Next Article in Journal
Diversification of Pseudomonas aeruginosa Biofilm Populations under Repeated Phage Exposures Decreases the Efficacy of the Treatment
Next Article in Special Issue
Autologous Human Dendritic Cells from XDR-TB Patients Polarize a Th1 Response Which Is Bactericidal to Mycobacterium tuberculosis
Previous Article in Journal
Streptococcus suis Induces Macrophage M1 Polarization and Pyroptosis
Previous Article in Special Issue
Universal Lineage-Independent Markers of Multidrug Resistance in Mycobacterium tuberculosis
 
 
Font Type:
Arial Georgia Verdana
Font Size:
Aa Aa Aa
Line Spacing:
Column Width:
Background:
Case Report

Empyema Necessitatis Caused by Prevotella melaninogenica and Dialister pneumosintes Resolved with Vacuum-Assisted Closure System: A Case Report

by
Esteban Bladimir Martínez Castrejón
1,
Erika Reina-Bautista
2,
Sandra Tania Ventura-Gómez
1,*,
Araceli Maldonado Cisneros
1,
Jessica Alejandra Juárez Ramos
1,
Miguel Alejandro Sánchez Durán
1,
Jesús Aguilar Ventura
1,
Omar Esteban Valencia-Ledezma
3,
María Guadalupe Frías-De-León
4,
Eduardo García Salazar
4 and
Carlos Alberto Castro-Fuentes
3,*
1
Pediatric Intensive Care Unit, Hospital Regional de Alta Especialidad de Ixtapaluca, IMSS-BIENESTAR. Calle Gustavo E. Campa 54, Col. Guadalupe Inn, Alcaldía Álvaro Obregón, Mexico City 01020, Mexico
2
Pediatric Infectology Unit, Hospital Regional de Alta Especialidad de Ixtapaluca, IMSS-BIENESTAR. Calle Gustavo E. Campa 54, Col. Guadalupe Inn, Alcaldía Álvaro Obregón, Mexico City 01020, Mexico
3
Research Unit, Hospital Regional de Alta Especialidad de Ixtapaluca, IMSS-BIENESTAR. Calle Gustavo E. Campa 54, Col. Guadalupe Inn, Alcaldía Álvaro Obregón, Mexico City 01020, Mexico
4
Biomedical Research Unit, Hospital Regional de Alta Especialidad de Ixtapaluca, IMSS-BIENESTAR. Calle Gustavo E. Campa 54, Col. Guadalupe Inn, Alcaldía Álvaro Obregón, Mexico City 01020, Mexico
*
Authors to whom correspondence should be addressed.
Microorganisms 2024, 12(9), 1881; https://doi.org/10.3390/microorganisms12091881
Submission received: 26 July 2024 / Revised: 29 August 2024 / Accepted: 11 September 2024 / Published: 12 September 2024
(This article belongs to the Special Issue Mycobacterial Tuberculosis Pathogenesis and Vaccine Development)

Abstract

Empyema necessitatis is a rare complication of an untreated or inadequately controlled empyema. We present the case of an 11-year-old female adolescent living in precarious conditions, overcrowding, incomplete vaccinations, irregular dental hygiene, and no significant family or personal medical history. The patient started with symptoms one week prior to her hospitalization, presenting a persistent sporadic dry cough, and was later diagnosed with complicated pneumonia, resulting in the placement of an endopleural tube. Vancomycin (40 mg/kg/day) and ceftriaxone (75 mg/kg/day) were administered. However, the clinical evolution was unfavorable, with fever and respiratory distress, so a right jugular catheter was placed. The CT scan showed a loculated collection that occupied the entire right lung parenchyma and pneumothorax at the right upper lobe level. After four days of treatment, the patient still presented purulent drainage with persistent right pleural effusion syndrome. P. melaninogenica and D. pneumosintes were identified from the purulent collection on the upper right lobe, so the antimicrobial treatment was adapted to a glycopeptide, Teicoplanin, at a weight-based dosing of 6 mg/kg/day and Metronidazole at a weight-based dosing of 30 mg/kg/day. In addition, VAC therapy was used for 26 days with favorable resolution.

