Infection-Related Stillbirths: A Detailed Examination of a Nine-Year Multidisciplinary Study
Abstract
1. Introduction
2. Materials and Methods
2.1. Microbiological Protocol
- (a)
- Maternal vaginal swabs for bacterial and fungal cultures and for urogenital mycoplasmas identification. In our lab, we used a diagnostic assay that was unable to discriminate between Mycoplasma hominis and Ureaplasma urealyticum/parvum.
- (b)
- Maternal blood sample for antibody (IgG and IgM) detection for Parvovirus B19, Enterovirus, and Cytomegalovirus (CMV). Serological tests for Toxoplasma gondii and Treponema pallidum were performed as a routine check during pregnancy; therefore, serological data were collected from pregnancy health records.
- (c)
- One placental biopsy (1 × 1 × 1 cm3) for bacterial and fungal cultures (in the lab, the sample was cut, and a swab was taken from the inner surface of the tissue).
- (d)
- One placental biopsy (1 × 1 × 1 cm3) for molecular investigations for Enterovirus, herpes simplex virus (HSV)-1, HSV-2, Parvovirus B19, CMV, and SARS-CoV-2 (after 2020). CMV and Parvovirus B19 polymerase chain reactions (PCR) were performed only in mothers with IgG antibodies for CMV and Parvovirus B19, respectively, using ELITe MGB kits on an ELITe InGenius automated instrument (ELITechGroup, Turin, Italy). The viral load was reported as number of viral copies/µg of DNA/RNA. In case of a positive result on the microbiological test swabs collected from the placenta, the investigations were supplemented by the research of the viral genome on paraffin-embedded tissue. Specifically, 10 μm of paraffin-embedded sections were pre-treated using 160 μL of deparaffination solution, 180 μL of tissue lysis buffer and 20 μL of proteinase K. Viral genome extraction and amplification were performed using ELITe MGB kits on the ELITe InGenius automated instrument (ELITechGroup, Italy).
- (e)
- Fetal oropharyngeal swabs for bacterial and fungal cultures and for urogenital mycoplasmas identification.
- (f)
- Fetal blood sampling from intracardiac puncture for blood culture.
2.2. Fetal Autopsy and Placental Examination
2.3. Audit Panel
2.4. Statistical Analysis
3. Results
3.1. Stillbirth Occurrence
3.2. Microbiological Investigations
3.3. Vaginal Swab and Placental Biopsies
3.4. Fetal Samples: Fetal Blood and Oropharyngeal Swab
3.5. RT-PCR in Placenta
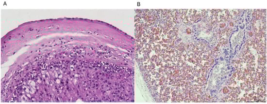
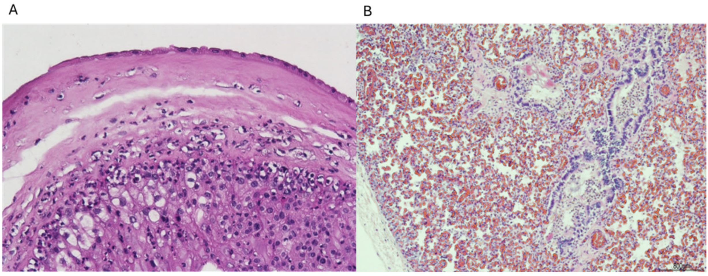
3.6. Infectious Causes of SB as Defined by a Multidisciplinary Team
3.7. Correlation Between Positive Results per Bacteria in Maternal and Fetal Sample and Stillbirth
4. Discussion
5. Conclusions
Author Contributions
Funding
Institutional Review Board Statement
Informed Consent Statement
Data Availability Statement
Conflicts of Interest
References
- Hug, L.; You, D.; Blencowe, H.; Mishra, A.; Wang, Z.; Fix, M.J.; Wakefield, J.; Moran, A.C.; Gaigbe-Togbe, V.; Suzuki, E.; et al. Global, regional, and national estimates and trends in stillbirths from 2000 to 2019: A systematic assessment. Lancet 2021, 398, 772–785. [Google Scholar] [CrossRef] [PubMed]
