Descriptive Pathological Study of Avian Schistosomes Infection in Whooper Swans (Cygnus cygnus) in Japan
Abstract
Simple Summary
Abstract
1. Introduction
2. Materials and Methods
2.1. Ethical Statement
2.2. Animals and Sample Collection
2.3. Gross and Histopathological Examination
2.4. Parasitological Examination
3. Results
3.1. Gross Examination
3.2. Histopathological Examination
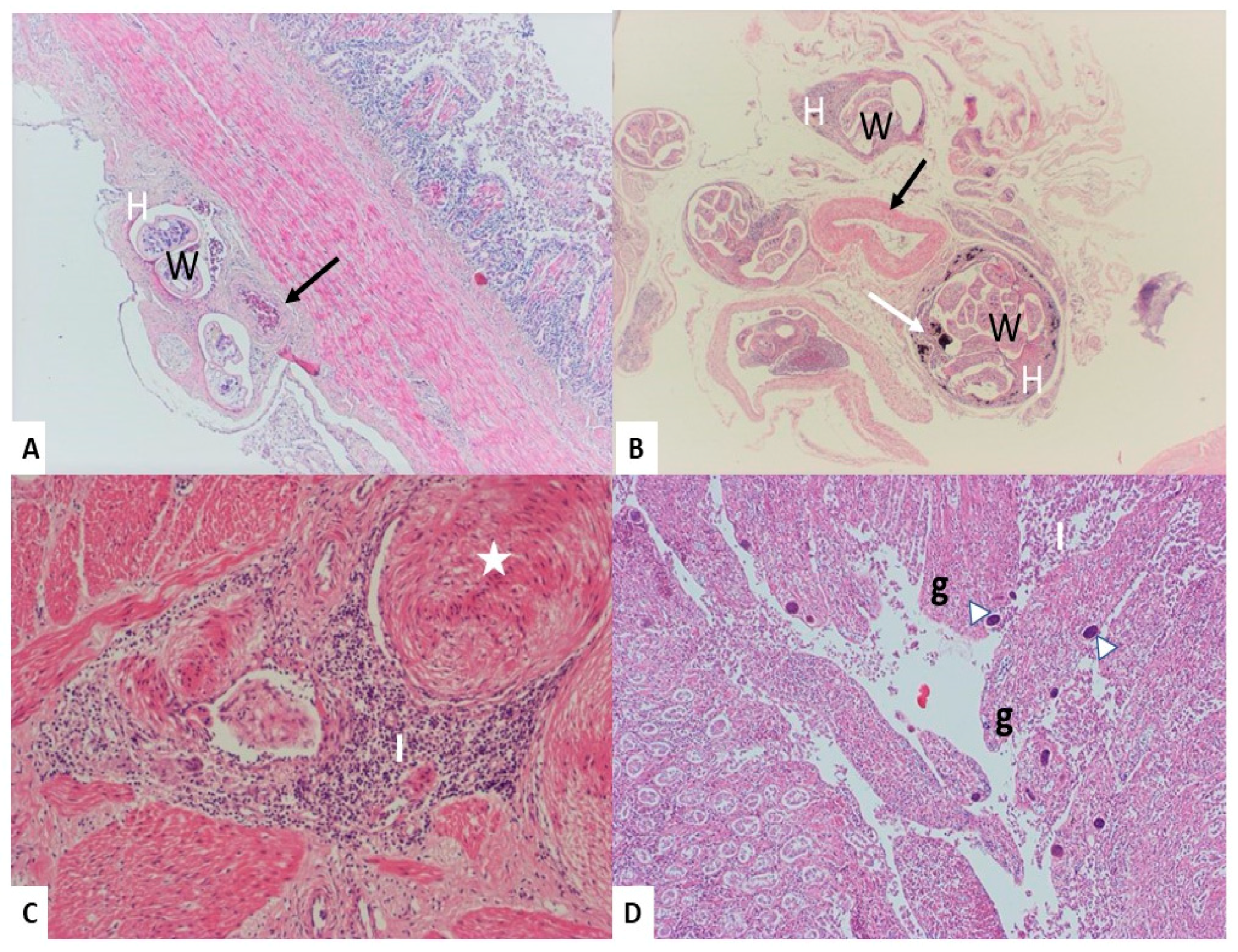
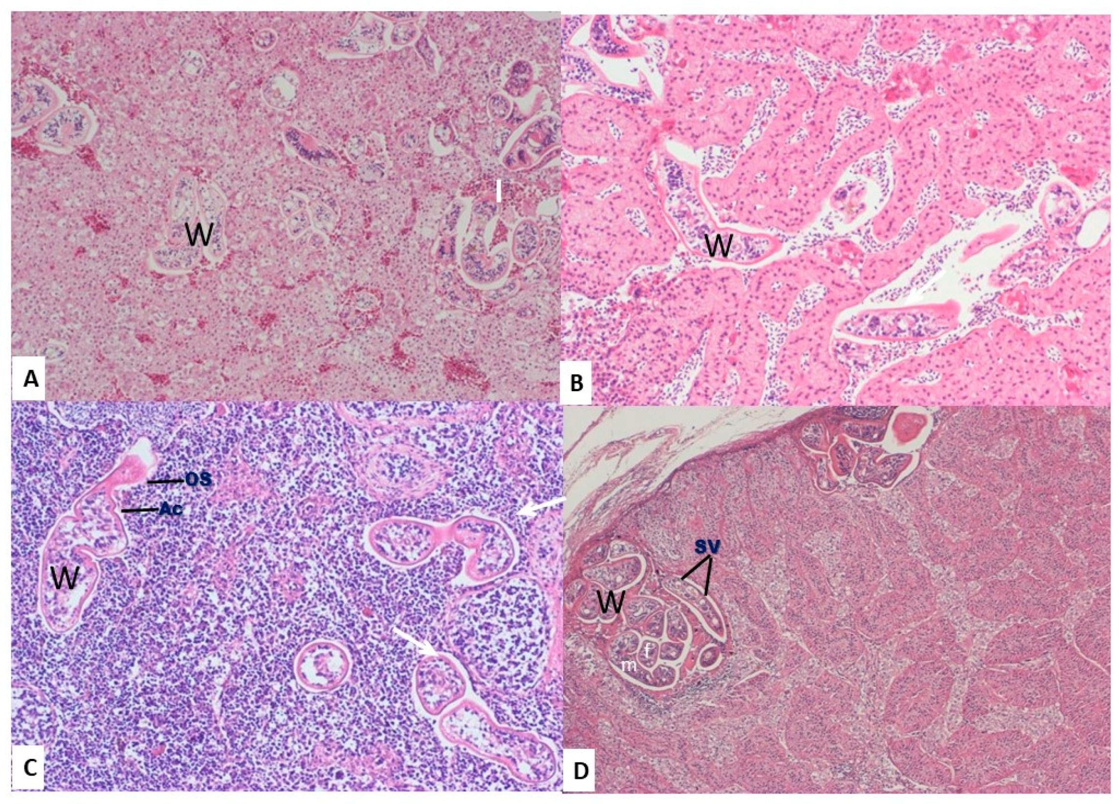
3.2.1. Intestine
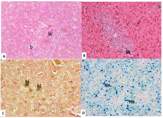
3.2.2. Liver
3.2.3. Adrenal Glands
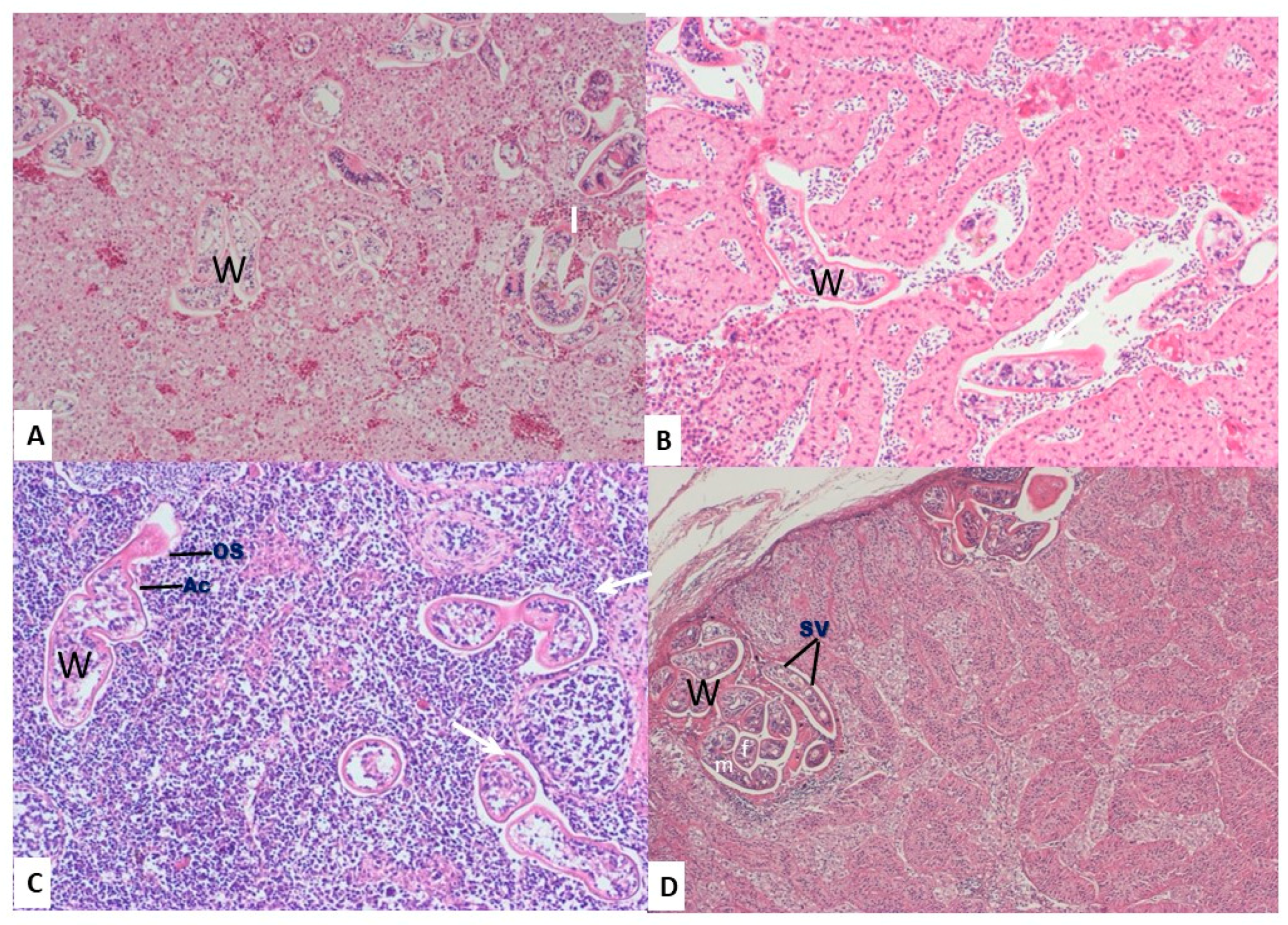
3.2.4. Spleen
3.2.5. Testes
3.3. Parasitological Findings
4. Discussion
5. Conclusions
Author Contributions
Funding
Acknowledgments
Conflicts of Interest
References
- Horak, P.; Mikes, L.; Lichtenbergova, L.; Skala, V.; Soldanova, M.; Brant, S.V. Avian schistosomes and outbreaks of cercarial dermatitis. Clin. Microbiol. Rev. 2015, 28, 165–190. [Google Scholar] [CrossRef] [PubMed]
- Turjanicová, L.; Mikeš, L.; Pecková, M.; Horák, P. Antibody response of definitive hosts against antigens of two life stages of the neuropathogenic schistosome Trichobilharzia regenti. Parasites Vectors 2015, 8, 1–11. [Google Scholar] [CrossRef] [PubMed]
- Azimov, D. Schistosomes of Animals and Man; Izdatel’stvo ‘FAN’: Taskhent, Uzbekistan, 1975. [Google Scholar]
- Webster, B.L.; Southgate, V.R.; Littlewood, D.T. A revision of the interrelationships of Schistosoma including the recently described Schistosoma guineensis. Int. J. Parasitol. 2006, 36, 947–955. [Google Scholar] [CrossRef]
- Atkinson, C.T.; Thomas, N.J.; Hunter, D.B. Parasitic Diseases of Wild Birds; John Wiley & Sons: Hoboken, NJ, USA, 2009. [Google Scholar]
