Age-Associated Changes in Recombinant H5 Highly Pathogenic and Low Pathogenic Avian Influenza Hemagglutinin Tissue Binding in Domestic Poultry Species
Abstract
:Simple Summary
Abstract
1. Introduction
2. Materials and Methods
2.1. Generation of rHA for HPAIV and LPAIV
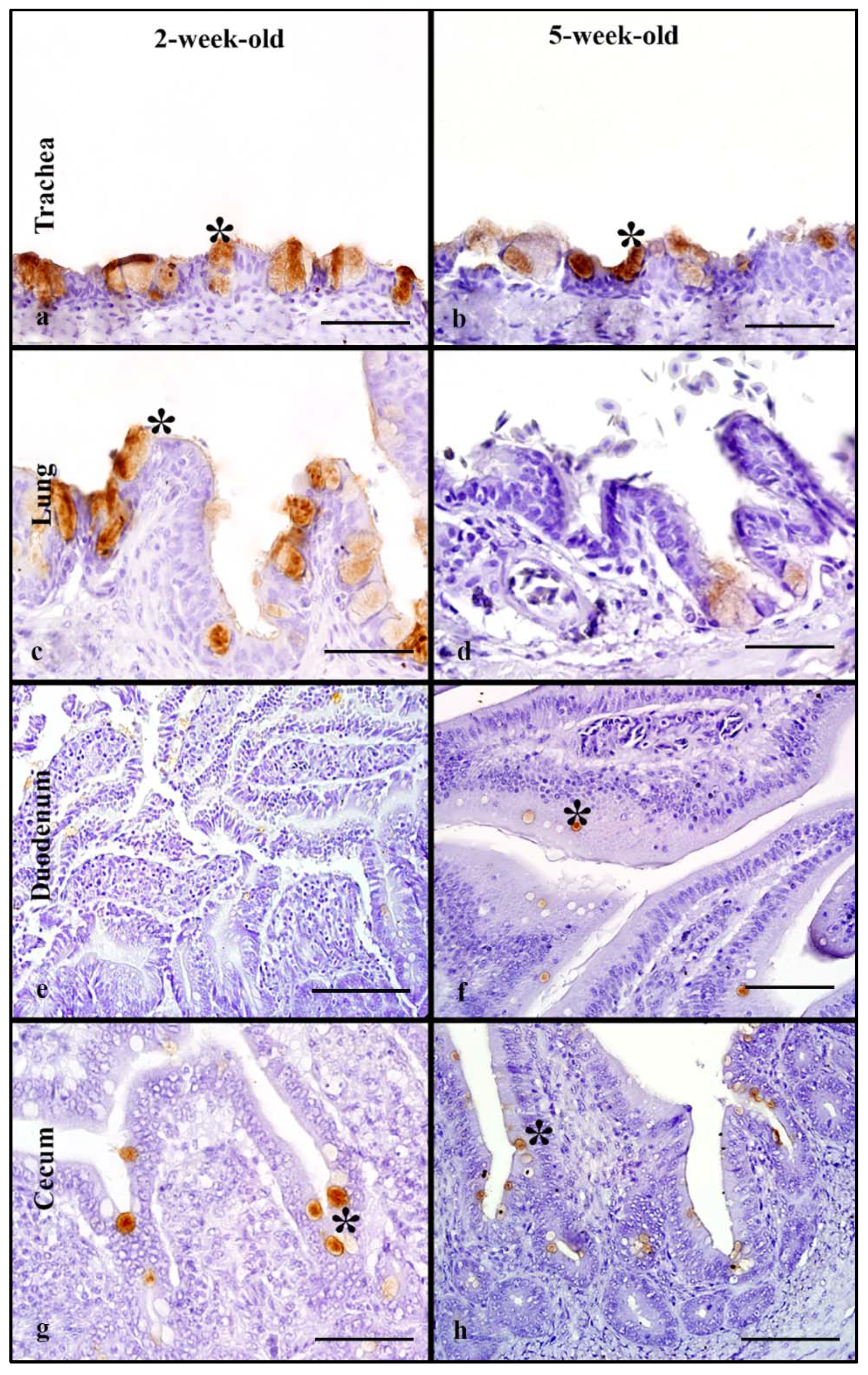
2.2. Protein Histochemistry
2.3. Quantification of rHA Binding in Tissues
2.4. Statistical Analysis
3. Results
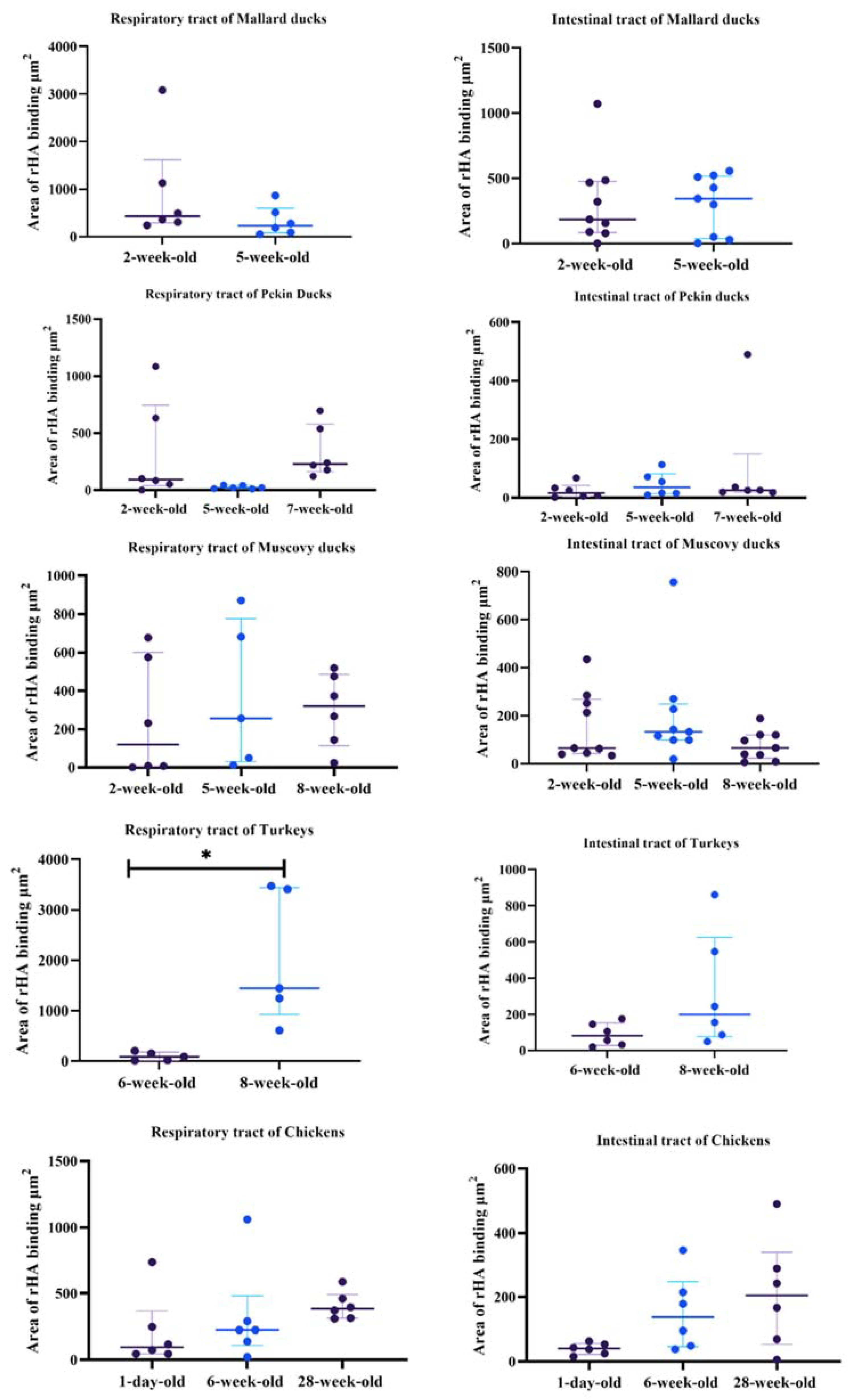
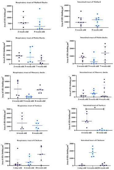
3.1. Highly Pathogenic Avian Influenza H5 rHA
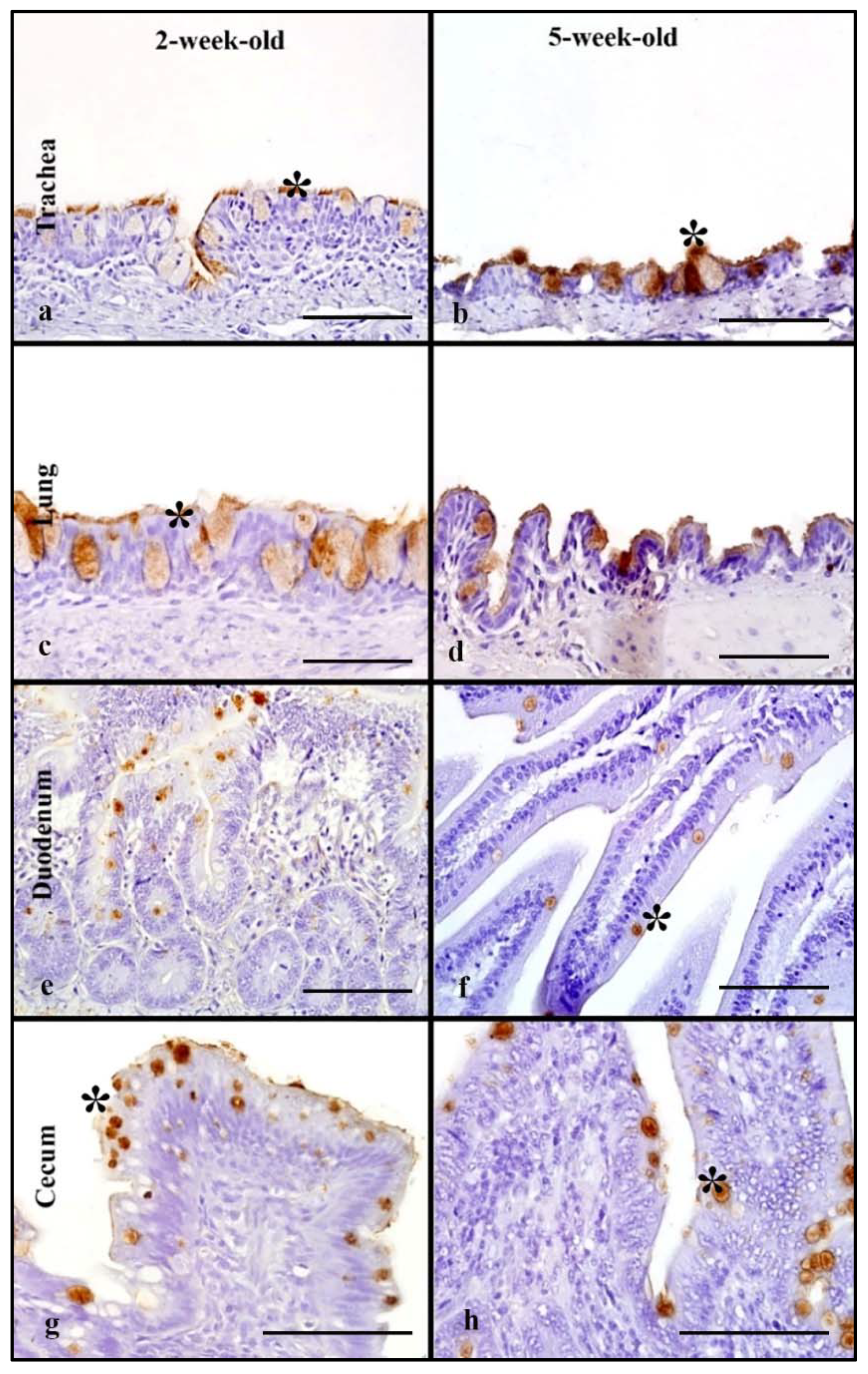
3.2. Mallards
3.3. Pekin Ducks
3.4. Muscovy Ducks
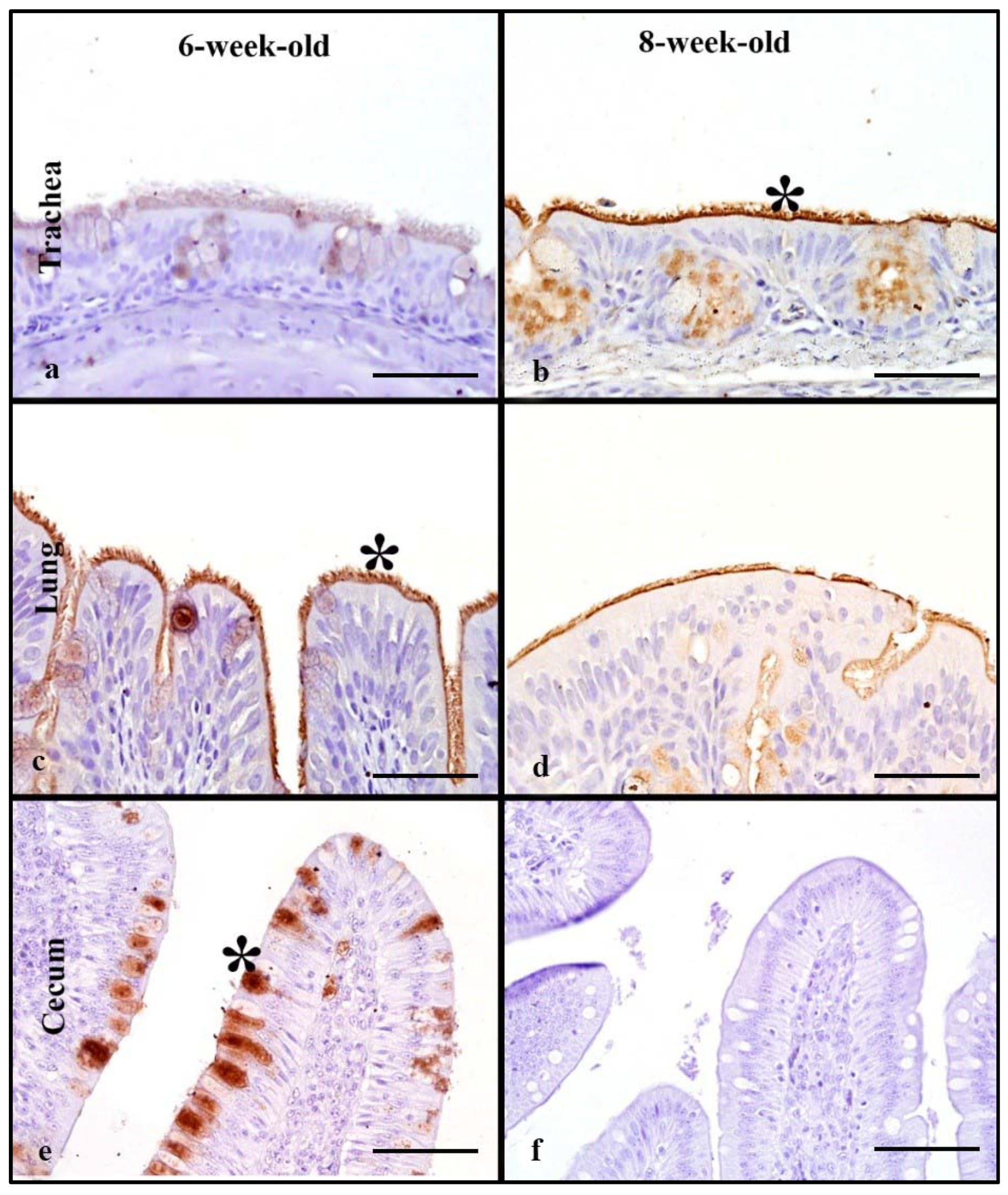
3.5. Turkeys
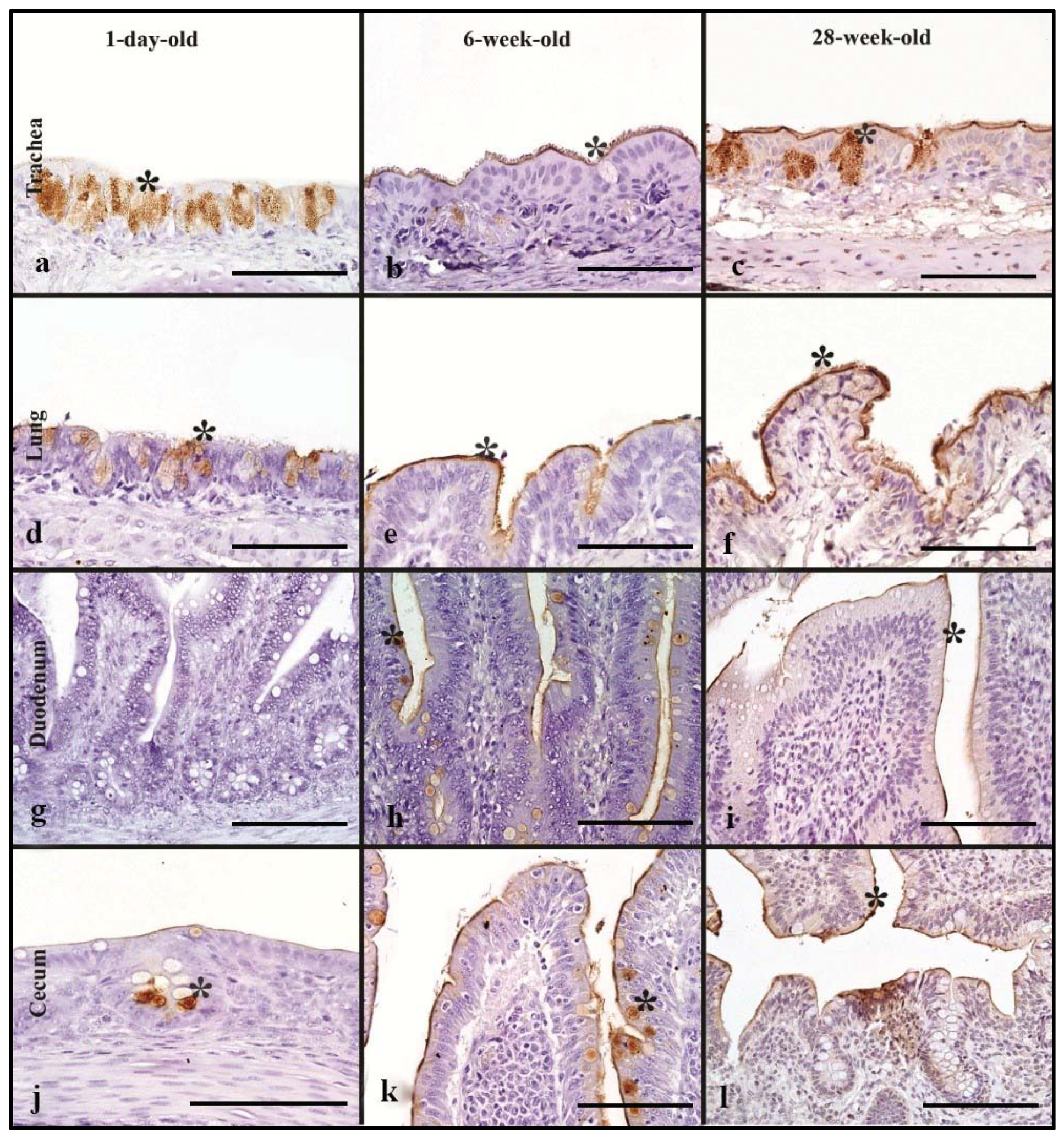
3.6. Chickens
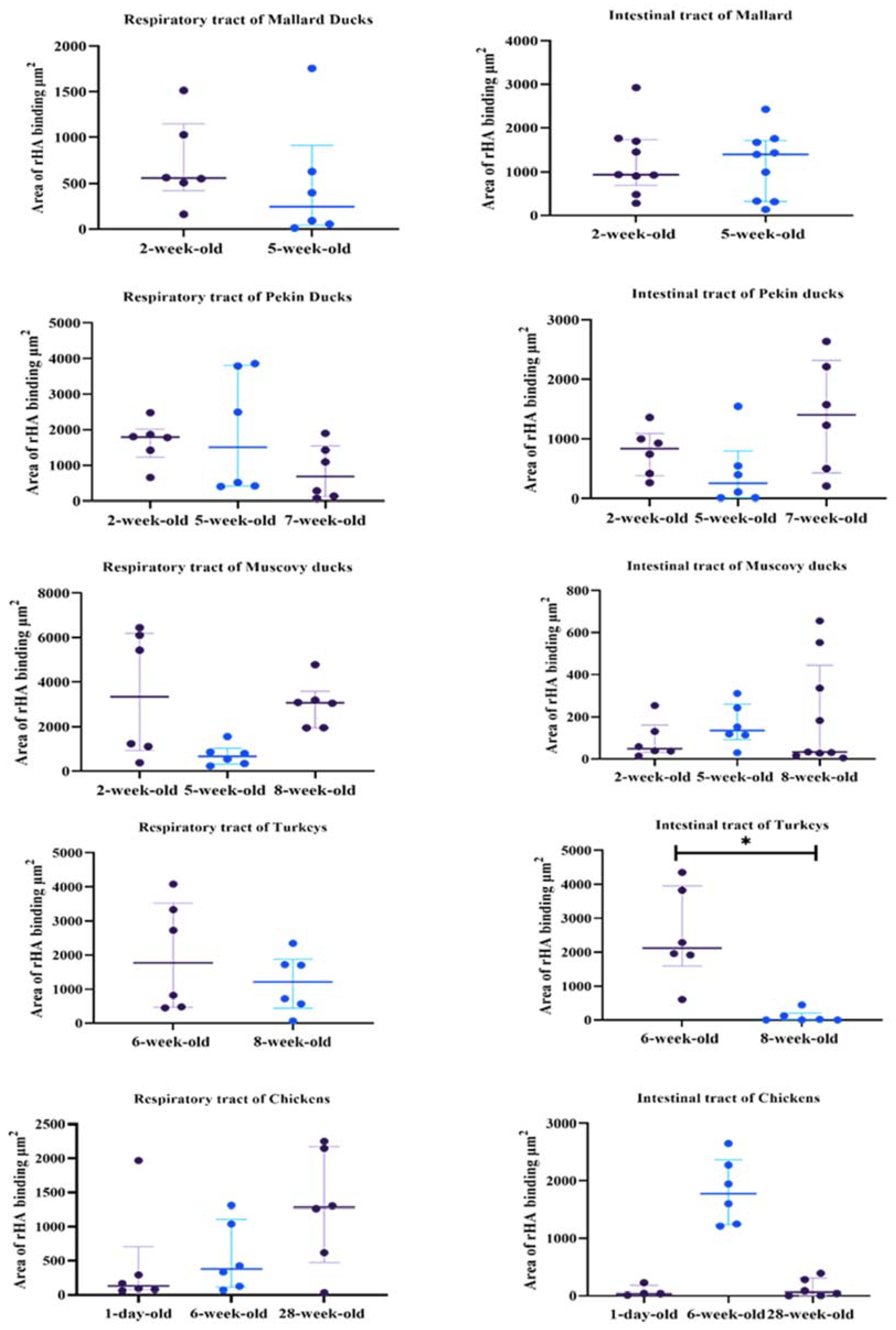
3.7. Low Pathogenic Avian Influenza H5 rHA
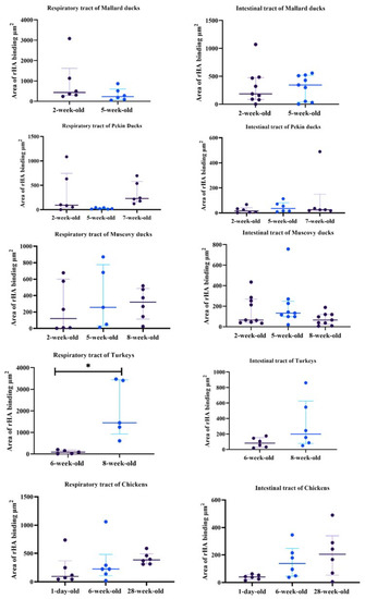
3.8. Mallards
3.9. Pekin Ducks
3.10. Muscovy Ducks
3.11. Turkeys
3.12. Chickens
4. Discussion
5. Conclusions
Author Contributions
Funding
Institutional Review Board Statement
Data Availability Statement
Acknowledgments
Conflicts of Interest
References
- Byrd-Leotis, L.; Cummings, R.D.; Steinhauer, D.A. The Interplay between the Host Receptor and Influenza Virus Hemagglutinin and Neuraminidase. Int. J. Mol. Sci. 2017, 18, 1541. [Google Scholar] [CrossRef] [Green Version]
- Dou, D.; Revol, R.; Östbye, H.; Wang, H.; Daniels, R. Influenza A Virus Cell Entry, Replication, Virion Assembly and Movement. Front. Immunol. 2018, 9, 1581. [Google Scholar] [CrossRef]
- Wu, N.C.; Xie, J.; Zheng, T.; Nycolat, C.M.; Grande, G.; Paulson, J.C.; Lerner, R.A.; Wilson, I.A. Diversity of Functionally Permissive Sequences in the Receptor-Binding Site of Influenza Hemagglutinin. Cell Host Microbe 2017, 21, 742–753. [Google Scholar] [CrossRef] [PubMed] [Green Version]
- Copeland, C.S.; Doms, R.W.; Bolzau, E.M.; Webster, R.G.; Helenius, A. Assembly of influenza hemagglutinin trimers and its role in intracellular transport. J. Cell Biol. 1986, 103, 1179–1191. [Google Scholar] [CrossRef] [PubMed] [Green Version]
