Imaging in Periprosthetic Joint Infection Diagnosis: A Comprehensive Review
Abstract
1. Overview
2. Periprosthetic Joint Infection Diagnostic Options
3. The Role of Imaging Modalities in PJI Definition Systems
4. Advanced Radiological Techniques
4.1. Radiography
4.2. Ultrasound
4.3. Computed Tomography
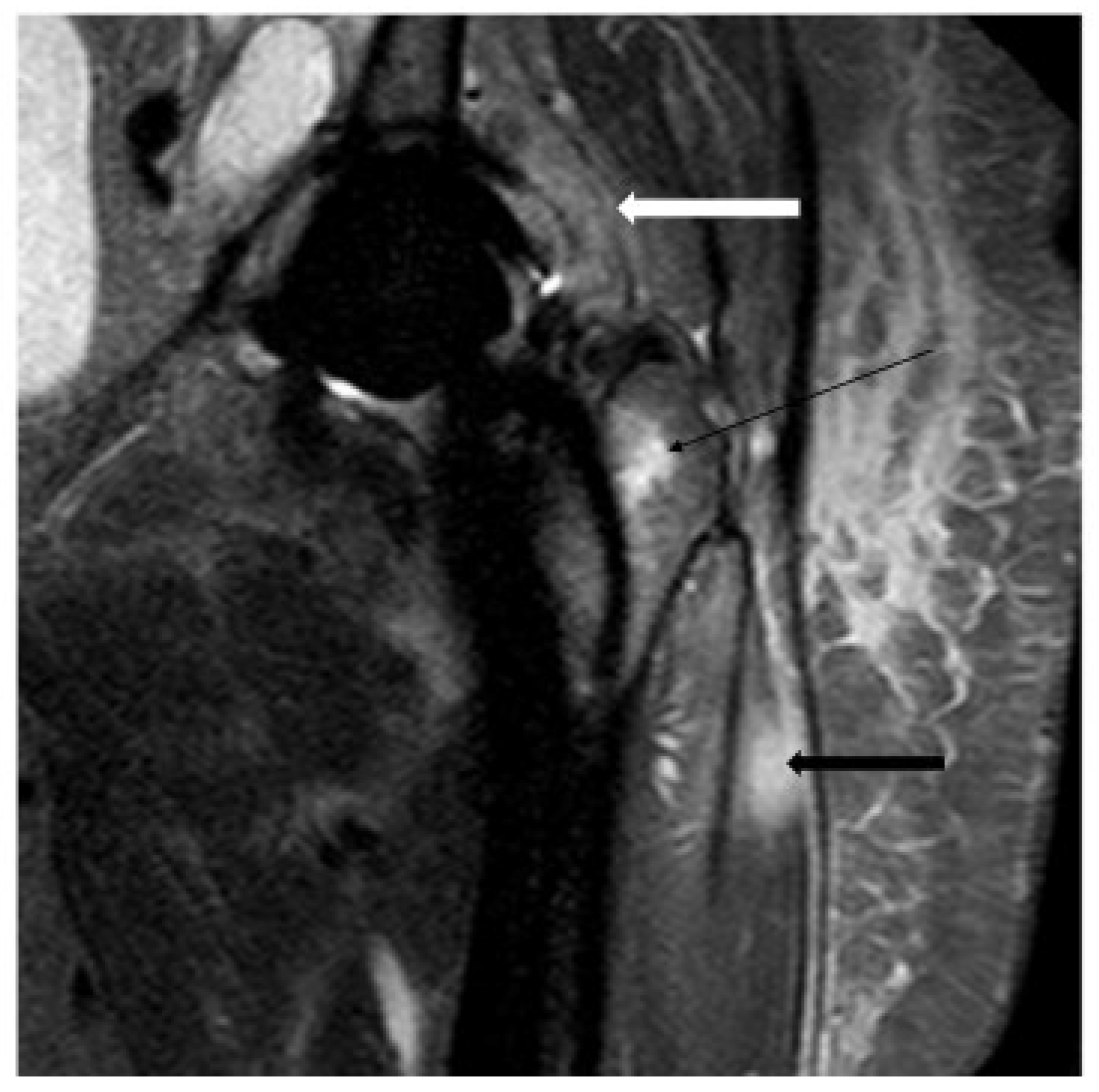
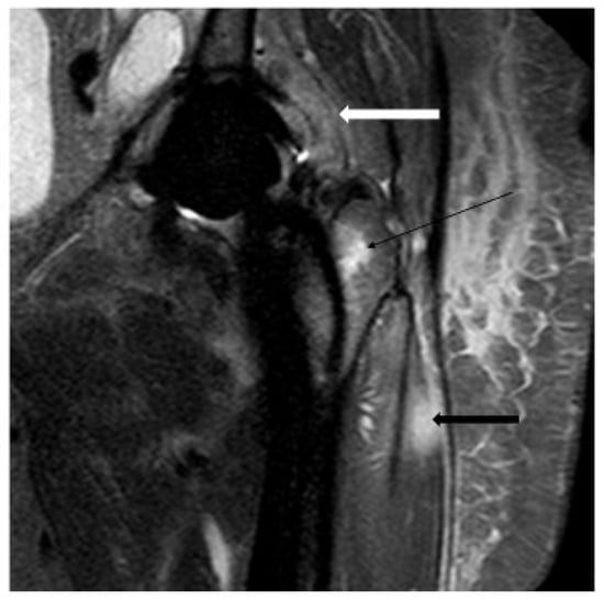
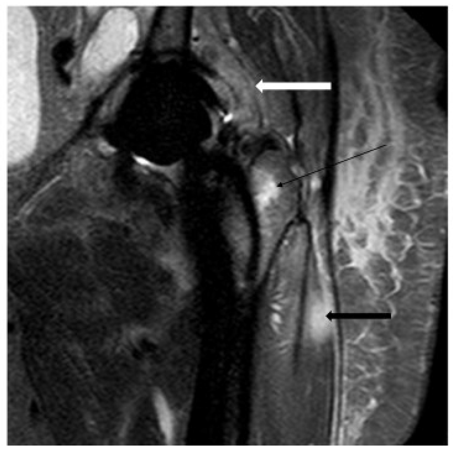
4.4. Magnetic Resonance Imaging
5. Advanced Nuclear Medicine Techniques
5.1. Bone Scintigraphy
5.2. Leukocyte Scintigraphy
5.3. Anti-Granulocyte Scintigraphy
5.4. Combined Leukocyte and Bone Marrow Scintigraphy
5.5. 18F-Fluorodeoxyglucose Positron Emission Tomography (FDG/PET/CT)
| Country | Sample Size/Location of Prosthesis | PJI Definition Criteria | Nuclear Technique | Sensitivity (%) | Specificity (%) | PPV (%) | NPV (%) | Accuracy (%) | References |
|---|---|---|---|---|---|---|---|---|---|
| Multiple (meta-analysis) | 499/H | IO with M and H | BS | 81 | 78 | NA | NA | NA | [83] |
| Multiple (meta-analysis) | 98/K | IO with M and H | BS | 75 | 55 | NA | NA | NA | [83] |
| Multiple (meta-analysis) | 107/K and H | IO with M and H | BS | 89 | 70 | NA | NA | NA | [83] |
| Multiple (meta-analysis) | 763/K | IO with C and H | BS | 93 | 56 | NA | NA | NA | [43] |
| France | 168/Multi-joint/ (124 for BS) | M | BS | 94 | 11 | 65 | 50 | 64 | [85] |
| The Netherlands | 340/K and H | MSIS 2011 | TPBS | 71 | 65 | 8 | 98 | NA | [84] |
| The Netherlands | 142/K and H | MSIS 2011 | LS | 30 | 90 | 25 | 94 | NA | [84] |
| France | 168/Multi-joint (150 for LS) | M | LS | 72 | 60 | 80 | 47 | 67 | [85] |
| Multiple (meta-analysis) | 763/K | IO, C and H | LS | 88 | 77 | NA | NA | NA | [43] |
| Spain | 105/K and H | M | LS | 64 | 97 | 78 | 95 | NA | [96] |
| Turkey | 37/ K and H | C and F | LS | 100% | 59.1% | 62.5% | 100% | NA | [90] |
| Turkey | 37/K and H | C and F | LS + SPECT/CT | 100% | 90.1% | 88.2% | 100% | NA | [90] |
| Austria | 48/Multi-joint | MSIS 2011 | LS | 60 | 97 | 86 | 90 | 90 | [115] |
| Korea | 71/H | H and M | LS | 73.1 | 93.3 | 86.4 | 85.7 | 85.9 | [89] |
| Korea | 93/K | H and M | LS | 85.7 | 80 | 90 | 72.7 | 83.9 | [89] |
| Korea | 71/H | H and M | LS + SPECT | 80.8 | 93.3 | 87.5 | 89.4 | 88.7 | [89] |
| Korea | 93/K | H and M | LS + SPECT | 95.2 | 80 | 90.9 | 88.9 | 90.3 | [89] |
| Korea | 71/H | H and M | LS+ SPECT/CT | 88.5 | 100 | 100 | 93.8 | 88.3 | [89] |
| Korea | 93/K | H and M | LS + SPECT/CT | 95.2 | 83.3 | 92.3 | 89.3 | 91.4 | [89] |
| Germany | 31/Multi-joint | IO, labs, C, H, and F | AGS | 66 | 60 | 40 | 81 | NA | [94] |
| Multiple (meta-analysis) | 755/Multi-joint | B, labs, C, H, and F | AGS | 83 | 79 | NA | NA | NA | [93] |
| Multiple (meta-analysis) | 763/K | IO, C, and H | AGS | 90 | 95 | NA | NA | NA | [43] |
| France | 168/Multi-joint (18 for AGS) | M | AGS | 25 | 90 | 67 | 60 | 61 | [85] |
| Portugal | 27/K and H | H and M | AGS | 100 | 20 | 100 | 25 | NA | [99] |
| Germany | 31/Multi-joint | B, labs, C, H, and F | AGS+ SPECT | 89 | 45 | 40 | 91 | NA | [94] |
| Germany | 31/Multi-joint | B, labs, C, H, and F | AGS+ SPECT/CT | 89 | 73 | 57 | 94 | NA | [94] |
| 56/K and H | IO, H, and M | BMS | 84.6 | 93 | NA | NA | 91.1 | [98] | |
| Spain | 105/K and H | M | LS/BMS | 88 | 100 | 100 | 89 | [96] | |
| USA | 59/H | M | LS/BMS | 35.5 | 95.75 | 71.4 | 84.6 | 83.1 | [100] |
| USA | 29/K | M | LS/BMS | 33.3 | 88.5 | 25 | 92 | 82.8 | [100] |
| Korea | 11/K | IO, H, and M | LS/BMS | 100 | 83 | 83 | 100 | 91 | [97] |
| Multiple (meta-analysis) | 763/K | IO, C, and H | LS/BMS | 80 | 93 | NA | NA | NA | [43] |
| Portugal | 27/K and H | H and M | AGS/BMS | 100 | 100 | 100 | 100 | NA | [99] |
| Denmark | 44/K and H | IO and M | LS/BMS SPECT/CT | 100 | 97 | 93 | 100 | 98 | [101] |
| Multiple (meta-analysis) | 1437/Multi-joint | IO, H, and C | FDG/PET/CT | 85 | 86 | NA | NA | 92 | [109] |
| Denmark | 48/K and H | IO and M | FDG/PET/CT | 100 | 71 | 58 | 100 | 79 | [101] |
| United Kingdom | 130/H | MSIS | FDG/PET | 94.87 | 38.46 | 60.21 | 94.59 | 56.38 | [110] |
| United Kingdom | 55/H | C | FDG/PET | 93.75 | 35.89 | 37.5 | 93.33 | 52.7 | [111] |
| USA | 87/K | H and M | FDG/PET | 94.7 | 88.2 | 69.2 | 98.4 | 89.7 | [100] |
| USA | 134/H | H and M | FDG/PET | 81.8 | 93.1 | 79.4 | 94 | 90.3 | [100] |
| Turkey | 46/K and H | H, M, C, and F | FDG/labelled leucocyte PET/CT | 93.3 | 97.4 | 93.3 | 97.4 | NA | [116] |
| Germany | 32/H | IO and M | FDG/PET | 67 | 83 | 75 | 71 | NA | [117] |
| The Netherlands | 635/K and H | NA | FDG/PET | 82.1 | 86.6 | NA | NA | NA | [104] |
| USA | 113/H | IO, H, and F | FDG/PET | 84.9 | 92.6 | 80 | 95 | NA | [118] |
| Spain | 24/H | Clinical symptoms, labs, radiography, and joint aspiration | FDG/PET | 64.3 | 64.7 | NA | NA | NA | [119] |
| USA | 89/H | NA | FDG/PET | 95.2 | 93 | 80 | 98.5 | NA | [120] |
| Germany | 27/K and H | IO, H, and M | FDG/PET | 40 | 100 | NA | NA | NA | [121] |
| Germany | 63/H | IO and F | FDG/PET | 93.9 | 94.9 | NA | NA | 95 | [122] |
| Germany | 50/H | IO, H, and M | FDG/PET | 91 | 92 | NA | NA | 91 | [123] |
| Switzerland | 35/K | Joint aspiration and F | FDG/PET | R1, 33 R2, 22 | R1, 81 R2, 85 | NA | NA | R1, 69 R2, 69 | [124] |
| Belgium | 17/H | B and F | FDG/PET | 87.5 | 77.8 | NA | NA | 82.4 | [125] |
| Belgium | 21/K | IO and C | FDG/PET | 100 | 73.3 | 60 | NA | NA | [126] |
| USA | 36/K | IO and F | FDG/PET | 90.9 | 72.0 | NA | NA | 77.8 | [105] |
| USA | 38/H | IO and F | FDG/PET | 90 | 89.3 | NA | NA | 89.5 | [105] |
6. Artificial Intelligence-Assisted Imaging for PJI Diagnosis
7. Future Directions
8. Conclusions
Author Contributions
Funding
Data Availability Statement
Acknowledgments
Conflicts of Interest
References
- Ulrich, S.D.; Seyler, T.M.; Bennett, D.; Delanois, R.E.; Saleh, K.J.; Thongtrangan, I.; Kuskowski, M.; Cheng, E.Y.; Sharkey, P.F.; Parvizi, J.; et al. Total hip arthroplasties: What are the reasons for revision? Int. Orthop. 2008, 32, 597–604. [Google Scholar] [CrossRef] [PubMed]
- Mahomed, N.N.; Barrett, J.A.; Katz, J.N.; Phillips, C.B.; Losina, E.; Lew, R.A.; Guadagnoli, E.; Harris, W.H.; Poss, R.; Baron, J.A. Rates and outcomes of primary and revision total hip replacement in the United States medicare population. J. Bone Jt. Surg. Am. 2003, 85, 27–32. [Google Scholar] [CrossRef]
