Next Article in Journal
Meat Quality of the Native Carpathian Goat Breed in Comparison with the Saanen Breed
Previous Article in Journal
Late Gestation Maternal Feed Restriction Decreases Microbial Diversity of the Placenta While Mineral Supplementation Improves Richness of the Fetal Gut Microbiome in Cattle
 
 
Font Type:
Arial Georgia Verdana
Font Size:
Aa Aa Aa
Line Spacing:
Column Width:
Background:
Article

Effects of Coated Cysteamine on Oxidative Stress and Inflammation in Weaned Pigs

1
Hunan Provincial Key Laboratory of Animal Nutritional Physiology and Metabolic Process, National Engineering Laboratory for Pollution Control and Waste Utilization in Livestock and Poultry Production, Key Laboratory of Agro-Ecological Processes in Subtropical Region, Hunan Provincial Engineering Research Center for Healthy Livestock and Poultry Production, Scientific Observing and Experimental Station of Animal Nutrition and Feed Science in South-Central, Ministry of Agriculture, Institute of Subtropical Agriculture, Chinese Academy of Sciences, Changsha 410125, China
2
Institute of Animal Nutrition, Northeast Agricultural University, Harbin 150030, China
3
College of Animal Science and Technology, Hunan Agricultural University, Changsha 410128, China
*
Authors to whom correspondence should be addressed.
Shanshan Wang and Miaomiao Bai contributed equally to this work.
Animals 2021, 11(8), 2217; https://doi.org/10.3390/ani11082217
Submission received: 7 June 2021 / Revised: 15 July 2021 / Accepted: 23 July 2021 / Published: 27 July 2021
(This article belongs to the Section Pigs)

Abstract

Simple Summary

Oxidative stress and inflammation are common problems in livestock and poultry production, and have a serious impact on animal welfare and profitability. Finding an effective way to deal with oxidative stress and inflammation is an urgent problem for the modern pig industry. Cysteamine has been shown to play a crucial role in the growth performance, digestive metabolism, immune function, and fecundity of animals. In this study, we found that dietary supplementation of coated cysteamine could enhance the level of immunoglobulin and the expression of intestinal immune factors in the weaned pigs induced by diquat. It is proved that dietary supplementation with coated cysteamine can improve the intestine barrier function and immune function.

Abstract

This study aimed to explore the effects of dietary coated cysteamine on oxidative stress and inflammation in diquat-induced weaning pigs. Twenty-four pigs were randomly assigned to three dietary groups with eight replicates: the control (fed base diet), diquat (fed base diet), and coated cysteamine + diquat groups (fed 80 mg/kg cysteamine). The experiment was conducted for 21 d, and consisted of a pre-starter period (14 d) and a starter period (7 d). Coated cysteamine treatment significantly increased (p < 0.05) the final weight and average daily gain (ADG) in pigs. The contents of alkaline phosphatase (ALP), immunoglobulin G (IgG), serine (Ser), and isoleucine (Ile) were elevated (p < 0.05) while the contents of albumin (ALB) and aspartic acid (Asp) were reduced (p < 0.05) in the serum after coated cysteamine supplementation. Coated cysteamine supplementation resulted in greater (p < 0.05) serum superoxide dismutase (SOD) activity, the expression of interleukin-10 (IL-10) mRNA in the colon, and the CuSOD mRNA expression in the jejunum (p < 0.05) and colon (p = 0.073). Coated cysteamine supplementation showed an increasing trend in villus height (p = 0.060), villus height/crypt depth (V/C) (p = 0.056), the expression levels of zonula occludens-1 (ZO-1) mRNA (p = 0.061), and Occludin mRNA (p = 0.074) in the jejunum. In summary, dietary supplementation with coated cysteamine improves the intestinal barrier function of the jejunum by increasing the immunoglobulin content and the relative expression of intestinal immune factor mRNA in pigs while alleviating oxidative stress and inflammatory reactions caused by diquat.

1. Introduction

Oxidative stress is a frequent phenomenon that occurs in living organisms. Under normal circumstances, the oxidation and antioxidant systems in the body reach a balanced state [1], whereas the body reacts to oxidative stress [2] and produces excessive amounts of reactive oxygen species (ROS) when this balance is broken, which is likely to cause cytotoxicity [3]. ROS results from mitochondrial metabolism in eukaryotic cells, and plays an essential role in maintaining cell homeostasis and low-level regulation of signal transduction, gene expression, and receptor activation [4]. Several chronic diseases are associated with oxidative stress which can cause severe cell and tissue damage [5]. In the practical production process, oxidative stress reduces growth performance and immunity in pigs, which in turn causes various diseases and huge losses to the breeding industry [6]. Therefore, finding an effective method to alleviate or solve oxidative stress in pigs is a problem requiring an urgent solution.
Diquat, 1,1′-ethylene-2,2′-bipyridinium dibromide, generally exists as a dibromide salt. It is a non-selective, quick-acting bipyridine compound with biotical properties [7]. As diquat affects the performance and alimentation efficiency of animals, it is used extensively to induce oxidative stress [8]. Diquat has been proven to reduce the growth performance of animals, induce apoptosis and autophagy, reduce cell viability, reduce dopamine and antioxidant enzyme levels, generate a large amount of ROS, and destroy intestinal morphology and intestinal barrier function by inhibiting mucosal cell proliferation, and reducing intestinal permeability [9,10].
Cysteamine (Cys), also known as 2-mercaptoethylamine, is a new feed additive that is produced as a factor of the Coenzyme A pathway and is biologically derived from cysteine metabolism. Coenzyme A is synthesized from pantothenic acid and cysteine [11]; during its degradation process, pantetheine is formed and then hydrolyzed to cysteamine and pantothenic acid by pantetheinase [12]. Previous reports have confirmed that cysteamine can improve animal growth performance and carcass quality [13,14], increase the contents of glutathionase and superoxide dismutase (SOD) in cell tissues, reduce the content of malondialdehyde (MDA), and increase the production of gastrin and gastric acid. Thus, Cys exerts effects on oxidative stress and animal intestinal ulcer models [15,16]. Cys is easily degraded and rapidly oxidized in air, or generates disulfide cystamine in solution [17]. Therefore, enteric coating of cysteamine is an effective method to prevent it from dissolving in the acidic environment of the stomach [18]. Coated cysteamine is a feed stable cysteamine hydrochloride produced by advanced microencapsulation technology, adopting an advanced microcapsule coating technology and special coating wall materials with an encapsulation rate of 100%. The coated cysteamine has better fluidity and stability, better sustained-release performance, and better tolerance [19]. In addition, coating cysteamine can effectively avoid the loss caused in the process of processing and utilization and at the same time avoid causing animal gastrointestinal ulcers [12].
The purpose of our study was to explore the influence of coated cysteamine on oxidative stress and the inflammatory response in diquat-induced pigs models. We hypothesized that cysteamine coating has a moderating effect on oxidative stress and the inflammatory response in diquat-induced pigs by enhancing the antioxidant capacity and intestinal barrier function in pigs.

