Mitigating the Growth, Biochemical Changes, Genotoxic and Pathological Effects of Copper Toxicity in Broiler Chickens by Supplementing Vitamins C and E
Abstract
Simple Summary
Abstract
1. Introduction
2. Material and Methods
2.1. Experimental Birds, Diet, and Protocol
2.2. Growth Performance
2.3. Sampling
2.4. Blood Biochemical Studies
2.5. Detection of DNA Damage
2.6. Histopathological Investigations
2.7. Statistical Analysis
3. Results
3.1. Clinical Signs and Body Performance
3.2. Serum Levels of Liver Biomarkers
3.3. DNA Damage
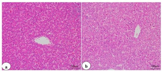
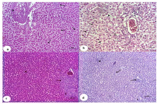
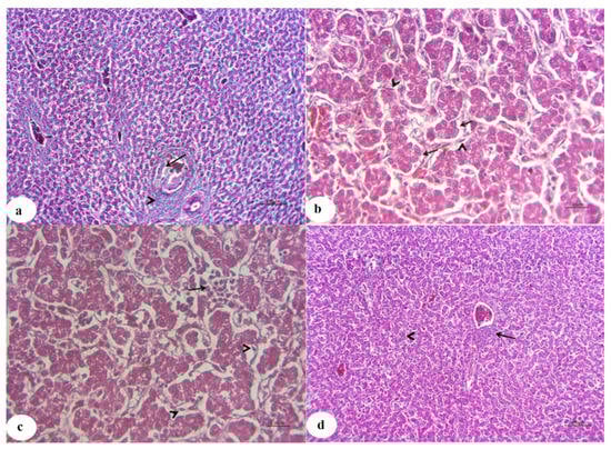
3.4. Histopathological Findings
4. Discussion
5. Conclusions
Author Contributions
Funding
Institutional Review Board Statement
Informed Consent Statement
Data Availability Statement
Acknowledgments
Conflicts of Interest
References
- Samanta, B.; Biswas, A.; Ghosh, P. Effects of dietary copper supplementation on production performance and plasma biochemical parameters in broiler chickens. Br. Poult. Sci. 2011, 52, 573–577. [Google Scholar] [CrossRef]
- Spatari, S.; Bertram, M.; Fuse, K.; Graedel, T.E.; Rechberger, H. The contemporary European copper cycle: 1 year stocks and flows. Ecol. Econom. 2002, 42, 27–42. [Google Scholar] [CrossRef]
- Ozcelik, D.; Ozaras, R.; Gurel, Z.; Uzun, H.; Aydin, S. Copper-mediated oxidative stress in rat liver. Biol. Trace Element Res. 2003, 96, 209–215. [Google Scholar] [CrossRef]
- Wang, Y.; Zhao, H.; Shao, Y.; Liu, J.; Li, J.; Luo, L.; Xing, M. Copper (II) and/or arsenite-induced oxidative stress cascades apoptosis and autophagy in the skeletal muscles of chicken. Chemosphere 2018, 206, 597–605. [Google Scholar] [CrossRef]
- Yruela, I. Copper in plants. Brazil. J. Plant Physiol. 2005, 17, 145–156. [Google Scholar] [CrossRef]
- NRC. Copper in Drinking Water; National Academy Press: Washington, DC, USA, 2000. [Google Scholar]
- Linder, M.C.; Hazegh-Azam, M. Copper biochemistry and molecular biology. Am. J. Clin. Nutr. 1996, 63, 797S–811S. [Google Scholar] [PubMed]
- Liu, H.; Guo, H.; Jian, Z.; Cui, H.; Fang, J.; Zuo, Z.; Deng, J.; Li, Y.; Wang, X.; Zhao, L. Copper induces oxidative stress and apoptosis in the mouse liver. Oxid. Med. Cell. Longev. 2020, 2020, 1359164. [Google Scholar] [CrossRef]
- Lu, L.; Wang, R.L.; Zhang, Z.J.; Steward, F.A.; Luo, X.; Liu, B. Effect of dietary supplementation with copper sulfate or tribasic copper chloride on the growth performance, liver copper concentrations of broilers fed in floor pens, and stabilities of vitamin E and phytase in feeds. Biol. Trace Element Res. 2010, 138, 181–189. [Google Scholar] [CrossRef]
- Zhao, L.; Cui, H.; Yang, F.; Peng, X.; Deng, J. Effects of high dietary copper on hepatic oxidation and hepatocyte apoptosis in ducklings. Chin. Vet. Sci. 2008, 38, 54–58. [Google Scholar]
- Wang, Y.; Zhao, H.; Shao, Y.; Liu, J.; Li, J.; Xing, M. Copper or/and arsenic induce oxidative stress-cascaded, nuclear factor kappa B-dependent inflammation and immune imbalance, trigging heat shock response in the kidney of chicken. Oncotarget 2017, 8, 98103. [Google Scholar] [CrossRef][Green Version]
- Świątkiewicz, S.; Arczewska-Włosek, A.; Jozefiak, D. The efficacy of organic minerals in poultry nutrition: Review and implications of recent studies. World Poult. Sci. J. 2014, 70, 475–486. [Google Scholar] [CrossRef]
- Gaetke, L.M.; Chow, C.K. Copper toxicity, oxidative stress, and antioxidant nutrients. Toxicology 2003, 189, 147–163. [Google Scholar] [CrossRef]
- Ajuwon, O.R.; Idowu, O. Vitamin C attenuates copper-induced oxidative damage in broiler chickens. Afr. J. Biotechnol. 2010, 9, 7525–7530. [Google Scholar]
- Vantress, C. Cobb Broiler Management Guide. 2012. Available online: https://www.cobb-vantress.com/assets/5c7576a214/Broiler-guide-R1.pdf (accessed on 2 April 2021).
