Changes of Dorsal Root Ganglion Volume in Dogs with Clinical Signs of Degenerative Myelopathy Detected by Water-Excitation Magnetic Resonance Imaging
Abstract
Simple Summary
Abstract
1. Introduction
2. Materials and Methods
2.1. Animals
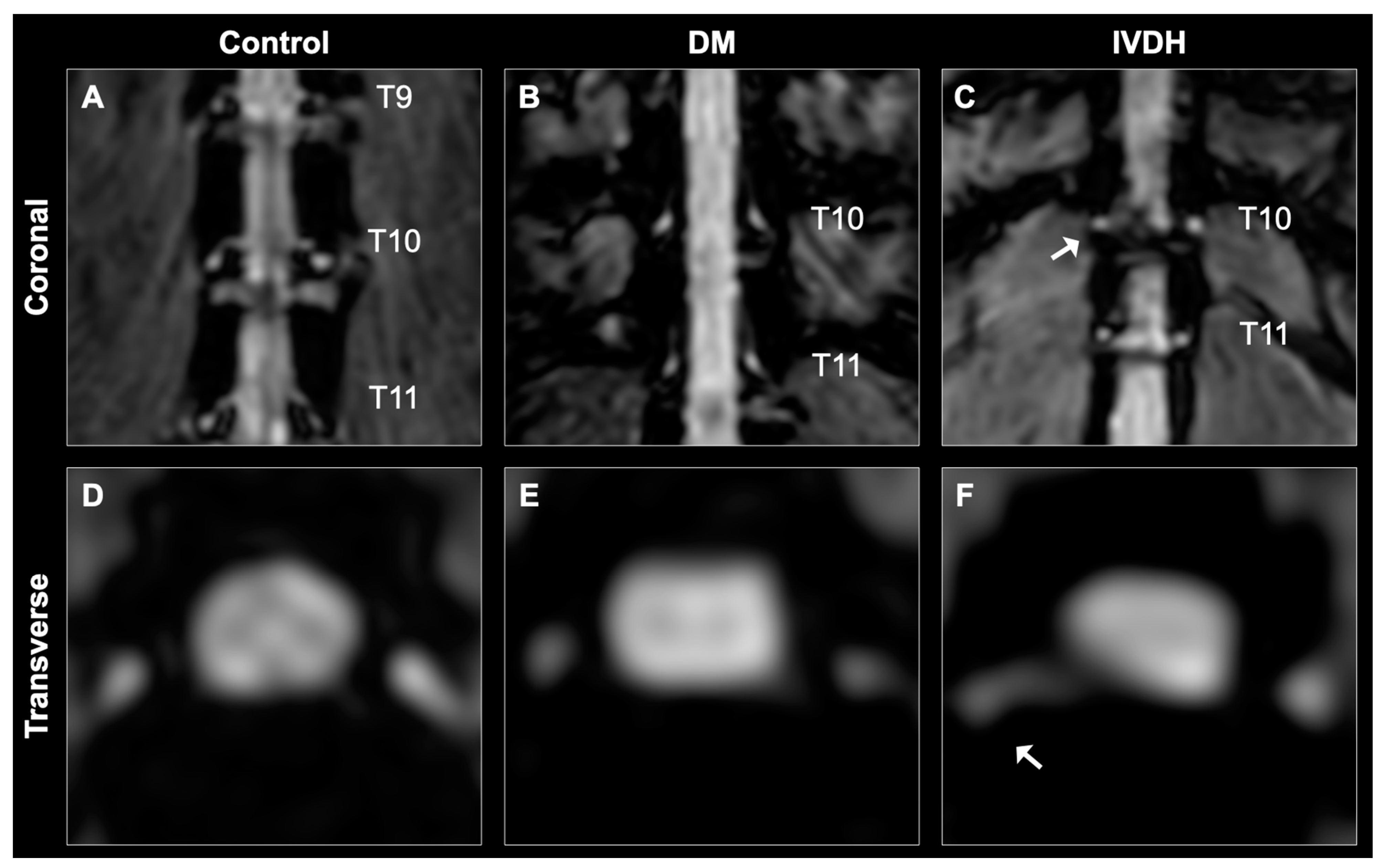
2.2. MRI Sequences
2.3. Image Analysis
2.4. Statistical Analyses
3. Results
3.1. Sample Population
3.2. Normalization of the DRG Volumes in Control Dogs
3.3. Normalized DRG Volumes between the DM, IVDH, and Control Groups
3.4. DRG Volumes in DM Dogs with Different Stages
3.5. Laterality of DRG Size Change
3.6. Spinal Cord Cross-Sectional Area
4. Discussion
5. Conclusions
Author Contributions
Funding
Institutional Review Board Statement
Data Availability Statement
Acknowledgments
Conflicts of Interest
Appendix A

| Location | Volume (mm3) or Area (mm2) | Correlation with | |||||||
|---|---|---|---|---|---|---|---|---|---|
| Body Weight | Body Surface Area | L2 Vertebral Body Length | |||||||
| Median | Range | r | P | r | P | r | P | ||
| DRG 1 volume | T8 | 15.311 | 13.837–17.299 | 0.681 | 0.060 | 0.718 | 0.052 | 0.312 | 0.218 | 
| T9 | 15.429 | 13.439–17.674 | 0.761 | * 0.037 | 0.813 | * 0.014 | 0.602 | 0.083 | |
| T10 | 15.864 | 14.542–17.431 | 0.675 | 0.078 | 0.738 | * 0.038 | 0.418 | 0.332 | |
| T11 | 16.462 | 15.366–19.625 | 0.628 | 0.068 | 0.767 | * 0.046 | 0.298 | 0.524 | |
| T12 | 16.852 | 14.670–18.813 | 0.612 | 0.221 | 0.578 | 0.197 | 0.332 | 0.982 | |
| T13 | 16.632 | 14.113–21.612 | 0.789 | * 0.021 | 0.774 | * 0.028 | 0.571 | 0.151 | |
| L1 | 16.686 | 13.491–22.393 | 0.712 | 0.064 | 0.783 | * 0.034 | 0.667 | 0.078 | |
| L2 | 16.963 | 13.213–21.343 | 0.467 | 0.243 | 0.612 | 0.083 | 0.588 | 0.167 | |
| T8–L2 | 16.263 | 14.589–18.635 | 0.691 | * 0.037 | 0.792 | * 0.024 | 0.612 | 0.176 | |
| Cross-sectional area of the spinal cord | T8 | 29.404 | 20.765–35.736 | −0.132 | 0.756 | −0.048 | 0.935 | 0.214 | 0.619 | 
| T9 | 27.018 | 22.532–40.977 | 0.035 | 0.933 | 0.119 | 0.793 | 0.548 | 0.171 | |
| T10 | 29.088 | 19.169–41.861 | −0.216 | 0.608 | −0.143 | 0.752 | 0.238 | 0.582 | |
| T11 | 30.307 | 19.738–43.676 | −0.048 | 0.910 | 0.024 | 0.977 | 0.333 | 0.428 | |
| T12 | 32.417 | 18.396–38.441 | 0.263 | 0.528 | 0.333 | 0.428 | 0.571 | 0.151 | |
| T13 | 32.365 | 21.924–39.569 | −0.228 | 0.588 | −0.167 | 0.703 | 0.095 | 0.840 | |
| L1 | 31.393 | 23.916–43.970 | 0.467 | 0.243 | 0.524 | 0.197 | 0.667 | 0.083 | |
