Avian Mycobacteriosis and Molecular Identification of Mycobacterium avium Subsp. avium in Racing Pigeons (Columba livia domestica) in Greece
Simple Summary
Abstract
1. Introduction
2. History
3. Post Mortem Examination
4. Microbiological Examination
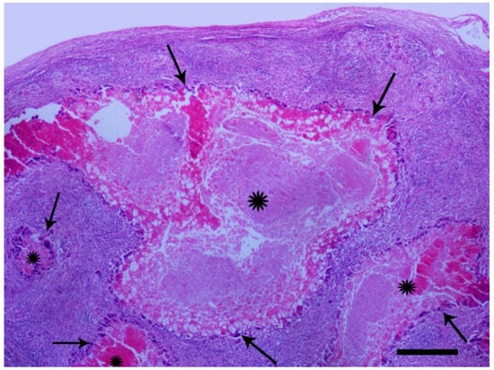
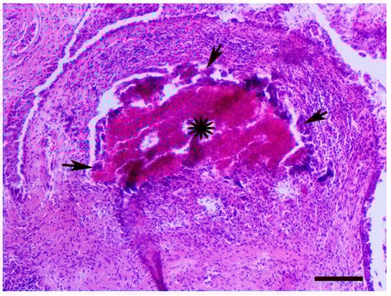
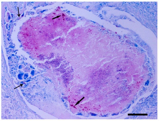
5. Histopathological Examination
6. Molecular Identification
7. Discussion
Author Contributions
Funding
Institutional Review Board Statement
Informed Consent Statement
Data Availability Statement
Conflicts of Interest
References
- Fulton, R.M.; Sanchez, S. Other Bacterial Diseases. In Diseases of Poultry, 14th ed.; Swayne, D.E., Boulianne, M., Logue, C.M., McDougald, L.R., Nair, V., Suare, D.L., Eds.; American Association of Avian Pathologists: Hoboken, NJ, USA, 2018; pp. 1033–1043. [Google Scholar]
- (OIE) World Organisation for Animal Health. Manual of Diagnostic Tests and Vaccines for Terrestrial Animals. 2018. Available online: https://www.oie.int/standard-setting/terrestrial-manual/access-online/ (accessed on 18 July 2018).
- Haridy, M.; Fukuta, M.; Mori, Y.; Ito, H.; Kubo, M.; Sakai, H.; Yanai, T. An Outbreak of Mycobacterium genavense Infection in a Flock of Captive Diamond Doves (Geopelia cuneata). Avian Dis. 2014, 58, 383–390. [Google Scholar] [CrossRef] [PubMed]
- Thorel, M.F.; Krichevsky, M.; Levy-Frebault, V.V. Numerical Taxonomy of Mycobactin-Dependent Mycobacteria, Emended Description of Mycobacterium avium, and Description of Mycobacterium avium subsp. avium subsp. nov., Mycobacterium avium subsp. paratuberculosis subsp. nov., and Mycobacterium avium subsp. silvaticum subsp. nov. Int. J. Bacteriol. 1990, 40, 254–260. [Google Scholar]
- Mijs, W.; De Haas, P.; Rossau, R.; Van Der Laan, T.; Rigouts, L.; Portaels, F.; Van Soolingen, D. Molecular evidence to support a proposal to reserve the designation Mycobacterium avium subsp. avium for bird-type isolates and ‘M. avium subsp. hominissuis’ for the human/porcine type of M. avium. Int. J. Syst. Evol. Microbiol. 2002, 52, 1505–1518. [Google Scholar]
- Jordan, F.T.W.; Hampson, D.J. Some other bacterial diseases. In Poultry Diseases, 6th ed.; Pattison, M., Mc Mullin, P.F., Bradbury, J.M., Alexander, D.J., Eds.; Elsevier Limited: Philadelphia, PA, USA, 2008; pp. 250–254. [Google Scholar]
- Casaubon Huguenin, M.T.; Brugère Picoux, J. Bacterial Diseases. In Manual of Poultry Diseases; Brugère Picoux, J., Vaillancourt, J.P., Bouzouaia, M., Shivaprasad, H.L., Venne, D., Eds.; AFAS: Paris, France, 2015; pp. 360–363. [Google Scholar]
- Pocknell, A.M.; Miller, B.J.; Neufeld, J.L.; Grahn, B.H. Conjunctival Mycobacteriosis in Two Emus (Dromaius novaehollandiae). Vet. Pathol. 1996, 33, 346–348. [Google Scholar] [CrossRef] [PubMed]
- Gonzalez, M.; Rodriguez-Bertos, A.; Gimeno, I.; Flores, J.M.; Pizarro, M. Outbreak of avian tuberculosis in 48-week-old commercial laying hen flock. Avian Dis. 2002, 46, 1055–1061. [Google Scholar] [CrossRef]
- Bougiouklis, P.; Brellou, G.; Fragkiadaki, E.; Iordanidis, P.; Vlemmas, I.; Georgopoulou, I. Outbreak of Avian Mycobacteriosis in a Flock of Two-Year-Old Domestic Pigeons (Columba livia F.Domestica). Avian Dis. 2005, 49, 442–445. [Google Scholar] [CrossRef]
- Kriz, P.; Slana, I.; Kralik, P.; Babak, V.; Skoric, M.; Fictum, P.; Docekal, J.; Pavlik, I. Outbreak of Mycobacterium avium subsp. avium infection in one flock of domestic pigeons. Avian Dis. 2011, 55, 503–508. [Google Scholar] [CrossRef]
- Dhama, K.; Mahendran, M.; Tiwari, R.; Singh, S.D.; Kumar, D.; Singh, S.; Sawant, P.M. Tuberculosis in Birds: Insights into the Mycobacterium avium Infections. Vet. Med. Int. 2011, 2011, 712369. [Google Scholar]
