Glycosphingolipids Recognized by Acinetobacter baumannii
Abstract
1. Introduction
2. Materials and Methods
2.1. A. baumannii Strains, Culture Conditions, and Labeling
2.2. Reference Glycosphingolipids
2.3. Chromatogram Binding Assays
2.4. Isolation of the A. baumannii Binding Tetraglycosylceramide from Human Small Intestine
2.5. Isolation of the A. baumannii Binding Tetraglycosylceramide from Rabbit Intestine
2.6. Isolation of Glycosphingolipids from Human Skin
2.7. Endoglycoceramidase Digestion and Liquid Chromatography/Electrospray Ionization Mass Spectrometry
2.8. Inhibition Experiments
3. Results
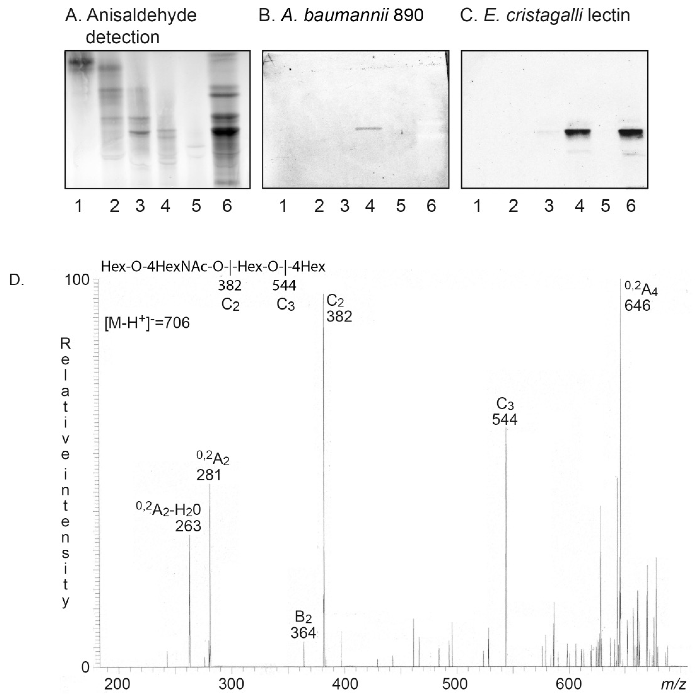
3.1. Screening for A. baumannii Carbohydrate Recognition
3.2. Isolation of A. baumannii Binding Tetraglycosylceramides from Human and Rabbit Small Intestine
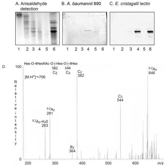
3.3. LC-ESI/MS of the Human Small Intestinal Glycosphingolipid Recognized by A. baumannii
3.4. LC-ESI/MS of the Rabbit Small Intestinal Glycosphingolipid Recognized by A. baumannii
3.5. Binding to Reference Glycosphingolipids
3.6. Isolation and Characterization of an A. baumannii Binding Glycosphingolipid from Human Skin
3.7. Inhibition Studies
4. Discussion
Author Contributions
Funding
Conflicts of Interest
References
- World Health Organization, WHO Publishes List of Bacteria for Which New Antibiotics Are Urgently Needed. 2017. Available online: http://www.who.int/mediacentre/news/releases/2017/bacteria-antibiotics-needed/en/ (accessed on 27 February 2017).