| L2 | 31.413 | 19.162–45.487 | −0.263 | 0.528 | −0.124 | 0.619 | −0.095 | 0.840 | |
| T8–L2 | 31.656 | 21.025–41.215 | −0.048 | 0.911 | 0.124 | 0.812 | 0.571 | 0.151 | |
| Control | DM | IVDH (Whole Site) | IVDH (Leison Site) | IVDH (No-Leison Site) | ||||||
|---|---|---|---|---|---|---|---|---|---|---|
| Mean (%) | SD | Mean (%) | SD | Mean (%) | SD | Mean (%) | SD | Mean (%) | SD | |
| Normalized mean DRG | 9.8 | 6.0 | 15.3 | 8.2 | 19.8 | 13.2 | 25.3 | 14.7 | 15.9 | 9.5 | 
References
- Averill, D.R. Degenerative myelopathy in the aging German Shepherd dog: Clinical and pathologic findings. J. Am. Vet. Med. Assoc. 1973, 162, 1045–1051. [Google Scholar] [PubMed]
- Coates, J.R.; Wininger, F.A. Canine degenerative myelopathy. Vet. Clin. N. Am. Small Anim. Pract. 2010, 40, 929–950. [Google Scholar] [CrossRef]
- Awano, T.; Johnson, G.S.; Wade, C.M.; Katz, M.L.; Johnson, G.C.; Taylor, J.F.; Perloski, M.; Biagi, T.; Baranowska, I.; Long, S.; et al. Genome-wide association analysis reveals a SOD1 mutation in canine degenerative myelopathy that resembles amyotrophic lateral sclerosis. Proc. Natl. Acad. Sci. USA 2009, 106, 2794–2799. [Google Scholar] [CrossRef] [PubMed]
- Wininger, F.A.; Zeng, R.; Johnson, G.S.; Katz, M.L.; Johnson, G.C.; Bush, W.W.; Jarboe, J.M.; Coates, J.R. Degenerative myelopathy in a Bernese Mountain Dog with a novel SOD1 missense mutation. J. Vet. Intern. Med. 2011, 25, 1166–1170. [Google Scholar] [CrossRef]
- Oyake, K.; Kobatake, Y.; Shibata, S.; Sakai, H.; Saito, M.; Yamato, O.; Kushida, K.; Maeda, S.; Kamishina, H. Changes in respiratory function in Pembroke Welsh Corgi dogs with degenerative myelopathy. J. Vet. Med. Sci. 2016, 78, 1323–1327. [Google Scholar] [CrossRef]
- March, P.A.; Coates, J.R.; Abyad, R.J.; Williams, D.A.; O’Brien, D.P.; Olby, N.J.; Keating, J.H.; Oglesbee, M. Degenerative myelopathy in 18 Pembroke Welsh Corgi dogs. Vet. Pathol. 2009, 46, 241–250. [Google Scholar] [CrossRef]
- Coates, J.R.; March, P.A.; Oglesbee, M.; Ruaux, C.G.; Olby, N.J.; Berghaus, R.D.; O’Brien, D.P.; Keating, J.H.; Johnson, G.S.; Williams, D.A. Clinical characterization of a familial degenerative myelopathy in Pembroke Welsh Corgi dogs. J. Vet. Intern. Med. 2007, 21, 1323–1331. [Google Scholar] [CrossRef]
- Miller, A.D.; Barber, R.; Porter, B.F.; Peters, R.M.; Kent, M.; Platt, S.R.; Schatzberg, S.J. Degenerative myelopathy in two Boxer dogs. Vet. Pathol. 2009, 46, 684–687. [Google Scholar] [CrossRef]
