Effect of Cryptorchidism on the Histomorphometry, Proliferation, Apoptosis, and Autophagy in Boar Testes
Abstract
Simple Summary
Abstract
1. Introduction
2. Materials and Methods
2.1. Animals and Sample Collection
2.2. Histomorphology
2.2.1. Histology
2.2.2. Testis Morphometry
2.2.3. Cell Counts and Cell Numbers
2.3. Assessment of Apoptosis
2.4. Immunohistochemistry
2.5. Western Blot Analysis
2.6. Total RNA Extraction and Quantitative Real-Time PCR Analysis
2.7. Statistical Analysis
3. Results
3.1. Histological Changes in Boar Testes
3.2. Histomorphometric Changes of Boar Testes
3.3. Apoptosis, Proliferation, and Autophagy Changes in Boar Testes
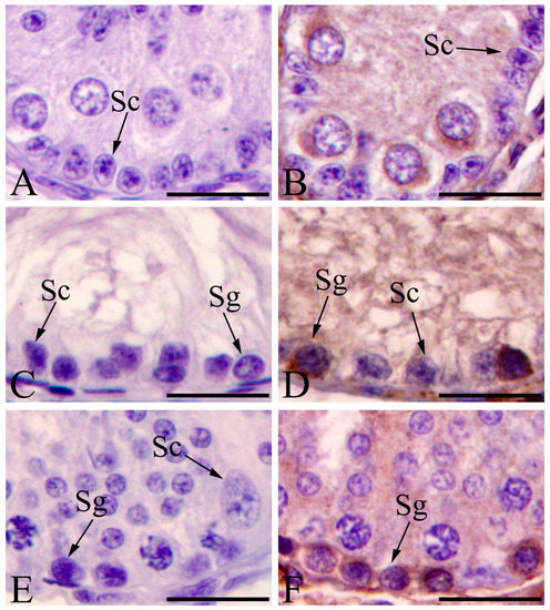
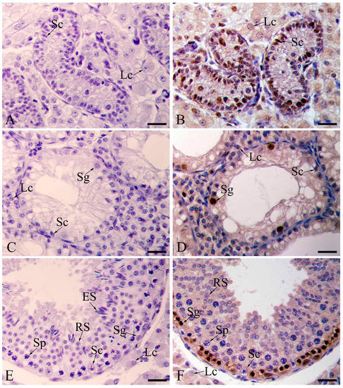
3.3.1. Qualitative Assessment of Apoptosis
3.3.2. PCNA and LC3 Immunohistochemical Localization in Boar Testes
3.4. Western Blot Analysis of PCNA and LC3 in Boar Testes
3.5. Expression of PCNA and LC3 mRNA in Boar Testes
4. Discussion
5. Conclusions
Author Contributions
Funding
Institutional Review Board Statement
Data Availability Statement
Conflicts of Interest
References
- Neto, F.T.; Bach, P.V.; Najari, B.B.; Li, P.S.; Goldstein, M. Spermatogenesis in humans and its affecting factors. Semin. Cell Dev. Biol. 2016, 59, 10–26. [Google Scholar] [CrossRef]
- Yanni, D.; Jacobeen, S.; Márquez-Zacarías, P.; Weitz, J.S.; Ratcliff, W.C.; Yunker, P.J. Topological constraints in early multicellularity favor reproductive division of labor. eLife 2020, 9, e54348. [Google Scholar] [CrossRef]
- Fraczek, M.; Kurpisz, M. Cytokines in the male reproductive tract and their role in infertility disorders. J. Reprod. Immunol. 2015, 108, 98–104. [Google Scholar] [CrossRef] [PubMed]
- Danno, S.; Itoh, K.; Matsuda, T.; Fujita, J. Decreased expression of mouse Rbm3, a cold-shock protein, in Sertoli cells of cryptorchid testis. Am. J. Pathol. 2000, 156, 1685–1692. [Google Scholar] [CrossRef]
- Fan, X.; Xi, H.; Zhang, Z.; Liang, Y.; Li, Q.; He, J. Germ cell apoptosis and expression of Bcl-2 and Bax in porcine testis under normal and heat stress conditions. Acta Histochem. 2017, 119, 198–204. [Google Scholar] [CrossRef]
- Frankenhuis, M.T.; Wensing, C.J. Induction of spermatogenesis in the naturally cryptorchid pig. Fertil. Steril. 1979, 31, 428–433. [Google Scholar] [CrossRef]
- Dolf, G.; Gaillard, C.; Schelling, C.; Hofer, A.; Leighton, E. Cryptorchidism and sex ratio are associated in dogs and pigs. J. Anim. Sci. 2008, 86, 2480–2485. [Google Scholar] [CrossRef] [PubMed]
- Zhang, R.D.; Wen, X.H.; Kong, L.S.; Deng, X.Z.; Peng, B.; Huang, A.P.; Wan, Y.; Yang, Z.W. A quantitative (stereological) study of the effects of experimental unilateral cryptorchidism and subsequent orchiopexy on spermatogenesis in adult rabbit testis. Reproduction 2002, 124, 95–105. [Google Scholar] [CrossRef] [PubMed]
- Zivkovic, D.; Hadziselimovic, F. Development of Sertoli cells during mini-puberty in normal and cryptorchid testes. Urol. Int. 2009, 82, 89–91. [Google Scholar] [CrossRef] [PubMed]
- Huff, D.S.; Hadziselimovic, F.; Snyder, H.M., 3rd; Duckett, J.W.; Keating, M. Postnatal testicular maldevelopment in unilateral cryptorchidism. J. Urol. 1989, 2, 546–548. [Google Scholar] [CrossRef]
