Pathological Study of Facial Eczema (Pithomycotoxicosis) in Sheep
Simple Summary
Abstract
1. Introduction
2. Materials and Methods
2.1. Ethical Information
2.2. Case History and Clinical Observations
2.3. Biochemical Assay and Statistical Analysis
2.4. P. chartarum Spore Counts
2.5. Animal Cases and Pathological Examination
2.6. Immunohistochemistry
3. Results
3.1. Serum Biochemistry
3.2. P. chartarum Spore Counts
3.3. Pathology
3.3.1. Acute Stage
3.3.2. Chronic Stage
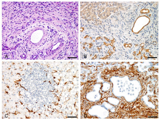
3.4. Immunohistochemistry
4. Discussion
5. Conclusions
Author Contributions
Funding
Institutional Review Board Statement
Data Availability Statement
Acknowledgments
Conflicts of Interest
References
- Smith, B.L.; Embling, P.P. Facial eczema in goats: The toxicity of sporidesmin in goats and its pathology. N. Z. Vet. J. 1991, 39, 18–22. [Google Scholar] [CrossRef] [PubMed]
- Gardiner, D.M.; Waring, P.; Howlett, B. The epipolythiodioxopiperazine (ETP) class of fungal toxins: Distribution, mode of action, functions and biosynthesis. Microbiology 2005, 151, 1021–1032. [Google Scholar] [CrossRef] [PubMed]
- Riet-Correa, F.; Rivero, R.; Odriozola, E.; Adrien, M.D.L.; Medeiros, R.M.T.; Schild, A.L. Mycotoxicoses of ruminants and horses. J. Vet. Diagn. Investig. 2013, 25, 692–708. [Google Scholar] [CrossRef] [PubMed]
- Worker, N.A. A hepatotoxin causing liver damage in facial eczema of sheep. Nature 1960, 185, 909–910. [Google Scholar] [CrossRef] [PubMed]
- Cheeke, P.R. Endogenous toxins and mycotoxins in forage grasses and their effects on livestock. J. Anim. Sci. 1995, 73, 909–918. [Google Scholar] [CrossRef]
- Smith, B.L.; Towers, N.R. Mycotoxicoses of grazing animals in New Zealand. N. Z. Vet. J. 2002, 50, 28–34. [Google Scholar] [CrossRef]
- Di Menna, M.E.; Smith, B.L.; Miles, C.O. A history of facial eczema (pithomycotoxicosis) research. N. Z. J. Agric. Res. 2009, 52, 345–376. [Google Scholar] [CrossRef]
- Marasas, W.F.; Adelaar, T.F.; Kellerman, T.S.; A Minné, J.; Van Rensburg, I.B.; Burroughs, G.W. First report of facial eczema in sheep in South Africa. Onderstepoort J. Vet. Res. 1972, 39, 107–112. [Google Scholar]
- Edwards, J.R.; Richards, R.B.; Love, R.A.; Harrison, M.R.; Gwynn, R.V.R. An abattoir survey of the prevalence of facial eczema in sheep in Western Australia. Aust. Vet. J. 1983, 60, 157. [Google Scholar] [CrossRef]
- Hansen, D.E.; McCoy, R.D.; Hedstrom, O.R.; Snyder, S.P.; Ballerstedt, P.B. Photosensitization associated with exposure to Pithomyces chartarum in lambs. J. Am. Vet. Med. Assoc. 1994, 204, 1668–1671. [Google Scholar]
- Bezille, P.; Braun, J.P.; le Bars, J. First identification of facial eczema in ewes in Europe. Recl. Méd. Vét. 1984, 160, 339–347. [Google Scholar]
- Pinto, C.; Santos, V.M.; Dinis, J.; Peleteiro, M.C.; Fitzgerald, J.M.; Hawkes, A.D.; Smith, B.L. Pithomycotoxicosis (facial eczema) in ruminants in the Azores, Portugal. Vet. Rec. 2005, 157, 805–810. [Google Scholar] [CrossRef]
