Delivering an Immunocastration Vaccine via a Novel Subcutaneous Implant
Abstract
Simple Summary
Abstract
1. Introduction
2. Materials and Methods
2.1. Vaccine Design
2.2. Implantation
2.3. Blood Sampling and Analysis
2.4. Scrotal and Ear Surface Temperature
2.5. Scrotal and Testicular Dimensions
2.6. Surgical Castration
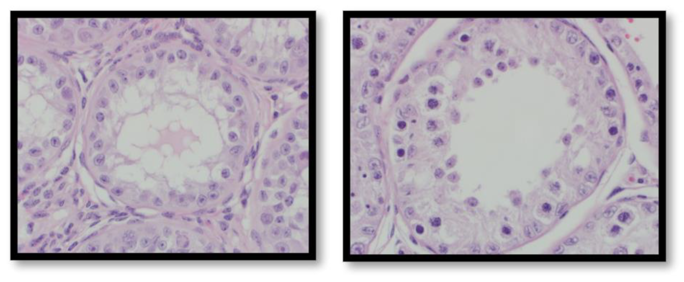
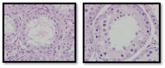
2.7. Testes Histology
2.8. Statistical Analysis
2.9. Treatments
2.9.1. Pilot 1
2.9.2. Pilot 2
2.9.3. Pilot 3
2.9.4. Pilot 4
2.9.5. Pilot 5
3. Results
3.1. Pilot 1
3.2. Pilot 2
3.3. Pilot 3
3.4. Pilot 4
3.5. Pilot 5
4. Discussion
5. Conclusions
6. Patents
Author Contributions
Funding
Institutional Review Board Statement
Informed Consent Statement
Data Availability Statement
Acknowledgments
Conflicts of Interest
References
- Rault, J.-L.; Lay, D.C., Jr.; Marchant-Forde, J.N. Castration induced pain in pigs and other livestock. Appl. Anim. Behav. Sci. 2011, 135, 214–225. [Google Scholar] [CrossRef]
- Arnold, M. Why is Early Castration of Bull Calves Important? Drovers CattleNetwork. 2011. Available online: http://www.cattlenetwork.com/cattle-resources/preconditioning/castrationdehorning/Why-is-early-castration-of-bull-calves-important-125483643.html (accessed on 12 August 2022).
- Goodrich, R.; Stricklin, W. Animal welfare issues: Beef. In USDA Animal Welfare Issues Compendium; National Agricultural Library: Beltsville, MD, USA, 1997. [Google Scholar]
- Tarrant, P. The occurrence, causes and economic consequences of dark-cutting in beef—A survey of current information. In The Problem of Dark-Cutting in Beef; Springer: Berlin/Heidelberg, Germany, 1981; pp. 3–36. [Google Scholar]
- Jones, S.M. Quality and Grading of Carcasses of Meat Animals; CRC Press: Boca Raton, FL, USA, 1995. [Google Scholar]
- Romans, J.; Costello, W.; Carlson, C.; Greaser, M.; Jones, K. The Meat We Eat; Interstate Publishers, Inc.: Danville, IL, USA, 1994. [Google Scholar]
- Stafford, K.J.; Mellor, D.J. The welfare significance of the castration of cattle: A review. N. Z. Vet. J. 2005, 53, 271–278. [Google Scholar] [CrossRef]
- American Veterinary Medical Association. Literature Review, Welfare Implications of Castration of Cattle; AVMA: Schaumburg, IL, USA, 2014. [Google Scholar]
- Stilwell, G.; Lima, M.S.; Broom, D.M. Effects of nonsteroidal anti-inflammatory drugs on long-term pain in calves castrated by use of an external clamping technique following epidural anesthesia. Am. J. Vet. Res. 2008, 69, 744–750. [Google Scholar] [CrossRef] [PubMed]
- Dinniss, A.; Mellor, D.; Stafford, K.; Bruce, R.; Ward, R. Acute cortisol responses of lambs to castration using a rubber ring and/or a castration clamp with or without local anaesthetic. N. Z. Vet. J. 1997, 45, 114–121. [Google Scholar] [CrossRef] [PubMed]
- Mellor, D.; Stafford, K.; Todd, S.; Lowe, T.; Gregory, N.; Bruce, R.; Ward, R. A comparison of catecholamine and cortisol responses of young lambs and calves to painful husbandry procedures. Aust. Vet. J. 2002, 80, 228–233. [Google Scholar] [CrossRef] [PubMed]
- Becker, J.; Doherr, M.G.; Bruckmaier, R.M.; Bodmer, M.; Zanolari, P.; Steiner, A. Acute and chronic pain in calves after different methods of rubber-ring castration. Vet. J. 2012, 194, 380–385. [Google Scholar] [CrossRef] [PubMed]
- Fordyce, G.; Beaman, N.; Laing, A.; Hodge, P.; Campero, C.; Shepherd, R. An evaluation of calf castration by intra-testicular injection of a lactic acid solution. Aust. Vet. J. 1989, 66, 272–276. [Google Scholar] [CrossRef]