- Espinal, P.; Martí, S.; Vila, J. Effect of biofilm formation on the survival of Acinetobacter baumannii on dry surfaces. J. Hospital. Infect. 2012, 80, 56–60. [Google Scholar] [CrossRef] [PubMed]
- Tomaras, A.P.; Dorsey, C.W.; Edelmann, R.E.; Actis, L.A. Attachment to and biofilm formation on abiotic surfaces by Acinetobacter baumannii: Involvement of a novel chaperone-usher pili assembly system. Microbiology 2003, 149, 3473–3484. [Google Scholar] [CrossRef] [PubMed]
- de Breij, A.; Gaddy, J.; van der Meer, J.; Koning, R.; Koster, A.; van den Broek, P.; Actis, L.; Nibbering, P.; Dijkshoorn, L. CsuA/BABCDE-dependent pili are not involved in the adherence of Acinetobacter baumannii ATCC19606T to human airway epithelial cells and their inflammatory response. Res. Microbiol. 2009, 160, 213–218. [Google Scholar] [CrossRef] [PubMed]
- Pakharukova, N.; Tuittila, M.; Paavilainen, S.; Parilova, O.; Malmi, H.; Teneberg, S.; Knight, S.; Zavialov, A.V. Structural basis for Acinetobacter baumannii biofilm formation. Proc. Natl. Acad. Sci. USA 2018, 115, 5558–5563. [Google Scholar] [CrossRef]
- Gaddy, J.A.; Tomaras, A.P.; Actis, L.A. The Acinetobacter baumannii 19606 OmpA protein plays a role in biofilm formation on abiotic surfaces and in the interaction of this pathogen with eukaryotic cells. Infect. Immun. 2009, 77, 3150–3160. [Google Scholar] [CrossRef]
- Brossard, K.A.; Campagnari, A.A. The Acinetobacter baumannii biofilm-associated protein plays a role in adherence to human epithelial cells. Infect. Immun. 2012, 80, 228–233. [Google Scholar] [CrossRef]
- De Gregorio, E.; Del Franco, M.; Martinucci, M.; Roscetto, E.; Zarrilli, R.; Di Nocera, P.P. Biofilm-associated proteins: News from Acinetobacter. BMC Genom. 2015, 16, 933. [Google Scholar] [CrossRef]
- Álvarez-Fraga, L.; Pérez, A.; Rumbo-Feal, S.; Merino, M.; Vallejo, J.A.; Ohneck, E.J.; Edelmann, R.E.; Beceiro, A.; Vázquez-Ucha, J.C.; Valle, J.; et al. Analysis of the role of the LH92_11085 gene of a biofilm hyperproducing Acinetobacter baumannii strain on biofilm formation and attachment to eukaryotic cells. Virulence 2016, 7, 443–455. [Google Scholar] [CrossRef]
- Weidensdorfer, M.; Ishikawa, M.; Hori, K.; Linke, D.; Djahanschiri, B.; Iruegas, R.; Ebersberger, I.; Riedel-Christ, S.; Enders, G.; Leukert, L.; et al. The Acinetobacter trimeric autotransporter adhesin Ata controls key virulence traits of Acinetobacter baumannii. Virulence 2019, 10, 68–81. [Google Scholar] [CrossRef]
- Lee, J.C.; Koerten, H.; van den Broek, P.; Beekhuizen, H.; Wolterbeek, R.; van den Barselaar, M.; van der Reijden, T.; van der Meer, J.; van de Gevel, J.; Dijkshoorn, L. Adherence of Acinetobacter baumannii strains to human bronchial epithelial cells. Res. Microbiol. 2006, 157, 360–366. [Google Scholar] [CrossRef]
- Giannouli, M.; Antunes, L.C.; Marchetti, V.; Triassi, M.; Visca, P.; Zarrilli, R. Virulence-related traits of epidemic Acinetobacter baumannii strains belonging to the international clonal lineages I-III and to the emerging genotypes ST25 and ST78. BMC Infect. Dis. 2013, 13, 282. [Google Scholar] [CrossRef] [PubMed]
- Pieters, R.J. Carbohydrate mediated bacterial adhesion. Adv. Exp. Med. Biol. 2011, 715, 227–240. [Google Scholar] [PubMed]
- Karlsson, K.A. Animal glycosphingolipids as membrane attachment sites for bacteria. Annu. Rev. Biochem. 1989, 58, 309–350. [Google Scholar] [CrossRef] [PubMed]
- Karlsson, K.A. Preparation of total non-acid glycolipids for overlay analysis of receptors for bacteria and viruses and for other studies. Meth. Enzymol. 1987, 138, 212–220. [Google Scholar]
- Samuelsson, B.E.; Pimlott, W.; Karlsson, K.A. Mass spectrometry of mixtures of intact glycosphingolipids. Meth. Enzymol. 1990, 193, 623–646. [Google Scholar]