- Van Wuijckhuise, L.; Snoep, J.; Cremers, G.; Duvivier, A.; Groeneveld, A.; Ottens, W.; Van Der Sar, S. First case of pithomycotoxicosis (facial eczema) in the Netherlands. Tijdschr. Diergeneeskd. 2006, 131, 858–861. [Google Scholar]
- Ozmen, O.; Sahinduran, S.; Haligur, M.; Albay, M.K. Clinicopathological studies on facial eczema outbreak in sheep in Southwest Turkey. Trop. Anim. Health Prod. 2008, 40, 545–551. [Google Scholar] [CrossRef]
- González, L.; Marco, J.C.; Oregui, L.M.; Cuervo, L.; Korkostegi, J.L. Observaciones sobre el eczema facial de las ovejas. In ITEA, Vol Extra, nº 11, Tomo, II; Ed Alabart, J.L., Alberti, P., Blasco, A., García-Marín, J.F., Manrique, E., Purroy, A., Eds.; Editorial Alabart: Zaragoza, Spain, 1991; pp. 674–676. [Google Scholar]
- Ford, E.J.H. Activity of gamma-glutamyl transpeptidase and other enzymes in the serum of sheep with liver or kidney damage. J. Comp. Pathol. 1974, 84, 231–243. [Google Scholar] [CrossRef]
- Thompson, K.G.; Jones, D.H.; Sutherland, R.J.; Camp, B.J. Sporidesmin toxicity in rabbits: Biochemical and morphological changes. J. Comp. Pathol. 1983, 93, 319–329. [Google Scholar] [CrossRef]
- Bonnefoi, M.; Braun, J.P.; Bézille, P.; LeBars, J.; Sawadogo, G.; Thouvenot, J.P. Clinical biochemistry of sporidesmin natural intoxication (facial eczema) of sheep. J. Clin. Chem. Clin. Biochem. 1989, 27, 13–18. [Google Scholar] [CrossRef]
- Towers, N.R.; Stratton, G.C. Serum gamma-glutamyltransferase as a measure of sporidesmin-induced liver damage in sheep. N. Z. Vet. J. 1978, 26, 109–112. [Google Scholar] [CrossRef]
- Smith, B.L. Effects of low dose rates of sporidesmin administered orally to sheep. N. Z. Vet. J. 2000, 48, 176–181. [Google Scholar] [CrossRef]
- Smith, B.L.; Embling, P.P.; Gravett, I.M. Pithomyces chartarum spore counts in rumen contents and faeces of sheep exposed to autumn pasture at three different grazing pressures. J. Appl. Toxicol. 1987, 7, 179–184. [Google Scholar] [CrossRef]
- Strazzabosco, M.; Fiorotto, R.; Cadamuro, M.; Spirli, C.; Mariotti, V.; Kaffe, E.; Scirpo, R.; Fabris, L. Pathophysiologic implications of innate immunity and autoinflammation in the biliary epithelium. Biochim. Biophys. Acta Mol. Basis Dis. 2018, 1864, 1374–1379. [Google Scholar] [CrossRef] [PubMed]
- Lee, S.J.; Park, J.B.; Kim, K.H.; Lee, W.R.; Kim, J.Y.; An, H.J.; Park, K.K. Immunohistochemical study for the origin of ductular reaction in chronic liver disease. Int. J. Clin. Exp. Pathol. 2014, 7, 4076–4085. [Google Scholar] [PubMed]
- Collett, M.G. Bile duct lesions associated with turnip (Brassica rapa) photosensitization compared with those due to sporidesmin toxicosis in dairy cows. Vet. Pathol. 2014, 51, 986–991. [Google Scholar] [CrossRef] [PubMed]
- Friedman, S.L. Hepatic fibrosis-Overview. Toxicology 2008, 254, 120–129. [Google Scholar] [CrossRef]
