Atypical Lesions in Canine Leishmaniosis: Description of New Cases
Abstract
Simple Summary
Abstract
1. Introduction
2. Materials and Methods
2.1. Animals and Welfare Statements
2.2. Serological, Molecular, Biochemical Studies and Clinical Sign Assessment
2.3. Histopathological and Immunohistochemical Evaluation
3. Results
3.1. Dog 1
3.1.1. Serological, Molecular, and Biochemical Studies and Clinical Sign Assessment
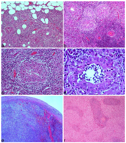
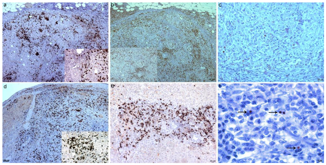
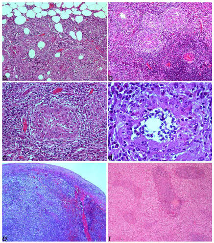
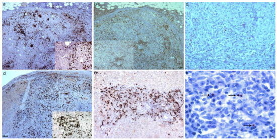
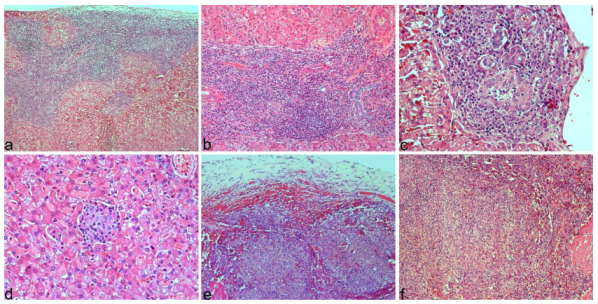
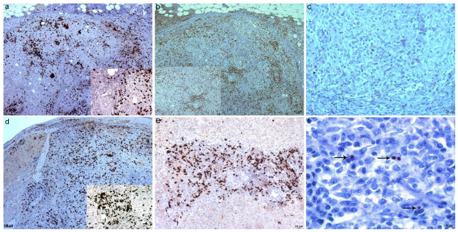
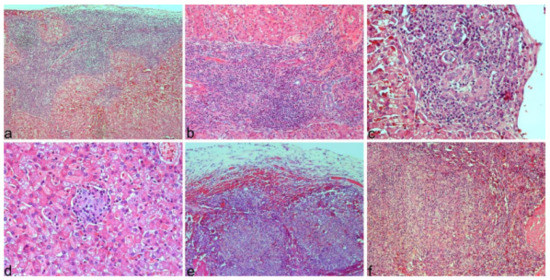
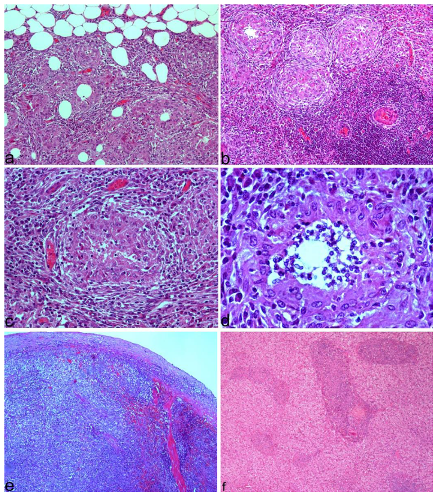
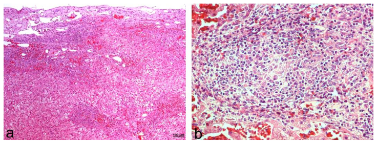
3.1.2. Gross, Histopathological, and Immunohistochemical Findings
3.2. Dog 2
3.2.1. Serological, Molecular, and Biochemical Studies and Clinical Sign Assessment
3.2.2. Gross, Histopathological, and Immunohistochemical Findings
3.3. Dog 3
3.3.1. Serological, Molecular, and Biochemical Studies and Clinical Sign Assessment
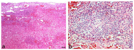
3.3.2. Gross and Histopathological Findings
4. Discussion
5. Conclusions
Author Contributions
Funding
Institutional Review Board Statement
Informed Consent Statement
Data Availability Statement
Acknowledgments
Conflicts of Interest
References
- Koutinas, A.F.; Koutinas, C.K. Pathologic mechanisms underlying the clinical findings in canine leishmaniasis due to Leish-mania infantum/chagasi. Vet Pathol 2014, 51, 527–538. [Google Scholar] [CrossRef] [PubMed]
- Keenan, C.M.; Hendricks, L.D.; Lightner, L.; Johnson, A.J. Visceral Leishmaniasis in the German Shepherd Dog. II. Pathology. Veter- Pathol. 1984, 21, 80–86. [Google Scholar] [CrossRef] [PubMed]
- Rallis, T.; Day, M.; Saridomichelakis, M.; Adamama-Moraitou, K.; Papazoglou, L.; Fytianou, A.; Koutinas, A. Chronic Hepatitis Associated with Canine Leishmaniosis (Leishmania infantum): A Clinicopathological Study of 26 Cases. J. Comp. Pathol. 2005, 132, 145–152. [Google Scholar] [CrossRef] [PubMed]
- Cianciolo, R.; Mohr, F. Urinary system. In Jubb, Kennedy and Palmer´s, Pathology of Domestic Animals, 6th ed.; Grant Maxie, M., Ed.; Saunders: St. Louis, MO, USA, 2016; Volume 2, pp. 401–410. [Google Scholar]
- Lima, I.S.; Solcà, M.D.S.; Tafuri, W.L.; De Freitas, L.A.R.; Dos-Santos, W.L.C. Assessment of histological liver alterations in dogs naturally infected with Leishmania infantum. Parasites Vectors 2019, 12, 487. [Google Scholar] [CrossRef] [PubMed]
- Blavier, A.; Keroack, S.; Denerolle, P.; Goy-Thollot, I.; Chabanne, L.; Cadoré, J.; Bourdoiseau, G. Atypical Forms of Canine Leishmaniosis. Veter- J. 2001, 162, 108–120. [Google Scholar] [CrossRef]
