XX/XY Chimerism in Internal Genitalia of a Virilized Heifer
Abstract
Simple Summary
Abstract
1. Introduction
2. Material and Methods
2.1. Animals
2.2. Histological Studies
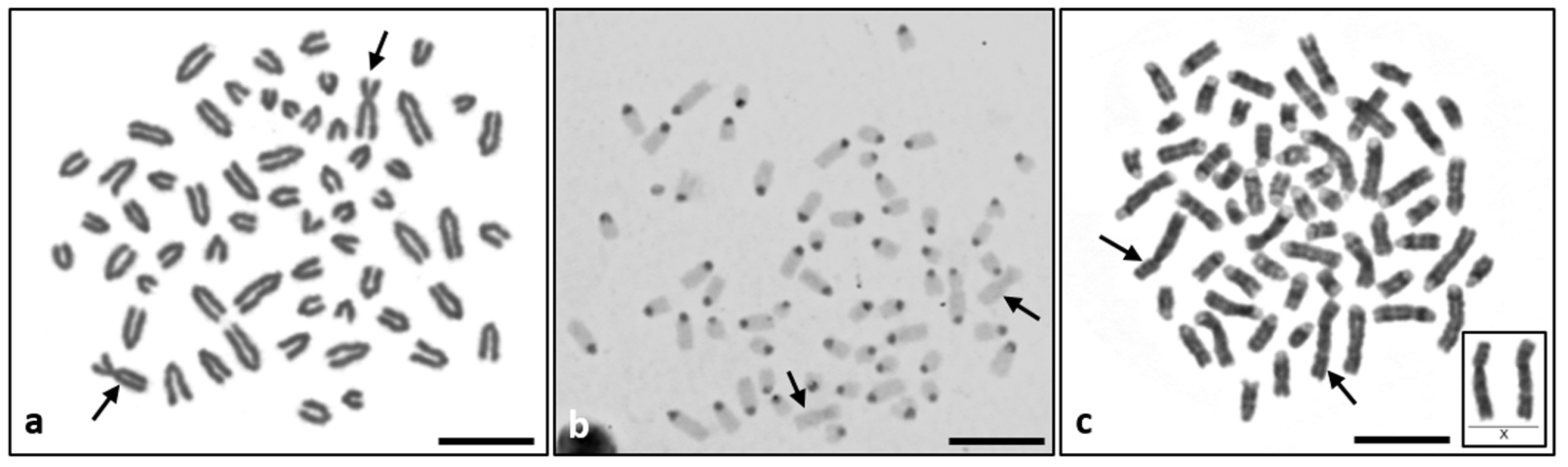
2.3. Cytogenetic Analysis
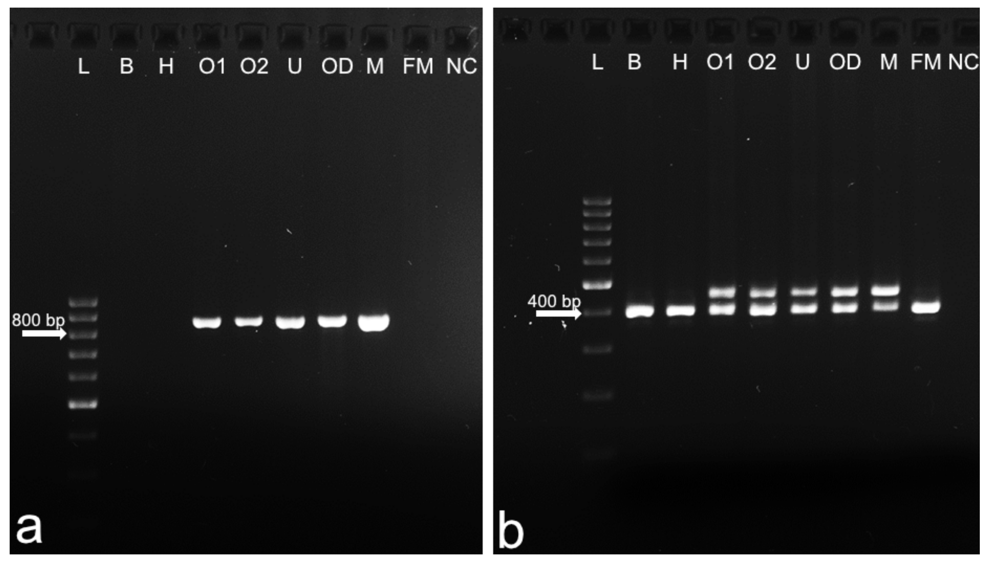
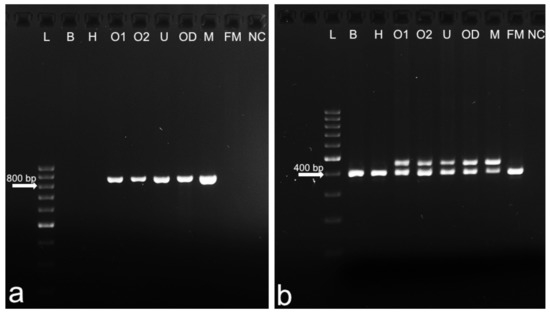
2.4. Molecular Detection of X-Linked and Y-Linked Genes
2.5. Analysis of SOX9 and AMELY/AMELX Copy Number
2.6. Genotyping of Selected Tissues Using Microsatellite Markers
3. Results
4. Discussion
5. Conclusions
Supplementary Materials
Author Contributions
Funding
Institutional Review Board Statement
Informed Consent Statement
Data Availability Statement
Acknowledgments
Conflicts of Interest
References
- Padula, A.M. The Freemartin Syndrome: An Update. Anim. Reprod. Sci. 2005, 87, 93–109. [Google Scholar] [CrossRef]
- Esteves, A.; Bage, R.; Payan-Carreira, R. Freemartinism in Cattle. In Ruminants: Anatomy, Behavior and Diseases; Mendes, R.E., Ed.; Nova Science Publishers Inc.: Hauppauge, NY, USA, 2012; pp. 99–120. [Google Scholar]
- Szczerbal, I.; Nowacka-Woszuk, J.; Albarella, S.; Switonski, M. Technical Note: Droplet Digital PCR as a New Molecular Method for a Simple and Reliable Diagnosis of Freemartinism in Cattle. J. Dairy Sci. 2019, 102, 10100–10104. [Google Scholar] [CrossRef]
- Iannuzzi, A.; Parma, P.; Iannuzzi, L. Chromosome Abnormalities and Fertility in Domestic Bovids: A Review. Animals 2021, 11, 802. [Google Scholar] [CrossRef]
- Pailhoux, E.; Vigier, B.; Chaffaux, S.; Servel, N.; Taourit, S.; Furet, J.-P.; Fellous, M.; Grosclaude, F.; Cribiu, E.P.; Cotinot, C.; et al. A 11.7-Kb Deletion Triggers Intersexuality and Polledness in Goats. Nat. Genet. 2001, 29, 453–458. [Google Scholar] [CrossRef]
- Simon, R.; Lischer, H.E.L.; Pieńkowska-Schelling, A.; Keller, I.; Häfliger, I.M.; Letko, A.; Schelling, C.; Lühken, G.; Drögemüller, C. New Genomic Features of the Polled Intersex Syndrome Variant in Goats Unraveled by Long-read Whole-genome Sequencing. Anim. Genet. 2020, 51, 439–448. [Google Scholar] [CrossRef] [PubMed]
- Rousseau, S.; Iannuccelli, N.; Mercat, M.-J.; Naylies, C.; Thouly, J.-C.; Servin, B.; Milan, D.; Pailhoux, E.; Riquet, J. A Genome-Wide Association Study Points out the Causal Implication of SOX9 in the Sex-Reversal Phenotype in XX Pigs. PLoS ONE 2013, 8, e79882. [Google Scholar] [CrossRef] [PubMed]