- Skehel, J.J.; Wiley, D.C. Receptor binding and membrane fusion in virus entry: The influenza hemagglutinin. Annu. Rev. Biochem. 2000, 69, 531–569. [Google Scholar] [CrossRef]
- Byrd-Leotis, L.; Galloway, S.E.; Agbogu, E.; Steinhauer, D.A. Influenza Hemagglutinin (HA) Stem Region Mutations That Stabilize or Destabilize the Structure of Multiple HA Subtypes. J. Virol. 2015, 89, 4504–4516. [Google Scholar] [CrossRef] [Green Version]
- Harrison, S.C. Viral membrane fusion. Virology 2015, 479–480, 498–507. [Google Scholar] [CrossRef] [Green Version]
- Luo, M. Influenza virus entry. Adv. Exp. Med. Biol. 2012, 726, 201–221. [Google Scholar] [CrossRef]
- Benton, D.J.; Wharton, S.A.; Martin, S.R.; McCauley, J.W. Role of Neuraminidase in Influenza A(H7N9) Virus Receptor Binding. J. Virol. 2017, 91. [Google Scholar] [CrossRef] [Green Version]
- Franca, M.; Stallknecht, D.E.; Howerth, E.W. Expression and distribution of sialic acid influenza virus receptors in wild birds. Avian Pathol. J. 2013, 42, 60–71. [Google Scholar] [CrossRef]
- Kimble, B.; Nieto, G.R.; Perez, D.R. Characterization of influenza virus sialic acid receptors in minor poultry species. Virol. J. 2010, 7, 365. [Google Scholar] [CrossRef] [Green Version]
- Kuchipudi, S.V.; Nelli, R.; White, G.A.; Bain, M.; Chang, K.C.; Dunham, S. Differences in influenza virus receptors in chickens and ducks: Implications for interspecies transmission. J. Mol. Genet. Med. Int. J. Biomed. Res. 2009, 3, 143–151. [Google Scholar] [CrossRef] [Green Version]
- Pillai, S.P.S.; Pantin-Jackwood, M.; Yassine, H.M.; Saif, Y.M.; Lee, C.W. The High Susceptibility of Turkeys to Influenza Viruses of Different Origins Implies Their Importance as Potential Intermediate Hosts. Avian Dis. 2010, 54, 522–526. [Google Scholar] [CrossRef]
- Aiello, R.; Beato, M.S.; Mancin, M.; Rigoni, M.; Tejeda, A.R.; Maniero, S.; Capua, I.; Terregino, C. Differences in the detection of highly pathogenic avian influenza H5N1 virus in feather samples from 4-week-old and 24-week-old infected Pekin ducks (Anas platyrhynchos var. domestica). Vet. Microbiol. 2013, 165, 443–447. [Google Scholar] [CrossRef]
