Maxillary Incisors of the Horse before and at the Beginning of the Teeth Shedding: Radiographic and CT Study
Simple Summary
Abstract
1. Introduction
2. Materials and Methods
2.1. Visual Inspection
2.2. Radiographic Study
2.3. Computed Tomography Imaging
2.4. Length Measurements and Proportions
3. Results
3.1. Visual Inspection
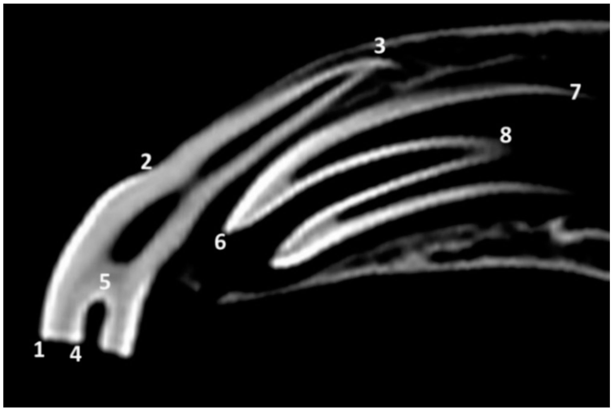
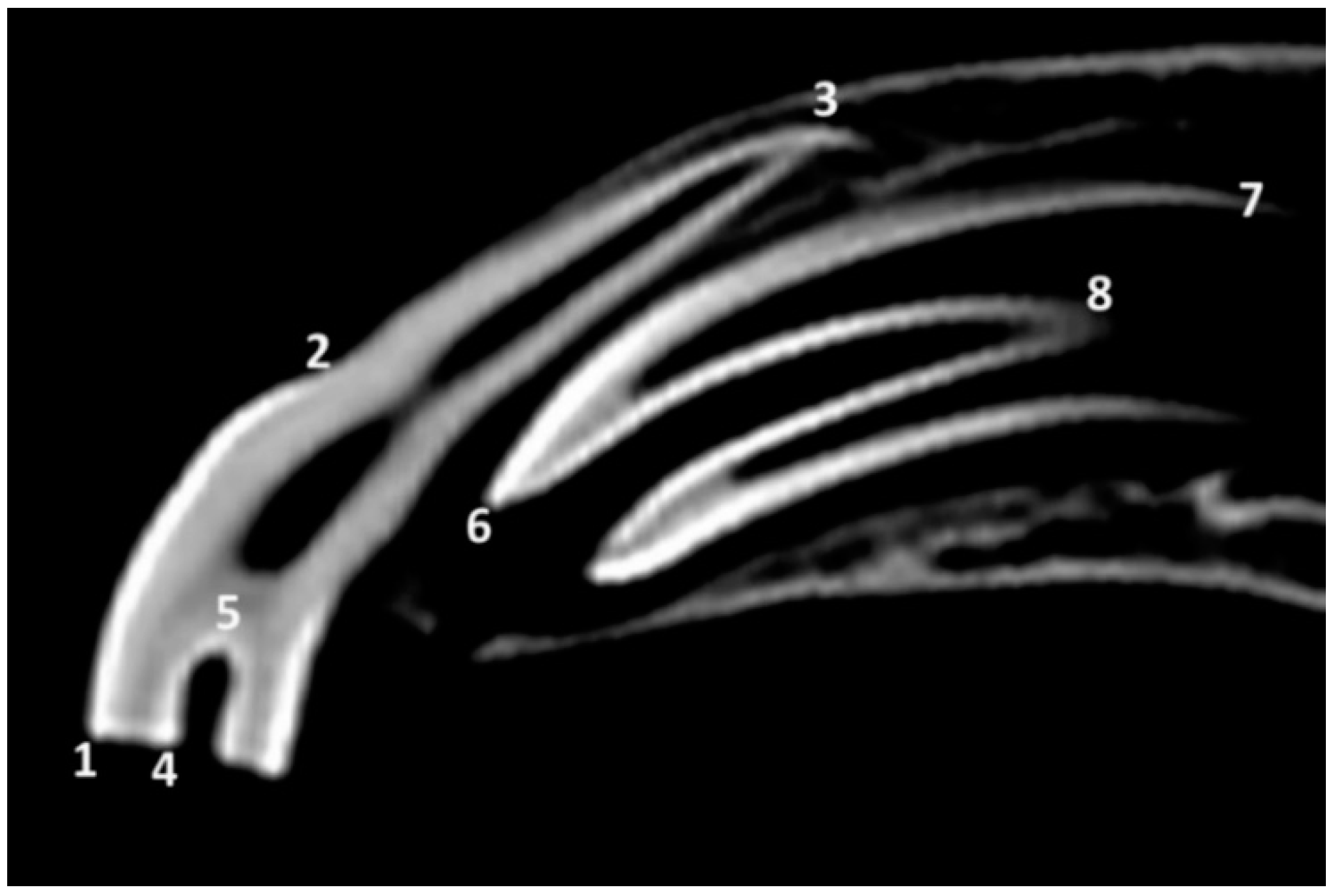
3.2. Radiographic and CT Studies
3.3. Length Measurements and Proportions
4. Discussion
4.1. Deciduous Incisors: Radiographic and CT Studies
4.2. Permanent Incisors and Alveoli: Radiographic and CT Studies
4.3. Deciduous and Permanent Incisors: Lengths and Proportions
5. Conclusions
Author Contributions
Funding
Conflicts of Interest
References
- Barrett, M.F.; Easley, J.T. Acquisition and interpretation of radiographs of the equine skull. Equine Vet. Educ. 2013, 25, 643–652. [Google Scholar] [CrossRef]
- Rawlinson, J.T.; Earley, E. Advances in the Treatment of Diseased Equine Incisor and Canine Teeth. Vet. Clin. Equine 2013, 29, 411–440. [Google Scholar] [CrossRef] [PubMed]
- Baratt, R.M. Advances in Equine Dental Radiology. Vet. Clin. N. Am. Equine Pract. 2013, 29, 367–395. [Google Scholar] [CrossRef] [PubMed]
- Barakzai, S.Z. Dental imaging. In Equine Dentistry, 3rd ed.; Easley, J., Dixon, P.M., Schumacher, J., Eds.; Saunders Elsevier: London, UK, 2011; pp. 199–221. [Google Scholar]
- Manso-Díaz, G.; García-López, J.M.; Maranda, L.; Taeymans, O. The role of head computed tomography in equine practice. Equine Vet. Educ. 2015, 27, 136–145. [Google Scholar] [CrossRef]
- Selberg, K.; Easley, J.T. Advances Imaging in Equine Dental Disease. Vet. Clin. Equine 2013, 29, 397–409. [Google Scholar] [CrossRef] [PubMed]
- Simhofer, H.; Boehler, A. Computed tomography. In Equine Dentistry, 3rd ed.; Easley, J., Dixon, P.M., Schumacher, J., Eds.; Saunders Elsevier: London, UK, 2011; pp. 221–230. [Google Scholar]
- Saunders, J.; Windley, Z. Equine sinonasal and dental. In Veterinary Computed Tomography, 1st ed.; Schwarz, T., Saunders, J., Eds.; Wiley-Blackwell: West Sussex, UK, 2011; pp. 427–442. [Google Scholar]
