Molecular Characterization of Novel Family IV and VIII Esterases from a Compost Metagenomic Library
Abstract
:1. Introduction
2. Materials and Methods
2.1. Materials
2.2. Two Esterase-Positive Clones from the Compost Metagenome Library
2.3. Sequence Analysis and Phylogenetic Tree
2.4. Preparation of Crude Enzymes
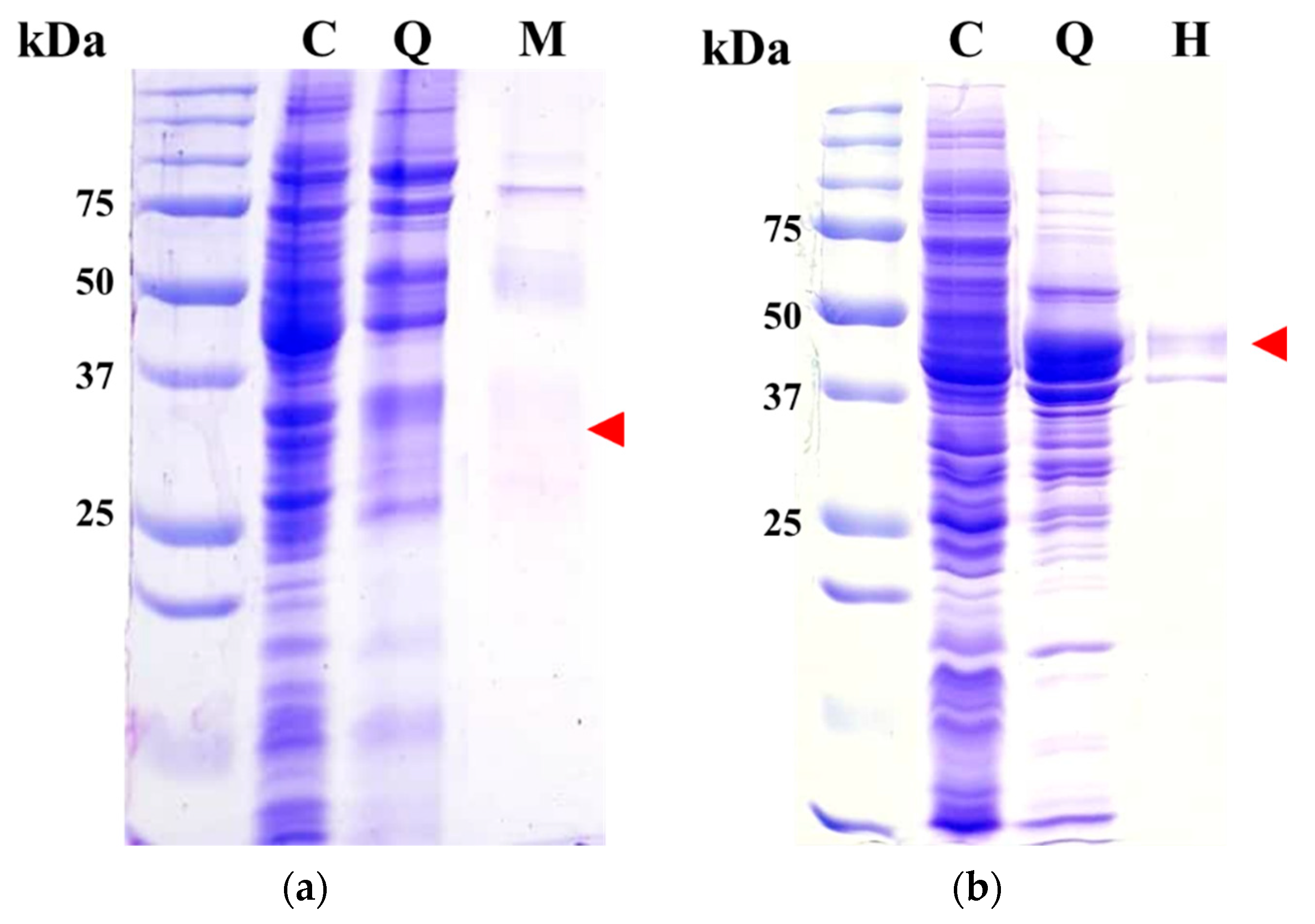
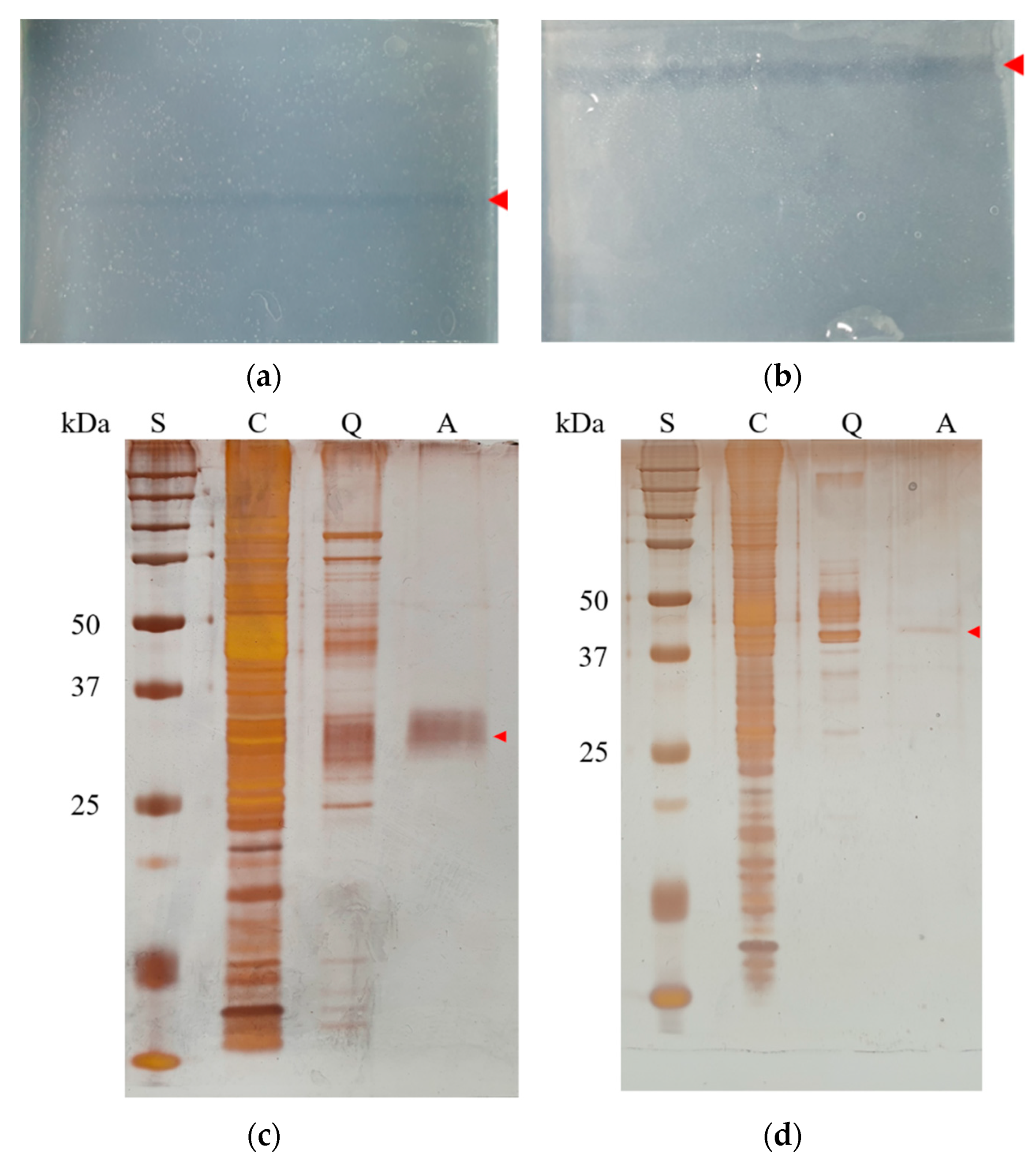
2.5. Purification of the Enzymes and Activity Staining
2.6. Enzyme Assays
2.7. Characterization of Enzymes
2.8. Accession Numbers of the Est8L and Est13L
3. Results
3.1. Sequence Analyses and Multiple Alignments of Est8L and Est13L
3.2. Purification of Est8L and Est13L
3.3. Determination of Molecular Masses of Native Est8L and Est13L
3.4. Properties of Est8L and Est13L
4. Discussion
5. Conclusions
Supplementary Materials
Author Contributions
Funding
Institutional Review Board Statement
Informed Consent Statement
Data Availability Statement
Conflicts of Interest
References
- Arpigny, J.L.; Jaeger, K.E. Bacterial lipolytic enzymes: Classification and properties. Biochem. J. 1999, 343, 177–183. [Google Scholar] [CrossRef]
- Gudiukaite, R.; Gricajeva, A. Microbial lipolytic fusion enzymes: Current state and future perspectives. World J. Microbiol. Biotechnol. 2017, 33, 216. [Google Scholar] [CrossRef] [PubMed]
- Priyanka, P.; Tan, Y.; Kinsella, G.K.; Henehan, G.T.; Ryan, B.J. Solvent stable microbial lipases: Current understanding and biotechnological applications. Biotechnol. Lett. 2019, 41, 203–220. [Google Scholar] [CrossRef] [Green Version]
- Larsen, E.M.; Johnson, R.J. Microbial esterases and ester prodrugs: An unlikely marriage for combating antibiotic resistance. Drug Dev. Res. 2019, 80, 33–47. [Google Scholar] [CrossRef] [Green Version]
- Parapouli, M.; Foukis, A.; Stergiou, P.Y.; Koukouritaki, M.; Magklaras, P.; Gkini, O.A.; Papamichael, E.M.; Afendra, A.S.; Hatziloukas, E. Molecular, biochemical and kinetic analysis of a novel, thermostable lipase (LipSm) from Stenotrophomonas maltophilia Psi-1, the first member of a new bacterial lipase family (XVIII). J. Biol. Res. Thessalon. 2018, 25, 4, reprinted in J. Biol. Res. Thessalon. 2018, 25, 10. [Google Scholar] [CrossRef] [Green Version]
- Hong, K.H.; Jang, W.H.; Choi, K.D.; Yoo, O.J. Characterization of Pseudomonas fluorescens carboxylesterase: Cloning and expression of the esterase gene in Escherichia coli. Agric. Biol. Chem. 1991, 55, 2839–2845. [Google Scholar] [CrossRef] [PubMed] [Green Version]
- Ollis, D.L.; Cheah, E.; Cygler, M.; Dijkstra, B.; Frolow, F.; Franken, S.M.; Harel, M.; Remington, S.J.; Silman, I.; Schrag, J. The alpha/beta hydrolase fold. Protein Eng. 1992, 5, 197–211. [Google Scholar] [CrossRef] [Green Version]
- Höppner, A.; Bollinger, A.; Kobus, S.; Thies, S.; Coscolín, C.; Ferrer, M.; Jaeger, K.E.; Smits, S. Crystal structures of a novel family IV esterase in free and substrate-bound form. FEBS J. 2021, 288, 3570–3584. [Google Scholar] [CrossRef]
- Schütte, M.; Fetzner, S. EstA from Arthrobacter nitroguajacolicus Rü61a, a thermo- and solvent-tolerant carboxylesterase related to class C beta-lactamases. Curr. Microbiol. 2007, 54, 230–236. [Google Scholar] [CrossRef]
- Park, J.M.; Kang, C.H.; Won, S.M.; Oh, K.H.; Yoon, J.H. Characterization of a novel moderately thermophilic solvent-tolerant esterase isolated from a compost metagenome library. Front. Microbiol. 2020, 10, 3069. [Google Scholar] [CrossRef] [PubMed] [Green Version]
