Abstract
Bacterial sepsis caused by Aeromonas hydrophila (A. hydrophila) and infectious spleen and kidney necrosis virus disease (ISKNVD) caused by infectious spleen and kidney necrosis virus (ISKNV) frequently result in significant mortality among Chinese perch (Siniperca chuatsi). Co-infection of mandarin fish with A. hydrophila and ISKNV occurs from time to time. In this study, a visual detection method for ISKNV and A. hydrophila was developed, using loop-mediated isothermal amplification (LAMP) and pre-addition of hydroxynaphthol blue. Primers for amplifying LAMP in the same system were designed based on the conserved regions of the MCP gene of infectious spleen and kidney necrosis virus, as well as the hlyA gene of A. hydrophila. The results showed that this method amplified bright trapezoidal bands in the presence of only A. hydrophila or ISKNV and both, with sky blue for positive amplification and violet for negative amplification. There was no cross-reactivity with other pathogens, and fragments of 182 bp, 171 bp and 163 bp appeared after digestion of the A. hydrophila LAMP product and 136 bp, 117 bp and 96 bp appeared after digestion of the ISKNV LAMP product. This holds true even when both positive products are present simultaneously. The minimum detection limit of this method was 100 fg for A. hydrophila and 100 fg for ISKNV, and the minimum detection limit for the mixed template was 1 pg. Overall, this method has high sensitivity and specificity to rapidly detect and distinguish between the two pathogens.
1. Introduction
Chinese perch (S. chuatsi) is a highly valued species in the freshwater culture in China [1]. Along with the growing scale of the cultivation and the decrease in the water quality in the culture environment, the incidence of the disease is becoming more and more severe [2,3]. Currently, infectious spleen and kidney necrosis virus (ISKNV) and A. hydrophila have emerged as significant threats to the successful and healthy growth of the Chinese perch culture industry [4,5,6].
ISKNV is a representative species of the genus Megalocytivirus [7], which is enveloped and belongs to double-stranded DNA viruses with an icosahedral structure. According to the classification established by the International Committee on Taxonomy of Viruses (ICTV) (https://ictv.global/report/chapter/iridoviridae/iridoviridae/megalocytivirus (accessed on 26 February 2025)), the species previously designated as infectious spleen and kidney necrosis virus (ISKNV) has been reclassified under the genus Megalocytivirus and is now formally referred to as Megalocytivirus pagrus 1. However, as the species designation Megalocytivirus pagrus 1 encompasses a broad range of viruses within the genus, the term infectious spleen and kidney necrosis virus (ISKNV) is retained in this study to ensure precise and unambiguous identification of the specific viral strain under investigation. ISKNV infects a wide range of species, including a wide range of marine fish species in addition to freshwater fish [8]. It can lead to a large number of deaths of juvenile mandarin fish, and the cumulative mortality rate is as high as 100% [9]. This virus can even infect over 50 different species of marine and freshwater fish species, such as Micropterus salmoides, Danio rerio, Xiphophorus maculatus and Lates calcarifer. It has caused widespread damage to the aquaculture industry in many countries [8,10,11,12].
A. hydrophila is a member of a genus Aeromonas in the Aeromonadaceae family [13], and it is one of the most common pathogens in Chinese freshwater culture. It is capable of infecting a wide range of aquatic animals and poses a significant threat to terrestrial animals as well, and clinical studies have revealed that A. hydrophila can cause infection in humans either independently or in conjunction with other harmful bacteria [14,15,16]. Nielsen et al. carried out bacteriological examination of dead fish in five aquaculture fisheries in Zhejiang Province and isolated 95 bacteria strains. Among them, 58% and 53% of A. hydrophila were detected in the samples from Megalobrama amblycephala and Carassius auratus farms, respectively [17]. These isolated A. hydrophila were responsible for the haemorrhagic septicaemia of Megalobrama amblycephala and Carassius auratus. It is reported that it can also infect Pelteobagrus fulvidraco, Alosa sapidissima, Procambarus clarkii, Cherax quadricarinatus, Eriocheir sinensis, etc., and cause massive death [18,19,20,21,22]. Classical isothermal nucleic acid amplification technologies, including nucleic acid sequence-based amplification (NASBA), strand displacement amplification (SDA) and rolling circle amplification (RCA), are all technologies that can effectively amplify nucleic acids under isothermal conditions without the need for multi-step thermal cycling. NASBA can use the RNA T7 polymerase promoter to directly amplify RNA without amplifying double-stranded DNA, but the reliability of the analysis cannot be guaranteed for low concentrations of nucleic acids [23]. SDA is based on the ability of restriction enzymes to nick on the unmodified strand of the half-modified DNA recognition site and the ability of the 5′–3′ exonuclease-deficient DNA polymerase to lengthen the 3′ end at the nick and replace the downstream strand to amplify nucleic acids, a technique limited by the fact that buffers can affect the specificity of amplification [24]. Although RCA solves the problem of intrinsic amplification efficiency, it requires an additional ligation process prior to amplification for specific target identification [25]. Loop-mediated isothermal amplification was designed by Notomi et al. and first used for virus detection [26]. This technology has the advantages of simplicity and high sensitivity. In this study, the conserved sequences of ISKNV MCP gene and A. hydrophila hlyA gene were selected to establish a duplex LAMP detection method, and the two pathogens were distinguished by endonuclease digestion. This method is particularly suitable for rapid on-site diagnosis of pathogens, and positive and negative results can be visually distinguished directly.
The objective of this article is to develop a technique that enables the quick and concurrent identification of A. hydrophila and ISKNV and to provide an effective tool for the prevention of them.
2. Materials and Methods
2.1. Sample Collection and Preparation of DNA Templates
The bacteria and viruses used in this study such as Siniperca chuatsi Rhabdovirus (SCRV), Cyprinid herpesvirus 2 (CyHV-2), Largemouth bass ranavirus (LMBV), A. hydrophila, Edwardsiella tarda, Plesiomonas shigelloides, Aeromonas sobria, Aeromonas schubertii, Aeromonas veronii, Aeromonas caviae, Pseudomonas aeruginosa and Vibrio parahaemolyticus were isolated and preserved by the authors’ laboratory. All pathogens are validated by molecular techniques such as PCR, etc. Bacterial DNA extraction was performed using the MolPure® Bacterial DNA Kit (Yeasen, Shanghai, China) in accordance with the guidelines provided by the manufacturer. Briefly, centrifuge the bacterial culture medium, discard the supernatant, and add lysis buffer to lyse the bacteria. Then, add proteinase K (Yeasen, Shanghai, China) to hydrolyze histones bound to nucleic acids, allowing DNA to dissociate in the solution, and add RNase A (Yeasen, Shanghai, China) to remove residual RNA. Add isopropyl alcohol (Macklin, Shanghai, China)for extraction, then add the deprotein solution from the reagent kit to the adsorption column and centrifuge to remove the protein. After washing with a rinse solution mixed with ethanol absolute (Sinopharm Chemical Reagent Co., Ltd., Shanghai, China), dissolve and gather with ddH2O (Takara Biomedical Technology (Beijing) Co., Ltd., Beijing, China). To obtain nucleic acid material for the virus, virus DNA extraction is performed using the Tissue DNA Kit (Yeasen, Shanghai, China) in accordance with the guidelines provided by the manufacturer. Briefly, take an appropriate amount of tissue samples and add lysis buffer, sterile water and proteinase K. After cutting, digest in a water bath to release the viral DNA into the solution. Centrifuge the supernatant, and add lysis buffer for secondary lysis, followed by ethanol absolute. Transfer the mixture into the adsorption column of the reagent kit and centrifuge, then add the deproteinized solution. Wash with rinsing solution mixed with ethanol absolute, and gather with ddH2O.
