone, LDH, and BUN of exhausted rats. J. Sport Health Sci. 2017, 6, 359–364. [Google Scholar] [CrossRef]
 - Moss, F.P. The relationship between the dimensions of the fibres and the number of nuclei during normal growth of skeletal muscle in the domestic fowl. Am. J. Anat. 1968, 122, 555–563. [Google Scholar] [CrossRef]
 - Yoshida, T.; Delafontaine, P. Mechanisms of IGF-1-Mediated Regulation of Skeletal Muscle Hypertrophy and Atrophy. Cells 2020, 9, 1970. [Google Scholar] [CrossRef] [PubMed]
 - Bibollet-Bahena, O.; Almazan, G. IGF-1-stimulated protein synthesis in oligodendrocyte progenitors requires PI3K/mTOR/Akt and MEK/ERK pathways. J. Neurochem. 2009, 109, 1440–1451. [Google Scholar] [CrossRef]
 - Cheng, C.-H.; Yang, F.-F.; Liao, S.-A.; Miao, Y.-T.; Ye, C.-X.; Wang, A.-L. Effect of acute ammonia exposure on expression of GH/IGF axis genes GHR1, GHR2 and IGF-1 in pufferfish (Takifugu obscurus). Fish Physiol. Biochem. 2015, 41, 495–507. [Google Scholar] [CrossRef] [PubMed]
 - Liu, R.; Li, G.; Ma, H.; Zhou, X.; Wang, P.; Zhao, Y. Transcriptome profiling of the diaphragm in a controlled mechanical ventilation model reveals key genes involved in ventilator-induced diaphragmatic dysfunction. BMC Genom. 2021, 22, 472. [Google Scholar] [CrossRef]
 - Samant, S.A.; Kanwal, A.; Pillai, V.B.; Bao, R.; Gupta, M.P. The histone deacetylase SIRT6 blocks myostatin expression and development of muscle atrophy. Sci. Rep. 2017, 7, 11877. [Google Scholar] [CrossRef] [PubMed]
 - Kang, L.S.; Kim, S.; Dominguez, J.M.; Sindler, A.L.; Dick, G.M.; Muller-Delp, J.M. Aging and muscle fiber type alter K+ channel contributions to the myogenic response in skeletal muscle arterioles. J. Appl. Physiol. 2009, 107, 389–398. [Google Scholar] [CrossRef]
 - Crew, J.R.; Falzari, K.; Dimario, J.X. Muscle fiber type specific induction of slow myosin heavy chain 2 gene expression by electrical stimulation. Exp. Cell Res. 2010, 316, 1039–1049. [Google Scholar] [CrossRef] [PubMed]
 - Tidyman, W.E.; Moore, L.A.; Bandman, E. Expression of fast myosin heavy chain transcripts in developing and dystrophic chicken skeletal muscle. Dev. Dyn. 1997, 208, 491–504. [Google Scholar] [CrossRef]
 - van de Laarse, W.J.; Des Tombe, A.L.; Groot, L.D.; Diegenbach, P.C. Size principle of striated muscle cells. Neth. J. Zool. 1998, 48, 213–223. [Google Scholar]
 - Shan, T.; Liang, X.; Bi, P.; Kuang, S. Myostatin knockout drives browning of white adipose tissue through activating the AMPK-PGC1α-Fndc5 pathway in muscle. FASEB J. 2013, 27, 1981–1989. [Google Scholar] [CrossRef] [PubMed]
 


| Ingredients (g/kg) | Content (%) | 
|---|---|
| Corn | 56.51 | 
| Soybean meal | 35.52 | 
| Soybean oil | 4.50 | 
| NaCl | 0.30 | 
| Limestone | 1.00 | 
| Dicalcium phosphate | 1.78 | 
| DL-Methionine | 0.11 | 
| Premix 1 | 0.28 | 
| Total | 100.00 | 
| Calculated Nutrient Levels | Content | 
|---|---|
| Metabolizable energy (MJ/kg) | 12.73 | 
| Crude protein (g/kg) | 20.07 | 
| Available Phosphorus (g/kg) | 0.40 | 
| Calcium (g/kg) | 0.90 | 