- Park, J.M.; Won, S.M.; Kang, C.H.; Park, S.; Yoon, J.H. Characterization of a novel carboxylesterase belonging to family VIII hydrolyzing β-lactam antibiotics from a compost metagenomic library. Int. J. Biol. Macromol. 2020, 164, 4650–4661. [Google Scholar] [CrossRef] [PubMed]
- Handelsman, J.; Rondon, M.R.; Brady, S.F.; Clardy, J.; Goodman, R.M. Molecular biological access to the chemistry of unknown soil microbes: A new frontier for natural products. Chem. Biol. 1998, 5, R245–R249. [Google Scholar] [CrossRef] [Green Version]
- Ogram, A.; Sayler, G.S.; Barkay, T. The extraction and purification of microbial DNA from sediments. J. Microbiol. Methods. 1987, 7, 57–66. [Google Scholar] [CrossRef]
- Rondon, M.R.; August, P.R.; Bettermann, A.D.; Brady, S.F.; Grossman, T.H.; Liles, M.R.; Loiacono, K.A.; Lynch, B.A.; MacNeil, I.A.; Minor, C.; et al. Cloning the soil metagenome: A strategy for accessing the genetic and functional diversity of uncultured microorganisms. Appl. Environ. Microbiol. 2000, 66, 2541–2547. [Google Scholar] [CrossRef] [PubMed] [Green Version]
- Taberlet, P.; Coissac, E.; Hajibabaei, M.; Rieseberg, L.H. Environmental DNA. Mol. Ecol. 2012, 21, 1789–1793. [Google Scholar] [CrossRef] [PubMed]
- Oh, H.N.; Park, D.; Seong, H.J.; Kim, D.; Sul, W.J. Antarctic tundra soil metagenome as useful natural resources of cold-active lignocelluolytic enzymes. J. Microbiol. 2019, 57, 865–873. [Google Scholar] [CrossRef] [PubMed]
- Huo, Y.Y.; Jian, S.L.; Cheng, H.; Rong, Z.; Cui, H.L.; Xu, X.W. Two novel deep-sea sediment metagenome-derived esterases: Residue 199 is the determinant of substrate specificity and preference. Microb. Cell Fact. 2018, 17, 16. [Google Scholar] [CrossRef] [Green Version]
- Kim, H.J.; Jeong, Y.S.; Jung, W.K.; Kim, S.K.; Lee, H.W.; Kahng, H.Y.; Kim, J.; Kim, H. Characterization of novel family IV esterase and family I.3 lipase from an oil-polluted mud flat metagenome. Mol. Biotechnol. 2015, 7, 781–792. [Google Scholar] [CrossRef] [PubMed]
- Angelov, A.; Pham, V.; Übelacker, M.; Brady, S.; Leis, B.; Pill, N.; Brolle, J.; Mechelke, M.; Moerch, M.; Henrissat, B.; et al. A metagenome-derived thermostable β-glucanase with an unusual module architecture which defines the new glycoside hydrolase family GH148. Sci. Rep. 2017, 7, 17306. [Google Scholar] [CrossRef] [PubMed]
- Kim, Y.H.; Kwon, E.J.; Kim, S.K.; Jeong, Y.S.; Kim, J.; Yun, H.D.; Kim, H. Molecular cloning and characterization of a novel family VIII alkaline esterase from a compost metagenomic library. Biochem. Biophys. Res. Commun. 2010, 393, 45–49. [Google Scholar] [CrossRef]
- Tiquia, S.M. Evolution of extracellular enzyme activities during manure composting. J. Appl. Microbiol. 2002, 92, 764–775. [Google Scholar] [CrossRef] [Green Version]
- Lee, H.W.; Jung, W.K.; Kim, Y.H.; Ryu, B.H.; Kim, T.D.; Kim, J.; Kim, H. Characterization of a novel alkaline family VIII esterase with S-enantiomer Preference from a compost metagenomic library. J. Microbiol. Biotechnol. 2016, 26, 315–325. [Google Scholar] [CrossRef]
- Kumar, S.; Stecher, G.; Li, M.; Knyaz, C.; Tamura, K. MEGA X: Molecular evolutionary genetics analysis across computing platforms. Mol. Biol. Evol. 2018, 35, 1547–1549. [Google Scholar] [CrossRef] [PubMed]
- Laemmli, U.K. Cleavage of structural proteins during the assembly of the head of bacteriophage T4. Nature 1970, 227, 680–685. [Google Scholar] [CrossRef] [PubMed]