1. Introduction

Empyema necessitatis is a rare complication of untreated or inadequately controlled empyema [1]. It is characterized by the dissection of pus through the soft tissue and skin of the chest wall. The collection of pus ruptures and is released to the outside, forming a fistula between the pleural space and the skin [2,3,4,5,6,7]. The sites where empyema necessitatis most commonly extend are the anterior chest wall, esophagus, and mediastinum. Other areas described include the breast, diaphragm, retroperitoneum, and groin [7,8,9,10,11,12,13,14,15,16].
Among the main risk factors for developing empyema necessitatis are immunocompromised patients with type 2 diabetes mellitus, chronic alcoholism, chronic obstructive pulmonary disease (COPD), cachexia, poor dental health, smoking, and bronchiectasis, among others [3,6,12,17]. Staphylococcus aureus, Mycobacterium tuberculosis, and Actinomyces spp. are the main causative agents [2,3,4,14]. However, no cases of empyema necessitatis caused by Prevotella melaninogenica or Dialister pneumosintes have been reported in pediatric patients.
Contrasting chest tomography confirms the diagnosis, as it is highly sensitive and determines the severity and extent of the empyema [1,4,8]. Treatment of empyema necessitatis includes surgical drainage and appropriate antimicrobial treatment for infection control [1,2,7,13,14,15,16]. Another useful tool for treatment is the negative pressure applied by the VAC (Vacuum-Assisted Closure) system, which accelerates wound healing by improving blood flow in the treated area and promoting healthy growth of granulation tissue. In addition, it decreases edema and excess wound fluid and limits bacterial colonization [18].
Therefore, this work aims to present a case of empyema necessitatis caused by P. melaninogenica and D. pneumosintes in pediatric patients, which was favorably resolved with the VAC system.

2. Case Presentation

An 11-year-old female patient living in precarious conditions, overcrowding, incomplete vaccinations, irregular dental hygiene, and no significant family or personal medical history began experiencing symptoms one week before her hospitalization, presenting a persistent sporadic dry cough. Three days later, she presented pain in the right hemithorax, asthenia, adynamia, and dyspnea on slight exertion with no fever. On the seventh day of evolution, she presented dyspnea and cyanosis and was referred to a hospital by a physician. The patient was admitted with a diagnosis of pneumonia with complicated right pleural effusion. Two days later, a chest tube was placed, and vancomycin (40 mg/kg/day) and ceftriaxone (75 mg/kg/day) were administered. However, the clinical evolution was unfavorable, presenting fever and respiratory stress syndrome (RSS), so a right jugular catheter had to be placed. The patient was transferred to our hospital four days later with a diagnosis of possible right loculated empyema.
Upon admission to the emergency department of our hospital, she scored 15 on the Glasgow scale, requiring oxygen support with a face mask at 10 L/min, presented polypnea, the right hemithorax amplexation was decreased, and oxygen saturation of 89%. In addition, the right pleural tube showed 370 mL of hematopurulent output with a total of 128 mL (2.9 mL/kg/h) in 24 h. The gasometric study at the intake showed acid–base balance, hypoxemia, and normolactatemia (Figure 1).
On the other hand, the computed tomography (CT) scan showed a loculated fluid collection on the entire right lung parenchyma, pneumothorax of the right upper lobe, and thickening of the right sternocleidomastoid muscle (Figure 2).
Due to the imaging findings, treatment with vancomycin and ceftriaxone was continued, covering microorganisms that cause community-acquired infectious pleural effusion. After four days of treatment, the patient continued to drain purulent output accompanied by persistent right pleural effusion syndrome. Therefore, it was decided to perform surgery that found purulent collection and fibrin on muscle and fat layers. Upon entering the thoracic cavity at the level of the fifth intercostal space, draining of apical fluid collection of aqueous characteristics occurred spontaneously, so it was considered a possible hydrothorax. A laceration area of approximately 4 cm long by 0.5 cm wide was observed on the anterior aspect of the right lower lobe. There was no active leakage at the edges, with a scarring process and fibrin on the edges, and repair was performed. A fetid purulent collection with organized clots was found in the lower lobe.
A cytochemical study was requested, which reported cloudy purulent brown collection, glucose less than 2 mg/dL, proteins 872 g/dL, DHL 6438 IU/L, cholesterol 6 mg/dL, erythrocytes 26,000/μL, leukocytes 18,315 cell/μL, neutrophils 84%, and lymphocytes 16%, with positive light criteria for exudate (Figure 3).
Aerobic and anaerobic cultures from the collection obtained were requested, from which Staphylococcus epidermidis was identified in the upper collection (hydrothorax), as well as Prevotella melaninogenica and Dialister pneumosintes at anaerobic cultures. Therefore, antimicrobial treatment was adapted to a glycopeptide: Teicoplanin at a weight-based dosing of 6 mg/kg/day and Metronidazole at a weight-based dosing of 30 mg/kg/day.
In the first 48 h after surgery, the patient continued to show data consistent with a systemic inflammatory response, with a vasopressor requirement and advanced airway management. Subsequently, due to the adequate evolution, a scheduled extubation was performed, and the patient was discharged from the intensive care unit five days after the procedure. On the following day, the thoracotomy surgical wound oozed purulent material, and wound dehiscence was noted around the endopleural tube (Figure 4).
Therefore, the cardiothoracic surgery service re-evaluated the patient. Surgical lavage was performed to remove the pleural drainage, and a white sponge and a silver sponge with a seal were placed. The VAC system was used, opting for conservative management due to the high risk of developing a bronchopleural fistula (Figure 5).
VAC therapy dressings were changed every 96 h. After four replacements, rehabilitation, and nutrition management, the patient was successfully discharged home with outpatient appointments, completing management with VAC therapy for 26 days with complete remission of the pulmonary and muscular infection process (Figure 6).