- Frank, R.M.; Cross, M.B.; Della Valle, C.J. Periprosthetic joint infection: Modern aspects of prevention, diagnosis, and treatment. J. Knee Surg. 2015, 28, 105–112. [Google Scholar] [CrossRef] [PubMed]
- Pulido, L.; Parvizi, J.; Macgibeny, M.; Sharkey, P.F.; Purtill, J.J.; Rothman, R.H.; Hozack, W.J. In hospital complications after total joint arthroplasty. J. Arthroplast. 2008, 23, 139–145. [Google Scholar] [CrossRef] [PubMed]
- Mohajer, M.A.; Darouiche, R.O. The expanding horizon of prosthetic joint infections. J. Appl. Biomater. Funct. Mater. 2014, 12, 1–12. [Google Scholar] [CrossRef]
- Kamath, A.F.; Ong, K.L.; Lau, E.; Chan, V.; Vail, T.P.; Rubash, H.E.; Berry, D.J.; Bozic, K.J. Quantifying the Burden of Revision Total Joint Arthroplasty for Periprosthetic Infection. J. Arthroplast. 2015, 30, 1492–1497. [Google Scholar] [CrossRef] [PubMed]
- Premkumar, A.; Kolin, D.A.; Farley, K.X.; Wilson, J.M.; McLawhorn, A.S.; Cross, M.B.; Sculco, P.K. Projected Economic Burden of Periprosthetic Joint Infection of the Hip and Knee in the United States. J. Arthroplast. 2021, 36, 1484–1489.e1483. [Google Scholar] [CrossRef] [PubMed]
- Iannotti, F.; Prati, P.; Fidanza, A.; Iorio, R.; Ferretti, A.; Pèrez Prieto, D.; Kort, N.; Violante, B.; Pipino, G.; Schiavone Panni, A. Prevention of periprosthetic joint infection (PJI): A clinical practice protocol in high-risk patients. Trop. Med. Infect. Dis. 2020, 5, 186. [Google Scholar] [CrossRef]
- Lin, H.; Gao, Z.; Shan, T.; Asilebieke, A.; Guo, R.; Kan, Y.-c.; Li, C.; Xu, Y.; Chu, J.-j. A review on the promising antibacterial agents in bone cement–From past to current insights. J. Orthop. Surg. Res. 2024, 19, 673. [Google Scholar] [CrossRef] [PubMed]
- Karpiński, R.; Szabelski, J.; Maksymiuk, J. Effect of Physiological Fluids Contamination on Selected Mechanical Properties of Acrylate Bone Cement. Materials 2019, 12, 3963. [Google Scholar] [CrossRef] [PubMed]
- Moldovan, F. Role of serum biomarkers in differentiating periprosthetic joint infections from aseptic failures after total hip arthroplasties. J. Clin. Med. 2024, 13, 5716. [Google Scholar] [CrossRef]
- Karpiński, R.; Szabelski, J.; Krakowski, P.; Jonak, J.; Falkowicz, K.; Jojczuk, M.; Nogalski, A.; Przekora, A. Effect of various admixtures on selected mechanical properties of medium viscosity bone cements: Part 1—α/β tricalcium phosphate (TCP). Compos. Struct. 2024, 343, 118306. [Google Scholar] [CrossRef]
- Karpiński, R.; Szabelski, J.; Krakowski, P.; Jonak, J.; Falkowicz, K.; Jojczuk, M.; Nogalski, A.; Przekora, A. Effect of various admixtures on selected mechanical properties of medium viscosity bone cements: Part 2—Hydroxyapatite. Compos. Struct. 2024, 343, 118308. [Google Scholar] [CrossRef]
- Karpiński, R.; Szabelski, J.; Krakowski, P.; Jonak, J.; Falkowicz, K.; Jojczuk, M.; Nogalski, A.; Przekora, A. Effect of various admixtures on selected mechanical properties of medium viscosity bone cements: Part 3—Glassy carbon. Compos. Struct. 2024, 343, 118307. [Google Scholar] [CrossRef]
- Parvizi, J.; Zmistowski, B.; Berbari, E.F.; Bauer, T.W.; Springer, B.D.; Della Valle, C.J.; Garvin, K.L.; Mont, M.A.; Wongworawat, M.D.; Zalavras, C.G. New definition for periprosthetic joint infection: From the Workgroup of the Musculoskeletal Infection Society. Clin. Orthop. Relat. Res. 2011, 469, 2992–2994. [Google Scholar] [CrossRef] [PubMed]
- Osmon, D.R.; Berbari, E.F.; Berendt, A.R.; Lew, D.; Zimmerli, W.; Steckelberg, J.M.; Rao, N.; Hanssen, A.; Wilson, W.R. Diagnosis and management of prosthetic joint infection: Clinical practice guidelines by the Infectious Diseases Society of America. Clin. Infect. Dis. 2013, 56, e1–e25. [Google Scholar] [CrossRef]
- Parvizi, J.; Gehrke, T. Definition of periprosthetic joint infection. J. Arthroplast. 2014, 29, 1331. [Google Scholar] [CrossRef]
- Parvizi, J.; Tan, T.L.; Goswami, K.; Higuera, C.; Della Valle, C.; Chen, A.F.; Shohat, N. The 2018 Definition of Periprosthetic Hip and Knee Infection: An Evidence-Based and Validated Criteria. J. Arthroplast. 2018, 33, 1309–1314.e1302. [Google Scholar] [CrossRef] [PubMed]
- Romanò, C.L.; Khawashki, H.A.; Benzakour, T.; Bozhkova, S.; Del Sel, H.; Hafez, M.; Johari, A.; Lob, G.; Sharma, H.K.; Tsuchiya, H.; et al. The W.A.I.O.T. Definition of High-Grade and Low-Grade Peri-Prosthetic Joint Infection. J. Clin. Med. 2019, 8, 650. [Google Scholar] [CrossRef]
- Shohat, N.; Bauer, T.; Buttaro, M.; Budhiparama, N.; Cashman, J.; Della Valle, C.J.; Drago, L.; Gehrke, T.; Gomes, L.S.M.; Goswami, K. Hip and knee section, what is the definition of a periprosthetic joint infection (PJI) of the knee and the hip? Can the same criteria be used for both joints?: Proceedings of international consensus on orthopedic infections. J. Arthroplast. 2019, 34, S325–S327. [Google Scholar] [CrossRef]
- McNally, M.; Sousa, R.; Wouthuyzen-Bakker, M.; Chen, A.F.; Soriano, A.; Vogely, H.C.; Clauss, M.; Higuera, C.A.; Trebše, R. The EBJIS definition of periprosthetic joint infection. Bone Jt. J. 2021, 103, 18–25. [Google Scholar] [CrossRef] [PubMed]
- Signore, A.; Sconfienza, L.M.; Borens, O.; Glaudemans, A.; Cassar-Pullicino, V.; Trampuz, A.; Winkler, H.; Gheysens, O.; Vanhoenacker, F.; Petrosillo, N.; et al. Consensus document for the diagnosis of prosthetic joint infections: A joint paper by the EANM, EBJIS, and ESR (with ESCMID endorsement). Eur. J. Nucl. Med. Mol. Imaging 2019, 46, 971–988. [Google Scholar] [CrossRef]
- Thejeel, B.; Endo, Y. Imaging of total hip arthroplasty: Part II—Imaging of component dislocation, loosening, infection, and soft tissue injury. Clin. Imaging 2022, 92, 72–82. [Google Scholar] [CrossRef]
- Harmer, J.L.; Pickard, J.; Stinchcombe, S.J. The role of diagnostic imaging in the evaluation of suspected osteomyelitis in the foot: A critical review. Foot 2011, 21, 149–153. [Google Scholar] [CrossRef]
- Nelson, S.B.; Pinkney, J.A.; Chen, A.F.; Tande, A.J. Periprosthetic Joint Infection: Current Clinical Challenges. Clin. Infect. Dis. 2023, 77, e34–e45. [Google Scholar] [CrossRef]