- Stachowiak, M.; Szczerbal, I.; Nowacka-Woszuk, J.; Jackowiak, H.; Sledzinski, P.; Iskrzak, P.; Dzimira, S.; Switonski, M. Polymorphisms in the SOX9 Region and Testicular Disorder of Sex Development (38,XX.; SRY -Negative) in Pigs. Livest. Sci. 2017, 203, 48–53. [Google Scholar] [CrossRef]
- Rossi, E.; Radi, O.; De Lorenzi, L.; Vetro, A.; Groppetti, D.; Bigliardi, E.; Luvoni, G.C.; Rota, A.; Camerino, G.; Zuffardi, O.; et al. Sox9 Duplications Are a Relevant Cause of Sry-Negative XX Sex Reversal Dogs. PLoS ONE 2014, 9, e101244. [Google Scholar] [CrossRef]
- Marcinkowska-Swojak, M.; Szczerbal, I.; Pausch, H.; Nowacka-Woszuk, J.; Flisikowski, K.; Dzimira, S.; Nizanski, W.; Payan-Carreira, R.; Fries, R.; Kozlowski, P.; et al. Copy Number Variation in the Region Harboring SOX9 Gene in Dogs with Testicular/Ovotesticular Disorder of Sex Development (78,XX.; SRY-Negative). Sci. Rep. 2015, 5, 14696. [Google Scholar] [CrossRef]
- Nowacka-Woszuk, J.; Szczerbal, I.; Stachowiak, M.; Szydlowski, M.; Nizanski, W.; Dzimira, S.; Maslak, A.; Payan-Carreira, R.; Wydooghe, E.; Nowak, T.; et al. Association between Polymorphisms in the SOX9 Region and Canine Disorder of Sex Development (78,XX.; SRY-Negative) Revisited in a Multibreed Case-Control Study. PLoS ONE 2019, 14, e0218565. [Google Scholar] [CrossRef]
- Nowacka-Woszuk, J.; Stachowiak, M.; Szczerbal, I.; Szydlowski, M.; Szabelska-Beresewicz, A.; Zyprych-Walczak, J.; Krzeminska, P.; Nowak, T.; Lukomska, A.; Ligocka, Z.; et al. Whole Genome Sequencing Identifies a Missense Polymorphism in PADI6 Associated with Testicular/Ovotesticular XX Disorder of Sex Development in Dogs. Genomics 2022, 114, 110389. [Google Scholar] [CrossRef]
- Croft, B.; Ohnesorg, T.; Sinclair, A.H. The Role of Copy Number Variants in Disorders of Sex Development. Sex. Dev. Genet. Mol. Biol. Evol. Endocrinol. Embryol. Pathol. Sex Determ. Differ. 2018, 12, 19–29. [Google Scholar] [CrossRef]
- Takagi, M.; Yamagishi, N.; Oboshi, K.; Kageyama, S.; Hirayama, H.; Minamihashi, A.; Sasaki, M.; Wijayagunawardane, M.P.B. A Female Pseudohermaphrodite Holstein Heifer with Gonadal Mosaicism. Theriogenology 2005, 63, 60–71. [Google Scholar] [CrossRef]
- Payan-Carreira, R.; Pires, M.A.; Quaresma, M.; Chaves, R.; Adega, F.; Guedes Pinto, H.; Colaço, B.; Villar, V. A Complex Intersex Condition in a Holstein Calf. Anim. Reprod. Sci. 2008, 103, 154–163. [Google Scholar] [CrossRef]