2. Materials and Methods

2.1. Animal Experiment Design

All animals used in this study were humanely managed according to the Chinese Guidelines for Animal Welfare. The experimental scheme was approved by the Animal Welfare Committee of the Institute of Subtropical Agriculture, Chinese Academy of Sciences (2019-6A). Twenty-four weaned pigs, aged 35 d (Duroc × Yorkshire), with a body weight of 9 ± 0.6 kg were enrolled in the trial. Pigs were fed a basal diet for seven days before the beginning the trials. All pigs were divided into three treatment groups with eight replicates at random: the control group, the diquat group, and the coated cysteamine + diquat group (Cys + diquat group), in which the control group and the diquat group were fed a basal diet, whereas the Cys + diquat group was fed an 80 mg/kg cysteamine diet. The trial lasted for 21 d. On the 14th day, the pigs were weighed and treated with diquat for 7d (85-00-7, >95.00%, Sigma-Aldrich, St. Louis, MO, USA). The diquat and Cys + diquat groups were intraperitoneally injected with diquat (10 mg/kg BW) to induce oxidative stress, while the control group was injected with the same amount of normal saline for 7 d. The experimental diet was designed to meet or exceed the nutrient requirements for weaned pigs (NRC 2012) (Table 1). Referring to Bai et al. [20], cysteamine was added to the feed in the form of coated cysteamine, which contains 27% cysteamine hydrochloride (Hangzhou King Techina Technology Co Ltd., Hangzhou, China). Before the test, the piggery was cleaned and disinfected thoroughly according to the piggery management process. During the test, the house was kept clean and dry, proper air circulation was ensured, and the house was cleaned every day. All piglets are housed in an environmentally healthy nursery facility with good heat preservation facilities and a mechanical ventilation system. The adjacent fields are separated by steel tubes to ensure that the piglets are not completely isolated from each other. The piggery is equipped with an automatic drinking water device, manual feeding is adopted and the trough is cleaned in time. The animals were allowed water and feed ad libitum and were fed in single pens throughout the study.

2.2. Sample Collection

On the 21st day, following a fast for 12 h before slaughtered, 10 mL blood samples were collected from the precaval vein with vacuum tubes and centrifuged at 3000 rpm for 5 min. The obtained upper serum was stored at −20 °C for future analysis. Moreover, jejunum and colon samples were collected and stored at −80 °C.

2.3. Growth Performance

All pigs were weighed on the first and the 21st day of the experiment, and the feed intake was calculated daily. The average daily gain (ADG), average daily feed intake (ADFI), and feed-to-gain ratio (F/G) were subsequently calculated.

2.4. Serum Biochemical Index

The levels of glucose (GLU), triglycerides (TG), cholesterol (CHO), total protein (TP), albumin (ALB), blood urea nitrogen (BUN), alkaline phosphatase (ALP), alanine aminotransferase (ALT) and aspartate aminotransferase (AST) were determined using an automatic biochemical analyzer (Cobas311, F. Hoffmann-La Roche Ltd., Basel, Switzerland). The kits used for the determination of the above indicators were purchased from Roche, Switzerland. Serum levels of immunoglobulin M (IgM, ab190537, Pig, Abcam, Wuhan, China), immunoglobulin G (IgG, KA2016, Pig, Abnova, Wuhan, China), and immunoglobulin A (IgA, ab190536, Pig, Abcam, Wuhan, China) in serum were determined by enzyme-linked immunosorbent assay. The operation steps strictly followed the manufacturer’s instructions.

2.5. Serum Amino Acids

Approximately 2 mL of blood was centrifuged for 5 min at 3000 rpm to separate the solids. The supernatant (1 mL) was added to 1 mL of 8% sulfosalicylic acid. The mixture was incubated for 15 min and centrifuged at 3000 rpm for 20 min. Amino acid concentrations were measured using an automatic amino acid analyzer (L-8800A; Hitachi, Tokyo, Japan).

2.6. Jejunal Morphology

After dissection, 1–2 cm of intestinal tissue from the middle jejunum of pigs was excised, digested, fixed in 4% paraformaldehyde solution and gradually dehydrated with an ethanol gradient of 75% → 85% → 95% → 100% → 100%. Samples were then cleaned with xylene, embedded in paraffin, processed into sections and stained with hematoxylin and eosin (HE). A positive fluorescence microscope (DM4000B, Leica Microsystems, Germany) was used to measure the villus height and crypt depth to subsequently calculate the villus height/crypt depth ratio.

2.7. Serum Antioxidant Indicators

One milliliter of serum was centrifuged at 3000 rpm for 15 min and the supernatant was drawn for the determination of antioxidant indices. The kits from Nanjing Jiancheng Bioengineering Institute (A001-3-2; A007-1-1; A015-1-2; A003-1-1; A044-1-1; Nanjing, China) were used for the detection of SOD, MDA, catalase (CAT), total antioxidant capacity (T-AOC) and myeloperoxidase (MPO).

2.8. Fluorescence Quantitative Detection of the Jejunum and Colon

RNA was extracted from jejunum and colon tissues using the Trizol kit (Invitrogen, Carlsbad, ON, Canada). RNA concentrations (ng/UL) and the A260/A280 ratio were recorded using a NanoDrop Spectrophotometer (NanoDrop, Wilmington, NC, USA). According to the study by Roy et al. [21], RNA was reverse transcribed into cDNA after passing the integrity test, and was used as a template for real-time quantitative polymerase chain reaction (PCR) detection with the Takara reverse transcription kit. The PCR was performed under the following conditions: 95 °C for 30 s, denaturation at 95 °C for 5 s, annealing at 51–60 °C for 30 s, and a total of 40 cycles. Finally, a 20 μL reaction system was used for fluorescence quantification. Quantitative gene and primer sequences are shown in Table 2.

2.9. Western Blotting Analysis

Relative protein levels of CuSOD, MnSOD, GPX1, GPX4, ZO-1, Claudin-1, Occludin, IL-2, IL-8, and IL-10 in the jejunum were determined using western blotting. Colon samples were collected and the protein expression of CuSOD, MnSOD, GPX1, GPX4, IL-2, IL-8 and IL-10 was determined [22]. The resultant signals were obtained using Quantity One software (Bio-Rad, Hercules, CA, USA). Primary antibodies were used as follows: CuSOD (1:50000; ab51254, Rabbit, Abcam, UK), MnSOD (1:1000; ab68155, Rabbit, Abcam, UK), GPX1 (1:1000; bs-3882R, Rabbit, Bioss, Beijing, China), GPX4 (1:1000; 14432-1-AP, Rabbit, Proteintech, Rosemont, IL, USA), ZO-1 (1:3000; 21773-1-AP, Rabbit, Proteintech, USA), Occludin (1:1000; ab167161, Rabbit, Abcam, UK), Claudin1 (1:500; ab15098, Rabbit, Abcam, UK), IL-2 (1:2000; ab92381, Rabbit, Abcam, UK), IL-8 (1:2000; ab110727, Rabbit, Abcam, UK), IL-10 (1:1000; 20850-1-AP, Rabbit, Proteintech, USA) and Actin (1:5000; 66009-1-Ig, Mouse, Proteintech, USA).

2.10. Statistical Analysis

The pigs were treated with the independent variables cysteamine and diquat, and explored their effects on various indicators. All data are shown as the mean ± standard error of mean (SEM) and were analyzed using one-way ANOVA (SPSS 21.0, SPSS Inc., Chicago, IL, USA). Duncan’s method was used for multiple comparisons. A value of p < 0.05 indicates statistical significance, and 0.05 < p < 0.1 indicates a decreasing or increasing trend.

3. Results

3.1. Growth Performance

Pigs’ weight increased during the test period (p < 0.05), and the control group had the highest final weight, followed by the Cys + diquat group and the lowest in the diquat group (Table 3). We found that there were no significant differences in ADG, ADFI and F/G among the three groups on 1–7 days and 8–14 days (p > 0.05). The ADG and ADFI in the diquat group were significantly lower than those in the control group on 15–21 days (p < 0.05), but there was no difference between the diquat group and the Cys + diquat group (p > 0.05).

