Visceral Leishmaniasis in a 25-Year-Old Female Kidney Transplant Recipient from a Non-Endemic Region: A Case Report from Romania
Abstract
1. Introduction
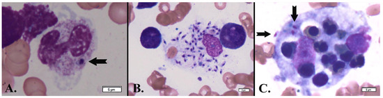
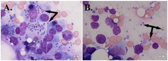
2. Case Presentation
3. Discussion
4. Conclusions
Author Contributions
Funding
Institutional Review Board Statement
Informed Consent Statement
Data Availability Statement
Conflicts of Interest
References
- Mann, S.; Frasca, K.; Scherrer, S.; Henao-Martínez, A.F.; Newman, S.; Ramanan, P.; Suarez, J.A. A Review of Leishmaniasis: Current Knowledge and Future Directions. Curr. Trop. Med. Rep. 2021, 8, 121–132. [Google Scholar] [CrossRef]
- Mathison, B.A.; Bradley, B.T. Review of the Clinical Presentation, Pathology, Diagnosis, and Treatment of Leishmaniasis. Lab. Med. 2023, 54, 363–371. [Google Scholar] [CrossRef] [PubMed]
- World Health Organization. Leishmaniasis [Internet]. 2023. Available online: https://www.who.int/news-room/fact-sheets/detail/leishmaniasis (accessed on 28 November 2024).
- Centers for Disease Control and Prevention (CDC). Leishmaniasis [Internet]. 2024. Available online: https://www.cdc.gov/dpdx/leishmaniasis/index.html (accessed on 25 November 2024).
- World Health Organization. Control of the Leishmaniases. WHO Technical Report Series No. 949 [Internet]; World Health Organization: Geneva, Switzerland, 2010; Available online: https://www.who.int/publications/i/item/WHO-TRS-949 (accessed on 28 November 2024).
- Georgiadou, S.P.; Makaritsis, K.P.; Dalekos, G.N. Leishmaniasis Revisited: Current Aspects on Epidemiology, Diagnosis and Treatment. J. Transl. Int. Med. 2015, 3, 43–50. [Google Scholar] [CrossRef]
- Amiri, R.; Farrokhnia, M.; Mousavi Mehdiabadi, F. Disseminated Cutaneous Leishmaniasis in a Kidney Transplant Recipient. Clin. Case Rep. 2023, 11, e7549. [Google Scholar] [CrossRef] [PubMed]
- Van Griensven, J.; Diro, E. Visceral Leishmaniasis. Infect. Dis. Clin. N. Am. 2012, 26, 309–322. [Google Scholar] [CrossRef] [PubMed]
- Alvar, J.; Aparicio, P.; Aseffa, A.; Den Boer, M.; Cañavate, C.; Dedet, J.-P.; Gradoni, L.; Ter Horst, R.; López-Vélez, R.; Moreno, J. The Relationship between Leishmaniasis and AIDS: The Second 10 Years. Clin. Microbiol. Rev. 2008, 21, 334–359. [Google Scholar] [CrossRef]
- Serafim, T.D.; Coutinho-Abreu, I.V.; Dey, R.; Kissinger, R.; Valenzuela, J.G.; Oliveira, F.; Kamhawi, S. Leishmaniasis: The Act of Transmission. Trends Parasitol. 2021, 37, 976–987. [Google Scholar] [CrossRef]
- Burton, A. Sharing Needles May Produce Artificial Leishmaniasis Cycle. Lancet Infect. Dis. 2001, 1, 4. [Google Scholar] [CrossRef]
- Jimenez-Marco, T.; Fisa, R.; Girona-Llobera, E.; Cancino-Faure, B.; Tomás-Pérez, M.; Berenguer, D.; Guillen, C.; Pujol, A.; Iniesta, L.; Serra, T.; et al. Transfusion-Transmitted Leishmaniasis: A Practical Review. Transfusion 2016, 56 (Suppl. 1), S45–S51. [Google Scholar] [CrossRef]
- Reimann, M.M.; Torres-Santos, E.C.; Souza, C.S.F.d.; Andrade-Neto, V.V.; Jansen, A.M.; Brazil, R.P.; Roque, A.L.R. Oral and Intragastric: New Routes of Infection by Leishmania Braziliensis and Leishmania Infantum? Pathogens 2022, 11, 688. [Google Scholar] [CrossRef]
- Pearson, R.D.; Cox, G.; Jeronimo, S.M.; Castracane, J.; Drew, J.S.; Evans, T.; de Alencar, J.E. Visceral Leishmaniasis: A Model for Infection-Induced Cachexia. Am. J. Trop. Med. Hyg. 1992, 47, 8–15. [Google Scholar] [CrossRef] [PubMed]