- Bradford, M.M. A rapid and sensitive method for the quantitation of microgram quantities of protein utilizing the principle of protein-dye binding. Anal. Biochem. 1976, 72, 248–254. [Google Scholar] [CrossRef]
- Lee, J.P.; Kang, M.G.; Lee, J.Y.; Oh, J.M.; Baek, S.C.; Leem, H.H.; Park, D.; Cho, M.L.; Kim, H. Potent inhibition of acetylcholinesterase by sargachromanol I from Sargassum siliquastrum and by selected natural compounds. Bioorg. Chem. 2019, 89, 103043. [Google Scholar] [CrossRef] [PubMed]
- Ngo, T.D.; Ryu, B.H.; Ju, H.; Jang, E.J.; Kim, K.K.; Kim, T.D. Crystallographic analysis and biochemical applications of a novel penicillin-binding protein/β-lactamase homologue from a metagenomic library. Acta Crystallogr. D. Biol. Crystallogr. 2014, 70, 2455–2466. [Google Scholar] [CrossRef]
- Lee, J.P.; Kim, Y.A.; Kim, S.K.; Kim, H. Characterization of a multimodular endo-β-1,4-glucanase (Cel9K) from Paenibacillus sp. X4 with a potential additive for saccharification. J. Microbiol. Biotechnol. 2018, 28, 588–596. [Google Scholar] [CrossRef]
- Jung, K.H.; Lee, K.M.; Kim, H.; Yoon, K.H.; Park, S.H.; Pack, M.Y. Cloning and expression of a Clostridium thermocellum xylanase gene in Escherichia coli. Biochem. Mol. Biol. Int. 1998, 44, 283–292. [Google Scholar] [CrossRef]
- Feng, J.X.; Karita, S.; Fujino, E.; Fujino, T.; Kimura, T.; Sakka, K.; Ohmiya, K. Cloning, sequencing, and expression of the gene encoding a cell-bound multi-domain xylanase from Clostridium josui, and characterization of the translated product. Biosci. Biotechnol. Biochem. 2000, 64, 2614–2624. [Google Scholar] [CrossRef]
- Pastor, F.I.; Pujol, X.; Blanco, A.; Vidal, T.; Torres, A.L.; Díaz, P. Molecular cloning and characterization of a multidomain endoglucanase from Paenibacillus sp BP-23: Evaluation of its performance in pulp refining. Appl. Microbiol. Biotechnol. 2001, 55, 61–68. [Google Scholar] [CrossRef] [PubMed]
- Lee, J.P.; Lee, H.W.; Na, H.B.; Lee, J.H.; Hong, Y.J.; Jeon, J.M.; Kwon, E.J.; Kim, S.K.; Kim, H. Characterization of truncated endo-β-1,4-glucanases from a compost metagenomic library and their saccharification potentials. Int. J. Biol. Macromol. 2018, 115, 554–562. [Google Scholar] [CrossRef] [PubMed]
- Park, J.E.; Jeong, G.S.; Lee, H.W.; Kim, S.K.; Kim, J.; Kim, H. Characterization of a novel family IV esterase containing a predicted CzcO domain and a family V esterase with broad substrate specificity from an oil-polluted mud flat metagenomic library. Appl. Sci. 2021, 11, 5905. [Google Scholar] [CrossRef]
- Hotta, Y.; Ezaki, S.; Atomi, H.; Imanaka, T. Extremely stable and versatile carboxylesterase from a hyperthermophilic archaeon. Appl. Environ. Microbiol. 2002, 68, 3925–3931. [Google Scholar] [CrossRef] [PubMed] [Green Version]
- Benavente, R.; Esteban-Torres, M.; Acebrón, I.; de Las Rivas, B.; Muñoz, R.; Alvarez, Y.; Mancheño, J.M. Structure, biochemical characterization and analysis of the pleomorphism of carboxylesterase Cest-2923 from Lactobacillus plantarum WCFS1. FEBS J. 2013, 280, 6658–6671. [Google Scholar] [CrossRef] [Green Version]
- Ngo, T.D.; Ryu, B.H.; Ju, H.; Jang, E.; Park, K.; Kim, K.K.; Kim, T.D. Structural and functional analyses of a bacterial homologue of hormone-sensitive lipase from a metagenomic library. Acta Crystallogr. D Biol. Crystallogr. 2013, 69, 1726–1737. [Google Scholar] [CrossRef] [PubMed]