3. Discussion

In the present case report, we highlight a case of empyema necessitatis caused by P. melaninogenica and D. pneumosintes, which was resolved by implementing the VAC system.
The incidence of empyema necessitatis is low due to the use of antimicrobials [18]. However, some cases have been reported [1,2,3,4,5,6,7]. The most common sites are the anterior chest wall, esophagus, mediastinum, and alternative extension areas, including the breast, diaphragm, retroperitoneum, and groin [2].
Approximately 40% of pneumonia in children present transudates, which can cover 10% of the pleura. Of these, 1–2% can be complicated due to exudative effusion, causing empyema [1,4]. Empyema necessitatis is more frequent in adults and immunosuppressed patients. It is a relatively rare entity in the pediatric population, with children under five years of age being the most susceptible, as with most infections [2,4].
In most of the described cases of empyema necessitatis, the main reported agents are Mycobacterium tuberculosis [4] or Actinomyces spp. [13]. Other reports include microorganisms such as Streptococcus pneumoniae and Staphylococcus aureus [2,3]. In this case, the isolated organisms were S. epidermidis, P. denticola, and D. pneumosintes. However, S. epidermidis was considered a contaminant as it is a skin colonizer. On the other hand, P. denticola and D. neumosintes were not considered contaminants as they are colonizers of the oral cavity; besides, they can promote aspiration pneumonia [9]. Therefore, P. denticola and D. pneumosintes were determined to be our patient’s causative agents of empyema.
Most Prevotella sp. organisms are recovered from the oral cavity of humans, with P. melaninogenica being the main species of the genus. In healthy adults, detection rates for Prevotella spp. are high, particularly in saliva and dental plaque. In the respiratory tract, potential routes for bacterial translocation from the oral cavity include microaspiration and hematogenous dissemination. Currently, the genus Prevotella is considered one of the primary colonizers of the mucosal surfaces of the aerodigestive tract [5]. Although oral bacteria access the proximal airways by microaspiration, continuous mucociliary clearance prevents their growth in high densities. Oral bacteria present in saliva can promote aspiration pneumonia by colonizing mucosal surfaces, thereby affecting the immune response of epithelial cells and producing pro-inflammatory cytokines and degrading enzymes [9].
On the other hand, D. pneumosintes is a small, non-fermentative, rod-shaped Gram-negative bacillus. Currently, there are four known species of the genus Dialister, consisting of 135 strains; however, D. pneumosintes and D. microaerophilic are commonly found species. Proof of this are reports of serious infectious complications, including severe pneumonia and sepsis, brain abscesses, and liver abscesses suspected of dental origin [19,20].
In pneumonia and pleural empyema, both anaerobes and oral bacteria can go unnoticed in conventional culture and are found more frequently by molecular methods [9]. This is the case of D. pneumosintes, an organism difficult to culture in conventional media but identifiable through the 16s rRNA-based PCR (polymerase chain reaction) assay, which suggests anaerobic Gram-negative bacilli [20]. In the present case report, the isolation of D. pneumosintes was performed in a culture medium for anaerobes. In this sense, it is recommended to consider a bacterial growth time of 34 h to determine the diagnosis and treatment for the patient [19]. However, through the PCR assay, the identification of D. pneumosintes has been achieved in cases of periodontitis, gingivitis, subgingival plaque, respiratory tract infection, head and neck, and vaginal infection [20].
Our patient developed hemithorax, asthenia, adynamia, and dyspnea. A few days later, she developed a fever and respiratory stress syndrome. This corresponds with the report by Kaiser et al. [19], who described the case of a 13-year-old patient admitted for sepsis of unknown origin. Like our patient, due to the worsening of her lung condition, she required intubation. Through CT, severe pneumonia and an emergency due to respiratory stress syndrome were identified in our patient. Therefore, antibiotic treatment was started.
The surgical management of empyema necessitatis is imperative. In this case, we opted for the VAC system because, among other benefits, it accelerates wound healing by improving blood flow in the treated area and promoting the healthy growth of granulation tissue [18]. In addition, it reduces edema and excess wound fluid and limits bacterial colonization [21], allowing our patient’s favorable evolution. In addition, intrathoracic application of the VAC system may result in a shorter period of hospitalization [22], as this treatment can be provided on an outpatient basis. So far, reports have shown that patients can completely recover after using the VAC system in the chest [18,21,22,23].
According to the review of the literature carried out in the main databases such as PubMed, Scopus, and Scielo, to date, there is no information on the resolution of empyema necessitatis caused by Prevotella melaninogenica and Dialister pneumosintes resolved with the VAC system in a pediatric patient. This is, to our knowledge, the first case report on this topic.

