Immunolocalization of Adrenoceptors in the Reproductive Tract of Male Domestic Cats in Comparison to Rats
Abstract
Simple Summary
Abstract
1. Introduction
2. Materials and Methods
2.1. Tissues
2.2. Antibodies
2.3. Immunohistochemistry
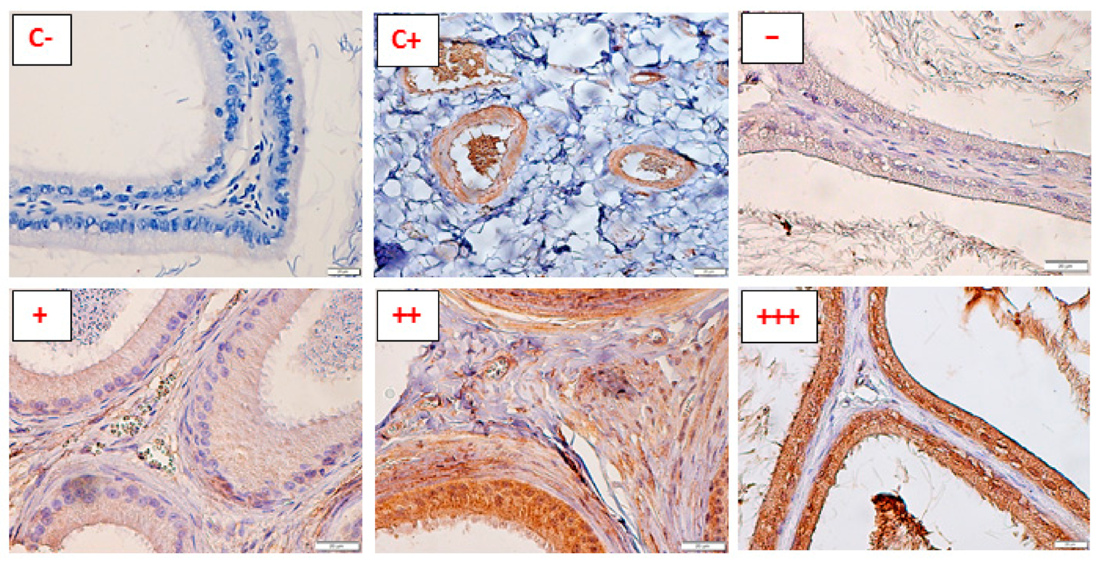
2.4. Analysis of Slides
2.5. Statistical Analysis
3. Results
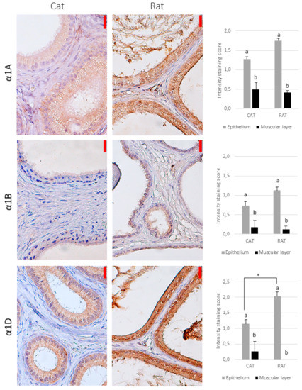
3.1. Smooth Muscles
3.2. Epithelium
4. Discussion
5. Conclusions
Author Contributions
Funding
Institutional Review Board Statement
Data Availability Statement
Conflicts of Interest
References
- Bylund, D.B.; Eikenberg, D.C.; Hieble, J.P.; Langer, S.Z.; Lefkowitz, R.J.; Minneman, K.P.; Molinoff, P.B.; Ruffolo, R.R.; Trendelenburg, U. International Union of Pharmacology nomenclature of adrenoceptors. Pharmacol. Rev. 1994, 46, 121–136. [Google Scholar] [PubMed]
- Akinaga, J.; García-Sáinz, J.A.; Pupo, A.S. Updates in the Function and Regulation of α1-Adrenoceptors. Br. J. Pharmacol. 2019, 176, 2343–2357. [Google Scholar] [CrossRef] [PubMed]
- Philipp, M.; Brede, M.; Hein, L. Physiological significance of α2-adrenergic receptor subtype diversity: One receptor is not enough. Am. J. Physiol. Integr. Comp. Physiol. 2002, 283, R287–R295. [Google Scholar] [CrossRef]
- Velmurugan, B.K.; Baskaran, R.; Huang, C.-Y. Detailed insight on β-adrenoceptors as therapeutic targets. Biomed. Pharmacother. 2019, 117. [Google Scholar] [CrossRef] [PubMed]
- Elfgen, V.; Mietens, A.; Mewe, M.; Hau, T.; Middendorff, R. Contractility of the epididymal duct—Function, regulation and potential drug effects. Reproduction 2018, 156, R125–R141. [Google Scholar] [CrossRef] [PubMed]
- Trachte, G.J. Adrenergic receptors mediating prostaglandin production in the rabbit vas deferens. Prostaglandins 1987, 33, 25–35. [Google Scholar] [CrossRef]
- Sanbe, A.; Tanaka, Y.; Fujiwara, Y.; Tsumura, H.; Yamauchi, J.; Cotecchia, S.; Koike, K.; Tsujimoto, G.; Tanoue, A. α1-Adrenoceptors are required for normal male sexual function. Br. J. Pharmacol. 2007, 152, 332–340. [Google Scholar] [CrossRef]
- Van Dijk, M.M.; De La Rosette, J.J.M.C.H.; Michel, P.M.C. Effects of α1-Adrenoceptor Antagonists on Male Sexual Function. Drugs 2006, 66, 287–301. [Google Scholar] [CrossRef]
- Chang, R.S.; Lotti, V.J. Characterization of β-adrenergic receptors in the rat vas deferens using [3H]-dihyroalprenolol binding. Life Sci. 1983, 32, 2603–2609. [Google Scholar] [CrossRef]
- Chaturapanich, G.; Maythaarttaphong, S.; Verawatnapakul, V.; Pholpramool, C. Mediation of contraction in rat cauda epididymidis by alpha-adrenoceptors. Reproduction 2002, 124, 887–892. [Google Scholar] [CrossRef]
- Borda, E.S.; Peredo, H.; Gimeno, M.F. Alpha adrenergic stimulation modified prostaglandins release in vas deferens. Prostaglandins 1983, 26, 701–710. [Google Scholar] [CrossRef]
- Haynes, J.M.; Hill, S.J. α-Adrenoceptor mediated responses of the cauda epididymis of the guinea-pig. Br. J. Pharmacol. 1996, 119, 1203–1210. [Google Scholar] [CrossRef] [PubMed]