- Maester, T.C.; Pereira, M.R.; Machado Sierra, E.G.; Balan, A.; de Macedo Lemos, E.G. Characterization of EST3: A metagenome-derived esterase with suitable properties for biotechnological applications. Appl. Microbiol. Biotechnol. 2016, 100, 5815–5827. [Google Scholar] [CrossRef] [Green Version]
- Jeon, J.H.; Lee, H.S.; Kim, J.T.; Kim, S.J.; Choi, S.H.; Kang, S.G.; Lee, J.H. Identification of a new subfamily of salt-tolerant esterases from a metagenomic library of tidal flat sediment. Appl. Microbiol. Biotechnol. 2012, 93, 623–631. [Google Scholar] [CrossRef]
- Bassegoda, A.; Fillat, A.; Pastor, F.I.; Diaz, P. Special Rhodococcus sp. CR-53 esterase Est4 contains a GGG(A)X-oxyanion hole conferring activity for the kinetic resolution of tertiary alcohols. Appl. Microbiol. Biotechnol. 2013, 97, 8559–8568. [Google Scholar] [CrossRef] [PubMed]
- Guo, J.; Zheng, X.; Xu, L.; Liu, Z.; Xu, K.; Li, S.; Wen, T.; Liu, S.; Pang, H. Characterization of a novel esterase Rv0045c from Mycobacterium tuberculosis. PLoS ONE 2010, 5, e13143. [Google Scholar] [CrossRef] [Green Version]
- Zheng, X.; Guo, J.; Xu, L.; Li, H.; Zhang, D.; Zhang, K.; Sun, F.; Wen, T.; Liu, S.; Pang, H. Crystal structure of a novel esterase Rv0045c from Mycobacterium tuberculosis. PLoS ONE 2011, 6, e20506. [Google Scholar] [CrossRef] [PubMed] [Green Version]
- Hasona, A.; York, S.W.; Yomano, L.P.; Ingram, L.O.; Shanmugam, K.T. Decreasing the level of ethyl acetate in ethanolic fermentation broths of Escherichia coli KO11 by expression of Pseudomonas putida estZ esterase. Appl. Environ. Microbiol. 2002, 68, 2651–2659. [Google Scholar] [CrossRef] [PubMed] [Green Version]
- Li, P.Y.; Zhang, Y.; Xie, B.B.; Zhang, Y.Q.; Hao, J.; Wang, Y.; Wang, P.; Li, C.Y.; Qin, Q.L.; Zhang, X.Y.; et al. Structural and mechanistic insights into the improvement of the halotolerance of a marine microbial esterase by increasing intra- and interdomain hydrophobic interactions. Appl. Environ. Microbiol. 2017, 83, e01286-17. [Google Scholar] [CrossRef] [Green Version]
- Li, P.Y.; Chen, X.L.; Ji, P.; Li, C.Y.; Wang, P.; Zhang, Y.; Xie, B.B.; Qin, Q.L.; Su, H.N.; Zhou, B.C.; et al. Interdomain hydrophobic interactions modulate the thermostability of microbial esterases from the hormone-sensitive lipase family. J. Biol. Chem. 2015, 290, 11188–11198. [Google Scholar] [CrossRef] [Green Version]
- Huang, J.; Huo, Y.Y.; Ji, R.; Kuang, S.; Ji, C.; Xu, X.W.; Li, J. Structural insights of a hormone sensitive lipase homologue Est22. Sci. Rep. 2016, 6, 28550. [Google Scholar] [CrossRef]
- De Simone, G.; Menchise, V.; Manco, G.; Mandrich, L.; Sorrentino, N.; Lang, D.; Rossi, M.; Pedone, C. The crystal structure of a hyper-thermophilic carboxylesterase from the archaeon Archaeoglobus fulgidus. J. Mol. Biol. 2001, 314, 507–518. [Google Scholar] [CrossRef]
- Manco, G.; Giosuè, E.; D’Auria, S.; Herman, P.; Carrea, G.; Rossi, M. Cloning, overexpression, and properties of a new thermophilic and thermostable esterase with sequence similarity to hormone-sensitive lipase subfamily from the archaeon Archaeoglobus fulgidus. Arch. Biochem. Biophys. 2000, 373, 182–192. [Google Scholar] [CrossRef]
- Rashamuse, K.; Magomani, V.; Ronneburg, T.; Brady, D. A novel family VIII carboxylesterase derived from a leachate metagenome library exhibits promiscuous beta-lactamase activity on nitrocefin. Appl. Microbiol. Biotechnol. 2009, 83, 491–500. [Google Scholar] [CrossRef] [PubMed]