- Griffiths, I.R.; Duncan, I.D. Chronic degenerative radiculomyelopathy in the dog. J. Small Anim. Pract. 1975, 16, 461–471. [Google Scholar] [CrossRef] [PubMed]
- Morgan, B.R.; Coates, J.R.; Johnson, G.C.; Shelton, G.D.; Katz, M.L. Characterization of thoracic motor and sensory neurons and spinal nerve roots in canine degenerative myelopathy, a potential disease model of amyotrophic lateral sclerosis. J. Neurosci. Res. 2014, 92, 531–541. [Google Scholar] [CrossRef] [PubMed]
- Okada, M.; Kitagawa, M.; Kanayama, K.; Yamamura, H.; Sakai, T. Negative MRI findings in a case of degenerative myelopathy in a dog. J. S. Afr. Vet. Assoc. 2009, 80, 254–256. [Google Scholar] [CrossRef][Green Version]
- Hauger, O.; Dumont, E.; Chateil, J.F.; Moinard, M.; Diard, F. Water excitation as an alternative to fat saturation in MR imaging: Preliminary results in musculoskeletal imaging. Radiology 2002, 224, 657–663. [Google Scholar] [CrossRef][Green Version]
- Takahara, T.; Hendrikse, J.; Yamashita, T.; Mali, W.P.; Kwee, T.C.; Imai, Y.; Luijten, P.R. Diffusion-weighted MR neurography of the brachial plexus: Feasibility study. Radiology 2008, 249, 653–660. [Google Scholar] [CrossRef]
- Yamashita, T.; Kwee, T.C.; Takahara, T. Whole-body magnetic resonance neurography. N. Engl. J. Med. 2009, 361, 538–539. [Google Scholar] [CrossRef] [PubMed]
- Ishikawa, T.; Asakura, K.; Mizutani, Y.; Ueda, A.; Murate, K.I.; Hikichi, C.; Shima, S.; Kizawa, M.; Komori, M.; Murayama, K.; et al. MR neurography for the evaluation of CIDP. Muscle Nerve 2017, 55, 483–489. [Google Scholar] [CrossRef] [PubMed]
- Johnston, P.E.; Barrie, J.A.; McCulloch, M.C.; Anderson, T.J.; Griffiths, I.R. Central nervous system pathology in 25 dogs with chronic degenerative radiculomyelopathy. Vet. Rec. 2000, 146, 629–633. [Google Scholar] [CrossRef]
- Chang, H.S.; Kamishina, H.; Mizukami, K.; Momoi, Y.; Katayama, M.; Rahman, M.M.; Uddin, M.M.; Yabuki, A.; Kohyama, M.; Yamato, O. Genotyping assays for the canine degenerative myelopathy-associated c.118G>A (p.E40K) mutation of the SOD1 gene using conventional and real-time PCR methods: A high prevalence in the Pembroke Welsh Corgi breed in Japan. J. Vet. Med. Sci. 2013, 75, 795–798. [Google Scholar] [CrossRef]
- Scott, H.W.; McKee, W.M. Laminectomy for 34 dogs with thoracolumbar intervertebral disc disease and loss of deep pain perception. J. Small Anim. Pract. 1999, 40, 417–422. [Google Scholar] [CrossRef] [PubMed]