- Giambrone, J.; Clay, R.P. Vaccination of day-old broiler chicks against Newcastle disease and infectious bursal disease using commercial live and/or inactivated vaccines. Avian Diseases 1986, 30, 557–561. [Google Scholar] [CrossRef]
- Cinar, M.; Yildirim, E.; Yigit, A.A.; Yalcinkaya, I.; Duru, O.; Kisa, U.; Atmaca, N. Effects of dietary supplementation with vitamin C and vitamin E and their combination on growth performance, some biochemical parameters, and oxidative stress induced by copper toxicity in broilers. Biol. Trace Element Res. 2014, 158, 186–196. [Google Scholar] [CrossRef]
- Sahin, K.; Sahin, N.; Yaralioglu, S. Effects of vitamin C and vitamin E on lipid peroxidation, blood serum metabolites, and mineral concentrations of laying hens reared at high ambient temperature. Biol. Trace Element Res. 2002, 85, 35–45. [Google Scholar] [CrossRef]
- Amer, S.A.; Al-Khalaifah, H.S.; AlSadek, D.M.; Roushdy, E.M.; Sherief, W.R.; Farag, M.F.; Altohamy, D.E.; Abdel-Wareth, A.A.; Metwally, A.E. Effect of Dietary Medium-Chain α-Monoglycerides on the Growth Performance, Intestinal Histomorphology, Amino Acid Digestibility, and Broiler Chickens’ Blood Biochemical Parameters. Animals 2021, 11, 57. [Google Scholar] [CrossRef] [PubMed]
- Hashem, M.; Gamal El-Dein, I.; Eltahawy, S. Clinicopathological studies on the ameliorative effects of selenium and vitamin E against cadmium toxicity in chickens. Zagazig Vet. J. 2019, 47, 277–287. [Google Scholar] [CrossRef]
- Association, A.V.M. AVMA Guidelines for the Euthanasia of Animals: 2013 Edition; American Veterinary Medical Association: Schaumburg, IL, USA, 2013. [Google Scholar]
- Reitman, S.; Frankel, S. A colorimetric method for the determination of serum glutamic oxalacetic and glutamic pyruvic transaminases. Am. J. Clin. Pathol. 1957, 28, 56–63. [Google Scholar] [CrossRef]
- Moss, D.W. Alkaline phosphatase isoenzymes. Clin. Chem. 1982, 28, 2007–2016. [Google Scholar] [CrossRef]
- Grant, G. Amino acids and proteins. In Fund Clinical Chemistry; Academic Press: New York, NY, USA, 1987. [Google Scholar]
- Doumas, B.; Baysa, D.; Carter, R.; Peters, T.; Schaffer, R. Determination of serum total protein. Clin. Chem. 1981, 27, 1642. [Google Scholar] [CrossRef] [PubMed]
- Doumas, B.; Biggs, H. Determination of Serum Albumin in Standard Method of Clinical Chemistry; Cooper, G.R., Ed.; Academic Press: New York, NY, USA, 1972; Volume 7. [Google Scholar]
- Zöllner, N.; Kirsch, K. Über die quantitative Bestimmung von Lipoiden (Mikromethode) mittels der vielen natürlichen Lipoiden (allen bekannten Plasmalipoiden) gemeinsamen Sulfophosphovanillin-Reaktion. Zeit. Ges. Exp. Med. 1962, 135, 545–561. [Google Scholar] [CrossRef]
- Roeschlau, P.; Bernt, E.; Gruber, W. Enzymatic determination of total cholesterol in serum (author’s transl). Zeit. Klin. Chem. klin. Biochem. 1974, 12, 403–407. [Google Scholar]
- McGowan, M.W.; Artiss, J.D.; Strandbergh, D.R.; Zak, B. A peroxidase-coupled method for the colorimetric determination of serum triglycerides. Clin. Chem. 1983, 29, 538–542. [Google Scholar] [CrossRef]
- Young, D. Effects of Disease on Clinical Lab Tests, 4th ed.; Young, D.S., Friedman, R.B., Eds.; AACC Press: Washington, DC, USA, 2001. [Google Scholar]
- Friedewald, W.T.; Levy, R.I.; Fredrickson, D.S. Estimation of the concentration of low-density lipoprotein cholesterol in plasma, without use of the preparative ultracentrifuge. Clin. Chem. 1972, 18, 499–502. [Google Scholar] [CrossRef] [PubMed]
- Singh, N.P.; McCoy, M.T.; Tice, R.R.; Schneider, E.L. A simple technique for quantitation of low levels of DNA damage in individual cells. Exp. Cell Res. 1988, 175, 184–191. [Google Scholar] [CrossRef]
- Suvarna, K.S.; Layton, C.; Bancroft, J.D. Bancroft’s Theory and Practice of Histological Techniques E-Book; Elsevier Health Sciences: Amsterdam, The Netherlands, 2018. [Google Scholar]
- Duncan, D.B. Multiple range and multiple F tests. Biometrics 1955, 11, 1–42. [Google Scholar] [CrossRef]
- Jegede, A.; Oduguwa, O.; Bamgbose, A.; Fanimo, A.; Nollet, L. Growth response, blood characteristics and copper accumulation in organs of broilers fed on diets supplemented with organic and inorganic dietary copper sources. Br. Poult. Sci. 2011, 52, 133–139. [Google Scholar] [CrossRef]
- Scott, A.; Vadalasetty, K.; Łukasiewicz, M.; Jaworski, S.; Wierzbicki, M.; Chwalibog, A.; Sawosz, E. Effect of different levels of copper nanoparticles and copper sulphate on performance, metabolism and blood biochemical profiles in broiler chicken. J. Anim. Physiol. Anim. Nutr. 2018, 102, e364–e373. [Google Scholar] [CrossRef]
