Four Unusual Cases of Congenital Forelimb Malformations in Dogs
Abstract
Simple Summary
Abstract
1. Introduction
2. Case Presentations
2.1. Ethical Statement
2.2. Clinical Examination
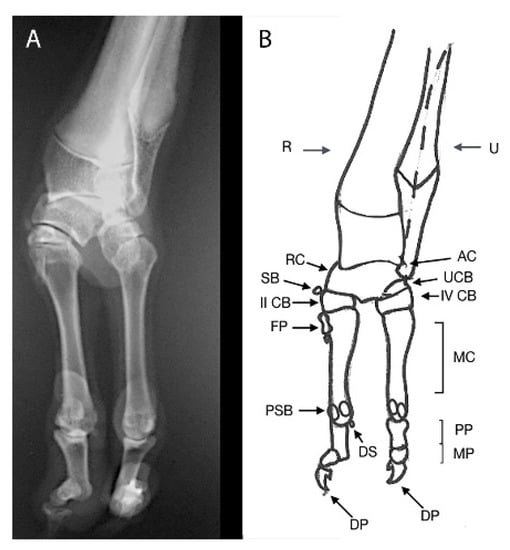
2.3. Case 1
2.4. Case 2
2.5. Case 3
2.6. Case 4
3. Discussion
4. Conclusions
Author Contributions
Funding
Institutional Review Board Statement
Informed Consent Statement
Data Availability Statement
Conflicts of Interest
References
- Breur, G.J.; Lust, G.; Todhunter, R.J. Genetics of canine hip dysplasia and other orthopaedic traits. In The Genetics of the Dog; CABI Publishing: Wallingford, UK, 2009; pp. 267–298. [Google Scholar]
- Towle, H.A.M.; Breur, G.J. Dysostoses of the canine and feline appendicular skeleton. J. Am. Vet. Med. Assoc. 2004, 225, 1685–1692. [Google Scholar] [CrossRef] [PubMed]
- Di Dona, F.; Della Valle, G.; Meomartino, L.; Lamagna, F.; Fatone, G. Congenital deformity of the distal extremities in three dogs. Open Vet. J. 2016, 6, 228–233. [Google Scholar] [CrossRef]
- Ruvinsky, A. Developmental Genetics. In The Genetics of the Dog; Ruvinsky, A., Sampson, J., Eds.; CAB International: Wallingford, UK, 2001. [Google Scholar]
- Gilbert, S.F. Development of the tetrapod limb. In Developmental Biology, 7th ed.; Sinauer Associates Inc.: Sunderland, MA, USA, 2003. [Google Scholar]
- Noden, D.; De Lahunta, A. Limb development In The Embryology of Domestic Animals: Developmental Mechanisms and Malformations; Noden, D.M., De Lahunta, A., Eds.; Williams & Williams Co.: Baltimore, MD, USA, 1985; pp. 196–221. [Google Scholar]
- Blevins, W.E.; Breur, G.J.; Kim, J. Morphological and functional evaluation of a dog with dimelia. Vet. Comp. Orthop. Traumatol. 2006, 19, 255–258. [Google Scholar] [CrossRef]
- Montgomery, R.; McEwen, V.; Lockwood, A. Bilateral radial hemimelia, polydactyly and cardiomegaly in two cats. Vet. Comp. Orthop. Traumatol. 2009, 22, 511–513. [Google Scholar] [CrossRef] [PubMed]
- Carvallo, F.R.; Domínguez, A.S.; Morales, P.C. Bilateral ectrodactyly and spinal deformation in a mixed-breed dog. Can. Vet. J. 2011, 52, 47–49. [Google Scholar]