- Pearce, C.J. Recent developments in equine dentistry. N. Z. Vet. J. 2020, 68, 178–186. [Google Scholar] [CrossRef]
- Dixon, P.M.; du Toit, N. Dental anatomy. In Equine Dentistry, 3rd ed.; Easley, J., Dixon, P.M., Schumacher, J., Eds.; Saunders Elsevier: London, UK, 2011; pp. 51–76. [Google Scholar]
- Lowder, M.Q.; Mueller, P.O. Dental Embryology, Anatomy, Development, and aging. Vet. Clin. N. Am. Equine Pract. 1998, 14, 227–245. [Google Scholar] [CrossRef]
- Singh, B. The Head and Ventral Neck of the Horse. In Dyce, Sack and Wensing’s Textbook of Veterinary Anatomy, 5th ed.; Singh, B., Ed.; Elsevier: St. Louis, MO, USA, 2018; pp. 492–521. [Google Scholar]
- Staszyk, C.; Suske, A.; Pöschke, A. Equine dental and periodontal anatomy: A tutorial review. Equine Vet. Educ. 2015, 27, 474–481. [Google Scholar] [CrossRef]
- Schrock, P.; Lüpke, M.; Seifert, H.; Staszyk, C. Three-dimensional anatomy of equine incisors: Tooth length, enamel cover and age-related changes. BMC Vet. Res. 2013, 9, 249. [Google Scholar] [CrossRef]
- Muylle, S. Aging. In Equine Dentistry, 3rd ed.; Easley, J., Dixon, P.M., Schumacher, J., Eds.; Saunders Elsevier: London, UK, 2011; pp. 85–96. [Google Scholar]
- Muylle, S.; Simoens, P.; Lauwers, H. Age-related morphometry of equine incisors. J. Vet. Med. 1999, 46, 633–643. [Google Scholar] [CrossRef]
- Tremaine, H.; Casey, M. A modern approach to equine dentistry 1. Oral examination. Practice 2012, 34, 2–10. [Google Scholar] [CrossRef]
- Dixon, P.M. The gross, histological, and ultrastructural anatomy of equine teeth and their relationship to disease. In Proceedings of the Focus on Dentistry, American Association of Equine Practitioners, Orlando, FL, USA, 4–8 December 2002. [Google Scholar]
- Misk, N.A.; Seilem, S.M. Radiographic studies on the development of cheek teeth in donkeys. Equine Pract. 1997, 19, 27–38. [Google Scholar]
- Domingo, M.S.; Cantero, E.; García-Real, I.; Chamorro Sancho, M.J.; Martín Perea, D.M.; Alberdi, M.T.; Morales, J. First Radiological Study of a Complete Dental Ontogeny Sequence of an Extinct Equid: Implications for Equidae Life History and Taphonomy. Sci. Rep. 2018, 8, 8507. [Google Scholar] [CrossRef] [PubMed]
