Histopathological and Proteomics Analysis of Shrimp Litopenaeus vannamei Infected with Ecytonucleospora hepatopenaei
Abstract
1. Introduction
2. Materials and Methods
2.1. Infection Experiments and Sampling
2.2. Real-Time Fluorescence Quantitative PCR Detection of EHP
2.3. Tissue Section Preparation
2.4. Proteomic Sample Preparation
3. Results
3.1. Quantification of EHP Load via RT-qPCR
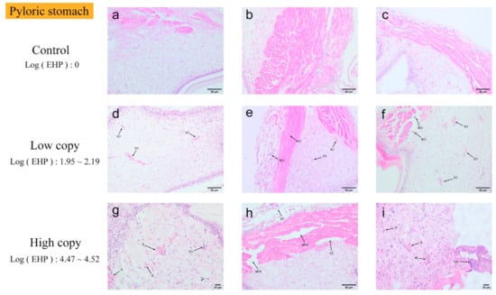
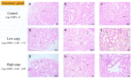
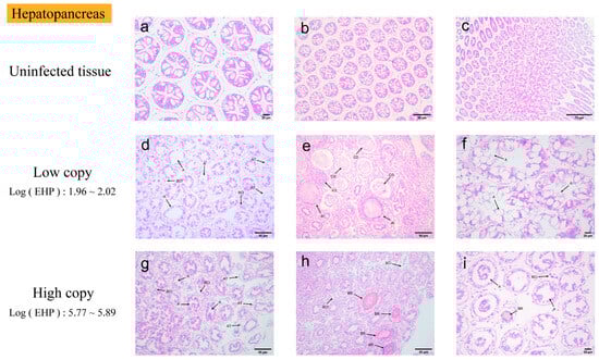
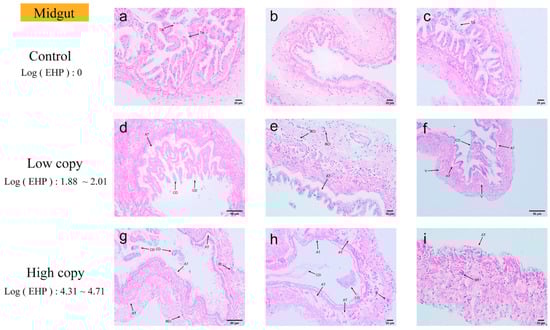
3.2. Histopathology Under H&E Staining
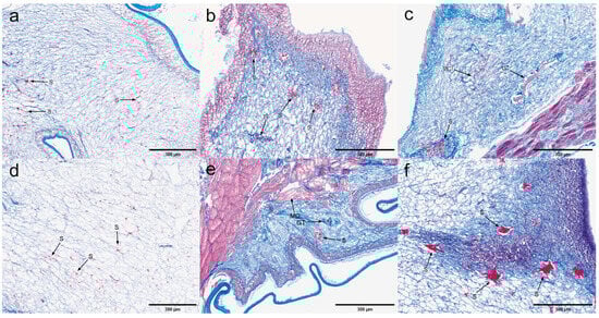
3.3. Histopathology Under Masson Staining
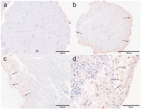
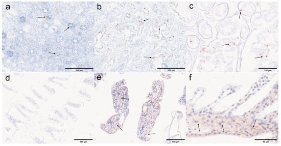
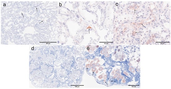
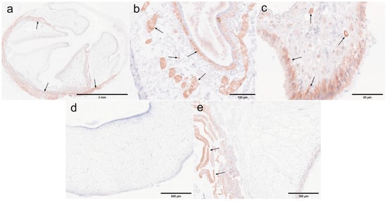
3.4. Histopathology Under Immunohistochemistry
3.5. Quality Control of Proteomics Data and Analysis of Sample Correlation
3.6. Differentially Expressed Proteins
3.7. Functional Enrichment Analysis of GO and KEGG Pathways
4. Discussion
4.1. Assessment of EHP Infection Extent Across Different Tissues
4.2. Tissue Analysis by H&E, Masson Staining, and Immunohistochemistry
4.3. Differential Proteins and KEGG Pathways Related to Histopathology
5. Conclusions
Author Contributions
Funding
Institutional Review Board Statement
Informed Consent Statement
Data Availability Statement
Conflicts of Interest
References
- Thitamadee, S.; Prachumwat, A.; Srisala, J.; Jaroenlak, P.; Salachan, P.V.; Sritunyalucksana, K.; Flegel, T.W.; Itsathitphaisarn, O. Review of current disease threats for cultivated penaeid shrimp in Asia. Aquaculture 2016, 452, 69–87. [Google Scholar] [CrossRef]
- Chayaburakul, K.; Nash, G.; Pratanpipat, P.; Sriurairatana, S.; Withyachumnarnkul, B. Multiple pathogens found in growth-retarded black tiger shrimp Penaeus monodon cultivated in Thailand. Dis. Aquat. Org. 2004, 60, 89–96. [Google Scholar] [CrossRef] [PubMed]
- Rajendran, K.; Shivam, S.; Praveena, P.E.; Rajan, J.J.S.; Kumar, T.S.; Avunje, S.; Jagadeesan, V.; Babu, S.P.; Pande, A.; Krishnan, A.N. Emergence of Enterocytozoon hepatopenaei (EHP) in farmed Penaeus (Litopenaeus) vannamei in India. Aquaculture 2016, 454, 272–280. [Google Scholar] [CrossRef]
- Jiang, H.; Li, W.; Gao, H. Research progress on Hepatospora in shrimp. Aquaculture 2023, 44, 31–35. [Google Scholar]
- Patil, P.K.; Geetha, R.; Ravisankar, T.; Avunje, S.; Solanki, H.G.; Abraham, T.J.; Vinoth, S.P.; Jithendran, K.P.; Alavandi, S.V.; Vijayan, K.K. Economic loss due to diseases in Indian shrimp farming with special reference to Enterocytozoon hepatopenaei (EHP) and white spot syndrome virus (WSSV). Aquaculture 2021, 533, 736231. [Google Scholar] [CrossRef]