2.2. Primer Design and Synthesis
The major capsid protein (MCP) is a crucial component of the ISKNV virus structure, which has a decisive impact on the integrity and functional performance of the virus. The proportion of MCP protein in the entire soluble protein group of the virus is as high as 90% [5]. Hemolysin is the main virulence factor of A. hydrophila, with hemolytic and intestinal toxicity. It is closely related to the virulence of A. hydrophila [27]. All the published ISKNV MCP and A. hydrophila hlyA genes were compared based on the NCBI database, and the conserved regions were selected as the target fragments. According to the principle of primer design, multiple groups of primers of MCP and hlyA gene for LAMP can be amplified by using Primer Explorer V5 online primer design website (http://primerexplorer.jp/lampv5e/index.html (accessed on 5 June 2024)) and Snapgene 6.0.2 software. This set of primers was designed using the SnapGene 6.0.2 software-assisted primer design program. The specificity of the primers was ensured by targeting a unique genomic region. Comparative analysis of nearly 30 A. hydrophila strains from the NCBI database confirmed that the primers did not amplify non-target fragments of ISKNV or A. hydrophila in mandarin fish. Perform multiple sequence alignment to identify highly conserved regions between different isolates. This method aims to minimize the impact of genetic variation and ensure that primers are effective in various pathogen strains. All the oligonucleotides were synthesized by Tsingke Biotech Co., Ltd. (Nanjing, China) and stored at −20 °C until use (Table 1 and Table 2).
Table 1.
LAMP primer sequence of ISKNV.
Table 2.
LAMP primer sequence of A. hydrophila.
2.3. LAMP for ISKNV and A. hydrophila with Pre-Additional Hydroxynapthol Blue
The experimental procedures strictly adhered to zoning principles, encompassing distinct reagent preparation, sample processing and amplification areas, with the use of disposable consumables to prevent cross-contamination. Negative and blank controls were included in each experimental batch to monitor potential contamination. A LAMP system was established using Bst II DNA Polymerase Large Fragment, MgSO4, 10× IsothermalAmp Buffer and dNTPs mix from Nanjing Vazyme Biotechnology Co., Ltd. (Nanjing, China). The total amount of the system is 25 μL, and the specific content of each component is shown in Table 3 and Table 4. The reaction solution is maintained at 65 °C for 60 min. The color change after the reaction can be directly observed. For comparison, the LAMP amplification was detected by 3% agarose gel electrophoresis.
Table 3.
Lamp system for ISKNV.
Table 4.
Lamp system for A. hydrophila.
2.4. Optimization of LAMP-HNB
The positive nucleic acid mixed with ISKNV and A. hydrophila was used as a template to establish an optimized reaction system. The content of MgSO4, dNTP, reaction temperature and reaction time were optimized. Four reaction systems were designed, including 1.6 μM for MCP inner primers (FIP/BIP), 0.2 μM for MCP outer primers (F3/B3), 1.6 μM for hlyA inner primers (FIP/BIP), 0.2 μM for hlyA outer primers (F3/B3), 10 × IsothermalAmp Buffer 2.5 μL, 8 U Bst II DNA Polymerase Large Fragment, 120 μM hydroxynaphthol blue (HNB, Macklin, Shanghai, China) and 1 μL of mixed positive template. The content of MgSO4 was set as 6 mM, 7 mM, 8 mM, 9 mM and 10 mM; the content of dNTP was set as 1.0 mM, 1.2 mM, 1.4 mM, 1.6 mM and 1.8 mM; the reaction temperature was set as 60 °C, 61 °C, 62 °C, 63 °C, 64 °C and 65 °C; and the duration of the reaction was established at 30 min, 40 min, 50 min and 60 min. A 3% agarose gel electrophoresis analysis was performed after the reaction.
2.5. Specificity of the Duplex LAMP-HNB
The specificity of the duplex LAMP-HNB was determined using DNA or cDNA of Siniperca chuatsi Rhabdovirus (SCRV), Cyprinid herpesvirus 2 (CyHV-2), Largemouth bass ranavirus (LMBV), White spot syndrome virus (WSSV), Spring Viraemia of Carp Virus (SVCV), A. hydrophila, Edwardsiella tarda, Plesiomonas shigelloides, etc. These pathogens are either prevalent in mandarin fish farming or closely associated with the pathogens investigated in this study. The reaction system with ddH2O as template was set as the negative control. Three reaction systems were set up as positive controls that ISKNV, A. hydrophila and the mixed templates of ISKNV and A. hydrophila were used as templates.
2.6. Identification of Duplex LAMP-HNB Reaction Products by Enzymatic Digestion
Sequence analysis showed the presence of a SacII digestion site in the LAMP amplification target sequences of ISKNV and A. hydrophila, so the endonuclease digestion reaction could be used to analyze the two LAMP amplification products easily. The 20 μL enzyme digestion reaction with SacII endonuclease was performed according to the manufacturer’s instructions: DNA, 1 μL; QuickCut SacII (Takara Biomedical Technology (Beijing) Co., Ltd., Beijing, China), 1 μL; 10× QuickCut Buffer, 2 μL; sterilized water, 16 μL. This was incubated at 37 °C for 20 min and the digested product analyzed by 3% agarose gel electrophoresis. If 182 bp, 171 bp and 163 bp fragments were found after enzymatic digestion, the pathogen was A. hydrophila. The pathogen is ISKNV if 136 bp, 117 bp and 96 bp fragments are present following enzymatic digestion. Both A. hydrophila and ISKNV coexist when the above 6 sizes of fragments occur.
2.7. Sensitivity of the Duplex LAMP-HNB
The positive nucleic acids of ISKNV and A. hydrophila were mixed in equal amounts and diluted 10-fold to make the nucleic acid content in the reaction system of 100 ng to 100 fg. Using each gradient as a template, the duplex LAMP-HNB established above was performed. The amplified products were analyzed by agarose gel electrophoresis and visually inspected for chromogenic visuals.
2.8. Clinical Tests of the Duplex LAMP-HNB
A total of 30 pre-stored fish tissue samples from our laboratory were utilized as clinical testing materials. These samples, which were pre-stored in our laboratory, were collected from various ponds across three breeding farms at multiple time points. The duplex LAMP-HNB was employed for aquatic samples, and its performance was compared with conventional PCR. PCR primers are the external primers (F3/B3) used to establish the lamp method in this article.
3. Results
3.1. LAMP of ISKNV and A. hydrophila with Pre-Additional Hydroxynapthol Blue
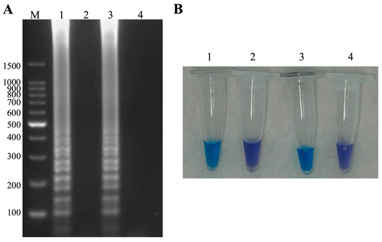
The LAMP product pre-supplemented with hydroxynaphthol blue showed an obvious ladder-like pattern using 3% agarose gel electrophoresis analysis (Figure 1A), and the results were consistent with the visual inspection results (Figure 1B). The amplification system of ISKNV and A. hydrophila was determined to contain 1.6 μM for FIP and BIP, 0.2 μM for F3 and B3, 2.5 μL for 10 × IsothermalAmp Buffer, 6 mM MgSO4, 1.4 mM dNTPs mix, 8 U Bst II DNA Polymerase Large Fragment, 120 μM hydroxynaphthol blue, 1 μL of DNA template and 11.7 μL of ddH2O.
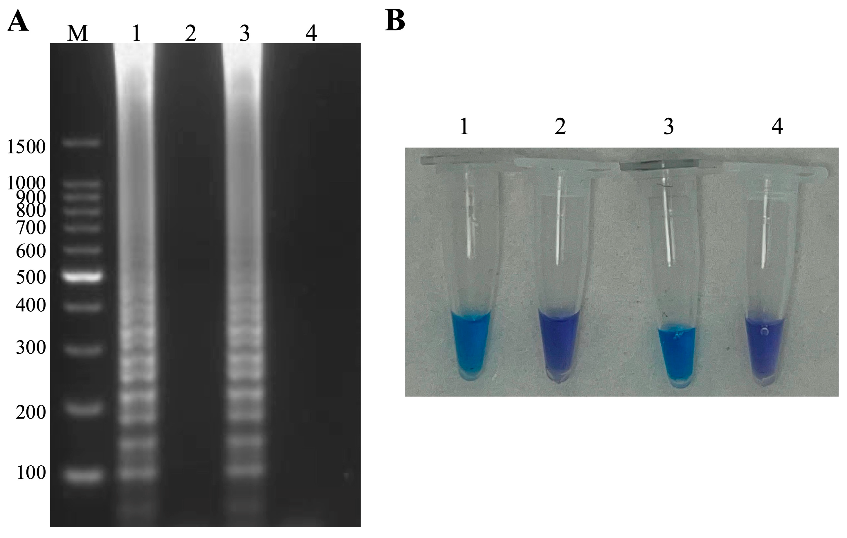
Figure 1.