- Macrì, F.; Lanteri, G.; Rapisarda, G.; Marino, F. Unilateral forelimb partial aphalangia in a kitten. J. Feline Med. Surg. 2012, 14, 272–275. [Google Scholar] [CrossRef] [PubMed]
- Pisoni, L.; Cinti, F.; Del Magno, S.; Joechler, M. Bilateral radial hemimelia and multiple malformations in a kitten. J. Feline Med. Surg. 2012, 14, 598–602. [Google Scholar] [CrossRef]
- Wrzosek, M.; Płonek, M.; Zeira, O.; Bieżyński, J.; Kinda, W.; Guziński, M. Congenital bipartite atlas with hypodactyly in a dog: Clinical, radiographic and CT findings. J. Small Anim. Pr. 2014, 55, 375–378. [Google Scholar] [CrossRef]
- Macrì, F.; De Majo, M.; Rapisarda, G.; Mazzullo, G. Two cases of feline ectromelia: Autopodium ectromelia associated with humero-ulnar synostosis and zeugopodium ectromelia. J. Feline Med. Surg. 2009, 11, 731–734. [Google Scholar] [CrossRef]
- Barrand, K.R. Ectrodactyly in a West Highland white terrier. J. Small Anim. Pract. 2004, 45, 315–318. [Google Scholar] [CrossRef]
- Alam, M.R.; Heo, S.Y.; Lee, H.B.; Kim, J.H.; Park, Y.J.; Lee, K.C.; Choi, I.H.; Kim, N.S. Preaxial longitudinal intercalary radial hemimelia in a dog: A case report. Vet. Med. 2006, 51, 118–123. [Google Scholar]
- Macrì, F.; Marino, F.; Rapisarda, G.; Lanteri, G.; Mazzullo, G. A Case of Unilateral Pelvic Limb Adactyly in a Puppy Dog. Anat. Histol. Embryol. 2010, 40, 104–106. [Google Scholar] [CrossRef]
- Macrì, F.; Ciotola, F.; Rapisarda, G.; Lanteri, G.; Albarella, S.; Aiudi, G.; Liotta, L.; Marino, F. A rare case of simple syndactyly in a puppy. J. Small Anim. Pr. 2013, 55, 170–173. [Google Scholar] [CrossRef] [PubMed]
- Macrì, F.; Di Pietro, S.; Palumbo Piccionello, A.; Rapisarda, G.; Lanteri, G.; Angileri, V.; Marino, F. A rare case of partial paraxial radial hemimelia in a puppy: A case report. Vet. Med. 2017, 62, 681–684. [Google Scholar] [CrossRef]
- Cornillie, P.; Van Lancker, S.; Simoens, P. Two Cases of Brachymelia in Cats. Anat. Histol. Embryol. 2004, 33, 115–118. [Google Scholar] [CrossRef]
- World Association of Veterinary Anatomists. Nomina Embryologica Veterinaria (Second Edition). 2017. Available online: http://www.wavaamav.org/Downloads/nev_2017.pdf (accessed on 8 March 2021).