- Brant, S.V.; Loker, E.S. Molecular systematics of the avian schistosome genus Trichobilharzia (Trematoda: Schistosomatidae) in North America. J. Parasitol. 2009, 95, 941–963. [Google Scholar] [CrossRef] [PubMed]
- Rudolfová, J. New findings of schistosomes in wildfowl and snails. Helminthologia 2001, 38, 248–249. [Google Scholar]
- Skrjabin, K. Family Schistosomatidae Looss, 1899. Trematodes Anim. Man 1951, 5, 225–414. [Google Scholar]
- Horak, P.; Kolarova, L.; Adema, C.M. Biology of the schistosome genus Trichobilharzia. Adv. Parasitol. 2002, 52, 155–233. [Google Scholar]
- Farley, J. A review of the family Schistosomatidae: Excluding the genus Schistosoma from mammals. J. Helminthol. 1971, 45, 289–320. [Google Scholar] [CrossRef]
- Khalil, L. Family Schistosomatidae Stiles & Hassall, 1898. Keys Trematoda 2002, 1, 419–432. [Google Scholar]
- McLaren, D.J.; Hockley, D.J. Blood flukes have a double outer membrane. Nature 1977, 269, 147–149. [Google Scholar] [CrossRef]
- Hayashi, K.; Ichikawa-Seki, M.; Ohari, Y.; Mohanta, U.K.; Aita, J.; Satoh, H.; Ehara, S.; Tokashiki, M.; Shiroma, T.; Azuta, A.; et al. First detection of Allobilharzia visceralis (Schistosomatidae, Trematoda) from Cygnus cygnus in Japan. Parasitol. Int. 2017, 66, 925–929. [Google Scholar] [CrossRef]
- Randall, C.; Reece, R.L. Color Atlas of Avian Histopathology; Mosby-Wolfe: London, UK; Baltimore, MD, USA, 1996. [Google Scholar]
- Kolarova, L.; Rudolfova, J.; Hampl, V.; Skirnisson, K. Allobilharzia visceralis gen. nov., sp. nov. (Schistosomatidae-Trematoda) from Cygnus cygnus (L.) (Anatidae). Parasitol. Int. 2006, 55, 179–186. [Google Scholar] [PubMed]
- Akagami, M.; Nakamura, K.; Nishino, H.; Seki, S.; Shimizu, H.; Yamamoto, Y. Pathogenesis of venous hypertrophy associated with schistosomiasis in whooper swans (Cygnus cygnus) in Japan. Avian Dis. 2010, 54, 146–150. [Google Scholar] [CrossRef] [PubMed]