- Aikawa, T.; Fujita, H.; Kanazono, S.; Shibata, M.; Yoshigae, Y. Long-term neurologic outcome of hemilaminectomy and disk fenestration for treatment of dogs with thoracolumbar intervertebral disk herniation: 831 cases (2000–2007). J. Am. Vet. Med. Assoc. 2012, 241, 1617–1626. [Google Scholar] [CrossRef]
- West, C.A.; Davies, K.A.; Hart, A.M.; Wiberg, M.; Williams, S.R.; Terenghi, G. Volumetric magnetic resonance imaging of dorsal root ganglia for the objective quantitative assessment of neuron death after peripheral nerve injury. Exp. Neurol. 2007, 203, 22–33. [Google Scholar] [CrossRef]
- Kanda, Y. Investigation of the freely available easy-to-use software ’EZR’ for medical statistics. Bone Marrow Transplant. 2013, 48, 452–458. [Google Scholar] [CrossRef] [PubMed]
- Shen, J.; Wang, H.Y.; Chen, J.Y.; Liang, B.L. Morphologic analysis of normal human lumbar dorsal root ganglion by 3D MR Imaging. AJNR Am. J. Neuroradiol. 2006, 27, 2098–2103. [Google Scholar] [PubMed]
- D’Anjou, M.A. Principles of computed tomography and magnetic resonance imaging. In Textbook of Veterinary Diagnostic Radiology, 6th ed.; Elsevier: St. Louis, MI, USA, 2018; p. 71. [Google Scholar]
- Bergamino, C.; Hoey, S.E.; de Swarte, M.; Skelly, C. Improved visualization of the lumbar spine nerve roots in dogs using water excitation (Proset) as opposed to short tau inversion recovery: A retrospective study of two fat suppression MRI sequences. Vet. Radiol. Ultrasound. 2019, 60, 323–329. [Google Scholar] [CrossRef]
- Schäfer, M.K.; Bellouze, S.; Jacquier, A.; Schaller, S.; Richard, L.; Mathis, S.; Vallat, J.M.; Haase, G. Sensory neuropathy in progressive motor neuronopathy (pmn) mice is associated with defects in microtubule polymerization and axonal transport. Brain Pathol. 2017, 27, 459–471. [Google Scholar] [CrossRef]
- Feldman, E.L.; Callaghan, B.C.; Pop-Busui, R.; Zochodne, D.W.; Wright, D.E.; Bennett, D.L.; Bril, V.; Russell, J.W.; Viswanathan, V. Diabetic neuropathy. Nat. Rev. Dis. Primers 2019, 5, 41. [Google Scholar] [CrossRef]
- Katz, M.L.; Jensen, C.A.; Student, J.T.; Johnson, G.C.; Coates, J.R. Cervical spinal cord and motor unit pathology in a canine model of SOD1-associated amyotrophic lateral sclerosis. J. Neurol. Sci. 2017, 378, 193–203. [Google Scholar] [CrossRef] [PubMed]
- Atlasi, M.A.; Mehdizadeh, M.; Bahadori, M.H.; Joghataei, M.T. Morphological identification of cell death in dorsal root ganglion neurons following peripheral nerve injury and repair in adult rat. Iran Biomed. J. 2009, 13, 65–72. [Google Scholar]