- Lyons, S.; Veeken, H.; Long, J. Visceral Leishmaniasis and HIV in Tigray, Ethiopia. Trop. Med. Int. Health 2003, 8, 733–739. [Google Scholar] [CrossRef] [PubMed]
- Scarpini, S.; Dondi, A.; Totaro, C.; Biagi, C.; Melchionda, F.; Zama, D.; Pierantoni, L.; Gennari, M.; Campagna, C.; Prete, A.; et al. Visceral Leishmaniasis: Epidemiology, Diagnosis, and Treatment Regimens in Different Geographical Areas with a Focus on Pediatrics. Microorganisms 2022, 10, 1887. [Google Scholar] [CrossRef] [PubMed]
- Daraban Bocaneti, F.; Ivanescu, L.M.; Miron, L.; Tanase, O.I.; Dascalu, M.A. An Overview on Leishmaniasis in Romania: Diagnosis and Therapeutics. Trop. Med. Infect. Dis. 2022, 7, 334. [Google Scholar] [CrossRef]
- Echchakery, M.; Chicharro, C.; Boussaa, S.; Nieto, J.; Ortega, S.; Carrillo, E.; Moreno, J.; Boumezzough, A. Molecular Identification of Leishmania Tropica and L. Infantum Isolated from Cutaneous Human Leishmaniasis Samples in Central Morocco. J. Vector Borne Dis. 2020, 57, 71–77. [Google Scholar] [CrossRef]
- Nampoothiri, R.V.; Sreedharanunni, S.; Chhabria, B.A.; Jain, S. Visceral Leishmaniasis: Kala-Azar. QJM 2016, 109, 347–348. [Google Scholar] [CrossRef][Green Version]
- Reithinger, R.; Dujardin, J.-C. Molecular Diagnosis of Leishmaniasis: Current Status and Future Applications. J. Clin. Microbiol. 2007, 45, 21–25. [Google Scholar] [CrossRef]
- Naseem, S.; Varma, N.; Das, R.; Ahluwalia, J.; Sachdeva, M.U.S.; Marwaha, R.K. Pediatric Patients with Bicytopenia/Pancytopenia: Review of Etiologies and Clinico-Hematological Profile at a Tertiary Center. Indian. J. Pathol. Microbiol. 2011, 54, 75–80. [Google Scholar] [CrossRef]
- Souza, L.J.d.; Pessanha, L.B.; Mansur, L.C.; Souza, L.A.d.; Ribeiro, M.B.T.; Silveira, M.d.V.d.; Souto Filho, J.T.D. Comparison of Clinical and Laboratory Characteristics between Children and Adults with Dengue. Braz. J. Infect. Dis. 2013, 17, 27–31. [Google Scholar] [CrossRef]
- Ayub, T.; Khan, F.U.R. Prevalence of Megaloblastic Anaemia in a Paediatric Unit. Gomal J. Med. Sci. 2009, 7, 62–64. [Google Scholar]
- Sloand, E.; Groopman, J. Acquired Immunodeficiency Syndrome. Wintrobe’s Clinical Hematology, 12th ed.; Greer, J.P., Foerster, J., Rodgers, G.M., Paraskevas, F., Glader, B., Arber, D.A., Means, R.T., Eds.; Lippincott Williams & Wilkins: Philadelphia, PA, USA, 2009; pp. 1623–1636. [Google Scholar]
- Koster, K.-L.; Laws, H.-J.; Troeger, A.; Meisel, R.; Borkhardt, A.; Oommen, P.T. Visceral Leishmaniasis as a Possible Reason for Pancytopenia. Front. Pediatr. 2015, 3, 59. [Google Scholar] [CrossRef] [PubMed]
- Colucci, G.; Garzoni, C. Pancytopenia Caused by Visceral Leishmaniasis in a Patient Immunosuppressed after Cancer Therapy. Blood 2016, 128, 2273. [Google Scholar] [CrossRef][Green Version]
- Schwetz, V.; Trummer, C.; Friedl, C.; Beham-Schmid, C.; Kulnik, R.; Wölfler, A.; Horvath, K.; Wunsch, S.; Prattes, J.; Zollner-Schwetz, I.; et al. Visceral Leishmaniasis in a Patient with Diabetes Mellitus Type 2 and Discrete Bicytopenia. Clin. Case Rep. 2018, 6, 78–81. [Google Scholar] [CrossRef] [PubMed]
- Sundar, S.; Rai, M. Laboratory Diagnosis of Visceral Leishmaniasis. Clin. Diagn. Lab. Immunol. 2002, 9, 951–958. [Google Scholar] [CrossRef]
- Centers for Disease Control and Prevention (CDC). Clinical Testing and Diagnosis for Leishmaniasis. [Internet]. 2024. Available online: https://www.cdc.gov/leishmaniasis/hcp/diagnosis/index.html (accessed on 15 November 2024).