- Kim, Y.O.; Park, I.S.; Nam, B.H.; Kim, D.G.; Jee, Y.J.; Lee, S.J.; An, C.M. A novel esterase from Paenibacillus sp. PBS-2 is a new member of the β-lactamase belonging to the family VIII lipases/esterases. J. Microbiol. Biotechnol. 2014, 24, 1260–1268. [Google Scholar] [CrossRef] [Green Version]
- Selvin, J.; Kennedy, J.; Lejon, D.P.; Kiran, G.S.; Dobson, A.D. Isolation identification and biochemical characterization of a novel halo-tolerant lipase from the metagenome of the marine sponge Haliclona simulans. Microb. Cell Fact. 2012, 11, 72. [Google Scholar] [CrossRef] [Green Version]
- Rashamuse, K.J.; Burton, S.G.; Stafford, W.H.; Cowan, D.A. Molecular characterization of a novel family VIII esterase from Burkholderia multivorans UWC10. J. Mol. Microbiol. Biotechnol. 2007, 13, 181–188. [Google Scholar] [CrossRef] [PubMed]
- Elend, C.; Schmeisser, C.; Leggewie, C.; Babiak, P.; Carballeira, J.D.; Steele, H.L.; Reymond, J.L.; Jaeger, K.E.; Streit, W.R. Isolation and biochemical characterization of two novel metagenome-derived esterases. Appl. Environ. Microbiol. 2006, 72, 3637–3645. [Google Scholar] [CrossRef] [Green Version]
- Kim, Y.S.; Lee, H.B.; Choi, K.D.; Park, S.; Yoo, O.J. Cloning of Pseudomonas fluorescens carboxylesterase gene and characterization of its product expressed in Escherichia coli. Biosci. Biotechnol. Biochem. 1994, 58, 111–116. [Google Scholar] [CrossRef] [PubMed]
- Mokoena, N.; Mathiba, K.; Tsekoa, T.; Steenkamp, P.; Rashamuse, K. Functional characterisation of a metagenome derived family VIII esterase with a deacetylation activity on β-lactam antibiotics. Biochem. Biophys. Res. Commun. 2013, 437, 342–348. [Google Scholar] [CrossRef]
- Pérez, D.; Martín, S.; Fernández-Lorente, G.; Filice, M.; Guisán, J.M.; Ventosa, A.; García, M.T.; Mellado, E. A novel halophilic lipase, LipBL, showing high efficiency in the production of eicosapentaenoic acid (EPA). PLoS ONE 2011, 6, e23325. [Google Scholar] [CrossRef] [Green Version]
- Petersen, E.I.; Valinger, G.; Sölkner, B.; Stubenrauch, G.; Schwab, H. A novel esterase from Burkholderia gladioli which shows high deacetylation activity on cephalosporins is related to beta-lactamases and DD-peptidases. J. Biotechnol. 2001, 89, 11–25. [Google Scholar] [CrossRef]
- Ogino, H.; Mimitsuka, T.; Muto, T.; Matsumura, M.; Yasuda, M.; Ishimi, K.; Ishikawa, H. Cloning, expression, and characterization of a lipolytic enzyme gene (lip8) from Pseudomonas aeruginosa LST-03. J. Mol. Microbiol. Biotechnol. 2004, 7, 212–223. [Google Scholar] [CrossRef]
- Byun, J.S.; Rhee, J.K.; Kim, N.D.; Yoon, J.; Kim, D.U.; Koh, E.; Oh, J.W.; Cho, H.S. Crystal structure of hyperthermophilic esterase EstE1 and the relationship between its dimerization and thermostability properties. BMC Struct. Biol. 2007, 7, 47. [Google Scholar] [CrossRef] [Green Version]
- De Simone, G.; Galdiero, S.; Manco, G.; Lang, D.; Rossi, M.; Pedone, C. A snapshot of a transition state analogue of a novel thermophilic esterase belonging to the subfamily of mammalian hormone-sensitive lipase. J. Mol. Biol. 2000, 303, 761–771. [Google Scholar] [CrossRef]
- Kim, B.Y.; Yoo, W.; Luu Le, L.T.H.; Kim, K.K.; Kim, H.W.; Lee, J.H.; Kim, Y.O.; Kim, T.D. Characterization and mutation anaylsis of a cold-active bacterial hormone-sensitive lipase from Salinisphaera sp. P7-4. Arch. Biochem. Biophys. 2019, 15, 132–142. [Google Scholar] [CrossRef] [PubMed]
- Park, S.H.; Kim, S.J.; Park, S.; Kim, H.K. Characterization of organic solvent-tolerant lipolytic enzyme from Marinobacter lipolyticus isolated from the antarctic ocean. Appl. Biochem. Biotechnol. 2019, 187, 1046–1060. [Google Scholar] [CrossRef] [PubMed]