- Karlsson, H.; Halim, A.; Teneberg, S. Differentiation of glycosphingolipid-derived glycan structural isomers by liquid chromatography-mass spectrometry. Glycobiology 2010, 20, 1103–1116. [Google Scholar] [CrossRef]
- Koerner, T.A.W., Jr.; Prestegard, J.H.; Demou, P.C.; Yu, R.K. High-resolution proton NMR studies of gangliosides. 1. Use of homonuclear spin-echo J-correlated spectroscopy for determination of residue composition and anomeric configurations. Biochemistry 1983, 22, 2676–2687. [Google Scholar] [CrossRef]
- Waldi, D. Sprühreagentien für die dünnschicht-chromatographie. In Dünnschicht-Chromatographie; Stahl, E., Ed.; Springer: Berlin, Germany, 1962; pp. 496–515. [Google Scholar]
- Roche, N.; Ångström, J.; Hurtig, M.; Larsson, T.; Borén, T.; Teneberg, S. Helicobacter pylori and complex gangliosides. Infect. Immun. 2004, 72, 1519–1529. [Google Scholar] [CrossRef]
- Teneberg, S.; Jovall, P.Å.; Ångström, J.; Karlsson, K.A. Characterization of binding of Galβ4GlcNAc-specific lectins from Erythrina christagalli and Erythrina corallodendron to glycosphingolipids. Detection, isolation and characteriztion of a novel glycosphingolipid of bovine buttermilk. J. Biol. Chem. 1994, 269, 8554–8563. [Google Scholar]
- Chai, W.; Piskarev, V.; Lawson, A.M. Negative ion electrospray mass spectrometry of neutral underivatized oligosaccharides. Anal. Chem. 2001, 73, 651–657. [Google Scholar] [CrossRef]
- Robbe, C.; Capon, C.; Coddeville, B.; Michalski, J.C. Diagnostic ions for the rapid analysis by nano-electrospray ionization quadrupole time.of.flight mass spectrometry of O-glycans from human mucins. Rapid Commun. Mass Spectrom. 2004, 18, 412–420. [Google Scholar] [CrossRef] [PubMed]
- Hamanaka, S.; Asagami, C.; Nishioka, K.; Fujita, H. The glycolipids of normal human skin. J. Dermatol. 1983, 10, 545–549. [Google Scholar] [CrossRef] [PubMed]
- McConnell, M.J.; Actis, L.; Pachón, J. Acinetobacter baumannii: Human infections, factors contributing to pathogenesis and animal models. FEMS Microbiol. Rev. 2013, 37, 130–155. [Google Scholar] [CrossRef] [PubMed]
- Blanchard, B.; Nurisso, A.; Hollville, E.; Tétaud, C.; Wiels, J.; Pokorná, M.; Wimmerová, M.; Varrot, A.; Imberty, A. Structural basis of the preferential binding for globo-series glycosphingolipids displayed by Pseudomonas aeruginosa lectin I. J. Mol. Biol. 2008, 383, 837–853. [Google Scholar] [CrossRef] [PubMed]
- Glick, J.; Garber, N. The intracellular localization of Pseudomonas aeruginosa lectins. J. Gen. Microbiol. 1983, 129, 3085–3090. [Google Scholar] [CrossRef]
- Merckel, M.C.; Tanskanen, J.; Edelman, S.; Westerlund-Wikström, B.; Korhonen, T.K.; Goldman, A. The structural basis of receptor binding by Escherichia coli associated with diarrhea and septicemia. J. Mol. Biol. 2003, 331, 897–905. [Google Scholar] [CrossRef]
- Buts, L.; Bouckaert, J.; De Genst, E.; Loris, R.; Oscarson, S.; Lahmann, M.; Messens, J.; Brosens, E.; Wyns, L.; De Greve, H. The fimbrial adhesin F17-G of enterotoxigenic Escherichia coli has an immunoglobulin-like lectin domain that binds N-acetylglucosamine. Mol. Microbiol. 2003, 49, 705–715. [Google Scholar] [CrossRef]






| No. | Trivial Name | Structure | Binding a | Source |
|---|---|---|---|---|
| Simple compounds | ||||
| 1. | GalCer (d18:1-h24:0) b | Galβ1Cer | (+) | Porcine intestine |
| 2. | Sulfatide | SO3-Galβ1Cer | - | Porcine intestine |
| 3. | LacCer (d18:1-16:0-24:0) | Galβ4Glcβ1Cer | - | Human neutrophils |
| 4. | LacCer (t18:0-h16:0-h24:0) | Galβ4Glcβ1Cer | + | Dog intestine |
| Ganglioseries | ||||
| 5. | Gangliotri | GalNAcβ4Galβ4Glcβ1Cer | (+) | Guinea pig erythrocytes |