- Bergh, A. Morphological signs of a direct effect of experimental cryptorchidism on the Sertoli cells in rats irradiated as fetuses. Biol. Reprod. 1981, 24, 145–152. [Google Scholar] [CrossRef] [PubMed]
- Zhang, R.D.; Peng, B.; Deng, X.Z.; Wan, Y.; Yang, Z.W. A stereological study of the effects of experimental inguinal cryptorchidism and subsequent orchiopexy on spermatogenesis in adult monkeys. Int. J. Androl. 2003, 26, 180–186. [Google Scholar] [CrossRef]
- Barenton, B.; Blanc, M.R.; Caraty, A.; Hochereau-de Reviers, M.T.; Perreau, C.; Saumande, J. Effect of cryptorchidism in the ram: Changes in the concentrations of testosterone and estradiol and receptors for LH and FSH in the testis, and its histology. Mol. Cell Endocrinol. 1982, 28, 13–25. [Google Scholar] [CrossRef]
- Pinart, E.; Sancho, S.; Briz, M.D.; Bonet, S.; Garcia, N.; Badia, E. Ultrastructural study of the boar seminiferous epithelium: Changes in cryptorchidism. J. Morphol. 2000, 244, 190–202. [Google Scholar] [CrossRef]
- Bernal-Mañas, C.M.; Morales, E.; Pastor, L.M.; Pinart, E.; Bonet, S.; de la Rosa, P.; Briz, M.D.; Zuasti, A.; Ferrer, C.; Canteras, M. Proliferation and apoptosis of spermatogonia in postpuberal boar (Sus domesticus) testes with spontaneous unilateral and bilateral abdominal cryptorchidism. Acta Histochem. 2005, 107, 365–372. [Google Scholar] [CrossRef] [PubMed]
- Moon, J.H.; Yoo, D.Y.; Jo, Y.K.; Kim, G.A.; Jung, H.Y.; Choi, J.H.; Hwang, I.K.; Jang, G. Unilateral cryptorchidism induces morphological changes of testes and hyperplasia of Sertoli cells in a dog. Lab. Anim. Res. 2014, 30, 185–189. [Google Scholar] [CrossRef]
- Yimpring, N.; Teankum, K.; Srisuwatanasagul, S.; Kunnasut, N.; Am-In, N.; Suriyaphol, G. Alteration of androgen receptor expression, apoptosis and cell proliferation in cryptorchid suckling, nursery and growing-finishing pigs. Theriogenology 2019, 127, 49–55. [Google Scholar] [CrossRef] [PubMed]
- Yin, Y.; Stahl, B.C.; DeWolf, W.C.; Morgentaler, A. P53 and Fas are sequential mechanisms of testicular germ cell apoptosis. J. Androl. 2002, 23, 64–70. [Google Scholar] [CrossRef] [PubMed]
- Johnson, C.; Jia, Y.; Wang, C.; Lue, Y.H.; Swerdloff, R.S.; Zhang, X.S.; Hu, Z.Y.; Li, Y.C.; Liu, Y.X.; Hikim, A.P. Role of caspase 2 in apoptotic signaling in primate and murine germ cells. Biol. Reprod. 2008, 79, 806–814. [Google Scholar] [CrossRef]
- Mariño, G.; Niso-Santano, M.; Baehrecke, E.H.; Kroemer, G. Self-consumption: The interplay of autophagy and apoptosis. Nat. Rev. Mol. Cell Biol. 2014, 15, 81–94. [Google Scholar] [CrossRef] [PubMed]
- Wei, Y.; Zhou, Y.; Tang, X.L.; Liu, B.; Shen, L.J.; Long, C.L.; Lin, T.; He, D.W.; Wu, S.D.; Wei, G.H. Testicular developmental impairment caused by flutamide-induced and DEHP-induced cryptorchid rat models is mediated by excessive apoptosis and deficient autophagy. Toxicol. Mech. Methods 2018, 28, 507–519. [Google Scholar] [CrossRef]
- Zheng, Y.; Zhang, P.; Zhang, C.; Zeng, W. Surgery-induced cryptorchidism induces apoptosis and autophagy of spermatogenic cells in mice. Zygote 2019, 27, 101–110. [Google Scholar] [CrossRef]
- Yefimova, M.G.; Buschiazzo, A.; Burel, A.; Lavault, M.T.; Pimentel, C.; Jouve, G.; Jaillard, S.; Jegou, B.; Bourmeyster, N.; Ravel, C. Autophagy is increased in cryptorchid testis resulting in abnormal spermatozoa. Asian J. Androl. 2019, 21, 570–576. [Google Scholar] [PubMed]