- Finnerty, M.; Enright, W.; Roche, J. Testosterone, LH and FSH episodic secretory patterns in GnRH-immunized bulls. Reproduction 1998, 114, 85–94. [Google Scholar] [CrossRef] [PubMed]
- Geary, T.; Grings, E.; MacNeil, M.; De Avila, D.; Reeves, J. Use of recombinant gonadotropin-releasing hormone antigens for immunosterilization of beef heifers. J. Anim. Sci. 2006, 84, 343–350. [Google Scholar] [CrossRef]
- Hoskinson, R.; Rigby, R.; Mattner, P.; Huynh, V.; D’occhio, M.; Neish, A.; Trigg, T.; Moss, B.; Lindsey, M.; Coleman, G. Vaxstrate: An anti-reproductive vaccine for cattle. Aust. J. Biotechnol. 1990, 4, 166–170, 176. [Google Scholar]
- Jeffcoate, I.; Lucas, J.; Crighton, D. Effects of active immunization of ram lambs and bull calves against synthetic luteinizing hormone releasing hormone. Theriogenology 1982, 18, 65–77. [Google Scholar] [CrossRef]
- Janett, F.; Gerig, T.; Tschuor, A.C.; Amatayakul-Chantler, S.; Walker, J.; Howard, R.; Bollwein, H.; Thun, R. Vaccination against gonadotropin-releasing factor (GnRF) with Bopriva significantly decreases testicular development, serum testosterone levels and physical activity in pubertal bulls. Theriogenology 2012, 78, 182–188. [Google Scholar] [CrossRef][Green Version]
- Aissat, D.; Sosa, J.; De Avila, D.; Bertrand, K.; Reeves, J. Endocrine, growth, and carcass characteristics of bulls immunized against luteinizing hormone-releasing hormone fusion proteins. J. Anim. Sci. 2002, 80, 2209–2213. [Google Scholar] [CrossRef] [PubMed]
- Michael, J.D.; Aspden, W.J.; Trigg, T.E. Sustained testicular atrophy in bulls actively immunized against GnRH: Potential to control carcase characteristics. Anim. Reprod. Sci. 2001, 66, 47–58. [Google Scholar]
- Schaut, R.G.; Brewer, M.T.; Hostetter, J.M.; Mendoza, K.; Vela-Ramirez, J.E.; Kelly, S.M.; Jackman, J.K.; Dell’Anna, G.; Howard, J.M.; Narasimhan, B.; et al. A single dose polyanhydride-based vaccine platform promotes and maintains anti-GnRH antibody titers. Vaccine 2018, 36, 1016–1023. [Google Scholar] [CrossRef] [PubMed]
- Boggiatto, P.M.; Schaut, R.G.; Kanipe, C.; Kelly, S.M.; Narasimhan, B.; Jones, D.E.; Olsen, S.C. Sustained antigen release polyanhydride-based vaccine platform for immunization against bovine brucellosis. Heliyon 2019, 5, e02370. [Google Scholar] [CrossRef] [PubMed]
- Bailey, T.; Hudson, R.; Powe, T.; Riddell, M.; Wolfe, D.; Carson, R. Caliper and ultrasonographic measurements of bovine testicles and a mathematical formula for determining testicular volume and weight in vivo. Theriogenology 1998, 49, 581–594. [Google Scholar] [CrossRef]
- Johnsen, S.G. Testicular biopsy score count–A method for registration of spermatogenesis in human testes: Normal values and results in 335 hypogonadal males. Horm. Res. Paediatr. 1970, 1, 2–25. [Google Scholar] [CrossRef]
- Daigle, H.J.; Cole, D.N.; Carlson, J.A.; Lee, W.R.; Wilson, V.L. Ethylene dichloride disruption of fertility in male mice. Open Toxicol. J. 2009, 3, 39–46. [Google Scholar] [CrossRef][Green Version]
- Adams, T.; Adams, B. Reproductive function and feedlot performance of beef heifers actively immunized against GnRH. J. Anim. Sci. 1990, 68, 2793–2802. [Google Scholar] [CrossRef] [PubMed]
- Price, E.; Adams, T.; Huxsoll, C.; Borgwardt, R. Aggressive behavior is reduced in bulls actively immunized against gonadotropin-releasing hormone. J. Anim. Sci. 2003, 81, 411–415. [Google Scholar] [CrossRef] [PubMed]