- Baghal, M.L.; Mayahi, M.; Mosavari, N.; Boroomand, M. Comparison of PCR and designed ELISA methods to detect avian tuberculosis in suspected pigeons. Iran. Vet. J. 2020, 16, 29–37. [Google Scholar]
- Dahlhausen, B.; Soler-Tovar, D.; Saggese, M.D. Diagnosis of Mycobacterial Infections in the Exotic Pet Patient with Emphasis on Birds. Vet. Clin. Exot. Anim. 2012, 15, 71–83. [Google Scholar] [CrossRef]
- Boulianne, M. Bacterial Diseases. In Avian Disease Manual, 7th ed.; Boulianne, M., Brash, M.L., Fitz-Coy, S.H., Fulton, R.M., Julian, R.J., Jackwood, M.W., Ojkic, D., Newman, L.J., Sander, J.E., Shivaprasad, H.L., et al., Eds.; American Association of Avian Pathologists: Jacksonville, FL, USA, 2013; pp. 77–79. [Google Scholar]
- Bartos, M.; Hlozek, P.; Svastova, P.; Dvorska, L.; Bull, T.; Matlova, L.; Parmova, I.; Kuhn, I.; Subbs, J.; Moravkova, M.; et al. Identification of members of Mycobacterium avium species by ACCU-Probes, serotyping, and single IS900, IS901, IS1245 and IS901-flanking region PCR with internal standards. J. Microbiol. Methods. 2005, 64, 333–345. [Google Scholar] [CrossRef] [PubMed]
- Moravkova, M.; Hlozek, P.; Beran, V.; Pavlik, I.; Preziuso, S.; Cuteri, V.; Bartos, M. Strategy for the detection and differentiation of Mycobacterium avium species in isolates and heavily infected tissues. Res. Vet. Sci. 2008, 85, 257–264. [Google Scholar] [CrossRef] [PubMed]
- Dvorska, L.; Bull, T.J.; Bartos, M.; Maltova, L.; Svastova, P.; Weston, R.T.; Kintr, J.; Parmova, I.; Soolingen, D.V.; Pavlik, I. A standardized restriction fragment length polymorphism (RFLP) method for typing Mycobacterium avium isolates links IS901 with virulence for birds. J. Microbiol. Methods. 2003, 55, 11–27. [Google Scholar] [CrossRef]
- Inglis, N.F.; Stevenson, K.; Heaslip, D.G.; Sharp, J.M. Characterisation of IS901 integration sites in the Mycobacterium avium genome. FEMS Microbiol. Lett. 2003, 221, 39–47. [Google Scholar] [CrossRef]
- Johansen, T.B.; Olsen, I.; Jensen, M.R.; Dahle, U.R.; Holstad, G.; Djonne, B. New probes used for ISI2450 and ISI311 restriction fragment length polymorphism of Mycobacterium avium subsp. avium and Mycobacterium avium subsp. hominissuis isolates of human and animal origin in Norway. BMC Microbiol. 2007, 7, 14. [Google Scholar] [CrossRef]
- Ronai, Z.; Csivincsik, A.; Dan, A. Molecular identification of Mycobacterium avium subsp. silvaticum by duplex high-resolution melt analysis and subspecies-specific real-time PCR. J. Clin. Microbiol. 2015, 53, 1582–1587. [Google Scholar] [CrossRef]
- Sivakumar, P.; Tripathi, B.N.; Singh, N. Detection of Mycobacterium avium subsp. paratuberculosis in intestinal and lymph node tissues of water buffaloes (Bubalus bubalis) by PCR and bacterial culture. Vet. Microbiol. 2005, 108, 263–270. [Google Scholar] [CrossRef]
- Dvorska, L.; Matlova, L.; Ayele, W.Y.; Fischer, O.A.; Amemori, T.; Weston, R.T.; Alvarez, J.; Beran, V.; Moravkova, M.; Pavlik, I. Avian tuberculosis in naturally infected captive water birds of the Ardeideae and Threskiornithidae families studied by serotyping, IS901 RFLP typing, and virulence for poultry. Vet. Microbiol. 2006, 119, 366–374. [Google Scholar] [CrossRef]
- Friend, M. Bacterial Diseases. In Field Manual of Wildlife Diseases, General Field Procedures and Diseases of Birds; Friend, M., Franson, J.C., Eds.; US Department of the Inferior—US Geological Survey, Biological Resources Division, Information and Technology, Report 199-001; USGS Biological Resources Division National Wildlife Health Center: Washington, DC, USA, 1999; pp. 93–98. [Google Scholar]
