Fatal Infection in an Alpaca (Vicugna pacos) Caused by Pathogenic Rhodococcus equi
Abstract
:Simple Summary
Abstract
1. Introduction
2. Materials and Methods
3. Results and Discussion
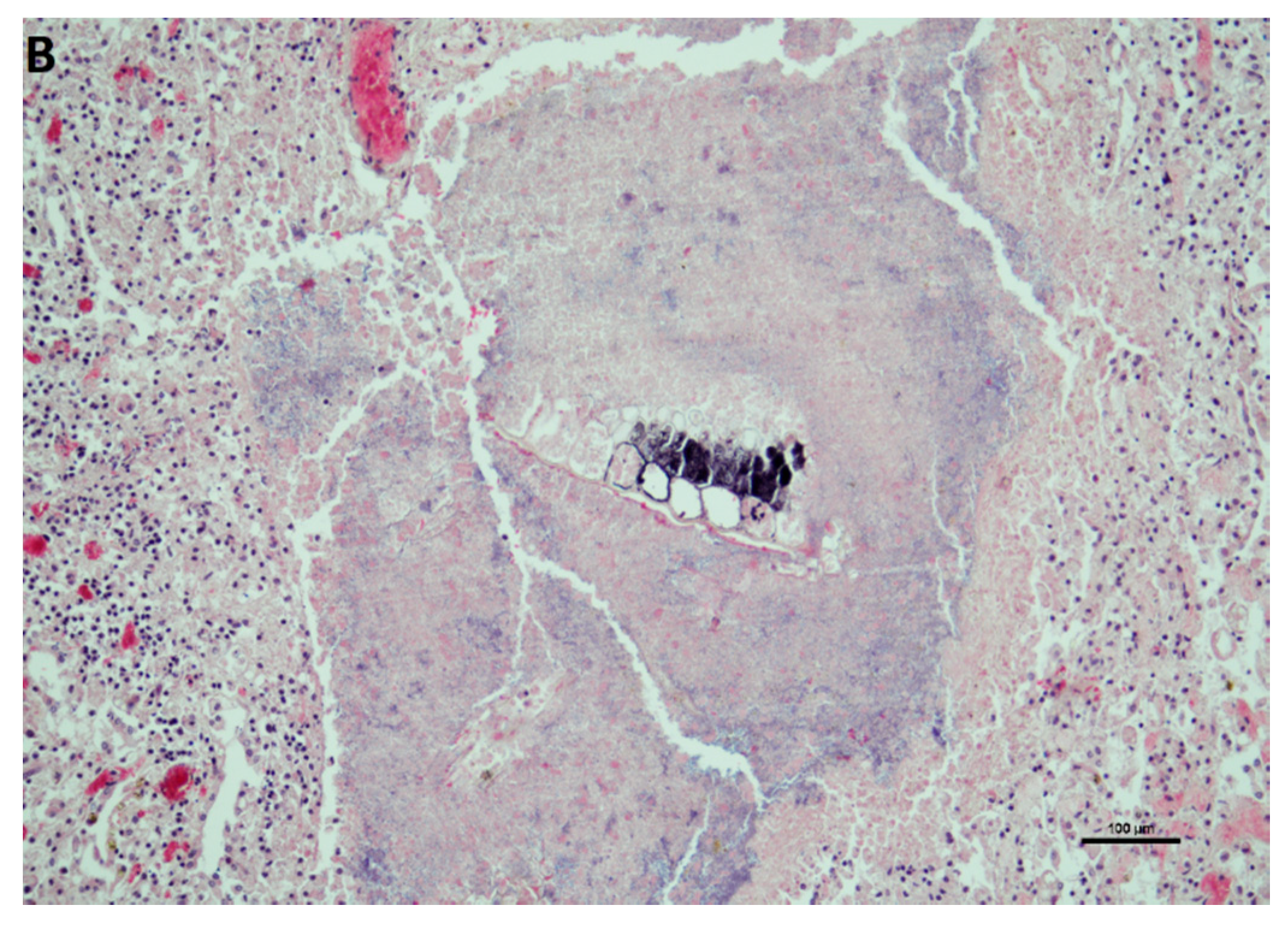
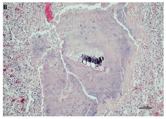
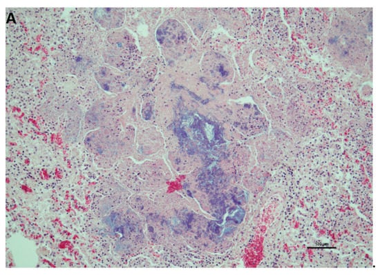
3.1. Postmortem Examination
3.2. Bacteriological Examination
3.3. Antibiotic Susceptibility
4. Conclusions
Author Contributions
Funding
Institutional Review Board Statement
Informed Consent Statement
Data Availability Statement
Acknowledgments
Conflicts of Interest
References
- Rakowska, A.; Cywinska, A.; Witkowski, L. Current trends in understanding and managing equine rhodococcosis. Animals 2020, 10, 1910. [Google Scholar] [CrossRef] [PubMed]
- Ruocco, N.A.; Luedke, L.K.; Fortier, L.A.; Ducharme, N.G.; Reesink, H.L. Rhodococcus equi joint sepsis and osteomyelitis is associated with a grave prognosis in foals. Front. Vet. Sci. 2020, 6, 503. [Google Scholar] [CrossRef] [PubMed]
- Aslam, M.W.; Lau, S.F. A review on Rhodococcus equi: Horse, cat and human. J. Vet. Malays. 2019, 31, 1–12. [Google Scholar]
- Bryan, L.K.; Clark, S.D.; Díaz-Delgado, J.; Lawhon, S.D.; Edwards, J.F. Rhodococcus equi infections in dogs. Vet. Pathol. 2017, 54, 159–163. [Google Scholar] [CrossRef] [Green Version]
- Kinne, J.; Madarame, H.; Takai, S.; Jose, S.; Wernery, U. Disseminated Rhodococcus equi infection in dromedary camels (Camelus dromedarius). Vet. Microbiol. 2011, 149, 269–272. [Google Scholar] [CrossRef]
- Nakagawa, R.; Moki, H.; Hayashi, K.; Ooniwa, K.; Tokuyama, K.; Kakuda, T.; Yoshioka, K.; Takai, S. A case report on disseminated Rhodococcus equi infection in a Japanese black heifer. J. Vet. Med. Sci. 2018, 80, 819–822. [Google Scholar] [CrossRef] [Green Version]
- Stranahan, L.W.; Plumlee, Q.D.; Lawhon, S.D.; Cohen, N.D.; Bryan, L.K. Rhodococcus equi infections in goats: Characterization of virulence plasmids. Vet. Pathol. 2018, 55, 273–276. [Google Scholar] [CrossRef] [Green Version]
- Witkowski, L.; Rzewuska, M.; Takai, S.; Kizerwetter-Świda, M.; Kita, J. Molecular epidemiology of Rhodococcus equi in slaughtered swine, cattle and horses in Poland. BMC Microbiol. 2016, 16, 98. [Google Scholar] [CrossRef] [Green Version]
- Zychska, M.; Witkowski, L.; Klementowska, A.; Rzewuska, M.; Kwiecién, E.; Stefánska, I.; Czopowicz, M.; Szalus-Jordanow, O.; Mickiewicz, M.; Moroz, A.; et al. Rhodococcus equi—Occurrence in goats and clinical case report. Pathogens 2021, 10, 1141. [Google Scholar] [CrossRef]