- Hedqvist, P.; Von Euler, U.S. Inhibition by α- and β-adrenoceptors of the twitch response to transmural stimulation in the guinea-pig vas deferens. Eur. J. Pharmacol. 1976, 40, 153–162. [Google Scholar] [CrossRef]
- Zambelli, D.; Prati, F.; Cunto, M.; Iacono, E.; Merlo, B. Quality and in vitro fertilizing ability of cryopreserved cat spermatozoa obtained by urethral catheterization after medetomidine administration. Theriogenology 2008, 69, 485–490. [Google Scholar] [CrossRef] [PubMed]
- Prochowska, S.; Niżański, W.; Ochota, M.; Partyka, A. Characteristics of urethral and epididymal semen collected from domestic cats—A retrospective study of 214 cases. Theriogenology 2015, 84, 1565–1571. [Google Scholar] [CrossRef]
- Uniprot Data Base. Available online: http://www.uniprot.org/ (accessed on 10 October 2012).
- Daly, C.; McGrath, J. Previously unsuspected widespread cellular and tissue distribution of β-adrenoceptors and its relevance to drug action. Trends Pharmacol. Sci. 2011, 32, 219–226. [Google Scholar] [CrossRef] [PubMed]
- Borde, E.; Agostini, M.D.C.; Gimeno, M.; Gimeno, A. Alpha and beta sympathetic responses to isoproterenol by the isolated rat vas deferens. Pharmacol. Res. Commun. 1981, 13, 487–499. [Google Scholar] [CrossRef]
- Laitinen, L.; Talo, A. Effects of adrenergic and cholinergic drugs on electrical and mechanical activities of the rat cauda epididymidis in vitro. Reproduction 1981, 63, 205–209. [Google Scholar] [CrossRef]
- Pacini, E.S.A.; Castilho, A.C.S.; Hebeler-Barbosa, F.; Pupo, A.S.; Kiguti, L.R.A. Contraction of Rat Cauda Epididymis Smooth Muscle to α1-Adrenoceptor Activation Is Mediated by α1A-Adrenoceptors. J. Pharmacol. Exp. Ther. 2018, 366, 21–28. [Google Scholar] [CrossRef]
- Pholpramool, C.; Triphrom, N. Effects of cholinergic and adrenergic drugs on intraluminal pressures and contractility of the rat testis and epididymis in vivo. Reproduction 1984, 71, 181–188. [Google Scholar] [CrossRef]
- Queiróz, D.B.; Mendes, F.R.; Porto, C.S.; Avellar, M.C.W. α1-Adrenoceptor Subtypes in Rat Epididymis and the Effects of Sexual Maturation1. Biol. Reprod. 2002, 66, 508–515. [Google Scholar] [CrossRef]
- Queiróz, D.B.C.; Porto, C.S.; Grossman, G.; Petrusz, P.; Avellar, M.C.W. Immunolocalization of α1A-adrenoceptors in rat and human epididymis. Cell Tissue Res. 2008, 332, 509–522. [Google Scholar] [CrossRef]
- Ventura, S.; Pennefather, J.N. Sympathetic co-transmission to the cauda epididymis of the rat: Characterization of postjunctional adrenoceptors and purinoceptors. Br. J. Pharmacol. 1991, 102, 540–544. [Google Scholar] [CrossRef]
- Ventura, S.; Pennefather, J.N. α2-adrenoceptor binding sites vary along the length of the male reproductive tract: A possible basis for the regional variation in response to field stimulation. Eur. J. Pharmacol. 1994, 254, 167–173. [Google Scholar] [CrossRef]
- May, J.M.; Abel, P.W.; Minneman, K.P. Binding of agonists and antagonists to β-adrenoceptors in rat vas deferens: Relationship to functional response. Naunyn-Schmiedeberg’s Arch. Pharmacol. 1985, 331, 324–333. [Google Scholar] [CrossRef]