- Bresciani, C.; Parma, P.; De Lorenzi, L.; Di Ianni, F.; Bertocchi, M.; Bertani, V.; Cantoni, A.M.; Parmigiani, E. A Clinical Case of an SRY-Positive Intersex/Hermaphrodite Holstein Cattle. Sex. Dev. 2015, 9, 229–238. [Google Scholar] [CrossRef]
- Szczerbal, I.; Komosa, M.; Nowacka-Woszuk, J.; Uzar, T.; Houszka, M.; Semrau, J.; Musial, M.; Barczykowski, M.; Lukomska, A.; Switonski, M. A Disorder of Sex Development in a Holstein–Friesian Heifer with a Rare Mosaicism (60,XX/90,XXY): A Genetic, Anatomical, and Histological Study. Animals 2021, 11, 285. [Google Scholar] [CrossRef]
- Iannuzzi, L.; Di Berardino, D. Tools of the Trade: Diagnostics and Research in Domestic Animal Cytogenetics. J. Appl. Genet. 2008, 49, 357–366. [Google Scholar] [CrossRef]
- Floren, C.; Wiedemann, I.; Brenig, B.; Schütz, E.; Beck, J. Species Identification and Quantification in Meat and Meat Products Using Droplet Digital PCR (DdPCR). Food Chem. 2015, 173, 1054–1058. [Google Scholar] [CrossRef]
- Szczerbal, I.; Kociucka, B.; Nowacka-Woszuk, J.; Lach, Z.; Jaskowski, J.M.; Switonski, M. A High Incidence of Leukocyte Chimerism (60,XX/60,XY) in Single Born Heifers Culled Due to Underdevelopment of Internal Reproductive Tracts . Czech J. Anim. Sci. 2014, 59, 445–449. [Google Scholar] [CrossRef]
- Lamothe, S.; Bernard, V.; Christin-Maitre, S. Gonad Differentiation toward Ovary. Ann. Endocrinol. 2020, 81, 83–88. [Google Scholar] [CrossRef]
- Stranzlnger, G.; Dolf, G.; Fries, R.; Stocker, H. Some Rare Cases of Chimerism in Twin Cattle and Their Proposed Use in Determining Germinal Cell Migration. J. Hered. 1981, 72, 360–362. [Google Scholar] [CrossRef] [PubMed]
- Rejduch, B.; Słota, E.; Gustavsson, I. 60,XY/60,XX Chimerism in the Germ Cell Line of Mature Bulls Born in Heterosexual Twinning. Theriogenology 2000, 54, 621–627. [Google Scholar] [CrossRef]
- De Lorenzi, L.; Arrighi, S.; Rossi, E.; Grignani, P.; Previderè, C.; Bonacina, S.; Cremonesi, F.; Parma, P. XY (SRY-Positive) Ovarian Disorder of Sex Development in Cattle. Sex. Dev. 2018, 12, 196–203. [Google Scholar] [CrossRef] [PubMed]






| Lab No. (Breed *) | External Genitalia | Sex Chromosomes in Leukocytes | AMELY/AMELX Copy Number Ratio in Blood Cells | Detection of SRY and ZFY Genes | DSD Classification |