- Hong, C.B.; Donahue, J.M. Rhodococcus equi-associated necrotizing lymphadenitis in a llama. J. Comp. Pathol. 1995, 113, 85–88. [Google Scholar] [CrossRef]
- Löhr, C.V.; O’Neill, T.W.; Daw, D.N.; Pitel, M.O.; Schlipf, J.W. Pyogranulomatous enteritis and mesenteric lymphadenitis in an adult llama caused by Rhodococcus equi carrying virulence-associated protein A gene. J. Vet. Diagn. Investig. 2019, 31, 747–751. [Google Scholar] [CrossRef]
- Braga, W.U.; Chavera, A.; Gonzalez, A. Corynebacterium pseudotuberculosis infection in highland alpacas (Lama pacos) in Peru. Vet. Rec. 2006, 159, 23–24. [Google Scholar] [CrossRef]
- Sprake, P.; Gold, J.R. Corynebacterium pseudotuberculosis liver abscess in a mature alpaca (Lama pacos). Can. Vet. J. 2012, 53, 387–390. [Google Scholar]
- Wernery, U. Caseous lymphadenitis (Pseudotuberculosis) in camelids. J. Camel Pract. Res. 2012, 19, 21–27. [Google Scholar]
- Ramos-Vara, J.A.; Kopcha, M.; Richter, E.; Watson, G.L.; Patterson, J.S.; Juan-Sallés, C.; Yamini, B. Actinomycotic splenitis and intestinal volvulus in an alpaca (Lama pacos). J. Zoo Wildl. Med. 1998, 29, 228–232. [Google Scholar]
- Sting, R.; Schwalm, A.K.; Contzen, M.; Roller, M.; Rau, J. Actinomycetes associated with abscess formation in a goat, a llama and two alpacas. Berl. Munch. Tieraerztl. Wschr. 2020, 133. [Google Scholar] [CrossRef]
- Dwan, L.W.; Thompson, H.; Taylor, D.J.; Philbey, A.W. Laryngeal abscessation due to Mannheimia haemolytica in an alpaca (Vicugna pacos) cria. Vet. Rec. 2008, 163, 124–125. [Google Scholar] [CrossRef]
- Hill, F.I.; Johnstone, A.C. Actinobacillosis in an alpaca (Lama pacos). N. Z. Vet. J. 1992, 40, 28–30. [Google Scholar] [CrossRef]
- Tavella, A.; Bettini, A.; Cocchi, M.; Idrizi, I.; Colorio, S.; Viel, L.; Zanardello, C.; Patrik Zanolari, P. Isolation of Streptococcus agalactiae in a female llama (Lama glama) in South Tyrol (Italy). BMC Vet. Res. 2018, 14, 343. [Google Scholar] [CrossRef]
- Corpa, J.M.; Carvallo, F.; Anderson, M.L.; Nyaoke, A.C.; Moore, J.D.; Uzal, F.A. Streptococcus equi subspecies zooepidemicus septicemia in alpacas: Three cases and review of the literature. J. Vet. Diagn. Investig. 2018, 30, 598–602. [Google Scholar] [CrossRef] [Green Version]