- Franca, M.; Stallknecht, D.E.; Poulson, R.; Brown, J.; Howerth, E.W. The pathogenesis of low pathogenic avian influenza in mallards. Avian Dis. 2012, 56, 976–980. [Google Scholar] [CrossRef] [PubMed]
- Kishida, N.; Sakoda, Y.; Isoda, N.; Matsuda, K.; Eto, M.; Sunaga, Y.; Umemura, T.; Kida, H. Pathogenicity of H5 influenza viruses for ducks. Arch. Virol. 2005, 150, 1383–1392. [Google Scholar] [CrossRef] [PubMed]
- Löndt, B.Z.; Núñez, A.; Banks, J.; Alexander, D.J.; Russell, C.; Richard-Löndt, A.C.; Brown, I.H. The effect of age on the pathogenesis of a highly pathogenic avian influenza (HPAI) H5N1 virus in Pekin ducks (Anas platyrhynchos) infected experimentally. Influenza Other Respir. Viruses 2010, 4, 17–25. [Google Scholar] [CrossRef] [PubMed] [Green Version]
- Pantin-Jackwood, M.; Swayne, D.E.; Smith, D.; Shepherd, E. Effect of species, breed and route of virus inoculation on the pathogenicity of H5N1 highly pathogenic influenza (HPAI) viruses in domestic ducks. Vet. Res. 2013, 44, 62. [Google Scholar] [CrossRef] [PubMed] [Green Version]
- Pantin-Jackwood, M.J.; Smith, D.M.; Wasilenko, J.L.; Cagle, C.; Shepherd, E.; Sarmento, L.; Kapczynski, D.R.; Afonso, C.L. Effect of age on the pathogenesis and innate immune responses in Pekin ducks infected with different H5N1 highly pathogenic avian influenza viruses. Virus Res. 2012, 167, 196–206. [Google Scholar] [CrossRef]
- Pantin-Jackwood, M.J.; Swayne, D.E. Pathobiology of Asian highly pathogenic avian influenza H5N1 virus infections in ducks. Avian Dis. 2007, 51, 250–259. [Google Scholar] [CrossRef]
- Pantin-Jackwood, M.J.; Costa-Hurtado, M.; Bertran, K.; DeJesus, E.; Smith, D.; Swayne, D.E. Infectivity, transmission and pathogenicity of H5 highly pathogenic avian influenza clade 2.3.4.4 (H5N8 and H5N2) United States index viruses in Pekin ducks and Chinese geese. Vet. Res. 2017, 48, 33. [Google Scholar] [CrossRef] [PubMed] [Green Version]