3.2. Serum Biochemical Index

The control and Cys + diquat groups showed marked decreased (p < 0.05) in the content of ALB and GLU but increased (p < 0.05) levels of ALT and ALP compared to the diquat group (Table 4). The TP content in the Cys + diquat group was the lowest among the three group (p < 0.01). Serum IgA levels (p < 0.05) were lower in the diquat and Cys + diquat groups. Compared to the diquat group, the control and the Cys + diquat groups had higher (p < 0.05) serum IgG levels.

3.3. Serum Amino Acids

The results for the serum amino acids are shown in Table 5. The Cys + diquat group and the control group markedly increased (p < 0.05) the contents of Ser and Ile, and decreased (p < 0.05) the Asp content compared with the diquat group. The content of glycine (Gly) decreased (p < 0.05) in the Cys + diquat group compared to that in the control group.

3.4. Jejunal Morphology

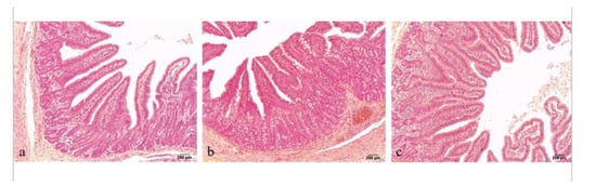
As shown in Figure 1, the distribution of villus in the Cys + diquat group is tighter than that of the other two groups, and the shape of villus is more complete. As shown in Table 6, the diquat group showed a decline (p < 0.05) in villus height and V/C in the pigs jejunum compared with the control group. There were no significant changes among the Cys + diquat group and the other two groups.

3.5. Serum Antioxidant Index

As presented in Table 7, the Cys + diquat group showed increased SOD activity compared to the control and diquat group (p < 0.05). However, no significant difference in the serum antioxidant indices (p > 0.05) was observed between the diquat and control groups.

3.6. Relative Cytokine mRNA Levels in the Jejunum and Colon

The expression levels of related genes in the jejunum and colon are shown in Figure 2. Compared with the diquat group, coated cysteamine supplementation remarkably upregulated CuSOD mRNA expression (p < 0.05) and tended to increase (0.05 < p < 0.1) the relative expression of ZO-1 and Occludin mRNA in the pigs jejunum (Figure 2a). The mRNA levels of IL-4 in the Cys + diquat and diquat groups were lower (p < 0.05) than those in the control group, but did not differ between the Cys + diquat and diquat groups (p > 0.01). The expression level of IL-8 was higher (p < 0.05) in the diquat group than in the control group.
In the colon, the Cys + diquat group showed a remarkable increase (p < 0.05) in the expression of IL-10 mRNA and tended towards an increase (0.05 < p < 0.1) in the expression of CuSOD mRNA in comparison to that in the diquat group (Figure 2b). Decreased Claudin1 mRNA levels (p < 0.05) in the colon were observed in the Cys + diquat, and diquat groups. The mRNA expression of GPX1 and IL-2 were significantly decreased (p < 0.05) in the diquat group compared with the control group.

3.7. Expression Levels of Cytokines in the Jejunum and Colon

To evaluate the effect of coated cysteamine, the protein expression levels of these cytokines in the jejunum and colon are described in Figure 3. Compared with the diquat group, the protein expression of CuSOD, MnSOD, GPX1, GPX4, ZO-1, Occludin, Claudin1, IL-2, and IL-10 was remarkably reduced (p < 0.05) in the Cys + diquat group, whereas the expression of these cytokines was markedly increased in comparison with the control group (Figure 3a). IL-8 protein expression in the jejunum of the control group was higher than that in the diquat group.
The expression levels of the CuSOD, MnSOD, GPX1, GPX4, IL-2, and IL-10 proteins in the Cys + diquat group were lower than those in the diquat group (p < 0.05) and higher than those in the control group (p < 0.05) (Figure 3b). The corresponding protein levels of IL-8 in the control and Cys + diquat groups were upregulated (p < 0.05) compared to the diquat groups.

4. Discussion

Cysteamine has activated sulfhydryl and amino groups, which can specifically bind to the disulfide bond of somatostatin (SS), thereby destroying the biological activity of SS, depleting SS in the body, and releasing the inhibitory effect of SS in regulating the body’s anabolism, thus promoting animal growth [23]. A promoting effect on the growth of pigs, finishing pigs and fish has been reported in previous studies [24,25]. Experiments by Du et al. [24] proved that dietary cysteamine supplementation significantly enhanced the feed intake and weight of pigs. Zhu et al. [26] indicated that dietary supplementation with cysteamine-chelated zinc remarkably increased the ADG of pigs and reduced the F/G ratio. When the pigs were added with diquat, we observed negative consequences such as malaise, diarrhea, loss of appetite and decreased activity. In this study, diquat challenge significantly reduced the ADG and ADFI of pigs, and reduced pigs final weight, while the Cys + diquat group showed a significant improvement in this trend, indicating that coated cysteamine addition could alleviate the decline in growth performance caused by diquat.
We speculate that coated cysteamine can alleviate the impairment in growth performance of diquat-induced pigs by improving their antioxidant and anti-inflammatory abilities. Immunoglobulin is an important factor in building the body immunity [27]; IgA eliminates antigen-induced inflammation through specific binding with antigens [28], IgG plays an immune role through antigen-antibody binding [29], and IgM plays an immune response by activating complement proteins in the body [30]. Zhou et al. [31] found that cysteamine supplementation greatly increased IgA, IgG, and IgM in the jejunal mucosa of finishing pigs. Different levels of cysteamine-chelated zinc increased the levels of serum IgA, IgG, and TP in nutrition-restricted pigs but had no significant effect on the level of serum IgM [32]. In the present study, the contents of IgA and IgG were significantly reduced in the diquat group, while the Cys + diquat group exhibited increased levels of IgA, IgG, and IgM, indicating that supplementation with coated cysteamine could promote the synthesis of immunoglobulin, improve the body’s immunity and alleviate the damage caused by diquat.
Liu et al. [33] reported that cysteamine improved pigs growth performance and protein deposition as a feed additive. Growth hormone (GH) can strengthen the intussusception of amino acids (AA), increase the mRNA abundance of AA transporters in the small intestine, and enhance the AA transporter system in the small intestine or cultured primary human trophoblast cells under the interaction of insulin-like growth factor-1 (IGF-1) [34,35]. Dietary supplementation with cysteamine increased the levels of GH and IGF-1 in the body [36]; thus, it could be assumed that the beneficial effect of cysteamine on the AA transporter was achieved by increasing the body’s GH and IGF-1 concentrations. Cysteamine supplementation significantly enhanced the concentrations of cysteine, cystine, and ornithine, and tended to increase the concentrations of essential amino acids (EAA), and Gly [37]. The results of the present study showed that coated cysteamine supplementation resulted in an increase in the contents of Ser and Ile, and reduced the contents of Asp, but the underlying mechanism is still unclear. Therefore, in-depth verification of amino acid transporters should be carried out in the future.
Oxidative stress and inflammation constitute the body’s main defense network, which helps cells survive the stress caused by biochemical, physiological, and pathological stimuli [38,39]. Oxidative stress regulates mitogen-activated protein kinase, extracellular regulatory protein kinase, nuclear factor κ-B (NF-κB), and other signaling pathways by acting on different products, and acts as a “secondary messenger” in the inflammatory response [40]. The main antioxidant enzymes in biological systems such as SOD, glutathione peroxidase (GSH-Px) and CAT can eliminate ROS [41]. The superoxide free radical is converted to H2O2 by SOD, which is considered to be the first line of defense against cell damage caused by oxygen-free radicals [42]. Diquat treatment reduced the concentrations of serum SOD, CAT, and T-AOC and significantly enhanced the content of MDA [43]. Zhou et al. [31] stated that cysteamine increased the levels of glutathione (GSH) and GSH-Px in pigs, while decreasing the content of MDA. Cysteamine supplementation increased the activity of antioxidant enzymes and the level of GSH to improve the antioxidant status and delay the discoloration of pork [13]. Therefore, it can be demonstrated that cysteamine relieves the oxidative stress state of cells by increasing SOD and GSH in cell tissues and its free sulfhydryl group [44]. Liu et al. [45] found that cysteamine reduced the increase in serum TNF-α, IL-1β, and IL-6 levels caused by Clostridium perfringens. The results of the present study showed that coated cysteamine remarkably ameliorated the increase in ALB content and decrease in SOD activity, ALP content, and expression of IL-10 mRNA in the colon caused by diquat. The results indicated that coated cysteamine could enhance immunity and mitigate oxidative stress and inflammation by enhancing the activity of antioxidant enzymes.
The intestinal barrier is a physical barrier composed of a variety of intestinal epithelial cells and cell tight junction complexes, which protect the intestine from damage [46]. The transmembrane proteins Occludin, claudin family, and connexins such as ZO-1, which are important components of tight junctions, are crucial in maintaining intestinal health and integrity [47,48]. In addition, abnormal expression or structural failure of these important proteins damages the intestinal barrier function, resulting in increased intestinal wall permeability [49]. Zhou et al. [31] studied the effect of cysteamine on tight junctions for the first time and showed that cysteamine remarkably increased the expression of Occludin, claudin, and ZO-1 mRNA in the jejunal mucosa, indicating that dietary cysteamine supplementation is conducive to the integrity of the intestinal barrier. Yang et al. [50] showed that cysteamine exacerbated the proliferation of immune cells to boost intestinal mucosal immune functions. When diquat was challenged, it significantly reduced the villus height and the V/C [51], in accordance with the conclusion of this study. At the same time, we found that Occludin, claudin, and ZO-1 mRNA expression in the jejunum of the Cys + diquat group were improved compared to those in the diquat group. This indicates that dietary supplementation with coated cysteamine could improve the intestinal morphology and intestinal barrier function, which reflects the alleviation of inflammation [52].