- Wernery, U.; Kinne, J.; Jose, S.; Das Gupta, A.; Taha, A.A.; Ismail, A.A.; Joseph, M.; Nagy, P.; Juhasz, J. ‘Alpaca Fever’ in Dromedary Camel Calves–A Case Report. J. Camel Pract. Res. 2021, 28, 291–295. [Google Scholar] [CrossRef]
- Krajewska-Wędzina, M.; Didkowska, A.; Sridhara, A.A.; Elahi, R.; Johnathan-Lee, A.; Radulski, L.; Lipiec, M.; Anusz, K.; Lyashchenko, K.P.; Miller, M.A.; et al. Transboundary tuberculosis: Importation of alpacas infected with Mycobacterium bovis from the United Kingdom to Poland and potential for serodiagnostic assays in detecting tuberculin skin test false-negative animals. Transbound. Emerg. Dis. 2020, 67, 1306–1314. [Google Scholar] [CrossRef]
- Krajewska-Wędzina, M.; Miller, M.A.; Didkowska, A.; Kycko, A.; Radulski, L.; Lipiec, M.; Weiner, M. The potential risk of international spread of Mycobacterium bovis associated with movement of alpacas. J. Vet. Res. 2022, 66, 53–59. [Google Scholar] [CrossRef]
- Vázquez-Boland, J.A.; Scortti, M.; Meijer, W.G. Conservation of Rhodococcus equi (Magnusson 1923) Goodfellow and Alderson 1977 and rejection of Rhodococcus hoagii (Morse 1912) Kämpfer et al. 2014. Int. J. Syst. Evol. Microbiol. 2020, 70, 3572–3576. [Google Scholar] [CrossRef] [PubMed]
- Cohen, N.D.; Carter, C.N.; Scott, H.M.; Chan, M.K.; Smith, J.L.; Grimm, M.B.; Kuskie, K.R.; Takai, S.; Martens, R.J. Association of soil concentrations of Rhodococcus equi and incidence of pneumonia attributable to Rhodococcus equi in foals on farms in central Kentucky. Am. J. Vet. Res. 2008, 69, 385–395. [Google Scholar] [CrossRef] [PubMed]
- Cohen, N.D.; Chan, M.K.; Kuskie, K.R.; Syndergaard, M.K.; Blodgett, G.P.; Takai, S. Association of perinatal exposure to airborne Rhodococcus equi with risk of pneumonia caused by R. equi in foals. Am. J. Vet. Res. 2013, 74, 102–109. [Google Scholar] [CrossRef] [PubMed]
- Giguère, S.; Cohen, N.D.; Chaffin, M.K.; Hines, S.A.; Hondalus, M.K.; Prescott, J.F.; Slovis, N.M. Rhodococcus equi: Clinical manifestations, virulence, and immunity. J. Vet. Intern. Med. 2011, 25, 1221–1230. [Google Scholar] [CrossRef]
- Muscatello, G.; Lowe, J.M.; Flash, M.L.; McBride, K.L.; Browning, G.L.; Gilkerson, J.R. Review of the epidemiology and ecology of Rhodococcus equi. AAEP Proc. 2007, 53, 214–217. [Google Scholar]
- Ocampo-Sosa, A.A.; Lewis, D.A.; Avas, J.; Quigley, F.; Callejo, R.; Scortti, M.; Leadon, D.P.; Fogarty, U.; Vázquez-Bolan, J.A. Molecular Epidemiology of Rhodococcus equi Based on traA, vapA, and vapB virulence plasmid markers. J. Infect. Dis. 2007, 196, 763–769. [Google Scholar] [CrossRef] [Green Version]