- Nan, F.; Jiang, J.; Wu, S.; Zhang, Y.; Qiu, J.; Qiao, B.; Li, S.; Xin, Z. A novel VIII carboxylesterase with high hydrolytic activity against ampicillin from a soil metagenomic library. Mol. Biotechnol. 2019, 61, 892–904. [Google Scholar] [CrossRef]
- Huo, Y.Y.; Rong, Z.; Jian, S.L.; Xu, C.D.; Li, J.; Xu, X.W. A novel halotolerant thermoalkaliphilic esterase from marine bacterium Erythrobacter seohaensis SW-135. Front. Microbiol. 2017, 22, 2315. [Google Scholar] [CrossRef] [PubMed]
- Ouyang, L.M.; Liu, J.Y.; Qiao, M.; Xu, J.H. Isolation and biochemical characterization of two novel metagenome-derived esterases. Appl. Biochem. Biotechnol. 2013, 169, 15–28. [Google Scholar] [CrossRef] [PubMed]
- Fang, Y.; Wang, S.; Liu, S.; Jiao, Y. Discovery a novel organic solvent tolerant esterase from Salinispora arenicola CNP193 through genome mining. Int. J. Biol. Macromol. 2015, 80, 334–340. [Google Scholar] [CrossRef]
- Yu, E.Y.; Kwon, M.A.; Lee, M.; Oh, J.Y.; Choi, J.E.; Lee, J.Y.; Song, B.K.; Hahm, D.H.; Song, J.K. Isolation and characterization of cold-active family VIII esterases from an arctic soil metagenome. Appl. Microbiol. Biotechnol. 2011, 90, 573–581. [Google Scholar] [CrossRef] [PubMed]
- Akbulut, N.; Tuzlakoğlu Öztürk, M.; Pijning, T.; İşsever Öztürk, S.; Gümüşel, F. Improved activity and thermostability of Bacillus pumilus lipase by directed evolution. J. Biotechnol. 2013, 164, 123–129. [Google Scholar] [CrossRef] [PubMed]
- Van Pouderoyen, G.; Eggert, T.; Jaeger, K.E.; Dijkstra, B.W. The crystal structure of Bacillus subtilis lipase: A minimal alpha/beta hydrolase fold enzyme. J. Mol. Biol. 2001, 309, 215–226. [Google Scholar] [CrossRef] [Green Version]
- Simons, J.W.; van Kampen, M.D.; Ubarretxena-Belandia, I.; Cox, R.C.; Alves dos Santos, C.M.; Egmond, M.R.; Verheij, H.M. Identification of a calcium binding site in Staphylococcus hyicus lipase: Generation of calcium-independent variants. Biochemistry 1999, 38, 2–10. [Google Scholar] [CrossRef]
- Wi, A.R.; Jeon, S.J.; Kim, S.; Park, H.J.; Kim, D.; Han, S.J.; Yim, J.H.; Kim, H.W. Characterization and a point mutational approach of a psychrophilic lipase from an arctic bacterium, Bacillus pumilus. Biotechnol. Lett. 2014, 36, 1295–1302. [Google Scholar] [CrossRef]
- Kim, H.J.; Jung, W.K.; Lee, H.W.; Yoo, W.; Kim, T.D.; Kim, H. Characterization of an alkaline family I.4 lipase from Bacillus sp. W130-35 isolated from a tidal mud flat with broad substrate specificity. J. Microbiol. Biotechnol. 2015, 25, 2024–2033. [Google Scholar] [CrossRef] [PubMed]












| Enzyme. | Preparation | Specific Activity (U/mg) | Purification (Fold) | Yield (%) |
|---|---|---|---|---|
| Est8L | Crude extract | 32.6 | 1.0 | 100 |
| HiTrap Q | 268.6 | 8.2 | 61.8 | |
| MMC | 388.6 | 11.9 | 12.1 | |
| Est13L | Crude extract | 1.05 | 1.00 | 100 |
| HiTrap Q | 10.79 | 10.3 | 68.6 | |
| HIC | 42.33 | 40.3 | 43.2 |
| Fraction Volume (mL) | Molecular Mass (kDa) | log Mw | |
|---|---|---|---|
| β-amylase | 46 | 200.0 | 2.30 |
| BSA | 58 | 66.4 | 1.82 |
| Trypsinogen | 78 | 24.0 | 1.38 |
| Est8L | 61.5 | 67.2 ± 2.9 | 1.83 |
| Est13L | 47.5 | 160.0 ± 7.3 | 2.20 |
| Protein | Accession | Source | Homology (%) | AA | MW (kDa) | Native Form * | Opt Temp. (°C) | Opt. pH | Preferred pNP Esters | Organic Solvent Effects (%) ** | Enantio-Selectivity | Ion Effect *** | Ref. | ||