- Ogino, T. Clinical features and teratogenic mechanisms of congenital absence of digits. Dev. Growth Differ. 2007, 49, 523–531. [Google Scholar] [CrossRef]
- Kornak, U.; Mundlos, S. Genetic Disorders of the Skeleton: A Developmental Approach. Am. J. Hum. Genet. 2003, 73, 447–474. [Google Scholar] [CrossRef] [PubMed]
- Al-Qattan, M.; Al-Sahabi, A.; Al-Arfaj, N. Ulnar Ray Deficiency: A Review of the Classification Systems, the Clinical Features in 72 Cases, and Related Developmental Biology. J. Hand Surg. 2010, 35, 699–707. [Google Scholar] [CrossRef] [PubMed]
- Afzal, M.; Malik, S. Longitudinal deficiency of upper limb: Similar case presentation of two subjects with unilateral ulnar hemimelia, carpal and metacarpal deficiency, and severe oligodactyly. Asian Biomed. 2014, 8, 569–575. [Google Scholar] [CrossRef]
- Lee, M.-I.; Kwak, H.-H.; Kim, J.-H.; Shin, H.-S.; Woo, H.-M.; Kang, B.-J. Surgical Ectrodactyly Repair Using Limb-lengthening and Bone Tissue Engineering Techniques in a Toy Dog Breed. In Vivo 2020, 34, 815–824. [Google Scholar] [CrossRef]
- McKee, W.M.; Mitchell, R.A.S.; Innes, J.F.; Lascelles, B.D.X.; Johnson, K.A. Surgical reconstruction of ectrodactyly deformity in four dogs. Vet. Comp. Orthop. Traumatol. 2001, 14, 201–209. [Google Scholar] [CrossRef]
- Ferreira, M.P.; Alievi, M.M.; Dal-Bó, I.D.S.; Nóbrega, F.S.; Gonzalez, P.C.S.; Beck, C.A.D.C. Surgical management of ectrodactyly in a dog. Semina Ciências Agrárias 2016, 37, 891. [Google Scholar] [CrossRef][Green Version]
- Tchaprazov, T.; Kostov, D.; Vladova, D. A case of ectrodactyly in a chow chow dog. Trakia. J. Sci. 2007, 5, 69–72. [Google Scholar]
- Harasen, G. Surgical management of ectrodactyly in a Siberian husky. Can. Vet. J. La Rev. Vet. Can. 2010, 51, 421–424. [Google Scholar]
- Frantz, C.H.; O’Rahilly, R. Ulnar hemimelia. Artif. Limbs 1971, 15, 25–35. [Google Scholar] [PubMed]
- Towle, H.A.; Breur, G.J. Miscellaneous orthopedic conditions. In Veterinary Surgery: Small Animal; Tobias, K.M., Johnston, S.A., Eds.; Elsevier Saunders: St. Louis, MI, USA, 2012; Volume 1, pp. 1112–1126. [Google Scholar]
- Alonso, R.A.; Hernandez, A.; Diaz, P.; Cantú, J.M. An autosomal recessive form of hemimelia in dogs. Vet. Rec. 1982, 110, 128–129. [Google Scholar] [CrossRef] [PubMed]
- Cole, R.J.; Manske, P.R. Classification of ulnar deficiency according to the thumb and first web. J. Hand Surg. 1997, 22, 479–488. [Google Scholar] [CrossRef]
- Riegger-Krugh, C.; Millis, D.L.; Weigel, J.P. Canine Anatomy. In Canine Rehabilitation and Physical Therapy, 2nd ed.; WB Saunders Co.: St. Louis, MO, USA, 2014; pp. 41–78. [Google Scholar]
- Pratschke, K. A case of ectrodactyly in a dog. Irish. Vet. J. 1996, 49, 412–413. [Google Scholar]
- Carrig, C.; Wortman, J.; Morris, E.; Blevins, W.; Root, C.; Hanlon, G.; Suter, P. Ectrodactyly (split‐hand deformity) in the dog. Vet. Radiol. 1981, 22, 123–144. [Google Scholar] [CrossRef]
- Mehrjerdi, H.K.; Hayati, F.; Sardari, K.; Mirshahi, A.; Gachpaz, S. Ectrodactyly in a mix breed dog. Iran. J. Vet. Surg. 2008, 3, 87–91. [Google Scholar]
- Pisoni, L.; Del Magno, S.; Cinti, F.; Dalpozzo, B.; Bellei, E.; Cloriti, E.; Joechler, M. Surgical induction of metacarpal synostosis for treatment of ectrodactyly in a dog. Vet. Comp. Orthop. Traumatol. 2014, 27, 166–171. [Google Scholar] [CrossRef] [PubMed]
