Next Article in Journal
Constraint-Based, Score-Based and Hybrid Algorithms to Construct Bayesian Gene Networks in the Bovine Transcriptome
Next Article in Special Issue
The Odontocete Ear Canal-Associated Lymphoid Tissue (ECALT) and Lymph Nodes: Morphological and Pathological Description with Immuno-Phenotypic Characterisation
Previous Article in Journal
Fatal Infection in an Alpaca (Vicugna pacos) Caused by Pathogenic Rhodococcus equi
Previous Article in Special Issue
A Correlational Analysis of Phthalate Exposure and Thyroid Hormone Levels in Common Bottlenose Dolphins (Tursiops truncatus) from Sarasota Bay, Florida (2010–2019)
 
 
Font Type:
Arial Georgia Verdana
Font Size:
Aa Aa Aa
Line Spacing:
Column Width:
Background:
Article

Cellular Prion Protein Expression in the Brain Tissue from Brucella ceti-Infected Striped Dolphins (Stenella coeruleoalba)

by
Clotilde Beatrice Angelucci
1,
Roberto Giacominelli-Stuffler
1,
Marina Baffoni
1,
Cristina Esmeralda Di Francesco
1,
Gabriella Di Francesco
2,
Ludovica Di Renzo
2,
Manuela Tittarelli
2,
Antonio Petrella
3,
Carla Grattarola
4,
Sandro Mazzariol
5,
Eva Sierra
6,
Antonio Fernández
6 and
Giovanni Di Guardo
1,*
1
Faculty of Veterinary Medicine, University of Teramo, 64100 Teramo, Italy
2
Istituto Zooprofilattico Sperimentale (IZS) dell’Abruzzo e Molise “G. Caporale”, 64100 Teramo, Italy
3
IZS della Puglia e Basilicata, 71121 Foggia, Italy
4
IZS del Piemonte, Liguria e Valle d’Aosta, CReDiMa, 10154 Turin, Italy
5
Department of Comparative Biomedicine and Food Science, University of Padua, 35020 Legnaro, Italy
6
Faculty of Veterinary Medicine, University of Las Palmas de Gran Canaria, Las Palmas de Gran Canaria, 35416 Canary Islands, Spain
*
Author to whom correspondence should be addressed.
Animals 2022, 12(10), 1304; https://doi.org/10.3390/ani12101304
Submission received: 17 March 2022 / Revised: 9 May 2022 / Accepted: 17 May 2022 / Published: 19 May 2022
(This article belongs to the Special Issue Frontiers in Marine Mammal Health and Immunity)

Abstract

Simple Summary

Brucella ceti, a zoonotic bacterial pathogen, is known to exhibit a strong neurotropism and neuropathogenicity for striped dolphins (Stenella coeruleoalba), often leading to their stranding and death. Given the lack of information on B. ceti infection’s neuropathogenesis, we investigated, for the first time, cellular prion protein (PrPc) expression in the brain tissue from B. ceti-infected, neurobrucellosis-affected striped dolphins. Our study was inspired by previous work, reporting PrPc as the host cell receptor for B. abortus on the surface of murine macrophages. Immunohistochemistry (IHC) and Western blot (WB) analyses were carried out on brain tissues from 12 striped dolphins found stranded along the coasts of Italy (11 specimens) and the Canary Islands (one individual), five of which served as negative controls. While PrPc IHC yielded inconclusive results, WB analyses showed a clear-cut PrPc expression, albeit of different intensity, in the brain tissue of all the herein investigated, B. ceti-infected and neurobrucellosis-affected individuals. In this respect, the aforementioned PrPc expression patterns could be influenced by a number of intrinsic host-related factors, as well as by several extrinsic factors including simultaneously occurring neuropathies and/or coinfections by other neurotropic pathogens. Additionally, an upregulation of PrPc mRNA in the brain tissue of striped dolphins could be also hypothesized during the different stages of B. ceti infection, in a similar fashion to what is already shown in murine bone marrow cells challenged with Escherichia coli. In conclusion, much more work is needed in order to properly assess the role of PrPc, if any, as a host cell receptor for B. ceti in striped dolphins.

Abstract

Brucella ceti, a zoonotic pathogen of major concern to cetacean health and conservation, is responsible for severe meningo-encephalitic/myelitic lesions in striped dolphins (Stenella coeruleoalba), often leading to their stranding and death. This study investigated, for the first time, the cellular prion protein (PrPc) expression in the brain tissue from B. ceti-infected, neurobrucellosis-affected striped dolphins. Seven B. ceti-infected, neurobrucellosis-affected striped dolphins, found stranded along the Italian coastline (6) and in the Canary Islands (1), were investigated, along with five B. ceti-uninfected striped dolphins from the coast of Italy, carrying no brain lesions, which served as negative controls. Western Blot (WB) and immunohistochemistry (IHC) with an anti-PrP murine monoclonal antibody were carried out on the brain parenchyma of these dolphins. While PrPc IHC yielded inconclusive results, a clear-cut PrPc expression of different intensity was found by means of WB analyses in the brain tissue of all the seven herein investigated, B. ceti-infected and neurobrucellosis-affected cetacean specimens, with two dolphins stranded along the Italian coastline and one dolphin beached in Canary Islands also exhibiting a statistically significant increase in cerebral PrPc expression as compared to the five Brucella spp.-negative control specimens. The significantly increased PrPc expression found in three out of seven B. ceti-infected, neurobrucellosis-affected striped dolphins does not allow us to draw any firm conclusion(s) about the putative role of PrPc as a host cell receptor for B. ceti. Should this be the case, an upregulation of PrPc mRNA in the brain tissue of neurobrucellosis-affected striped dolphins could be hypothesized during the different stages of B. ceti infection, as previously shown in murine bone marrow cells challenged with Escherichia coli. Noteworthy, the inflammatory infiltrates seen in the brain and in the cervico-thoracic spinal cord segments from the herein investigated, B. ceti-infected and neurobrucellosis-affected striped dolphins were densely populated by macrophage/histiocyte cells, often harboring Brucella spp. antigen in their cytoplasm, similarly to what was reported in macrophages from mice experimentally challenged with B. abortus. Notwithstanding the above, much more work is needed in order to properly assess the role of PrPc, if any, as a host cell receptor for B. ceti in striped dolphins.