- Hernandez, J.; Zanella, E.; Bogden, R.; De Avila, D.; Gaskins, C.; Reeves, J. Reproductive characteristics of grass-fed, luteinizing hormone-releasing hormone-immunocastrated Bos indicus bulls. J. Anim. Sci. 2005, 83, 2901–2907. [Google Scholar] [CrossRef] [PubMed]
- Syrett, B.C.; Davis, E.E. In vivo evaluation of a high-strength, high-ductility stainless steel for use in surgical implants. J. Biomed. Mater. Res. 1979, 13, 543–556. [Google Scholar] [CrossRef] [PubMed]
- Huenchullan, P.R.; Vidal, S.; Larraín, R.; Saénz, L. Effectiveness of a New Recombinant antiGnRH Vaccine for Immunocastration in Bulls. Animals 2021, 11, 1359. [Google Scholar] [CrossRef]
- Mcnamara, M.K. Immunogenic LHRH Compositions and Methods Relating Thereto. U.S. Patent US20090226484A1, 10 September 2009. [Google Scholar]
- Wicks, N.; Crouch, S.; Pearl, C.A. Effects of Improvac and Bopriva on the testicular function of boars ten weeks after immunization. Anim. Reprod. Sci. 2013, 142, 149–159. [Google Scholar] [CrossRef]
- Walker, J. Improved Saponin Adjuvant Compositions and Methods Relating Thereto. WO2000041720A1, 20 July 2000. [Google Scholar]
- Campal-Espinosa, A.C.; Junco-Barranco, J.A.; Fuentes-Aguilar, F.; Calzada-Aguilera, L.; Campal, A.C.B. Contraception and immunocastration vaccines. Use in veterinary medicine. Rev. Colomb. De Cienc. Anim.-RECIA 2020, 12, e760. [Google Scholar] [CrossRef]
- Huxsoll, C.; Price, E.; Adams, T. Testis function, carcass traits, and aggressive behavior of beef bulls actively immunized against gonadotropin-releasing hormone. J. Anim. Sci. 1998, 76, 1760–1766. [Google Scholar] [CrossRef]
- Cook, R.; Popp, J.; Kastelic, J.; Robbins, S.; Harland, R. The effects of active immunization against GnRH on testicular development, feedlot performance, and carcass characteristics of beef bulls. J. Anim. Sci. 2000, 78, 2778–2783. [Google Scholar] [CrossRef]
- Amatayakul-Chantler, S.; Hoe, F.; Jackson, J.; Roça, R.d.O.; Stegner, J.; King, V.; Howard, R.; Lopez, E.; Walker, J. Effects on performance and carcass and meat quality attributes following immunocastration with the gonadotropin releasing factor vaccine Bopriva or surgical castration of Bos indicus bulls raised on pasture in Brazil. Meat Sci. 2013, 95, 78–84. [Google Scholar] [CrossRef] [PubMed]
- Finnerty, M.; Enright, W.; Prendiville, D.; Spicer, L.; Roche, J. The effect of different levels of gonadotropin-releasing hormone antibody titres on plasma hormone concentrations, sexual and aggressive behaviour, testis size and performance of bulls. Anim. Sci. 1996, 63, 51–63. [Google Scholar] [CrossRef]
- Theubet, G.; Thun, R.; Hilbe, M.; Janett, F. Effect of vaccination against GnRH (Bopriva®) in the male pubertal calf. Schweiz. Arch. Tierheilkd. 2010, 152, 459–469. [Google Scholar] [CrossRef][Green Version]
- Jago, J.; Bass, J.; Matthews, L. Evaluation of a vaccine to control bull behaviour. Proc. N. Z. Soc. Anim. Prod. 1997, 5, 91–95. [Google Scholar]
- Robertson, I.; Wilson, J.; Fraser, H. Immunological castration in male cattle. Vet. Rec. 1979, 108, 381–382. [Google Scholar] [CrossRef]





| Score | Description |
|---|---|
| 1 | No cells in tubular cross-section |
| 2 | Sertoli cells only |
| 3 | Spermatogonia only |
| 4 | No spermatozoa, no spermatids, <5 spermatocytes |
| 5 | No spermatozoa, no spermatids, many spermatocytes |