| 6. | Gangliotetra | Galβ3GalNAcβ4Galβ4Glcβ1Cer | (+) | Mouse intestinee |
| 7. | GD1a | NeuAcα3Galβ3GalNAcβ4(NeuAcα3)Galβ4Glcβ1Cer | - | Human brain |
| Neolactoseries | ||||
| 8. | Lactotri | GlcNAcβ3Galβ4Glcβ1Cer | + | Porcine intestine |
| 9. | Neolactotetra | Galβ4GlcNAcβ3Galβ4Glcβ1Cer | + | Human neutrophils |
| 10. | H type 2 penta | Fucα2Galβ4GlcNAcβ3Galβ4Glcβ1Cer | - | Human erythrocytes |
| 11. | Lex penta | Galβ4(Fucα3)GlcNAcβ3Galβ4Glcβ1Cer | - | Dog intestine |
| 12. | B penta | Galα3Galβ4GlcNAcβ3Galβ4Glcβ1Cer | - | Rabbit erythrocytes |
| 13. | Ley hexa | Fucα2Galβ4(Fucα3)GlcNAcβ3Galβ4Glcβ1Cer | - | Dog intestine |
| 14. | B type 2 hexa | Galα3(Fucα2)Galβ4GlcNAcβ3Galβ4Glcβ1Cer | - | Human erythrocytes |
| 15. | B type 2 hepta | Galα3(Fucα2)Galβ4(Fucα3)GlcNAcβ3Galβ4Glcβ1Cer | - | Human erythrocytes |
| 16. | A type 2 hepta | GalNAcα3(Fucα2)Galβ4(Fucα3)GlcNAcβ3Galβ4Glcβ1Cer | - | Human erythrocytes |
| 17. | NeuAcα3-neolactotetra | NeuAcα3Galβ4GlcNAcβ3Galβ4Glcβ1Cer | - | Human erythrocytes |
| 18. | NeuAcα6-neolactotetra | NeuAcα6Galβ4GlcNAcβ3Galβ4Glcβ1Cer | - | Human meconium |
| 19. | NeuGcα3-neolactotetra | NeuGcα3Galβ4GlcNAcβ3Galβ4Glcβ1Cer | - | Goat erythrocytes |
| 20. | NeuGcα3-neolactohexa | NeuGcα3Galβ4GlcNAcβ3Galβ4GlcNAcβ3Galβ4Glcβ1Cer | - | Rabbit thymus |
| Lactoseries | ||||
| 21. | Lactotetra | Galβ3GlcNAcβ3Galβ4Glcβ1Cer | + | Human meconium |
| 22. | Lea penta | Galβ3(Fucα4)GlcNAcβ3Galβ4Glcβ1Cer | - | Human intestine |
| 23. | Leb hexa | Fucα2Galβ3(Fucα4)GlcNAcβ3Galβ4Glcβ1Cer | - | Human meconium |
| 24. | NeuAc-lactotetra | NeuAcα3Galβ3GlcNAcβ3Galβ4Glcβ1Cer | - | Human pancreas cancer |
| Globoseries | ||||
| 25. | Isoglobotri | Galα3Galβ4Glcβ1Cer | (+) | Dog intestine |
| 26. | Isoglobotetra | GalNAcβ3Galα3Galβ4Glcβ1Cer | (+) | Rat intestine |
| 27. | Galα3-isoglobotri | Galα3Galα3Galβ4Glcβ1Cer | (+) | Cat intestine |
| 28. | Globotri | Galα4Galβ4Glcβ1Cer | - | Human erythrocytes |
| 29. | Globotetra | GalNAcβ3Galα4Galβ4Glcβ1Cer | - | Human erythrocytes |
| No. | Trivial name | Structure | CCUG 19096 | CCUG 890 | CCUG 60611 | CCUG 68614 |
|---|---|---|---|---|---|---|
| 1. | GalCer (d18:1-h24:0) b | Galβ1Cer | − a | + | + | − |
| 2. | LacCer (t18:0-h16:0-h24:0) | Galβ4Glcβ1Cer | + | + | + | + |
| 3. | Gangliotri | GalNAcβ4Galβ4Glcβ1Cer | + | + | + | + |
| 4. | Neolactotetra | Galβ4GlcNAcβ3Galβ4Glcβ1Cer | − | + | − | + |
| 5. | Lactotetra | Galβ3GlcNAcβ3Galβ4Glcβ1Cer | − | + | + | − |
© 2020 by the authors. Licensee MDPI, Basel, Switzerland. This article is an open access article distributed under the terms and conditions of the Creative Commons Attribution (CC BY) license (http://creativecommons.org/licenses/by/4.0/).
Share and Cite
Madar Johansson, M.; Azzouz, M.; Häggendal, B.; Säljö, K.; Malmi, H.; Zavialov, A.; Teneberg, S. Glycosphingolipids Recognized by Acinetobacter baumannii. Microorganisms 2020, 8, 612. https://doi.org/10.3390/microorganisms8040612
Madar Johansson M, Azzouz M, Häggendal B, Säljö K, Malmi H, Zavialov A, Teneberg S. Glycosphingolipids Recognized by Acinetobacter baumannii. Microorganisms. 2020; 8(4):612. https://doi.org/10.3390/microorganisms8040612
Chicago/Turabian StyleMadar Johansson, Miralda, Mehjar Azzouz, Beatrice Häggendal, Karin Säljö, Henri Malmi, Anton Zavialov, and Susann Teneberg. 2020. "Glycosphingolipids Recognized by Acinetobacter baumannii" Microorganisms 8, no. 4: 612. https://doi.org/10.3390/microorganisms8040612
APA StyleMadar Johansson, M., Azzouz, M., Häggendal, B., Säljö, K., Malmi, H., Zavialov, A., & Teneberg, S. (2020). Glycosphingolipids Recognized by Acinetobacter baumannii. Microorganisms, 8(4), 612. https://doi.org/10.3390/microorganisms8040612