- McKay Hart, A.; Brannstrom, T.; Wiberg, M.; Terenghi, G. Primary sensory neurons and satellite cells after peripheral axotomy in the adult rat: Timecourse of cell death and elimination. Exp. Brain Res. 2002, 142, 308–318. [Google Scholar] [CrossRef] [PubMed]
- Schenker, M.; Kraftsik, R.; Glauser, L.; Kuntzer, T.; Bogousslavsky, J.; Barakat-Walter, I. Thyroid hormone reduces the loss of axotomized sensory neurons in dorsal root ganglia after sciatic nerve transection in adult rat. Exp. Neurol. 2003, 184, 225–236. [Google Scholar] [CrossRef]
- Wilson, A.D.; Hart, A.; Brannstrom, T.; Wiberg, M.; Terenghi, G. Primary sensory neuronal rescue with systemic acetyl-L-carnitine following peripheral axotomy. A dose-response analysis. Br. J. Plast. Surg. 2003, 56, 732–739. [Google Scholar] [CrossRef]
- Haller, S.; Montandon, M.L.; Lazeyras, F.; Scheffler, M.; Meckel, S.; Herrmann, F.R.; Giannakopoulos, P.; Kövari, E. Radiologic-Histopathologic Correlation of Cerebral Microbleeds Using Pre-Mortem and Post-Mortem MRI. PLoS ONE 2016, 11, e0167743. [Google Scholar] [CrossRef] [PubMed]
- Moon, H.S.; Kim, Y.D.; Song, B.H.; Cha, Y.D.; Song, J.H.; Lee, M.H. Position of dorsal root ganglia in the lumbosacral region in patients with radiculopathy. Korean J. Anesthesiol. 2010, 59, 398–402. [Google Scholar] [CrossRef] [PubMed]



| Dog Number | Group | Breed | Age (year) | Body Weight (kg) | Body Surface Area (m2) | L2 Vertebral Body Length (mm) | Gender | Clinical Duration | 
|---|---|---|---|---|---|---|---|---|
| 1 | Control | Beagle | 5.0 | 16.8 | 0.63 | 18.8 | CM | - | 
| 2 | Control | Beagle | 5.0 | 13.5 | 0.55 | 17.5 | SF | - | 
| 3 | Control | Beagle | 5.1 | 14.0 | 0.58 | 16.8 | CM | - | 
| 4 | Control | Beagle | 5.5 | 12.3 | 0.52 | 17.3 | SF | - | 
| 5 | Control | Cross-bred | 2.8 | 10.6 | 0.46 | 14.9 | CM | - | 
| 6 | Control | FB | 8.0 | 11.4 | 0.49 | 12.3 | SF | - | 
| 7 | Control | BT | 6.6 | 6.6 | 0.33 | 10.0 | SF | - | 
| 8 | Control | PWC | 10.7 | 10.7 | 0.46 | 17.0 | SF | - | 
| 9 | DM-confirmed | PWC | 13.0 | 13.1 | 0.54 | 16.9 | CM | 3 years | 
| 10 | DM-confirmed | PWC | 15.2 | 10.2 | 0.46 | 17.0 | CM | 3.5 years | 
| 11 | DM-confirmed | PWC | 14.1 | 12.3 | 0.52 | 17.5 | CM | 3 years | 
| 12 | DM-confirmed | PWC | 15.9 | 14.6 | 0.59 | 18.0 | IF | 3.3 years | 
| 13 | DM-suspected | PWC | 14.1 | 11.8 | 0.49 | 17.6 | CM | 2 months | 