1. Introduction

Brucella genus members are a group of Gram-negative, pathogenic bacteria causing brucellosis in many mammalian species, including aquatic mammals.
Brucella ceti (a smooth Brucella spp. microorganism), which is known to infect dolphins and whales from the two Hemispheres, has been isolated in recent years from striped dolphins (Stenella coeruleoalba) stranded along the Italian coastline [1,2,3], with neurobrucellosis being a quite common and peculiar pathological feature in these animals, as previously reported elsewhere [4,5,6].
Prion diseases (PDs), or transmissible spongiform encephalopathies (TSEs), are fatal, progressive neurodegenerative disorders characterized by the accumulation, in the central nervous system (CNS) as well as in peripheral nervous and extraneural tissues, of a pathological isoform, PrPSc, of the host-encoded, cellular prion protein (PrPc) [7]. While PD/TSE-associated lesions are limited to the host’s CNS, the disease-specific protein PrPSc accumulates in secondary lymphoid tissues prior to neuroinvasion, with PrPSc deposition and prion agent replication depending upon the PrPc expression levels on host cells. Within lymphoid tissues, PrPc may additionally undergo an up- or downregulation during adaptive immune responses [8]. Besides PDs/TSEs, PrPc is pathogenetically involved in other neurological disorders and infectious diseases, including Alzheimer’s disease and human immunodeficiency virus (HIV) infection [8,9].
PrPc is a small glycoprotein consisting of 253, 254, 256, and 257 amino acids in man, mink, sheep, and goat, respectively, and is also characterized by a C-helix C-terminal region stabilized by a disulfide bridge; this region ranges from residue 125 to 231; the N-terminal region is very flexible and ranges from residue 23 to 124 [10,11]. Differently from PrPc, PrPSc is misfolded, thereby exhibiting greater resistance to proteinase K (PK) digestion and being highly insoluble in non-ionic detergents. Although its biological functions are still far from being fully elucidated, PrPc is likely involved in the transport of ionic copper (Cu++) from the external environment into cells. A role in the formation of neuronal synapses and cellular signaling has been also suggested, with PrPc likely serving as a host cell receptor for a number of microbial pathogens [12,13]. As far as extraneural expression is concerned, phagocytes, dendritic cells (DCs), lymphocytes and natural killer (NK) cells have been shown to harbor PrPc on their surface, with its distribution varying between humans and mice [7].
With specific reference to microbial pathogens, a key role played by PrPc in allowing B. abortus entry into murine macrophages has been additionally demonstrated following experimental infection [14,15,16].
The present study, which was inspired by a previously published theoretical article [17], was aimed at identifying and evaluating brain PrPc expression in a number of beached striped dolphins, while also attempting to uncover the existence of pathogenetic relationships-if any-between PrPc expression and Brucella spp. immunoreactivity (IR) in the cerebral tissue of B. ceti-infected, neurobrucellosis-affected striped dolphins, as compared to B. ceti-negative striped dolphins with no microscopic evidence of CNS lesions.

2. Materials & Methods

A total number of 12 striped dolphins, seven affected by neurobrucellosis due to B. ceti and five B. ceti-negative and with no microscopic evidence of CNS lesions, were included in this study.
All the aforementioned cetaceans were found stranded lifeless along the coast of Italy, with the only exception of a B. ceti-infected, neurobrucellosis-affected individual, that was found stranded in 2004 in Canary Islands. As far as concerns the post mortem preservation/conservation code of the herein investigated striped dolphin specimens, this was categorized as “good” (code 2), according to the classical/canonical classification scheme by Geraci and Lounsbury [18].
During post-mortem examination, all major organs from each animal-including the brain and the cervico-thoracic spinal cord-were promptly fixed in 10% neutral buffered formalin, to be subsequently embedded in paraffin and cut into 5-micron-thick sections for light microscopic analyses. After its removal from the skull, the brain was cut into two halves, one of which was immediately fixed in 10% neutral buffered formalin, while the remaining one was frozen at −80 °C for microbiological, biomolecular, and immunobiochemical ancillary investigations. More in detail, microbiological analyses were performed on each dolphin specimen, by means of selective media, against bacterial (both aerobic and anaerobic) and fungal pathogens potentially impacting cetacean health and conservation. For Brucella spp. isolation, we followed the technique described in the OIE Manual of Diagnostic Tests and Vaccines [19], using both selective and non-selective solid media and enrichment broths. Cultures were attempted from the CNS (brain and spinal cord) as well as from extraneural organs and tissues (spleen, liver, kidney, lung, heart, and lymph nodes). Brucella spp. strains recovered from the herein investigated striped dolphins were identified as B. ceti using the PCR-RFLP method [20], then subjected to genomic analysis at the National and OIE Reference Laboratory for Brucellosis, Istituto Zooprofilattico Sperimentale dell’Abruzzo e del Molise (IZSAM), Teramo, Italy.
In-depth biomolecular and immunohistochemical (IHC) investigations were also carried out against Cetacean morbillivirus (CeMV) and Toxoplasma gondii, two pathogens of concern for striped dolphins alongside B. ceti [5,21,22,23]. The aforementioned biomolecular (RT-PCR and PCR for CeMV and T. gondii, respectively) and IHC analyses were performed following ad hoc, previously published laboratory protocols [22,23].
For PrPc detection, we followed a protocol described elsewhere [24], with Western blot (WB) being the technique utilized. Indeed, WB ranks among the “rapid tests” employed in Italy and in the European Union for the active surveillance of ruminant PDs/TSEs [25]. To this aim, the commercially available anti-PrP monoclonal antibody (Mab) F89/160.1.5 (VMRD, Inc., Pullman, WA, USA) was used, with a four amino acid-bearing (142–145) PrP epitope (IHFG) being specifically recognized by F89/160.1.5. The same MAb was additionally employed for PrPc detection by means of immunohistochemistry (IHC) in the brain tissue of all the striped dolphins under study.
For Brucella spp. IHC, selected brain and spinal cord tissue sections from each animal were incubated with a MAb raised against the LPS antigen of B. melitensis, which had been validated by a previous study [4].
Adequate positive and negative control tissue samples were included in each WB and IHC run, with the latter ones being represented in IHC by brain and/or spinal cord tissue sections of B. ceti-infected striped dolphins from which the primary Ab had been either omitted or replaced by an unrelated Ab.
The densitometric analysis of each sample was performed using the ImageJ 1.52 n program, which is an “open source” image processing program designed for multidimensional scientific images. We compared the signal of each single band obtained by means of WB analysis with the signal acquired through the glyceraldehyde-3-phosphate dehydrogenase (GAPDH) standard protein, with the obtained results being expressed as Relative Optical Densities (RODs). The WB data obtained were then submitted to statistical analysis with four repeated measurements, by means of the ANOVA test (Dunnet method), a method utilized for multiple comparisons with a control sample, which in our case was represented by the five B. ceti-uninfected dolphins.

