Sex Determination in Two Species of Anuran Amphibians by Magnetic Resonance Imaging and Ultrasound Techniques
Abstract
Simple Summary
Abstract
1. Introduction
2. Material and Methods
2.1. Animals
2.2. Procedures—Imaging Techniques
2.2.1. Magnetic Resonance Imaging
2.2.2. Ultrasonography
3. Results
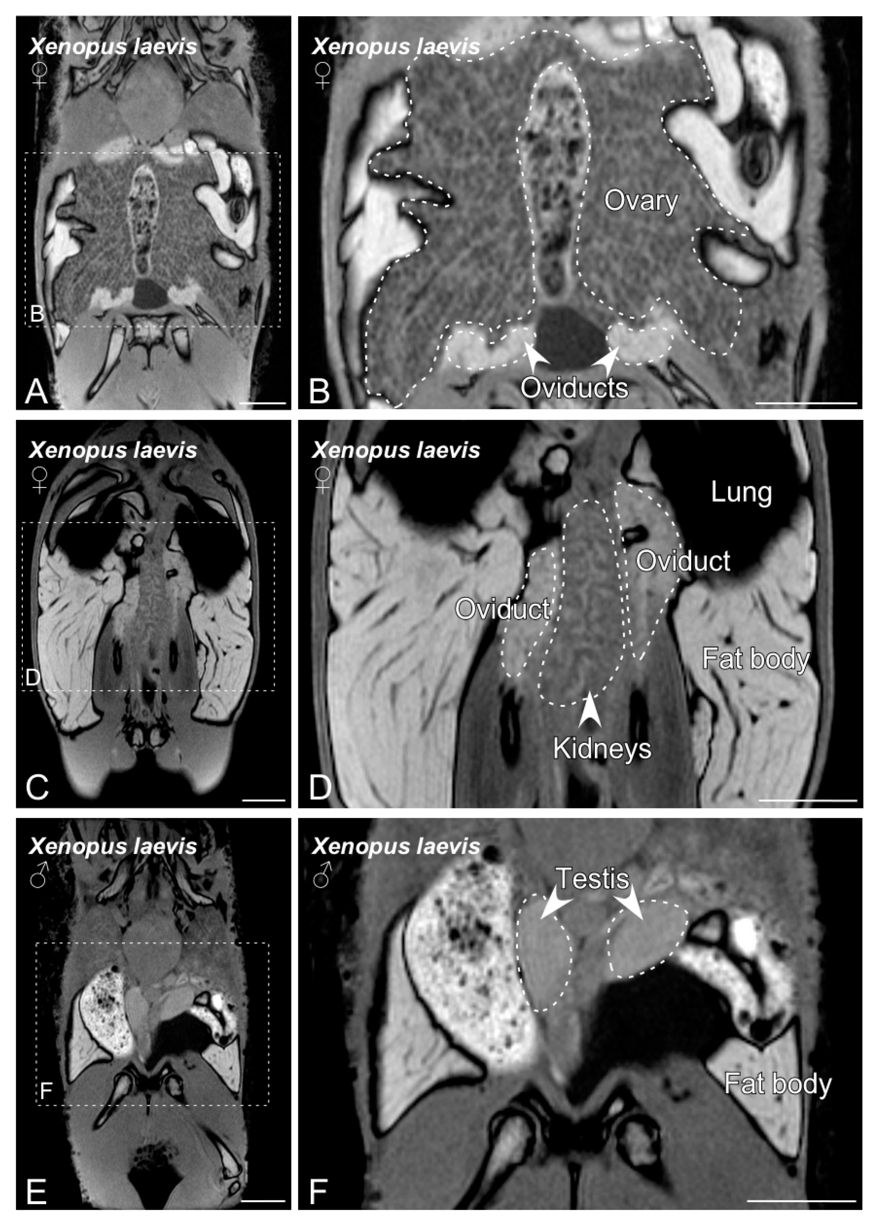
3.1. BT-MRI
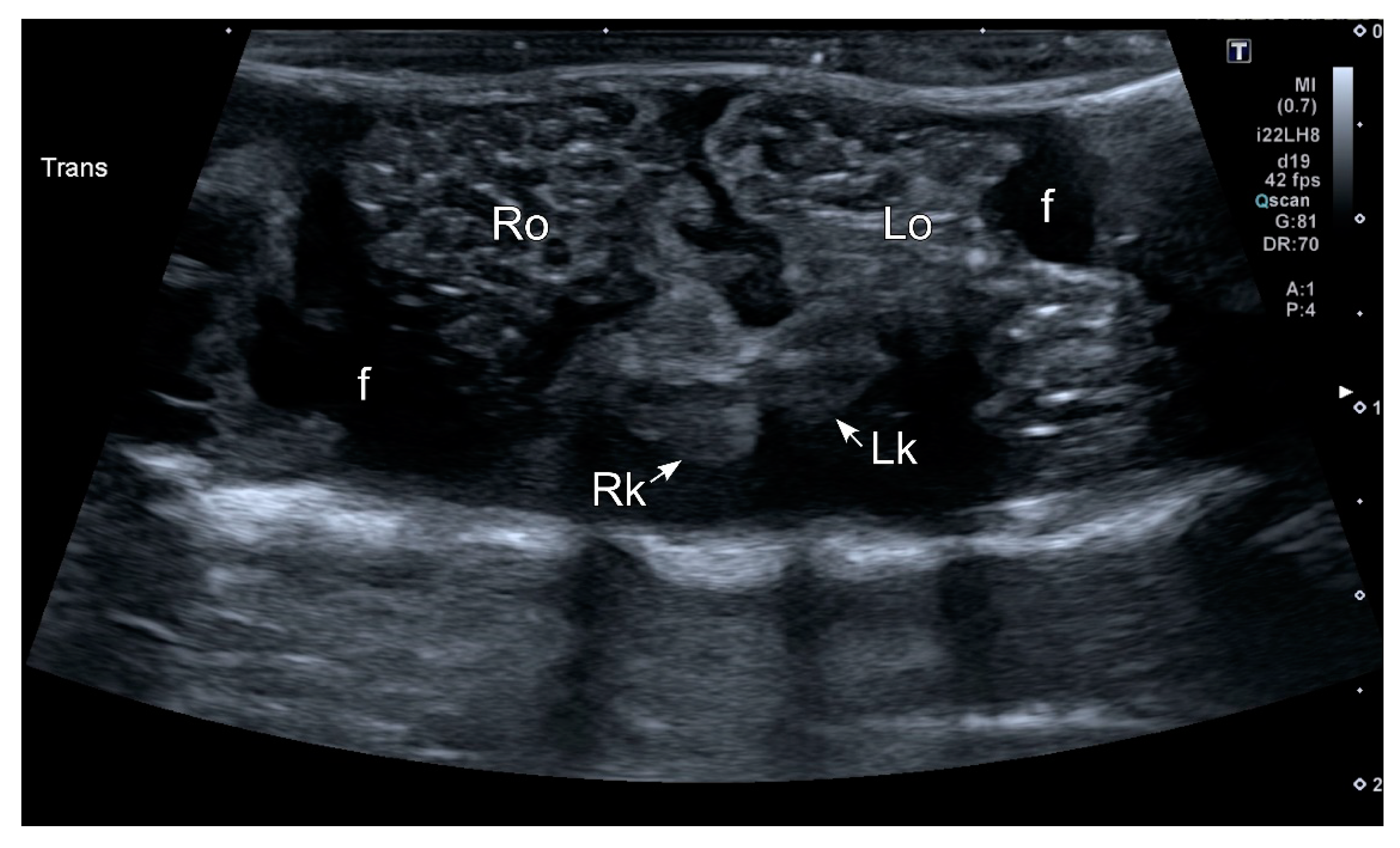