- Towle, H.; Friedlander, K.; Ko, R.; Aper, R.; Breur, G. Surgical treatment of simple syndactylism with secondary deep digital flexor tendon contracture in a Basset Hound. Vet. Comp. Orthop. Traumatol. 2007, 20, 219–223. [Google Scholar] [CrossRef]
- Kozin, H.S. Syndactyly. J. Hand Surg. 2001, 1, 1–13. [Google Scholar] [CrossRef]
- Dao, K.D.; Shin, A.Y.; Billings, A.; Oberg, K.C.; Wood, V.E. Surgical Treatment of Congenital Syndactyly of the Hand. J. Am. Acad. Orthop. Surg. 2004, 12, 39–48. [Google Scholar] [CrossRef] [PubMed]
- Richardson, E.F.; Wey, P.D.; Hoffman, L. Surgical management of syndactyly in a dog. J. Am. Vet. Med. Assoc. 1994, 205, 1149–1151. [Google Scholar]
- Schultz, V.; Watson, A.G. Lumbosacral transitional vertebra and thoracic limb malformations in a Chihuahua puppy. J. Am. Anim. Hosp. Assoc. 1995, 31, 101–106. [Google Scholar] [CrossRef]
- Gilbert, S.F. Development Biology, 6th ed.; Sinauer Assoc. Inc.: Sunder land, MA, USA, 2000. [Google Scholar]
- Johnson, E.M. Nutritional factors in mammalian teratology. In Teratology, Principles and Techniques; Wilson, J.G., Warkany, J., Eds.; The University of Chicago Press: Chicago, IL, USA, 1965; pp. 113–130. [Google Scholar]
- Karnofsky, D.A. Mechanism of action of certain grow—thinhibiting drugs. In Teratology, Principles and Techniques; Wilson, J.G., Warkany, J., Eds.; The University of Chicago Press: Chicago, IL, USA, 1965; pp. 185–214. [Google Scholar]
- Warkany, J. Development of experimental mammalian teratology. In Teratology, Principles and Techniques; Wilson, J.G., Warkany, J., Eds.; The University of Chicago Press: Chicago, IL, USA, 1965; pp. 1–20. [Google Scholar]
- Johnson, K.A.; Watson, A.D.J.; Page, R.L. Skeletal diseases. In Textbook of Veterinary Internal Medicine, 4th ed.; Ettinger, S.J., Feldman, E.C., Eds.; W.B. Saunders: Philadelphia, PA, USA, 1995; pp. 2077–2102. [Google Scholar]










Publisher’s Note: MDPI stays neutral with regard to jurisdictional claims in published maps and institutional affiliations. |
© 2021 by the authors. Licensee MDPI, Basel, Switzerland. This article is an open access article distributed under the terms and conditions of the Creative Commons Attribution (CC BY) license (http://creativecommons.org/licenses/by/4.0/).
Share and Cite
Di Pietro, S.; Rapisarda, G.S.; Cicero, L.; Angileri, V.; Morabito, S.; Cassata, G.; Macrì, F. Four Unusual Cases of Congenital Forelimb Malformations in Dogs. Animals 2021, 11, 813. https://doi.org/10.3390/ani11030813
Di Pietro S, Rapisarda GS, Cicero L, Angileri V, Morabito S, Cassata G, Macrì F. Four Unusual Cases of Congenital Forelimb Malformations in Dogs. Animals. 2021; 11(3):813. https://doi.org/10.3390/ani11030813
Chicago/Turabian StyleDi Pietro, Simona, Giuseppe Santi Rapisarda, Luca Cicero, Vito Angileri, Simona Morabito, Giovanni Cassata, and Francesco Macrì. 2021. "Four Unusual Cases of Congenital Forelimb Malformations in Dogs" Animals 11, no. 3: 813. https://doi.org/10.3390/ani11030813
APA StyleDi Pietro, S., Rapisarda, G. S., Cicero, L., Angileri, V., Morabito, S., Cassata, G., & Macrì, F. (2021). Four Unusual Cases of Congenital Forelimb Malformations in Dogs. Animals, 11(3), 813. https://doi.org/10.3390/ani11030813