- Dhoundiyal, S.; Srivastava, S.; Kumar, S.; Singh, G.; Ashique, S.; Pal, R.; Mishra, N.; Taghizadeh-Hesary, F. Radiopharmaceuticals: Navigating the frontier of precision medicine and therapeutic innovation. Eur. J. Med. Res. 2024, 29, 26. [Google Scholar] [CrossRef] [PubMed]
- Luppi, V.; Regis, D.; Sandri, A.; Magnan, B. Diagnosis of periprosthetic hip infection: A clinical update. Acta Biomed 2023, 94, e2023095. [Google Scholar] [CrossRef]
- Gomez-Urena, E.O.; Tande, A.J.; Osmon, D.R.; Berbari, E.F. Diagnosis of Prosthetic Joint Infection: Cultures, Biomarker and Criteria. Infect. Dis. Clin. North. Am. 2017, 31, 219–235. [Google Scholar] [CrossRef]
- Tande, A.J.; Patel, R. Prosthetic joint infection. Clin. Microbiol. Rev. 2014, 27, 302–345. [Google Scholar] [CrossRef] [PubMed]
- Tsaras, G.; Osmon, D.R.; Mabry, T.; Lahr, B.; Sauveur, J.S.; Yawn, B.; Kurland, R.; Berbari, E.F. Incidence, secular trends, and outcomes of prosthetic joint infection: A population-based study, Olmsted County, Minnesota, 1969–2007. Infect. Control. Hosp. Epidemiol. 2012, 33, 1207–1212. [Google Scholar] [CrossRef]
- Shohat, N.; Goswami, K.; Tan, T.L.; Henstenburg, B.; Makar, G.; Rondon, A.J.; Parvizi, J. Fever and erythema are specific findings in detecting infection following total knee arthroplasty. J. Bone Jt. Infect. 2019, 4, 92–98. [Google Scholar] [CrossRef] [PubMed]
- Chisari, E.; Parvizi, J. Accuracy of blood-tests and synovial fluid-tests in the diagnosis of periprosthetic joint infections. Expert Rev. Anti-Infect. Ther. 2020, 18, 1135–1142. [Google Scholar] [CrossRef] [PubMed]
- McArthur, B.A.; Abdel, M.P.; Taunton, M.J.; Osmon, D.R.; Hanssen, A.D. Seronegative infections in hip and knee arthroplasty: Periprosthetic infections with normal erythrocyte sedimentation rate and C-reactive protein level. Bone Jt. J. 2015, 97, 939–944. [Google Scholar] [CrossRef]
- Berbari, E.; Mabry, T.; Tsaras, G.; Spangehl, M.; Erwin, P.J.; Murad, M.H.; Steckelberg, J.; Osmon, D. Inflammatory blood laboratory levels as markers of prosthetic joint infection: A systematic review and meta-analysis. JBJS 2010, 92, 2102–2109. [Google Scholar] [CrossRef] [PubMed]
- Carli, A.V.; Abdelbary, H.; Ahmadzai, N.; Cheng, W.; Shea, B.; Hutton, B.; Sniderman, J.; Sanders, B.S.P.; Esmaeilisaraji, L.; Skidmore, B. Diagnostic accuracy of serum, synovial, and tissue testing for chronic periprosthetic joint infection after hip and knee replacements: A systematic review. JBJS 2019, 101, 635–649. [Google Scholar] [CrossRef]
- Su, X.; Zhu, B.; Qin, L.; Yang, J.; Wei, L.; Xu, Z.; Wei, K.; Wang, J.; Chen, L.; Zhao, C. Joint fluid interleukin-6 combined with the neutral polymorphonuclear leukocyte ratio (PMN%) as a diagnostic index for chronic periprosthesis infection after arthroplasty. J. Orthop. Traumatol. 2023, 24, 34. [Google Scholar] [CrossRef] [PubMed]
- Bori, G.; Soriano, A.; García, S.; Gallart, X.; Mallofre, C.; Mensa, J. Neutrophils in frozen section and type of microorganism isolated at the time of resection arthroplasty for the treatment of infection. Arch. Orthop. Trauma Surg. 2009, 129, 591–595. [Google Scholar] [CrossRef] [PubMed]
- Tsaras, G.; Maduka-Ezeh, A.; Inwards, C.Y.; Mabry, T.; Erwin, P.J.; Murad, M.H.; Montori, V.M.; West, C.P.; Osmon, D.R.; Berbari, E.F. Utility of intraoperative frozen section histopathology in the diagnosis of periprosthetic joint infection: A systematic review and meta-analysis. JBJS 2012, 94, 1700–1711. [Google Scholar] [CrossRef]
- Trampuz, A.; Piper, K.E.; Jacobson, M.J.; Hanssen, A.D.; Unni, K.K.; Osmon, D.R.; Mandrekar, J.N.; Cockerill, F.R.; Steckelberg, J.M.; Greenleaf, J.F. Sonication of removed hip and knee prostheses for diagnosis of infection. N. Engl. J. Med. 2007, 357, 654–663. [Google Scholar] [CrossRef]
- Portillo, M.E.; Sancho, I. Advances in the microbiological diagnosis of prosthetic joint infections. Diagnostics 2023, 13, 809. [Google Scholar] [CrossRef] [PubMed]
- Greenwood-Quaintance, K.E.; Uhl, J.R.; Hanssen, A.D.; Sampath, R.; Mandrekar, J.N.; Patel, R. Diagnosis of prosthetic joint infection by use of PCR-electrospray ionization mass spectrometry. J. Clin. Microbiol. 2014, 52, 642–649. [Google Scholar] [CrossRef] [PubMed]
- Parvizi, J.; Jacovides, C.; Zmistowski, B.; Jung, K.A. Definition of periprosthetic joint infection: Is there a consensus? Clin. Orthop. Relat. Res. 2011, 469, 3022–3030. [Google Scholar] [CrossRef] [PubMed]
- Verberne, S.J.; Sonnega, R.J.; Temmerman, O.P.; Raijmakers, P.G. What is the Accuracy of Nuclear Imaging in the Assessment of Periprosthetic Knee Infection? A Meta-analysis. Clin. Orthop. Relat. Res. 2017, 475, 1395–1410. [Google Scholar] [CrossRef] [PubMed]
- Love, C.; Palestro, C.J. Nuclear medicine imaging of bone infections. Clin. Radiol. 2016, 71, 632–646. [Google Scholar] [CrossRef] [PubMed]
- Prandini, N.; Lazzeri, E.; Rossi, B.; Erba, P.; Parisella, M.G.; Signore, A. Nuclear medicine imaging of bone infections. Nucl. Med. Commun. 2006, 27, 633–644. [Google Scholar] [CrossRef] [PubMed]
- Hochman, M.G.; Melenevsky, Y.V.; Metter, D.F.; Roberts, C.C.; Bencardino, J.T.; Cassidy, R.C.; Fox, M.G.; Kransdorf, M.J.; Mintz, D.N.; Shah, N.A. ACR Appropriateness Criteria® imaging after total knee arthroplasty. J. Am. Coll. Radiol. 2017, 14, S421–S448. [Google Scholar] [CrossRef]
- Hofmann, U.K.; Eleftherakis, G.; Migliorini, F.; Fink, B.; Mederake, M. Diagnostic and prognostic relevance of plain radiographs for periprosthetic joint infections of the hip: A literature review. Eur. J. Med. Res. 2024, 29, 314. [Google Scholar] [CrossRef]
- Li, N.; Kagan, R.; Hanrahan, C.J.; Hansford, B.G. Radiographic evidence of soft-tissue gas 14 days after total knee arthroplasty is predictive of early prosthetic joint infection. Am. J. Roentgenol. 2020, 214, 171–176. [Google Scholar] [CrossRef] [PubMed]
- Weissman, B.N.; Palestro, C.J.; Fox, M.G.; Bell, A.M.; Blankenbaker, D.G.; Frick, M.A.; Jawetz, S.T.; Kuo, P.H.; Said, N.; Stensby, J.D.; et al. ACR Appropriateness Criteria® Imaging After Total Hip Arthroplasty. J. Am. Coll. Radiol. 2023, 20, S413–s432. [Google Scholar] [CrossRef] [PubMed]
- Lima, A.L.L.; Oliveira, P.R.; Carvalho, V.C.; Saconi, E.S.; Cabrita, H.B.; Rodrigues, M.B. Periprosthetic joint infections. Interdiscip. Perspect. Infect. Dis. 2013, 2013, 542796. [Google Scholar] [CrossRef] [PubMed]