3. Results

Microbiological investigations yielded Brucella spp. isolation from the brain tissue of 6 out of the 12 herein investigated cetaceans, with biomolecular (PCR) analyses giving positive results for Brucella spp. detection in the spleen and brain (medulla oblongata) from one additional striped dolphin individual. In this respect, however, it should be also noted that PCR does not represent the gold standard for the diagnosis of Brucella spp. infection. All the Brucella spp. isolates recovered were classified as B. ceti strains, with all the seven infected striped dolphins showing histomorphological evidence of neurobrucellosis-associated lesions in their brain and cervico-thoracic spinal cord segments. These lesions, generally quite severe, were characterized by various degrees/levels of magnitude in relation to the different brain areas, with a progressively growing intensity from the cranial to the caudal cerebral regions and to the neighboring spinal cord districts. More in detail, a subacute-to-chronic, non-suppurative, lympho-monocytic brain, and (cervico-thoracic) spinal cord meningitis, sometimes associated with a non-suppurative plexocoroiditis and focal gliosis, alongside occasional perivascular cuffing and/or spinal cord peri-endoganglioneuritis, were observed in all the herein investigated, B. ceti-infected, neurobrucellosis-affected striped dolphins.
As far as concerns the additional analyses performed on these dolphins, two B. ceti-infected individuals showed biomolecular evidence of T. gondii in their heart, with one of them also turning out to be bacteriologically positive for Aeromonas sobria in its lung and for Clostridium glycolicum in its gut. Furthermore, CeMV-specific genome sequences were identified in the CNS from another B. ceti-infected, neurobrucellosis-affected striped dolphin, with the successful recovery of Aeromonas hydrophila from the heart, liver, and kidney, as well as with simultaneous isolation of Photobacterium damselae from the lung and Clostridium perfringens from the intestine of two B. ceti-infected specimens.
By means of WB analysis, PrPc IR was apparent in the brain tissue from all the herein investigated cetaceans. The PrPc IR patterns evoked by the F89/160.1.5 MAb are represented in Figure 1 and Figure 2 (Figures S1 and S2 in Supplementary Materials), both of which show the two peculiar PrPc specific bands in a region between 35 kDa and 26 kDa. These were evident in all dolphin brain tissue samples analyzed, with three animals (two found stranded along the Italian coastline, one in the Canary Islands) also exhibiting a significantly increased PrPc expression (2–3 times more) as compared to the five negative control samples (Figure 1 and Figure 2).
As expected, in the samples treated with proteinase K (PK) and deglycosidase F, the typical PrPc bands disappeared (Figure 3 and Figure 4; Figures S3 and S4a,b in Supplementary Materials) thereby confirming the specific IR of F89/160.1.5 MAb only against PrPc. Despite the numerous and repeated attempts made, no positive IHC labeling for PrPc could be obtained, by means of the aforementioned MAb, in any brain and spinal cord tissue slide from all the herein analyzed dolphins.
Finally, IHC investigations-which were carried out by means of the aforementioned anti-B. melitensis MAb produced at IZSAM-allowed us to detect Brucella spp.-associated/related antigens in the cytoplasm of numerous macrophagic/histiocytic cells composing the inflammatory infiltrates found in the CNS from the herein investigated, neurobrucellosis-affected dolphins (Figure 5), thus confirming the results of a previous study [4].

4. Discussion

The herein reported data, albeit preliminary and despite their intrinsic limitations, could serve as a reliable basis for future studies addressing the pathogenesis of neurobrucellosis in B. ceti-infected striped dolphins (as well as in other susceptible cetacean species), which is far from being elucidated. Despite their originality, the same data do not allow us to draw any firm conclusion about the role of PrPc as a putative host cell receptor for B. ceti, which has been previously hypothesized elsewhere [17].
However, it should be duly emphasized that these data are the first ones ideally connecting, to the best of our knowledge, cerebral PrPc expression with B. ceti infection in striped dolphins. Furthermore, despite its objective limitations, there is also an unequivocal “strength” in our study, which is provided by the good post mortem preservation degree (code 2, according to the popular classification scheme by Geraci and Lounsbury, 2005) [18] of all the 12 herein investigated striped dolphin specimens. Advanced post mortem autolysis is, in fact, a common finding when dealing with stranded cetacean specimens, with this undoubtedly representing a serious hurdle for several important laboratory exams like histopathological, IHC, WB, biomolecular and microbiological analyses.
Within this complex and intriguing framework, our study was inspired by the seminal work carried out several years ago on mice experimentally infected with B. abortus, in which a relevant pathogenetic role played by PrPc in allowing bacterial entry into host’s macrophages was shown for the first time, with cell membrane PrPc expression levels being inversely correlated to the phagocytic activity displayed by macrophages toward B. abortus [14]. Notwithstanding the above, coupled with an absolute lack of knowledge about the role of PrPc, if any, as a host cell receptor for B. ceti in striped dolphins, the interplay between the host’s immune cells and the corresponding Brucella spp. virulence factors, alongside the simultaneous PrPc action(s)/effect(s), still remain largely unknown, if not even controversial. Indeed, while PrPc mRNA silencing was shown to suppress cell antioxidant systems, it may also lead to an upregulation of pro-inflammatory cytokines like IL-12 and TNF-alfa, with B. melitensis infection apparently exerting no effects on bacterial phagocytosis [26]. While similar findings were reported in another study on macrophages infected with B. suis [27], the study by Watarai and coworkers [14] demonstrated that PrPc would play a key role in the phagocytosis and bacterial transport of B. abortus into murine macrophages. Despite all these uncertainties and the caution deriving from the fact mouse is not the natural host of B. abortus, it is still believed that PrPc, in addition to its antioxidant properties, could play a role in Brucella spp. entry into host cells through phagocytosis inhibition/modulation [15].
Based upon a hypothetical model addressing B. ceti infection’s pathogenesis in neurobrucellosis-affected striped dolphins, an increased PrPc biosynthesis could occur in the course of infection on the membrane of monocytes and macrophages, respectively carrying the bacterium in the bloodstream (monocytes) and allowing, thereafter, microbial neuroinvasion (macrophages). Following its entry into the cetacean host’s CNS, B. ceti could thus exert its peculiar neuropathogenic action, with subsequent development of neurobrucellosis-associated pathological changes. This hypothetical infection model could provide, among others, a plausible explanation for the different PrPc expression profiles found in the brain tissue samples from the herein investigated, B. ceti-infected and neurobrucellosis-affected striped dolphins. Nevertheless, the variability in the cerebral PrPc expression patterns among our striped dolphins could have a number of alternate/complementary explanations, with the intensity/magnitude of neurobrucellosis-associated lesions being just one of the possible options. Within this complex and intricate context, we should also consider, in fact, the role(s) played both by host-related factors (i.e., age, brain area/region sampled, physiological and/or simultaneously occurring pathological conditions, etc.) and by “extrinsic” factors (concurrent infections caused by other bacterial and/or non-bacterial microorganisms, alongside the effects of “persistent environmental pollutants” like dioxins, PCBs, “flame retardants”, heavy metals, micro/nanoplastics, etc.). Indeed, as “top predators” striped dolphins are known to accumulate and biomagnify heavy loads of environmental xenobiotics in their body tissues, with dioxins and dioxin-like compounds having been additionally reported to exert pro-apoptotic effects on human neuronal cells [28]. As a consequence, following dioxin-induced apoptosis, PrPc overexpression could be plausibly expected to occur on CNS (brain and spinal cord) host cell membranes, given the anti-apoptotic role played by PrPc [29].
As far as concerns the PrPc specific IR seen in the brain tissue samples from the 12 striped dolphins under study, the three-dimensional structure of PrPc consists of a globular C-terminal domain of over 100 amino acids (residues 121–231) and an N-terminal region of similar length (residues 23–120) but structurally flexible and disordered [10]. In many mammalian species, this globular structure is similar to human PrPc, as expected from the high percentage of sequence homology (data not shown) [30,31]. The polypeptide chain middle part (residues 106–126) is a highly conserved hydrophobic region and, in CNS cells, PrPc is found in cholesterol-rich membrane microdomains (lipid rafts) [29,30,31,32]. Near this region, as already mentioned, there is the four amino-acid-bearing (142–145) PrP epitope (IHFG) which is specifically recognized by the F89.160.1.5 MAb. This region is poorly accessible to this anti-PrP MAb in sheep and goat samples, being at the same time highly reactive to the F99/97.6.1 MAb in the two aforementioned species. In this respect, a plausible explanation for the different IR patterns seen in our dolphin brains following F89.160.1.5 MAb utilization, as compared to caprine and ovine CNS samples, could be the impact(s) exerted by a more or less “superficial” location of a single amino acid between these three species at the level of the PrP IHFG epitope. Additionally, while the three-dimensional β-sheet structure of the pathological PrP isoform, PrPSc, gives it less accessibility to the PK hydrolysis site, PrPc consists of a folded terminal COOH domain with three α-helices and a free terminal NH2 segment in solution, thus being more easily accessible by proteases [29]. The role of PrPc as a precursor of PrPSc during the onset of PDs/TSEs has been extensively investigated, with PrPc additionally playing an important role in T lymphocytes’ and phagocytes’ functioning, thereby acting as an immune response regulator under both physiological and pathological conditions. Furthermore, PrPc has been also identified as a potential pathogenetic factor and as a biomarker for other neurodegenerative disorders like Alzheimer’s disease, as well as for bacterial and viral infections [8,9]. Nakato et al. [13] report that, following oral infection, B. abortus is effectively internalized only in microfold cells (M cells), attributing to them the role of “gateway” for this bacterium, which uses PrPc located on their apical surface as an uptake receptor. The same investigators have additionally reported that PrPc plays an important role in the uptake of B. abortus by macrophages [13]. Another study showed an upregulation of PrPc mRNA in murine bone marrow cell cultures challenged with Escherichia coli in the early stages of bacterial infection [33]. The PrPc-encoding gene (PRNP) could also interact with the transcription factors of heat shock proteins (HSPs). For example, when Brucella spp. invades phagocytes, HSPs have been reported to promote the aggregation of PrPc on their surface; moreover, PrPc has been reported to colocalize with the growth factor protein Grb2, which initiates the rearrangement of the cytoskeleton and regulates the control of signaling pathways [8,9,10,11,12,13,14,15,16,17,18,19,20,21,22,23,24,25,26,27,28,29,30,31,32,33,34]. Microglial cells are phagocytes clustered in the brain, which can be activated during brain trauma, infections, and neurodegenerative diseases. Although they are known to become activated in the early stages of Creutzfeldt-Jakob disease, the functional relationships between microglia and PrPc remain unclear; however, the activation of these cells is accompanied by a downregulation of the expression of the PRNP gene and it also appears that, during infection or in degenerative CNS disorders, this could promote the conversion of PrPc into PrPSc [8].
From the densitometric analysis performed on the bands obtained with the F89.160.1.5 MAb, a strong and statistically significant increase in the intensity of the two bands, namely 35 kDa and 26 kDa, was found in the brain tissue from three out of the seven B. ceti-infected, neurobrucellosis-affected striped dolphins under study. While these results do not allow us to draw any firm conclusion(s) about a putative role of PrPc as host cell receptor for B. ceti [17], it seems of interest that the inflammatory infiltrates seen in the brain and in the cervico-thoracic spinal cord segments from our B. ceti-infected, neurobrucellosis-affected striped dolphins were densely populated by macrophagic/histiocytic cells often harboring Brucella spp. antigen in their cytoplasm, similarly to what was reported in macrophages from mice experimentally infected with B. abortus [14].
Notwithstanding the above, however, the existence of pathological and pathogenetic correlations, if any, between the magnitude and the extent of B. ceti-associated lesions, on one side, and the expression levels of PrPc within different CNS areas, on the other, should be thoroughly assessed in future studies.