- Yue, M.; Fan, X.; Liu, Y.; Yue, W.; Ren, G.; Zhang, J.; Zhang, X.; Li, Q.; He, J. Effects of body temperature on the expression and localization of meiosis-related proteins STRA8 and SCP3 in boar testes. Acta Histochem. 2019, 121, 718–723. [Google Scholar] [CrossRef] [PubMed]
- França, L.R.; Godinho, C.L. Testis morphometry, seminiferous epithelium cycle length, and daily sperm production in domestic cats (Felis catus). Biol. Reprod. 2003, 68, 1554–1561. [Google Scholar] [CrossRef]
- França, L.R.; Silva, V.A., Jr.; Chiarini-Garcia, H.; Garcia, S.K.; Debeljuk, L. Cell proliferation and hormonal changes during postnatal development of the testis in the pig. Biol. Reprod. 2000, 63, 1629–1636. [Google Scholar] [CrossRef]
- Johnson, L.; Neaves, W.B. Age-related changes in the Leydig cell population, seminiferous tubules, and sperm production in stallions. Biol. Reprod. 1981, 24, 703–712. [Google Scholar] [CrossRef]
- ABERCROMBIE, M. Estimation of nuclear population from microtome sections. Anat. Rec. 1946, 94, 239–247. [Google Scholar] [CrossRef]
- Jegou, B.; Peake, R.A.; Irby, D.C.; de Kretser, D.M. Effects of the induction of experimental cryptorchidism and subsequent orchidopexy on testicular function in immature rats. Biol. Reprod. 1984, 30, 179–187. [Google Scholar] [CrossRef] [PubMed]
- Rode, K.; Sieme, H.; Richterich, P.; Brehm, R. Characterization of the equine blood-testis barrier during tubular development in normal and cryptorchid stallions. Theriogenology 2015, 84, 763–772. [Google Scholar] [CrossRef]
- Pörtner, C.; Rode, K.; Hollenbach, J.; Thiemeyer, H.; Beineke, A.; Günzel-Apel, A.R.; Brehm, R. Expression of claudin-11 in canine prepubertal testes, and in canine adult testes showing normal spermatogenesis, impaired spermatogenesis, or testicular neoplasia. Theriogenology 2020, 148, 122–131. [Google Scholar] [CrossRef]
- Bortolussi, M.; Zanchetta, R.; Belvedere, P.; Colombo, L. Sertoli and Leydig cell numbers and gonadotropin receptors in rat testis from birth to puberty. Cell Tissue Res. 1990, 260, 185–191. [Google Scholar] [CrossRef] [PubMed]
- Ye, L.; Su, Z.J.; Ge, R.S. Inhibitors of testosterone biosynthetic and metabolic activation enzymes. Molecules 2011, 16, 9983–10001. [Google Scholar] [CrossRef]
- Markewitz, M.; Lattimer, J.K.; Veenema, R.J. A comparative study of germ cell kinetics in the testes of children with unilateral cryptorchidism: A preliminary report. Fertil. Steril. 1970, 21, 806–815. [Google Scholar] [CrossRef]
- Mizuno, K.; Hayashi, Y.; Kojima, Y.; Nakane, A.; Tozawa, K.; Kohri, K. Activation of NF-kappaB associated with germ cell apoptosis in testes of experimentally induced cryptorchid rat model. Urology 2009, 73, 389–393. [Google Scholar] [CrossRef] [PubMed]
- Kanter, M.; Aktas, C.; Erboga, M. Heat stress decreases testicular germ cell proliferation and increases apoptosis in short term: An immunohistochemical and ultrastructural study. Toxicol. Ind. Health 2013, 29, 99–113. [Google Scholar] [CrossRef] [PubMed]
- Kuma, A.; Matsui, M.; Mizushima, N. LC3, an autophagosome marker, can be incorporated into protein aggregates independent of autophagy: Caution in the interpretation of LC3 localization. Autophagy 2007, 3, 323–328. [Google Scholar] [CrossRef] [PubMed]