- Bureau, N.J.; Ali, S.S.; Chhem, R.K.; Cardinal, E. Ultrasound of musculoskeletal infections. In Seminars in Musculoskeletal Radiology; Thieme Medical Publishers: New York, NY, USA, 1998; pp. 299–306. [Google Scholar]
- Soliman, S.B.; Davis, J.J.; Muh, S.J.; Vohra, S.T.; Patel, A.; van Holsbeeck, M.T. Ultrasound evaluations and guided procedures of the painful joint arthroplasty. Skelet. Radiol. 2022, 51, 2105–2120. [Google Scholar] [CrossRef]
- Craig, J.G. Ultrasound of the postoperative hip. In Seminars in Musculoskeletal Radiology; Thieme Medical Publishers: New York, NY, USA, 2013; pp. 49–55. [Google Scholar]
- Nyamankolly, E.; Leitao, J.; Lescure, M.; Shipley, E.; Mazé, J.; Desclaux, A.; Dutronc, H.; Neau, D.; Dauchy, F.-A. Ultrasonography performed by an infectiologist in hip and knee prosthetic joint and native joint infections. Infect. Dis. Now. 2023, 53, 104689. [Google Scholar] [CrossRef]
- Wei, W.; Huang, X.; Huang, L.; Xie, L.; Li, W.; Gong, Y.; Chen, S. Application of Ultrasound in Diagnosis of Prosthesis Loosening and Infection After Total Hip Arthroplasty. Res. Sq. 2021; preprint. [Google Scholar]
- Abbas, H.M.; Maged, A.M.; Elshewi, E. Role of Ultrasonography in Prosthetic Joint Infection Diagnosis and Assessment. Med. J. Cairo Univ. 2022, 90, 1633–1642. [Google Scholar] [CrossRef]
- Battaglia, M.; Vannini, F.; Guaraldi, F.; Rossi, G.; Biondi, F.; Sudanese, A. Validity of preoperative ultrasound-guided aspiration in the revision of hip prosthesis. Ultrasound Med. Biol. 2011, 37, 1977–1983. [Google Scholar] [CrossRef]
- Eisler, T.; Svensson, O.; Engström, C.-F.; Reinholt, F.; Lundberg, C.; Wejkner, B.; Schmalholz, A.; Elmstedt, E. Ultrasound for diagnosis of infection in revision total hip arthroplasty. J. Arthroplast. 2001, 16, 1010–1017. [Google Scholar] [CrossRef]
- Bengtzen, R.R.; Lee, J. Point-of-Care ultrasound and the septic prosthetic hip joint. J. Emerg. Med. 2019, 57, 701–704. [Google Scholar] [CrossRef] [PubMed]
- Math, K.R.; Berkowitz, J.L.; Paget, S.A.; Endo, Y. Imaging of Musculoskeletal Infection. Rheum. Dis. Clin. N. Am. 2016, 42, 769–784. [Google Scholar] [CrossRef] [PubMed]
- Miller, T.T. Imaging of hip arthroplasty. Eur. J. Radiol. 2012, 81, 3802–3812. [Google Scholar] [CrossRef]
- Sodhi, N.; Jacofsky, D.J.; Chee, A.; Mont, M.A. Benefits of CT Scanning for the Management of Knee Arthritis and Arthroplasty. J. Knee Surg. 2021, 34, 1296–1303. [Google Scholar] [CrossRef] [PubMed]
- Jacquier, A.; Champsaur, P.; Vidal, V.; Stein, A.; Monnet, O.; Drancourt, M.; Argenson, J.N.; Raoult, D.; Moulin, G.; Bartoli, J.M. [CT evaluation of total HIP prosthesis infection]. J. Radiol. 2004, 85, 2005–2012. [Google Scholar] [CrossRef] [PubMed]
- Cyteval, C.; Hamm, V.; Sarrabère, M.P.; Lopez, F.M.; Maury, P.; Taourel, P. Painful infection at the site of hip prosthesis: CT imaging. Radiology 2002, 224, 477–483. [Google Scholar] [CrossRef]
- Różyło-Kalinowska, I. Computed Tomography (CT). Imaging Temporomandibular Jt. 2019, 115–123. [Google Scholar] [CrossRef]
- Schmidt, C.W. CT scans: Balancing health risks and medical benefits. Environ. Health Perspect. 2012, 120, 119–121. [Google Scholar] [CrossRef]
- Isern-Kebschull, J.; Tomas, X.; García-Díez, A.I.; Morata, L.; Ríos, J.; Soriano, A. Accuracy of computed tomography–guided joint aspiration and computed tomography findings for prediction of infected hip prosthesis. J. Arthroplast. 2019, 34, 1776–1782. [Google Scholar] [CrossRef] [PubMed]
- Romanò, C.L.; Petrosillo, N.; Argento, G.; Sconfienza, L.M.; Treglia, G.; Alavi, A.; Glaudemans, A.W.; Gheysens, O.; Maes, A.; Lauri, C. The role of imaging techniques to define a peri-prosthetic hip and knee joint infection: Multidisciplinary consensus statements. J. Clin. Med. 2020, 9, 2548. [Google Scholar] [CrossRef] [PubMed]
- Galley, J.; Sutter, R.; Stern, C.; Filli, L.; Rahm, S.; Pfirrmann, C.W. Diagnosis of periprosthetic hip joint infection using MRI with metal artifact reduction at 1.5 T. Radiology 2020, 296, 98–108. [Google Scholar] [CrossRef] [PubMed]
- Schwaiger, B.J.; Gassert, F.T.; Suren, C.; Gersing, A.S.; Haller, B.; Pfeiffer, D.; Dangelmaier-Dawirs, J.; Roski, F.; von Eisenhart-Rothe, R.; Prodinger, P.M. Diagnostic accuracy of MRI with metal artifact reduction for the detection of periprosthetic joint infection and aseptic loosening of total hip arthroplasty. Eur. J. Radiol. 2020, 131, 109253. [Google Scholar] [CrossRef]
- Inaoka, T.; Kitamura, N.; Sugeta, M.; Nakatsuka, T.; Ishikawa, R.; Kasuya, S.; Sugiura, Y.; Nakajima, A.; Nakagawa, K.; Terada, H. Diagnostic value of advanced metal artifact reduction magnetic resonance imaging for periprosthetic joint infection. J. Comput. Assist. Tomogr. 2022, 46, 455–463. [Google Scholar] [CrossRef]
- Belmatoug, N.; Crémieux, A.-C.; Bleton, R.; Volk, A.; Saleh-Mghir, A.; Grossin, M.; Garry, L.; Carbon, C. A new model of experimental prosthetic joint infection due to methicillin-resistant Staphylococcus aureus: A microbiologic, histopathologic, and magnetic resonance imaging characterization. J. Infect. Dis. 1996, 174, 414–417. [Google Scholar] [CrossRef]
- Jiang, M.-h.; He, C.; Feng, J.-m.; Li, Z.-h.; Chen, Z.; Yan, F.-h.; Lu, Y. Magnetic resonance imaging parameter optimizations for diagnosis of periprosthetic infection and tumor recurrence in artificial joint replacement patients. Sci. Rep. 2016, 6, 36995. [Google Scholar] [CrossRef] [PubMed]
- Plodkowski, A.J.; Hayter, C.L.; Miller, T.T.; Nguyen, J.T.; Potter, H.G. Lamellated hyperintense synovitis: Potential MR imaging sign of an infected knee arthroplasty. Radiology 2013, 266, 256–260. [Google Scholar] [CrossRef]
- Gao, Z.; Jin, Y.; Chen, X.; Dai, Z.; Qiang, S.; Guan, S.; Li, Q.; Huang, J.; Zheng, J. Diagnostic value of MRI lamellated hyperintense synovitis in periprosthetic infection of hip. Orthop. Surg. 2020, 12, 1941–1946. [Google Scholar] [CrossRef] [PubMed]
- Kurd, M.F.; Alijanipour, P.; Schroeder, G.D.; Millhouse, P.W.; Vaccaro, A. Magnetic resonance imaging following spine trauma. JBJS Rev. 2015, 3, e6. [Google Scholar] [CrossRef]
- Edvardsen, T.; Rosen, B.D. Why do we need magnetic resonance imaging in cardiology? Scand. Cardiovasc. J. 2005, 39, 260–263. [Google Scholar] [CrossRef]