|---|---|---|---|---|---|
| 7497 (HF) | enlarged clitoris | not analyzed | 0.074 | present in blood cells, absent in hair follicles | freemartinism |
| 7502 (L × S) | enlarged clitoris | XX [71%]/XY [29%] leukocyte chimerism | 0.317 | present in blood cells, absent in hair follicles | freemartinism |
| 7515 (HF) | extended anus–vulva distance | XX [98%]/XY [2%] leukocyte chimerism | 0.0277 | present in blood cells, absent in hair follicles | freemartinism |
| 7518 (HF) | enlarged clitoris, extended anus–vulva distance | XX [25%]/XY [75%] leukocyte chimerism | 0.367 | present in blood cells, absent in hair follicles | Freemartinism |
| 7514 (HF) | rudimentary vulva localized ventrally, near mammary gland | XX | AMELY not detected | present in internal genitalia, absent in blood and hair follicles | XX DSD, with XX/XY chimerism in internal genitalia |
Publisher’s Note: MDPI stays neutral with regard to jurisdictional claims in published maps and institutional affiliations. |
© 2022 by the authors. Licensee MDPI, Basel, Switzerland. This article is an open access article distributed under the terms and conditions of the Creative Commons Attribution (CC BY) license (https://creativecommons.org/licenses/by/4.0/).
Share and Cite
Szczerbal, I.; Nowacka-Woszuk, J.; Stachowiak, M.; Lukomska, A.; Konieczny, K.; Tarnogrodzka, N.; Wozniak, J.; Switonski, M. XX/XY Chimerism in Internal Genitalia of a Virilized Heifer. Animals 2022, 12, 2932. https://doi.org/10.3390/ani12212932
Szczerbal I, Nowacka-Woszuk J, Stachowiak M, Lukomska A, Konieczny K, Tarnogrodzka N, Wozniak J, Switonski M. XX/XY Chimerism in Internal Genitalia of a Virilized Heifer. Animals. 2022; 12(21):2932. https://doi.org/10.3390/ani12212932
Chicago/Turabian StyleSzczerbal, Izabela, Joanna Nowacka-Woszuk, Monika Stachowiak, Anna Lukomska, Kacper Konieczny, Natalia Tarnogrodzka, Jakub Wozniak, and Marek Switonski. 2022. "XX/XY Chimerism in Internal Genitalia of a Virilized Heifer" Animals 12, no. 21: 2932. https://doi.org/10.3390/ani12212932
APA StyleSzczerbal, I., Nowacka-Woszuk, J., Stachowiak, M., Lukomska, A., Konieczny, K., Tarnogrodzka, N., Wozniak, J., & Switonski, M. (2022). XX/XY Chimerism in Internal Genitalia of a Virilized Heifer. Animals, 12(21), 2932. https://doi.org/10.3390/ani12212932