LAMP amplification of ISKNV and A. hydrophila, respectively. (A) M: 100 bp Ladder, 1–4 in that order: ISKNV, negative control, A. hydrophila, negative control. (B) Visual inspection: 1–4 in that order: ISKNV, negative control, A. hydrophila, negative control.
3.2. Establishment of ISKNV and A. hydrophila Duplex LAMP-HNB
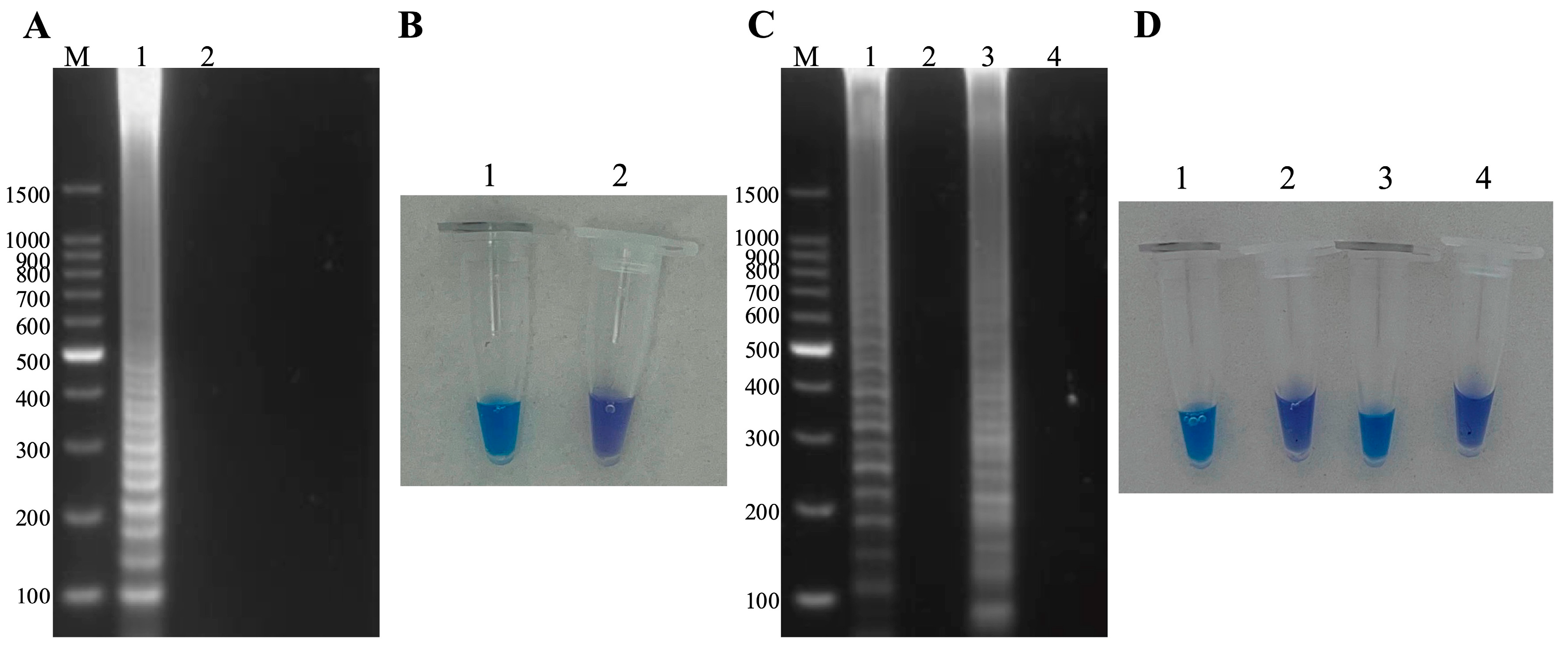
After optimizing the Mg2+ content (Figure S1A), dNTP content (Figure S1B), reaction temperature (Figure S1C) and reaction time (Figure S1D), the optimal conditions were selected to establish the duplex LAMP-HNB. The results showed that optimal content of MgSO4 is 6 mM (Figure S1A line 1), optimal content of dNTP content is 1.6 Mm (Figure S1B line 4), optimal reaction temperature is 65 °C (Figure S1C line 6) and optimal reaction time is 60 min (Figure S1D line 4). The amplified bands under the above optimal conditions are brighter and clearer. In summary, the duplex LAMP-HNB reaction system is determined as MCP FIP 1.6 μM, MCP BIP 1.6 μM, MCP F3 0.2 μM, MCP B3 0.2 μM, hlyA FIP 1.6 μM, hlyA BIP 1.6 μM, hlyA F3 0.2 μM, hlyA B3 0.2 μM, 6 mM MgSO4, 1.6 mM dNTPs mix, 10 × IsothermalAmp Buffer 2.5 μL, 8 U Bst II DNA Polymerase Large Fragment, 120 μM hydroxynaphthol blue (HNB), 1 μL mixed positive template and 9.4 μL of ddH2O, incubated at 65 °C for 60 min. The method was able to amplify successfully in the presence of both dual and single pathogens (Figure 2A,C), and the visual results were consistent with the amplification results (Figure 2B,D).
Figure 2.
Development of the duplex LAMP-HNB detection method. (A) Dual-pathogen amplification: M: 100 bp Ladder, 1: ISKNV and A. hydrophila, 2: negative control. (B) Visual inspection: 1: ISKNV and A. hydrophila, 2: negative control. (C) Single-pathogen amplification: M: 100 bp Ladder, 1–4 in that order: ISKNV, negative control, A. hydrophila, negative control. (D) Visual inspection: 1–4 in that order: ISKNV, negative control, A. hydrophila, negative control.
3.3. Specificity Tests of the Duplex LAMP-HNB
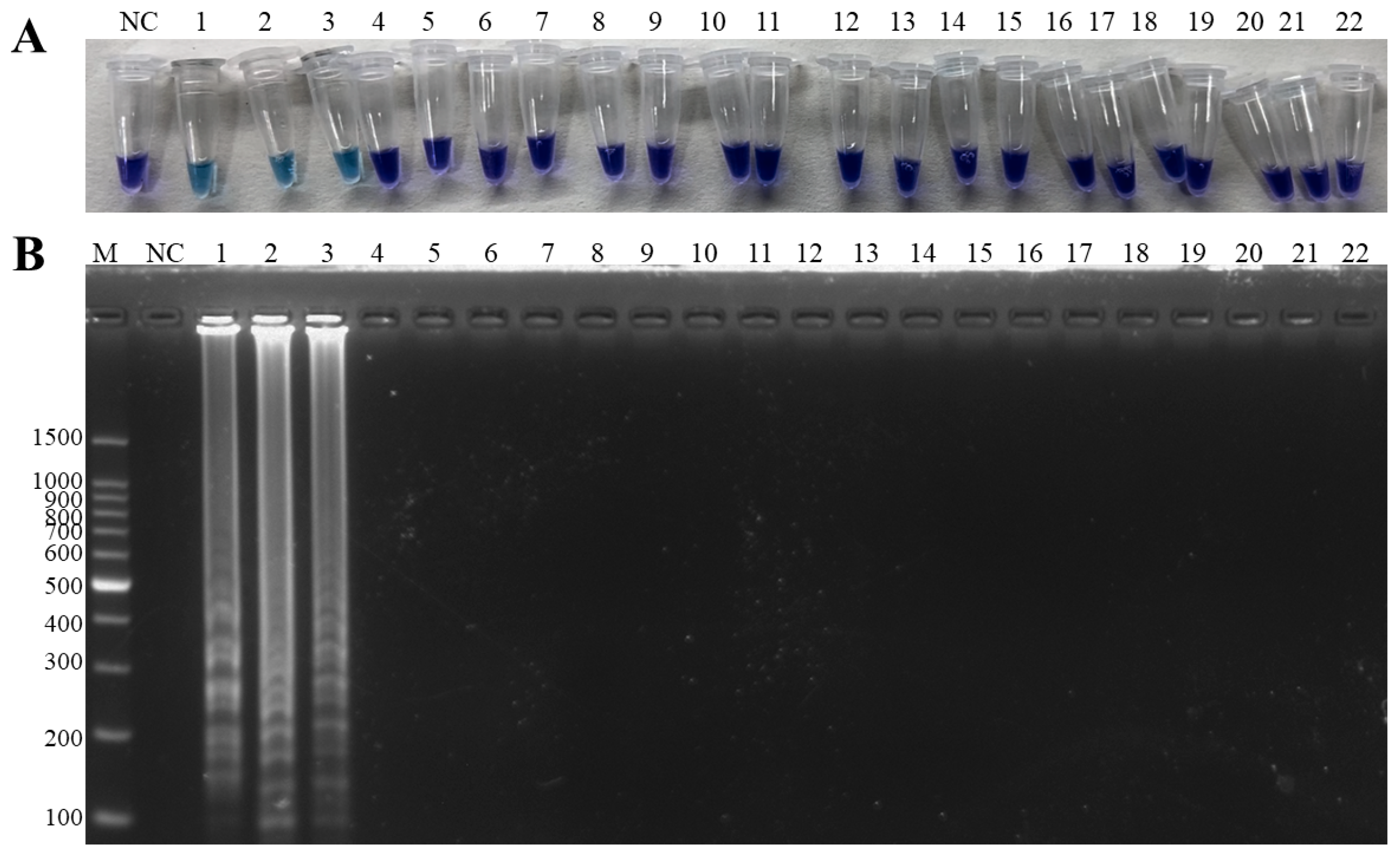
The specificity results showed that only ISKNV, A. hydrophila and hybrid templates amplified obvious bands, and the visual results were consistent with the electrophoresis results (Figure 3).