- Nguyen, H.; Morgan, N.; Roberts, J.; Swick, R.; Toghyani, M. Copper hydroxychloride is more efficacious than copper sulfate in improving broiler chicken’s growth performance, both at nutritional and growth-promoting levels. Poult. Sci. 2020, 99, 6964–6973. [Google Scholar] [CrossRef]
- Oguz, E.O.; Yuksel, H.; Enli, Y.; Tufan, A.C.; Turgut, G. The effects of copper sulfate on liver histology and biochemical parameters of term ross broiler chicks. Biol. Trace Element Res. 2010, 133, 335–341. [Google Scholar] [CrossRef] [PubMed]
- Oğuz, E.; Enli, Y.; Tufan, A.; Turgut, G. Toxic effects of copper sulfate on the brains of term Hubbard broiler chicks: A stereological and biochemical study. Biotech. Histochem. 2014, 89, 23–28. [Google Scholar] [CrossRef] [PubMed]
- Shahzad, M.N.; Javed, M.T.; Shabir, S.; Irfan, M.; Hussain, R. Effects of feeding urea and copper sulphate in different combinations on live body weight, carcass weight, percent weight to body weight of different organs and histopathological tissue changes in broilers. Exp. Toxicol. Pathol. 2012, 64, 141–147. [Google Scholar] [CrossRef]
- Luo, X.; Ji, F.; Lin, Y.; Steward, F.; Lu, L.; Liu, B.; Yu, S. Effects of dietary supplementation with copper sulfate or tribasic copper chloride on broiler performance, relative copper bioavailability, and oxidation stability of vitamin E in feed. Poult. Sci. 2005, 84, 888–893. [Google Scholar] [CrossRef] [PubMed]
- Wang, Z.; Cerrate, S.; Coto, C.; Yan, F.; Waldroup, P. Evaluation of Mintrex copper as a source of copper in broiler diets. Int J Poult Sci 2007, 6, 308–313. [Google Scholar] [CrossRef]
- Kumar, P.; Biswas, A.; Bharti, V.; Srivastava, R. Effects of dietary copper supplementation on performance and blood biochemical parameters in broiler chickens at cold desert region in India. J. Vet. Sci. Photon 2013, 114, 166–172. [Google Scholar]
- Asmatullah, A.; Asma, A.; Latif, A.; Shakoori, A. Effect of hexavalent chromium on egg laying capacity, hatchability of eggs, thickness of egg shell and post-hatching development of Gallus domesticus. Asian Aust. J. Anim. Sci. 1999, 12, 944–950. [Google Scholar] [CrossRef]
- Kim, J.; Kim, J.; Shin, J.; Kil, D.Y. Relative bioavailability of copper in tribasic copper chloride to copper in copper sulfate for laying hens based on egg yolk and feather copper concentrations. Poult. Sci. 2016, 95, 1591–1597. [Google Scholar] [CrossRef]
- Abduljaleel, S.A. Toxicity Of Copper And Cobalt In Chicken (Gallus Gallus Domestics Assessment Of Body Weight And Metal Content In Tissues After Metal Dietary Supplements. Bas. J. Vet. Res. 2016, 15, 71–82. [Google Scholar] [CrossRef]
- Zhou, Q.; Zhu, J.; Liu, B.; Qiu, J.; Lu, X.; Curtin, B.; Ji, F.; Yu, D. Effects of High-Dose of Copper Amino Acid Complex on Laying Performance, Hematological and Biochemical Parameters, Organ Index, and Histopathology in Laying Hens. Biol. Trace Element Res. 2020, 1–8. [Google Scholar] [CrossRef]
- Miles, R.; O’keefe, S.; Henry, P.; Ammerman, C.; Luo, X. The effect of dietary supplementation with copper sulfate or tribasic copper chloride on broiler performance, relative copper bioavailability, and dietary prooxidant activity. Poult. Sci. 1998, 77, 416–425. [Google Scholar] [CrossRef]
- Yigit, A.; Cinar, M.; Yildirim, E. The effects of levamisole on oxidative stress induced by copper intoxication in broilers. N. Z. Vet. J. 2012, 60, 273–277. [Google Scholar] [CrossRef]
- Funk, M.; Baker, D. Toxicity and tissue accumulation of copper in chicks fed casein and soy-based diets. J. Anim. Sci. 1991, 69, 4505–4511. [Google Scholar] [CrossRef]
- Morsy, E.A.; Hussien, A.M.; Ibrahim, M.A.; Farroh, K.Y.; Hassanen, E.I. Cytotoxicity and genotoxicity of copper oxide nanoparticles in chickens. Biol. Trace Element Res. 2021, 1–15. [Google Scholar] [CrossRef]
- Zhu, Y.; Li, S.; Sun, Q.; Yang, X. Effect of in ovo feeding of vitamin C on antioxidation and immune function of broiler chickens. Animal 2019, 13, 1927–1933. [Google Scholar] [CrossRef] [PubMed]
- Gouda, A.; Amer, S.A.; Gabr, S.; Tolba, S.A. Effect of dietary supplemental ascorbic acid and folic acid on the growth performance, redox status, and immune status of broiler chickens under heat stress. Trop. Anim. Health Prod. 2020, 52, 2987–2996. [Google Scholar] [CrossRef]
- Amer, S.A.; Mohamed, W.A.; Gharib, H.S.; Al-Gabri, N.A.; Gouda, A.; Elabbasy, M.T.; Abd El-Rahman, G.I.; Omar, A.E. Changes in the growth, ileal digestibility, intestinal histology, behavior, fatty acid composition of the breast muscles, and blood biochemical parameters of broiler chickens by dietary inclusion of safflower oil and vitamin C. BMC Vet. Res. 2021, 17, 1–18. [Google Scholar] [CrossRef] [PubMed]