- Willingham-Lane, J.M.; Berghaus, L.J.; Giguère, S.; Hondalus, M.K. Influence of plasmid type on the replication of Rhodococcus equi in host macrophages. mSphere 2016, 1, e00186-16. [Google Scholar] [CrossRef] [Green Version]
- Hondalus, M.K. Pathogenesis and virulence of Rhodococus equi. Vet. Microbiol. 1997, 56, 257–268. [Google Scholar] [CrossRef]
- Salazar-Rodríguez, D.; Aleaga-Santiesteban, Y.; Iglesias, E.; Plascencia-Hernández, A.; Pérez-Gómez, H.R.; Calderón, E.J.; Vázquez-Boland, J.A.; de Armas, Y. Virulence plasmids of Rhodococcus equi isolates from Cuban patients with AIDS. Front. Vet. Sci. 2021, 8, 628239. [Google Scholar] [CrossRef]
- Vázquez-Boland, J.A.; Meijer, W.G. The pathogenic actinobacterium Rhodococcus equi: What’s in a name? Mol. Microbiol. 2019, 112, 1–15. [Google Scholar] [CrossRef] [Green Version]
- Bryan, L.K.; Alexander, E.R.; Lawhon, S.D.; Cohen, N.D. Detection of vapN in Rhodococcus equi isolates cultured from humans. PLoS ONE 2018, 13, e0190829. [Google Scholar] [CrossRef] [Green Version]
- Takai, S.; Sawada, N.; Nakayama, Y.; Ishizuka, S.; Nakagawa, R.; Kawashima, G.; Angkanjanavanich, N.; Sasaki, Y.; Kakuda, T.; Suzuki, Y. Reinvestigation of the virulence of Rhodococcus equi isolates from patients with and without AIDS. Lett. Appl. Microbiol. 2020, 71, 679–683. [Google Scholar] [CrossRef]
- Vázquez-Boland, J.A.; Giguère, S.; Hapeshi, A.; MacArthur, I.; Anastasi, E.; Valero-Rello, A. Rhodococcus equi: The many facets of a pathogenic actinomycete. Vet. Microbiol. 2013, 167, 9–33. [Google Scholar] [CrossRef]
- Yamshchikov, A.V.; Schuetz, A.; Lyon, G.M. Rhodococcus equi infection. Lancet Infect. Dis. 2010, 10, 350–359. [Google Scholar] [CrossRef]
- Shah, R.; Klumpp, L.C.; Nerella, N.; Liu-Young, G.; Jordan, J. Infective endocarditis caused by Rhodococcus equi in an immunocompetent patient. Cureus 2020, 12, e7829. [Google Scholar] [CrossRef] [Green Version]
- Rau, J.; Eisenberg, T.; Männig, A.; Wind, C.; Lasch, P.; Sting, R. MALDI-UP—An Internet Platform for the Exchange of MALDI-TOF mass spectra—User guide for http://maldi-up.ua-bw.de. Asp. Food Control Anim. Health 2016, 1, 1–17. [Google Scholar]