- Tangalidi, M.K.; Oikonomidis, I.L.; Psalla, D.; Papadimitriou, S.; Kritsepi-Konstantinou, M.; Mylonakis, M.E. Nodular granu-lomatous glossitis as the sole clinical sign in canine leishmaniosis. Vet. Clin. Pathol. 2016, 45, 710–714. [Google Scholar] [CrossRef] [PubMed]
- Ayala, I.; Bernal, L.J.; Garcia-Martinez, J.D.; Gomez, M.A.; Navarro, J.A.; Bernabe, A. An Atypical Case of Leishmaniasis Associated with Chronic Duodenitis in a Dog. J. Am. Anim. Hosp. Assoc. 2017, 53, 101–106. [Google Scholar] [CrossRef] [PubMed]
- Adamama-Moraitou, K.K.; Prassinos, N.N.; Patsikas, M.N.; Psychas, V.; Tsioli, B.; Rallis, T.S.J. Sclerosing encapsulating peritonitis in a dog with leishmaniasis. J. Small Anim. Pract. 2004, 45, 117–121. [Google Scholar] [CrossRef]
- Kopterides, P.; Mourtzoukou, E.G.; Skopelitis, E.; Tsavaris, N.; Falagas, M.E. Aspects of the association between leishmaniasis and malignant disorders. Trans. R. Soc. Trop. Med. Hyg. 2007, 101, 1181–1189. [Google Scholar] [CrossRef] [PubMed]
- Evers, G.; Pohlen, M.; Berdel, W.E.; Thoennissen, N.H.; Titze, U.; Köhler, G.; Weckesser, M.; Anthoni, C.; Mesters, R.M. Visceral leishmaniasis clinically mimicking lymphoma. Ann. Hematol. 2013, 93, 885–887. [Google Scholar] [CrossRef]
- Al-Kamel, M.A. Leishmaniasis and malignancy: A review and perspective. Clinical Skin Cancer 2017. [CrossRef][Green Version]
- Schwing, A.; Pomares, C.; Majoor, A.; Boyer, L.; Marty, P.; Michel, G. Leishmania infection: Misdiagnosis as cancer and tu-mor-promoting potential. Acta Trop. 2019, 197, 104855. [Google Scholar] [CrossRef] [PubMed]
- Saari, S.; Rasi, J.; Anttila, M. Leishmaniosis Mimicking Oral Neoplasm in a Dog: An Unusual Manifestation of an Unusual Disease in Finland. Acta Veter- Scand. 2000, 41, 101–104. [Google Scholar] [CrossRef]
- Foglia-Manzillo, V.; Pagano, A.; Guglielmino, R.; Gradoni, L.; Restucci, B.; Oliva, G. Extranodal gammadelta-T-cell lymphoma in a dog with leishmaniasis. Vet. Clin. Pathol. 2008, 37, 298–301. [Google Scholar] [CrossRef] [PubMed]
- Ferro, S.; Palmieri, C.; Cavicchioli, L.; De Zan, G.; Aresu, L.; Benali, S.L. Leishmania amastigotes in neoplastic cells of 3 non-histiocytic canine tumors. Vet. Pathol. 2013, 50, 749–752. [Google Scholar] [CrossRef]
- Ferrer, L. The pathology of canine leishmaniasis: Canine leishmaniasis—moving towards a solution. In Proceedings of the Second International Canine Leishmaniasis Forum, Sevilla, Spain, 6–9 February 2002; pp. 21–24. [Google Scholar]
- Margarito, J.M.; Lucena, R.; Lopez, R.; Molleda, J.M.; Martín, E.; Ginel, P.J. Levels of IgM and IgA circulating immune com-plexes in dogs with leishmaniasis. J. Vet. Med. Ser. B 1998, 45, 263–267. [Google Scholar] [CrossRef]