- Pantin-Jackwood, M.J.; Costa-Hurtado, M.; Shepherd, E.; DeJesus, E.; Smith, D.; Spackman, E.; Kapczynski, D.R.; Suarez, D.L.; Stallknecht, D.E.; Swayne, D.E. Pathogenicity and transmission of H5 and H7 highly pathogenic avian influenza viruses in mallards. J. Virol. 2016, 90, 9967–9982. [Google Scholar] [CrossRef] [Green Version]
- Spackman, E.; Prosser, D.J.; Pantin-Jackwood, M.J.; Berlin, A.M.; Stephens, C.B. The Pathogenesis of Clade 2.3.4.4 h5 Highly Pathogenic Avian Influenza Viruses in Ruddy Duck (Oxyura jamaicensis) and Lesser Scaup (Aythya Affinis). J. Wildl. Dis. 2017, 53, 832–842. [Google Scholar] [CrossRef] [Green Version]
- Carnaccini, S.; Santos, J.J.S.; Obadan, A.O.; Pantin-Jackwood, M.J.; Suarez, D.L.; Rajão, D.S.; Perez, D.R. Age-dependent pathogenesis of clade 2.3.4.4A H5N2 HPAIV in experimentally infected Broad Breasted White turkeys. Vet. Microbiol. 2019, 231, 183–190. [Google Scholar] [CrossRef]
- Ambepitiya Wickramasinghe, I.N.; de Vries, R.P.; Eggert, A.M.; Wandee, N.; de Haan, C.A.M.; Gröne, A.; Verheije, M.H. Host Tissue and Glycan Binding Specificities of Avian Viral Attachment Proteins Using Novel Avian Tissue Microarrays. PLoS ONE 2015, 10, e0128893. [Google Scholar] [CrossRef] [PubMed] [Green Version]
- Pillai, S.P.; Lee, C.W. Species and age related differences in the type and distribution of influenza virus receptors in different tissues of chickens, ducks and turkeys. Virol. J. 2010, 7, 5. [Google Scholar] [CrossRef] [Green Version]
- Yang, H.; Carney, P.J.; Mishin, V.P.; Guo, Z.; Chang, J.C.; Wentworth, D.E.; Gubareva, L.V.; Stevens, J. Molecular Characterizations of Surface Proteins Hemagglutinin and Neuraminidase from Recent H5Nx Avian Influenza Viruses. J. Virol. 2016, 90, 5770–5784. [Google Scholar] [CrossRef] [Green Version]
- Bertran, K.; Lee, D.-H.; Balzli, C.; Pantin-Jackwood, M.J.; Spackman, E.; Swayne, D.E. Age is not a determinant factor in susceptibility of broilers to H5N2 clade 2.3.4.4 high pathogenicity avian influenza virus. Vet. Res. 2016, 47, 116. [Google Scholar] [CrossRef] [Green Version]