- Uchida-Fujii, E.; Niwa, H.; Kinoshita, Y.; Nukada, T. Construction and application of an in-house matrix-assisted laser desorption ionization-time of flight mass spectrometry (MALDI-TOF MS) database specific to bacteria from horses. J. Equine Vet. Sci. 2021, 103, 103664. [Google Scholar] [CrossRef]
- Lane, D.J. 16S/23S rRNA sequencing. In Nucleic Acid Techniques in Bacterial Systematics; Stackebrandt, E., Goodfellow, M., Eds.; John Wiley & Sons Inc.: New York, NY, USA, 1991; pp. 115–175. [Google Scholar]
- Fredriksson, N.J.; Hermansson, M.; Wilén, B.M. The choice of PCR primers has great impact on assessments of bacterial community diversity and dynamics in a wastewater treatment plant. PLoS ONE 2013, 8, e76431. [Google Scholar] [CrossRef]
- Hunt, D.E.; Klepac-Ceraj, V.; Acinas, S.G.; Gautier, C.; Bertilsson, S.; Polz, M.F. Evaluation of 23S rRNA PCR primers for use in phylogenetic studies of bacterial diversity. Appl. Environ. Microbiol. 2006, 72, 2221–2225. [Google Scholar] [CrossRef] [Green Version]
- Khamis, A.; Raoult, D.; La Scola, B. rpoB gene sequencing for identification of Corynebacterium species. J. Clin. Microbiol. 2004, 42, 3925–3931. [Google Scholar] [CrossRef] [Green Version]
- Pruitt, K.; Brown, G.; Tatusova, T.; Maglott, D. The Reference Sequence (RefSeq) Database. In The NCBI Handbook; McEntyre, J., Ostell, J., Eds.; National Center for Biotechnology Information (US): Bethesda, MD, USA, 2002; pp. 307–328. [Google Scholar] [CrossRef] [Green Version]
- Yoon, S.H.; Ha, S.M.; Kwon, S.; Lim, J.; Kim, Y.; Seo, H.; Chun, J. Introducing EzBioCloud: A taxonomically united database of 16S rRNA and whole genome assemblies. Int. J. Syst. Evol. 2017, 67, 1613–1617. [Google Scholar] [CrossRef]
- Quinn, P.J.; Carter, M.E.; Markey, B.K.; Carter, G.R. Clinical Veterinary Microbiology; Mosby: London, UK, 1998. [Google Scholar]
- Navas, J.; González-Zorn, B.; Ladrón, N.; Garrido, P.; Vázquez-Boland, J.A. Identification and mutagenesis by allelic exchange of choE, encoding a cholesterol oxidase from the intracellular pathogen Rhodococcus equi. J. Bacteriol. 2001, 183, 4796–4805. [Google Scholar] [CrossRef] [Green Version]
- Harrington, J.R.; Golding, M.C.; Martens, R.J.; Halbert, N.D.; Cohen, N.D. Evaluation of a real-time quantitative polymerase chain reaction assay for detection and quantitation of virulent Rhodococcus equi. Am. J. Vet. Res. 2005, 66, 755–761. [Google Scholar] [CrossRef] [Green Version]