- Kaye, P.M.; Beattie, L. Lessons from other diseases: Granulomatous inflammation in leishmaniasis. Semin. Immunopathol. 2015, 38, 249–260. [Google Scholar] [CrossRef]
- Mauricio, I.L.; Stothard, J.R.; Miles, M.A. Leishmania donovani complex: Genotyping with the ribosomal internal transcribed spacer and the mini-exon. Parasitology 2004, 128, 263–267. [Google Scholar] [CrossRef] [PubMed]
- Gómez-Ochoa, P.; Castillo, J.A.; Lucientes, J.; Gascón, M.; Zarate, J.J.; Arbea, J.I.; Larraga, V.; Rodriguez, C. Modified Direct Agglutination Test for Simplified Serologic Diagnosis of Leishmaniasis. Clin. Vaccine Immunol. 2003, 10, 967–968. [Google Scholar] [CrossRef] [PubMed]
- Peris, M.P.; Esteban-Gil, A.; Ortega-Hernández, P.; Morales, M.; Halaihel, N.; Castillo, J.A. Comparative Study of Real-Time PCR (TaqMan Probe and Sybr Green), Serological Techniques (ELISA, IFA and DAT) and Clinical Signs Evaluation, for the Diagnosis of Canine Leishmaniasis in Experimentally Infected Dogs. Microorganisms 2021, 9, 2627. [Google Scholar] [CrossRef] [PubMed]
- Peris, M.P.; Esteban-Gil, A.; Ares-Gómez, S.; Morales, M.; Castillo, J.A.; Moreno, B. Characterization of lesions in the temporal muscle and the male reproductive system (epididymis and testicle) of dogs experimentally infected with Leishmania infantum with different clinical stages. Veter- Parasitol. 2022, 305, 109700. [Google Scholar] [CrossRef]
- Torrent, E.; Pastor, J.; Fresno, L.; Vigueras, I.; Casanova, M.; Ramis, A.; Solano-Gallego, L. Laryngeal Granuloma due to Leishmania spp. Infection in a Dog. J. Comp. Pathol. 2018, 158, 6–11. [Google Scholar] [CrossRef]
- José-López, R.; de la Fuente, C.; Pumarola, M.; Añor, S. Intramedullary spinal cord mass presumptively associated with leishmaniasis in a dog. J. Am. Veter- Med Assoc. 2014, 244, 200–204. [Google Scholar] [CrossRef]
- Zobba, R.; Evangelisti, M.A.; Manunta, M.L.; Alberti, A. A case of canine neurological leishmaniasis. Vet. Ital. 2017, 53, 321–326. [Google Scholar]
- Oliveira, V.D.C.; Junior, A.A.V.M.; Ferreira, L.C.; Calvet, T.M.Q.; Dos Santos, S.A.; Figueiredo, F.B.; Campos, M.P.; Rodrigues, F.D.C.C.; de Oliveira, R.V.C.; de Lemos, E.R.S.; et al. Frequency of co-seropositivities for certain pathogens and their rela-tionship with clinical and histopathological changes and parasite load in dogs infected with Leishmania infantum. PLoS ONE. 2021, 16, e0247560. [Google Scholar] [CrossRef] [PubMed]
- da Costa Neto, J.J.; Martins, C.N.; Março, K.S.; Paz, B.F.; Monteiro, G.P.; Melo, R.T.; Mota, F.C.D.; Alves, A.E. Tongue nodules in an atypical canine leishmaniasis in Brazil. J. Vet. Med. Sci. 2021, 83, 1549–1553. [Google Scholar] [CrossRef] [PubMed]