- Earley, E.; Rawlinson, J.T. A New Understanding of Oral and Dental Disorders of the Equine Incisor and Canine Teeth. Vet. Clin. Equine 2013, 29, 273–300. [Google Scholar] [CrossRef]
- Baratt, R.M. Equine Dental Radiography. In Proceedings of the Focus on Dentistry, American Association of Equine Practitioners, Albuquerque, NM, USA, 18–20 September 2011. [Google Scholar]
- Tremaine, H. A modern approach to equine dentistry 3. Imaging. Practice 2012, 34, 114–127. [Google Scholar] [CrossRef]
- Liuti, T.; Smith, S.; Dixon, P.M. A comparison of computed tomographic, radiographic, gross and histological, dental, and alveolar findings in 30 abnormal cheek teeth from equine cadavers. Front. Vet. Sci. 2018, 4, 236. [Google Scholar] [CrossRef]
- World Association of Veterinary Anatomists (W.A.V.A.). Nomina Anatomica Veterinaria, 6th ed.; Editorial Committee: Columbia, SC, USA, 2017. [Google Scholar]
- Floyd, M.R. The modified Triadan system: Nomenclature for veterinary dentistry. J. Vet. Dent. 1991, 8, 18–19. [Google Scholar] [CrossRef]
- Limone, L.E.; Barrat, R.M. Dental Radiography of the horse. J. Vet. Dent. 2018, 35, 37–41. [Google Scholar] [CrossRef]
- Singh, B. The Digestive Apparatus. In Dyce, Sack and Wensing’s Textbook of Veterinary Anatomy, 5th ed.; Singh, B., Ed.; Elsevier: St. Louis, MO, USA, 2018; pp. 91–138. [Google Scholar]
- Slolunias, N.; Danowitz, M.; Buttar, I.; Copee, Z. Hypsodont Crowns as Additional Roots: A new Explanation for Hypsodonty. Front. Ecol. Evol. 2019, 7, 135. [Google Scholar] [CrossRef]
- Araújo, D.C. Gubernacular cord and canal. Does these anatomical structures play a role in dental eruption? RSBO 2013, 10, 167–171. [Google Scholar]
- Marks, S.; Schroeder, H.E. Tooth Eruption: Theories and Facts. Anat. Rec. 1996, 245, 374–393. [Google Scholar] [CrossRef]







| Groups | Radiographic Appearance of 1st Maxillary Permanent Incisors—101, 201 | Number of Skulls |
|---|---|---|
| 1 1a | Dental germs, round radiolucent areas in the incisive bone No other notorious characteristics | 5 |
| 1b | Dental germs, round radiolucent areas in the incisive bone Circumscribed radiopaque images inside | 4 |
| 1c | Dental germs, unerupted crowns within the incisive bone, hardly any observable radiopacity | 8 |
