Lymphatic Drainage Mapping with Indirect Lymphography for Canine Mammary Tumors
Abstract
Simple Summary
Abstract
1. Introduction
2. Materials and Methods
3. Results
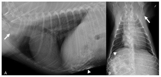
3.1. MGT Localization
3.2. Lymph Node Drainage
4. Discussion
5. Conclusions
Author Contributions
Funding
Institutional Review Board Statement
Informed Consent Statement
Conflicts of Interest
References
- Brodley, R.S.; Goldschmidt, M.H.; Roszel, J.R. Canine Mammary Gland Neoplasms. J. Am. Anim. Hosp. Assoc. 1983, 61–90. [Google Scholar]
- Nowak, M.; Madej, J. Prevalence of Neoplasms in Domestic Animals in Lower Silesia between 2000 and 2004. Med. Weter. 2006, 900–904. [Google Scholar]
- Morrison, W. Canine and feline mammary tumors. In Cancer in Dogs and Cats: Medical and Surgical Management; Morrison, W.B., Ed.; Lippincott Williams and Wilkins: Baltimore, MD, USA, 1998. [Google Scholar]
- Misdorp, W. Tumors of the mammary gland. In Tumors in Domestic Animals; Meuten, D.J., Ed.; State Press: Iowa, IA, USA, 2002; pp. 575–606. [Google Scholar]
- Stratmann, N.; Failing, K.; Richter, A.; Wehrend, A. Mammary Tumor Recurrence in Bitches after Regional Mastectomy. Vet. Surg. 2008, 37, 82–86. [Google Scholar] [CrossRef] [PubMed]
- Peña, L.; De Andrés, P.J.; Clemente, M.; Cuesta, P.; Pérez-Alenza, M.D. Prognostic Value of Histological Grading in Noninflammatory Canine Mammary Carcinomas in a Prospective Study with Two-Year Follow-up: Relationship with Clinical and Histological Characteristics. Vet. Pathol. 2013, 50, 94–105. [Google Scholar] [CrossRef]
- Valdivia, G.; Alonso-Diez, Á.; Pérez-Alenza, D.; Peña, L. From Conventional to Precision Therapy in Canine Mammary Cancer: A Comprehensive Review. Front. Vet. Sci. 2021, 8, 623800. [Google Scholar] [CrossRef]
- Valdron, D. Diagnosis and Surgical Management of Mammary Neoplasia in Dogs and Cats. Vet. Med. 2001, 943–948. [Google Scholar]
- Nowosad, C. Principles of Treatment for Mammary Gland Tumors. Clin. Tech. Small Anim. Pract. 2003, 107–109. [Google Scholar]
- Misdorp, W.; Hart, A. Prognostic Factors in Canine Mammary Cancer. J. Natl. Cancer Inst. 1976, 779–786. [Google Scholar] [CrossRef]
- Fisher, E.R.; Anderson, S.; Redmond, C.; Fisher, B. Pathologic Findings from the National Surgical Adjuvant Breast Project Protocol B-06. 10-Year Pathologic and Clinical Prognostic Discriminants. Cancer 1993, 71, 2507–2514. [Google Scholar] [CrossRef]
- Viale, G.; Bosari, S.; Mazzarol, G.; Galimberti, V.; Luini, A.; Veronesi, P.; Paganelli, G.; Bedoni, M.; Orvieto, E. Intraoperative Examination of Axillary Sentinel Lymph Nodes in Breast Carcinoma Patients. Cancer 1999, 85, 2433–2438. [Google Scholar] [CrossRef]
- Yamagami, T.; Kobayashi, T.; Takahashi, K.; Sugiyama, M. Prognosis for Canine Malignant Mammary Tumors Based on TNM and Histologic Classification. J. Vet. Med. Sci. 1996, 58, 1079–1083. [Google Scholar] [CrossRef] [PubMed]
- Chang, S.-C.; Chang, C.-C.; Chang, T.-J.; Wong, M.-L. Prognostic Factors Associated with Survival Two Years after Surgery in Dogs with Malignant Mammary Tumors: 79 Cases (1998–2002). J. Am. Vet. Med. Assoc. 2005, 227, 1625–1629. [Google Scholar] [CrossRef] [PubMed]