- Brugh, M. Pathogenicity of three avian influenza viruses for Leghorn hens of different ages. Avian Dis. 1996, 40, 725–728. [Google Scholar] [CrossRef]
- Costa, T.P.; Brown, J.D.; Howerth, E.W.; Stallknecht, D.E. The effect of age on avian influenza viral shedding in mallards (Anas platyrhynchos). Avian Dis. 2010, 54, 581–585. [Google Scholar] [CrossRef]
- DeJesus, E.; Costa-Hurtado, M.; Smith, D.; Lee, D.-H.; Spackman, E.; Kapczynski, D.R.; Torchetti, M.K.; Killian, M.L.; Suarez, D.L.; Swayne, D.E.; et al. Changes in adaptation of H5N2 highly pathogenic avian influenza H5 clade 2.3.4.4 viruses in chickens and mallards. Virology 2016, 499, 52–64. [Google Scholar] [CrossRef]
- Jerry, C.; Stallknecht, D.; Leyson, C.; Berghaus, R.; Jordan, B.; Pantin-Jackwood, M.; Hitchener, G.; França, M. Recombinant hemagglutinin glycoproteins provide insight into binding to host cells by H5 influenza viruses in wild and domestic birds. Virology 2020, 550, 8–20. [Google Scholar] [CrossRef]
- Leyson, C.; Franca, M.; Jackwood, M.; Jordan, B. Polymorphisms in the S1 spike glycoprotein of Arkansas-type infectious bronchitis virus (IBV) show differential binding to host tissues and altered antigenicity. Virology 2016, 498, 218–225. [Google Scholar] [CrossRef]
- Wickramasinghe, I.N.; de Vries, R.P.; Grone, A.; de Haan, C.A.; Verheije, M.H. Binding of avian coronavirus spike proteins to host factors reflects virus tropism and pathogenicity. J. Virol. 2011, 85, 8903–8912. [Google Scholar] [CrossRef] [PubMed] [Green Version]
- Spackman, E.; Pantin-Jackwood, M.J.; Kapczynski, D.R.; Swayne, D.E.; Suarez, D.L. H5N2 Highly Pathogenic Avian Influenza Viruses from the US 2014-2015 outbreak have an unusually long pre-clinical period in turkeys. BMC Vet. Res. 2016, 12, 260. [Google Scholar] [CrossRef] [PubMed] [Green Version]