- Hu, X.; Norris, D.G. Advances in High-Field Magnetic Resonance Imaging. Annu. Rev. Biomed. Eng. 2004, 6, 157–184. [Google Scholar] [CrossRef]
- He, C.; Lu, Y.; Jiang, M.; Feng, J.; Wang, Y.; Liu, Z. Clinical value of optimized magnetic resonance imaging for evaluation of patients with painful hip arthroplasty. Chin. Med. J. 2014, 127, 3876–3880. [Google Scholar] [CrossRef]
- Busch, A.; Jäger, M.; Beck, S.; Wegner, A.; Portegys, E.; Wassenaar, D.; Theysohn, J.; Haubold, J. Metal Artefact Reduction Sequences (MARS) in Magnetic Resonance Imaging (MRI) after Total Hip Arthroplasty (THA). BMC Musculoskelet. Disord. 2022, 23, 620. [Google Scholar] [CrossRef] [PubMed]
- Van den Wyngaert, T.; Strobel, K.; Kampen, W.U.; Kuwert, T.; van der Bruggen, W.; Mohan, H.; Gnanasegaran, G.; Delgado-Bolton, R.; Weber, W.; Beheshti, M. The EANM practice guidelines for bone scintigraphy. Eur. J. Nucl. Med. Mol. Imaging 2016, 43, 1723–1738. [Google Scholar] [CrossRef] [PubMed]
- Park, S.G.; Hyun, J.K.; Lee, S.J.; Jeon, J.Y. Quantitative evaluation of very acute stage of complex regional pain syndrome after stroke using three-phase bone scintigraphy. Nucl. Med. Commun. 2007, 28, 766–770. [Google Scholar] [CrossRef] [PubMed]
- Ouyang, Z.; Li, H.; Liu, X.; Zhai, Z.; Li, X. Prosthesis infection: Diagnosis after total joint arthroplasty with three-phase bone scintigraphy. Ann. Nucl. Med. 2014, 28, 994–1003. [Google Scholar] [CrossRef] [PubMed]
- Ottink, K.D.; Gelderman, S.J.; Wouthuyzen-Bakker, M.; Ploegmakers, J.J.; Glaudemans, A.W.; Jutte, P.C. Nuclear imaging does not have clear added value in patients with low a priori chance of periprosthetic joint infection. A retrospective single-center experience. J. Bone Jt. Infect. 2022, 7, 1–9. [Google Scholar] [CrossRef]
- Blanc, P.; Bonnet, E.; Giordano, G.; Monteil, J.; Salabert, A.-S.; Payoux, P. The use of labelled leucocyte scintigraphy to evaluate chronic periprosthetic joint infections: A retrospective multicentre study on 168 patients. Eur. J. Clin. Microbiol. Infect. Dis. 2019, 38, 1625–1631. [Google Scholar] [CrossRef]
- Sconfienza, L.M.; Signore, A.; Cassar-Pullicino, V.; Cataldo, M.A.; Gheysens, O.; Borens, O.; Trampuz, A.; Wörtler, K.; Petrosillo, N.; Winkler, H. Diagnosis of peripheral bone and prosthetic joint infections: Overview on the consensus documents by the EANM, EBJIS, and ESR (with ESCMID endorsement). Eur. Radiol. 2019, 29, 6425–6438. [Google Scholar] [CrossRef]
- Palestro, C.J. Nuclear medicine and the failed joint replacement: Past, present, and future. World J. Radiol. 2014, 6, 446–458. [Google Scholar] [CrossRef] [PubMed]
- Seabold, J.E.; Forstrom, L.A.; Schauwecker, D.S.; Brown, M.L.; Datz, F.L.; McAfee, J.G.; Palestro, C.J.; Greenspan, B.S.; Royal, H.D. Procedure guideline for indium-111-leukocyte scintigraphy for suspected infection/inflammation. J. Nucl. Med. 1997, 38, 997–1001. [Google Scholar]
- Kim, H.O.; Na, S.J.; Oh, S.J.; Jung, B.S.; Lee, S.-H.; Chang, J.S.; Bin, S.-I.; Ryu, J.-S. Usefulness of adding SPECT/CT to 99mTc-hexamethylpropylene amine oxime (HMPAO)-labeled leukocyte imaging for diagnosing prosthetic joint infections. J. Comput. Assist. Tomogr. 2014, 38, 313–319. [Google Scholar] [CrossRef] [PubMed]
- Sengoz, T.; Yaylali, O.; Yuksel, D.; Demirkan, F.; Uluyol, O. The clinical contribution of SPECT/CT with 99mTc-HMPAO-labeled leukocyte scintigraphy in hip and knee prosthetic infections. Rev. Española Med. Nucl. Imagen Mol. (Engl. Ed.) 2019, 38, 212–217. [Google Scholar] [CrossRef]
- Demirkol, M.; Adalet, I.; Ünal, S.; Tözün, R.; Cantez, S. 99Tcm-polyclonal IgG scintigraphy in the detection of infected hip and knee prostheses. Nucl. Med. Commun. 1997, 18, 543–548. [Google Scholar] [CrossRef] [PubMed]
- Signore, A.; Jamar, F.; Israel, O.; Buscombe, J.; Martín-Comín, J.; Lazzeri, E. Clinical indications, image acquisition and data interpretation for white blood cells and anti-granulocyte monoclonal antibody scintigraphy: An EANM procedural guideline. Eur. J. Nucl. Med. Mol. Imaging 2018, 45, 1816–1831. [Google Scholar] [CrossRef] [PubMed]
- Xing, D.; Ma, X.; Ma, J.; Wang, J.; Chen, Y.; Yang, Y. Use of anti-granulocyte scintigraphy with 99mTc-labeled monoclonal antibodies for the diagnosis of periprosthetic infection in patients after total joint arthroplasty: A diagnostic meta-analysis. PLoS ONE 2013, 8, e69857. [Google Scholar] [CrossRef][Green Version]
- Graute, V.; Feist, M.; Lehner, S.; Haug, A.; Müller, P.E.; Bartenstein, P.; Hacker, M. Detection of low-grade prosthetic joint infections using 99m Tc-antigranulocyte SPECT/CT: Initial clinical results. Eur. J. Nucl. Med. Mol. Imaging 2010, 37, 1751–1759. [Google Scholar] [CrossRef]
- Palestro, C.J.; Love, C.; Tronco, G.G.; Tomas, M.B.; Rini, J.N. Combined labeled leukocyte and technetium 99m sulfur colloid bone marrow imaging for diagnosing musculoskeletal infection. Radiographics 2006, 26, 859–870. [Google Scholar] [CrossRef] [PubMed]
- Figa, R.; Veloso, M.; Bernaus, M.; Ysamat, M.; González, J.; Gómez, L.; Cuchi, E.; Font-Vizcarra, L. Should scintigraphy be completely excluded from the diagnosis of periprosthetic joint infection? Clin. Radiol. 2020, 75, 797.e1–797.e7. [Google Scholar] [CrossRef] [PubMed]
- Jung, K.P.; Park, J.S.; Lee, A.Y.; Choi, S.J.; Lee, S.M.; Bae, S.K. The clinical usefulness of 99m Tc HMPAO Leukocyte/99m Tc phytate bone marrow scintigraphy for diagnosis of prosthetic knee infection: A preliminary study. Nucl. Med. Mol. Imaging 2012, 46, 247–253. [Google Scholar] [CrossRef]
- Lauri, C.; Lauretti, G.; Galli, F.; Campagna, G.; Tetti, S.; Riolo, D.; Signore, A. Handling of doubtful WBC scintigraphies in patients with suspected prosthetic joint infections. J. Clin. Med. 2020, 9, 4031. [Google Scholar] [CrossRef] [PubMed]
- Sousa, R.; Massada, M.; Pereira, A.; Fontes, F.; Amorim, I.; Oliveira, A. Diagnostic accuracy of combined 99mTc-sulesomab and 99mTc-nanocolloid bone marrow imaging in detecting prosthetic joint infection. Nucl. Med. Commun. 2011, 32, 834–839. [Google Scholar] [CrossRef] [PubMed]
- Basu, S.; Kwee, T.C.; Saboury, B.; Garino, J.P.; Nelson, C.L.; Zhuang, H.; Parsons, M.; Chen, W.; Kumar, R.; Salavati, A. FDG PET for Diagnosing Infection in Hip and Knee Prostheses: Prospective Study in 221 Prostheses and Subgroup Comparison with Combined: 111: In-Labeled Leukocyte: 99m: Tc-Sulfur Colloid Bone Marrow Imaging in 88 Prostheses. Clin. Nucl. Med. 2014, 39, 609–615. [Google Scholar] [CrossRef]