- Facchinetti, F.; Reddy, U.; Stray-Pedersen, B.; Baronciani, D.; Requejo, J.H.; Stillbirth International Group. International issues in stillbirth. J. Matern.-Fetal Neonatal Med. 2008, 21, 425–428. [Google Scholar] [CrossRef] [PubMed]
- Meaney, S.; Everard, C.M.; Gallagher, S.; O’Donoghue, K. Parents’ concerns about future pregnancy after stillbirth: A qualitative study. Health Expect. 2017, 20, 555–562. [Google Scholar] [CrossRef] [PubMed]
- For the Stillbirth Emilia-Romagna Audit Group; Po’, G.; Monari, F.; Zanni, F.; Grandi, G.; Lupi, C.; Facchinetti, F. A regional audit system for stillbirth: A way to better understand the phenomenon. BMC Pregnancy Childbirth 2019, 19, 276. [Google Scholar] [CrossRef] [PubMed]
- Norris, T.; Manktelow, B.N.; Smith, L.K.; Draper, E.S. Causes and temporal changes in nationally collected stillbirth audit data in high-resource settings. Semin. Fetal Neonatal Med. 2017, 22, 118–128. [Google Scholar] [CrossRef]
- Stillbirth Collaborative Research Network Writing Group. Causes of death among stillbirths. J. Am. Med. Assoc. 2011, 306, 2459–2468. [Google Scholar] [CrossRef]
- Goldenberg, R.L.; McClure, E.M.; Saleem, S.; Reddy, U.M. Infection-related stillbirths. Lancet 2010, 375, 1482–1490. [Google Scholar] [CrossRef]
- Page, J.M.; Bardsley, T.; Thorsten, V.; Allshouse, A.A.; Varner, M.W.; Debbink, M.P.; Dudley, D.J.; Saade, G.R.; Goldenberg, R.L.; Stoll, B.; et al. Stillbirth Associated With Infection in a Diverse U.S. Cohort. Obstet. Gynecol. 2019, 134, 1187–1196. [Google Scholar] [CrossRef]
- Regione Emilia-Romagna. Dgr 533/2008 “Percorsonascita: Direttivaregionale alle Aziendesanitarie.” Bollettino Ufficiale della Regione Emilia-Romagna (BURERT). Published 20 May 2008. Available online: http://salute.regione.emilia-romagna.it/documentazione/leggi/regionali/dgr-2127-2016/dgr-533-2008-nascita/view (accessed on 4 June 2024).
- Lanari, M.; Capretti, M.G.; Lazzarotto, T. Neuroimaging examinations of newborns in vertically acquired infections. J. Matern. Neonatal Med. 2011, 24, 117–119. [Google Scholar] [CrossRef]
- Chiereghin, A.; Gabrielli, L.; Zanfi, C.; Petrisli, E.; Lauro, A.; Piccirilli, G.; Baccolini, F.; Dazzi, A.; Cescon, M.; Morelli, M.; et al. Monitoring Cytomegalovirus T-Cell Immunity in Small Bowel/Multivisceral Transplant Recipients. Transplant. Proc. 2010, 42, 69–73. [Google Scholar] [CrossRef]
- Bauserman, M.; Conroy, A.L.; North, K.; Patterson, J.; Bose, C.; Meshnick, S. An overview of malaria in pregnancy. Semin. Perinatol. 2019, 43, 282–290. [Google Scholar] [CrossRef] [PubMed] [PubMed Central]
- Harakuni, S.U.; Somannavar, M.S.; Ghanchi, N.K.; Ahmed, I.; Zafar, A.; Kim, J.; Tikmani, S.S.; Hwang, K.; Saleem, S.; Goudar, S.S.; et al. Pathogens identified in the internal tissues and placentas of stillbirths: Results from the prospective, observational PURPOSe study. BJOG Int. J. Obstet. Gynaecol. 2023, 130, 1238–1246. [Google Scholar] [CrossRef] [PubMed]
- Zupan, J.; Åhman, E. Neonatal and Perinatal Mortality: Country, Regional and Global Estimates; World Health Organization: Geneva, Switzerland, 2006; p. 69. [Google Scholar]