- Matos, A.J.F.; Faustino, A.M.R.; Lopes, C.; Rutteman, G.R.; Gärtner, F. Detection of Lymph Node Micrometastases in Malignant Mammary Tumours in Dogs by Cytokeratin Immunostaining. Vet. Rec. 2006, 158, 626–630. [Google Scholar] [CrossRef] [PubMed]
- Tuohy, J.L.; Milgram, J.; Worley, D.R.; Dernell, W.S. A Review of Sentinel Lymph Node Evaluation and the Need for Its Incorporation into Veterinary Oncology. Vet. Comp. Oncol. 2009, 7, 81–91. [Google Scholar] [CrossRef] [PubMed]
- Newman, L.A. Lymphatic Mapping and Sentinel Lymph Node Biopsy in Breast Cancer Patients: A Comprehensive Review of Variations in Performance and Technique. J. Am. Coll. Surg. 2004, 199, 804–816. [Google Scholar] [CrossRef]
- Somasundaram, S.K.; Chicken, D.W.; Keshtgar, M.R.S. Detection of the Sentinel Lymph Node in Breast Cancer. Br. Med. Bull. 2007, 84, 117–131. [Google Scholar] [CrossRef]
- Liptak, J.M.; Boston, S.E. Nonselective Lymph Node Dissection and Sentinel Lymph Node Mapping and Biopsy. Vet. Clin. North. Am. Small Anim. Pract. 2019, 49, 793–807. [Google Scholar] [CrossRef]
- Brissot, H.N.; Edery, E.G. Use of Indirect Lymphography to Identify Sentinel Lymph Node in Dogs: A Pilot Study in 30 Tumours. Vet. Comp. Oncol. 2017, 15, 740–753. [Google Scholar] [CrossRef]
- Thompson, J.F.; Uren, R.F.; Shaw, H.M.; McCarthy, W.H.; Quinn, M.J.; O’Brien, C.J.; Howman-Giles, R.B. Location of Sentinel Lymph Nodes in Patients with Cutaneous Melanoma: New Insights into Lymphatic Anatomy. J. Am. Coll. Surg. 1999, 189, 195–204. [Google Scholar] [CrossRef]
- Balasubramanian, S.P.; Harrison, B.J. Systematic Review and Meta-Analysis of Sentinel Node Biopsy in Thyroid Cancer. Br. J. Surg. 2011, 98, 334–344. [Google Scholar] [CrossRef]
- Klopfleisch, R.; Schütze, M.; Linzmann, H.; Brunnberg, L.; Gruber, A.D. Increased Derlin-1 Expression in Metastases of Canine Mammary Adenocarcinomas. J. Comp. Pathol. 2010, 142, 79–83. [Google Scholar] [CrossRef]
- Soultani, C.; Patsikas, M.N.; Karayannopoulou, M.; Jakovljevic, S.; Chryssogonidis, I.; Papazoglou, L.; Papaioannou, N.; Papadopoulou, P.; Pavlidou, K.; Ilia, G.M.; et al. Assessment of sentinel lymph node metastasis in canine mammary gland TUMORS USING COMPUTED TOMOGRAPHIC INDIRECT LYMPHOGRAPHY: CT-LG Assessment of Sentinel Lymph nodes metastasis in dogs. Vet. Radiol. Ultrasound 2017, 58, 186–196. [Google Scholar] [CrossRef] [PubMed]
- Mandara, M.T.; Rossi, F.; Lepri, E.; Angeli, G. Cerebellar Leptomeningeal Carcinomatosis in a Dog. J. Small Anim. Pract. 2007, 48, 504–507. [Google Scholar] [CrossRef] [PubMed]
- Turner, R.R.; Ollila, D.W.; Krasne, D.L.; Giuliano, A.E. Histopathologic Validation of the Sentinel Lymph Node Hypothesis for Breast Carcinoma. Ann. Surg. 1997, 226, 271–276. [Google Scholar] [CrossRef]
- Graham, J.C.; Myers, R.K. The Prognostic Significance of Angiogenesis in Canine Mammary Tumors. J. Vet. Intern. Med. 1999, 13, 416–418. [Google Scholar] [CrossRef] [PubMed]
- Veikkola, T.; Karkkainen, M.; Claesson-Welsh, L.; Alitalo, K. Regulation of Angiogenesis via Vascular Endothelial Growth Factor Receptors. Cancer Res. 2000, 60, 203–212. [Google Scholar] [PubMed]