- Azeez, O.; Braimah, S. Mitigating Effect of Vitamin-E on Copper Sulphate-Induced Toxicity in African Catfish (Clarias gariepinus). Eur. J. Med. Health Sci. 2020, 2, 411. [Google Scholar] [CrossRef]
- Khara, H.; Sayyadborani, M.; SayyadBorani, M. Effects of α-tocopherol (vitamin E) and ascorbic acid (vitamin C) and their combination on growth, survival and some haematological and immunological parameters of Caspian brown trout, Salmo Trutta Caspius juveniles. Turk. J. Fish. Aquat. Sci. 2016, 16, 385–393. [Google Scholar] [CrossRef]
- Ibrahim, R.E.; Ahmed, S.A.; Amer, S.A.; Al-Gabri, N.A.; Ahmed, A.I.; Abdel-Warith, A.-W.A.; Younis, E.-S.M.; Metwally, A.E. Influence of vitamin C feed supplementation on the growth, antioxidant activity, immune status, tissue histomorphology, and disease resistance in Nile tilapia, Oreochromis niloticus. Aquacult. Rep. 2020, 18, 100545. [Google Scholar] [CrossRef]
- Ahmed, S.A.; Ibrahim, R.E.; Farroh, K.Y.; Moustafa, A.A.; Al-Gabri, N.A.; Alkafafy, M.; Amer, S.A. Chitosan vitamin E nanocomposite ameliorates the growth, redox, and immune status of Nile tilapia (Oreochromis niloticus) reared under different stocking densities. Aquaculture 2021, 541, 736804. [Google Scholar] [CrossRef]
- Ibrahim, R.E.; Amer, S.A.; Farroh, K.Y.; Al-Gabri, N.A.; Ahmed, A.I.; El-Araby, D.A.; Ahmed, S.A. The effects of chitosan-vitamin C nanocomposite supplementation on the growth performance, antioxidant status, immune response, and disease resistance of Nile tilapia (Oreochromis niloticus) fingerlings. Aquaculture 2021, 534, 736269. [Google Scholar] [CrossRef]
- Gao, J.; Lin, H.; Wang, X.; Song, Z.; Jiao, H. Vitamin E supplementation alleviates the oxidative stress induced by dexamethasone treatment and improves meat quality in broiler chickens. Poult. Sci. 2010, 89, 318–327. [Google Scholar] [CrossRef] [PubMed]
- Selim, N.; Youssef, S.; Abdel-Salam, A.; Nada, S.A. Evaluations of some natural antioxidant sources in broiler diets: 1-effect on growth, physiological and immunological performance of broiler chicks. Int. J. Poult. Sci. 2013, 12, 561–571. [Google Scholar] [CrossRef][Green Version]
- Franchini, A.; Canti, M.; Manfreda, G.; Bertuzzi, S.; Asdrubali, G.; Franciosi, C. Vitamin E as adjuvant in emulsified vaccine for chicks. Poult. Sci. 1991, 70, 1709–1715. [Google Scholar] [CrossRef]
- Atta, A.H.; Fathy, S.; Gohar, M.; Jan, R.; Kamel, G.; Mouneir, S.M.; Nasr, S.M. Prolonged administration of high doses of copper nicotinate to rats: Effect on biochemical and cellular constituents of blood and on copper level in serum, liver and muscle. Int. J. Med. Med. Sci. 2009, 1, 178–183. [Google Scholar]
- Zhang, S.; Noordin, M.; Rahman, S.; Haron, J. Effects of copper overload on hepatic lipid peroxidation and antioxidant defense in rats. Vet. Hum. Toxicol. 2000, 42, 261–264. [Google Scholar] [PubMed]
- Letelier, M.E.; Lepe, A.M.; Faúndez, M.; Salazar, J.; Marín, R.; Aracena, P.; Speisky, H. Possible mechanisms underlying copper-induced damage in biological membranes leading to cellular toxicity. Chem. Biol. Interact. 2005, 151, 71–82. [Google Scholar] [CrossRef] [PubMed]
- Coles, E. Veterinary clinical Pathology, 4th ed.; WB Saunders Company: London, UK, 1986; pp. 136–170. [Google Scholar]
- Abdelazeim, S.A.; Shehata, N.I.; Aly, H.F.; Shams, S.G.E. Amelioration of oxidative stress-mediated apoptosis in copper oxide nanoparticles-induced liver injury in rats by potent antioxidants. Sci. Rep. 2020, 10, 1–14. [Google Scholar] [CrossRef]
- Torki, M.; Kaviani, K.; Ghasemi, H. Effects of diet supplementation by copper sulphate and ginger essential oil on growth performance and plasma biochemical parameters of broiler chickens under high environmental temperature conditions. Eur. Poult. Sci. 2014, 78, 62. [Google Scholar]
- Almansour, M.I. Biochemical effects of copper sulfate, after chronic treatment in quail. J. Biol. Sci. 2006, 6, 1077–1082. [Google Scholar]
- Prabu, S.M.; Shagirtha, K.; Renugadevi, J. Naringenin in combination with vitamins C and E potentially protects oxidative stress-mediated hepatic injury in cadmium-intoxicated rats. J. Nutr. Sci. Vitaminol. 2011, 57, 177–185. [Google Scholar] [CrossRef]
- Idowu, O.; Ajuwon, O.; Fafiolu, A.; Oso, A. Modulation of Cholesterol and Copper Residue Levels in Muscles and Blood Serum of Finishing Broiler Chickens Fed Copper and. Pak. J. Nutr. 2011, 10, 781–785. [Google Scholar] [CrossRef][Green Version]