- Gardosi, J.; Kady, S.M.; McGeown, P.; Francis, A.; Tonks, A. Classification of stillbirth by relevant condition at death (ReCoDe): Population based cohort study. BMJ 2005, 331, 1113–1117. [Google Scholar] [CrossRef] [PubMed]
- Khong, T.Y.; Mooney, E.E.; Ariel, I.; Balmus, N.C.M.; Boyd, T.K.; Brundler, M.-A.; Derricott, H.; Evans, M.J.; Faye-Petersen, O.M.; Gillan, J.E.; et al. Sampling and Definitions of Placental Lesions: Amsterdam Placental Workshop Group Consensus Statement. Arch. Pathol. Lab. Med. 2016, 140, 698–713. [Google Scholar] [CrossRef] [PubMed]
- AFIP-ARP. Atlas of Placental Pathology; Series 5; AFIP Atlases of tumor and non-tumor Pathology; AFIP-ARP: Tokyo, Japan, 2021; Volume 6, p. 134. [Google Scholar]
- Every Newborn: An Action Plan to End Preventable Deaths 24 June 2014. Available online: https://www.who.int/initiatives/every-newborn-action-plan#:~:text=The%20global%20Every%20Newborn%20Action%20Plan%20%28ENAP%29%2C%20launched,and%20contributing%20to%20reducing%20maternal%20mortality%20and%20morbidity (accessed on 1 July 2024).
- Aquino, T.I.; Zhang, J.; Kraus, F.T.; Knefel, R.; Taff, T. Subchorionic Fibrin Cultures for Bacteriologic Study of the Placenta. Am. J. Clin. Pathol. 1984, 81, 482–486. [Google Scholar] [CrossRef] [PubMed]
- Babić, M.; Hukić, M. Candida Albicans and Non-Albicans Species as Etiological Agent of Vaginitis in Pregnant and Non-Pregnant Women. Bosn. J. Basic Med. Sci. 2010, 10, 89–97. [Google Scholar] [CrossRef] [PubMed] [PubMed Central]
- Coudray, M.S.; Madhivanan, P. Bacterial vaginosis—A brief synopsis of the literature. Eur. J. Obstet. Gynecol. Reprod. Biol. 2020, 245, 143–148. [Google Scholar] [CrossRef] [PubMed] [PubMed Central]
- Stafford, I.A.; Hummel, K.; Dunn, J.J.; Muldrew, K.; Berra, A.; Kravitz, E.S.; Gogia, S.; Martin, I.; Munson, E. Retrospective analysis of infection and antimicrobial resistance patterns of Mycoplasma genitalium among pregnant women in the southwestern USA. BMJ Open 2021, 11, e050475. [Google Scholar] [CrossRef] [PubMed] [PubMed Central]
- Ma, C.; Du, J.; Dou, Y.; Chen, R.; Li, Y.; Zhao, L.; Liu, H.; Zhang, K. The Associations of Genital Mycoplasmas with Female Infertility and Adverse Pregnancy Outcomes: A Systematic Review and Meta-analysis. Reprod. Sci. 2021, 28, 3013–3031. [Google Scholar] [CrossRef] [PubMed]
- Deftereou, T.-E.; Trypidi, A.; Alexiadi, C.A.; Theotokis, P.; Manthou, M.E.; Meditskou, S.; Simopoulou, M.; Lambropoulou, M. Congenital Herpes Simplex Virus: A Histopathological View of the Placenta. Cureus 2022, 14, e29101. [Google Scholar] [CrossRef] [PubMed] [PubMed Central]
- Feist, H.; Turowski, G.; Hussein, K.; Blöcker, T.; Heim, A. Massive Perivillous Fibrin Deposition of an Enterovirus A-Infected Placenta Associated With Stillbirth: A Case Report. Pediatr. Dev. Pathol. 2019, 22, 142–145. [Google Scholar] [CrossRef] [PubMed]
- Nuovo, G.J.; Cooper, L.D.; Bartholomew, D. Histologic.; infectious.; and molecular correlates of idiopathic spontaneous abortion and perinatal mortality. Diagn. Mol. Pathol. 2005, 14, 152–158. [Google Scholar] [CrossRef] [PubMed]