Figure 3.
Specificity of the duplex LAMP-HNB. (A) Visual inspection: NC: negative control, 1–22 in that order: ISKNV, A. hydrophila, ISKNV and A. hydrophila, SCRV, CyHV-2, LMBV, WSSV, SVCV, A. hydrophila, Edwardsiella tarda, Plesiomonas shigelloides, Aeromonas sobria, Aeromonas schubertii, Aeromonas veronii, Aeromonas caviae, Aeromonas salmonicida, Aeromonas jandaei, Pseudomonas aeruginosa, Pseudomonas fluorescens, Vibrio parahaemolyticus, Vibrio cholerae, Escherichia coli. (B) M: 100 bp Ladder, NC: negative control, 1–22 in that order: ISKNV, A. hydrophila, ISKNV and A. hydrophila, SCRV, CyHV-2, LMBV, WSSV, SVCV, A. hydrophila, Edwardsiella tarda, Plesiomonas shigelloides, Aeromonas sobria, Aeromonas schubertii, Aeromonas veronii, Aeromonas caviae, Aeromonas salmonicida, Aeromonas jandaei, Pseudomonas aeruginosa, Pseudomonas fluorescens, Vibrio parahaemolyticus, Vibrio cholerae, Escherichia coli.
3.4. Identification of Duplex LAMP-HNB Enzymatic Digestion Products
Fragments of 182 bp, 171 bp and 163 bp appeared after digestion of the A. hydrophila LAMP product, and 136 bp, 117 bp and 96 bp appeared after digestion of the ISKNV LAMP product. The bands of corresponding sizes were also found after digestion of the duplex LAMP product of the mixed template (Figure 4). As shown in the inventor’s result, there also have some meaningless bands after digestion, and we suspect that the short cyclic structural chains during the amplification process are digested [26].
Figure 4.
Identification of double LAMP by restriction endonuclease digestion. M: 20 bp Ladder, 1–3 in that order: A. hydrophila and ISKNV, A. hydrophila, ISKNV, NC: negative control.
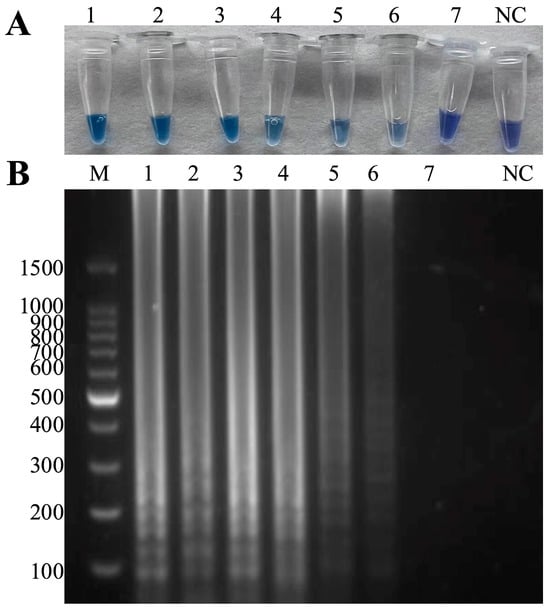
3.5. Sensitivity Tests of the Duplex LAMP-HNB
The minimum detection limit of this method was 100 fg for A. hydrophila (Figure 5B) and 100 fg for ISKNV (Figure 6B), and the visual results were consistent with the results of agarose gel electrophoresis (Figure 5A and Figure 6A).
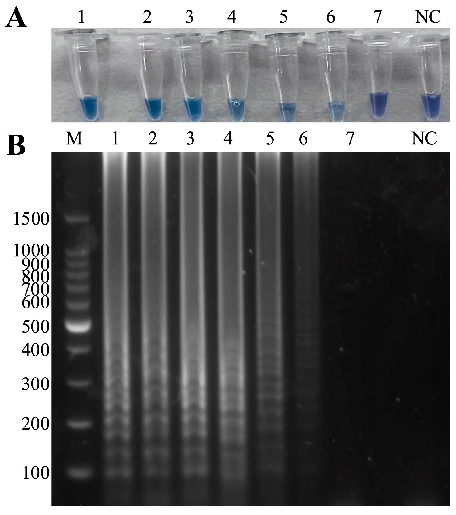
Figure 5.
Sensitivity of the duplex LAMP-HNB for A. hydrophila. (A) Visual inspection: 1–7 in that order: 10 ng, 1 ng, 100 pg, 10 pg, 1 pg, 100 fg, 10 fg, NC: negative control. (B) M: 100 bp DNA Ladder, 1–7 in that order: 10 ng, 1 ng, 100 pg, 10 pg, 1 pg, 100 fg, 10 fg, NC: negative control.
Figure 6.
Sensitivity of the duplex LAMP-HNB for ISKNV. (A) 1–7 in that order: 10 ng, 1 ng, 100 pg, 10 pg, 1 pg, 100 fg, 10 fg, NC: negative control. (B) M: 100 bp DNA Ladder, 1–7 in that order: 10 ng, 1 ng, 100 pg, 10 pg, 1 pg, 100 fg, 10 fg, NC: negative control.
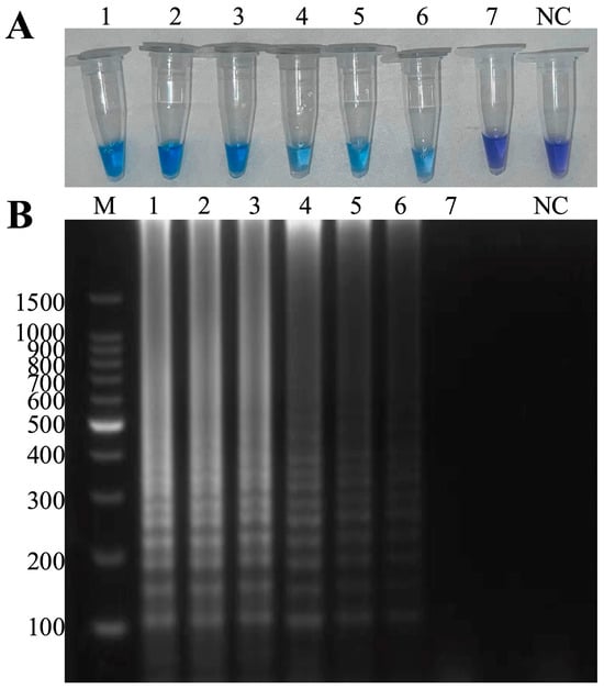
The minimum detection limit for the mixed template was 1 pg, and the visual results were consistent with the results of agarose gel electrophoresis (Figure 7). The LAMP product with the lowest detection limit is enzymatically digested, and the electrophoresis product can also verify that the lowest detection limit can still detect A. hydrophila and ISKNV at the same time (Figure S2).
Figure 7.
Sensitivity of the duplex LAMP-HNB. (A) 1–7 in that order: 100 ng, 10 ng, 1 ng, 100 pg, 10 pg, 1 pg, 100 fg, NC: negative control. (B) M: 100 bp Ladder, 1–7 in that order: 100 ng, 10 ng, 1 ng, 100 pg, 10 pg, 1 pg, 100 fg, NC: negative control.