5. Conclusions

This study reported that dietary supplementation with coated cysteamine increased immunoglobulin levels, regulated the mRNA expression of intestinal immune factors to improve jejunal barrier function, and alleviate oxidative stress and inflammation induced by diquat. The above findings provide a theoretical basis for the application of coated cysteamine as a new type of antioxidant feed additive in pigs diets. The effect of coated cysteamine on intestinal microbes and its mechanism needs to be further studied.

Author Contributions

Conceptualization, M.B. and H.L.; Data curation, S.W. and M.B.; Formal analysis, S.W.; Funding acquisition, R.H. and H.L.; Investigation, Y.S. and Z.Y.; Supervision, K.X., X.X., R.H., Y.L. and H.L.; Validation, Y.L.; Writing—original draft, S.W.; Writing—review & editing, M.B. and H.L. All authors have read and agreed to the published version of the manuscript.

Funding

The project was supported by grant from was supported by Science and technology program of Changsha (kq1907074), grant from National Natural Science Foundation of China (32072741), and the Innovation Team in Key Area Innovation Team of Physiology and Metabolism and Body Health in Pig (2019RS3022). The research was also funded by the research program of Huxiang Youth Talent Program of Hunan Province (2018RS3110), Youth Innovation Promotion Association, CAS (2019356), and the Special Funds for the Construction of Innovative Provinces in Hunan (2019RS1068, 2019NK2193).

Institutional Review Board Statement

The study was conducted according to the guidelines of the Declaration of Helsinki, and approved by the Institute of Subtropical Agriculture, Chinese Academy of Sciences (2019-6A).

Informed Consent Statement

Informed consent was obtained from all subjects involved in the study.

Data Availability Statement

None of the data were deposited in an official repository.

Acknowledgments

We thank the Institute of Subtropical Agriculture, Chinese Academy of Sciences for support.

Conflicts of Interest

The authors declare that they have no competing interests.