- Holt, A.P.; Salmon, M.; Buckley, C.D.; Adams, D.H. Immune interactions in hepatic fibrosis or “leucocyte-stromal interactions in hepatic fibrosis”. Clin. Liver Dis. 2008, 12, 861–882. [Google Scholar] [CrossRef]
- Hines, J.E.; Johnson, S.J.; Burt, A.D. In vivo responses of macrophages and perisinusoidal cells to cholestatic liver injury. Am. J. Pathol. 1993, 142, 511–518. [Google Scholar]
- CES. Metereología y climatología. In Estado del Medio Ambiente en Asturias 2003; Consejo Económico y Social (CES) del Principado de Asturias: Oviedo, Spain, 2005; pp. 27–46. [Google Scholar]
- Aiello, S.E.; Mays, A.; Amstuz, H.E.; Anderson, D.P.; Armour, J. El Manual Merck de Veterinaria, 5th ed.; Océano Grupo Editorial SA: Barcelona, Spain, 2000; pp. 2454–2455. [Google Scholar]
- Kellerman, T.S.; Van der Westhuizen, G.C.; Coetzer, J.A.; Roux, C.; Marasas, W.F.; Minne, J.A.; Bath, G.F.; Basson, P.A. Photosensitivity in South Africa. II. The experimental production of the ovine hepatogenous photosensitivity disease geeldikkop (Tribulosis ovis) by the simultaneous ingestion of Tribulus terrestris plants and cultures of Pithomyces chartarum containing the mycotoxin sporidesmin. Onderstepoort J. Vet. Res. 1980, 47, 231–261. [Google Scholar]
- Lindsay, G.C.; Morris, C.A.; Boucher, M.; Capundan, K.; Jordan, T.W. Effects of sporidesmin on cultured biliary tract cells from Romney lambs that differed in their sensitivity to sporidesmin. N. Z. Vet. J. 2018, 66, 325–331. [Google Scholar] [CrossRef]
- Gollan, J.L.; Billing, B.H.; Huang, S.N. Ultrastructural changes in the isolated rat kidney induced by conjugated bilirubin and bile acids. Br. J. Exp. Pathol. 1976, 57, 571–581. [Google Scholar]
- Van Slambrouck, C.M.; Salem, F.; Meehan, S.M.; Chang, A. Bile cast nephropathy is a common pathologic finding for kidney injury associated with severe liver dysfunction. Kidney Int. 2013, 84, 192–197. [Google Scholar] [CrossRef]
- Cullen, J.M.; Stalker, M.J. Liver and biliary system. In Jubb, Kennedy, and Palmer’s Pathology of Domestic Animals, 6th ed.; Maxie, M.G., Ed.; Elsevier: St. Louis, MO, USA, 2016; pp. 258–352. [Google Scholar]
- Tseng, C.A.; Pan, Y.S.; Chen, C.Y.; Liu, C.S.; Wu, D.C.; Wang, W.M.; Jan, C.M. Biliary cystadenocarcinoma associated with atrophy of the left hepatic lobe and hepatolithiasis mimicking intrahepatic cholangiocarcinoma: A case report. Kaohsiung J. Med. Sci. 2004, 20, 198–203. [Google Scholar] [CrossRef]
- Isobe, K.; Nakayama, H.; Uetsuka, K. Relation between lipogranuloma formation and fibrosis, and the origin of brown pigments in lipogranuloma of the canine liver. Comp. Hepatol. 2008, 7, 5. [Google Scholar] [CrossRef]
- Munday, R. Studies on the mechanism of toxicity of the mycotoxin sporidesmin. IV Inhibition by copper-chelating agents of the generation of superoxide radical by sporidesmin. J. Appl. Toxicol. 1985, 5, 69–73. [Google Scholar] [CrossRef]