- Abou-Kassem, D.; Mahrose, K.M.; Alagawany, M. The role of vitamin E or clay in growing Japanese quail fed diets polluted by cadmium at various levels. Animal 2016, 10, 508–519. [Google Scholar] [CrossRef]
- Mashkoor, J.; Khan, A.; Khan, M.Z.; Hussain, I. Chromium toxicity and oxidative stress in broiler chicks and its amelioration with vitamin E and bentonite. Int. J. Agric. Biol. 2016, 18, 1103–1108. [Google Scholar] [CrossRef]
- Bhattacharyya, S.; Mehta, P. The hepatoprotective potential of Spirulina and vitamin C supplemention in cisplatin toxicity. Food Funct. 2012, 3, 164–169. [Google Scholar] [CrossRef] [PubMed]
- Rana, T.; Bera, A.K.; Das, S.; Pan, D.; Bandyopadhyay, S.; Bhattacharya, D.; De, S.; Sikdar, S.; Das, S.K. Effect of ascorbic acid on blood oxidative stress in experimental chronic arsenicosis in rodents. Food Chem. Toxicol. 2010, 48, 1072–1077. [Google Scholar] [CrossRef]
- Cinar, M.; Yigit, A.A.; Yalcinkaya, I.; Oruc, E.; Duru, O.; Arslan, M. Cadmium induced changes on growth performance, some biochemical parameters and tissue in broilers: Effects of vitamin C and vitamin E. Asian J. Anim. Vet. Adv. 2011, 6, 923–934. [Google Scholar] [CrossRef]
- El-Bahr, S.; Mandour, A.; Hashem, A. Effect of dietary supplementation of selected trace element or ascorbic acid on protein patterns of pre-immunized broiler chickens. Pharm. Pharmacol. Int. J. 2017, 5, 102–110. [Google Scholar]
- Imik, H.; Ozkanlar, S.; Kaynar, O.; Koc, M. Effects of vitamin E, C, and α-lipoic acid supplementation on the serum glucose, lipid profile, and proteins in quails under heat stress. Bull Vet. Inst. Pulawy 2009, 53, 521–526. [Google Scholar]
- Bakalli, R.I.; Pesti, G.M.; RAGLAND, W.L.; KONJUFCA, V. Dietary copper in excess of nutritional requirement reduces plasma and breast muscle cholesterol of chickens. Poult. Sci. 1995, 74, 360–365. [Google Scholar] [CrossRef]
- Wu, X.; Zhu, M.; Jiang, Q.; Wang, L. Effects of Copper Sources and Levels on Lipid Profiles, Immune Parameters, Antioxidant Defenses, and Trace Element Residues in Broilers. Biol. Trace Element Res. 2020, 194, 251–258. [Google Scholar] [CrossRef]
- Konjufca, V.; Pesti, G.; Bakalli, R. Modulation of cholesterol levels in broiler meat by dietary garlic and copper. Poult. Sci. 1997, 76, 1264–1271. [Google Scholar] [CrossRef]
- Paik, I.; Seo, S.; Um, J.; Chang, M.; Lee, B. Effects of supplementary copper-chelate on the performance and cholesterol level in plasma and breast muscle of broiler chickens. Asian Aust. J. Anim. Sci. 1999, 12, 794–798. [Google Scholar] [CrossRef]
- Pearce, J.; Jackson, N.; Stevenson, M.H. The effects of dietary intake and of dietary concentration of copper sulphate on the laying domestic fowl: Effects on some aspects of lipid, carbohydrate and amino acid metabolism. Br. Poult. Sci. 1983, 24, 337–348. [Google Scholar] [CrossRef] [PubMed]
- Steinberg, D. Low density lipoprotein oxidation and its pathobiological significance. J. Biol. Chem. 1997, 272, 20963–20966. [Google Scholar] [CrossRef] [PubMed]
- Burkitt, M.J. A critical overview of the chemistry of copper-dependent low density lipoprotein oxidation: Roles of lipid hydroperoxides, α-tocopherol, thiols, and ceruloplasmin. Arch. Biochem. Biophys. 2001, 394, 117–135. [Google Scholar] [CrossRef] [PubMed]
- Ganong, W.F. Cardiovascular homeostasis in health and disease. In Review of Medical Physiology, 22nd ed.; McGraw Hill: New York, NY, USA, 2005; pp. 631–646. [Google Scholar]
- El-Hady, A.; Mohamed, A. Effect of dietary sources and levels of copper supplementation on growth performance, blood parameters and slaughter traits of broiler chickens. Egypt. Poult. Sci. J. 2019, 39, 897–912. [Google Scholar] [CrossRef]
- Niki, E. Interaction of ascorbate and α-tocopherol. Ann. N. Y. Acad. Sci. 1987, 498, 186–199. [Google Scholar] [CrossRef]
- Kies, C.; Harms, J.M. Copper absorption as affected by supplemental calcium, magnesium, manganese, selenium and potassium. Adv. Exp. Med. Biol. 1989, 258, 45–58. [Google Scholar]
- Van den Berg, G.; Yu, S.; Lemmens, A.; Beynen, A. Dietary ascorbic acid lowers the concentration of soluble copper in the small intestinal lumen of rats. Br. J. Nutr. 1994, 71, 701–707. [Google Scholar] [CrossRef] [PubMed][Green Version]
- Corona-Rivera, A.; Urbina-Cano, P.; Bobadilla-Morales, L.; de Jesús Vargas-Lares, J.; Ramírez-Herrera, M.A.; Mendoza-Magaña, M.L.; Troyo-Sanromán, R.; Díaz-Esquivel, P.; Corona-Rivera, J.R. Protective in vivo effect of curcumin on copper genotoxicity evaluated by comet and micronucleus assays. J. Appl. Genet. 2007, 48, 389–396. [Google Scholar] [CrossRef] [PubMed]