4. Conclusions

Our patient’s empyema necessitatis may have had an oral origin due to poor hygiene, being caused by the precarious living conditions of developing countries.
The identification of P. melaninogenica and D. pneumosintes was performed by anaerobic cultures and not by PCR. Therefore, it represents a highly useful diagnostic tool.
It is essential to obtain a detailed medical history and assess individually the risk factors predisposing each patient to this disease. Furthermore, D. pneumosintes and P. melaninogenica should be considered as causative agents of empyema necessitatis.
The implementation of the VAC system allowed our patient to progress favorably. Therefore, this system represents an alternative for treating empyema necessitatis in pediatric patients.

Author Contributions

Conceptualization, E.B.M.C., E.R.-B., S.T.V.-G., A.M.C., J.A.J.R., M.A.S.D., J.A.V. and C.A.C.-F.; investigation, E.B.M.C., E.R.-B., S.T.V.-G., O.E.V.-L., M.G.F.-D.-L., E.G.S. and C.A.C.-F.; writing—original draft preparation, E.B.M.C., E.R.-B., S.T.V.-G., O.E.V.-L., M.G.F.-D.-L., E.G.S. and C.A.C.-F.; writing—review and editing, E.B.M.C., E.R.-B., S.T.V.-G., O.E.V.-L., M.G.F.-D.-L., E.G.S. and C.A.C.-F.; supervision, S.T.V.-G. and C.A.C.-F. All authors have read and agreed to the published version of the manuscript.

Funding

This research received no external funding.

Data Availability Statement

Data are contained within the article.

Conflicts of Interest

The authors declare no conflicts of interest.