- Aleksyniene, R.; Iyer, V.; Bertelsen, H.C.; Nilsson, M.F.; Khalid, V.; Schønheyder, H.C.; Larsen, L.H.; Nielsen, P.T.; Kappel, A.; Thomsen, T.R. The role of nuclear medicine imaging with 18F-FDG PET/CT, combined 111In-WBC/99mTc-Nanocoll, and 99mTc-HDP SPECT/CT in the evaluation of patients with chronic problems after TKA or THA in a prospective study. Diagnostics 2022, 12, 681. [Google Scholar] [CrossRef]
- Vlassenko, A.G.; Mintun, M.A. Fluorodeoxyglucose (FDG) positron emission tomography (PET). In Neural Metabolism In Vivo; Springer: Boston, MA, USA, 2012; pp. 271–304. [Google Scholar]
- Tagliabue, L.; Del Sole, A. Appropriate use of positron emission tomography with [18F] fluorodeoxyglucose for staging of oncology patients. Eur. J. Intern. Med. 2014, 25, 6–11. [Google Scholar] [CrossRef] [PubMed]
- Kwee, T.C.; Kwee, R.M.; Alavi, A. FDG-PET for diagnosing prosthetic joint infection: Systematic review and metaanalysis. Eur. J. Nucl. Med. Mol. Imaging 2008, 35, 2122–2132. [Google Scholar] [CrossRef] [PubMed]
- Zhuang, H.; Duarte, P.S.; Pourdehnad, M.; Maes, A.; Van Acker, F.; Shnier, D.; Garino, J.P.; Fitzgerald, R.H.; Alavi, A. The promising role of 18F-FDG PET in detecting infected lower limb prosthesis implants. J. Nucl. Med. 2001, 42, 44–48. [Google Scholar]
- Schiesser, M.; Stumpe, K.D.; Trentz, O.; Kossmann, T.; Von Schulthess, G.K. Detection of metallic implant–associated infections with FDG PET in patients with trauma: Correlation with microbiologic results. Radiology 2003, 226, 391–398. [Google Scholar] [CrossRef]
- Manthey, N.; Reinhard, P.; Moog, F.; Knesewitsch, P.; Hahn, K.; Tatsch, K. The use of [18F] fluorodeoxyglucose positron emission tomography to differentiate between synovitis, loosening and infection of hip and knee prostheses. Nucl. Med. Commun. 2002, 23, 645–653. [Google Scholar] [CrossRef] [PubMed]
- Kapoor, V.; McCook, B.M.; Torok, F.S. An introduction to PET-CT imaging. Radiographics 2004, 24, 523–543. [Google Scholar] [CrossRef] [PubMed]
- Hu, M.; Chen, G.; Luo, L.; Shang, L. A systematic review and meta-analysis on the accuracy of fluorodeoxyglucose positron emission tomography/computerized tomography for diagnosing periprosthetic joint infections. Front. Surg. 2022, 9, 698781. [Google Scholar] [CrossRef]
- Kiran, M.; Donnelly, T.D.; Armstrong, C.; Kapoor, B.; Kumar, G.; Peter, V. Diagnostic utility of fluorodeoxyglucose positron emission tomography in prosthetic joint infection based on MSIS criteria. Bone Jt. J. 2019, 101, 910–914. [Google Scholar] [CrossRef]
- Kiran, M.; Donnelly, T.; Kapoor, B.; Kumar, G.; Peter, V. Fluorodeoxyglucose positron emission tomography scan has a high false positive rate in suspected prosthetic joint infection. Orthop. Proc. 2018, 100, 32. [Google Scholar]
- Kwee, R.M.; Kwee, T.C. 18F-FDG PET for diagnosing infections in prosthetic joints. PET Clin. 2020, 15, 197–205. [Google Scholar] [CrossRef]
- Martin, W.H.; Delbeke, D.; Patton, J.A.; Hendrix, B.; Weinfeld, Z.; Ohana, I.; Kessler, R.M.; Sandler, M.P. FDG-SPECT: Correlation with FDG-PET. J. Nucl. Med. 1995, 36, 988–995. [Google Scholar]
- Hoh, C.K.; Glaspy, J.; Rosen, P.; Dahlbom, M.; Lee, S.J.; Kunkel, L.; Hawkin, R.A.; Maddahi, J.; Phelps, M.E. Whole-body FDG-PET imaging for staging of Hodgkin’s disease and lymphoma. J. Nucl. Med. 1997, 38, 343–348. [Google Scholar] [PubMed]
- Brammen, L.; Palestro, C.J.; Holinka, J.; Windhager, R.; Sinzinger, H. A retrospective analysis of the accuracy of radioactively labeled autologous leukocytes in patients with infected prosthetic joints. Nucl. Med. Rev. 2017, 20, 81–87. [Google Scholar] [CrossRef]
- Aksoy, S.Y.; Asa, S.; Ozhan, M.; Ocak, M.; Sager, M.S.; Erkan, M.E.; Halac, M.; Kabasakal, L.; Sönmezoglu, K.; Kanmaz, B. FDG and FDG-labelled leucocyte PET/CT in the imaging of prosthetic joint infection. Eur. J. Nucl. Med. Mol. Imaging 2014, 41, 556–564. [Google Scholar] [CrossRef]
- Mayer-Wagner, S.; Mayer, W.; Maegerlein, S.; Linke, R.; Jansson, V.; Müller, P.E. Use of 18F-FDG-PET in the diagnosis of endoprosthetic loosening of knee and hip implants. Arch. Orthop. Trauma. Surg. 2010, 130, 1231–1238. [Google Scholar] [CrossRef] [PubMed]
- Chryssikos, T.; Parvizi, J.; Ghanem, E.; Newberg, A.; Zhuang, H.; Alavi, A. FDG-PET imaging can diagnose periprosthetic infection of the hip. Clin. Orthop. Relat. Res. 2008, 466, 1338–1342. [Google Scholar] [CrossRef]
- García-Barrecheguren, E.; Rodríguez Fraile, M.; Toledo Santana, G.; Valentí Nín, J.R.; Richter Echevarría, J.A. FDG-PET: A new diagnostic approach in hip prosthetic replacement. Rev. Esp. Med. Nucl. 2007, 26, 208–220. [Google Scholar] [CrossRef] [PubMed]
- Pill, S.G.; Parvizi, J.; Tang, P.H.; Garino, J.P.; Nelson, C.; Zhuang, H.; Alavi, A. Comparison of fluorodeoxyglucose positron emission tomography and (111)indium-white blood cell imaging in the diagnosis of periprosthetic infection of the hip. J. Arthroplast. 2006, 21, 91–97. [Google Scholar] [CrossRef] [PubMed]
- Delank, K.S.; Schmidt, M.; Michael, J.W.; Dietlein, M.; Schicha, H.; Eysel, P. The implications of 18F-FDG PET for the diagnosis of endoprosthetic loosening and infection in hip and knee arthroplasty: Results from a prospective, blinded study. BMC Musculoskelet. Disord. 2006, 7, 20. [Google Scholar] [CrossRef] [PubMed]
- Reinartz, P.; Mumme, T.; Hermanns, B.; Cremerius, U.; Wirtz, D.C.; Schaefer, W.M.; Niethard, F.; Buell, U. Radionuclide imaging of the painful hip arthroplasty: Positron-emission tomography versus triple-phase bone scanning. J. Bone Jt. Surg. Br. 2005, 87, 465–470. [Google Scholar] [CrossRef]
- Mumme, T.; Reinartz, P.; Alfer, J.; Müller-Rath, R.; Buell, U.; Wirtz, D.C. Diagnostic values of positron emission tomography versus triple-phase bone scan in hip arthroplasty loosening. Arch. Orthop. Trauma. Surg. 2005, 125, 322–329. [Google Scholar] [CrossRef]
- Stumpe, K.D.; Nötzli, H.P.; Zanetti, M.; Kamel, E.M.; Hany, T.F.; Görres, G.W.; von Schulthess, G.K.; Hodler, J. FDG PET for differentiation of infection and aseptic loosening in total hip replacements: Comparison with conventional radiography and three-phase bone scintigraphy. Radiology 2004, 231, 333–341. [Google Scholar] [CrossRef] [PubMed]