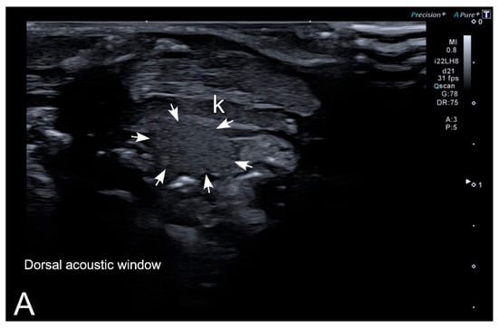
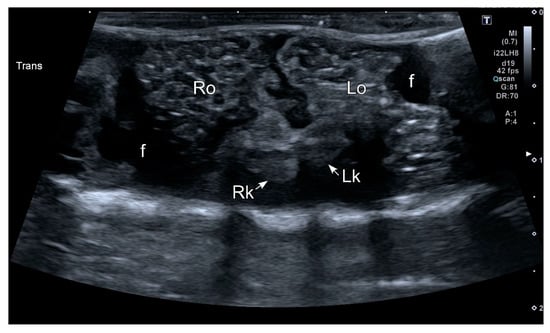
3.2. Ultrasonography
4. Discussion
5. Conclusions
Supplementary Materials
Author Contributions
Funding
Acknowledgments
Conflicts of Interest
References
- Frost, D. Amphibian Species of the World: An Online Reference. Version 6.1. Available online: https://amphibiansoftheworld.amnh.org/ (accessed on 12 July 2020).