- Favi, E.; Santolamazza, G.; Botticelli, F.; Alfieri, C.; Delbue, S.; Cacciola, R.; Guarneri, A.; Ferraresso, M. Epidemiology, Clinical Characteristics, Diagnostic Work Up, and Treatment Options of Leishmania Infection in Kidney Transplant Recipients: A Systematic Review. Trop. Med. Infect. Dis. 2022, 7, 258. [Google Scholar] [CrossRef] [PubMed]
- Busutti, M.; Deni, A.; De Pascali, A.M.; Ortalli, M.; Attard, L.; Granozzi, B.; Fabbrizio, B.; La Manna, G.; Comai, G.; Varani, S. Updated Diagnosis and Graft Involvement for Visceral Leishmaniasis in Kidney Transplant Recipients: A Case Report and Literature Review. Infection 2023, 51, 507–518. [Google Scholar] [CrossRef]
- Deni, A.; De Pascali, A.M.; Ortalli, M.; Balducelli, E.; Provenzano, M.; Ferrara, F.; Busutti, M.; La Manna, G.; Zammarchi, L.; Bartoloni, A.; et al. Identification of Asymptomatic Leishmania Infection in Patients Undergoing Kidney Transplant Using Multiple Tests. Int. J. Infect. Dis. 2024, 138, 81–83. [Google Scholar] [CrossRef]
- Tuon, F.F.; Bombonatto, G.M.; Battaglin, E.R.; Sakumoto, M.H.; Amato, V.S.; de Camargo, R.A.; Nicodemo, A.C. Reactivation of Mucosal and Cutaneous Leishmaniasis in a Renal Transplanted Patient. Am. J. Trop. Med. Hyg. 2014, 91, 81–83. [Google Scholar] [CrossRef]
- Bansal, S.B.; Ramasubramanian, V.; Prasad, N.; Saraf, N.; Soman, R.; Makharia, G.; Varughese, S.; Sahay, M.; Deswal, V.; Jeloka, T.; et al. South Asian Transplant Infectious Disease Guidelines for Solid Organ Transplant Candidates, Recipients, and Donors. Transplantation 2023, 107, 1910–1934. [Google Scholar] [CrossRef]
- Găman, A.; Dobrea, C.; Găman, G. A Case of Visceral Leishmaniasis in Oltenia Region (Romania). Rom. J. Morphol. Embryol. 2010, 51, 391–394. [Google Scholar]
- Fernandez-Flores, A.; Rodriguez-Peralto, J.L. Messy Granuloma: An Additional Pattern of Granulomatous Reaction. Rom. J. Morphol. Embryol. 2016, 57, 51–57. [Google Scholar] [PubMed]
- Dantas-Torres, F. Canine Leishmaniosis in South America. Parasit. Vectors 2009, 2 (Suppl. 1), S1. [Google Scholar] [CrossRef] [PubMed]
- Palatnik-de-Sousa, C.B.; Day, M.J. One Health: The Global Challenge of Epidemic and Endemic Leishmaniasis. Parasit. Vectors 2011, 4, 197. [Google Scholar] [CrossRef]
- Mircean, V.; Dumitrache, M.O.; Mircean, M.; Bolfa, P.; Györke, A.; Mihalca, A.D. Autochthonous Canine Leishmaniasis in Romania: Neglected or (Re)Emerging? Parasit. Vectors 2014, 7, 135. [Google Scholar] [CrossRef] [PubMed]
- Dumitrache, M.O.; Nachum-Biala, Y.; Gilad, M.; Mircean, V.; Cazan, C.D.; Mihalca, A.D.; Baneth, G. The Quest for Canine Leishmaniasis in Romania: The Presence of an Autochthonous Focus with Subclinical Infections in an Area Where Disease Occurred. Parasit. Vectors 2016, 9, 297. [Google Scholar] [CrossRef]