| 1d | Dental germs, larger unerupted crowns within the incisive bone, greater radiopacity | 4 |
| 2 | Erupted, quite large, and radiopaque | 4 |
| Group | 1st Deciduous Incisors—501 and 601 | 1st Permanent Incisors—101 and 201 | ||||
|---|---|---|---|---|---|---|
| LTOOTH | LCR | LINF | LTOOTH | LCR | LINF | |
| 1a | 39.4 ± 0.8 | 19.1 ± 1.8 | 7.3 ± 1.8 | |||
| 1b | 38.7 ± 1.5 | 18.9 ± 1.3 | 8.5 ± 1.8 | |||
| 1c | 41.4 ± 1.9 | 17.8 ± 1.9 | 7.3 ± 0.8 | 19.1 ± 2.9 | 19.1 ± 2.9 | 17.4 ± 3.2 |
| 1d | 41.6 ± 1.8 | 15.1 ± 2.5 | 4.5 ± 1.4 | 35.1 ± 2.3 | 35.1 ± 2.3 | 31.2 ± 2.8 |
| 2 | 57.3 ± 3.8 | 50.2 ± 7.2 | 35.9 ± 3.2 | |||
| Group | 1st Deciduous Incisors —501 and 601 | 1st Permanent Incisors —101 and 201 | ||
|---|---|---|---|---|
| % CR | % INF | % CR | % INF | |
| 1a | 48.5 ± 4.1 | 18.4 ± 4.3 | ||
| 1b | 48.8 ± 2.8 | 22.1 ± 4.5 | ||
| 1c | 43.1 ± 3.1 | 17.5 ± 2.3 | 100.0 ± 0.0 | 96.7 ± 7.2 |
| 1d | 36.3 ± 6.5 | 10.9 ± 3.2 | 100.0 ± 0.0 | 88.9 ± 3.5 |
| 2 | 87.4 ± 5.6 | 62.8 ± 6.1 | ||
© 2020 by the authors. Licensee MDPI, Basel, Switzerland. This article is an open access article distributed under the terms and conditions of the Creative Commons Attribution (CC BY) license (http://creativecommons.org/licenses/by/4.0/).
Share and Cite
Miró, F.; Manso, C.; Diz, A.; Novales, M. Maxillary Incisors of the Horse before and at the Beginning of the Teeth Shedding: Radiographic and CT Study. Animals 2020, 10, 1618. https://doi.org/10.3390/ani10091618
Miró F, Manso C, Diz A, Novales M. Maxillary Incisors of the Horse before and at the Beginning of the Teeth Shedding: Radiographic and CT Study. Animals. 2020; 10(9):1618. https://doi.org/10.3390/ani10091618
Chicago/Turabian StyleMiró, Francisco, Carla Manso, Andrés Diz, and Manuel Novales. 2020. "Maxillary Incisors of the Horse before and at the Beginning of the Teeth Shedding: Radiographic and CT Study" Animals 10, no. 9: 1618. https://doi.org/10.3390/ani10091618
APA StyleMiró, F., Manso, C., Diz, A., & Novales, M. (2020). Maxillary Incisors of the Horse before and at the Beginning of the Teeth Shedding: Radiographic and CT Study. Animals, 10(9), 1618. https://doi.org/10.3390/ani10091618