- López Panqueva, R.P. Useful algorithms for histopathological diagnosis of liver disease based on patterns of liver damage. Rev. Colomb. Gastroenterol. 2016, 31, 436–449. [Google Scholar]
- Babu, C.S.R.; Sharma, M. Biliary tract anatomy and its relationship with venous drainage. J. Clin. Exp. Hepatol. 2014, 4, 518–526. [Google Scholar]
- Nishikawa, Y.; Sone, M.; Nagahama, Y.; Kumagai, E.; Doi, Y.; Omori, Y.; Yoshioka, T.; Tokairin, T.; Yoshida, M.; Yamamoto, Y.; et al. Tumor necrosis factor-α promotes bile ductular transdifferentiation of mature rat hepatocytes in vitro. J. Cell. Biochem. 2013, 114, 831–843. [Google Scholar] [CrossRef]
- Sato, K.; Marzioni, M.; Meng, F.; Francis, H.; Glaser, S.; Alpini, G. Ductular reaction in liver diseases: Pathological mechanisms and translational significances. Hepatology 2019, 69, 420–430. [Google Scholar] [CrossRef]
- Gazdic, M.; Arsenijevic, A.; Markovic, B.S.; Volarevic, A.; Dimova, I.; Djonov, V.; Arsenijevic, N.; Stojkovic, M.; Volarevic, V. Mesenchymal stem cell-dependent modulation of liver diseases. Int. J. Biol. Sci. 2017, 13, 1109–1117. [Google Scholar] [CrossRef]
- Fabregat, I.; Caballero-Díaz, D. Transforming growth factor-β-induced cell plasticity in liver fibrosis and hepatocarcinogenesis. Front. Oncol. 2018, 8, 357. [Google Scholar] [CrossRef]
- Baldus, S.E.; Zirbes, T.K.; Weidner, I.C.; Flucke, U.; Dittmar, E.; Thiele, J.; Dienes, H.P. Comparative quantitative analysis of macrophage populations defined by CD68 and carbohydrate antigens in normal and pathologically altered human liver tissue. Anal. Cell. Pathol. 1998, 16, 141–150. [Google Scholar] [CrossRef]
- Beljaars, L.; Schippers, M.; Reker-Smit, C.; Martinez, F.O.; Helming, L.; Poelstra, K.; Melgert, B.N. Hepatic localization of macrophage phenotypes during fibrogenesis and resolution of fibrosis in mice and humans. Front. Immunol. 2014, 5, 430. [Google Scholar] [CrossRef]
- Roberts, A.B.; Sporn, M.B. Regulation of endothelial cell growth, architecture, and matrix synthesis by TGF-beta. Am. Rev. Respir. Dis. 1989, 140, 126–128. [Google Scholar] [CrossRef] [PubMed]
- Lyons, J.A.; Dickson, P.I.; Wall, J.S.; Passage, M.B.; Ellinwood, N.M.; Kakkis, E.D.; McEntee, M.F. Arterial pathology in canine mucopolysaccharidosis-I and response therapy. Lab. Investig. 2011, 91, 665–674. [Google Scholar] [CrossRef] [PubMed]
- Xing, Z.Z.; Huang, L.Y.; Wu, C.R.; You, H.; Ma, H.; Jia, J.D. Activated rat hepatic stellate cells influence Th1/Th2 profile in vitro. World J. Gastroenterol. 2015, 21, 7165–7171. [Google Scholar] [CrossRef] [PubMed]
- Joshi, N.; Kopec, A.K.; Cline-fedewa, H.; Luyendyk, J.P. Lymphocytes contribute to biliary injury and fibrosis in experimental xenobiotic-induced cholestasis. Toxicology 2017, 377, 73–80. [Google Scholar] [CrossRef]
- Venkatesh, B.; Purushotham, G.; Pramod Kumar, D.; Raghavender, K.B.P. Anatomical distribution of the hepatic artery in sheep. J. Pharmacogn. Phytochem. 2018, SP1, 2529–2533. [Google Scholar]