References

  1. Díaz, V.; Vernaza, V.; Donato, M.A.; Vincensini, A.R.; Dutari, J.E.; Caparó, E. Empiema necessitatis: Una complicación poco frecuente de una neumonía. Reporte de un caso. Pediatr. Panamá 2018, 47, 32–38. Available online: https://docs.bvsalud.org/biblioref/2018/06/885144/10.pdf (accessed on 9 June 2024).
  2. Contreras, G.A.; Pérez, N.; Murphy, J.R.; Cleary, T.G.; Heresi, G.P. Empyema necessitans and acute osteomyelitis associated with community acquired methicillin resistant Staphylococcus aureus in an infant. Biomedica 2009, 29, 506–512. [Google Scholar] [PubMed]
  3. Pedraza-Hervert, C.; Alamilla-Sánchez, M.; Hermida-Escobedo, C.E.; Nolasco-de la Rosa, A.L. Empiema necessitatis por Staphylococcus aureus. Neumol. Cir. Torax 2014, 73, 85–88. Available online: https://www.scielo.org.mx/scielo.php?script=sci_arttext&pid=S0028-37462014000300005 (accessed on 9 June 2024).
  4. Baquero Marín, P.J.; Agudelo, B.I.; Giraldo Mejía, Á.M.; Barrera Ramírez, L.; Vinasco, L.G. Empiema necessitatis por Mycobacterium tuberculosis en Pediatría: Reporte de caso. Rev. Patol. Respir. 2022, 25, 57–59. Available online: https://hp.dev3.link/descargas/PR_25-2_57-59.pdf (accessed on 9 June 2024). [CrossRef]
  5. Amado, S.; Gómez, J.S.; Bogotá, D.C. Empyema necessitatis. Acta Med. Colomb. 2013, 38, 28–31. Available online: http://www.scielo.org.co/scielo.php?script=sci_arttext&pid=S0120-24482013000100008 (accessed on 9 June 2024). [CrossRef]
  6. Alvarado-Arce, E.M.; Arce-Cordero, G.; Santana-Segura, J. Empyema necessitatis: Complicación muy poco frecuente de las infecciones pleurales. Rev. Med. Universid Costa Rica 2018, 12, 51–62. Available online: https://revistas.ucr.ac.cr/index.php/medica/article/view/36299/36908 (accessed on 9 June 2024).
  7. Elyashiv, D.; Alpert, E.A.; Nadav-Granat, A. Empyema Necessitans Diagnosed by Point-of-Care Ultrasound. J. Emerg. Med. 2020, 59, e221–e223. [Google Scholar] [CrossRef]
  8. Rendón, M.A.; Giraldo, J.A. Empiema Necessitatis: Reporte de un caso. Med. UPB 2020, 39, 71–74. [Google Scholar] [CrossRef]
  9. Könonen, E.; Gursoy, U.K. Oral Prevotella Species and Their Connection to Events of Clinical Relevance in Gastrointestinal and Respiratory Tracts. Front. Microbiol. 2022, 12, 798763. [Google Scholar] [CrossRef]