- Paré, J.A.; Black, S.R. Schistosomiasis in a collection of captive Chilean flamingos (Phoenicopterus chilensis). J. Avian Med. Surg. 1999, 187–191. [Google Scholar]
- Oyarzún-Ruiz, P.; Muñoz, P.; Paredes, E.; Valenzuela, G.; Ruiz, J. Gastrointestinal helminths and related histopathological lesions in black-necked swans Cygnus melancoryphus from the Carlos Anwandter Nature Sanctuary, Southern Chile. Rev. Bras. De Parasitol. Vet. 2019, 28, 613–624. [Google Scholar] [CrossRef] [PubMed]
- van Bolhuis, G.H.; Rijks, J.M.; Dorrestein, G.M.; Rudolfova, J.; van Dijk, M.; Kuiken, T. Obliterative endophlebitis in mute swans (Cygnus olor) caused by Trichobilharzia sp. (Digenea: Schistosomatidae) infection. Vet. Pathol. 2004, 41, 658–665. [Google Scholar] [PubMed]
- Robinson, W.F.; Maxie, M.G. The cardiovascular system. In Pathology of Domestic Animals, 4th ed.; Jubb, K.V.F., Kennedy, P.C., Palmer, N., Eds.; Academic Press: San Diego, CA, USA, 1993; Volume 3, pp. 1–100. [Google Scholar]
- Pence, D.B.; RHODES, M.J. Trichobilharzia physellae (Digenea: Schistosomatidae) from endemic waterfowl on the high plains of Texas. J. Wildl. Dis. 1982, 18, 69–74. [Google Scholar] [CrossRef]
- Leedom, W.S.; Short, R.B. Cercaria pomaceae sp. n., a dermatitis-producing schistosome cercaria from Pomacea paludosa, the Florida apple snail. J. Parasitol. 1981, 257–261. [Google Scholar] [CrossRef]
- Lashaki, E.K.; Teshnizi, S.H.; Gholami, S.; Fakhar, M.; Brant, S.V.; Dodangeh, S. Global prevalence status of avian schistosomes: A systematic review with meta-analysis. Parasite Epidemiol. Control 2020, 9, e00142. [Google Scholar] [CrossRef]