- Riesenberg, A.; Feßler, A.T.; Frömke, C.; Kadlec, K.; Klarmann, D.; Kreienbrock, L.; Werckenthin, C.; Schwarz, S. Harmonization of antimicrobial susceptibility testing by broth microdilution for Rhodococcus equi of animal origin. J. Antimicrob. Chemother. 2013, 68, 2173–2175. [Google Scholar] [CrossRef] [Green Version]
- Reuss, S.M.; Chaffin, M.K.; Cohen, N.D. Extrapulmonary disorders associated with Rhodococcus equi infection in foals: 150 cases (1987–2007). J. Am. Vet. Med. Assoc. 2009, 235, 855–863. [Google Scholar] [CrossRef] [PubMed]
- Stalb, S.; Hiller, E.; Rau, J.; Eisenberg, T.; Sting, R. Pathological significance of Helcococcus ovis and Helcococcus kunzii in veterinary medicine. Berl. Muench. Tieraerztl. Wschr. 2018, 131, 482–488. [Google Scholar] [CrossRef]
- Sting, R.; Eisenberg, T.; Hrubenja, M. Rapid and reasonable molecular identification of bacteria and fungi in microbiological diagnostics using rapid real-time PCR and Sanger sequencing. J. Microbiol. Meth. 2019, 159, 148–156. [Google Scholar] [CrossRef] [PubMed]
- Giguère, S.; Prescott, J.F. Clinical manifestations, diagnosis, treatment, and prevention of Rhodococcus equi infections in foals. Vet. Microbiol. 1997, 56, 313–334. [Google Scholar] [CrossRef]
- Staufenbiel, C.; Schulze, C.; Winterhoff, N.; Brandt, K. Intestinale Rhodokokkose bei einem dreijährigen Warmblutwallach. Prakt. Tierarzt 2021, 102, 486–496. [Google Scholar] [CrossRef]
- Vengust, M.; Stæmpfli, H.; Prescott, J.F. Rhodococcus equi pleuropneumonia in an adult horse. Can. Vet. J. 2002, 43, 706–708. [Google Scholar]
- Waldridge, B.M.; Morresey, P.R.; Loynachan, A.T.; Reimer, J.; Riddle, W.T.; Williams, N.M.; Bras, R. Rhodococcus equi pneumonia in an adult horse. Equine Vet. Educ. 2008, 20, 67–71. [Google Scholar] [CrossRef]
- Muscatello, G.; Gilkerson, J.R.; Browning, G.F. Rattles in Horses: Effects of stud management on ecology of virulent Rhodococcus equi. In A Report for the Rural Industries Research and Development Corporation; RIRDC Publication: Canberra, Australia, 2006; No. 06/097; ISSN 1440-6845. [Google Scholar]
- Bordin, A.I.; Huber, L.; Sanz, M.G.; Cohen, N.D. Rhodococcus equi foal pneumonia: Update on epidemiology, immunity, treatment and prevention. Equine Vet. J. 2022, 54, 481–494. [Google Scholar] [CrossRef]
- Riesenberg, A.; Feßler, A.T.; Erol, E.; Prenger-Berninghoff, E.; Stamm, I.; Böse, R.; Heusinger, A.; Klarmann, D.; Werckenthin, C.; Schwarz, S. MICs of 32 antimicrobial agents for Rhodococcus equi isolates of animal origin. J. Antimicrob. Chemother. 2014, 69, 1045–1049. [Google Scholar] [CrossRef]