| Lysine (g/kg) | 1.00 | 
| Methionine (g/kg) | 0.42 | 
| Methionine + cysteine (g/kg) | 0.78 | 
| Gene Name | Gene ID | Primer Sequence | 
|---|---|---|
| MyHC-FWM | 768566 | GTCTGGAGAAGACATGCCGA | 
| ACGAGCTCTTTGAGCATTAACATC | ||
| MyHC-FRM | 417310 | ATTCACGGCAGGTGGAAGAA | 
| TCCTCTGTGCGCTGAATAGC | ||
| MyHC-SM | U85022 | CGAGGAGAAGGCCAAGAAGG | 
| TTCTTCATCCGCTCCAGGTG | ||
| IGF-1 | 418090 | GAGTTGTGACCTGAGGAGGC | 
| TTTGGCATATCAGTGTGGCG | ||
| MSTN | 373964 | TGCAATGCTTGTACGTGGAG | 
| AGTGGAGGAGCTTTGGGTAAA | ||
| Reference gene | 425619 | TTGCTGCTGGAGATGACAAG | 
| CTTCTTGATACGCCTGTTG | 
| Breast Muscle Weight/g (Half) | Thigh Muscle Weight/g (Half) | Body Weight/kg | ||
|---|---|---|---|---|
| Day 7 | 0 ppm | 111.68 ± 4.07 | 94.26 ± 3.75 | 1.31 ± 0.03 a | 
| 35 ppm | 100.18 ± 5.22 | 86.39 ± 2.68 | 1.15 ± 0.02 b | |
| 0.1013 | 0.1068 | p < 0.05 | ||
| Day 21 | 0 ppm | 318.43 ± 10.28 a | 233.68 ± 6.58 a | 3.05 ± 0.02 a | 
| 35 ppm | 246.63 ± 8.35 b | 183.97 ± 5.16 b | 2.45 ± 0.05 b | |
| p < 0.05 | p < 0.05 | p < 0.05 | 
| TP g/L | ALB g/L | BUN mmol/L | ||
|---|---|---|---|---|
| Day 7 | 0 ppm | 26.57 ± 0.46 | 12.07 ± 0.24 | 0.25 ± 0.06 | 
| 35 ppm | 27.07 ± 0.64 | 12.37 ± 0.41 | 0.41 ± 0.07 | |
| - | - | - | ||
| Day 21 | 0 ppm | 28.75 ± 1.21 | 12.97 ± 0.38 | 0.28 ± 0.03 b | 
| 35 ppm | 28.5 ± 1.07 | 11.67 ± 0.63 | 0.49 ± 0.05 a | |
| - | - | p < 0.05 | 
| Diameter of Muscle Cells/mm | Muscle Fibre Density n/mm2 | |
|---|---|---|
| 0 ppm | 0.090 ± 0.007 a | 139.35 ± 8.68 b | 
| 35 ppm | 0.075 ± 0.008 b | 205.57 ± 14.33 a | 
| p < 0.05 | p < 0.05 | 
Disclaimer/Publisher’s Note: The statements, opinions and data contained in all publications are solely those of the individual author(s) and contributor(s) and not of MDPI and/or the editor(s). MDPI and/or the editor(s) disclaim responsibility for any injury to people or property resulting from any ideas, methods, instructions or products referred to in the content.  | 
© 2023 by the authors. Licensee MDPI, Basel, Switzerland. This article is an open access article distributed under the terms and conditions of the Creative Commons Attribution (CC BY) license (https://creativecommons.org/licenses/by/4.0/).
Share and Cite
Zhao, X.; Wang, G.; Han, H.; Zhou, Y.; Feng, J.; Zhang, M. Effects of Atmospheric Ammonia on Skeletal Muscle Growth in Broilers. Animals 2023, 13, 1926. https://doi.org/10.3390/ani13121926
Zhao X, Wang G, Han H, Zhou Y, Feng J, Zhang M. Effects of Atmospheric Ammonia on Skeletal Muscle Growth in Broilers. Animals. 2023; 13(12):1926. https://doi.org/10.3390/ani13121926
Chicago/Turabian StyleZhao, Xin, Guangju Wang, Hongyu Han, Ying Zhou, Jinghai Feng, and Minhong Zhang. 2023. "Effects of Atmospheric Ammonia on Skeletal Muscle Growth in Broilers" Animals 13, no. 12: 1926. https://doi.org/10.3390/ani13121926
APA StyleZhao, X., Wang, G., Han, H., Zhou, Y., Feng, J., & Zhang, M. (2023). Effects of Atmospheric Ammonia on Skeletal Muscle Growth in Broilers. Animals, 13(12), 1926. https://doi.org/10.3390/ani13121926
        