| Antibody | Clone | Type | Marker For | Antigen Retrieval | Dilution | Source |
|---|---|---|---|---|---|---|
| CD3 | - | Rabbit, Policlonal | T cells | PTLink/pH6/20’ | 1:300 | Dako, Denmark |
| IgG | - | Biotinylated antibody | Plasma cells | PTLink/pH9/20’ | 1:200 | Vector Lab, USA |
| Calprotectin | MAC387 | Mouse, Monoclonal | Macrophages, activated epithelial cells | PTLink/pH9/20’ | 1:200 | Gene Tex, USA |
| Lysozyme | - | Rabbit, Policlonal | Macrophages | PTLink/pH6/20’ | 1:250 | Dako, Denmark |
| CD 206 | MR5D3 | Rat, Monoclonal | Macrophages (mannose receptor) | PTLink/pH6/20’ | 1:100 | Gene Tex, USA |
| TGF β | TGFB-1 | Mouse, Monoclonal | Hepatic stellate cells, Kupffer cells | PTLink/pH6/20’ | 1:200 | GeneTex, USA |
| α-SMA | 1A4 | Mouse, Monoclonal | Smooth muscle cells, Myofibroblasts, HSCs | PTLink/pH9/20’ | 1:100 | Dako, Denmark |
| Pankeratin | Pck26 | Mouse, Monoclonal | Epithelial cells | Trypsin, 15’ | 1:200 | Dako, Denmark |
| Albumin (g/dL) | TP (g/dL) | AST (U/L) | ALP (U/L) | GGT (U/L) | |
|---|---|---|---|---|---|
| (a) No Lesion (n = 62) | 3.72 ± 0.54 a ** (1.69–3.86) | 7.20 ± 0.80 a * (4.81–9.39) | 237.82 ± 142.76 a (89.7–762.6) | 283.39 ± 180.06 a ** (34–954.9) | 156.15 ± 266.28 a *** (40.1–1838.30) |
| (b) Skin lesion (n = 11) | 2.91 ± 0.51 b (2.20–6.17) | 8.05 ± 1.09 b (6.80–10.34) | 244.4 ± 105.60 a (98.10–408.20) | 587.35 ± 447.37 b (127–1444.40) | 628.16 ± 412.69 b (64.80–1348.20) |
| (c) Reference values range | 2.70–3.70 | 5.90–7.80 | 49–123.30 | 26.90–156.10 | 19.60–49.10 |
Publisher’s Note: MDPI stays neutral with regard to jurisdictional claims in published maps and institutional affiliations. |
© 2021 by the authors. Licensee MDPI, Basel, Switzerland. This article is an open access article distributed under the terms and conditions of the Creative Commons Attribution (CC BY) license (https://creativecommons.org/licenses/by/4.0/).
Share and Cite
Fernández, M.; Pérez, V.; Fuertes, M.; Benavides, J.; Espinosa, J.; Menéndez, J.; García-Pérez, A.L.; Ferreras, M.C. Pathological Study of Facial Eczema (Pithomycotoxicosis) in Sheep. Animals 2021, 11, 1070. https://doi.org/10.3390/ani11041070
Fernández M, Pérez V, Fuertes M, Benavides J, Espinosa J, Menéndez J, García-Pérez AL, Ferreras MC. Pathological Study of Facial Eczema (Pithomycotoxicosis) in Sheep. Animals. 2021; 11(4):1070. https://doi.org/10.3390/ani11041070
Chicago/Turabian StyleFernández, Miguel, Valentín Pérez, Miguel Fuertes, Julio Benavides, José Espinosa, Juan Menéndez, Ana L. García-Pérez, and M. Carmen Ferreras. 2021. "Pathological Study of Facial Eczema (Pithomycotoxicosis) in Sheep" Animals 11, no. 4: 1070. https://doi.org/10.3390/ani11041070
APA StyleFernández, M., Pérez, V., Fuertes, M., Benavides, J., Espinosa, J., Menéndez, J., García-Pérez, A. L., & Ferreras, M. C. (2021). Pathological Study of Facial Eczema (Pithomycotoxicosis) in Sheep. Animals, 11(4), 1070. https://doi.org/10.3390/ani11041070