- Stuart, S.N.; Chanson, J.S.; Cox, N.A.; Young, B.E.; Rodrigues, A.S.L.; Fischman, D.L.; Waller, R.W. Status and Trends of Amphibian Declines and Extinctions Worldwide. Science 2004, 306, 1783–1786. [Google Scholar] [CrossRef]
- IUCN Red List of Threatened Species. Available online: https://www.iucnredlist.org/search?query=amphibian&searchType=species (accessed on 12 July 2020).
- Nori, J.; Lemes, P.; Urbina-Cardona, N.; Baldo, D.; Lescano, J.N.; Loyola, R.D. Amphibian conservation, land-use changes and protected areas: A global overview. Biol. Conserv. 2015, 191, 367–374. [Google Scholar] [CrossRef]
- Amaral, C.; Chaves, A.C.S.; Júnior, V.N.T.B.; Pereira, F.; Silva, B.M.; Silva, D.A.; Amorim, A.; Carvalho, E.F.; Rocha, C.F.D. Amphibians on the hotspot: Molecular biology and conservation in the South American Atlantic Rainforest. PLoS ONE 2019, 14, e0224320. [Google Scholar] [CrossRef]
- Kouba, A.J.; Vance, C.K. Applied reproductive technologies and genetic resource banking for amphibian conservation. Reprod. Fertil. Dev. 2009, 21, 719–737. [Google Scholar] [CrossRef]
- De La Navarre, B.J. Common Procedures in Reptiles and Amphibians. Veter. Clin. N. Am. Exot. Anim. Pract. 2006, 9, 237–267. [Google Scholar] [CrossRef]
- Duellman, E.; Trueb, L. Biology of Amphibians; John Hopkins University Press: Baltimore, MD, USA, 1994. [Google Scholar]
- Chai, N. Veterinary Clinics of North America—Exotic Animal Practice; Saunders, W.B., Ed.; Elsevier: Amsterdam, The Netherlands, 2017; pp. 307–325. [Google Scholar]
- Lalremsanga, H. Studies on the Ecology, Breeding Behavoir and Development of Ranid and Microhylid Anurans Prevalent in Mizoram; North Eastern Hill University: Shillong, India, 2012. [Google Scholar]
- Stettler, M. Imaging amphibians: Techniques, normal anatomy and pathological structures. In Proceedings of the TNVAC, Orlando, FL, USA, 10–14 January 1998; pp. 818–819. [Google Scholar]
- Stetter, M.D. Noninfectious medical disorders of amphibians. Semin. Avian Exot. Pet Med. 1995, 4, 49–55. [Google Scholar] [CrossRef]
- Schildger, B.; Triet, H. Ultrasonography in amphibians. Semin. Avian Exot. Pet Med. 2001, 10, 169–173. [Google Scholar] [CrossRef]
- Graham, K.M.; Kouba, A.J.; Langhorne, C.J.; Marcec, R.M.; Willard, S.T. Biological sex identification in the endangered dusky gopher frog (Lithobates sevosa): A comparison of body size measurements, secondary sex characteristics, ultrasound imaging, and urinary hormone analysis methods. Reprod. Biol. Endocrinol. 2016, 14, 1–14. [Google Scholar] [CrossRef]
- Calatayud, N.; Stoops, M.; Durrant, B. Ovarian control and monitoring in amphibians. Theriogenology 2018, 109, 70–81. [Google Scholar] [CrossRef] [PubMed]
- Graham, K.M.; Langhorne, C.J.; Vance, C.K.; Willard, S.T.; Kouba, A.J. Ultrasound imaging improves hormone therapy strategies for induction of ovulation and in vitro fertilization in the endangered dusky gopher frog (Lithobates sevosa). Conserv. Physiol. 2018, 6, coy020. [Google Scholar] [CrossRef] [PubMed]
- Calatayud, N.E.; Chai, N.; Gardner, N.R.; Curtis, M.J.; Stoops, M.A. Reproductive Techniques for Ovarian Monitoring and Control in Amphibians. J. Vis. Exp. 2019, e58675. [Google Scholar] [CrossRef] [PubMed]
- Ringler, E.; Coates, M.; Cobo-Cuan, A.; Harris, N.G.; Narins, P.M. MEMRI for Visualizing Brain Activity after Auditory Stimulation in Frogs. In Proceedings of the Behavioral Neuroscience, Brisbane, Australia, 15–20 July 2018; American Psychological Association Inc.: Washington, DC, USA, 2019; Volume 133, pp. 329–340. [Google Scholar]
- Sandvig, A.; Sandvig, I.; Berry, M.; Olsen, Ø.; Pedersen, T.B.; Brekken, C.; Thuen, M. Axonal tracing of the normal and regenerating visual pathway of mouse, rat, frog, and fish using manganese-enhanced MRI (MEMRI). J. Magn. Reson. Imaging 2011, 34, 670–675. [Google Scholar] [CrossRef] [PubMed]
- Directive 2010/63/eu of the European Parliament and of the Council of 22 September 2010 on the Protection of Animals Used for Scientific Purposes (Text with EEA Relevance). Available online: https://eur-lex.europa.eu/LexUriServ/LexUriServ.do?uri=OJ:L:2010:276:0033:0079:en:PDF (accessed on 12 July 2020).