- Zhong, Y.; Feng, S.; Luo, Y.; Zhang, G.; Kong, Z. Evaluating the genotoxicity of surface water of Yangzhong city using the Vicia faba micronucleus test and the comet assay. Bullet. Environ. Contam. Toxicol. 2001, 67, 217–224. [Google Scholar] [CrossRef] [PubMed]
- Andrighetti-Fröhner, C.R.; Kratz, J.M.; Antonio, R.V.; Creczynski-Pasa, T.B.; Barardi, C.R.; Simões, C.M. In vitro testing for genotoxicity of violacein assessed by Comet and Micronucleus assays. Mutat. Res. Genet. Toxicol. Environ. Mut. 2006, 603, 97–103. [Google Scholar] [CrossRef] [PubMed]
- Urbina-Cano, P.; Bobadilla-Morales, L.; Ramírez-Herrera, M.A.; Corona-Rivera, J.R.; Mendoza-Magaña, M.L.; Troyo-Sanromán, R.; Corona-Rivera, A. DNA damage in mouse lymphocytes exposed to curcumin and copper. J. Appl. Genet. 2006, 47, 377–382. [Google Scholar] [CrossRef]
- Banu, B.S.; Ishaq, M.; Danadevi, K.; Padmavathi, P.; Ahuja, Y. DNA damage in leukocytes of mice treated with copper sulfate. Food Chem. Toxicol. 2004, 42, 1931–1936. [Google Scholar] [CrossRef]
- Nair, J.; Strand, S.; Frank, N.; Knauft, J.; Wesch, H.; Galle, P.R.; Bartsch, H. Apoptosis and age-dependant induction of nuclear and mitochondrial etheno-DNA adducts in Long-Evans Cinnamon (LEC) rats: Enhanced DNA damage by dietary curcumin upon copper accumulation. Carcinogenesis 2005, 26, 1307–1315. [Google Scholar] [CrossRef]
- Hayashi, M.; Kuge, T.; Endoh, D.; Nakayama, K.; Arikawa, J.; Takazawa, A.; Okui, T. Hepatic copper accumulation induces DNA strand breaks in the liver cells of Long-Evans Cinnamon strain rats. Biochem. Biophys. Res. Commun. 2000, 276, 174–178. [Google Scholar] [CrossRef]
- Bjelland, S.; Seeberg, E. Mutagenicity, toxicity and repair of DNA base damage induced by oxidation. Mutation Res. Fund. Mol. Mech. Mutag. 2003, 531, 37–80. [Google Scholar] [CrossRef]
- Tchounwou, P.B.; Newsome, C.; Williams, J.; Glass, K. Copper-induced cytotoxicity and transcriptional activation of stress genes in human liver carcinoma (HepG2) cells. In Proceedings of the International Symposium on Metal Ions in Biology and Medicine, Corsica, France, 18–23 May 2008; p. 285. [Google Scholar]
- Traber, M.G.; Stevens, J.F. Vitamins C and E: Beneficial effects from a mechanistic perspective. Free Rad. Biol. Med. 2011, 51, 1000–1013. [Google Scholar] [CrossRef]
- Jiraungkoorskul, W.; Sahaphong, S. Efficacy of ascorbic acid reducing waterborne copper toxicity in butterfish (Poronottus triacanthus). J. Biol. Sci. 2007, 7, 620–625. [Google Scholar] [CrossRef][Green Version]
- Assy, W.; Wasef, M.; Abass, M.; Elnegris, H. A Study of Short Term Chronic Pulmonary Toxicity, Neurotoxicity and Genotoxicity of Copper Oxide Nanoparticles and The Potential Protective Role of Vitamin E on Adult Male Albino Rats. Zagazig J. Forensic Med. 2019, 17, 1–18. [Google Scholar] [CrossRef]
- Zwolak, I. Protective effects of dietary antioxidants against vanadium-induced toxicity: A review. Oxid. Med. Cell. Longev. 2020, 2020, 1490316. [Google Scholar] [CrossRef] [PubMed]
- Baruah, S.; Goswami, S.; Kalita, D. Haematobiochemical and Pathological Alterations of Chronic Copper Toxicity in Ducks. J. Anim. Res. 2018, 8, 283–287. [Google Scholar]
- Liu, J.; Zhao, H.; Wang, Y.; Shao, Y.; Li, J.; Xing, M. Alterations of antioxidant indexes and inflammatory cytokine expression aggravated hepatocellular apoptosis through mitochondrial and death receptor-dependent pathways in Gallus gallus exposed to arsenic and copper. Environ. Sci. Pollut. Res. 2018, 25, 15462–15473. [Google Scholar] [CrossRef] [PubMed]
- Jackson, N.; Stevenson, M.H.; Kirkpatrick, G.M. Effects of the protracted feeding of copper sulphate-supplemented diets to laying, domestic fowl on egg production and on specific tissues, with special reference to mineral content. Br. J. Nutr. 1979, 42, 253–266. [Google Scholar] [CrossRef] [PubMed]
- Khatun, M.F.; Hasan, M.M.; Islam, R.; Sarkar, S.; Haque, M.A. Effect of spirulina (Spirulina platensis) and vitamin E on arsenic induced toxicity in Quail. Asian J. Med. Biol. Res. 2020, 6, 93–98. [Google Scholar] [CrossRef]




| Ingredients | Starter Stage (1–10 Day) | Grower Stage (11–22 Day) | Finisher Stage (23–42 Day) |
|---|---|---|---|
| Soybean meal, 48% | 34.66 | 28.2 | 25 |
| Yellow corn | 58 | 62 | 63.5 |
| Corn gluten, 60% | 1.5 | 3 | 3 |
| Wheat bran | -- | 1.1 | 1.8 |
| Soy oil | 2 | 2 | 3.26 |
| Calcium dibasic phosphate | 1.8 | 1.7 | 1.5 |
| Calcium carbonate | 1 | 1 | 1 |
| Premix * | 0.3 | 0.3 | 0.3 |