- Pereira, C.T.; Rahal, S.C.; de Carvalho Balieiro, J.C.; Ribeiro, A.A.C.M. Lymphatic Drainage on Healthy and Neoplasic Mammary Glands in Female Dogs: Can It Really Be Altered? Anat. Histol. Embryol. 2003, 32, 282–290. [Google Scholar] [CrossRef] [PubMed]
- Patsikas, M.N.; Dessiris, A. The Lymph Drainage of the Mammary Glands in the Bitch: A Lymphographic Study. Part I: The 1st, 2nd, 4th and 5th Mammary Glands. Anat. Histol. Embryol. 1996, 25, 131–138. [Google Scholar] [CrossRef] [PubMed]
- Patsikas, M.N.; Karayannopoulou, M.; Kaldrymidoy, E.; Papazoglou, L.G.; Papadopoulou, P.L.; Tzegas, S.I.; Tziris, N.E.; Kaitzis, D.G.; Dimitriadis, A.S.; Dessiris, A.K. The Lymph Drainage of the Neoplastic Mammary Glands in the Bitch: A Lymphographic Study. Anat. Histol. Embryol. 2006, 35, 228–234. [Google Scholar] [CrossRef]
- Worley, D.R. Incorporation of Sentinel Lymph Node Mapping in Dogs with Mast Cell Tumours: 20 Consecutive Procedures. Vet. Comp. Oncol. 2014, 12, 215–226. [Google Scholar] [CrossRef]
- Becker, M.; Adler, L.; Panish, J.F. Rectal Lymphangiography in Dogs. Radiology 1968, 91, 1037–1038. [Google Scholar] [CrossRef] [PubMed]
- Gibert, P.; Lee, B.J. Direct Transtissue Intra-Organ Lymphography; Technique and Results. Lymphology 1973, 6, 19–27. [Google Scholar] [PubMed]
- Raghavaiah, N.V.; Jordan, W.P. Prostatic Lymphography. J. Urol. 1979, 121, 178–181. [Google Scholar] [CrossRef]
- Wenzel-Hora, B.I.; Kalbas, B.; Siefert, H.M.; Arndt, J.O.; Schlösser, H.W.; Huth, F. Iotasul, a Water-Soluble (Non-Oily) Contrast Medium for Direct and Indirect Lymphography: Radiological and Morphological Investigations in Dogs. Lymphology 1981, 14, 101–112. [Google Scholar]
- Pecking, A.P.; Desprez-Curely, J.P.; Cluzan, R.V. Tests and imaging of the lymphatic system. Rev. Med. Interne 2002, 23 (Suppl. 3), 391s–397s. [Google Scholar] [CrossRef]
- Mayer, M.N.; Kraft, S.L.; Bucy, D.S.; Waldner, C.L.; Elliot, K.M.; Wiebe, S. Indirect Magnetic Resonance Lymphography of the Head and Neck of Dogs Using Gadofluorine M and a Conventional Gadolinium Contrast Agent: A Pilot Study. Can. Vet. J. 2012, 53, 1085–1090. [Google Scholar]
- Pereira, C.T.; Marques, F.L.N.; Williams, J.; Martin, B.W.D.; Bombonato, P.P. 99mTc-LABELED DEXTRAN FOR MAMMARY LYMPHOSCINTIGRAPHY IN DOGS. Vet. Radiol. Ultrasound 2008, 49, 487–491. [Google Scholar] [CrossRef]



| Signalament | Mammary Gland Tumors Localization and Dimensions (mm) | Lymph Node Drainage | Further Lymph Node Drainage | Histopathology of the Mammary Tumor” | Metastatic Lymph Nodes Involvement |
|---|---|---|---|---|---|
| 1. German Shepard 6 yr, f, 36 kg. | -left m3 (60 ×d80 mm) -left m5 (50 × 60 mm) | -left axillary ln -left inguinal ln | -left medial iliac ln | -ductal carcinoma I grade | no |
| 2. Mixed breed 8 yr, f, 10 kg. | -left m5 (23 × 25 mm) | -left inguinal ln | -left iliac ln | -ductal carcinoma I grade | no |
| 3. Mixed breed 6 yr, f, 12 kg. | -left m4 (12 × 15 mm) -left m5 (2 × 5 mm) | -left inguinal ln | -left iliac ln | -ductal carcinoma I grade | no |
| 4. Staffordshire 8 yr, f, 28 kg. | -right m4 (4 × 2 × 1 mm) | -right inguinal ln | -n/a | -complex carcinoma I grade | no |