- Mewe, M.; Wulfsen, I.; Middendorff, R.; Bauer, C.K. Differential modulation of bovine epididymal activity by oxytocin and noradrenaline. Reproduction 2007, 134, 493–501. [Google Scholar] [CrossRef]
- Chan, H.C.; Fu, W.O.; Chung, Y.W.; Zhou, T.S.; Wong, P. Adrenergic Receptors on Cultured Rat Epididymal Cells: Regulation of CI− Conductances. Biol. Reprod. 1994, 51, 1040–1045. [Google Scholar] [CrossRef][Green Version]
- Ricker, D.D.; Chamness, S.L.; Hinton, B.T.; Chang, T.S.K. Changes in luminal fluid protein composition in the rat cauda epididymis following partial sympathetic denervation. J. Androl. 1996, 17, 117–126. [Google Scholar]
- Mackenzie, J.F.; Daly, C.J.; Pediani, J.D.; McGrath, J.C. Quantitative imaging in live human cells reveals intracellular α1-adrenoceptor ligand-binding sites. J. Pharmacol. Exp. Ther. 2000, 294, 434–443. [Google Scholar]
- Hirasawa, A.; Awaji, T.; Xu, Z.; Shinoura, H.; Tsujimoto, G. Regulation of subcellular localization of α1-adrenoceptor subtypes. Life Sci. 2001, 68, 2259–2267. [Google Scholar] [CrossRef]




| Adrenoceptor Subtype | Epididymis | Vas Deferens | ||
|---|---|---|---|---|
| Caput | Corpus | Cauda | ||
| α1A | −/+ | −/+ | + | −/+ |
| α1B | − | − | − | − |
| α1D | − | − | − | −/+ |
| α2A | − a | + a | +/++ a,b | ++ b |
| α2B | −/+ | −/+ | + | + |
| α2C | − | − | −/+ | + |
| β1 | − | − | −/+ | + |
| β2 | −/+ | + | + | + |
| β3 | −/+ | + | −/+ | + |
| Adrenoceptor Subtype | Epididymis | Vas Deferens | ||
|---|---|---|---|---|
| Caput | Corpus | Cauda | ||
| α1A | + | +/++ | + | + |
| α1B | + | + | −/+ | −/+ |
| α1D | ++ a | −/+ b | + a,b | + a,b |
| α2A | + | + | ++ | + |
| α2B | + | + | +/++ | + |
| α2C | + | + | + | +/++ |
| β1 | + | +/++ | +/++ | + |
| β2 | ++ | ++ | ++/+++ | ++ |
| β3 | + | + | + | +/++ |
Publisher’s Note: MDPI stays neutral with regard to jurisdictional claims in published maps and institutional affiliations. |
© 2021 by the authors. Licensee MDPI, Basel, Switzerland. This article is an open access article distributed under the terms and conditions of the Creative Commons Attribution (CC BY) license (https://creativecommons.org/licenses/by/4.0/).
Share and Cite
Prochowska, S.; Dzimira, S.; Tomaszek, A.; Niżański, W. Immunolocalization of Adrenoceptors in the Reproductive Tract of Male Domestic Cats in Comparison to Rats. Animals 2021, 11, 1049. https://doi.org/10.3390/ani11041049
Prochowska S, Dzimira S, Tomaszek A, Niżański W. Immunolocalization of Adrenoceptors in the Reproductive Tract of Male Domestic Cats in Comparison to Rats. Animals. 2021; 11(4):1049. https://doi.org/10.3390/ani11041049
Chicago/Turabian StyleProchowska, Sylwia, Stanisław Dzimira, Alicja Tomaszek, and Wojciech Niżański. 2021. "Immunolocalization of Adrenoceptors in the Reproductive Tract of Male Domestic Cats in Comparison to Rats" Animals 11, no. 4: 1049. https://doi.org/10.3390/ani11041049
APA StyleProchowska, S., Dzimira, S., Tomaszek, A., & Niżański, W. (2021). Immunolocalization of Adrenoceptors in the Reproductive Tract of Male Domestic Cats in Comparison to Rats. Animals, 11(4), 1049. https://doi.org/10.3390/ani11041049