- Ma, C.; Fan, S.; Wang, Y.; Yang, H.; Qiao, Y.; Jiang, G.; Lyu, M.; Dong, J.; Shen, H.; Gao, S. Rapid detection of Enterocytozoon hepatopenaei infection in shrimp with a real-time isothermal recombinase polymerase amplification assay. Front. Cell. Infect. Microbiol. 2021, 11, 631960. [Google Scholar] [CrossRef] [PubMed]
- Tourtip, S.; Wongtripop, S.; Stentiford, G.D.; Bateman, K.S.; Sriurairatana, S.; Chavadej, J.; Sritunyalucksana, K.; Withyachumnarnkul, B. Enterocytozoon hepatopenaei sp. nov.(Microsporida: Enterocytozoonidae), a parasite of the black tiger shrimp Penaeus monodon (Decapoda: Penaeidae): Fine structure and phylogenetic relationships. J. Invertebr. Pathol. 2009, 102, 21–29. [Google Scholar] [CrossRef]
- Cheng, D.; Qiu, L.; Song, Z.; Wan, X.; Dong, X.; Xie, G.; Huang, Q. Analysis of population tissue differences in Hepatospora infection in Litopenaeus vannamei. Prog. Fish. Sci. 2018, 39, 83–92. [Google Scholar]
- Santhoshkumar, S.; Sivakumar, S.; Vimal, S.; Abdul Majeed, S.; Taju, G.; Haribabu, P.; Uma, A.; Sahul Hameed, A. Biochemical changes and tissue distribution of Enterocytozoon hepatopenaei (EHP) in naturally and experimentally EHP-infected whiteleg shrimp, Litopenaeus vannamei (Boone, 1931), in India. J. Fish Dis. 2017, 40, 529–539. [Google Scholar] [CrossRef] [PubMed]
- Wang, Y.; Fang, W.; Zhou, J.; Li, X.; Liu, Q. Pathogen pathological analysis of microsporidiosis in the muscle of Penaeus vannamei. J. Shanghai Ocean Univ. 2013, 22, 726–733. [Google Scholar]
- Ning, M.; Huang, Y.; Cao, X.; Shen, H.; Gu, W.; Ren, X.; Meng, Q. The shrimp C-type lectins modulate intestinal microbiota homeostasis in microsporidia infection. Aquaculture 2024, 581, 740435. [Google Scholar] [CrossRef]
- Ning, M.; Wei, P.; Shen, H.; Wan, X.; Jin, M.; Li, X.; Shi, H.; Qiao, Y.; Jiang, G.; Gu, W. Proteomic and metabolomic responses in hepatopancreas of whiteleg shrimp Litopenaeus vannamei infected by microsporidian Enterocytozoon hepatopenaei. Fish Shellfish Immunol. 2019, 87, 534–545. [Google Scholar] [CrossRef] [PubMed]
- Ren, C.; Carrillo, N.D.; Cryns, V.L.; Anderson, R.A.; Chen, M. Environmental pollutants and phosphoinositide signaling in autoimmunity. J. Hazard. Mater. 2023, 465, 133080. [Google Scholar] [CrossRef] [PubMed]
- Burke, J.E.; Triscott, J.; Emerling, B.M.; Hammond, G.R. Beyond PI3Ks: Targeting phosphoinositide kinases in disease. Nat. Rev. Drug Discov. 2023, 22, 357–386. [Google Scholar] [CrossRef]
- Liu, T.; Zhang, L.; Joo, D.; Sun, S.-C. NF-κB signaling in inflammation. Signal Transduct. Target. Ther. 2017, 2, 17023. [Google Scholar] [CrossRef] [PubMed]
- Shi, Q.; Xue, C.; Zeng, Y.; Yuan, X.; Chu, Q.; Jiang, S.; Wang, J.; Zhang, Y.; Zhu, D.; Li, L. Notch signaling pathway in cancer: From mechanistic insights to targeted therapies. Signal Transduct. Target. Ther. 2024, 9, 128. [Google Scholar] [CrossRef]
- Hu, X.; Li, J.; Fu, M.; Zhao, X.; Wang, W. The JAK/STAT signaling pathway: From bench to clinic. Signal Transduct. Target. Ther. 2021, 6, 402. [Google Scholar] [CrossRef]