- Cazan, C.D.; Ionică, A.M.; Matei, I.A.; D’Amico, G.; Muñoz, C.; Berriatua, E.; Dumitrache, M.O. Detection of Leishmania Infantum DNA and Antibodies against Anaplasma Spp., Borrelia Burgdorferi s.l. and Ehrlichia Canis in a Dog Kennel in South-Central Romania. Acta Vet. Scand. 2020, 62, 42. [Google Scholar] [CrossRef]
- Toma, G.C.; Taulescu, M.; Mircean, V.; Ionica, A.; Cora, R.; Catoi, C.; Dumitrache, M. Imported Canine Leishmaniasis in Romania: A Case Report. Bull. Univ. Agric. Sci. Vet. Med. Cluj-Napoca Vet. Med. 2018, 75, 125–128. [Google Scholar] [CrossRef]
- Courtenay, O.; Quinnell, R.J.; Garcez, L.M.; Shaw, J.J.; Dye, C. Infectiousness in a Cohort of Brazilian Dogs: Why Culling Fails to Control Visceral Leishmaniasis in Areas of High Transmission. J. Infect. Dis. 2002, 186, 1314–1320. [Google Scholar] [CrossRef]
- Ashford, D.A.; David, J.R.; Freire, M.; David, R.; Sherlock, I.; Eulálio, M.C.; Sampaio, D.P.; Badaro, R. Studies on Control of Visceral Leishmaniasis: Impact of Dog Control on Canine and Human Visceral Leishmaniasis in Jacobina, Bahia, Brazil. Am. J. Trop. Med. Hyg. 1998, 59, 53–57. [Google Scholar] [CrossRef]
- Alvar, J.; Cañavate, C.; Molina, R.; Moreno, J.; Nieto, J. Canine Leishmaniasis. Adv. Parasitol. 2004, 57, 1–88. [Google Scholar] [CrossRef]
- Koch, L.K.; Kochmann, J.; Klimpel, S.; Cunze, S. Modeling the Climatic Suitability of Leishmaniasis Vector Species in Europe. Sci. Rep. 2017, 7, 13325. [Google Scholar] [CrossRef] [PubMed]
- Mansueto, P.; Seidita, A.; Vitale, G.; Cascio, A. Transfusion Transmitted Leishmaniasis. What to Do with Blood Donors from Endemic Areas? Travel. Med. Infect. Dis. 2014, 12, 617–627. [Google Scholar] [CrossRef] [PubMed]
- Ministerul Sănătăţii Publice Din Romania ORDIN Nr. 1193 Din 7 Iulie 2007 Pentru Aprobarea Normelor Privind Informaţiile Care Trebuie Oferite Donatorilor de Sânge Şi de Componente Sanguine de Origine Umană, Precum Şi Informaţiile Care Trebuie Comunicate de Către Donatori La Fiecare Donare Şi Admisibilitatea Donatorilor de Sânge Şi de Componente Sanguine Umane. (Romanian Ministry of Public Health. ORDER Nr. 1193 of July 7, 2007 for the Approval of the Rules on the Information to Be Provided to Donors of Blood and Blood Components of Human Origin, as Well as the Information to Be Communicated by Donors at Each Donation and the Admissibility of Donors of Human Blood and Blood Components). 2007. Available online: http://www.lexmed.ro/doc/Ordin_1193_2007.pdf (accessed on 28 November 2024). (In Romanian).