|---|---|---|---|---|---|---|---|---|---|---|---|---|---|---|---|
| IPA | MeOH | ACN | |||||||||||||
| Est8L | MZ484407 | Uncultured bacterium | 314 | 33.2 | Di | 40 | 9.0 | C4 | 42.68 a | 74.8 a | 33.4 a | S | (-)Cu2+, (-)Zn2+, (-)Co2+- | This study | |
| EstCS1 | AEQ63714 | Uncultured bacterium | 31.58 | 309 | 34.5 | 50 | 8.0 | C3, C6 | 115.8 a | 90.8 a | 101.1 a | (-)Cu2+, (-)Zn2+, (-) Co2+, (+)Ca2+ | [10] | ||
| DMWf18-543 | AUF80930 | Uncultured bacterium | 22.74 | 302 | 32.3 | 40 | 7.0 | C4 | 0 c | 0 c | 0 c | (-)Cu2+, (-)Zn2+, (-)Ni2+, (-)Co2+ | [17] | ||
| DMWf18-558 | AUF80945 | Uncultured bacterium | 22.81 | 302 | 32.1 | 40 | 7.0 | C2 | 0 c | 0 c | 0 c | (-)Cu2+, (-)Ni2+, (-)Co2+, (-)Zn2+, | |||
| Est3K | AKG92633 | Uncultured bacterium | 21.25 | 299 | 32.4 | 50 | 9.0 | C4 | 87.5 a | 86.9 a | 47.7 a | (-)Cu2+ | [18] | ||
| Est2L # | MT989338 | Uncultured bacterium | 10.69 | 839 | 92.5 | Di | 60 | 10.0 | C2 | 15.7 a | 92.7 a | 47.7 a | S/R | (+)Mg2+, (+)Mn2+, (+)Fe2+, (-)Cu2+ | [33] |
| PestE | BAC06606 | Pyrobaculum calidifontis | 34.27 | 313 | 34.4 | Di | 90 | 7.0 | C6 | 110 b | 109 b | 117 b | R | [34,35] | |
| Est25 | AAY45707 | Uncultured bacterium | 22.68 | 362 | 38.3 | Di | 25 | 7.0 | C4 | [36] | |||||
| Est3 | ALP75907 | Parvibaculum sp. | 38.56 | 312 | 32.8 | 41 | 6.0 | C5 | 38.2 b | 47.7 b | (+)Mn2+, (+)Li2+ | [37] | |||
| EstKT4 | ADH59412 | Uncultured bacterium | 19.34 | 352 | 38.2 | 40 | 8.5 | C5 | (-)Mn2+, (-)Zn2+, (-)Ni2+, (+)K+ | [38] | |||||
| EstKT7 | ADH59413 | Uncultured bacterium | 20.76 | 316 | 34 | 35 | 8.0 | C5 | (-)Cu2+, (-)Zn2+, (-)Ni2+, (+)Na+ | ||||||
| EstKT9 | ADH59414 | Uncultured bacterium | 16.53 | 372 | 40.8 | 45 | 8.5 | C5 | (-)Zn2+ | ||||||
| Est4 | CCI69497 | Rhodococus sp. | 20.97 | 313 | 33.2 | 30 | 7.0 | C4 | (-)Cu2+, (-)Zn2+, (-)Fe2+, (-)Ag2+, | [39] | |||||
| Rv0045c | I6XU97 | Mycobacterium tuberculosis | 10.79 | 298 | 32.1 | 39 | 8.0 | C6 | [40,41] | ||||||
| EstZ | AAM16269 | Pseudomonas putida | 30.46 | 318 | 34.3 | 40 | 7.5 | C2 | [42] | ||||||
| E40 | AKF17659 | Uncultured bacterium | 20.89 | 297 | 32.1 | Tet | 45 | 8.0 | C4 | (+)Na+ | [43,44] | ||||
| Est22 | AFB82695 | Uncultured bacterium | 22.06 | 344 | 36.7 | Di | 40 | 7.5 | C2 | 40 c | 120 c | 0 c | (-)Zn2+, (-)Cu2+ | [45] | |
| AFEST | WP_010879212 | Archaeoglobus fulgidus | 32.92 | 311 | 35.5 | Mono | 80 | 7.1 | C6 | [46,47] | |||||
| EstE1 | AAW62260 | Uncultured archaeon | 31.25 | 311 | 33.8 | Di | 95 | 6.0 | C6 | [58] | |||||
| EST2 | QGT40748 | Alicyclobacillus acidocaldarius | 31.25 | 311 | 34.4 | Mono | 70 | 7.1 | C6 | R | [59] | ||||
| SaHSL | AEP27067 | Salinisphaera sp. | 36.45 | 316 | 34.4 | 70 | C2 | 75a | (+)Na+ | [60] | |||||
| E69 | AUD08548 | Erythrobacter seohaensis | 17.87 | 274 | 29.5 | 60 | 10.5 | C4 | 0 c | 28.8 c | 35.0 c | (+)Na2+ | [63] | ||
| SAestA | AIY29984 | Salinispora arenicola | 29.00 | 324 | 33.8 | 25 | 9.0 | C4 | 113 d | (-)Hg2+, (-)Cu2+, (-)Zn2+ | [65] | ||||
| Protein | Accession | Source | Homology (%) | AA | MW (kDa) | Native Form * | Opt Temp. (°C) | Opt. pH | Preferred pNP Esters | Organic Solvent Effects (%) ** | Enantio-Selectivity | Ion Effect *** | Ref. | ||
|---|---|---|---|---|---|---|---|---|---|---|---|---|---|---|---|
| IPA | MeOH | ACN | |||||||||||||
| Est13L | MZ484408 | Uncultured bacterium | 411 | 44.9 | Tet | 40 | 10.0 | C6 | 182.9 a | 356.1 a | 37.0 a | S/R | (-)Cu2+, (-)Zn2+ | This study | |