- Álvarez-Narváez, S.; Berghaus, L.J.; Morris, E.R.A.; Willingham-Lane, J.M.; Slovis, N.M.; Giguère, S.; Cohen, N.D. A common practice of widespread antimicrobial use in horse production promotes multi-drug resistance. Sci. Rep. 2020, 10, 911. [Google Scholar] [CrossRef]
- Álvarez-Narváez, S.; Giguère, S.; Cohen, N.; Slovis, N.; Vázquez-Boland, J.A. Spread of multidrug-resistant Rhodococcus equi, United States. Emerg. Infect. Dis. 2021, 27, 529–537. [Google Scholar] [CrossRef]
- Cisek, A.A.; Rzewuska, M.; Witkowski, L.; Binek, M. Antimicrobial resistance in Rhodococcus equi. Act. Biochim. Pol. 2014, 61, 633–638. [Google Scholar] [CrossRef] [Green Version]
- Stieler, A.L.; Sanchez, L.C.; Mallicote, M.F.; Martabano, B.B.; Burrow, J.A.; MacKay, R.J. Macrolide-induced hyperthermia in foals: Role of impaired sweat responses. Equine Vet. J. 2016, 48, 590–594. [Google Scholar] [CrossRef]
- Arnold-Lehna, D.; Venner, M.; Berghaus, L.J.; Berghaus, R.; Giguère, S. Changing policy to treat foals with Rhodococcus equi pneumonia in the later course of disease decreases antimicrobial usage without increasing mortality rate. Equine Vet. J. 2020, 52, 531–537. [Google Scholar] [CrossRef]
- Kahn, S.K.; Cywes-Bentley, C.; Blodgett, G.P.; Canaday, N.M.; Turner-Garcia, C.E.; Flores-Ahlschwede, P.; Metcalfe, L.L.; Nevill, M.; Vinacur, M.; Sutter, P.J.; et al. Randomized, controlled trial comparing Rhodococcus equi and poly-N-acetyl glucosamine hyperimmune plasma to prevent R equi pneumonia in foals. J. Vet. Intern. Med. 2021, 35, 2912–2919. [Google Scholar] [CrossRef]



| Antibiotic | CVUAS 2755.3 (Alpaca, Lung) | CVUAS 246 (ATCC 33701) | CVUAS 2998 (Horse, Lung) | CVUAS 952 (Horse, Lung) | CVUAS 4057 (Pig, Placenta) | CVUAS 5384-2 (Cattle, Lymph Node) | MIC50 1 | MIC90 1 |
|---|---|---|---|---|---|---|---|---|
| Ampicillin | =8 (R) | =8 (R) | =8 (R) | =8 (R) | =8 (R) | =8 (R) | 4 | 8 |
| Cefquinom | >4 (R) | >4 (R) | =4 (I) | =4 (I) | =4 (I) | >4 (R) | 2 | 4 |
| Ceftiofur | >4 (R) | >4 (R) | >4 (R) | >4 (R) | >4 (R) | >4 (R) | 8 | 16 |
| Cefazolin | >8 (R) | >8 (R) | >8 (R) | >8 (R) | >8 (R) | >8 (R) | n.d.p. | n.d.p. |
| Clindamycin | >2 (R) | >2 (R) | >2 (R) | >2 (R) | >2 (R) | >2 (R) | 4 | 8 |
| Cefoxitin | >4 (R) | =4 (S) | >4 (R) | >4 (R) | >4 (R) | >4 (R) | n.d.p. | n.d.p. |