- Abrams, G.A.; Paul-Murphy, J.; Murphy, C.J. Conjunctivitis in birds. Vet. Clin. Exot. Anim. 2002, 5, 287–309. [Google Scholar] [CrossRef]
- Gailbreath, K.L.; Oaks, J.L. Herpesviral Inclusion Body Disease in Owls and Falcons is caused by the Pigeon Herpesvirus. J. Wildl. Dis. 2008, 44, 427–433. [Google Scholar] [CrossRef]
- Duizer, G.; Bowen, G.; Hutchison, T.W.S. Avian chlamydiophilosis in a Manitoba farmed pigeon flock. Can. Vet. J. 2010, 51, 605–606. [Google Scholar] [PubMed]
- Gharaibeh, S.; Hailat, A. Mycoplasma gallisepticum experimental infection and tissue distribution in chickens, sparrows and pigeons. Avian Pathol. 2011, 40, 349–354. [Google Scholar] [CrossRef] [PubMed]
- Pavlik, I.; Svastova, P.; Bartl, J.; Dvorska, L.; Rychlik, I. Relationship between IS901 in the Mycobacterium avium Complex Strains Isolated from Birds, Animals, Humans, and the Environment and Virulence for Poultry. Clin. Diagn. Lab. Immunol. 2000, 7, 212–217. [Google Scholar] [CrossRef] [PubMed]
- Pate, M.; Ocepek, M.; Zolnir-Dovc, M.; Krt, B. Characterization of genetic diversity of animal and human Mycobacterium avium strains by IS1245-IS1311 spacer typing. Vet. Med. 2005, 50, 175–180. [Google Scholar] [CrossRef]
- Van Der Heyden, N. Mycobacterial infections: New strategies in the treatment of avian tuberculosis. Semin. Avian Exot. Pet Med. 1997, 6, 25–33. [Google Scholar] [CrossRef]
- Fulton, R.M.; Thoen, C.O. “Tuberculosis”. In Diseases of Poultry; Saif, Y.M., Barnes, H.J., Glisson, J.R., Fadly, F.M., Mc Dougald, L.R., Swayne, D.E., Eds.; Iowa State University Press: Ames, IA, USA, 2003; pp. 836–844. [Google Scholar]
- Falkingham, J.O.; Gross, W.B.; Pierson, F.W. Effect of different cell fractions of Mycobacterium avium and vaccination regimens of Mycobacterium avium infection. Scand. J. Immunol. 2004, 59, 478–484. [Google Scholar] [CrossRef]






Publisher’s Note: MDPI stays neutral with regard to jurisdictional claims in published maps and institutional affiliations. |
© 2021 by the authors. Licensee MDPI, Basel, Switzerland. This article is an open access article distributed under the terms and conditions of the Creative Commons Attribution (CC BY) license (http://creativecommons.org/licenses/by/4.0/).
Share and Cite
Tsiouris, V.; Kiskinis, K.; Mantzios, T.; Dovas, C.I.; Mavromati, N.; Filiousis, G.; Brellou, G.; Vlemmas, I.; Georgopoulou, I. Avian Mycobacteriosis and Molecular Identification of Mycobacterium avium Subsp. avium in Racing Pigeons (Columba livia domestica) in Greece. Animals 2021, 11, 291. https://doi.org/10.3390/ani11020291
Tsiouris V, Kiskinis K, Mantzios T, Dovas CI, Mavromati N, Filiousis G, Brellou G, Vlemmas I, Georgopoulou I. Avian Mycobacteriosis and Molecular Identification of Mycobacterium avium Subsp. avium in Racing Pigeons (Columba livia domestica) in Greece. Animals. 2021; 11(2):291. https://doi.org/10.3390/ani11020291
Chicago/Turabian StyleTsiouris, Vasilios, Konstantinos Kiskinis, Tilemachos Mantzios, Chrysostomos I. Dovas, Natalia Mavromati, Georgios Filiousis, Georgia Brellou, Ioannis Vlemmas, and Ioanna Georgopoulou. 2021. "Avian Mycobacteriosis and Molecular Identification of Mycobacterium avium Subsp. avium in Racing Pigeons (Columba livia domestica) in Greece" Animals 11, no. 2: 291. https://doi.org/10.3390/ani11020291
APA StyleTsiouris, V., Kiskinis, K., Mantzios, T., Dovas, C. I., Mavromati, N., Filiousis, G., Brellou, G., Vlemmas, I., & Georgopoulou, I. (2021). Avian Mycobacteriosis and Molecular Identification of Mycobacterium avium Subsp. avium in Racing Pigeons (Columba livia domestica) in Greece. Animals, 11(2), 291. https://doi.org/10.3390/ani11020291