3.6. Comparison of the Duplex LAMP-HNB and Conventional PCR
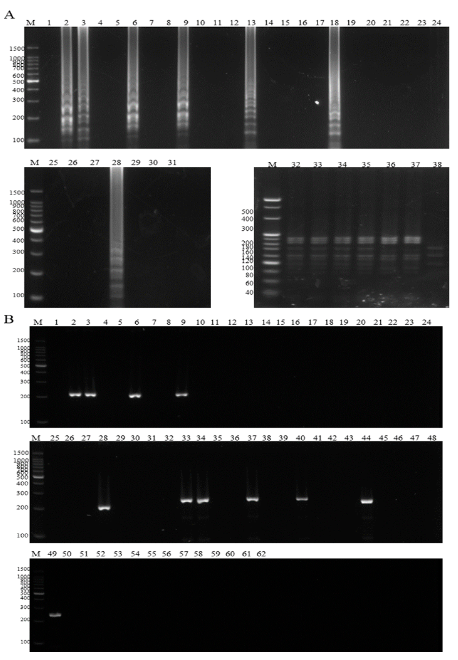
Analysis of the test results revealed that seven of the thirty samples were positive, including four samples with dual-pathogen infections, one sample infected with ISKNV and two samples infected with A. hydrophila (Figure 8). Following enzymatic digestion of the product, the results were found to be consistent with those obtained from traditional PCR detection, demonstrating that the method developed in this study exhibits reliable performance for on-site detection (Figure 8).
Figure 8.
Comparison of the duplex LAMP-HNB and conventional PCR. (A) M: 100 bp DNA Ladder, M: 20 bp DNA Ladder, 1–30 in that order: 30 samples detected by duplex LAMP-HNB, 31: negative control, 32–38 in that order: corresponding to the enzyme digestion results of positive samples. (B) M: 100 bp Ladder, 1–30 in that order: 30 samples detected by duplex PCR for ISKNV, 31: negative control, 32–61 in that order: 30 samples detected by duplex PCR for A. hydrophila, 62: negative control.
4. Discussion
The LAMP technology is a nucleic acid amplification technology that can efficiently, rapidly and specifically amplify the DNA fragments of interest with a group of four specific primers under isothermal conditions and accumulate 109 target copies in less than one hour [26]. Currently, LAMP has been widely applied to detect pathogens in aquaculture, such as parasites, bacteria and viruses [28,29,30]. Although LAMP offers the advantages of high sensitivity and rapid amplification, it is highly susceptible to residual contamination, which can lead to false-positive results. To address this issue, stringent zoning protocols and multiple negative controls were implemented in this study to minimize the risk of contamination. A. hydrophila and ISKNV are important pathogens in mandarin fish and can cause bacterial sepsis and infectious spleen kidney necrosis virus disease [31,32]. With the development of Chinese perch culture, co-infection of A. hydrophila and ISKNV has often become observed [33]. Under mixed infection conditions, mandarin fish exhibited severe clinical symptoms and notable histopathological alterations. The co-infection resulted in darkened body coloration, impaired swimming capacity and extensive hemorrhaging in tissues, including the gill filaments, fin base, liver, spleen and kidneys, in diseased individuals [34]. The interaction between A. hydrophila and ISKNV exhibits complexity under different co-infection modes, characterized by either antagonistic or synergistic effects. Overall, co-infection results in more severe clinical symptoms and higher cumulative mortality compared to single-pathogen infection. In mixed infections, several immune-related genes show elevated expression levels in the head and kidney tissues of mandarin fish. The mortality rate of mandarin fish infected with ISKNV 1–14 days post-secondary infection with A. hydrophila is significantly higher than that of the ISKNV-only group [34]. Consequently, controlling secondary bacterial infections may serve as an effective strategy to mitigate the overall mortality rate of hemorrhagic diseases in aquaculture practices. Therefore, there is a need for a rapid, specific, sensitive and cost-effective diagnostic method that can be used effectively for the simultaneous detection of A. hydrophila and ISKNV.
The pathogenic potential of A. hydrophila is attributed to the production of a diverse array of virulence factors. Among these, hemolysin (hlyA), aerolysin (aerA), cytotoxic enterotoxin (act), heat-labile cytotonic enterotoxin (alt) and heat-stable cytotonic enterotoxin (ast) are well-characterized virulence determinants. The hlyA is a hemolysin gene commonly found in Aeromonas species and genetically present within A. hydrophila [35]. In the study by Lian et al., it was also demonstrated that the gene exhibits a high degree of conservation among A. hydrophila species [36]. The ISKNV MCP gene sequence is highly conserved across members of the Iridoviridae family and serves as a reliable marker for distinguishing closely related iridovirus isolates [37,38,39]. As demonstrated in the study by Subramaniam et al., the MCP gene exhibits a high degree of conservation among diverse ISKNV strains from various geographical regions [40].
In this paper, we successfully established the first visual duplex LAMP-HNB method for the detection of hlyA gene of A. hydrophila and MCP gene of infectious spleen and kidney necrosis virus. The new duplex LAMP-HNB can detect both A. hydrophila and ISKNV in an isothermal step, followed by enzymatic analysis to distinguish between the two pathogens. In addition, a closed-tube LAMP pre-supplemented with HNB allows for visual analysis of the results during on-site testing to save time and avoid false positive contamination that may be caused by opening the tube and adding indicators [41,42]. Although the pre-addition of HNB eliminates the risk of contamination associated with opening reaction tubes [42], it remains unclear whether this approach offers superior contamination control compared to traditional LAMP methods, necessitating further investigation. The optimal content of MgSO4 is 6 mM (Figure S1A line 1), the optimal content of dNTP content is 1.6 Mm (Figure S1B line 4), the optimal amplification temperature of the Duplex LAMP-HNB was 65 °C and the optimal reaction time was 60 min (Figure S1C,D). Our method is designed for production-line detection, utilizing DNA extracted from fish tissue as the template. As demonstrated in Figure 8 of this study, the detection method is effective for complex matrices such as fish tissue DNA. Furthermore, it is potentially applicable to other scenarios involving purified viral DNA or bacterial genomic DNA. Given that fish tissue DNA represents a more complex matrix, the method is expected to perform effectively with simpler matrices, as detailed in subsequent analyses. The detection speed of the duplex LAMP-HNB method is similar to that of the traditional LAMP method, while the duplex LAMP-HNB method enables multiplexing in a single reaction.
The sensitivity of the duplex LAMP-HNB method was measured using serial dilutions of the genomic DNA template. The duplex LAMP-HNB method enabled minimal detection of 100 fg for A. hydrophila (Figure 5 and 100 fg for ISKNV (Figure 6), and the minimum detection limit for the mixed template was 1 pg (Figure 7). The sensitivity of this method is better than that Gao Z. et al. established for the detection of A. hydrophila, with a minimum detection limit of 0.559 ng/μL; the article also lists a qPCR assay with a minimum detection limit of 4.301 ng/μL [43]. However, the sensitivity was slightly inferior to the LAMP method published by Subramaniam K. et al. which had a minimum detection limit of 20 fg for ISKNV [37]. Compared with the LAMP method for the simultaneous detection of A. hydrophila, the duplex LAMP-HNB method established in this paper still has advantages in the sensitivity of the method [44]. The detection method developed in this study is capable of effectively identifying low-level infections of A. hydrophila and ISKNV, facilitating the recognition of early or subclinical infections, enabling early warning for disease prevention and control and mitigating risks in aquaculture practices.
PCR-based detection techniques for A. hydrophila and ISKNV have also been reported [45,46]. The detection method developed by Lin et al., based on dualplex RAA and CRISPR/Cas12a for pathogenic A. hydrophila, demonstrates high sensitivity, with a minimum detection limit of two copies of genomic DNA. However, the interpretation and differentiation of its results depend on the use of precision instruments. Additionally, the study by Lim et al. found that the LAMP-based detection method was five times more sensitive than the PCR-based detection method [47], and in terms of comparative detection specificity, the detection method based on the LAMP method performed better [48]. The TaqMan PCR assay established by Trakhna F. et al. had a detection limit of 1 pg for DNA from A. hydrophila, but it is limited by the reliance on precision instruments [49]. Similarly, the TaqMan real-time PCR developed by Lin et al. for detecting ISKNV is 10,000 times more sensitive than traditional PCR, but it is also limited by precise temperature instruments [50]. The sensitivity of the method in this article is not as high as these methods, but the advantage lies in their convenience, speed and low requirements, and compared with the sensitivity of some PCR detection methods, the method in this article has better sensitivity [51].