| Doxycyclin | =0.5 (S) | =0.5 (S) | =0.5 (S) | =0.5 (S) | =0.5 (S) | =0.5 (S) | 1 | 1 |
| Enrofloxacin | =1 (I) | =0.5 (I) | =0.5 (I) | =0.5 (I) | =0.5 (I) | =0.5 (I) | 1 | 1 |
| Erythromycin | =0.5 (S) | =0.5 (S) | =0.5 (S) | =0.5 (S) | =0.5 (S) | =0.5 (S) | 0.5 | 0.5 |
| Florfenicol | =8 (R) | >8 (R) | >8 (R) | >8 (R) | =8 (R) | >8 (R) | 16 | 16 |
| Gentamicin | ≤1 (S) | ≤1 (S) | ≤1 (S) | ≤1 (S) | ≤1 (S) | ≤1 (S) | 0.5 | 0.5 |
| Neomycin | ≤8 (S) | ≤8 (S) | ≤8 (S) | ≤8 (S) | ≤8 (S) | ≤8 (S) | n.d.p. | n.d.p.. |
| Nitrofurantoin | =64 (I) | =64 (I) | =64 (I) | =64 (I) | =64 (I) | =64 (I) | n.d.p. | n.d.p.. |
| Oxacillin | >4 (R) | >4 (R) | >4 (R) | >4 (R) | >4 (R) | >4 (R) | n.d.p. | n.d.p. |
| Penicillin G | >8 (R) | >8 (R) | >8 (R) | =8 (R) | =8 (R) | =8 (R) | 4 | 4 |
| Rifampicin | =0.5 (S) | =0.5 (S) | =0.5 (S) | =0.25 (S) | =0.5 (S) | =0.25 (S) | 0.06 | 0.12 |
| Trimethoprim/Sulfamethoxazole 2 | =1 (S) | =1 (S) | =1 (S) | =2 (S) | =1 (S) | =1 (S) | 0.25 | 0.5 |
| Tetracycline | =2 (S) | =4 (S) | =2 (S) | =2 (S) | =2 (S) | =2 (S) | 4 | 8 |
| Vancomycin | ≤0.5 (S) | ≤0.5 (S) | ≤0.5 (S) | ≤0.5 (S) | ≤0.5 (S) | ≤0.5 (S) | 0.5 | 0.5 |
Publisher’s Note: MDPI stays neutral with regard to jurisdictional claims in published maps and institutional affiliations. |
© 2022 by the authors. Licensee MDPI, Basel, Switzerland. This article is an open access article distributed under the terms and conditions of the Creative Commons Attribution (CC BY) license (https://creativecommons.org/licenses/by/4.0/).
Share and Cite
Sting, R.; Schwabe, I.; Kieferle, M.; Münch, M.; Rau, J. Fatal Infection in an Alpaca (Vicugna pacos) Caused by Pathogenic Rhodococcus equi. Animals 2022, 12, 1303. https://doi.org/10.3390/ani12101303
Sting R, Schwabe I, Kieferle M, Münch M, Rau J. Fatal Infection in an Alpaca (Vicugna pacos) Caused by Pathogenic Rhodococcus equi. Animals. 2022; 12(10):1303. https://doi.org/10.3390/ani12101303
Chicago/Turabian StyleSting, Reinhard, Ingo Schwabe, Melissa Kieferle, Maren Münch, and Jörg Rau. 2022. "Fatal Infection in an Alpaca (Vicugna pacos) Caused by Pathogenic Rhodococcus equi" Animals 12, no. 10: 1303. https://doi.org/10.3390/ani12101303
APA StyleSting, R., Schwabe, I., Kieferle, M., Münch, M., & Rau, J. (2022). Fatal Infection in an Alpaca (Vicugna pacos) Caused by Pathogenic Rhodococcus equi. Animals, 12(10), 1303. https://doi.org/10.3390/ani12101303