References

  1. Pisoschi, A.M.; Pop, A. The role of antioxidants in the chemistry of oxidative stress: A review. Eur. J. Med. Chem. 2015, 46, 55–74. [Google Scholar] [CrossRef]
  2. Dryden, G.W.; Deaciuc, I.; Arteel, G.; Mcclain, C.J. Clinical implications of oxidative stress and antioxidant therapy. Curr. Gastroenterol. Rep. 2005, 7, 308–316. [Google Scholar] [CrossRef]
  3. Wang, Y.; Chen, Y.; Zhang, X.; Lu, Y.; Chen, H. New insights in intestinal oxidative stress damage and the health intervention effects of nutrients: A review. J. Funct. Foods 2020, 75, 104248. [Google Scholar] [CrossRef]
  4. Sosa, V.; Moliné, T.; Somoza, R.; Paciucci, R.; Lleonart, M.E. Oxidative stress and cancer: An overview. Ageing Res. Rev. 2012, 12. [Google Scholar] [CrossRef]
  5. Liguori, I.; Russo, G.; Curcio, F.; Bulli, G.; Aran, L.; Della-Morte, D.; Gargiulo, G.; Testa, G.; Cacciatore, F.; Bonaduce, D.; et al. Oxidative stress, aging, and diseases. Clin. Interv. Aging 2018, 13, 757–772. [Google Scholar] [CrossRef]
  6. Li, Y.; Zhao, X.; Jiang, X.; Chen, L.; Hong, L.; Zhuo, Y.; Lin, Y.; Fang, Z.; Che, L.; Feng, B.; et al. Effects of dietary supplementation with exogenous catalase on growth performance, oxidative stress, and hepatic apoptosis in weaned piglets challenged with lipopolysaccharide. J. Anim. Sci. 2020, 98. [Google Scholar] [CrossRef]
  7. Stubbs, J. A New Herbicide. Outlook Agric. 1958, 2, 64–68. [Google Scholar] [CrossRef]
  8. Yin, J.; Liu, M.; Ren, W.; Duan, J.; Guan, Y.; Zhao, Y.; Fa Ng, R.; Chen, L.; Li, T.; Yin, Y. Effects of Dietary Supplementation with Glutamate and Aspartate on Diquat-Induced Oxidative Stress in Piglets. PLoS ONE 2015, 10, e0122893. [Google Scholar] [CrossRef]
  9. Tossou, M.; Liu, H.; Bai, M.; Chen, S.; Cai, Y.; Veeramuthu, D.; Liu, H.; Adebowale, T.O.; Abdullah, A.; Long, L.; et al. Effect of High Dietary Tryptophan on Intestinal Morphology and Tight Junction Protein of Weaned Pig. Biomed. Res. Int. 2016, 2016, 2912418. [Google Scholar] [CrossRef]
  10. Cao, S.; Wu, H.; Wang, C.; Zhang, Q.; Jiao, L.; Lin, F.; Hu, C.H. Diquat-induced Oxidative Stress Increases Intestinal Permeability, Impairs Mitochondrial Function and Triggers Mitophagy in Piglets. J. Anim. Sci. 2018, 96, 1795–1805. [Google Scholar] [CrossRef]
  11. Hoagland, M.B.; Novelli, G.D. Biosynthesis of coenzyme A from phospho-pantetheine and of pantetheine from pantothenate. J. Biol. Chem. 1954, 207, 767–773. [Google Scholar] [CrossRef]
  12. Besouw, M.; Masereeuw, R.; Lambert, V.; Levtchenko, E. Cysteamine: An old drug with new potential. Drug Discov. Today 2013, 18, 785–792. [Google Scholar] [CrossRef]
  13. Bai, M.; Liu, H.; Xu, K.; Zou, B.; Yu, R.; Liu, Y.; Xing, W.; Du, H.; Li, Y.; Yin, Y. Effects of dietary coated cysteamine hydrochloride on pork color in finishing pigs. J. Sci. Food Agric. 2018, 98, 1743–1750. [Google Scholar] [CrossRef]
  14. Yang, C.; Li, A.; Yin, Y.; Huang, R.; Li, T.; Li, L.; Liao, Y.; Deng, Z.; Zhang, J.; Wang, B. Effects of dietary supplementation of cysteamine on growth performance, carcass quality, serum hormones and gastric ulcer in finishing pigs. J. Sci. Food Agric. 2005, 85, 1947–1952. [Google Scholar] [CrossRef]
  15. Kirkegaard, P.; Poulsen, S.S.; Loud, F.B.; Halse, C.; Christiansen, J. Cysteamine-induced Duodenal Ulcer and Acid Secretion in the Rat. Scand J. Gastroenterol. 1980, 15, 621–624. [Google Scholar] [CrossRef]
  16. Selye, H.; Szabo, S. Experimental model for production of perforating duodenal ulcers by cysteamine in the rat. Nature 1973, 244, 458–459. [Google Scholar] [CrossRef] [PubMed]
  17. Atallah, C.; Charcosset, C.; Greige-Gerges, H. Challenges for cysteamine stabilization, quantification, and biological effects improvement. J. Pharm. Anal. 2020, 10, 499–516. [Google Scholar] [CrossRef]
  18. Veys, K.R.P.; Besouw, M.T.P.; Pinxten, A.-M.; Dyck, M.V.; Casteels, I.; Levtchenko, E.N. Cystinosis: A new perspective. Acta Clin. Belg 2016, 71, 131–137. [Google Scholar] [CrossRef]
  19. Gangoiti, J.A.; Fidler, M.; Cabrera, B.L.; Schneider, J.A.; Barshop, B.A.; Dohil, R. Pharmacokinetics of enteric-coated cysteamine bitartrate in healthy adults: A pilot study. Br. J. Clin. Pharmacol. 2010, 70, 376–382. [Google Scholar] [CrossRef]
  20. Liu, H.; Bai, M.; Tan, B.; Xu, K.; Yu, R.; Huang, R.; Yin, Y. Influence of supplemented coated-cysteamine on morphology, apoptosis and oxidative stress status of gastrointestinal tract. BMC Vet. Res. 2019, 15, 328. [Google Scholar] [CrossRef]
  21. Roy, C.; Lavoie, M.; Richard, G.; Archambault, A.; Lapointe, J. Evidence that oxidative stress is higher in replacement gilts than in multiparous sows. J. Anim. Physiol. Anim. Nutr. 2016, 100, 911–919. [Google Scholar] [CrossRef]
  22. Wen, C.; Guo, Q.; Wang, W.; Duan, Y.; Zhang, L.; Li, J.; He, S.; Chen, W.; Li, F. Taurine Alleviates Intestinal Injury by Mediating Tight Junction Barriers in Diquat-Challenged Piglet Models. Front. Physiol. 2020, 11, 449. [Google Scholar] [CrossRef]
  23. Ai, X.; Zheng, Y.; Chen, W.; Han, Z. Effects of cysteamine on the plasma levels of SS and some metabolic hormones in adult geese. Zhongguo Ying Yong Sheng Li Xue Za Zhi 2004, 20, 88–90. [Google Scholar] [PubMed]
  24. Du, G.; Shi, Z.; Xia, D.; Wei, X.; Zhang, L.; Parvizi, N.; Zhao, R. Cysteamine improves growth performance and gastric ghrelin expression in preweaning piglets. Domest. Anim. Endocrinol. 2012, 42, 203–209. [Google Scholar] [CrossRef] [PubMed]
  25. Wardani, W.W.; Alimuddin, A., Jr.; Zairin, M.; Setiawati, M.; Nuryati, S.; Suprayudi, M.A. Evaluation of cysteamine supplementation in red tilapia (Oreochromis sp.) diet: Serum insulin and somatostatin, IGF-1 and GLUT4 genes expression, growth performance, and robustness against stress. Aquaculture 2020, 528, 735514. [Google Scholar] [CrossRef]
  26. Zhu, Y.; Wang, H.; Li, F.; Zheng, L.; Gao, Y.; Meng, L.; Guo, F.; Ding, L.; Mi, C.; Zhang, Y. Effects of Cysteamine Chelated Zinc on Growth Performance, Serum Biochemical Indices, Nutrient Digestibility and Fecal Microbial Flora of Piglets. Anim. Nutr. 2015, 27, 3225–3232. [Google Scholar]
  27. Perez, E.E.; Orange, J.S.; Bonilla, F.; Chinen, J.; Chinn, I.K.; Dorsey, M.; El-Gamal, Y.; Harville, T.O.; Hossny, E.; Mazer, B.; et al. Update on the use of immunoglobulin in human disease: Areview of evidence. J. Allergy Clin. Immunol. 2017, 139, S1–S46. [Google Scholar] [CrossRef]
  28. Pabst, O. New concepts in the generation and functions of IgA. Nat. Rev. Immunol. 2012, 12, 821–832. [Google Scholar] [CrossRef] [PubMed]
  29. Bournazos, S.; Ravetch, J.V. Diversification of IgG effector functions. Int. Immunol. 2017, 29, 303–310. [Google Scholar] [CrossRef] [PubMed]
  30. de la Morena, M.T. Clinical Phenotypes of Hyper-IgM Syndromes. J. Allergy Clin. Immunol. Pract. 2016, 4, 1023–1036. [Google Scholar] [CrossRef] [PubMed]
  31. Zhou, P.; Luo, Y.; Zhang, L.; Li, J.; Zhang, B.; Xing, S.; Zhu, Y.; Gao, F.; Zhou, G. Effects of cysteamine supplementation on the intestinal expression of amino acid and peptide transporters and intestinal health in finishing pigs. Anim. Sci. J. 2017, 88, 314–321. [Google Scholar] [CrossRef] [PubMed]
  32. Yu, C.; Wang, H.; Li, F.; Yong, Z.J.F.I. Research and application of cysteamine chelated zinc in nutrient-limited runt piglets. Feed Ind. 2015, 36, 41–46. [Google Scholar]
  33. Liu, G.; Wang, Z.; Wu, D.; Zhou, A.; Liu, G. Effects of dietary cysteamine supplementation on growth performance and whole-body protein turnover in finishing pigs. Livest. Sci. 2009, 122, 86–89. [Google Scholar] [CrossRef]