- Santos, J.J.; Obadan, A.O.; Garcia, S.C.; Carnaccini, S.; Kapczynski, D.R.; Pantin-Jackwood, M.; Suarez, D.L.; Perez, D.R. Short-and long-term protective efficacy against clade 2.3. 4.4 H5N2 highly pathogenic avian influenza virus following prime-boost vaccination in turkeys. Vaccine 2017, 35, 5637–5643. [Google Scholar] [CrossRef] [PubMed]
- Elbers, A.R.; Holtslag, J.B.; Bouma, A.; Koch, G. Within-flock mortality during the high-pathogenicity avian influenza (H7N7) epidemic in The Netherlands in 2003: Implications for an early detection system. Avian Dis. 2007, 51, 304–308. [Google Scholar] [CrossRef] [PubMed]
- Phuong, D.Q.; Dung, N.T.; Jørgensen, P.H.; Handberg, K.J.; Vinh, N.T.; Christensen, J.P. Susceptibility of Muscovy (Cairina Moschata) and mallard ducks (Anas Platyrhynchos) to experimental infections by different genotypes of H5N1 avian influenza viruses. Vet. Microbiol. 2011, 148, 168–174. [Google Scholar] [CrossRef]
- Cagle, C.; To, T.L.; Nguyen, T.; Wasilenko, J.; Adams, S.C.; Cardona, C.J.; Spackman, E.; Suarez, D.L.; Pantin-Jackwood, M.J. Pekin and Muscovy ducks respond differently to vaccination with a H5N1 highly pathogenic avian influenza (HPAI) commercial inactivated vaccine. Vaccine 2011, 29, 6549–6557. [Google Scholar] [CrossRef]
- Capua, I.; Mutinelli, F. Mortality in Muscovy ducks (Cairina moschata) and domestic geese (Anser anser var. domestica) associated with natural infection with a highly pathogenic avian influenza virus of H7N1 subtype. Avian Pathol. 2001, 30, 179–183. [Google Scholar] [CrossRef]
- Guionie, O.; Guillou-Cloarec, C.; Courtois, D.; Bougeard, B.S.; Amelot, M.; Jestin, V. Experimental infection of Muscovy ducks with highly pathogenic avian influenza virus (H5N1) belonging to clade 2.2. Avian Dis. 2010, 54, 538–547. [Google Scholar] [CrossRef] [PubMed]
- Pantin-Jackwood, M.J.; Suarez, D.L.; Spackman, E.; Swayne, D.E. Age at infection affects the pathogenicity of Asian highly pathogenic avian influenza H5N1 viruses in ducks. Virus Res. 2007, 130, 151–161. [Google Scholar] [CrossRef] [PubMed]