- Brant, S.V. The occurrence of the avian schistosome Allobilharzia visceralis Kolakrova, Rudolfova, Hampl et Skirnisson, 2006 (Schistosomatidae) in the tundra swan, Cygnus columbianus (Anatidae), from North America. Folia Parasitol (Praha) 2007, 54, 99–104. [Google Scholar] [CrossRef]
- Jouet, D.; Ferte, H.; Hologne, C.; Kaltenbach, M.L.; Depaquit, J. Avian schistosomes in French aquatic birds: A molecular approach. J. Helminthol. 2009, 83, 181–189. [Google Scholar] [CrossRef] [PubMed]
- Chamot, E.; Toscani, L.; Rougemont, A. Public health importance and risk factors for cercarial dermatitis associated with swimming in Lake Leman at Geneva, Switzerland. Epidemiol. Infect. 1998, 120, 305–314. [Google Scholar] [CrossRef] [PubMed]
- Kolárová, L. Avian schistosomes of the genus Trichobilharzia in final hosts in Europe. Bull. Scand. Soc. Parasitol. 2005, 14, 85–86. [Google Scholar]
- Kolarova, L.; Skirnisson, K.; Horak, P. Schistosome cercariae as the causative agent of swimmer’s itch in Iceland. J. Helminthol. 1999, 73, 215–220. [Google Scholar] [CrossRef] [PubMed]
- Huelsenbeck, J.P.; Ronquist, F. MRBAYES: Bayesian inference of phylogenetic trees. Bioinformatics 2001, 17, 754–755. [Google Scholar] [CrossRef]
- Petersen, A. Íslenskir Fuglar (Icelandic Birds.); Vaka-Helgafell: Reykjavík, Iceland, 1998. [Google Scholar]
- Wobeser, G.A. Diseases of Wild Waterfowl; Springer Science & Business Media: New York, NY, USA, 2012. [Google Scholar]
- Blankespoor, H.; Reimink, R. The Control of Swimmer’s Itch in Michigan: Past, Present, and Future. Mich. Acad. 1991, 24, 7–23. [Google Scholar]
- Cramp, S.; Perrins, C. The Birds of the Western Palearctic; Oxford University Press: Oxford, UK, 1977; Volumes 1–9. [Google Scholar]
- Bancroft, J.D.; Gamble, M. Theory and Practice of Histological Techniques; Elsevier Health Sciences: Amsterdam, The Netherlands, 2008. [Google Scholar]