| EstCS3 | ARE60547 | Uncultured bacterium | 14.0 | 409 | 44.5 | Mono | 55 | 8.0 | C4 | 0.5 a | 44.5 a | 2.2 a | [11] | ||
| Est7K | AJN91095 | Uncultured bacterium | 98.5 | 411 | 45.0 | 40 | 10.0 | C4 | 106.5 a | 208.5 a | 33.7 a | S | (-)Cu2+ | [22] | |
| PBS-2 | AHL66978 | Paenibacillus sp. PBS-2 | 30.0 | 377 | 42.2 | 30 | 9.0 | C4 | 104 a | 102 a | 62 a | (-)Hg2+, (-)Cu2+ | [48] | ||
| EstC | ACH88047 | Uncultured bacterium | 39.3 | 427 | 46.3 | Mono | 40 | C4 | ~100 a | ~600 a | [49] | ||||
| Lpc53E1 | AFM09717 | Uncultured bacterium | 31.4 | 387 | 41.9 | 40 | 7.0 | C4 | 176.4 b | 220.5 b | 271.2 b | (-)Ba2+, (-)Mg2+, (-)Rb2+, (+)Na+ | [50] | ||
| EstBL | AAX78516 | Burkholderia cepacia | 31.0 | 398 | 42.0 | Mono | C2 | [51] | |||||||
| EstA3 | AAZ48934 | Uncultured bacterium | 57.6 | 396 | 43.3 | Hexa | 50 | 9.0 | C4 | 117 a | 130 a | 87 a | S | (-)Ca2+, (-)Cu2+, (-)Mg2+, (+)Co2+ | [52] |
| EstCE1 | AAY90134 | Uncultured bacterium | 25.9 | 378 | 41.3 | Mono | 47 | 10.0 | C4 | 23 a | 0 a | 0 a | S | (-)Cu2+ | |
| EstIII | AAC60471 | Pseudomonas fluorescens SIK WI | 35.1 | 382 | 41.8 | Mono | 50 | 9.5 | C2 | [53] | |||||
| Est22 | AGT17593 | Uncultured bacterium | 34.7 | 423 | 47.0 | Tri | 30 | 8.0 | C4 | [54] | |||||
| LipBL | KPP97659 | Marinobacter sp. HL-58 | 49.1 | 404 | 45.4 | 80 | 7.0 | C6 | 98.4 a | 120.5 a | 27.7 a | S | [55] | ||
| EstB | AAF59826 | Burkholderia gladioli | 31.0 | 392 | 41.7 | 43 | 7.0 | C4 | (-)Na+, (-)Hg2+ | [56] | |||||
| Lip8 | BAD69792 | Pseudomonas aeruginosa | 30.7 | 391 | 42.1 | 30 | 7.0 | C2 | ~0 b | [57] | |||||
| LipA9 | AYH52116 | Marinobacter lipolyticus | 47.1 | 404 | 45.2 | 70 | 8.0 | C6 | 90~100 a | 90~100 a | 60~80 a | [61] | |||
| DLFae4 | AZK36008 | Uncultured microorganism | 28.0 | 338 | 37.2 | 50 | 8.6 | C6 | 20~30 a | ~15 a | (-)Cu2+, (-)Co2+ | [62] | |||
| EstF4k | AEH57832 | Uncultured bacterium | 57.5 | 396 | 43.1 | 50 | 8.0 | C3, C4 | 175.8 a | 16.5 a | S | (-)Hg2+, (-)Ag2+ | [64] | ||
| EstM-N2 | AEA07655 | Uncultured bacterium | 46.0 | 407 | 45.6 | 30 | 9.0 | C4 | (-)Fe2+, (-)Cu2+ | [66] | |||||
Publisher’s Note: MDPI stays neutral with regard to jurisdictional claims in published maps and institutional affiliations. |
© 2021 by the authors. Licensee MDPI, Basel, Switzerland. This article is an open access article distributed under the terms and conditions of the Creative Commons Attribution (CC BY) license (https://creativecommons.org/licenses/by/4.0/).
Share and Cite
Park, J.-E.; Jeong, G.-S.; Lee, H.-W.; Kim, H. Molecular Characterization of Novel Family IV and VIII Esterases from a Compost Metagenomic Library. Microorganisms 2021, 9, 1614. https://doi.org/10.3390/microorganisms9081614
Park J-E, Jeong G-S, Lee H-W, Kim H. Molecular Characterization of Novel Family IV and VIII Esterases from a Compost Metagenomic Library. Microorganisms. 2021; 9(8):1614. https://doi.org/10.3390/microorganisms9081614
Chicago/Turabian StylePark, Jong-Eun, Geum-Seok Jeong, Hyun-Woo Lee, and Hoon Kim. 2021. "Molecular Characterization of Novel Family IV and VIII Esterases from a Compost Metagenomic Library" Microorganisms 9, no. 8: 1614. https://doi.org/10.3390/microorganisms9081614
APA StylePark, J.-E., Jeong, G.-S., Lee, H.-W., & Kim, H. (2021). Molecular Characterization of Novel Family IV and VIII Esterases from a Compost Metagenomic Library. Microorganisms, 9(8), 1614. https://doi.org/10.3390/microorganisms9081614