  34. Avissar, N.E.; Ziegler, T.R.; Toia, L.; Liang, G.; Ray, E.C.; Berlanga-Acosta, J.; Sax, H.C. ATB0/ASCT2 Expression in Residual Rabbit Bowel Is Decreased after Massive Enterectomy and Is Restored by Growth Hormone Treatment. J. Nutr. 2004, 134, 2173–2177. [Google Scholar] [CrossRef] [PubMed][Green Version]
  35. Inoue, Y.; Copeland, E.M.; Souba, W.W. Growth hormone enhances amino acid uptake by the human small intestine. Ann. Surg. 1994, 219, 715–722. [Google Scholar] [CrossRef]
  36. Ping, Z.; Lin, Z.; Li, J.; Luo, Y.; Zhang, B.; Shen, X.; Zhu, Y.; Hui, S.; Feng, G.; Zhou, G. Effects of Dietary Crude Protein Levels and Cysteamine Supplementation on Protein Synthetic and Degradative Signaling in Skeletal Muscle of Finishing Pigs. PLoS ONE 2015, 10, e0139393. [Google Scholar] [CrossRef]
  37. Bai, M.; Liu, H.; Xu, K.; Zhang, X.; Deng, B.; Tan, C.; Deng, J.; Bing, P.; Yin, Y. Compensation effects of coated cysteamine on meat quality, amino acid composition, fatty acid composition, mineral content in dorsal muscle and serum biochemical indices in finishing pigs offered reduced trace minerals diet. Sci. China Life Sci. 2019, 62, 1550–1553. [Google Scholar] [CrossRef] [PubMed]
  38. Dandekar, A.; Mendez, R.; Zhang, K. Cross Talk Between ER Stress, Oxidative Stress, and Inflammation in Health and Disease. Methods Mol. Biol. 2015, 1292, 205–214. [Google Scholar] [CrossRef] [PubMed]
  39. Reuter, S.; Gupta, S.C.; Chaturvedi, M.M.; Aggarwal, B.B. Oxidative stress, inflammation, and cancer: How are they linked? Free Radic. Biol. Med. 2010, 49, 1603–1616. [Google Scholar] [CrossRef]
  40. Wu, C.C.; Cheng, C.H.; Lee, Y.H.; Chang, I.L.; Chen, H.Y.; Hsieh, C.P.; Chueh, P.J. Ursolic acid triggers apoptosis in human osteosarcoma cells via caspase activation and the ERK1/2 MAPK pathway. J. Agric. Food Chem. 2016, 64, 4220–4226. [Google Scholar] [CrossRef]
  41. Sies, H. Oxidative stress: From basic research to clinical application. Am. J. Med. 1991, 91, 31s–38s. [Google Scholar] [CrossRef]
  42. Romeu, M.; Mulero, M.; Giralt, M.; Folch, J.; Nogués, M.; Torres, A.; Fortuño, A.; Sureda, F.X.; Cabré, M.; Paternáin, J.L.; et al. Parameters related to oxygen free radicals in erythrocytes, plasma and epidermis of the hairless rat. Life Sci. 2002, 71, 1739–1749. [Google Scholar] [CrossRef]
  43. Yuan, D.; Tarique, H.; Bie, T.; Liu, Y.; Ji, P.; Yin, Y. The Evaluation of Antioxidant and Anti-Inflammatory Effects of Eucommia ulmoides Flavones Using Diquat-Challenged Piglet Models. Oxid. Med. Cell Longev. 2017, 2017, 8140962. [Google Scholar] [CrossRef] [PubMed]
  44. Okamura, D.M.; Bahrami, N.M.; Ren, S.; Pasichnyk, K.; Williams, J.M.; Gangoiti, J.A.; Lopez-Guisa, J.M.; Yamaguchi, I.; Barshop, B.A.; Duffield, J.S.; et al. Cysteamine modulates oxidative stress and blocks myofibroblast activity in CKD. J. Am. Soc. Nephrol. 2014, 25, 43–54. [Google Scholar] [CrossRef]
  45. Liu, N.; Lin, L.; Wang, J.; Zhang, F.; Wang, J.P. Dietary cysteamine hydrochloride protects against oxidation, inflammation, and mucosal barrier disruption of broiler chickens challenged with Clostridium perfringens. J. Anim. Sci. 2018, 96, 4339–4347. [Google Scholar] [CrossRef] [PubMed]
  46. Zhou, P.; Tan, Y.Q.; Zhang, L.; Zhou, Y.M.; Gao, F.; Zhou, G.H. Effects of Dietary Supplementation with the Combination of Zeolite and Attapulgite on Growth Performance, Nutrient Digestibility, Secretion of Digestive Enzymes and Intestinal Health in Broiler Chickens. Asian-Australas J. Anim. Sci. 2014, 27, 1311–1318. [Google Scholar] [CrossRef] [PubMed]
  47. Tang, Z.G.; Wen, C.; Wang, L.C.; Wang, T.; Zhou, Y.M. Effects of zinc-bearing clinoptilolite on growth performance, cecal microflora and intestinal mucosal function of broiler chickens. Anim. Feed Sci. Tech. 2014, 189, 98–106. [Google Scholar] [CrossRef]
  48. Zhang, B.; Guo, Y. Supplemental zinc reduced intestinal permeability by enhancing occludin and zonula occludens protein-1 (ZO-1) expression in weaning piglets. Br. J. Nutr. 2009, 102, 687–693. [Google Scholar] [CrossRef] [PubMed]
  49. Chen, L.; Li, L.; Han, Y.; Lv, B.; Yu, Q. Tong-fu-li-fei decoction exerts a protective effect on intestinal barrier of sepsis in rats through upregulating ZO-1/occludin/claudin-1 expression. J. Pharmacol. Sci. 2020, 143, 89–96. [Google Scholar] [CrossRef]
  50. Yang, Q.; Lian, G.; Gong, X. Enhancement of mucosal immune responses in chickens by oral administration of cysteamine. Poult. Sci. 2007, 86, 1323. [Google Scholar] [CrossRef]
  51. Li, M.; Yuan, D.; Liu, Y.; Jin, H.; Tan, B. Dietary Puerarin Supplementation Alleviates Oxidative Stress in the Small Intestines of Diquat-Challenged Piglets. Animals 2020, 10, 631. [Google Scholar] [CrossRef] [PubMed]
  52. Förster, C. Tight junctions and the modulation of barrier function in disease. Histochem. Cell Biol. 2008, 130, 55–70. [Google Scholar] [CrossRef] [PubMed]
Figure 1. Effects of dietary supplementation of coated cysteamine on jejunal morphology (HE × 40) in pigs induced by diquat. (a) Control group; (b) Diquat group; (c) Cys + diquat group. Scale bar: 200 μm.
Figure 1. Effects of dietary supplementation of coated cysteamine on jejunal morphology (HE × 40) in pigs induced by diquat. (a) Control group; (b) Diquat group; (c) Cys + diquat group. Scale bar: 200 μm.
Animals 11 02217 g001
Figure 2. Effects of dietary supplementation of coated cysteamine on the expression of genes related to antioxidant, tight junction and inflammation in pigs (a) jejunum and (b) colon. CuSOD: Cu-SOD; MnSOD: Mn-SOD; GPX1: glutathione peroxidase 1; GPX4: glutathione peroxidase 4; ZO-1: zonula occludens-1; IL-2: interleukin-2; IL-4: interleukin-4; IL-8: interleukin-8; IL-10: interleukin-10. Results are expressed as means ± SEM (n = 8). Means in the same row with different letters were significantly different (p < 0.05).
Figure 2. Effects of dietary supplementation of coated cysteamine on the expression of genes related to antioxidant, tight junction and inflammation in pigs (a) jejunum and (b) colon. CuSOD: Cu-SOD; MnSOD: Mn-SOD; GPX1: glutathione peroxidase 1; GPX4: glutathione peroxidase 4; ZO-1: zonula occludens-1; IL-2: interleukin-2; IL-4: interleukin-4; IL-8: interleukin-8; IL-10: interleukin-10. Results are expressed as means ± SEM (n = 8). Means in the same row with different letters were significantly different (p < 0.05).
Animals 11 02217 g002
Figure 3. Effects of dietary supplementation of coated cysteamine on the expression of antioxidant-, tight junction- and inflammation-related proteins in pigs (a) jejunum and (b) colon. CuSOD: Cu-SOD; MnSOD: Mn-SOD; GPX1: glutathione peroxidase 1; GPX4: glutathione peroxidase 4; ZO-1: zonula occludens-1; IL-2: interleukin-2; IL-4: interleukin-4; IL-8: interleukin-8; IL-10: interleukin-10. Results are expressed as means ± SEM (n = 8). Means in the same row with different letters were significantly different (p < 0.05).
Figure 3. Effects of dietary supplementation of coated cysteamine on the expression of antioxidant-, tight junction- and inflammation-related proteins in pigs (a) jejunum and (b) colon. CuSOD: Cu-SOD; MnSOD: Mn-SOD; GPX1: glutathione peroxidase 1; GPX4: glutathione peroxidase 4; ZO-1: zonula occludens-1; IL-2: interleukin-2; IL-4: interleukin-4; IL-8: interleukin-8; IL-10: interleukin-10. Results are expressed as means ± SEM (n = 8). Means in the same row with different letters were significantly different (p < 0.05).
Animals 11 02217 g003
Table 1. Basic diet composition and nutritional level of pigs.
Table 1. Basic diet composition and nutritional level of pigs.
Ingredient, g/kg
Corn300.00
Extrude corn210.00
Soybean meal160.00