Other methods used in the laboratory for the detection of A. hydrophila and ISKNV include LAMP-based detection technology combined with microfluidic chips, lateral flow dipstick, etc., all of which have excellent sensitivity [52,53]. The dual-sample microfluidic chip detection method based on loop-mediated isothermal amplification established by Zhou Q J et al. can achieve a minimum detection limit of 10–4–10–5 pg/μL for ISKNV. This phenomenon can be attributed to the utilization of additional components, which enhance the efficiency of the LAMP reaction, and its template preparation is more refined. The interpretation of the results relies on the capture of fluorescent signals, which enables more accurate outcomes. However, the method using a fluorogenic loop-mediated isothermal amplification-based dual-sample microfluidic chip requires a fluorescence imaging system to acquire the endpoint and/or real-time fluorescent signals, which are displayed on the computer [44]. The cost associated with this approach is significantly higher compared to the method proposed in this study. The LAMP-LFD detection method established by Ding WC, et al. has high sensitivity, which can detect 10 copies of ISKNV, and its sensitivity surpasses that of traditional LAMP and standard PCR by factors of 10 and 1000, respectively [52]. The underlying reason for this result may lie in the employment of an increased number of components, which are instrumental in promoting the LAMP reaction. Additionally, this method still utilizes a dual-primer system when measuring the minimum detection limit, which could also be a contributing factor. Compared to LAMP-LFD, LAMP-HNB simplifies the detection process by allowing real-time observation of amplification without the need for a separate lateral flow device. Compared to the closed-tube amplification method described in this paper, it is more prone to producing false positives due to contamination, and the accuracy of the result is more dependent on the pore size and structure of the LFD strip membrane. Although all of these methods have lower detection limits than duplex LAMP-HNB, they still rely on expensive machines or complex devices, while the approach outlined in this paper can operate without such requirements.
In this method, A. hydrophila, ISKNV and the mixed positive templates were used as positive controls, ddH2O was used as negative template and the LAMP reaction was performed using various common pathogenic nucleic acids from mandarin fish. The results showed that the method established in this paper did not cross-react with other pathogens.
The duplex LAMP-HNB method only requires a common heating device and can even be reacted by a water bath, and the pre-added hydroxynapthol blue can show a visible sky blue color after positive amplification, which is of great significance for the early work of cultivation, because although it is not known what kind of pathogen it is, the appearance of sky blue can provide a reference for on-site detection and initial screening. After 1 h of enzyme digestion, the pathogen species could be determined according to the size of the band, and the identification of the pathogen could be completed in about 2 h. This method achieves simplified operation and real-time detection on site. Although LAMP offers the advantages of high sensitivity and rapid amplification, it is highly susceptible to residual contamination, which can lead to false-positive results. To address this issue, stringent zoning protocols and multiple negative controls were implemented in this study to minimize the risk of contamination. Future research could focus on further optimizing the experimental workflow, such as integrating microfluidic technology or closed detection systems, to enhance the reliability and applicability of LAMP technology.
5. Conclusions
In summary, a method for the detection of A. hydrophila and ISKNV co-infection by duplex LAMP-HNB was established in this paper, which has good sensitivity and specificity. The analysis can be completed quickly, and due to the simple method and fast process, it can be used for early detection or preliminary screening of common pathogens in mandarin fish, which is conducive to preventing the spread of the pathogens in the farm.
Supplementary Materials
The following supporting information can be downloaded at: https://www.mdpi.com/article/10.3390/microorganisms13030586/s1, Figure S1. Optimization of the duplex LAMP-HNB. (A): optimization of Mg2+ content: M: 100 bp DNA Ladder, 1–6 in that order: Mg2+ 6 mM, Mg2+ 7 mM, Mg2+ 8 mM, Mg2+ 9 mM, Mg2+ 10 mM, negative control. (B): optimization of dNTP content: M: 100 bp DNA Ladder, 1–6 in that order: dNTP 1.0 mM, dNTP 1.2 mM, dNTP 1.4 mM, dNTP 1.6 mM, dNTP 1.8 mM, negative control. (C): optimization of reaction temperature: M: 100 bp DNA Ladder, 1–7 in that order: 60 °C, 61 °C, 62 °C, 63 °C, 64 °C, 65 °C, negative control. (D): optimization of reaction time: M: 100 bp DNA Ladder, 1–5 in that order: 30 min, 40 min, 50 min, 60 min, negative control. Figure S2. Enzyme digestion of the product at the minimum detection limit. M: 20 bp DNA Ladder, 1: 1 pg, NC: negative control.
Author Contributions
Methodology, X.H., W.K. and X.L.; investigation, X.H., J.W. and X.T.; writing—original draft preparation, X.H.; writing—review and editing, J.W.; data curation, J.W., X.T. and S.X.; conceptualization, X.L.; funding acquisition, X.L. All authors have read and agreed to the published version of the manuscript.
Funding
This research was funded by the Jiangsu Agriculture Science and Technology innovation Found (CX(24)3066), the Natural Science Foundation of Hubei Province (2022CFB859), the Key Laboratory of Breeding Biotechnology and Sustainable Aquaculture, the Chinese Academy of Sciences (2023FB03), the Natural Science Foundation of China (32002420), the China postdoctoral Science Foundation (2021M702761) and the Open Project of International Research Laboratory of Prevention and Control of Important Animal Infectious Diseases and Zoonotic Diseases of Jiangsu Higher Education Institutions, Yangzhou University, Yangzhou, China [5], ‘Blue Project’ of Yangzhou University.
Institutional Review Board Statement
Not applicable.
Informed Consent Statement
Not applicable.
Data Availability Statement
The data presented in this study are available on request from the corresponding author. The data are not publicly available due to privacy or ethical restrictions.
Conflicts of Interest
The authors declare no conflicts of interest.