5. Conclusions

The herein reported data, albeit preliminary, despite their intrinsic limitations, could serve as a reliable basis for future studies addressing the pathogenesis of neurobrucellosis in B. ceti-infected striped dolphins (as well as in other susceptible cetacean species), which is far from having been elucidated. Nevertheless, despite their originality, the same data do not allow us to draw any firm conclusion about the role of PrPc as a putative host cell receptor for B. ceti. In this respect, an upregulation of PrPc mRNA in the brain parenchyma of neurobrucellosis-affected striped dolphins could be hypothesized during the different stages of B. ceti infection, in a similar fashion to what already shown in murine bone marrow cells challenged with Escherichia coli [33].
Noteworthy, the inflammatory infiltrates seen in the brain and in the cervico-thoracic spinal cord from the herein investigated, B. ceti-infected, neurobrucellosis-affected striped dolphins were densely populated by macrophage/histiocyte cells often harboring Brucella spp. antigen in their cytoplasm, similarly to what was reported in macrophages from mice experimentally challenged with B. abortus [14]. This could add support to the hypothesis of a PrPc role in the neuropathogenesis of B. ceti infection in neurobrucellosis-affected striped dolphins [17], as previously shown in murine macrophages following experimental B. abortus infection [14]. Hypothetically, an increased PrPc biosynthesis could be expected to occur during B. ceti infection on the membrane of monocytes and macrophages, carrying the microbial pathogen in the bloodstream (monocytes) and allowing, thereafter, bacterial neuroinvasion (macrophages). Following its entry into the cetacean host’s CNS, B. ceti could then exert its peculiar neuropathogenic action, with subsequent development of neurobrucellosis-associated pathological changes. This could provide, among others, a plausible explanation for the different PrPc expression profiles found in the brain tissue samples from the herein investigated, B. ceti-infected and neurobrucellosis-affected striped dolphins. Notwithstanding the above, the variability in the cerebral PrPc expression patterns among our striped dolphins could have a number of alternate/complementary explanations, with the intensity/magnitude of neurobrucellosis-associated lesions being just one out of the plausible/possible options. Within this complex and intricate context, we should also consider, in fact, the role(s) played both by host-related factors (i.e., age, brain area/region sampled, physiological and/or simultaneously occurring pathological conditions, etc.) and by “extrinsic” factors (concurrent infections caused by other bacterial and/or non-bacterial microorganisms, alongside the effects of “persistent environmental pollutants” like dioxins, PCBs, “flame retardants”, heavy metals, micro/nanoplastics, etc.). Indeed, as “top predators” striped dolphins are known to accumulate and biomagnify heavy loads of environmental xenobiotics in their body tissues, with dioxins and dioxin-like compounds having been additionally reported to exert pro-apoptotic effects on human neuronal cells [28]. As a consequence, following dioxin-induced apoptosis, PrPc overexpression could be plausibly expected to occur on CNS (brain and spinal cord) host cell membranes, given the anti-apoptotic role played by PrPc [29].

Supplementary Materials

The following supporting information can be downloaded at: https://www.mdpi.com/article/10.3390/ani12101304/s1, Figure S1: Original Western blot figure for Figure 1; Figure S2: Original Western blot figure for Figure 2; Figure S3: Original Western blot figure for Figure 3; Figure S4a,b: Original Western blot figures for Figure 4.