| 14 | DM-suspected | PWC | 12.7 | 13.6 | 0.55 | 17.5 | CM | 3 months | 
| 15 | DM-suspected | PWC | 11.0 | 12.3 | 0.52 | 16.3 | SF | 7 months | 
| 16 | DM-suspected | PWC | 10.8 | 16.8 | 0.63 | 16.9 | SF | 3 months | 
| 17 | IVDH | Pag | 11.7 | 6.1 | 0.33 | 12.2 | CM | 3 months | 
| 18 | IVDH | MD | 5.6 | 3.0 | 0.20 | 14.0 | SF | 1.5 months | 
| 19 | IVDH | MD | 9.8 | 4.6 | 0.25 | 15.4 | IM | 1 month | 
| 20 | IVDH | TP | 5.0 | 6.7 | 0.33 | 14.8 | IM | 11 days | 
| 21 | IVDH | TP | 15.7 | 3.1 | 0.20 | 11.8 | IM | 5 months | 
| 22 | IVDH | MS | 12.6 | 9.6 | 0.43 | 14.8 | IM | 2 months | 
| 23 | IVDH | MD | 15.4 | 7.2 | 0.36 | 15.4 | SF | 6 days | 
| 24 | IVDH | MD | 7.0 | 9.7 | 0.43 | 16.4 | IM | 4 days | 
| 25 | IVDH | MD | 3.6 | 5.2 | 0.29 | 12.8 | SF | 3 days | 
| 26 | IVDH | Cross-bred | 11.7 | 3.4 | 0.20 | 10.0 | CM | 5 days | 
| 27 | IVDH | MD | 13.4 | 6.5 | 0.33 | 15.5 | CM | 11 days | 
| 28 | IVDH | FB | 9.8 | 11.6 | 0.49 | 16.5 | IF | 2 months | 
| 29 | IVDH | TP | 12.3 | 3.4 | 0.20 | 14.6 | IM | 1 month | 
| 30 | IVDH | MD | 5.0 | 3.4 | 0.20 | 12.5 | IF | 7 days | 
| 31 | IVDH | TP | 5.9 | 4.2 | 0.25 | 13.5 | IM | 15 days | 
| 32 | IVDH | MD | 4.8 | 4.5 | 0.25 | 12.9 | IF | 2 days | 
| 33 | IVDH | FB | 7.2 | 12.8 | 0.52 | 16.6 | CM | 1 month | 
| 34 | IVDH | Pag | 9.7 | 7.7 | 0.36 | 12.7 | SF | 1 year | 
| 35 | IVDH | MD | 10.1 | 7.1 | 0.36 | 16.0 | CM | 21 days | 
| 36 | IVDH | Chihuahua | 6.1 | 5.1 | 0.29 | 14.9 | IM | 7 days | 
| 37 | IVDH | MD | 10.4 | 9.5 | 0.43 | 16.7 | CM | 2 days | 
| 38 | IVDH | Pekingese | 2.6 | 5.5 | 0.29 | 11.3 | IM | 9 days | 
| 39 | IVDH | MD | 10.9 | 5.8 | 0.29 | 16.8 | SF | 1 month | 
| 40 | IVDH | BC | 14.1 | 14.1 | 0.58 | 16.9 | SF | 1 year | 
| Location | Control | DM | IVDH | P Value | |||||||
|---|---|---|---|---|---|---|---|---|---|---|---|
| Median | Range | Median | Range | Median | Range | 3 Groups | Control vs. DM | Control vs. IVDH | DM vs. IVDH | ||
| Normalized DRG Volume (mm3/mm2) | T8 | 31.841 | 23.744–51.879 | 19.079 | 15.891–35.434 | 42.604 | 20.225–72.484 | * 0.012 | 0.155 | 1 | * 0.009 | 
| T9 | 28.783 | 23.116–51.924 | 20.658 | 15.042–28.717 | 41.008 | 21.178–79.567 | * 0.004 | * 0.038 | 0.510 | * 0.003 | |
| T10 | 30.808 | 25.073–50.155 | 20.943 | 15.008–26.586 | 38.804 | 21.391–81.383 | * 0.003 | * 0.042 | 0.858 | * 0.003 | |
| T11 | 31.608 | 24.592–50.220 | 21.191 | 13.516–29.705 | 38.841 | 21.257–78.559 | * 0.011 | 0.071 | 1 | * 0.010 | |