  10. White-Dzuro, C.G.; Patrick, E.; Thomas, H.C.; Thayer, W.P. Unusual presentation of empyema necessitans: Case report and review of the literature. Gen. Thorac. Cardiovasc. Surg. 2021, 69, 1026–1030. [Google Scholar] [CrossRef]
  11. Nazario-Dolz, A.M.; Rodríguez-Fernández, Z.; Toledo, C.L.; Miyares-Roca, M.V.; Nazario-Garbey, A. Empyema necessitatis. Rev. Cuban Ciru. 2021, 60, 1–12. [Google Scholar]
  12. Santalla-Valle, E.A.; García, S.; Cartón, M.B. Empiema necessitatis tras traumatismo torácico, Sección de Neumología, Complejo Asistencial Universitario de León. Arch. Bronconeumol. 2014, 50, 80–84. [Google Scholar] [CrossRef]
  13. Homsi, N.; Kapila, R. Aggregatibacter actinomycetemcomitans Causing Empyema Necessitans and Pyomyositis in an Immunocompetent Patient. Cureus 2020, 12, e9454. [Google Scholar] [CrossRef]
  14. Pugh, C.P. Empyema Necessitans a Rare Complication of Methicillin-Resistant Staphylococcus Aureus Empyema in A Child. Pediatr. Infect. Dis. J. 2020, 39, 256–257. [Google Scholar] [CrossRef] [PubMed]
  15. Ahmed, S.I.; Gripaldo, R.E.; Alao, O.A. Empyema Necessitans in the Setting of Pneumonia and Parapneumonic Effusion. Am. J. Med. Sci. 2007, 333, 106–108. [Google Scholar] [CrossRef] [PubMed]
  16. Tanaka, A.; Kogamia, M.; Nagatomoa, Y.; Takedaa, Y.; Kanzawac, H.; Kawaguchic, Y.; Onoc, S.; Furukawac, K.; Nakamuraa, H.; Aoshibaa, K. Subcutaneous abscess due to empyema necessitans caused by Porphyromonas gingivalis in a patient with periodontitis. IDCases 2022, 27, e01458. [Google Scholar] [CrossRef] [PubMed]
  17. García-Luna, A.; Nez-Esquivel, V.H.; Magaña Reyes, J.; Domínguez-Carrillo, L.G. Empiema necessitatis. Acta Médica Grupo Ángeles 2016, 14, 181. Available online: https://www.scielo.org.mx/scielo.php?script=sci_arttext&pid=S1870-72032016000300181 (accessed on 9 June 2024).
  18. Aljehani, Y.; Al-Matar, Z.; Nawar, S. The Application of Vacuum-Assisted Closure Device in the Management of Empyema Necessitans. Case Rep. Surg. 2016, 2016, 1–4. [Google Scholar] [CrossRef]
  19. Kaiser, M.; Weis, M.; Kehr, K.; Varnholt, V.; Schroten, H.; Tenenbaum, T. Severe Pneumonia and Sepsis Caused by Dialister pneumosintes in an Adolescent. Pathogens 2021, 10, 733. [Google Scholar] [CrossRef]