Extrude soybean120.00
Fish meal30.00
Wheat middling and red dog28.50
Broken rice50.00
Soybean oil20.00
Sugar20.00
Glu20.00
Organic acid calcium6.00
Calcium phosphate12.00
L-Lysine-HCl6.40
DL-Met0.80
Thr1.20
Mineral premix 11.50
Vitamin premix 10.40
Acidifier5.00
Zinc oxide3.20
Limestone5.00
Nutrient component, %
Digestible energy kcal/kg3464.00
Crude protein19.25
Lys1.52
Met0.40
Thr0.86
Try0.30
1 Providing the following amounts of vitamins and minerals per kilogram on an as-fed basis: Zn (ZnO) 50 mg; Cu (CuSO4) 20 mg; Mn (MnO) 55 mg; Fe (FeSO4) 100 mg; I (KI) 1 mg; Co (CoSO4) 2 mg; Se (Na2SeO3) 0.3 mg; vitamin A, 8255 IU; vitamin D3, 2000 IU; vitamin E, 40 IU; vitamin B1, 2 mg; vitamin B2, 4 mg; pantothenic acid, 15 mg; vitamin B6, 10 mg; vitamin B12, 0.05 mg; nicotinic acid, 30 mg; folic acid, 2 mg; vitamin K3, 1.5 mg; biotin, 0.2 mg; choline chloride, 800 mg; vitamin C, 100 mg.
Table 2. The sequences of the primers used for quantitative real-time polymerase chain reaction (PCR).
Table 2. The sequences of the primers used for quantitative real-time polymerase chain reaction (PCR).
GeneAccession No.Primer 5′–3′Size (bp)Tm °C
CuSODNM_001190422.1F:CAGGTCCTCACTTCAATCC25554.89
R:CCAAACGACTTCCACCAT
MnSODNM_214127.2F:GGACAAATCTGAGCCCTAACG15958.72
R:CCTTGTTGAAACCGAGCC
GPX1NM_214201.1F:TGGGGAGATCCTGAATTG18453.05
R:GATAAACTTGGGGTCGGT
GPX4NM_214407.1F:GATTCTGGCCTTCCCTTGC17358.5
R:TCCCCTTGGGCTGGACTTT
ZO-1XM_021098827.1F:CCTGCTTCTCCAAAAACTCTT25256.35
R:TTCTATGGAGCTCAACACCC
Claudin1NM_001244539.1F:AAGGACAAAACCGTGTGGGA24759.74
R:CTCTCCCCACATTCGAGATGATT
OccludinNM_001163647.2F:ACGAGCTGGAGGAAGACTGGATC23863.63
R:CCCTTAACTTGCTTCAGTCTATTG
IL-2NM_213861.1F:TGCACTAACCCTTGCACTCA10059.53
R:CAACTGTAAATCCAGCAGCAA
IL-4NM_214123.1F:CCCAACTGATCCCAACCCTG13960.32
R:AGCTCCATGCACGAGTTCTT
IL-8NM_213867.1F:TGAGAAGCAACAACAACAGCA12958.91
R:CAGCACAGGAATGAGGCATA
IL-10NM_214041.1F:GGGCTATTTGTCCTGACTGC10558.62
R:GGGCTCCCTAGTTTCTCTTCC
Abbreviations used: CuSOD: Cu-SOD; MnSOD: Mn-SOD; GPX1: glutathione peroxidase 1; GPX4: glutathione peroxidase 4; ZO-1: zonula occludens-1; IL-2: interleukin-2; IL-4: interleukin-4; IL-8: interleukin-8; IL-10: interleukin-10.
Table 3. Effects of dietary supplementation of coated cysteamine on growth performance of pigs induced by diquat.
Table 3. Effects of dietary supplementation of coated cysteamine on growth performance of pigs induced by diquat.
ItemsControlDiquatCys + Diquatp Value
Initial weight kg9.04 ± 0.509.04 ± 0.439.16 ± 0.230.819
Final weight kg16.64 ± 0.78 a14.54 ± 1.18 b15.83 ± 1.38 a0.010
1–7 days
ADG kg/d0.42 ± 0.110.37 ± 0.050.40 ± 0.060.420
ADFI kg/d0.70 ± 0.080.74 ± 0.070.72 ± 0.060.842
F/G1.71 ± 0.261.92 ± 0.291.88 ± 0.160.164
8–14 days
ADG kg/d0.36 ± 0.040.37 ± 0.050.33 ± 0.050.822
ADFI kg/d0.71 ± 0.060.73 ± 0.060.70 ± 0.090.411
F/G1.93 ± 0.202.00 ± 0.242.08 ± 0.650.113
15–21 days
ADG kg/d0.36 ± 0.05 a0.16 ± 0.15 b0.24 ± 0.04 b0.040
ADFI kg/d0.59 ± 0.04 a0.45 ± 0.16 b0.52 ± 0.06 ab0.022
F/G1.49 ± 0.522.16 ± 0.641.76 ± 1.360.371
Note: ADG: average daily gain; ADFI: average daily feed intake; F/G: feed-to-gain ratio. Results are expressed as means ± SEM (n = 8). Means in the same row with different letters were significantly different (p < 0.05).
Table 4. Effects of dietary supplementation of coated cysteamine on serum biochemical indexes of pigs induced by diquat.
Table 4. Effects of dietary supplementation of coated cysteamine on serum biochemical indexes of pigs induced by diquat.
ItemsControlDiquatCys + Diquatp Value
TP g/L61.92 ± 1.91 a62.14 ± 1.45 a55.47 ± 2.98 b<0.001
ALB g/L32.00 ± 2.00 b36.98 ± 4.89 a28.68 ± 1.85 b0.002
ALT U/L61.15 ± 15.21 a35.86 ± 6.44 b61.97 ± 2.48 a0.001
AST U/L67.67 ± 13.6563.20 ± 32.7157.83 ± 9.410.704
ALP U/L495.83 ± 40.45 a319.20 ± 65.98 b470.33 ± 163.18 a0.036
CHOL mmol/L2.91 ± 0.222.94 ± 0.402.49 ± 0.490.118
TG mmol/L0.64 ± 0.120.62 ± 0.220.57 ± 0.120.711
GLU mmol/L3.90 ± 1.38 b5.62 ± 0.40 a3.63 ± 1.03 b0.016
BUN mmol/L3.13 ± 0.963.26 ± 0.503.23 ± 0.480.949
IgA μg/mL796.84 ± 22.31 a514.42 ± 161.75 b583.16 ± 118.98 b0.033
IgG μg/mL8437.97 ± 943.92 a6158.59 ± 907.82 b7697.12 ± 738.59 a0.001
IgM μg/mL489.73 ± 107.78396.12 ± 104.85449.36 ± 90.260.304
Note: TP: total protein; ALB: albumin; ALT: alanine aminotransferase; AST: aspartate aminotransferase; ALP: alkaline phosphatase; CHOL: cholesterol; TG: triglycerides; GLU: glucose; BUN: blood urea nitrogen; IgA: immunoglobulin A; IgG: immunoglobulin G; IgM: immunoglobulin M. Results are expressed as means ± SEM (n = 8). Means in the same row with different letters were significantly different (p < 0.05).
Table 5. Effect of dietary supplementation of coated cysteamine on serum amino acids in pigs induced by diquat.
Table 5. Effect of dietary supplementation of coated cysteamine on serum amino acids in pigs induced by diquat.
Items (μg/mL)ControlDiquatCys + Diquatp Value
Essential Amino
Lys12.61 ± 2.3410.78 ± 1.6911.04 ± 0.970.225
Phe4.14 ± 0.513.69 ± 0.423.43 ± 0.650.115
Thr5.72 ± 1.005.00 ± 1.665.14 ± 0.960.591
Val9.10 ± 1.728.24 ± 1.297.14 ± 1.490.145
Met1.29 ± 0.321.04 ± 0.191.03 ± 0.330.274
His1.00 ± 0.251.27 ± 0.370.80 ± 0.230.065
Ile6.01 ± 1.27 a4.39 ± 0.65 b5.83 ± 0.99 a0.046
Leu8.50 ± 1.717.83 ± 0.877.62 ± 1.710.607
Tyr4.58 ± 0.654.19 ± 0.884.39 ± 0.870.730
Non-essential Amino
Glu12.82 ± 4.0214.91 ± 2.3811.78 ± 1.540.272
Arg8.70 ± 2.189.43 ± 2.318.28 ± 1.680.684
Ser7.35 ± 0.97 a5.61 ± 0.49 b7.47 ± 0.48 a0.002
Asp0.70 ± 0.17 a1.03 ± 0.38 b0.62 ± 0.14 a0.045
Ala17.97 ± 3.4821.30 ± 2.6118.27 ± 2.890.191
Gly41.26 ± 5.51 a37.09 ± 4.90 ab32.37 ± 4.93 b0.043
Cys3.84 ± 0.553.46 ± 0.563.25 ± 0.770.314
Pro8.29 ± 0.898.26 ± 0.397.76 ± 0.250.320
Note: Lys: lysine; Phe: phenylalanine; Thr: threonine; Val: valine; Met: methionine; His: histidine; Ile: isoleucine; Leu: leucine; Tyr: tyrosine; Glu: glutamic acid; Arg: arginine; Ser: serine; Asp: aspartic acid; Ala: alanine; Gly: glycine; Cys: cysteine; Pro: proline. Results are expressed as means ± SEM (n = 8). Means in the same row with different letters were significantly different (p < 0.05).
Table 6. Effects of dietary supplementation of coated cysteamine on jejunal morphology of pigs induced by diquat.
Table 6. Effects of dietary supplementation of coated cysteamine on jejunal morphology of pigs induced by diquat.
ItemsControlDiquatCys + Diquatp-Value
Villous height, μm458.99 ± 32.02 a362.99 ± 66.59 b424.23 ± 66.36 ab0.060
Crypt depth, μm202.09 ± 17.79206.93 ± 32.97200.66 ± 13.770.904
Villous height/Crypt depth2.43 ± 0.27 a2.02 ± 0.25 b2.12 ± 0.23 ab0.056
Note: Results are expressed as means ± SEM (n = 8). Means in the same row with different letters were significantly different (p < 0.05).
Table 7. Effect of dietary supplementation of coated cysteamine on the serum antioxidant indexes of pigs induced by diquat.
Table 7. Effect of dietary supplementation of coated cysteamine on the serum antioxidant indexes of pigs induced by diquat.
ItemsControlDiquatCys + Diquatp-Value
MPO ng/g1573.89 ± 799.261773.90 ± 566.791044.81 ± 112.820.168
CAT U/mg prot0.13 ± 0.110.11 ± 0.090.18 ± 0.020.503
SOD U/g prot12.46 ± 7.69 b11.17 ± 7.47 b37.35 ± 22.28 a0.016
MDA nmol/g port3.14 ± 3.225.95 ± 4.332.82 ± 2.010.287
T-AOC U/g0.63 ± 0.160.88 ± 0.250.75 ± 0.090.112
Note: MPO: myeloperoxidase; CAT: catalase; SOD: superoxide dismutase; MDA: malondialdehyde; T-AOC: total antioxidant capacity. Results are expressed as means ± SEM (n = 8). Means in the same row with different letters were significantly different (p < 0.05).
Publisher’s Note: MDPI stays neutral with regard to jurisdictional claims in published maps and institutional affiliations.