- Lamothe, J.; Poujade, A. Ulcerative glossitis in a dog with leishmaniasis. Vet. Rec. 2002, 151, 182–183. [Google Scholar] [CrossRef] [PubMed]
- Ferrer, L.; Juanola, B.; Ramos, J.A.; Ramis, A. Chronic Colitis Due to Leishmania Infection in Two Dogs. Veter Pathol. 1991, 28, 342–343. [Google Scholar] [CrossRef] [PubMed]
- Casanova, M.; Martín, S.; Marco, A.; Solano-Gallego, L. Detection of Leishmania spp. Infection by Immunohistochemistry in Archived Biopsy Samples from Dogs with Colitis in an Area Endemic for Leishmaniosis. J. Comp. Pathol. 2018, 167, 12–17. [Google Scholar] [CrossRef] [PubMed]
- Vila, A.; Movilla, R.; Lloret, A.; Majó, N.; Marco, A.J.; Roura, X. Chronic Small Bowel Diarrhea Due to Granulomatous Duo-denitis by Leishmania in two Dogs. J. Vet. Med. Res. 2016, 3, 1040. [Google Scholar]
- Farré-Mariné, A.; Borrego, J.F.; Pumarola, M.; Luján Feliu-Pascual, A. What Is Your Neurologic Diagnosis? J. Am. Vet. Med. Assoc. 2019, 255, 789–792. [Google Scholar] [CrossRef] [PubMed]
- Baneth, G.; Solano-Gallego, L. Leishmaniases. In Infectious Diseases of the Dog and Cat, 4th ed.; Greene, C.E., Ed.; Elsevier/Saunders: St Louis, MO, USA, 2012; pp. 734–749. [Google Scholar]
- Uzal, F.A.; Plattner, B.N.; Hostetter, J.M. Alimentary system. In Jubb Kennedy. Pathology of Domestic Animals, 6th ed.; Grant Maxie, M., Ed.; Elsevier: Amsterdam, The Netherlands, 2015; pp. 2–112. [Google Scholar]
- Mund, G.; Häußler, T.; Aurich, S.; Ewers, C.; Thiel, C. Successful treatment of peritoneal nocardiosis caused by Nocardia paucivorans in a dog. New Zealand Veter- J. 2021, 69, 355–360. [Google Scholar] [CrossRef] [PubMed]
- Carta, S.; Corda, A.; Tamponi, C.; Dessì, G.; Nonnis, F.; Tilocca, L.; Cotza, A.; Knoll, S.; Varcasia, A.; Scala, A. Clinical forms of peritoneal larval cestodiasis by Mesocestoides spp. in dogs: Diagnosis, treatment and long term follow-up. Parasitol. Res. 2021, 120, 1727–1735. [Google Scholar] [CrossRef]
- Munday, J.S.; Löhr, C.V.; Kiupel, M. Tumors of the Alimentary Tract. Tumors Domest. Anim. 2016, 499–601. [Google Scholar] [CrossRef]
- Weston, P.J.; Baines, S.J.; Finotello, R.; Mortier, J.R. Clinical, CT, and ultrasonographic features of canine and feline pleural and peritoneal carcinomatosis and sarcomatosis. Veter- Radiol. Ultrasound 2021, 62, 331–341. [Google Scholar] [CrossRef]
- Freitas, J.C.C.; Lima, A.L.; Nunes-Pinheiro, D.C.S. Spleen damage in a dog naturally infected by Leishmania infantum. Rev. Soc. Bras. Med. Trop. 2017, 50, 280–281. [Google Scholar] [CrossRef] [PubMed]
- Bükte, Y.; Nazaroglu, H.; Mete, A.; Yilmaz, F. Visceral leishmaniasis with multiple nodular lesions of the liver and spleen: CT and sonographic findings. Abdom Imaging 2004, 29, 82–84. [Google Scholar] [CrossRef] [PubMed]