- Vanquickenborne, B.; Maes, A.; Nuyts, J.; Van Acker, F.; Stuyck, J.; Mulier, M.; Verbruggen, A.; Mortelmans, L. The value of 18 FDG-PET for the detection of infected hip prosthesis. Eur. J. Nucl. Med. Mol. Imaging 2003, 30, 705–715. [Google Scholar] [CrossRef] [PubMed]
- Van Acker, F.; Nuyts, J.; Maes, A.; Vanquickenborne, B.; Stuyck, J.; Bellemans, J.; Vleugels, S.; Bormans, G.; Mortelmans, L. FDG-PET, 99mtc-HMPAO white blood cell SPET and bone scintigraphy in the evaluation of painful total knee arthroplasties. Eur. J. Nucl. Med. 2001, 28, 1496–1504. [Google Scholar] [CrossRef] [PubMed]
- Hassan, A.M.; Biaggi-Ondina, A.; Asaad, M.; Morris, N.; Liu, J.; Selber, J.C.; Butler, C.E. Artificial intelligence modeling to predict periprosthetic infection and explantation following implant-based reconstruction. Plast. Reconstr. Surg. 2023, 152, 929–938. [Google Scholar] [CrossRef] [PubMed]
- Bonnin, M.; Müller-Fouarge, F.; Estienne, T.; Bekadar, S.; Pouchy, C.; Selmi, T.A.S. Artificial intelligence radiographic analysis tool for total knee arthroplasty. J. Arthroplast. 2023, 38, S199–S207.e2. [Google Scholar] [CrossRef]
- Albano, D.; Gitto, S.; Messina, C.; Serpi, F.; Salvatore, C.; Castiglioni, I.; Zagra, L.; De Vecchi, E.; Sconfienza, L.M. MRI-based artificial intelligence to predict infection following total hip arthroplasty failure. La. Radiol. Medica 2023, 128, 340–346. [Google Scholar] [CrossRef] [PubMed]
- Klemt, C.; Yeo, I.; Harvey, M.; Burns, J.C.; Melnic, C.; Uzosike, A.C.; Kwon, Y.-M. The use of artificial intelligence for the prediction of periprosthetic joint infection following aseptic revision total knee arthroplasty. J. Knee Surg. 2024, 37, 158–166. [Google Scholar] [CrossRef] [PubMed]
- Schwenck, J.; Kneilling, M.; Riksen, N.P.; la Fougère, C.; Mulder, D.J.; Slart, R.J.; Aarntzen, E.H. A role for artificial intelligence in molecular imaging of infection and inflammation. Eur. J. Hybrid Imaging 2022, 6, 17. [Google Scholar] [CrossRef] [PubMed]
- Wouthuyzen-Bakker, M.; Shohat, N.; Parvizi, J.; Soriano, A. Risk scores and machine learning to identify patients with acute periprosthetic joints infections that will likely fail classical irrigation and debridement. Front. Med. 2021, 8, 550095. [Google Scholar] [CrossRef] [PubMed]







| Definition Source | Criteria | Scoring System |
|---|---|---|
| MSIS 2011 [15] | Major: 1. Presence of sinus tract communicating prosthesis 2. Two or more positive cultures for the same pathogen from separate tissue or fluid samples Minor: 1. Increased ESR (>30 mm/h) and CRP level (>10 mg/L) 2. Increased synovial WBC count 3. Increased synovial PMN% 4. One positive culture of periprosthetic tissue or fluid 5. >5 PMN in five high-powered fields at ×400 magnification | ≥1 major criteria OR ≥4 of 6 minor criteria |
| IDSA 2013 [16] | 1. Presence of sinus tract communicating prosthesis 2. Presence of pus around the prosthesis with no other identified cause 3. Acute inflammation observed on histopathological examination of the periprosthetic tissue 4. At least two positive intraoperative cultures OR the same pathogen in preoperative aspiration culture and intraoperative culture OR one positive culture of a highly virulent microorganism | ≥1 positive criteria |
| ICM 2013 [17] | Major: Same as the major criteria of MSIS 2011 Minor: 1. Increased ESR (>30 mm/h) and CRP level (acute infection: >100 mg/L; chronic infection: >10 mg/L) 2. Increased synovial fluid WBC count (acute infection: >10,000 cells/mL; chronic infection: >3000 cells/mL) OR ++ result in leukocyte esterase test strip 3. Increased PMN% (acute infection: >90%; chronic infection: >80%) 4. >5 PMN in five high-powered fields at ×400 magnification 5. One positive culture | ≥1 major criteria OR ≥3 of 5 minor criteria |
| ICM 2018 [20] | Major: Same as the major criteria of MSIS 2011 Minor: (a) Increased CRP level (acute infection: >100 mg/L; chronic infection: >10 mg/L) OR D-dimer level (chronic infection: >860 ug/L; unknown cut-off for acute infection): score 2 (b) Increased ESR (chronic infection: >30 mm/h; no role in acute infection): score 1 (c) Increased synovial WBC count (acute infection: >10,000 cells/mL; chronic infection: >3000 cells/mL) OR ++ result in leukocyte esterase test OR positive α-defensin test: score 3 (d) Increased synovial PMN% (acute infection: >90%; chronic infection: >70%): score 2 (e) One positive culture: score 2 (f) Positive histology: score 3 (g) Positive intraoperative pus presence: score 3 | ≥1 major criteria: infected OR minor scoring criteria: ≥6 infected 3–5 inconclusive <3 not infected |
| MSIS 2018 [18] | Major: Same as the major criteria of MSIS 2011 Minor preoperative: (a) Increased CRP OR D-Dimer level in serum: score 2 (b) Increased ESR in serum: score 1 (c) Increased synovial WBC count OR leukocyte esterase: score 3 (d) Positive α-defensin test in synovial fluid: score 3 (e) Increased synovial PMN%: score 2 (f) Increased synovial CRP level: score 1 Minor intraoperative: (a) Positive histology: score 3 (b) Positive purulence: score 3 (c) One positive culture: score 3 | ≥1 major criteria: infected OR Minor preoperative scoring criteria: ≥6 infected 2–5 possibly infected <2 not infected OR Minor intraoperative scoring criteria: ≥6 infected 4–5 inconclusive ≤3 not infected |
| WAIOT [19] | Rule OUT tests: each negative test score is −1, and positive test scores are 0 (a) ESR > 30 mm/h (b) CRP > 10 mg/L (c) WBC > 1500/µL (d) leukocyte esterase ++ (e) α-defensin > 5.2 mg/L (f) Tc99 bone scan Rule IN tests: each positive test score is +1, and negative test scores are 0 (a) Presence of pus or draining sinus or exposed joint prosthesis (b) Serum IL-6 > 10 pg/mL (c) Serum Procalcitonin > 0.5 ng/mL (d) Serum D-Dimer >850 ng/mL (e) Synovial fluid cultural examination (f) Synovial fluid WBC count > 3000/mL (g) Leukocyte esterase ++ (h) Synovial fluid α-defensin > 5.2 mg/L (i) Combined leukocyte and bone marrow scintigraphy (j) Frozen section 5 PMN in at least 3 high-powered fields | <0 score/one or more condition(s), other than infection, can cause the symptoms/negative cultural examination: no infection <0 score/one or more condition(s), other than infection, can cause the symptoms/one positive culture with negative histology: contamination <0 score/“unexplained” pain OR swelling OR stiffness/positive cultural examination OR positive histology: biofilm-related implant malfunction ≥0 score/pain OR swelling OR stiffness/positive cultural examination OR positive histology: low-grade PJI ≥1 score/two or more of pain, swelling, redness, warmth, functio laesa/positive cultural examination OR positive histology: high-grade PJI |