- Sun, H.; Pu, J.; Hu, J.; Liu, L.; Xu, G.; Gao, G.F.; Liu, X.; Liu, J. Characterization of clade 2.3.4.4 highly pathogenic H5 avian influenza viruses in ducks and chickens. Vet. Microbiol. 2016, 182, 116–122. [Google Scholar] [CrossRef] [PubMed]










| Median Area of HPAIV rHA Binding in μm2 | ||||||||
|---|---|---|---|---|---|---|---|---|
| Tissue | Mallard | Pekin Duck | Muscovy Duck | |||||
| 2-Week-Old (n = 3) | 5-Week-Old (n = 3) | 2-Week-Old (n = 3) | 5-Week-Old (n = 3) | 7-Week-Old (n = 3) | 2-Week-Old (n = 3) | 5-Week-Old (n = 3) | 8-Week-Old (n = 3) | |
| Trachea | 509 | 631 | 1421 * | 420 | 133 * | 1117 | 349 * | 1953 * |
| Lung | 1028 † | 92 † | 1805 | 3789 | 1423 | 6105 * | 860 * | 3184 |
| Duodenum/ Jejunum | 927 † | 316 † | 0 * | 0 * | 16 * | 130 | 119 | 30 |
| Ileum/ Cecum | 1569 | 1546 | 836 | 252 | 1402 | 37 * | 242 | 444 * |
| Cloacal Bursa | 146 † | 1581 † | 164 | 227 | 273 | 421 | 1692 | 380 |
| Median Area of HPAIV rHA Binding in μm2 | |||||
|---|---|---|---|---|---|
| Tissue | Turkey | Chicken | |||
| 6-Week-Old (n = 3) | 8-Week-Old (n = 3) | 1-Day-Old (n = 3) | 6-Week-Old (n = 3) | 28-Week-Old (n = 3) | |
| Trachea | 477 † | 1720 † | 287 | 121 | 1259 |
| Lung | 3332 † | 566 † | 74 | 1038 | 1302 |
| Duodenum/ Jejunum | 49 | ND | 34 * | 1251* | 313 |
| Ileum/ Cecum | 2121 † | 71 † | 149 | 2654 * | 7 * |
| Cloacal Bursa | ND | 135 | 6347 | 10 | ND |
| Median Area of LPAIV rHA binding in μm2 | ||||||||
|---|---|---|---|---|---|---|---|---|
| Tissue | Mallard | Pekin Duck | Muscovy Duck | |||||
| 2-Week-Old (n = 3) | 5-Week-Old (n = 3) | 2-Week-Old (n = 3) | 5-Week-Old (n = 3) | 7-Week-Old (n = 3) | 2-Week-Old (n = 3) | 5-Week-Old (n = 3) | 8-Week-Old (n = 3) | |
| Trachea | 360 | 92 | 632 | 21 | 539 | 578 * | 31 * | 143 |
| Lung | 719 | 277 | 84 | 22 | 178 | 7 | 681 | 474 |
| Duodenum/ Jejunum | 90 † | 29 † | 7 | 15 | 19 | 65 | 99 | 120 |
| Ileum/ Cecum | 394 | 469 | 25 | 71 | 36 | 157 | 138 | 96 |
| Cloacal Bursa | 20 | 28 | 164 | 36 | 90 | 0 | 404 | 149 |
| Median Area of LPAIV rHA binding in μm2 | |||||
|---|---|---|---|---|---|
| Tissue | Turkey | Chicken | |||