- Mao, G.; Yang, G.; Cheng, Y.; Zee, C.S.; Huang, W.; Ni, W.; Meng, G.; Chen, Z. Multiple nodular lesions in spleen associated with visceral leishmaniasis: A case report of MRI-findings. Medicine 2014, 93, e272. [Google Scholar] [CrossRef]
- Moore, P.F. A Review of Histiocytic Diseases of Dogs and Cats. Veter- Pathol. 2014, 51, 167–184. [Google Scholar] [CrossRef] [PubMed]
- Mullin, C.; Clifford, C.A. Histiocytic Sarcoma and Hemangiosarcoma Update. Veter Clin. North Am. Small Anim. Pr. 2019, 49, 855–879. [Google Scholar] [CrossRef] [PubMed]
- Cordella, A.; Caldin, M.; Bertolini, G. Splenic extramedullary hematopoiesis in dogs is frequently detected on multiphase mul-tidetector-row CT as hypervascular nodules. Vet. Radiol. Ultrasound. 2020, 61, 512–518. [Google Scholar] [PubMed]
- Jones, I.D.; Daniels, A.D.; Lara-Garcia, A.; Peters, L.M.; Mantis, P. Computed tomographic findings in 12 cases of canine multi-centric lymphoma with splenic and hepatic involvement. J. Small Anim. Pr. 2017, 58, 622–628. [Google Scholar] [CrossRef] [PubMed]
- Cullen, J.M. Summary of the World Small Animal Veterinary Association Standardization Committee Guide to Classification of Liver Disease in Dogs and Cats. Veter Clin. North Am. Small Anim. Pr. 2009, 39, 395–418. [Google Scholar] [CrossRef]
- Webster, C.R.L.; Center, S.A.; Cullen, J.M.; Penninck, D.G.; Richter, K.P.; Twedt, D.C.; Watson, P.J. ACVIM consensus state-ment on the diagnosis and treatment of chronic hepatitis in dogs. J. Vet. Intern. Med. 2019, 33, 1173–1200. [Google Scholar] [CrossRef] [PubMed]
- McCallum, K.E.; Constantino-Casas, F.; Cullen, J.M.; Warland, J.H.; Swales, H.; Linghley, N.; Kortum, A.J.; Sterritt, A.J.; Cogan, T.; Watson, P.J. Hepatic leptospiral infections in dogs without obvious renal involvement. J. Veter- Intern. Med. 2018, 33, 141–150. [Google Scholar] [CrossRef] [PubMed]
- Cook, S.; Priestnall, S.; Blake, D.; Meeson, R.L. Angiostrongylus vasorum Causing Severe Granulomatous Hepatitis with Concurrent Multiple Acquired PSS. J. Am. Anim. Hosp. Assoc. 2015, 51, 320–324. [Google Scholar] [CrossRef] [PubMed]
- Selmic, L.E. Hepatobiliary Neoplasia. Vet. Clin. Small Anim. Pract. 2017, 47, 725–735. [Google Scholar] [CrossRef]
- Leyva, F.J.; Loughin, C.A.; Dewey, C.W.; Marino, D.J.; Akerman, M.; Lesser, M.L. Histopathologic characteristics of biopsies from dogs undergoing surgery with concurrent gross splenic and hepatic masses: 125 cases (2012–2016). BMC Res. Notes 2018, 11, 122. [Google Scholar] [CrossRef] [PubMed]
- Cullen, J.M. Tumors of the liver and gallbladder. In Tumors in Domestic Animals, 5th ed.; Donald, J.M., Ed.; John Wiley & Sons, Inc.: Hoboken, NJ, USA, 2017; pp. 629–631. [Google Scholar]