  20. Mannan, S.; Ahmad, T.; Naeem, A.; Patel, V. A Case of Dialister pneumosintes Bacteremia-Associated Neck and Mediastinal Abscess. Am. J. Case Rep. 2021, 22, e930559-1–e930559-5. [Google Scholar] [CrossRef]
  21. Munguía-Canales, D.A.; Vargas-Mendoza, G.K.; Álvarez-Bestoff, G.; Calderón-Abbo, M.C. Management of Pleural Empyema with a Vacuum-Assisted Closure Device and Reconstruction of Open Thoracic Window in a Patient with Liver Cirrhosis. Arch. Bronconeumol. 2013, 49, 447–449. [Google Scholar] [CrossRef] [PubMed]
  22. Begum, S.S.; Papagiannopoulos, K. The use of vacuum-assisted wound closure therapy in thoracic operations. Ann. Thorac. Surg. 2012, 94, 1835–1839. [Google Scholar] [CrossRef] [PubMed]
  23. Sziklavari, Z.; Grosser, C.; Neu, R.; Schemm, R.; Szöke, T.; Ried, M.; Hofmann, H.S. Minimally invasive vacuum-assisted closure therapy in the management of complex pleural empyema. Interact. Cardiovasc. Thorac. Surg. 2013, 17, 49–53. [Google Scholar] [CrossRef] [PubMed][Green Version]
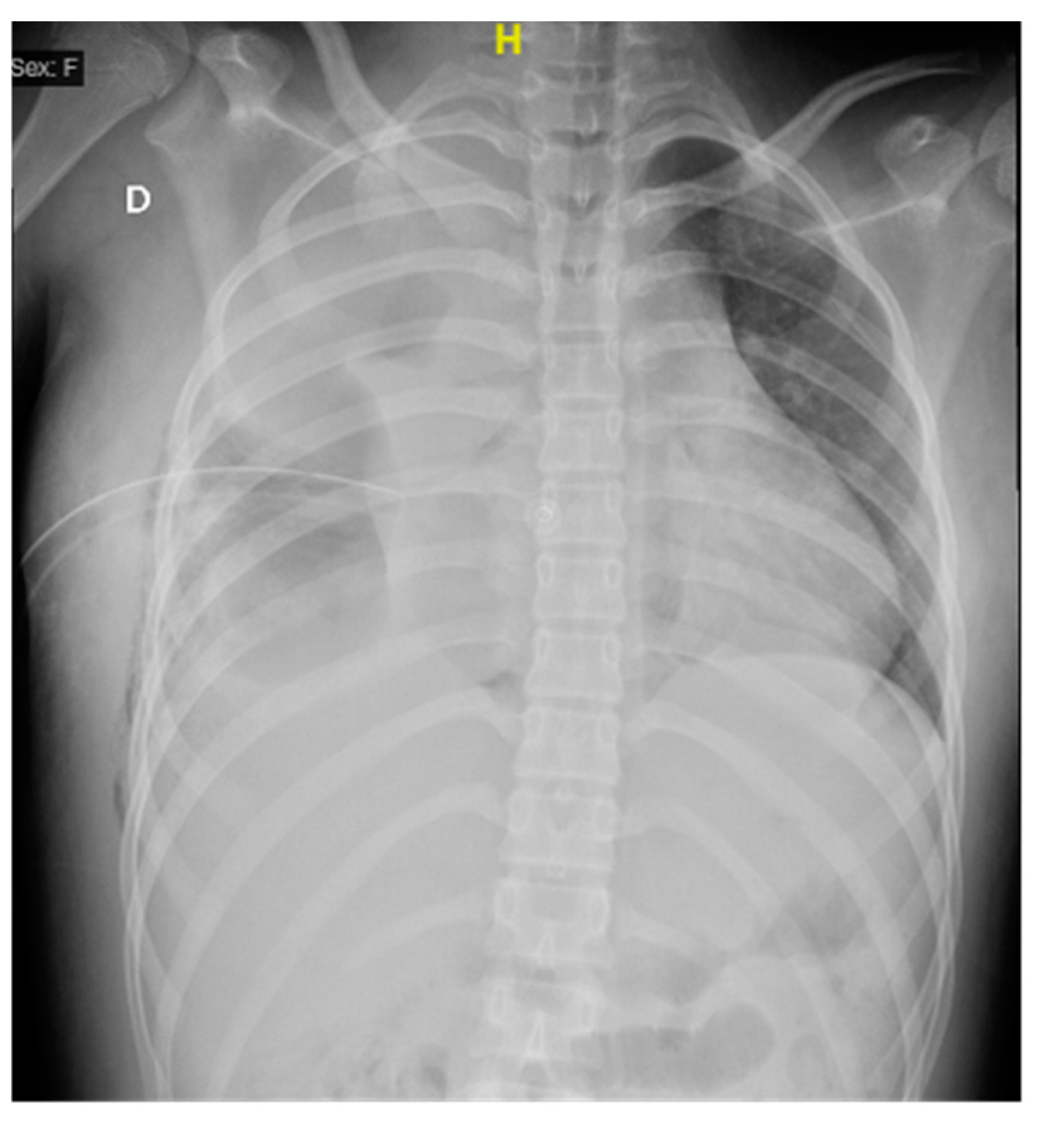
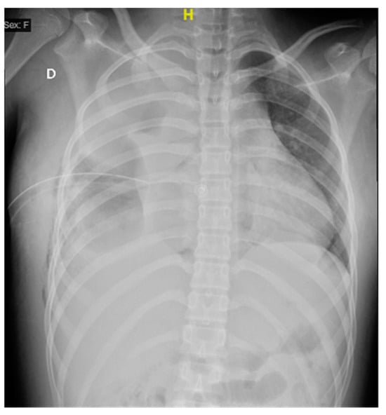
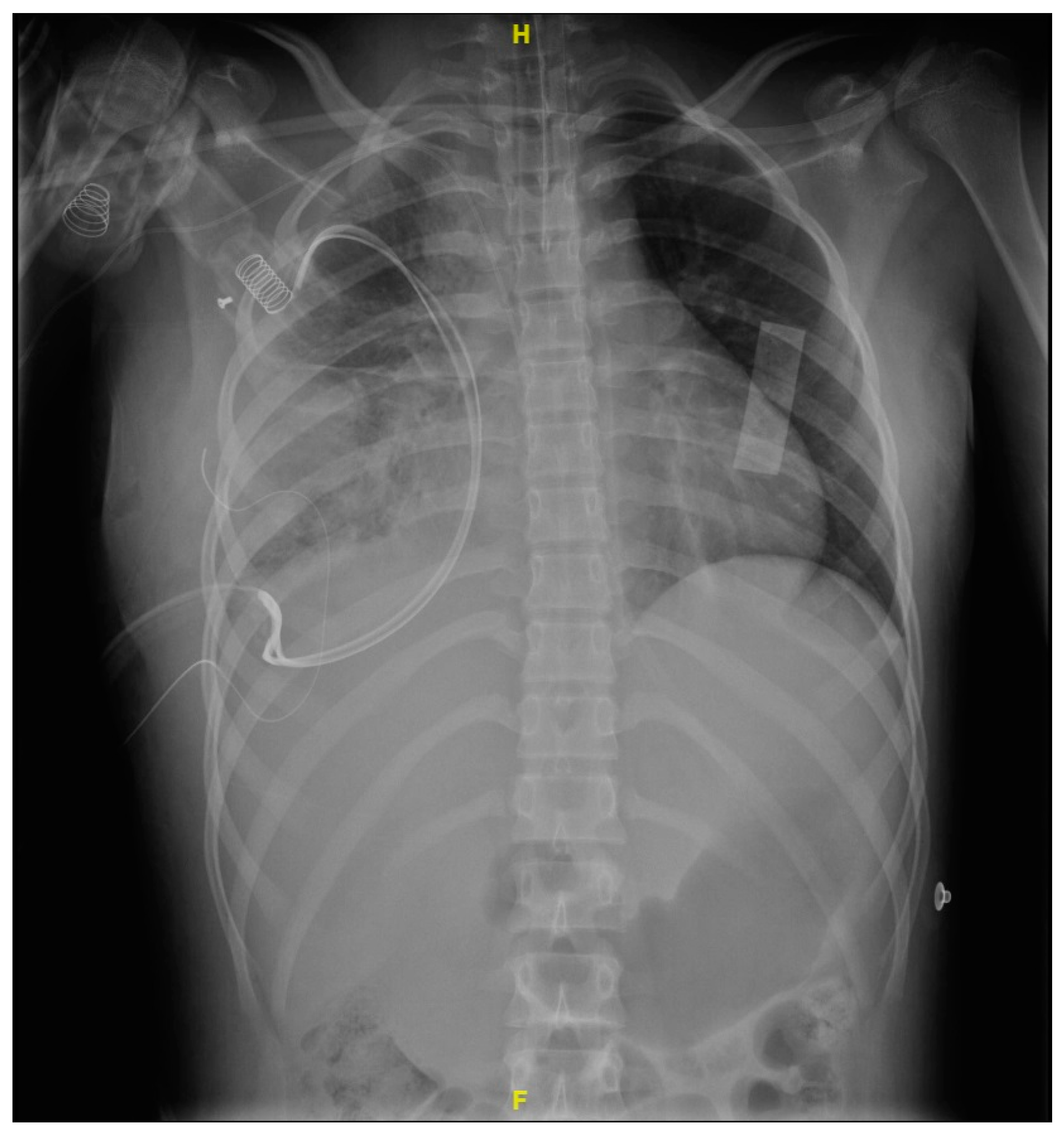
Figure 1. Anteroposterior thoracic X-ray taken on admission shows a right pleural tube and right pleural effusion with loss of the costophrenic angle and radiopacity in the right lung.
Figure 1. Anteroposterior thoracic X-ray taken on admission shows a right pleural tube and right pleural effusion with loss of the costophrenic angle and radiopacity in the right lung.
Microorganisms 12 01881 g001
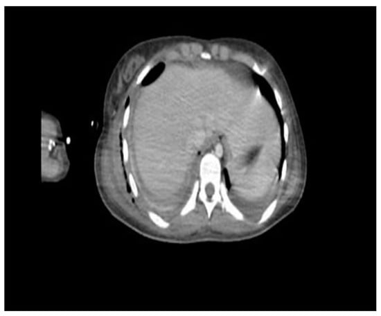
Figure 2. Contrasted computed tomography. Abscessified collection with hydroaeric levels, atelectasis of the parenchyma, lower zone consolidation, loculation in the base, and occlusion of the pleurostomy.
Figure 2. Contrasted computed tomography. Abscessified collection with hydroaeric levels, atelectasis of the parenchyma, lower zone consolidation, loculation in the base, and occlusion of the pleurostomy.
Microorganisms 12 01881 g002