| Lysine, Hcl, 78% | 0.16 | 0.16 | 0.13 |
| Common salt | 0.3 | 0.3 | 0.3 |
| DL-Methionine, 98% | 0.18 | 0.14 | 0.11 |
| Anti-mycotoxin | 0.1 | 0.1 | 0.1 |
| Chemical composition (%) | |||
| ME, Kcal/Kg | 3047.51 | 3090.11 | 3178.56 |
| Crude protein | 22.16 | 20.42 | 19.09 |
| Crude fiber | 2.63 | 2.64 | 2.65 |
| Fat | 4.51 | 4.63 | 5.89 |
| Calcium | 0.97 | 0.94 | 0.88 |
| Available P | 0.48 | 0.45 | 0.41 |
| Methionine | 0.55 | 0.48 | 0.46 |
| Lysine | 1.37 | 1.20 | 1.09 |
| Parameters | Weeks | CON | CuSO4 | CuSO4 + Vit. C | CuSO4 + Vit. E | CuSO4 + Vit. C + Vit. E | p-Value |
|---|---|---|---|---|---|---|---|
| Int. BW | 43.8 ± 4.15 | 43.8 ± 4.14 | 44.0 ± 2.23 | 43.8 ± 2.77 | 43.4 ± 2.30 | 0.241 | |
| BW (g/bird) | 1st week | 159.0 ± 4.18 | 152.2 ± 6.83 | 153.0 ± 5.70 | 154.0 ± 5.47 | 156.0 ± 4.18 | 0.120 |
| 2nd week | 430 ± 16.95 a | 377 ± 20.73 c | 389 ± 7.41 c | 399.4 ± 11.33 bc | 422 ± 12.04 b | 0.001 | |
| 3rd week | 847 ± 24.64 a | 712 ± 23.87 d | 762 ± 09.08 c | 783 ± 09.08 c | 814 ± 21.03 b | 0.001 | |
| 4th week | 1281 ± 32.09 a | 1060 ± 39.21 d | 1149 ± 27.70 c | 1178 ± 16.43 c | 1221 ± 28.15 b | 0.009 | |
| 5th week | 1818 ± 44.24 a | 1500 ± 18.02 e | 1614 ± 35.07 d | 1663 ± 25.64 c | 1716 ± 42.48 b | 0.008 | |
| 6th week | 2430 ± 63.54 a | 2000 ± 25.49 d | 2136 ± 42.92 c | 2198 ± 44.38 c | 2271 ± 68.32 b | 0.001 | |
| BWG (g/bird) | 1st week | 115.2 ± 5.00 | 108.4 ± 7.56 | 109.0 ± 6.51 | 110.2 ± 3.27 | 112.6 ± 4.87 | 0.542 |
| 2nd week | 271 ± 16.35 a | 224.8 ± 37.92 c | 236 ± 8.94 bc | 250 ± 15.00 ab | 266 ± 12.44 b | 0.000 | |
| 3rd week | 417 ± 22.09 a | 335 ± 21.21 c | 373 ± 6.70 b | 383.6 ± 15.56 b | 392 ± 12.54 b | 0.000 | |
| 4th week | 434 ± 15.57 a | 348 ± 30.53 c | 387 ± 30.12 b | 395 ± 22.52 b | 407 ± 26.12 ab | 0.001 | |
| 5th week | 537 ± 33.27 a | 440 ± 27.15 c | 465 ± 21.50 bc | 485 ± 20.30 b | 495 ± 16.95 b | 0.001 | |
| 6th week | 612 ± 23.87 a | 500 ± 26.45 c | 522 ± 23.623 bc | 535 ± 26.45 bc | 555 ± 32.78 b | 0.000 | |
| Feed intake (g/bird) | 1st week | 144.5 ± 6.15 | 139.85 ± 7.25 | 140 ± 10.12 | 141 ± 9.20 | 142.4 ± 5.15 | 0.270 |
| 2nd week | 370 ± 20.15 | 325 ± 24.26 | 333 ± 15.14 | 348 ± 17.24 | 365 ± 35.10 | 0.752 | |
| 3rd week | 583 ± 35.00 a | 525 ± 26.14 c | 537 ± 19.15 b | 548 ± 36.09 b | 557 ± 24.10 ab | 0.000 | |
| 4th week | 700 ± 27.12 a | 625 ± 15.00 c | 635 ± 20.8 b | 650 ± 27.95 b | 660 ± 37.00 ab | 0.000 | |
| 5th week | 900 ± 33.14 a | 810 ± 31.13 c | 825 ± 16.9 b | 845 ± 32.09 b | 855 ± 28.4 b | 0.009 | |
| 6th week | 1070 ± 55.12 a | 950 ± 34.24 c | 965 ± 29.9 b | 977 ± 16.7 b | 999 ± 45.74 ab | 0.001 | |
| FCR | 1st week | 1.25 ± 0.05 | 1.29 ± 0.09 | 1.28 ± 0.07 | 1.27 ± 0.03 | 1.26 ± 0.05 | 0.483 |
| 2nd week | 1.36 ± 0.08 | 1.45 ± 0.12 | 1.41 ± 0.05 | 1.39 ± 0.08 | 1.39 ± 0.06 | 0.335 | |
| 3rd week | 1.40 ± 0.06 b | 1.57 ± 0.06 a | 1.44 ± 0.03 b | 1.43 ± 0.05 b | 1.42 ± 0.04 b | 0.000 | |
| 4th week | 1.61 ± 0.05 b | 1.79 ± 0.17 a | 1.65 ± 0.13 ab | 1.64 ± 0.09 ab | 1.62 ± 0.13 ab | 0.007 | |
| 5th week | 1.67 ± 0.10 b | 1.83 ± 0.08 a | 1.77 ± 0. 08 ab | 1.74 ± 0.07 ab | 1.71 ± 0.06 ab | 0.000 | |
| 6th week | 1.74 ± 0.06 b | 1.90 ± 0.10 a | 1.84 ± 0.08 ab | 1.82 ± 0.09 ab | 1.80 ± 0.08 ab | 0.000 |
| Parameters | CON | CuSO4 | CuSO4 + Vit. C | CuSO4 + Vit. E | CuSO4 + Vit. C + Vit. E | p-Value |
|---|---|---|---|---|---|---|
| ALT (U/L) | 9.30 ± 0.99 c | 21.60 ± 6.14 a | 16.60 ± 4.41 b | 15.60 ± 4.41 b | 13.10 ± 3.29 bc | 0.001 |
| AST (U/L) | 150.5 ± 10.9 d | 193.7 ± 9.2 a | 177.9 ± 5.6 b | 171.8 ± 7.4 bc | 162.6 ± 13.9 cd | 0.001 |
| ALP (U/L) | 620 ± 71.2 c | 727 ± 58.3 a | 711 ± 99.2 a | 702 ± 95.1 a | 689 ± 57.5 b | 0.001 |
| TP (g/dL) | 3.69 ± 0.20 a | 3.33 ± 0.18 b | 3.52 ± 0.07 b | 3.65 ± 0.12 a | 3.67 ± 0.32 a | 0.000 |
| Albumin (g/dL) | 1.99 ± 0.13 | 1.83 ± 0.15 | 1.84 ± 0.15 | 1.94 ± 0.16 | 1.95 ± 0.15 | 0.453 |
| Globulins (g/dL) | 1.70 ± 0.08 a | 1.50 ± 0.09 b | 1.68 ± 0.12 a | 1.71 ± 0.19 a | 1.72 ± 0.13 a | 0.000 |
| Parameters | CON | CuSO4 | CuSO4 + Vit. C | CuSO4 + Vit. E | CuSO4 + Vit. C + Vit. E | p-Value |
|---|---|---|---|---|---|---|
| ALT (U/L) | 11.56 ± 4.86 c | 24.42 ± 5.00 a | 18.42 ± 3.35 b | 16.87 ± 3.72 b | 15.25 ± 3.12 bc | 0.001 |
| AST (U/L) | 160.5 ± 9.1 d | 195.7 ± 7.8 a | 182.3 ± 5.5 b | 177.8 ± 5.4 bc | 169.6 ± 7.6 cd | 0.001 |
| ALP (U/L) | 580 ± 31.1 b | 660.0 ± 54 a | 628 ± 44 ab | 616 ± 55 ab | 578 ± 30 b | 0.000 |
| TP (g/dL) | 4.33 ± 0.42 a | 3.01 ± 0.18 b | 4.15 ± 0.36 a | 4.17 ± 0.40 a | 4.30 ± 0.33 a | 0.000 |