| 6 | No spermatozoa, <5–10 spermatids |
| 7 | No spermatozoa, many spermatids |
| 8 | All stages present, <5–10 spermatozoa |
| 9 | Many spermatozoa, germinal epithelium disorganized |
| 10 | Complete spermatogenesis |
| Implant | Pilot | Duration | Stage | DEAE-D | Quil-A | GnRH-KLH | GnRH-Ova | Total GnRH | SP-KLH | SP-OVA | Total SP | OTC |
|---|---|---|---|---|---|---|---|---|---|---|---|---|
| 1 | 1 | 56 | Boost | 100 | 5 | 0.25 | - | 0.1 | - | - | - | - |
| VPEAR | 10 | 0.5 | - | 2.6 | 1 | - | - | - | - | |||
| 2 | 1 | 56 | Boost | 20 | 1 | 0.25 | - | 0.1 | - | - | - | - |
| VPEAR | 10 | 0.5 | - | 2.6 | 1 | - | - | - | - | |||
| 3 | 1 | 56 | Boost | 100 | - | 0.25 | - | 0.1 | - | - | - | - |
| VPEAR | 10 | - | - | 2.6 | 1 | - | - | - | - | |||
| 4 | 1 | 56 | Boost | 20 | - | 0.25 | - | 0.1 | - | - | - | - |
| VPEAR | 10 | - | - | 2.6 | 1 | - | - | - | - | |||
| 5 | 2 | 42 | Empty | - | - | - | - | - | - | - | - | - |
| (2) | ||||||||||||
| (2) | ||||||||||||
| 6 | 3 | 175 | Boost | - | - | 0.25 | - | 0.1 | - | - | - | 0.5 |
| VPEAR | - | - | - | - | - | - | - | - | - | |||
| 7 | 3 | 175 | Boost | - | - | - | - | - | - | - | - | - |
| VPEAR | 10 | 0.5 | - | 2.6 | 1 | - | - | - | 0.5 | |||
| 8 | 4 | 56 | Boost | - | - | 0.25 | - | 0.1 | - | - | - | 0.5 |
| VPEAR | 10 | 0.5 | - | 2.6 | 1 | - | - | - | 0.5 | |||
| 9 | 5 | 252 | Boost | - | - | 0.25 | - | 0.1 | - | - | - | 0.5 |
| VPEAR | 10 | 0.5 | - | 2.6 | 1 | - | - | 0.5 | ||||
| 10 | 5 | 252 | Boost | - | - | - | - | - | 0.25 | - | 0.1 | 0.5 |
| VPEAR | 10 | 0.5 | - | - | - | - | 2.6 | 1 | 0.5 | |||
| Abbreviations | DEAE-D—diethylaminoethyl-dextran | GnRH—gonadotropin-releasing hormone | ||||||||||
| KLH—keyhole limpet hemocyanin | OVA—ovalbumin | |||||||||||
| SP—scrambled peptide | OTC—oxytetracycline | |||||||||||
| VPEAR—vaccine platform for extended antigen release | ||||||||||||
Publisher’s Note: MDPI stays neutral with regard to jurisdictional claims in published maps and institutional affiliations. |
© 2022 by the authors. Licensee MDPI, Basel, Switzerland. This article is an open access article distributed under the terms and conditions of the Creative Commons Attribution (CC BY) license (https://creativecommons.org/licenses/by/4.0/).
Share and Cite
Curtis, A.K.; Jones, D.E.; Kleinhenz, M.; Montgomery, S.; Martin, M.; Weeder, M.; Leslie, A.; Narasimhan, B.; Kelly, S.; Magstadt, D.R.; et al. Delivering an Immunocastration Vaccine via a Novel Subcutaneous Implant. Animals 2022, 12, 2698. https://doi.org/10.3390/ani12192698
Curtis AK, Jones DE, Kleinhenz M, Montgomery S, Martin M, Weeder M, Leslie A, Narasimhan B, Kelly S, Magstadt DR, et al. Delivering an Immunocastration Vaccine via a Novel Subcutaneous Implant. Animals. 2022; 12(19):2698. https://doi.org/10.3390/ani12192698
Chicago/Turabian StyleCurtis, Andrew K., Douglas E. Jones, Michael Kleinhenz, Shawnee Montgomery, Miriam Martin, Mikaela Weeder, Alyssa Leslie, Balaji Narasimhan, Sean Kelly, Drew R. Magstadt, and et al. 2022. "Delivering an Immunocastration Vaccine via a Novel Subcutaneous Implant" Animals 12, no. 19: 2698. https://doi.org/10.3390/ani12192698
APA StyleCurtis, A. K., Jones, D. E., Kleinhenz, M., Montgomery, S., Martin, M., Weeder, M., Leslie, A., Narasimhan, B., Kelly, S., Magstadt, D. R., Colina, A., & Coetzee, J. F. (2022). Delivering an Immunocastration Vaccine via a Novel Subcutaneous Implant. Animals, 12(19), 2698. https://doi.org/10.3390/ani12192698