Author Contributions

C.B.A., G.D.G. and R.G.-S. wrote the manuscript draft, which was subsequently revised and approved by all the other coauthors. C.B.A. and R.G.-S. performed W.B. analyses, while G.D.G., G.D.F., M.B., L.D.R., C.G., A.P., S.M., A.F. and E.S. carried out anatomo-histopathological and IHC investigations. Furthermore, A.P., G.D.F., M.T., C.G. and C.E.D.F., analyzed and provided Brucella ceti-positive and negative tissue samples. C.B.A., holding a PhD Degree in Molecular and Cellular Biology, works at the Biochemistry Unit of the Veterinary Medical Faculty of the University of Teramo, Teramo, Italy. G.D.G. (corresponding author), now retired, is a Diplomate of the European College of Veterinary Pathologists (Dipl. ECVP) and past Professor of General Pathology and Veterinary Pathophysiology at the Veterinary Medical Faculty of the University of Teramo, Teramo, Italy. All authors have read and agreed to the published version of the manuscript.

Funding

This study was financially supported by the Italian Ministry of Health, in the framework of “Progetti di Ricerca Corrente 2016” (grant code IZSAM 03/16/RC).

Institutional Review Board Statement

No ethic approval is needed, provided that all the striped dolphins included in our study are stranded animals which came to beach lifeless/dead.

Data Availability Statement

All the data reported herein are original and are being made publicly available for the first time through the present manuscript.

Acknowledgments

We would like to thank our colleagues from “Rete Nazionale Spiaggiamenti Mammiferi Marini” for their valuable collaboration and support.

Conflicts of Interest

The authors declare no conflict of interest.