- Watanaba, Y.; Sakaguchi, H.; Hosoda, Y. The Methods of Preparing Histologic Sections, 6th ed.; Igaku Shoin Company Ltd.: Tokyo, Japan, 1992; pp. 81–140. [Google Scholar]
- Kolarova, L.; Horak, P.; Skirnisson, K. Methodical approaches in the identification of areas with a potential risk of infection by bird schistosomes causing cercarial dermatitis. J. Helminthol. 2010, 84, 327–335. [Google Scholar] [CrossRef]
- Soulsby, E. Helminths Arthropods and Protozoa of Domesticated Animals; Baillière Tindall: London, UK, 1982. [Google Scholar]
- Picot, H.; Bourdeau, P.; Bardet, R.; Kerjan, A.; Piriou, M.; Le, A.G.; Bayssade-Dufour, C.; Chabasse, D.; Mott, K. Cercarial dermatitis in Europe: A new public health problem? Bull. World Health Organ. 1996, 74, 159–163. [Google Scholar]
- Pennycott, T.W. Lead poisoning and parasitism in a flock of mute swans (Cygnus olor) in Scotland. Vet. Rec. 1998, 142, 13–17. [Google Scholar] [CrossRef] [PubMed]
- Palmer, D.; Ossent, P. Nasal schistosomiasis in mute swans in Switzerland. Rev. Suisse De Zool. 1984, 91, 709–715. [Google Scholar] [CrossRef]
- Guth, B.; Blankespoor, H.; Reimink, R.; Johnson, W. Prevalence of dermatitis-producing schistosomes in natural bird populations of lower Michigan. Proc. Helminthol. Soc. Wash. 1979, 46, 58–63. [Google Scholar]
- Warren, K.S. Modulation of immunopathology and disease in schistosomiasis. Am. J. Trop. Med. Hyg. 1977, 26, 113–119. [Google Scholar] [CrossRef] [PubMed]
- Kolarova, L.; Horak, P.; Cada, F. Histopathology of CNS and nasal infections caused by Trichobilharzia regenti in vertebrates. Parasitol. Res. 2001, 87, 644–650. [Google Scholar] [PubMed]