References
- ReferencesSong, Y.Q.; Cheng, F.; Zhao, S.S.; Xie, S.G. Ontogenetic development and otolith microstructure in the larval and juvenile stages of mandarin fish Siniperca chuatsi. Ichthyol. Res. 2019, 66, 57–66. [Google Scholar] [CrossRef]
- Cao, H.P.; Zheng, W.D.; He, S.; Ye, X.; Xiao, G.C.; Yang, X.L. Identification of a Vibrio cholerae Isolate as the Causal Agent of Ascites Disease in Cultured Mandarin Fish Siniperca chuatsi (Basilewsky). Isr. J. Aquac. Bamidgeh 2013, 65, 1. [Google Scholar]
- Zhang, W.F.; Duan, C.; Zhang, H.T.; Weng, S.P.; He, J.G.; Dong, C.F. Widespread outbreaks of the emerging mandarinfish ranavirus (MRV) both in natural and ISKNV-FKC vaccinated mandarinfish Siniperca chuatsi in Guangdong, South China, 2017. Aquaculture 2020, 520, 734989. [Google Scholar] [CrossRef]
- Chen, C.; Li, J. Studies on virulence and isolation of pathogenic bacteria causing bacterial septicemia in mandarinfish Siniperca chuatsi (Basilewsky). J. Huazhong Cent. China Agric. Univ. 1996, 15, 370–373. [Google Scholar]
- Fu, X.Z.; Li, N.Q.; Liu, L.H.; Lin, Q.; Wang, F.; Lai, Y.T.; Jiang, H.M.; Pan, H.J.; Shi, C.B.; Wu, S.Q. Genotype and host range analysis of infectious spleen and kidney necrosis virus (ISKNV). Virus Genes 2011, 42, 97–109. [Google Scholar] [CrossRef]
- Tanaka, N.; Izawa, T.; Kuwamura, M.; Higashiguchi, N.; Kezuka, C.; Kurata, O.; Wada, S.; Yamate, J. The first case of infectious spleen and kidney necrosis virus (ISKNV) infection in aquarium-maintained mandarin fish, Siniperca chuatsi (Basilewsky), in Japan. J. Fish Dis. 2014, 37, 401–405. [Google Scholar] [CrossRef]
- Kurita, J.; Nakajima, K. Megalocytiviruses. Viruses 2012, 4, 521–538. [Google Scholar] [CrossRef]
- Wang, Y.Q.; Lü, L.; Weng, S.P.; Huang, J.N.; Chan, S.M.; He, J.G. Molecular epidemiology and phylogenetic analysis of a marine fish infectious spleen and kidney necrosis virus-like (ISKNV-like) virus. Arch. Virol. 2007, 152, 763–773. [Google Scholar] [CrossRef]
- Jung-Schroers, V.; Adamek, M.; Wohlsein, P.; Wolter, J.; Wedekind, H.; Steinhagen, D. First outbreak of an infection with infectious spleen and kidney necrosis virus (ISKNV) in ornamental fish in Germany. Dis. Aquat. Organ. 2016, 119, 239–244. [Google Scholar] [CrossRef]
- Xu, X.; Zhang, L.; Weng, S.; Huang, Z.; Lu, J.; Lan, D.; Zhong, X.; Yu, X.; Xu, A.; He, J. A zebrafish (Danio rerio) model of infectious spleen and kidney necrosis virus (ISKNV) infection. Virology 2008, 376, 1–12. [Google Scholar] [CrossRef]
- Mohr, P.; Moody, N.; Williams, L.; Hoad, J.; Cummins, D.M.; Davies, K.; Crane, M. Molecular confirmation of infectious spleen and kidney necrosis virus (ISKNV) in farmed and imported ornamental fish in Australia. Dis. Aquat. Org. 2015, 116, 103–110. [Google Scholar] [CrossRef] [PubMed]
- Dong, H.T.; Jitrakorn, S.; Kayansamruaj, P.; Pirarat, N.; Rodkhum, C.; Rattanarojpong, T.; Senapin, S.; Saksmerprome, V. Infectious spleen and kidney necrosis disease (ISKND) outbreaks in farmed barramundi (Lates calcarifer) in Vietnam. Fish Shellfish Immunol. 2017, 68, 65–73. [Google Scholar] [CrossRef]
- Parker, J.L.; Shaw, J.G. Aeromonas spp. clinical microbiology and disease. J. Infect. 2011, 62, 109–118. [Google Scholar] [CrossRef]
- Kerigano, N.K.; Chibsa, T.R.; Molla, Y.G.; Mohammed, A.A.; Tamiru, M.; Bulto, A.O.; Wodaj, T.K.; Gebreweld, D.S.; Abdi, A.K. Phenotypic, molecular detection and antibiogram analysis of Aeromonas hydrophila from Oreochromis niloticus (Nile Tilapia) and Ready-To-eat fish products in selected Rift Valley lakes of Ethiopia. BMC Vet. Res. 2023, 19, 120. [Google Scholar] [CrossRef] [PubMed]
- Awan, F.; Dong, Y.; Wang, N.; Liu, J.; Ma, K.; Liu, Y. The fight for invincibility: Environmental stress response mechanisms and Aeromonas hydrophila. Microb. Pathog. 2018, 116, 135–145. [Google Scholar] [CrossRef]
- Suresh, K.; Pillai, D. Prevalence and characterization of virulence-associated genes and antimicrobial resistance in Aeromonas hydrophila from freshwater finfish farms in Andhra Pradesh, India. Biologia 2023, 78, 2931–2939. [Google Scholar] [CrossRef]
- Nielsen, M.E.; Høi, L.; Schmidt, A.S.; Qian, D.; Shimada, T.; Shen, J.Y.; Larsen, J.L. Is Aeromonas hydrophila the dominant motile Aeromonas species that causes disease outbreaks in aquaculture production in the Zhejiang Province of China? Dis. Aquat. Organ. 2001, 46, 23–29. [Google Scholar] [CrossRef]
- Li, D.; Xie, C.; He, X.; Tan, R.; Tian, X.; Zhang, Z.; Gao, Y. The Success of Yellow Catfish Aquaculture in China: From Rare Wild Fish to Popular Farmed Fish. In Aquaculture in China; John Wiley & Sons: Hoboken, NJ, USA, 2018; pp. 270–282. [Google Scholar]
- Chen, K.; Li, J.; Zheng, Y.; Shao, N.; Xi, B.; Xie, J. A Study on Bacterial Etiology and Histopathology Associated With Hemorrhagic Disease in American Shad Alosa sapidissima. Aquac. Res. 2024, 2024, 8869167. [Google Scholar] [CrossRef]
- Jiang, Z.; Li, X.; Gao, X.; Jiang, Q.; Chen, Q.; Zhang, S.; Tong, S.; Liu, X.; Zhu, J.; Zhang, X. Pathogenicity of Aeromonas hydrophila causing mass mortalities of Procambarus clarkia and its induced host immune response. Microb. Pathog. 2020, 147, 104376. [Google Scholar] [CrossRef]
- Hayakijkosol, O.; Owens, L.; Picard, J. Case report of bacterial infections in a redclaw crayfish (Cherax quadricarinatus) hatchery. Aquaculture 2017, 475, 1–7. [Google Scholar] [CrossRef]
- Zheng, N.; Wang, N.; Wang, Z.-y.; Abdallah, G.; Zhang, B.-y.; Wang, S.; Yao, Q.; Chen, Y.-k.; Wang, Q.-j.; Zhang, D.-m. Effect of infection with Aeromonas hydrophila on antioxidant capacity, inflammation response, and apoptosis proteins in Chinese mitten crab (Eriocheir sinensis). Comp. Biochem. Physiol. Part C Toxicol. Pharmacol. 2022, 252, 109220. [Google Scholar] [CrossRef] [PubMed]
- Burchill, S.A.; Perebolte, L.; Johnston, C.; Top, B.; Selby, P. Comparison of the RNA-amplification based methods RT-PCR and NASBA for the detection of circulating tumour cells. Br. J. Cancer 2002, 86, 102–109. [Google Scholar] [CrossRef] [PubMed]
- Walker, G.T.; Little, M.C.; Nadeau, J.G.; Shank, D.D. Isothermal in vitro amplification of DNA by a restriction enzyme/DNA polymerase system. Proc. Natl. Acad. Sci. USA 1992, 89, 392–396. [Google Scholar] [CrossRef]
- Lizardi, P.M.; Huang, X.; Zhu, Z.; Bray-Ward, P.; Thomas, D.C.; Ward, D.C. Mutation detection and single-molecule counting using isothermal rolling-circle amplification. Nat. Genet. 1998, 19, 225–232. [Google Scholar] [CrossRef] [PubMed]
- Notomi, T.; Okayama, H.; Masubuchi, H.; Yonekawa, T.; Watanabe, K.; Amino, N.; Hase, T. Loop-mediated isothermal amplification of DNA. Nucleic Acids Res. 2000, 28, E63. [Google Scholar] [CrossRef]
- Li, M.; Li, D.; Li, F.; Liu, W.; Wang, S.; Wu, G.; Wu, G.; Tan, G.; Zheng, Z.; Li, L.; et al. Hemolysin from Aeromonas hydrophila enhances the host’s serum enzyme activity and regulates transcriptional responses in the spleen of Cyprinus rubrofuscus. Ecotoxicol. Environ. Saf. 2023, 263, 115375. [Google Scholar] [CrossRef]
- Katata, M.; Okuyama, Y. Development of Loop-Mediated Isothermal Amplification Methods for Detection of the Enteric Myxosporeans Causing Myxosporean Emaciation Disease. Fish Pathol. 2017, 52, 104–107. [Google Scholar] [CrossRef][Green Version]