- Vitt, L.J.; Caldwell, J.P. Anatomy of amphibians and reptiles. In Herpetology: An Introductory Biology of Amphibians and Reptiles; Academic Press: London, UK, 2008; pp. 35–83. ISBN 9780123743466. [Google Scholar]
- Arregui, L.; Diaz-Diaz, S.; Alonso-López, E.; Kouba, A.J. Hormonal induction of spermiation in a Eurasian bufonid (Epidalea calamita). Reprod. Biol. Endocrinol. 2019, 17, 1–10. [Google Scholar] [CrossRef] [PubMed]
- Narayan, E.J. Non-invasive reproductive and stress endocrinology in amphibian conservation physiology. Conserv. Physiol. 2013, 1, cot011. [Google Scholar] [CrossRef]
- Lynch, K.S.; Wilczynski, W. Gonadal steroids vary with reproductive stage in a tropically breeding female anuran. Gen. Comp. Endocrinol. 2005, 143, 51–56. [Google Scholar] [CrossRef]
- Szymanski, D.; Gist, D.; Roth, T. Anuran gender identification by fecal steroid analysis. Zoo Biol. 2006, 25, 35–46. [Google Scholar] [CrossRef]
- Hogan, L.A.; Lisle, A.T.; Johnston, S.D.; Goad, T.; Robertston, H. Adult and Juvenile Sex Identification in Threatened MonomorphicGeocriniaFrogs Using Fecal Steroid Analysis. South Am. J. Herpetol. 2013, 47, 112–118. [Google Scholar] [CrossRef]
- Germano, J.M.; Molinia, F.; Bishop, P.; Cree, A. Urinary hormone analysis assists reproductive monitoring and sex identification of bell frogs (Litoria raniformis). Theriogenology 2009, 72, 663–671. [Google Scholar] [CrossRef]
- Germano, J.; Molinia, F.; Bishop, P.; Bell, B.; Cree, A. Urinary hormone metabolites identify sex and imply unexpected winter breeding in an endangered, subterranean-nesting frog. Gen. Comp. Endocrinol. 2012, 175, 464–472. [Google Scholar] [CrossRef]
- Narayan, E.J.; Molinia, F.C.; Christi, K.S.; Morley, C.G.; Cockrem, J. Annual cycles of urinary reproductive steroid concentrations in wild and captive endangered Fijian ground frogs (Platymantis vitiana). Gen. Comp. Endocrinol. 2010, 166, 172–179. [Google Scholar] [CrossRef]
- Vance, C.; Graham, K.; Kouba, A.; Willard, S. In vivo sex identification of the endangered Mississippi Gopher Frog (Lithobates sevosa) using Near Infrared Reflectance spectroscopy. In Proceedings of the 17th International Conference on Near Infrared Spectroscopy, Foz do Iguassu, Brazil, 18–23 October 2015. [Google Scholar]
- Inderbitzin, D.; Stoupis, C.; Sidler, D.; Gass, M.; Candinas, D. Abdominal magnetic resonance imaging in small rodents using a clinical 1.5T MR scanner. Methods 2007, 43, 46–53. [Google Scholar] [CrossRef] [PubMed]
- Nardini, G.; Di Girolamo, N.; Leopardi, S.; Paganelli, I.; Zaghini, A.; Origgi, F.C.; Vignoli, M. Evaluation of liver parenchyma and perfusion using dynamic contrast-enhanced computed tomography and contrast-enhanced ultrasonography in captive green iguanas (Iguana iguana) under general anesthesia. BMC Vet. Res. 2014, 10, 112. [Google Scholar] [CrossRef] [PubMed]
- Di Ianni, F.; Volta, A.; Pelizzone, I.; Manfredi, S.; Gnudi, G.; Parmigiani, E. Diagnostic Sensitivity of Ultrasound, Radiography and Computed Tomography for Gender Determination in Four Species of Lizards. Vet. Radiol. Ultrasound 2014, 56, 40–45. [Google Scholar] [CrossRef] [PubMed]