| Parameter | Age (20 Days) | Age (7–9 Months) | |
|---|---|---|---|
| Preweaning (n = 6) | Cryptorchid (n = 6) | Contrascrotal (n = 6) | |
| Testis weight (g) | 4.17 ± 0.12 f | 68.41 ± 9.54 e | 311.06 ± 10.06 d |
| Seminiferous tubule (%) a | 38.83 ± 1.57 e | 66.88 ± 8.22 d | 69.07 ± 4.03 d |
| Seminiferous tubules: | |||
| Diameter (μm) | 49.19 ± 1.80 f | 122.74 ± 1.78 e | 225.35 ± 1.61 d |
| Length (m per testis) | 474.07 ± 17.80 f | 3331.27 ± 81.15 e | 4837.65 ± 276.21 d |
| Germ cell: | |||
| No. per cross-section b | 1.04 ± 0.08 e | 2.92 ± 0.17 e | 115.61 ± 1.91 d |
| No. per Testis (×108) | 0.84 ± 0.03 e | 16.2 ± 0.94 e | 895.41 ± 17.13 d |
| Sertoli cell: | |||
| Nuclei per cross-section c | 17.78 ± 0.51 e | 25.96 ± 0.30 e | 19.85± 1.36 d |
| Nuclear diameter (μm) | 6.37 ± 0.12 e | 6.45 ± 0.49 e | 8.41 ± 0.47 d |
| No. per Testis (×108) | 14.05 ± 0.72 e | 140.26 ± 1.58 d | 149.55 ± 10.26 d |
| Group (n = 6) | Expression of PCNA | Apoptosis | Expression of LC3 | |||
|---|---|---|---|---|---|---|
| Germ Cells | Sertoli Cells | Germ Cells | Sertoli Cells | Germ Cells | Sertoli Cells | |
| Preweaning | 2.83 ± 0.37 b,1 | 17.00 ± 1.15 | 1.05 ± 0.23 b | 0 | 3.67 ± 0.94 b,3 | 0 |
| Cryptorchid | 3.29 ± 0.70 b,2 | 0 | 1.17 ± 0.50 b | 0 | 2.15 ± 0.66 b | 0 |
| Contrascrotal | 69.67 ± 3.18 a,2 | 0 | 3.18 ± 1.30 a | 0 | 19.40 ± 0.53 a,4 | 0 |
| Group (n = 6) | Expression of PCNA and LC3 Protein | Expression of PCNA and LC3 mRNA | ||
|---|---|---|---|---|
| PCNA | LC3 | PCNA | LC3 | |
| Preweaning | 0.44 ± 0.03 c | 5.47 ± 0.65 b | 1.08 ± 0.01 c | 1.07 ± 0.03 c |
| Cryptorchid | 0.30 ± 0.01 b | 0.86 ± 0.10 b | 0.96 ± 0.01 b | 0.83 ± 0.02 b |
| Contrascrotal | 0.36 ± 0.01 a | 1.32 ± 0.14 a | 1.06 ± 0.01 a | 1.85 ± 0.05 a |
Publisher’s Note: MDPI stays neutral with regard to jurisdictional claims in published maps and institutional affiliations. |
© 2021 by the authors. Licensee MDPI, Basel, Switzerland. This article is an open access article distributed under the terms and conditions of the Creative Commons Attribution (CC BY) license (https://creativecommons.org/licenses/by/4.0/).
Share and Cite
Fan, X.; Liu, Y.; Yue, M.; Yue, W.; Ren, G.; Zhang, J.; Zhang, X.; He, J. Effect of Cryptorchidism on the Histomorphometry, Proliferation, Apoptosis, and Autophagy in Boar Testes. Animals 2021, 11, 1379. https://doi.org/10.3390/ani11051379
Fan X, Liu Y, Yue M, Yue W, Ren G, Zhang J, Zhang X, He J. Effect of Cryptorchidism on the Histomorphometry, Proliferation, Apoptosis, and Autophagy in Boar Testes. Animals. 2021; 11(5):1379. https://doi.org/10.3390/ani11051379
Chicago/Turabian StyleFan, Xiaorui, Yihui Liu, Meishan Yue, Weidong Yue, Gaoya Ren, Jingwen Zhang, Xinrong Zhang, and Junping He. 2021. "Effect of Cryptorchidism on the Histomorphometry, Proliferation, Apoptosis, and Autophagy in Boar Testes" Animals 11, no. 5: 1379. https://doi.org/10.3390/ani11051379
APA StyleFan, X., Liu, Y., Yue, M., Yue, W., Ren, G., Zhang, J., Zhang, X., & He, J. (2021). Effect of Cryptorchidism on the Histomorphometry, Proliferation, Apoptosis, and Autophagy in Boar Testes. Animals, 11(5), 1379. https://doi.org/10.3390/ani11051379