References

  1. Alba, P.; Terracciano, G.; Franco, A.; Lorenzetti, S.; Cocumelli, C.; Battisti, A. The presence of Brucella ceti ST26 in a striped dolphin (Stenella coeruleoalba) with meningoencephalitis from the Mediterranean Sea. Vet. Microbiol. 2013, 164, 158–163. [Google Scholar] [CrossRef] [PubMed]
  2. Pizziferri, I.; Di Guardo, G. Mammiferi Marini: Agenti noti e presunti di zoonosi. Argom. SIMeVeP 2017, 2017, 52–80. [Google Scholar]
  3. Garofolo, G.; Petrella, A.; Lucifora, G.; Di Francesco, G.; Di Guardo, G.; Pautasso, A.; Iulini, B.; Varello, K.; Giorda, F.; Goria, M.; et al. Occurrence of Brucella ceti in striped dolphins from Italian Seas. PLoS ONE 2020, 15, e0240178. [Google Scholar] [CrossRef]
  4. Di Francesco, G.; Petrini, A.; D’Angelo, A.R.; Di Renzo, L.; Luciani, M.; Di Febo, T.; Ruggieri, E.; Petrella, A.; Grattarola, C.; Iulini, B.; et al. Immunohistochemical investigations on Brucella ceti-infected, neurobrucellosis-affected striped dolphins (Stenella coeruleoalba). Vet. Ital. 2019, 55, 363–367. [Google Scholar] [CrossRef] [PubMed]
  5. Di Francesco, G.; Di Renzo, L.; Garofolo, G.; Tittarelli, M.; Di Guardo, G. Two neurotropic pathogens of concern for striped dolphins. Vet. Rec. 2020, 187, e92. [Google Scholar] [CrossRef] [PubMed]
  6. Amjadi, O.; Rafiei, A.; Mardani, M.; Zafari, P.; Zarifian, A. A review of the immunopathogenesis of Brucellosis. Diseases 2019, 51, 321–333. [Google Scholar] [CrossRef] [PubMed]
  7. Di Guardo, G. Encefalopatie spongiformi trasmissibili (TSE). In Paolo Stefano Marcato; Patologia Sistematica Veterinaria, Seconda Edizione, Edagricole-Calderini-New Business Media: Bologna, Italy, 2015; pp. 1302–1311. ISBN 978-88-506-5454-3. [Google Scholar]
  8. Zhang, B.; Shen, P.; Yin, X.; Dai, Y.; Ding, M.; Cui, L. Expression and functions of cellular prion proteins in immunocytes. Scand. J. Immunol. 2020, 91, e12854. [Google Scholar] [CrossRef]
  9. Thüne, K.; Schmitz, M.; Villar-Piqué, A.; Altmeppen, H.C.; Schlomm, M.; Zafar, S.; Glatzel, M.; Llorens, F.; Zerr, I. The Cellular Prion Protein and its derived Fragments in Human Prion Diseases and their Role as potential Biomarkers. Expert Rev. Mol. Diagn. 2019, 19, 1007–1018. [Google Scholar] [CrossRef]
  10. Zahn, R.; Liu, A.; Luhrs, T.; Riek, R.; Von Schroetter, C.; Lopez Garcia, F.; Billeter, M.; Calzolai, L.; Wider, G.; Wuthrich, K. NMR solution structure of the human prion protein. Proc. Natl. Acad. Sci. USA 2000, 97, 145–150. [Google Scholar] [CrossRef]
  11. Cobb, N.J.; Apetri, A.C.; Surewicz, W.K. Prion Protein Amyloid Formation under Native-like Conditions Involves Refolding of the C-terminal a Helical Domain. J. Biol. Chem. 2008, 283, 34704–34711. [Google Scholar] [CrossRef]
  12. Kanaani, J.; Prusiner, S.B.; Diacovo, J.; Baekkeskov, S.; Legname, G. Recombinant prion protein induces rapid polarization and development of synapses in embryonic rat hippocampal neurons in vitro. J. Neurochem. 2005, 95, 1373–1386. [Google Scholar] [CrossRef] [PubMed]
  13. Nakato, G.K.H.; Suzuki, M.; Kimura, M.; Ato, M.; Hanazato, M.; Tobiume, M.; Horiuchi, M.; Atarashi, R.; Nishida, N.; Watarai, M.; et al. Cutting Edge: Brucella abortus Exploits a Cellular Prion Protein on Intestinal M Cells as an Invasive Receptor. J. Immunol. 2012, 189, 1540–1544. [Google Scholar] [CrossRef] [PubMed]
  14. Watarai, M.; Suk, K.; Janchivdorj, E.; Sou-ichi, M.; Motohiro, H.; Toshikazu, S.; Suehiro, S.; Shigeru, K. Cellular Prion Protein Promotes Brucella Infection into Macrophages. J. Exp. Med. 2003, 198, 5–17. [Google Scholar] [CrossRef] [PubMed]
  15. Aydin, M.; Gilmore, D.F.; Erdogan, S.; Duzguner, V.; Ahn, S. The Role of Cellular Prion Proteins (PrPc) on Microglial Brucella Infections. Agric. Food Anal. Bacteriol. 2013, 3, 268–280. [Google Scholar]
  16. Jiao, H.; Zhou, Z.; Li, B.; Xiao, Y.; Li, M.; Zeng, H.; Guo, X.; Gu, G. The Mechanism of Facultative Intracellular Parasitism of Brucella. Int. J. Mol. Sci. 2021, 22, 3673. [Google Scholar] [CrossRef]
  17. Di Guardo, G.; Mazzariol, S. Commentary: Advancement of Knowledge of Brucella over the Past 50 Years. Front. Vet. Sci. 2015, 2, 27. [Google Scholar] [CrossRef][Green Version]
  18. Geraci, J.R.; Lounsbury, V.J. Marine Mammals Ashore: A Field Guide for Strandings, 2nd ed.; National Aquarium in Baltimore: Baltimore, MD, USA, 2005. [Google Scholar]
  19. World Organisation for Animal Health Manual of Diagnostic Tests and Vaccines for Terrestrial Animals. Brucellosis (Brucella abortus, B. melitensis and B. suis) (infection with B. abortus, B. melitensis and B. suis). In Manual of Diagnostic Tests and Vaccines for Terrestrial Animals; Online Version. Part 3; OIE: Paris, France, 2019; Chapter 3.1.4. [Google Scholar]
  20. Cloeckaert, A.; Verger, J.M.; Grayon, M.; Grepinet, O. Restriction site polymorphism of the genes encoding the major 25 kDa and 36 kDa outer membrane proteins of Brucella. Microbiology 1995, 141, 2111–2121. [Google Scholar] [CrossRef]
  21. Zinzula, L.; Mazzariol, S.; Di Guardo, G. Molecular signatures in cetacean morbillivirus and host species proteomes: Unveiling the evolutionary dynamics of an enigmatic pathogen? Microbiol. Immunol. 2022, 66, 52–58. [Google Scholar] [CrossRef]
  22. Di Guardo, G.; Proietto, U.; Di Francesco, C.E.; Marsilio, F.; Zaccaroni, A.; Scaravelli, D.; Mignone, W.; Garibaldi, F.; Kennedy, S.; Forster, F.; et al. Cerebral toxoplasmosis in striped dolphins (Stenella coeruleoalba) stranded along the Ligurian Sea coast of Italy. Vet. Pathol. 2010, 47, 245–253. [Google Scholar] [CrossRef]
  23. Di Guardo, G.; Di Cesare, A.; Otranto, D.; Casalone, C.; Iulini, B.; Mignone, W.; Tittarelli, C.; Meloni, S.; Castagna, G.; Forster, F.; et al. Genotyping of Toxoplasma gondii isolates in meningo-encephalitis affected striped dolphins (Stenella coeruleoalba) from Italy. Vet. Parasitol. 2011, 183, 31–36. [Google Scholar] [CrossRef]
  24. Nonno, R.; Esposito, E.; Vaccari, G.; Conte, M.; Marcon, S.; Di Bari, M.; Ligios, C.; Di Guardo, G.; Agrimi, U. Molecular Analysis of Cases of Italian Sheep Scrapie and Comparison with Cases of Bovine Spongiform Encephalopathy (BSE) and Experimental BSE in Sheep. J. Clin. Microbiol. 2003, 41, 4127–4133. [Google Scholar] [CrossRef] [PubMed][Green Version]
  25. Cooley, W.A.; Clark, J.K.; Stack, M.J. Comparison of Scrapie-associated Fibril Detection and Western Immunoblotting for the Diagnosis of Natural Ovine Scrapie. J. Comp. Pathol. 1998, 118, 41–49. [Google Scholar] [CrossRef]
  26. Erdogan, S.; Duzguner, V.; Kucukgul, A.; Aslantas, O. Silencing of PrPC (prion protein) expression does not affect Brucella melitensis infection in human derived microglia cells. Res. Vet. Sci. 2013, 95, 368–373. [Google Scholar] [CrossRef] [PubMed]
  27. Fontes, P.; Alvarez-Martinez, M.T.; Gross, A.; Carnaud, C.; Kohler, S.; Liautard, J.P. Absence of Evidence for the Participation of the Macrophage Cellular Prion Protein in Infection with Brucella suis. Infect. Immun. 2005, 73, 6229–6236. [Google Scholar] [CrossRef] [PubMed]
  28. Morales-Hernández, A.; Sánchez-Martín, F.J.; Hortigón-Vinagre, M.P.; Henao, F.; Merino, J.M. 2,3,7,8 Tetrachlorodibenzo-p-dioxin induces apoptosis by disruption of intracellular calcium homeostasis in human neuronal cell line SHSY5Y. Apoptosis 2012, 17, 1170–1181. [Google Scholar] [CrossRef] [PubMed]
  29. Aguzzi, A.; Sigurdson, C.; Heikenwalder, M. Molecular mechanisms of prion pathogenesis. Annu. Rev. Pathol. 2008, 3, 11–40. [Google Scholar] [CrossRef]
  30. Lopez-Garcia, F.; Zahn, R.; Riek, R.; Wuthrich, K. NMR structure of the bovine prion protein. Proc. Natl. Acad. Sci. USA 2005, 97, 8334–8339. [Google Scholar] [CrossRef]
  31. Lysek, D.A.; Schorn, C.; Nivon, L.G.; Esteve-Moya, V.; Christen, B.; Calzolai, L.; von Schroetter, C.; Fiorito, F.; Herrmann, T.; Guntert, P.; et al. Prion protein NMR structures of cats, dogs, pigs, and sheep. Proc. Natl. Acad. Sci. USA 2005, 102, 640–645. [Google Scholar] [CrossRef]
  32. Watarai, M. Interaction between Brucella abortus and cellular prion protein in lipid raft microdomains. Microbes Infect. 2004, 6, 93–100. [Google Scholar] [CrossRef]