- Grabner, G.F.; Xie, H.; Schweiger, M.; Zechner, R. Lipolysis: Cellular mechanisms for lipid mobilization from fat stores. Nat. Metab. 2021, 3, 1445–1465. [Google Scholar] [CrossRef]
- Deretic, V. Autophagy in inflammation, infection, and immunometabolism. Immunity 2021, 54, 437–453. [Google Scholar] [CrossRef] [PubMed]
- Karthikeyan, K.; Sudhakaran, R. Experimental horizontal transmission of Enterocytozoon hepatopenaei in post-larvae of whiteleg shrimp, Litopenaeus vannamei. J. Fish Dis. 2019, 42, 397–404. [Google Scholar] [CrossRef]
- Satkar, S.G.; Bhusare, S.; Sahu, A.; Jiji, A. Review of Enterocytozoon hepatopenaei (EHP) in the Indian shrimp farming scenario: Implications, Challenges, and mitigation strategies. Int. J. Vet. Sci. Anim. Husb. 2024, SP-9, 749–753. [Google Scholar]
- Tsai, J.-R.; Lin, H.-C. Functional anatomy and ion regulatory mechanisms of the antennal gland in a semi-terrestrial crab, Ocypode stimpsoni. Biol. Open 2014, 3, 409–417. [Google Scholar] [CrossRef]
- Liu, F.; Li, S.; Yu, Y.; Zhang, C.; Li, F. Antennal gland of shrimp as an entry for WSSV infection. Aquaculture 2021, 530, 735932. [Google Scholar] [CrossRef]
- Chaijarasphong, T.; Munkongwongsiri, N.; Stentiford, G.D.; Aldama-Cano, D.J.; Thansa, K.; Flegel, T.W.; Sritunyalucksana, K.; Itsathitphaisarn, O. The shrimp microsporidian Enterocytozoon hepatopenaei (EHP): Biology, pathology, diagnostics and control. J. Invertebr. Pathol. 2021, 186, 107458. [Google Scholar] [CrossRef] [PubMed]
- Janakiram, P.; Geetha, G.; Sunil Kumar, D.; Jayasree, L. Aetiological studies on mixed infection of Abdominal segment deformity disease (ASDD) and Enterocytozoon hepatopenaei (EHP) in cultured Litopenaeus vannamei. Int. J. Fish. Aquat. Stud. 2018, 6, 19–26. [Google Scholar]
- Intriago, P.; Medina, A.; Cercado, N.; Arteaga, K.; Montenegro, A.; Burgos, M.; Espinoza, J.; Brock, J.A.; McIntosh, R.; Flegel, T. Passive surveillance for shrimp pathogens in Penaeus vannamei submitted from 3 Regions of Latin America. Aquac. Rep. 2024, 36, 102092. [Google Scholar] [CrossRef]
- Duan, Y.; Chen, H.; Wang, J.; Zeng, S.; Wang, Y.; Mo, Z.; Dan, X.; Li, Y. Response signatures of Litopenaeus vannamei to natural Enterocytozoon hepatopenaei infection revealed by the integration of the microbiome and transcriptome. Aquaculture 2021, 542, 736885. [Google Scholar] [CrossRef]
- Tang, K.F.; Han, J.E.; Aranguren, L.F.; White-Noble, B.; Schmidt, M.M.; Piamsomboon, P.; Risdiana, E.; Hanggono, B. Dense populations of the microsporidian Enterocytozoon hepatopenaei (EHP) in feces of Penaeus vannamei exhibiting white feces syndrome and pathways of their transmission to healthy shrimp. J. Invertebr. Pathol. 2016, 140, 1–7. [Google Scholar] [CrossRef] [PubMed]