| EBJIS [21] | Infection likely criteria: 1. Radiological evidence of implant loosening occurring in the first 5 years 2. History of complications with wound healing 3. Recent history of fever or bacteremia 4. Presence of pus surrounding the prosthesis 5. Serum CRP > 10 mg/L 6. Synovial fluid WBC count > 1500 7. Synovial fluid PMN% > 65% 8. Positive culture of aspiration fluid 9. Intraoperative specimen single positive culture 10. >1 CFU/mL of any organism in sonication 11. ≥5 PMNs in a single high-powered field 12. Positive leukocyte scintigraphy Infection confirmed criteria: 1. Presence of sinus tract communicating the joint or exposing the joint prosthesis 2. Synovial fluid WBC count > 3000 3. Synovial fluid PMN% > 80% 4. Synovial fluid positive α-defensin 5. At least two intraoperative culture samples testing positive for the same microorganism 6. >50 CFU/mL of any organism in sonication 7. ≥5 PMNs in a ≥5 high-powered field 8. Presence of visible microorganisms | Two positive findings: infection likely (only if there is a positive clinical feature or raised serum CRP) Any positive finding: infection confirmed |
| Country | Sample Size/Prostheses Location | PJI Definition Criteria or Diagnostic Variables | Radiologic Technique | Sensitivity (%) | Specificity (%) | PPV (%) | NPV (%) | Accuracy (%) | References |
|---|---|---|---|---|---|---|---|---|---|
| USA | 15/K | NA | Radiography | 54 | 99 | NA | NA | NA | [48] |
| France | 54/K and H | MSIS | US | 91 | 19 | 64 | 57 | NA | [54] |
| Egypt | 70/multi-joint | Joint effusion | US | 70.9 | 100 | NA | NA | 62.8 | [56] |
| Egypt | 70/multi-joint | Synovitis | US | 69 | 83.4 | NA | NA | 71.4 | [56] |
| Egypt | 70/multi-joint | Erosions and bone lesions | US | 50 | 50 | NA | NA | 50 | [56] |
| Egypt | 70/multi-joint | Soft tissue affection | US | 56.4 | 75 | NA | NA | 58.6 | [56] |
| Egypt | 70/multi-joint | Joint vascularity | US | 67.2 | 100 | NA | NA | 74.3 | [56] |
| Italy | 60/H | C | US-guided aspiration | 69 | 94 | NA | NA | 83 | [57] |
| Norway | 80/H | NA | US-guided biopsy specimens | 67 | 68 | 22 | 94 | NA | [58] |
| Spain | 96/H | M and C | CT-guided joint aspiration | NA | NA | NA | NA | 86.5 | [67] |
| France | 65/H | At least one soft tissue abnormality was used as an infection criterion | CT | 100 | 87 | NA | NA | 89 | [64] |
| France | 65/H | Joint distention as an infection criterion | CT | 83 | 96 | NA | NA | 94 | [64] |
| Switzerland | 40/H | Periosteal reaction | MRI with metal artifact reduction | 78 | 90 | NA | NA | 86 | [69] |
| Switzerland | 40/H | Capsule edema | MRI with metal artifact reduction | 83 | 95 | NA | NA | 91 | [69] |
| Switzerland | 40/H | Intramuscular edema | MRI with metal artifact reduction | 95 | 86 | NA | NA | 89 | [69] |
| Germany | 41/H | Clinical and IO | MRI with metal artifact reduction | 86 | 73 | NA | NA | NA | [70] |
| China | 50/H | Lamellated hyperintense synovitis | MRI | 80–88 | 84–92 | 83–92 | 81–88 | NA | [75] |
| China | 86/H | Soft tissue mass | VAT MRI | 52.6 | 89.6 | NA | NA | NA | [73] |
| China | 86/H | Soft tissue edema | VAT MRI | 100 | 73.1 | NA | NA | NA | [73] |
| China | 86/H | Bone destruction | VAT MRI | 47.4 | 92.5 | NA | NA | NA | [73] |
| China | 86/H | Fistula | VAT MRI | 47.4 | 100 | NA | NA | NA | [73] |
| China | 56/H | Intraoperative findings with M and H | MRI | 94 | 97 | NA | NA | NA | [79] |
| USA | 28/K | Lamellated hyperintense synovitis | MRI | 86–92 | 85–87 | NA | NA | NA | [74] |
| Imaging Technique | Strengths | Weaknesses |
|---|---|---|
| Computed tomography (CT) |
|
|
| Magnetic resonance imaging (MRI) |
|
|
| Ultrasound |
|
|
| Bone scintigraphy |
|
|
| Anti-granulocyte-antibody scintigraphy |
|
|
| Leukocyte scintigraphy |
|
|
| Combined WBC and bone marrow scintigraphy |
|
|
| F-Fluorodeoxyglucose positron emission tomography (FDG-PET/CT) |
|
|
Disclaimer/Publisher’s Note: The statements, opinions and data contained in all publications are solely those of the individual author(s) and contributor(s) and not of MDPI and/or the editor(s). MDPI and/or the editor(s) disclaim responsibility for any injury to people or property resulting from any ideas, methods, instructions or products referred to in the content. |
© 2024 by the authors. Licensee MDPI, Basel, Switzerland. This article is an open access article distributed under the terms and conditions of the Creative Commons Attribution (CC BY) license (https://creativecommons.org/licenses/by/4.0/).
Share and Cite
Hoveidaei, A.; Tavakoli, Y.; Ramezanpour, M.R.; Omouri-kharashtomi, M.; Taghavi, S.P.; Hoveidaei, A.H.; Conway, J.D. Imaging in Periprosthetic Joint Infection Diagnosis: A Comprehensive Review. Microorganisms 2025, 13, 10. https://doi.org/10.3390/microorganisms13010010
Hoveidaei A, Tavakoli Y, Ramezanpour MR, Omouri-kharashtomi M, Taghavi SP, Hoveidaei AH, Conway JD. Imaging in Periprosthetic Joint Infection Diagnosis: A Comprehensive Review. Microorganisms. 2025; 13(1):10. https://doi.org/10.3390/microorganisms13010010
Chicago/Turabian StyleHoveidaei, Armin, Yasaman Tavakoli, Mohammad Reza Ramezanpour, Mahyaar Omouri-kharashtomi, Seyed Pouya Taghavi, Amir Human Hoveidaei, and Janet D. Conway. 2025. "Imaging in Periprosthetic Joint Infection Diagnosis: A Comprehensive Review" Microorganisms 13, no. 1: 10. https://doi.org/10.3390/microorganisms13010010
APA StyleHoveidaei, A., Tavakoli, Y., Ramezanpour, M. R., Omouri-kharashtomi, M., Taghavi, S. P., Hoveidaei, A. H., & Conway, J. D. (2025). Imaging in Periprosthetic Joint Infection Diagnosis: A Comprehensive Review. Microorganisms, 13(1), 10. https://doi.org/10.3390/microorganisms13010010