Share and Cite

MDPI and ACS Style

Wang, S.; Bai, M.; Xu, K.; Shao, Y.; Yang, Z.; Xiong, X.; Huang, R.; Li, Y.; Liu, H. Effects of Coated Cysteamine on Oxidative Stress and Inflammation in Weaned Pigs. Animals 2021, 11, 2217. https://doi.org/10.3390/ani11082217

AMA Style

Wang S, Bai M, Xu K, Shao Y, Yang Z, Xiong X, Huang R, Li Y, Liu H. Effects of Coated Cysteamine on Oxidative Stress and Inflammation in Weaned Pigs. Animals. 2021; 11(8):2217. https://doi.org/10.3390/ani11082217

Chicago/Turabian Style

Wang, Shanshan, Miaomiao Bai, Kang Xu, Yirui Shao, Zhe Yang, Xia Xiong, Ruilin Huang, Yao Li, and Hongnan Liu. 2021. "Effects of Coated Cysteamine on Oxidative Stress and Inflammation in Weaned Pigs" Animals 11, no. 8: 2217. https://doi.org/10.3390/ani11082217

APA Style

Wang, S., Bai, M., Xu, K., Shao, Y., Yang, Z., Xiong, X., Huang, R., Li, Y., & Liu, H. (2021). Effects of Coated Cysteamine on Oxidative Stress and Inflammation in Weaned Pigs. Animals, 11(8), 2217. https://doi.org/10.3390/ani11082217

Note that from the first issue of 2016, this journal uses article numbers instead of page numbers. See further details here.

Article Metrics

Back to TopTop