- Batcup, G.; Holt, P.; Hambling, M.; Gerlis, L.; Glass, M. Placental and fetal pathology in Coxsackie virus A9 infection: A case report. Histopathology 1985, 9, 1227–1235. [Google Scholar] [CrossRef] [PubMed]
- Merriel, A.; Fitzgerald, B.; O’donoghue, K. SARS-CoV-2—Placental effects and association with stillbirth. BJOG Int. J. Obstet. Gynaecol. 2024, 131, 385–400. [Google Scholar] [CrossRef] [PubMed]
- Aghaamoo, S.; Ghods, K.; Rahmanian, M. Pregnant women with COVID-19: The placental involvement and consequences. Histochem. J. 2021, 52, 427–435. [Google Scholar] [CrossRef] [PubMed] [PubMed Central]
- Zels, G.; Colpaert, C.; Leenaerts, D.; Nailis, H.; Verheecke, M.; De Catte, L.; Richter, J.; Baldewijns, M. COVID-19 vaccination protects infected pregnant women from developing SARS-CoV-2 placentitis and decreases the risk for stillbirth. Placenta 2024, 148, 38–43. [Google Scholar] [CrossRef] [PubMed]
- Bui, M.T.; Nguyen Le, C.A.; Duong, K.L.; Hoang, V.T.; Nguyen, T.K. Transplacental Transmission of SARS-CoV-2: A Narrative Review. Medicina 2024, 60, 1517. [Google Scholar] [CrossRef] [PubMed] [PubMed Central]
- Gengler, C.; Dubruc, E.; Favre, G.; Greub, G.; de Level, L.; Baud, D. SARS-CoV-2 ACE-receptor detection in the placenta throughout pregnancy. Clin. Microbiol. Infect. 2021, 27, 489–490. [Google Scholar] [CrossRef] [PubMed] [PubMed Central]
- McClure, E.M.; Silver, R.M.; Kim, J.; Ahmed, I.; Kallapur, M.; Ghanchi, N.; Nagmoti, M.B.; Dhaded, S.; Aceituno, A.; Tikmani, S.S.; et al. Maternal infection and stillbirth: A review. J. Matern.-Fetal Neonatal Med. 2022, 35, 4442–4450. [Google Scholar] [CrossRef] [PubMed]


| Range | N or ±SD | (%; CI95%) | |
|---|---|---|---|
| Age (years) | (17–52) | 33 ± 6 | NA |
| Italian born | 100 | (54.6%; 47.2–61.9) | |
| Smokers | 24 | (13.9%; 9.5–19.9) | |
| Gestational age (weeks) | (22–41) | 33 ± 5 | NA |
| Medically assisted reproduction | 7 | (4.1%; 1.9–8.1) | |
| Primiparity | 70 | (40.7%; 33.6–48.1) | |
| Previous SB | 12 | (6.9%; 4.0–11.8) |
| Bacterial Culture (%Positive) | Yeast Culture (%Positive) | Urogenital Mycoplasmas (%Positive) | |
|---|---|---|---|
| Vaginal swab | 28/126 (22.2%) | 21/126 (16.7%) | 31/123 (25.2%) |
| Placenta | 103/157 (65.3%) | 5/157 (3.2%) | NA |
| Fetal blood culture | 39/140 (27.9%) | 2/140 (1.4%) | NA |
| Fetal oropharyngeal swab | 22/149 (14.7%) | 4/149 (2.7%) | 13/150 (8.7%) |
| Case N° | Microrganism | Fetal Histological Examination | Placental and Funicular Histological Examination |
|---|---|---|---|
| 104 | Streptococcus agalactiae | Massive neutrophilic granulocytic infiltrate in the lungs | Chorioamnionitis stage 1/3; grade 1/2 Funisitis stage 1/3; grade 1/2 |
| 152 | Streptococcus agalactiae | Neutrophilic granulocytic infiltrate in the lungs | Chorioamnionitis stage 2/3; grade 2/2 Funisitis stage 2/3; grade 2/2 |
| 78 | Enterococcus faecalis | Neutrophilic granulocytic infiltrate in the lungs | Chorioamnionitis stage 2/3; grade 2/2 Funisitis stage 1/3; grade 1/2 |
| 114 | Urogenital mycoplasmas/ Escherichia coli | Neutrophilic granulocytic infiltrate in the lungs | Chorioamnionitis stage 1/3; grade 1/2 Funisitis stage 1/3; grade 1/2 |