  33. Wang, M.; Zhao, D.; Yang, Y.; Liu, J.; Wang, J.; Yin, X.; Yang, L.; Zhou, X. The cellular prion protein negatively regulates phagocytosis and cytokine expression in murine bone marrow-derived macrophages. PLoS ONE 2014, 9, e102785. [Google Scholar] [CrossRef]
  34. Mahabadi, H.M.; Taghibiglou, C. Cellular Prion Protein (PrPc): Putative Interacting Partners and Consequences of the Interaction. Int. J. Mol. Sci. 2020, 21, 7058. [Google Scholar] [CrossRef] [PubMed]
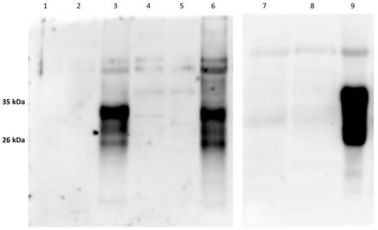
Figure 1. Representative Western blot (WB) analysis of the 35 kDa and 26 kDa bands obtained with the anti-prion protein (PrP) MAbF89/160.1.5. Brain tissue from three striped dolphin specimens found stranded along the Italian coast of Apulia (lanes 1 and 3) and in Canary Islands (lane 2), all of which affected by neurobrucellosis due to Brucella ceti. The results of WB analyses carried out on the brain tissue of one lamb (lane 4), one goat (lane 5), and one control (B. ceti-negative) striped dolphin found stranded along the Tyrrhenian coast of Tuscany (lane 6) are also shown (original Western blot figure is in Figure S1). GAPDH was used as a protein load control. The graph depicts only the optical density of the 35 kDa band. The results are expressed as mean ± SEM (n = 4). The statistical significance was analyzed by the ANOVA Dunnett method, **** p < 0.0001 vs. the striped dolphin negative control specimens.
Figure 1. Representative Western blot (WB) analysis of the 35 kDa and 26 kDa bands obtained with the anti-prion protein (PrP) MAbF89/160.1.5. Brain tissue from three striped dolphin specimens found stranded along the Italian coast of Apulia (lanes 1 and 3) and in Canary Islands (lane 2), all of which affected by neurobrucellosis due to Brucella ceti. The results of WB analyses carried out on the brain tissue of one lamb (lane 4), one goat (lane 5), and one control (B. ceti-negative) striped dolphin found stranded along the Tyrrhenian coast of Tuscany (lane 6) are also shown (original Western blot figure is in Figure S1). GAPDH was used as a protein load control. The graph depicts only the optical density of the 35 kDa band. The results are expressed as mean ± SEM (n = 4). The statistical significance was analyzed by the ANOVA Dunnett method, **** p < 0.0001 vs. the striped dolphin negative control specimens.
Animals 12 01304 g001
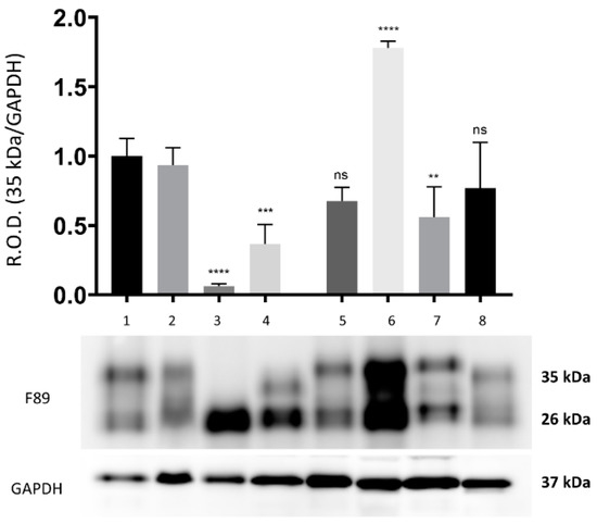
Figure 2. Representative WB analysis of the 35 kDa and 26 kDa bands obtained with the anti-PrP MAbF89/160.1.5. Brain tissue samples from 8 striped dolphins found stranded along the Italian coastline (lanes 1–8), four of which affected by neurobrucellosis due to Brucella ceti (lanes 5–8). The results of WB analyses carried out on the brain tissue of four control (B. ceti-negative) striped dolphins found stranded along the Italian coastline (lanes 1–4) are also shown (original Western blot figure is in Figure S2). GAPDH was used as a protein load control. The graph depicts only the optical density of the 35 kDa band. The results are expressed as mean ± SEM (n = 4). The statistical significance was analyzed by ANOVA Dunnett method, **** p ≤ 0.0001, *** p ≤ 0.001, ** p ≤ 0.01, ns p ≥ 0.05 vs. the striped dolphin negative control specimens.
Figure 2. Representative WB analysis of the 35 kDa and 26 kDa bands obtained with the anti-PrP MAbF89/160.1.5. Brain tissue samples from 8 striped dolphins found stranded along the Italian coastline (lanes 1–8), four of which affected by neurobrucellosis due to Brucella ceti (lanes 5–8). The results of WB analyses carried out on the brain tissue of four control (B. ceti-negative) striped dolphins found stranded along the Italian coastline (lanes 1–4) are also shown (original Western blot figure is in Figure S2). GAPDH was used as a protein load control. The graph depicts only the optical density of the 35 kDa band. The results are expressed as mean ± SEM (n = 4). The statistical significance was analyzed by ANOVA Dunnett method, **** p ≤ 0.0001, *** p ≤ 0.001, ** p ≤ 0.01, ns p ≥ 0.05 vs. the striped dolphin negative control specimens.
Animals 12 01304 g002
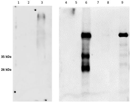
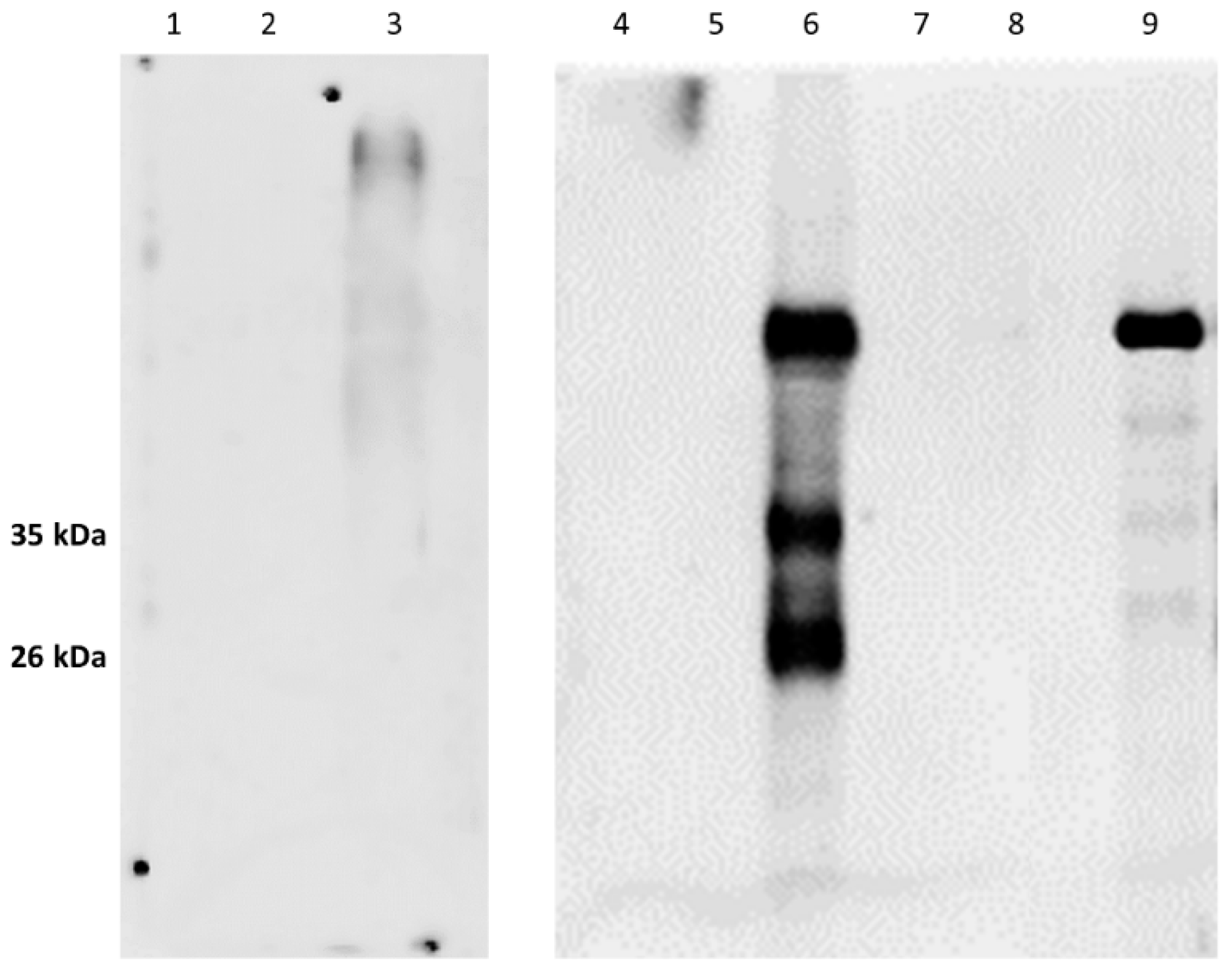
Figure 3. Results of WB analyses carried out with the anti-PrP MAb F89/160.1.5 on the pellets obtained after ultracentrifugation of brain tissue samples from one goat (lanes 1–3), as well as from a B. ceti-infected striped dolphin stranded along the Italian coast of Apulia (lanes 4–6) and from one lamb (lanes 7–9). The typical 35 kDa and 26 kDa PrPc bands are shown at lanes 3, 6 and 9 after ultracentrifugation, while lanes 2, 5 and 8 show the WB results obtained after proteinase K (PK) digestion, and lanes 1, 4 and 7 after treatment with deglycosydase F (original Western blot figure is in Figure S3).
Figure 3. Results of WB analyses carried out with the anti-PrP MAb F89/160.1.5 on the pellets obtained after ultracentrifugation of brain tissue samples from one goat (lanes 1–3), as well as from a B. ceti-infected striped dolphin stranded along the Italian coast of Apulia (lanes 4–6) and from one lamb (lanes 7–9). The typical 35 kDa and 26 kDa PrPc bands are shown at lanes 3, 6 and 9 after ultracentrifugation, while lanes 2, 5 and 8 show the WB results obtained after proteinase K (PK) digestion, and lanes 1, 4 and 7 after treatment with deglycosydase F (original Western blot figure is in Figure S3).
Animals 12 01304 g003
Figure 4. Results of WB analyses carried out with the anti-PrP MAb F89/160.1.5 on the pellets obtained after ultracentrifugation of brain tissue samples from one negative control (B. ceti-uninfected) striped dolphin found stranded along the Tyrrhenian coast of Tuscany (lanes 1–3), as well as from two B. ceti-infected, neurobrucellosis-affected striped dolphin specimens found stranded along the Italian coast of Apulia (lanes 4–6) and in Canary Islands (lanes 7–9), respectively. The typical 35 kDa and 26 kDa PrPc bands are shown at lanes 3, 6 and 9 after ultracentrifugation, while lanes 2, 5 and 8 show the WB results obtained after PK digestion, and lanes 1, 4 and 7 after treatment with deglycosydase F (original Western blot figures are in Figure S4a,b).
Figure 4. Results of WB analyses carried out with the anti-PrP MAb F89/160.1.5 on the pellets obtained after ultracentrifugation of brain tissue samples from one negative control (B. ceti-uninfected) striped dolphin found stranded along the Tyrrhenian coast of Tuscany (lanes 1–3), as well as from two B. ceti-infected, neurobrucellosis-affected striped dolphin specimens found stranded along the Italian coast of Apulia (lanes 4–6) and in Canary Islands (lanes 7–9), respectively. The typical 35 kDa and 26 kDa PrPc bands are shown at lanes 3, 6 and 9 after ultracentrifugation, while lanes 2, 5 and 8 show the WB results obtained after PK digestion, and lanes 1, 4 and 7 after treatment with deglycosydase F (original Western blot figures are in Figure S4a,b).
Animals 12 01304 g004
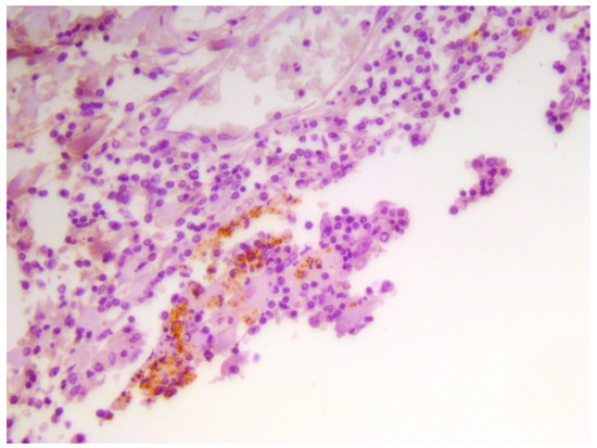
Figure 5. B. ceti-infected, neurobrucellosis-affected striped dolphin (S. coeruleoalba) specimen. Cervical spinal cord. Evidence of Brucella spp. antigen in the cytoplasm of macrophages/histiocytes forming the inflammatory infiltrate is shown in this picture. Immunohistochemistry (IHC) against Brucella spp. with an anti-B. melitensis MAb (produced at IZSAM “G. Caporale”, Teramo, Italy), Mayer’s hematoxylin counterstain.
Figure 5. B. ceti-infected, neurobrucellosis-affected striped dolphin (S. coeruleoalba) specimen. Cervical spinal cord. Evidence of Brucella spp. antigen in the cytoplasm of macrophages/histiocytes forming the inflammatory infiltrate is shown in this picture. Immunohistochemistry (IHC) against Brucella spp. with an anti-B. melitensis MAb (produced at IZSAM “G. Caporale”, Teramo, Italy), Mayer’s hematoxylin counterstain.
Animals 12 01304 g005
Publisher’s Note: MDPI stays neutral with regard to jurisdictional claims in published maps and institutional affiliations.