- Henriques, J.; Felisberto, R.; Almeida, B.; Ramos, J.; Constantino-Casas, F.; Dobson, J.; Matos, R.; Santos, A.; de Sousa, R.; Alves, M. Canine lymphoma and vector-borne diseases: Molecular and serological evaluation of a possible complicity. Veter Comp. Oncol. 2020, 19, 183–190. [Google Scholar] [CrossRef]
- Zambarbieri, J.; Pigoli, C.; Caniatti, M.; Scarpa, P. Leishmania spp. in a cutaneous histiocytoma of an old dog. Diagn. Cytopathol. 2021, 49, 1067–1069. [Google Scholar] [CrossRef]
- Dirksen, K.; Burgener, I.; Rothuizen, J.; Ingh, T.V.D.; Penning, L.; Spee, B.; Fieten, H. Sensitivity and Specificity of Plasma ALT, ALP, and Bile Acids for Hepatitis in Labrador Retrievers. J. Veter- Intern. Med. 2017, 31, 1017–1027. [Google Scholar] [CrossRef] [PubMed]








| Bile Acids | Creatinine | Alkaline Phospatase | AST | ALT | Urea | Serum Proteins | Alb/Glob Ratio |
|---|---|---|---|---|---|---|---|
| 16.2 µmol/L | 1.1 mg/dL | 25 UI/L | 33 UI/L | 51 UI/L | 45 mg/dL | 6.9 g/dL | 1.1 |
| Bile Acids | Creatinine | Alkaline Phospatase | AST | ALT | Urea | Serum Proteins | Alb/Glob Ratio |
|---|---|---|---|---|---|---|---|
| 9.6 µmol/L | 1.0 mg/dL | 151 UI/L | 32 UI/L | 112 UI/L | 43 mg/dL | 7.9 g/dL | 0.5 |
| Bile Acids | Creatinine | Alkaline Phospatase | AST | ALT | Urea | Serum Proteins | Alb/Glob Ratio |
|---|---|---|---|---|---|---|---|
| 8.4 µmol/L | 0.8 mg/dL | 140 UI/L | 45 UI/L | 122 UI/L | 45 mg/dL | 7.1 g/dL | 0.9 |
Publisher’s Note: MDPI stays neutral with regard to jurisdictional claims in published maps and institutional affiliations. |
© 2022 by the authors. Licensee MDPI, Basel, Switzerland. This article is an open access article distributed under the terms and conditions of the Creative Commons Attribution (CC BY) license (https://creativecommons.org/licenses/by/4.0/).
Share and Cite
Peris, M.P.; Ortega-Hernández, P.; Morales, M.; Castillo, J.A.; Moreno, B. Atypical Lesions in Canine Leishmaniosis: Description of New Cases. Animals 2022, 12, 2784. https://doi.org/10.3390/ani12202784
Peris MP, Ortega-Hernández P, Morales M, Castillo JA, Moreno B. Atypical Lesions in Canine Leishmaniosis: Description of New Cases. Animals. 2022; 12(20):2784. https://doi.org/10.3390/ani12202784
Chicago/Turabian StylePeris, María Paz, Paula Ortega-Hernández, Mariano Morales, Juan Antonio Castillo, and Bernardino Moreno. 2022. "Atypical Lesions in Canine Leishmaniosis: Description of New Cases" Animals 12, no. 20: 2784. https://doi.org/10.3390/ani12202784
APA StylePeris, M. P., Ortega-Hernández, P., Morales, M., Castillo, J. A., & Moreno, B. (2022). Atypical Lesions in Canine Leishmaniosis: Description of New Cases. Animals, 12(20), 2784. https://doi.org/10.3390/ani12202784