| 19 | Enterococcus faecalis | Fetus with intermediate maceration | Chorioamnionitis stage 3/3; grade 2/2 Funisitis stage 3/3; grade 2/2 |
| 97 | Streptococcus agalactiae | Fetus with severe maceration | Chorioamnionitis stage 3/3; grade 2/2 |
| Typical Bacteria Detection (pos/tot) | Positivity/ SB with Bacterial Aetiology | Positivity/ SB with Other Aetiology | p Value | Atypical Bacteria Detection (pos/tot) | Positivity/ SB with Atypical Bacterial Aetiology | Positivity/ SB with Other Aetiology | |
|---|---|---|---|---|---|---|---|
| Vaginal swab | 28/126 (22.2%) | 5/5 (100%) | 23/121 * (19.0%) | <0.00001 | 31/123 (25.2%) | 1/1 (100%) | 30/122 (24.6%) |
| Placenta | 103/157 (65.6%) | 5/5 (100%) | 98/152 (64.5%) | 0.01 | NA | NA | NA |
| Blood culture | 39/140 (27.9%) | 4/4 ″ (100%) | 35/136 * (25.7%) | 0.001 | NA | NA | NA |
| Oropharyngeal swab | 22/149 (14.7%) | 4/4 ″ (100%) | 18/145 * (12.4%) | <0.00001 | 13/150 (8.7%) | 1/1 (100%) | 12/149 (8.1%) |
Disclaimer/Publisher’s Note: The statements, opinions and data contained in all publications are solely those of the individual author(s) and contributor(s) and not of MDPI and/or the editor(s). MDPI and/or the editor(s) disclaim responsibility for any injury to people or property resulting from any ideas, methods, instructions or products referred to in the content. |
© 2025 by the authors. Licensee MDPI, Basel, Switzerland. This article is an open access article distributed under the terms and conditions of the Creative Commons Attribution (CC BY) license (https://creativecommons.org/licenses/by/4.0/).
Share and Cite
Gabrielli, L.; Pavoni, M.; Monari, F.; Baiesi Pillastrini, F.; Bonasoni, M.P.; Locatelli, C.; Bisulli, M.; Vancini, A.; Cataneo, I.; Ortalli, M.; et al. Infection-Related Stillbirths: A Detailed Examination of a Nine-Year Multidisciplinary Study. Microorganisms 2025, 13, 71. https://doi.org/10.3390/microorganisms13010071
Gabrielli L, Pavoni M, Monari F, Baiesi Pillastrini F, Bonasoni MP, Locatelli C, Bisulli M, Vancini A, Cataneo I, Ortalli M, et al. Infection-Related Stillbirths: A Detailed Examination of a Nine-Year Multidisciplinary Study. Microorganisms. 2025; 13(1):71. https://doi.org/10.3390/microorganisms13010071
Chicago/Turabian StyleGabrielli, Liliana, Matteo Pavoni, Francesca Monari, Federico Baiesi Pillastrini, Maria Paola Bonasoni, Chiara Locatelli, Maria Bisulli, Alessandra Vancini, Ilaria Cataneo, Margherita Ortalli, and et al. 2025. "Infection-Related Stillbirths: A Detailed Examination of a Nine-Year Multidisciplinary Study" Microorganisms 13, no. 1: 71. https://doi.org/10.3390/microorganisms13010071
APA StyleGabrielli, L., Pavoni, M., Monari, F., Baiesi Pillastrini, F., Bonasoni, M. P., Locatelli, C., Bisulli, M., Vancini, A., Cataneo, I., Ortalli, M., Piccirilli, G., Cantiani, A., Ambretti, S., Facchinetti, F., & Lazzarotto, T. (2025). Infection-Related Stillbirths: A Detailed Examination of a Nine-Year Multidisciplinary Study. Microorganisms, 13(1), 71. https://doi.org/10.3390/microorganisms13010071