| T12 | 33.454 | 23.287–53.799 | 19.653 | 15.170–31.544 | 37.888 | 14.213–86.772 | * 0.028 | 0.071 | 1 | * 0.035 | |
| T13 | 31.539 | 24.292–49.628 | 19.297 | 14.676–26.998 | 40.683 | 12.657–84.264 | * 0.028 | 0.093 | 1 | * 0.031 | |
| L1 | 30.557 | 25.384–46.635 | 20.339 | 15.889–37.391 | 35.964 | 19.987–87.816 | * 0.032 | 0.155 | 1 | * 0.041 | |
| L2 | 33.220 | 24.800–45.706 | 20.205 | 16.681–34.739 | 41.609 | 22.413–72.602 | * 0.008 | * 0.045 | 1 | * 0.007 | |
| T8-L2 | 31.727 | 24.384–49.993 | 20.373 | 15.763–29.882 | 39.360 | 19.436–79.480 | * 0.002 | * 0.011 | 0.510 | * 0.002 | |
| Publisher’s Note: MDPI stays neutral with regard to jurisdictional claims in published maps and institutional affiliations. | 
© 2021 by the authors. Licensee MDPI, Basel, Switzerland. This article is an open access article distributed under the terms and conditions of the Creative Commons Attribution (CC BY) license (https://creativecommons.org/licenses/by/4.0/).
Share and Cite
Naito, E.; Nakata, K.; Nakano, Y.; Nozue, Y.; Kimura, S.; Sakai, H.; Yamato, O.; Islam, M.S.; Maeda, S.; Kamishina, H. Changes of Dorsal Root Ganglion Volume in Dogs with Clinical Signs of Degenerative Myelopathy Detected by Water-Excitation Magnetic Resonance Imaging. Animals 2021, 11, 1702. https://doi.org/10.3390/ani11061702
Naito E, Nakata K, Nakano Y, Nozue Y, Kimura S, Sakai H, Yamato O, Islam MS, Maeda S, Kamishina H. Changes of Dorsal Root Ganglion Volume in Dogs with Clinical Signs of Degenerative Myelopathy Detected by Water-Excitation Magnetic Resonance Imaging. Animals. 2021; 11(6):1702. https://doi.org/10.3390/ani11061702
Chicago/Turabian StyleNaito, Eiji, Kohei Nakata, Yukiko Nakano, Yuta Nozue, Shintaro Kimura, Hiroki Sakai, Osamu Yamato, Md Shafiqul Islam, Sadatoshi Maeda, and Hiroaki Kamishina. 2021. "Changes of Dorsal Root Ganglion Volume in Dogs with Clinical Signs of Degenerative Myelopathy Detected by Water-Excitation Magnetic Resonance Imaging" Animals 11, no. 6: 1702. https://doi.org/10.3390/ani11061702
APA StyleNaito, E., Nakata, K., Nakano, Y., Nozue, Y., Kimura, S., Sakai, H., Yamato, O., Islam, M. S., Maeda, S., & Kamishina, H. (2021). Changes of Dorsal Root Ganglion Volume in Dogs with Clinical Signs of Degenerative Myelopathy Detected by Water-Excitation Magnetic Resonance Imaging. Animals, 11(6), 1702. https://doi.org/10.3390/ani11061702
 
         
                                                


 
                         
       