- Tang, K.F.; Pantoja, C.R.; Redman, R.M.; Han, J.E.; Tran, L.H.; Lightner, D.V. Development of in situ hybridization and PCR assays for the detection of Enterocytozoon hepatopenaei (EHP), a microsporidian parasite infecting penaeid shrimp. J. Invertebr. Pathol. 2015, 130, 37–41. [Google Scholar] [CrossRef]
- Chang, X. Establishment of Pathological Detection Techniques for Hepatospora in Shrimp. Master’s Thesis, Shanghai Ocean University, Shanghai, China, 2018. [Google Scholar]
- Yuanlae, S.; Prasartset, T.; Reamtong, O.; Munkongwongsiri, N.; Panphloi, M.; Preechakul, T.; Suebsing, R.; Thitamadee, S.; Prachumwat, A.; Itsathitphaisarn, O. Shrimp injection with dsRNA targeting the microsporidian EHP polar tube protein reduces internal and external parasite amplification. Sci. Rep. 2024, 14, 4830. [Google Scholar] [CrossRef] [PubMed]
- Kong, J.-R.; Wei, W.; Liang, Q.-J.; Qiao, X.-L.; Kang, H.; Liu, Y.; Wang, W.-N. Identifying the function of LvPI3K during the pathogenic infection of Litopenaeus vannamei by Vibrio alginolyticus. Fish Shellfish Immunol. 2018, 76, 355–367. [Google Scholar] [CrossRef]
- Hou, L.; Ma, Y.; Cao, X.; Gu, W.; Cheng, Y.; Wu, X.; Wang, W.; Meng, Q. Transcriptome profiling of the Eriocheir sinensis thoracic ganglion under the Spiroplasma eriocheiris challenge. Aquaculture 2020, 524, 735257. [Google Scholar] [CrossRef]
- Yu, X.; Long, Y.C.; Shen, H.-M. Differential regulatory functions of three classes of phosphatidylinositol and phosphoinositide 3-kinases in autophagy. Autophagy 2015, 11, 1711–1728. [Google Scholar] [CrossRef] [PubMed]
- Liu, H.; Shen, M.; He, Y.; Li, B.; Pu, L.; Xia, G.; Yang, M.; Wang, G. Analysis of differentially expressed proteins after EHP-infection and characterization of caspase 3 protein in the whiteleg shrimp (Litopenaeus vannamei). Fish Shellfish Immunol. 2023, 135, 108698. [Google Scholar] [CrossRef] [PubMed]
- Li, C.; Wang, S.; He, J. The two NF-κB pathways regulating bacterial and WSSV infection of shrimp. Front. Immunol. 2019, 10, 1785. [Google Scholar] [CrossRef] [PubMed]
- Lawrence, T. The nuclear factor NF-κB pathway in inflammation. Cold Spring Harb. Perspect. Biol. 2009, 1, a001651. [Google Scholar] [CrossRef] [PubMed]
- Dalpke, A.; Heeg, K.; Bartz, H.; Baetz, A. Regulation of innate immunity by suppressor of cytokine signaling (SOCS) proteins. Immunobiology 2008, 213, 225–235. [Google Scholar] [CrossRef] [PubMed]
- Ma, Y.; Nenkov, M.; Chen, Y.; Press, A.T.; Kaemmerer, E.; Gassler, N. Fatty acid metabolism and acyl-CoA synthetases in the liver-gut axis. World J. Hepatol. 2021, 13, 1512. [Google Scholar] [CrossRef]
- Kesavardhana, S.; Malireddi, R.S.; Kanneganti, T.-D. Caspases in cell death, inflammation, and pyroptosis. Annu. Rev. Immunol. 2020, 38, 567–595. [Google Scholar] [CrossRef]
- Kimura, I.; Ichimura, A.; Ohue-Kitano, R.; Igarashi, M. Free fatty acid receptors in health and disease. Physiol. Rev. 2019, 100, 171–210. [Google Scholar] [CrossRef]