- Phusantisampan, T.; Yamkasem, J.; Tattiyapong, P.; Sriariyanun, M.; Surachetpong, W. Specific and rapid detection of tilapia parvovirus using loop-mediated isothermal amplification (LAMP) method. J. Fish Dis. 2022, 45, 1893–1898. [Google Scholar] [CrossRef]
- Zhou, S.; Gao, Z.X.; Zhang, M.; Liu, D.Y.; Zhao, X.P.; Liu, Y. Development of a quadruplex loop-mediated isothermal amplification assay for field detection of four Vibrio species associated with fish disease. Springerplus 2016, 5, 1104. [Google Scholar] [CrossRef]
- He, J.G.; Weng, S.P.; Huang, Z.J.; Zeng, K. Identification of Outbreak and Infectious Diseases Pathogen of Siniperca chuatsi. Acta Sci. Nat. Univ. Sunyatseni 1998, 5, 74–77. [Google Scholar]
- Shu, W. Research On The Pathogen Of The Outbreak-Infective Disease Of Siniperca Chuastsi. J. Fish. China 1997, 21, 56–60. [Google Scholar]
- Fu, X.; Lin, Q.; Liu, L.; Liang, H.; Huang, Z.; Li, N. Display of ISKNV orf086 protein on the surface of Aeromonas hydrophila and its immunogenicity in Chinese perch (Siniperca chuatsi). Fish Shellfish Immunol. 2016, 56, 286–293. [Google Scholar] [CrossRef] [PubMed]
- Liu, X.; Sun, W.; Zhang, Y.; Zhou, Y.; Xu, J.; Gao, X.; Zhang, S.; Zhang, X. Impact of Aeromonas hydrophila and infectious spleen and kidney necrosis virus infections on susceptibility and host immune response in Chinese perch (Siniperca chuatsi). Fish Shellfish Immunol. 2020, 105, 117–125. [Google Scholar] [CrossRef]
- Rasmussen-Ivey, C.R.; Figueras, M.J.; McGarey, D.; Liles, M.R. Virulence Factors of Aeromonas hydrophila: In the Wake of Reclassification. Front. Microbiol. 2016, 7, 1337. [Google Scholar] [CrossRef]
- Lian, L.; Sun, L.; Zhao, X.; Chen, L.; Zhang, B.; Liu, Y.; Lin, X. Analysis of pathogenicity factors in the highly virulent Aeromonas hydrophila strain LP-2. Aquaculture 2025, 598, 741982. [Google Scholar] [CrossRef]
- Subramaniam, K.; Shariff, M.; Omar, A.R.; Hair-Bejo, M.; Ong, B.L. Use of Acridine Orange to Visually Improve the Loop-mediated Isothermal Amplification for Detection of Infectious Spleen and Kidney Necrosis Virus. Fish Pathol. 2014, 49, 173–180. [Google Scholar] [CrossRef]
- Wang, J.W.; Deng, R.Q.; Wang, X.Z.; Huang, Y.S.; Xing, K.; Feng, J.H.; He, J.G.; Long, Q.X. Cladistic analysis of iridoviruses based on protein and DNA sequences. Arch. Virol. 2003, 148, 2181–2194. [Google Scholar] [CrossRef]
- Do, J.W.; Cha, S.J.; Kim, J.S.; An, E.J.; Park, M.S.; Kim, J.W.; Kim, Y.C.; Park, M.A.; Park, J.W. Sequence variation in the gene encoding the major capsid protein of Korean fish iridoviruses. Arch. Virol. 2005, 150, 351–359. [Google Scholar] [CrossRef]
- Subramaniam, K.; Shariff, M.; Omar, A.R.; Hair-Bejo, M.; Ong, B.L. Detection and molecular characterization of infectious spleen and kidney necrosis virus from major ornamental fish breeding states in Peninsular Malaysia. J. Fish Dis. 2014, 37, 609–618. [Google Scholar] [CrossRef]
- Karthik, K.; Rathore, R.S.; Thomas, P.; Arun, T.R.; Viswas, K.N.; Dhama, K.; Agarwal, R.K. New closed tube loop mediated isothermal amplification assay for prevention of product cross-contamination. MethodsX 2014, 1, 137–143. [Google Scholar] [CrossRef]
- Suebsing, R.; Pradeep, P.J.; Jitrakorn, S.; Sirithammajak, S.; Kampeera, J.; Turner, W.A.; Saksmerprome, V.; Withyachumnarnkul, B.; Kiatpathomchai, W. Detection of natural infection of infectious spleen and kidney necrosis virus in farmed tilapia by hydroxynapthol blue-loop-mediated isothermal amplification assay. J. Appl. Microbiol. 2016, 121, 55–67. [Google Scholar] [CrossRef] [PubMed]
- Gao, Z.; Yang, C.; Zhang, X.; Hu, B.; Zhang, H.; Zhang, Z.; Kuang, W.; Zheng, Q.; Cao, J. Establishment of a Rapid LAMP Assay for Aeromonas hydrophila and Comparison with the Application of qPCR. Metabolites 2023, 13, 841. [Google Scholar] [CrossRef]
- Zhou, Q.J.; Lu, J.F.; Su, X.R.; Jin, J.L.; Li, S.Y.; Zhou, Y.; Wang, L.; Shao, X.B.; Wang, Y.H.; Yan, M.C.; et al. Simultaneous detection of multiple bacterial and viral aquatic pathogens using a fluorogenic loop-mediated isothermal amplification-based dual-sample microfluidic chip. J. Fish Dis. 2021, 44, 401–413. [Google Scholar] [CrossRef]
- Lin, Q.; Fu, X.Z.; Liu, L.H.; Liang, H.R.; Niu, Y.J.; Wen, Y.Y.; Huang, Z.B.; Li, N.Q. Development and application of a sensitive droplet digital PCR (ddPCR) for the detection of infectious spleen and kidney necrosis virus. Aquaculture 2020, 529, 735697. [Google Scholar] [CrossRef]
- Lin, Z.; Lu, J.; Wu, S.; Lin, X.; Zheng, L.; Lou, Y.; Xiao, X. A novel detection method for the pathogenic Aeromonas hydrophila expressing aerA gene and/or hlyA gene based on dualplex RAA and CRISPR/Cas12a. Front. Microbiol. 2022, 13, 973996. [Google Scholar] [CrossRef]
- Lim, K.T.; Teh, C.S.; Thong, K.L. Loop-mediated isothermal amplification assay for the rapid detection of Staphylococcus aureus. Biomed. Res. Int. 2013, 2013, 895816. [Google Scholar] [CrossRef]
- Anupama, K.P.; Nayak, A.; Karunasagar, I.; Maiti, B. Rapid visual detection of Vibrio parahaemolyticus in seafood samples by loop-mediated isothermal amplification with hydroxynaphthol blue dye. World J. Microbiol. Biotechnol. 2020, 36, 76. [Google Scholar] [CrossRef] [PubMed]
- Trakhna, F.; Harf-Monteil, C.; Abdelnour, A.; Maaroufi, A.; Gadonna-Widehem, P. Rapid Aeromonas hydrophila identification by TaqMan PCR assay: Comparison with a phenotypic method. Lett. Appl. Microbiol. 2009, 49, 186–190. [Google Scholar] [CrossRef]
- Lin, Q.; Fu, X.; Liu, L.; Liang, H.; Guo, H.; Yin, S.; Kumaresan, V.; Huang, Z.; Li, N. Application and development of a TaqMan real-time PCR for detecting infectious spleen and kidney necrosis virus in Siniperca chuatsi. Microb. Pathog. 2017, 107, 98–105. [Google Scholar] [CrossRef]
- Hussain, I.A.; Jeyasekaran, G.; Shakila, R.J.; Raj, K.T.; Jeevithan, E. Detection of hemolytic strains of Aeromonas hydrophila and A. sobria along with other Aeromonas spp. from fish and fishery products by multiplex PCR. J. Food Sci. Technol. 2014, 51, 401–407. [Google Scholar] [CrossRef]
- Ding, W.C.; Chen, J.; Shi, Y.H.; Lu, X.J.; Li, M.Y. Rapid and sensitive detection of infectious spleen and kidney necrosis virus by loop-mediated isothermal amplification combined with a lateral flow dipstick. Arch. Virol. 2010, 155, 385–389. [Google Scholar] [CrossRef] [PubMed]
- Liu, W.; Zhou, Y.; Fan, Y.; Jiang, N.; Cain, K.; Zeng, L. Development of cross-priming amplification coupled with vertical flow visualization for rapid detection of infectious spleen and kidney necrosis virus (ISKNV) in mandarin fish, Siniperca chuatsi. J Virol. Methods 2018, 253, 38–42. [Google Scholar] [CrossRef] [PubMed]
Disclaimer/Publisher’s Note: The statements, opinions and data contained in all publications are solely those of the individual author(s) and contributor(s) and not of MDPI and/or the editor(s). MDPI and/or the editor(s) disclaim responsibility for any injury to people or property resulting from any ideas, methods, instructions or products referred to in the content. |
© 2025 by the authors. Licensee MDPI, Basel, Switzerland. This article is an open access article distributed under the terms and conditions of the Creative Commons Attribution (CC BY) license (https://creativecommons.org/licenses/by/4.0/).