| 5. Labrador retriever, 9 yr, f, 32 kg. | -right m5 (10 × 7.6 mm) | -right inguinal ln | -n/a | -mix carcinoma I grade | no |
| 6. Maltese 8 yr, f, 4 kg. | -left m4 (20 × 35 mm) | -left inguinal ln | -left iliac ln | -micropapillary carcinoma I grade | |
| 7. German Shepard 13 yr, fs, 33 kg. | -right m5 (20 × 20 × 10 mm) -left m4 (5 × 4 × 10 mm) | -right inguinal ln -left inguinal ln | -n/a | -ductal carcinoma II grade right and left. | no |
| 8. Yorkshire 13 yr, f, 7 kg. | -right m4 (10 × 1 mm) -right m5 (12 × 20 mm) -left m4 (10 × 20 mm) -left m5 (20 × 20 mm) | -right inguinal ln -left inguinal ln | -n/a | -right complex adenoma -ductal carcinoma I grade left infection disease | no |
| 9. Doberman Pinscher 4 yr, f, 3 kg. | -right m3 (30 × 40 mm) | -left axillary ln | -n/a | -adenoma | no |
| 10. Cocker Spaniel 10 yr, f, 12 kg. | -left m3 (22 × 25 mm) -left m5 (26 × 4 mm) | -left axillary ln | accessory axillary ln | -fibroadenoma simplex adenoma | no |
| 11. Pitbull terrier 9 yr, f, 22 kg. | -right m5 (20 × 20 mm) | -right inguinal ln | -ductal carcinoma I and III grade | yes | |
| 12. Epageul Breton 13 yr, fs, 13 kg. | -left m3 (5 × 5 mm) -left m5 (10 × 20 mm) | -left axillary ln -left inguinal ln | -carcinoma I grade -ductal complex carcinoma II grade | yes | |
| 13. Cocker Spaniel 12 yr, f, 12 kg. | -left m4 (10 × 12 mm) -left m5 (20 × 10 mm) | -left inguinal ln | -adenoma | no | |
| 14. English Setter 10 yr, f, 16 kg. | -Right m3 (12 × 20 mm) -Right m5 (20 × 20 mm) | -Right inguinal ln | -ductal carcinoma I grade | no |
Publisher’s Note: MDPI stays neutral with regard to jurisdictional claims in published maps and institutional affiliations. |
© 2021 by the authors. Licensee MDPI, Basel, Switzerland. This article is an open access article distributed under the terms and conditions of the Creative Commons Attribution (CC BY) license (https://creativecommons.org/licenses/by/4.0/).
Share and Cite
Collivignarelli, F.; Tamburro, R.; Aste, G.; Falerno, I.; Del Signore, F.; Simeoni, F.; Patsikas, M.; Gianfelici, J.; Terragni, R.; Attorri, V.; et al. Lymphatic Drainage Mapping with Indirect Lymphography for Canine Mammary Tumors. Animals 2021, 11, 1115. https://doi.org/10.3390/ani11041115
Collivignarelli F, Tamburro R, Aste G, Falerno I, Del Signore F, Simeoni F, Patsikas M, Gianfelici J, Terragni R, Attorri V, et al. Lymphatic Drainage Mapping with Indirect Lymphography for Canine Mammary Tumors. Animals. 2021; 11(4):1115. https://doi.org/10.3390/ani11041115
Chicago/Turabian StyleCollivignarelli, Francesco, Roberto Tamburro, Giovanni Aste, Ilaria Falerno, Francesca Del Signore, Francesco Simeoni, Michail Patsikas, Jacopo Gianfelici, Rossella Terragni, Valeria Attorri, and et al. 2021. "Lymphatic Drainage Mapping with Indirect Lymphography for Canine Mammary Tumors" Animals 11, no. 4: 1115. https://doi.org/10.3390/ani11041115
APA StyleCollivignarelli, F., Tamburro, R., Aste, G., Falerno, I., Del Signore, F., Simeoni, F., Patsikas, M., Gianfelici, J., Terragni, R., Attorri, V., Carluccio, A., & Vignoli, M. (2021). Lymphatic Drainage Mapping with Indirect Lymphography for Canine Mammary Tumors. Animals, 11(4), 1115. https://doi.org/10.3390/ani11041115