| Albumin (g/dL) | 2.48 ± 0.13 a | 2.01 ± 0.24 b | 2.27 ± 0.19 ab | 2.28 ± 0.18 ab | 2.30 ± 0.20 a | 0.011 |
| Globulins (g/dL) | 1.85 ± 0.69 a | 0.9 ± 0.18 b | 1.88 ± 0.25 a | 1.89 ± 0.24 a | 2.00 ± 0.32 a | 0.000 |
| Parameters | CON | CuSO4 | CuSO4 + Vit. C | CuSO4 + Vit. E | CuSO4 + Vit. C + Vit. E | p-Value |
|---|---|---|---|---|---|---|
| TG (mg/dL) | 65.03 ± 4.74 a | 48.14 ± 7.33 c | 50.90 ± 5.57 bc | 53.64 ± 3.49 bc | 60.12 ± 5.91 ab | 0.000 |
| TC (mg/dL) | 155.82 ± 2.94 a | 126.79 ± 11.00 c | 130.48 ± 6.75 c | 138.92 ± 5.51 bc | 148.48 ± 5.78 ab | 0.000 |
| LDL-C (mg/dL) | 89.52 ± 3.19 a | 70.65 ± 7.74 c | 72.86 ± 5.53 c | 78.56 ± 1.95 bc | 84.66 ± 3.94 ab | 0.001 |
| VLDL-C (mg/dL) | 13.00 ± 0.98 a | 9.62 ± 1.46 c | 10.17 ± 1.11 bc | 10.72 ± 0.69 bc | 12.02 ± 1.18 ab | 0.000 |
| HDL-C (mg/dL) | 53.29 ± 3.49 | 46.51 ± 4.79 | 47.43 ± 2.60 | 49.78 ± 5.73 | 52.12 ± 7.23 | 0.701 |
| Parameters | CON | CuSO4 | CuSO4 + Vit. C | CuSO4 + Vit. E | CuSO4 + Vit. C + Vit. E | p-Value |
|---|---|---|---|---|---|---|
| TG (mg/dL) | 67.96 ± 2.32 a | 50.58 ± 5.42 c | 57.34 ± 1.85 bc | 58.23 ± 3.02 bc | 62.43 ± 6.19 ab | 0.000 |
| TC (mg/dL) | 166.68 ± 7.77 a | 130.86 ± 4.15 b | 135.95 ± 4.51 b | 141.36 ± 7.65 b | 157.40 ± 5.92 a | 0.000 |
| LDL-C (mg/dL) | 98.75 ± 6.50 a | 74.52 ± 5.36 c | 79.38 ± 4.59 c | 81.88 ± 4.50 bc | 91.51 ± 7.34 ab | 0.000 |
| VLDL-C (mg/dL) | 13.58 ± 0.46 a | 10.11 ± 1.08 c | 11.46 ± 0.36 bc | 11.64 ± 0.60 bc | 12.48 ± 1.23 ab | 0.007 |
| HDL-C (mg/dL) | 54.33 ± 1.91 ab | 46.22 ± 3.1 b | 47.95 ± 4.07 b | 50.16 ± 8.55 bc | 53.41 ± 4.67 ab | 0.000 |
| Parameters | CON | CuSO4 | CuSO4 + Vit. C | CuSO4 + Vit. E | CuSO4 + Vit. C + Vit. E | p-Value |
|---|---|---|---|---|---|---|
| Comet % | 13.38 ± 1.17 c | 21.19 ± 1.13 a | 19.38 ± 1.05 ab | 18.96 ± 2.00 ab | 17.50 ± 2.62 b | 0.000 |
| DNA in tail % | 1.09 ± 0.03 e | 3.14 ± 0.06 a | 2.47 ± 0.05 b | 1.90 ± 0.04 c | 1.34 ± 0.06 d | 0.009 |
| Tail length (Pixel) | 1.14 ± 0.02 c | 2.06 ± 0.09 a | 1.92 ± 0.03 b | 1.90 ± 0.03 b | 1.88 ± 0.02 b | 0.001 |
| Tail moment (Arbitrary units) | 0.01 ± 0.006 e | 0.06 ± 0.002 a | 0.04 ± 0.001 b | 0.03 ± 0.001 c | 0.02 ± 0.003 d | 0.001 |
| Olive tail moment | 0.15 ± 0.05 c | 0.35 ± 0.06 a | 0.31 ± 0.08 a | 0.25 ± 0.05 b | 0.27 ± 0.03 b | 0.000 |
| Parameters | CON | CuSO4 | CuSO4 + Vit. C | CuSO4 + Vit. E | CuSO4 + Vit. C + Vit. E | p-Value |
|---|---|---|---|---|---|---|
| Comet % | 14.56 ± 1.69 c | 25.90 ± 2.14 a | 23.95 ± 1.50 ab | 23.81 ± 3.24 ab | 19.95 ± 2.95 b | 0.000 |
| DNA in tail % | 1.25 ± 0.03 e | 3. 47 ± 0.06 a | 2.77 ± 0.05 b | 2.07 ± 0.04 c | 1.38 ± 0.02 d | 0.000 |
| Tail length (Pixel) | 1.99 ± 0.08 e | 3.00 ± 0.10 a | 2.70 ± 0.13 b | 2.50 ± 0.10 bc | 2.27 ± 0.07 d | 0.000 |
| Tail moment (Arbitrary units) | 0.02 ± 0.009 e | 0.10 ± 0.017 a | 0.07 ± 0.022 b | 0.05 ± 0.017 c | 0.03 ± 0.014 d | 0.009 |
| Olive tail moment | 0.21 ± 0.03 c | 0.42 ± 0.03 a | 0.36 ± 0.06 b | 0.31 ± 0.02 b | 0.29 ± 0.01 b | 0.004 |
Publisher’s Note: MDPI stays neutral with regard to jurisdictional claims in published maps and institutional affiliations. |
© 2021 by the authors. Licensee MDPI, Basel, Switzerland. This article is an open access article distributed under the terms and conditions of the Creative Commons Attribution (CC BY) license (https://creativecommons.org/licenses/by/4.0/).
Share and Cite
Hashem, M.A.; Abd El Hamied, S.S.; Ahmed, E.M.A.; Amer, S.A.; El-Sharnouby, M.E. Mitigating the Growth, Biochemical Changes, Genotoxic and Pathological Effects of Copper Toxicity in Broiler Chickens by Supplementing Vitamins C and E. Animals 2021, 11, 1811. https://doi.org/10.3390/ani11061811
Hashem MA, Abd El Hamied SS, Ahmed EMA, Amer SA, El-Sharnouby ME. Mitigating the Growth, Biochemical Changes, Genotoxic and Pathological Effects of Copper Toxicity in Broiler Chickens by Supplementing Vitamins C and E. Animals. 2021; 11(6):1811. https://doi.org/10.3390/ani11061811
Chicago/Turabian StyleHashem, Mohamed A., Sahar S. Abd El Hamied, Eman M. A. Ahmed, Shimaa A. Amer, and Mohamed E. El-Sharnouby. 2021. "Mitigating the Growth, Biochemical Changes, Genotoxic and Pathological Effects of Copper Toxicity in Broiler Chickens by Supplementing Vitamins C and E" Animals 11, no. 6: 1811. https://doi.org/10.3390/ani11061811
APA StyleHashem, M. A., Abd El Hamied, S. S., Ahmed, E. M. A., Amer, S. A., & El-Sharnouby, M. E. (2021). Mitigating the Growth, Biochemical Changes, Genotoxic and Pathological Effects of Copper Toxicity in Broiler Chickens by Supplementing Vitamins C and E. Animals, 11(6), 1811. https://doi.org/10.3390/ani11061811