| Parameter | Normal Values | Initial Presentation | Follow-Up Presentation |
|---|---|---|---|
| White Blood Count (WBC) | 4–11 × 103/µL | 4.79 × 103/µL | 6.55 × 103/µL |
| Neutrophils | 40–60% | 75.6% | 69.9% |
| Lymphocytes | 20–40% | 17.5% | 25.2% |
| Monocytes (MONO) | 2–8% | 6.7% | 3.8% |
| Eosinophils | 1–4% | 0% | 1.1% |
| Basophils (BASO) | 0–1% | 0.2% | 0% |
| Red Blood Cell Count (RBC) | 3.80–5.10 × 106/µL | 3.08 × 106/µL | 4.27 × 106/µL |
| Hemoglobin (Hgl) | 12.0–15.5 g/dL | 9.1 g/dL | 12.9 g/dL |
| Hematocrit (Hct) | 34.9–44.5% | 26.4% | 35.8% |
| Mean Corpuscular Volume (MCV) | 80–100 fL | 85.7 fL | 83.8 fL |
| Platelets (PLT) | 150–450 × 103/µL | 18 × 103/µL | 105 × 103/µL |
| Blood Glucose (BG) | 70–110 mg/dL | 123 mg/dL | 97 mg/dL |
| Aspartate Transaminase (AST) | 10–40 U/L | 686 U/L | 20 U/L |
| Alanine Transaminase (ALT) | 7–56 U/L | 829 U/L | 31 U/L |
| Total Bilirubin | 0.1–1.2 mg/dL | 1.47 mg/dL | 1.18 mg/dL |
| Direct Bilirubin | 0–0.3 mg/dL | 0.51 mg/dL | 0.37 mg/dL |
| Lactate Dehydrogenase (LDH) | 140–280 U/L | 2084 U/L | 453 U/L |
| Uric Acid | 2.4–6.0 mg/dL | 5.69 mg/dL | - |
| Alkaline Phosphatase (ALP) | 30–120 U/L | 340 U/L | - |
| Urea | 10–50 mg/dL | 42.6 mg/dL | - |
| Creatinine | 0.5–1.0 mg/dL | 1.04 mg/dL | - |
| Serum Calcium (Ca) | 8.5–10.5 mg/dL | 8.2 mg/dL | - |
| Serum Magnesium (Mg) | 1.7–2.3 mg/dL | 1.24 mg/dL | - |
| Procalcitonin (PCT) | <0.1 ng/mL | 1.16 ng/mL | - |
| C-Reactive Protein (CRP) | <1 mg/dL | 7.28 mg/dL | - |
| Ferritin | 13–150 µg/L | 934 µg/L | - |
Disclaimer/Publisher’s Note: The statements, opinions and data contained in all publications are solely those of the individual author(s) and contributor(s) and not of MDPI and/or the editor(s). MDPI and/or the editor(s) disclaim responsibility for any injury to people or property resulting from any ideas, methods, instructions or products referred to in the content. |
© 2025 by the authors. Licensee MDPI, Basel, Switzerland. This article is an open access article distributed under the terms and conditions of the Creative Commons Attribution (CC BY) license (https://creativecommons.org/licenses/by/4.0/).
Share and Cite
Mihu, A.G.; Patiu, M.; Dima, D.M.; Oatis, D.A.; Cismaru, C.M.; Lighezan, R.; Olariu, T.R. Visceral Leishmaniasis in a 25-Year-Old Female Kidney Transplant Recipient from a Non-Endemic Region: A Case Report from Romania. Microorganisms 2025, 13, 403. https://doi.org/10.3390/microorganisms13020403
Mihu AG, Patiu M, Dima DM, Oatis DA, Cismaru CM, Lighezan R, Olariu TR. Visceral Leishmaniasis in a 25-Year-Old Female Kidney Transplant Recipient from a Non-Endemic Region: A Case Report from Romania. Microorganisms. 2025; 13(2):403. https://doi.org/10.3390/microorganisms13020403
Chicago/Turabian StyleMihu, Alin Gabriel, Mariana Patiu, Delia Monica Dima, Daniela Adriana Oatis, Cristina Mihaela Cismaru, Rodica Lighezan, and Tudor Rares Olariu. 2025. "Visceral Leishmaniasis in a 25-Year-Old Female Kidney Transplant Recipient from a Non-Endemic Region: A Case Report from Romania" Microorganisms 13, no. 2: 403. https://doi.org/10.3390/microorganisms13020403
APA StyleMihu, A. G., Patiu, M., Dima, D. M., Oatis, D. A., Cismaru, C. M., Lighezan, R., & Olariu, T. R. (2025). Visceral Leishmaniasis in a 25-Year-Old Female Kidney Transplant Recipient from a Non-Endemic Region: A Case Report from Romania. Microorganisms, 13(2), 403. https://doi.org/10.3390/microorganisms13020403