Share and Cite

MDPI and ACS Style

Angelucci, C.B.; Giacominelli-Stuffler, R.; Baffoni, M.; Di Francesco, C.E.; Di Francesco, G.; Di Renzo, L.; Tittarelli, M.; Petrella, A.; Grattarola, C.; Mazzariol, S.; et al. Cellular Prion Protein Expression in the Brain Tissue from Brucella ceti-Infected Striped Dolphins (Stenella coeruleoalba). Animals 2022, 12, 1304. https://doi.org/10.3390/ani12101304

AMA Style

Angelucci CB, Giacominelli-Stuffler R, Baffoni M, Di Francesco CE, Di Francesco G, Di Renzo L, Tittarelli M, Petrella A, Grattarola C, Mazzariol S, et al. Cellular Prion Protein Expression in the Brain Tissue from Brucella ceti-Infected Striped Dolphins (Stenella coeruleoalba). Animals. 2022; 12(10):1304. https://doi.org/10.3390/ani12101304

Chicago/Turabian Style

Angelucci, Clotilde Beatrice, Roberto Giacominelli-Stuffler, Marina Baffoni, Cristina Esmeralda Di Francesco, Gabriella Di Francesco, Ludovica Di Renzo, Manuela Tittarelli, Antonio Petrella, Carla Grattarola, Sandro Mazzariol, and et al. 2022. "Cellular Prion Protein Expression in the Brain Tissue from Brucella ceti-Infected Striped Dolphins (Stenella coeruleoalba)" Animals 12, no. 10: 1304. https://doi.org/10.3390/ani12101304

APA Style

Angelucci, C. B., Giacominelli-Stuffler, R., Baffoni, M., Di Francesco, C. E., Di Francesco, G., Di Renzo, L., Tittarelli, M., Petrella, A., Grattarola, C., Mazzariol, S., Sierra, E., Fernández, A., & Di Guardo, G. (2022). Cellular Prion Protein Expression in the Brain Tissue from Brucella ceti-Infected Striped Dolphins (Stenella coeruleoalba). Animals, 12(10), 1304. https://doi.org/10.3390/ani12101304

Note that from the first issue of 2016, this journal uses article numbers instead of page numbers. See further details here.

Article Metrics

Back to TopTop