- Wojcinski, Z.W.; Barker, I.K.; Hunter, D.B.; Lumsden, H. An outbreak of schistosomiasis in Atlantic brant geese, Branta bernicla hrota. J. Wildl. Dis. 1987, 23, 248–255. [Google Scholar] [CrossRef]



| No. of Swans | 1 | 2 | 3 | 4 | 5 | 6 | 7 | 8 | 9 | 10 | 11 | 12 | 13 | 14 | 15 | 16 | 17 | 18 | 19 | 20 | 21 | 22 | 23 |
|---|---|---|---|---|---|---|---|---|---|---|---|---|---|---|---|---|---|---|---|---|---|---|---|
| Sex/Age | F/A | F/A | F/A | M/Y | M/Y | M/Y | M/Y | F/A | F/A | F/Y | M/A | M/Y | M/Y | F/A | M/Y | F/Y | ND/Y | F/A | F/Y | F/ND | M/Y | F/A | M/Y |
| Emaciation | ++ | +++ | + | + | + | ++ | + | +++ | + | + | ++ | + | + | + | ++ | + | + | ++ | +++ | ++ | + | + | + |
| Parasites in serosal vein | + | ++ | + | ++ | + | ++ | + | ++ | + | + | ++ | + | + | ++ | + | + | + | ++ | + | + | + | ++ | ++ |
| Parasites in mesenteric V | ++ | ++ | + | + | ++ | ++ | ++ | + | + | + | + | + | ++ | + | + | + | + | + | + | + | + | + | + |
| Parasites in portal vein | + | + | + | - | - | + | + | ++ | - | - | + | - | - | - | + | - | + | + | + | + | - | + | + |
| Parasites in hepatic sinusoids | + | + | - | + | - | + | + | + | - | - | ++ | - | - | - | ++ | - | + | + | + | + | - | + | + |
| Parasites in adrenal sinusoids | + | +++ | + | - | - | - | ++ | - | - | + | - | - | + | - | - | + | - | ++ | +++ | - | - | ++ | - |
| Parasites in splenic veins | - | - | + | + | - | - | + | + | +++ | - | + | + | - | - | - | - | + | + | - | - | + | - | - |
| Parasites in subcapsular veins | +++ | ++ | - | - | - | - | - | ++ | - | - | - | - | - | - | - | - | - | - | - | - | - | - | - |
| Bile pigment deposition | ++ | ++ | - | + | - | +++ | - | +++ | + | - | ++ | - | + | - | ++ | - | - | + | + | + | - | + | + |
| Hemosiderin pigment | +++ | ++ | - | ++ | + | ++ | - | +++ | ++ | - | ++ | - | + | - | ++ | + | + | ++ | ++ | + | + | + | + |