- Bestebroer, J.; V’kovski, P.; Mauthe, M.; Reggiori, F. Hidden behind autophagy: The unconventional roles of ATG proteins. Traffic 2013, 14, 1029–1041. [Google Scholar] [CrossRef] [PubMed]
- Tsapras, P.; Nezis, I.P. Caspase involvement in autophagy. Cell Death Differ. 2017, 24, 1369–1379. [Google Scholar] [CrossRef] [PubMed]


























| Tissue | Living Shrimp | Moribund Shrimp | Dead Shrimp | |||
|---|---|---|---|---|---|---|
| Average Load | Detection Rate | Average Load | Detection Rate | Average Load | Detection Rate | |
| Hepatopancreas | 3.71 | 100% | 3.69 | 100% | 4.52 | 100% |
| Eyestalk | 1.65 | 28% | 1.82 | 35% | 2.50 | 46% |
| Gill | 1.05 | 56% | 2.45 | 53% | 2.45 | 85% |
| Antennal gland | 2.00 | 44% | 1.95 | 47% | 2.60 | 69% |
| Heart | 1.89 | 36% | 1.57 | 17% | 2.03 | 46% |
| Muscle | 2.31 | 72% | 2.41 | 65% | 2.71 | 85% |
| Gonad | 2.28 | 28% | 1.41 | 18% | 2.53 | 38% |
| Pyloric stomach | 3.23 | 84% | 3.51 | 82% | 4.11 | 92% |
| Cardia stomach | 2.62 | 80% | 2.65 | 76% | 3.25 | 92% |
| Anterior midgut | 3.58 | 84% | 2.84 | 65% | 3.32 | 85% |
| Middle midgut | 3.11 | 76% | 2.81 | 59% | 3.62 | 69% |
| Posterior midgut | 3.00 | 60% | 2.42 | 59% | 3.42 | 69% |
| Rectum | 2.06 | 48% | 1.47 | 12% | 2.63 | 69% |
Disclaimer/Publisher’s Note: The statements, opinions and data contained in all publications are solely those of the individual author(s) and contributor(s) and not of MDPI and/or the editor(s). MDPI and/or the editor(s) disclaim responsibility for any injury to people or property resulting from any ideas, methods, instructions or products referred to in the content. |
© 2025 by the authors. Licensee MDPI, Basel, Switzerland. This article is an open access article distributed under the terms and conditions of the Creative Commons Attribution (CC BY) license (https://creativecommons.org/licenses/by/4.0/).
Share and Cite
Ni, P.; Ma, Y.; Shi, B.; Wang, M. Histopathological and Proteomics Analysis of Shrimp Litopenaeus vannamei Infected with Ecytonucleospora hepatopenaei. Microorganisms 2025, 13, 402. https://doi.org/10.3390/microorganisms13020402
Ni P, Ma Y, Shi B, Wang M. Histopathological and Proteomics Analysis of Shrimp Litopenaeus vannamei Infected with Ecytonucleospora hepatopenaei. Microorganisms. 2025; 13(2):402. https://doi.org/10.3390/microorganisms13020402
Chicago/Turabian StyleNi, Ping, Yingyao Ma, Bingxin Shi, and Mengqiang Wang. 2025. "Histopathological and Proteomics Analysis of Shrimp Litopenaeus vannamei Infected with Ecytonucleospora hepatopenaei" Microorganisms 13, no. 2: 402. https://doi.org/10.3390/microorganisms13020402
APA StyleNi, P., Ma, Y., Shi, B., & Wang, M. (2025). Histopathological and Proteomics Analysis of Shrimp Litopenaeus vannamei Infected with Ecytonucleospora hepatopenaei. Microorganisms, 13(2), 402. https://doi.org/10.3390/microorganisms13020402