- Banzato, T.; Russo, E.; Finotti, L.; Milan, M.C.; Gianesella, M.; Zotti, A. Ultrasonographic anatomy of the coelomic organs of boid snakes (Boa constrictor imperator, Python regius, Python molurus molurus, and Python curtus). Am. J. Vet. Res. 2012, 73, 634–645. [Google Scholar] [CrossRef]
- Bucy, D.S.; Guzman, D.S.-M.; Zwingenberger, A.L. Ultrasonographic anatomy of bearded dragons (Pogona vitticeps). J. Am. Vet. Med. Assoc. 2015, 246, 868–876. [Google Scholar] [CrossRef]
- Madularu, D.; Mathieu, A.P.; Kumaragamage, C.; Reynolds, L.M.; Near, J.; Flores, C.; Rajah, M.N. A non-invasive restraining system for awake mouse imaging. J. Neurosci. Methods 2017, 287, 53–57. [Google Scholar] [CrossRef]
- Cojean, O.; Vergneau-Grosset, C.; Masseau, I. Ultrasonographic anatomy of reproductive female leopard geckos (Eublepharis macularius). Vet. Radiol. Ultrasound 2018, 59, 333–344. [Google Scholar] [CrossRef]
- Hildebrandt, T.B.; Saragusty, J. Use of Ultrasonography in Wildlife Species. In Fowler’s Zoo and Wild Animal Medicine; Elsevier BV: Amsterdam, The Netherlands, 2015; Volume 8, pp. 714–723. [Google Scholar]








Publisher’s Note: MDPI stays neutral with regard to jurisdictional claims in published maps and institutional affiliations. |
© 2020 by the authors. Licensee MDPI, Basel, Switzerland. This article is an open access article distributed under the terms and conditions of the Creative Commons Attribution (CC BY) license (http://creativecommons.org/licenses/by/4.0/).
Share and Cite
Ruiz-Fernández, M.J.; Jiménez, S.; Fernández-Valle, E.; García-Real, M.I.; Castejón, D.; Moreno, N.; Ardiaca, M.; Montesinos, A.; Ariza, S.; González-Soriano, J. Sex Determination in Two Species of Anuran Amphibians by Magnetic Resonance Imaging and Ultrasound Techniques. Animals 2020, 10, 2142. https://doi.org/10.3390/ani10112142
Ruiz-Fernández MJ, Jiménez S, Fernández-Valle E, García-Real MI, Castejón D, Moreno N, Ardiaca M, Montesinos A, Ariza S, González-Soriano J. Sex Determination in Two Species of Anuran Amphibians by Magnetic Resonance Imaging and Ultrasound Techniques. Animals. 2020; 10(11):2142. https://doi.org/10.3390/ani10112142
Chicago/Turabian StyleRuiz-Fernández, María José, Sara Jiménez, Encarnación Fernández-Valle, M. Isabel García-Real, David Castejón, Nerea Moreno, María Ardiaca, Andrés Montesinos, Salvador Ariza, and Juncal González-Soriano. 2020. "Sex Determination in Two Species of Anuran Amphibians by Magnetic Resonance Imaging and Ultrasound Techniques" Animals 10, no. 11: 2142. https://doi.org/10.3390/ani10112142
APA StyleRuiz-Fernández, M. J., Jiménez, S., Fernández-Valle, E., García-Real, M. I., Castejón, D., Moreno, N., Ardiaca, M., Montesinos, A., Ariza, S., & González-Soriano, J. (2020). Sex Determination in Two Species of Anuran Amphibians by Magnetic Resonance Imaging and Ultrasound Techniques. Animals, 10(11), 2142. https://doi.org/10.3390/ani10112142