| Venous hypertrophy | ++ | ++ | - | - | ++ | - | ++ | ++ | - | - | ++ | - | + | - | ++ | - | + | ++ | ++ | - | - | ++ | - |
| Obliterative endophlebitis | + | + | - | - | + | - | - | + | - | - | + | - | - | - | ++ | - | - | ++ | + | - | - | - | - |
| Villous atrophy | + | - | - | + | + | - | + | ++ | - | + | - | - | + | - | - | - | ++ | - | - | - | - | - |
Publisher’s Note: MDPI stays neutral with regard to jurisdictional claims in published maps and institutional affiliations. |
© 2020 by the authors. Licensee MDPI, Basel, Switzerland. This article is an open access article distributed under the terms and conditions of the Creative Commons Attribution (CC BY) license (http://creativecommons.org/licenses/by/4.0/).
Share and Cite
Ahmed, M.S.; Khalafalla, R.E.; Al-Brakati, A.; Yanai, T.; Elmahallawy, E.K. Descriptive Pathological Study of Avian Schistosomes Infection in Whooper Swans (Cygnus cygnus) in Japan. Animals 2020, 10, 2361. https://doi.org/10.3390/ani10122361
Ahmed MS, Khalafalla RE, Al-Brakati A, Yanai T, Elmahallawy EK. Descriptive Pathological Study of Avian Schistosomes Infection in Whooper Swans (Cygnus cygnus) in Japan. Animals. 2020; 10(12):2361. https://doi.org/10.3390/ani10122361
Chicago/Turabian StyleAhmed, Mohamed S., Reda E. Khalafalla, Ashraf Al-Brakati, Tokuma Yanai, and Ehab Kotb Elmahallawy. 2020. "Descriptive Pathological Study of Avian Schistosomes Infection in Whooper Swans (Cygnus cygnus) in Japan" Animals 10, no. 12: 2361. https://doi.org/10.3390/ani10122361
APA StyleAhmed, M. S., Khalafalla, R. E., Al-Brakati, A., Yanai, T., & Elmahallawy, E. K. (2020). Descriptive Pathological Study of Avian Schistosomes Infection in Whooper Swans (Cygnus cygnus) in Japan. Animals, 10(12), 2361. https://doi.org/10.3390/ani10122361