| 6-Week-Old (n = 3) | 8-Week-Old (n = 3) | 1-Day-Old (n = 3) | 6-Week-Old (n = 3) | 28-Week-Old (n = 3) | |
| Trachea | 179 † | 928 † | 45 * | 222 | 395 * |
| Lung | 20 † | 3408 † | 246 | 139 | 313 |
| Duodenum/ Jejunum | 31 | 86 | 43 | 95 | 70 |
| Ileum/ Cecum | 145 | 546 | 25 | 179 | 289 |
| Cloacal Bursa | 72 | 457 | 33 | 107 | N/A |
Publisher’s Note: MDPI stays neutral with regard to jurisdictional claims in published maps and institutional affiliations. |
© 2021 by the authors. Licensee MDPI, Basel, Switzerland. This article is an open access article distributed under the terms and conditions of the Creative Commons Attribution (CC BY) license (https://creativecommons.org/licenses/by/4.0/).
Share and Cite
Jerry, C.; Stallknecht, D.E.; Leyson, C.; Berghaus, R.; Jordan, B.; Pantin-Jackwood, M.; França, M.S. Age-Associated Changes in Recombinant H5 Highly Pathogenic and Low Pathogenic Avian Influenza Hemagglutinin Tissue Binding in Domestic Poultry Species. Animals 2021, 11, 2223. https://doi.org/10.3390/ani11082223
Jerry C, Stallknecht DE, Leyson C, Berghaus R, Jordan B, Pantin-Jackwood M, França MS. Age-Associated Changes in Recombinant H5 Highly Pathogenic and Low Pathogenic Avian Influenza Hemagglutinin Tissue Binding in Domestic Poultry Species. Animals. 2021; 11(8):2223. https://doi.org/10.3390/ani11082223
Chicago/Turabian StyleJerry, Carmen, David E. Stallknecht, Christina Leyson, Roy Berghaus, Brian Jordan, Mary Pantin-Jackwood, and Monique S. França. 2021. "Age-Associated Changes in Recombinant H5 Highly Pathogenic and Low Pathogenic Avian Influenza Hemagglutinin Tissue Binding in Domestic Poultry Species" Animals 11, no. 8: 2223. https://doi.org/10.3390/ani11082223
APA StyleJerry, C., Stallknecht, D. E., Leyson, C., Berghaus, R., Jordan, B., Pantin-Jackwood, M., & França, M. S. (2021). Age-Associated Changes in Recombinant H5 Highly Pathogenic and Low Pathogenic Avian Influenza Hemagglutinin Tissue Binding in Domestic Poultry Species. Animals, 11(8), 2223. https://doi.org/10.3390/ani11082223