Figure 3. The patient’s laboratory results during the time she was treated in our hospital. Erythrocytes (RBC): 4.2–5.3 × 106 uL; hemoglobin (Hb): 12.5–16 g/dL; hematocrit (Hct): 37.5–48%; leukocytes (WBC): 4.5–13.5 × 103 uL; neutrophils (NEUT): 1.8–8 × 103 uL; lymphocytes (LYMPH): 1.5–6.5 × 103 uL; monocytes (MONO): 0–1.4 × 103 uL; eosinophils (EOS): 0–0.9 × 103 uL; prothrombin time (PT): 0.0 sec = 100%; C-reactive protein (CRP): 0–5 mg/L; glucose (Glu): 60–99 mg/dL; serum creatinine (SCr): 0.6–1.1 mg/dL; total cholesterol (TC): recommended less than 170 mg/dL, moderate 170–199 mg/dL, high equal to or greater than 200 mg/dL; total proteins (TPs): 6–8 g/dL; serum albumin (Alb): 3.8–5.4 g/dL; lactic dehydrogenase (LDH): 125–220 IU/L; procalcitonin (PCT): <0.1 ng/mL; medium corpuscular volume (MCV): 80–100 fL; mean corpuscular hemoglobin (MCH): 25–34 pg; red cell distribution width (RCDW): 11.5–16.6%; blood chemistry (BC): ureic nitrogen (UN): 7–16.8 mg/dL; platelets (PLTs): 130–480 × 103 uL; liver function tests (LFTs).
Figure 3. The patient’s laboratory results during the time she was treated in our hospital. Erythrocytes (RBC): 4.2–5.3 × 106 uL; hemoglobin (Hb): 12.5–16 g/dL; hematocrit (Hct): 37.5–48%; leukocytes (WBC): 4.5–13.5 × 103 uL; neutrophils (NEUT): 1.8–8 × 103 uL; lymphocytes (LYMPH): 1.5–6.5 × 103 uL; monocytes (MONO): 0–1.4 × 103 uL; eosinophils (EOS): 0–0.9 × 103 uL; prothrombin time (PT): 0.0 sec = 100%; C-reactive protein (CRP): 0–5 mg/L; glucose (Glu): 60–99 mg/dL; serum creatinine (SCr): 0.6–1.1 mg/dL; total cholesterol (TC): recommended less than 170 mg/dL, moderate 170–199 mg/dL, high equal to or greater than 200 mg/dL; total proteins (TPs): 6–8 g/dL; serum albumin (Alb): 3.8–5.4 g/dL; lactic dehydrogenase (LDH): 125–220 IU/L; procalcitonin (PCT): <0.1 ng/mL; medium corpuscular volume (MCV): 80–100 fL; mean corpuscular hemoglobin (MCH): 25–34 pg; red cell distribution width (RCDW): 11.5–16.6%; blood chemistry (BC): ureic nitrogen (UN): 7–16.8 mg/dL; platelets (PLTs): 130–480 × 103 uL; liver function tests (LFTs).
Microorganisms 12 01881 g003
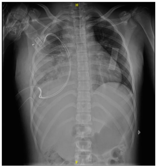
Figure 4. Chest X-ray after surgery (72 h after), with the persistence of multiple alveolar consolidation zones, pleural drainage, and skin drainage.
Figure 4. Chest X-ray after surgery (72 h after), with the persistence of multiple alveolar consolidation zones, pleural drainage, and skin drainage.
Microorganisms 12 01881 g004
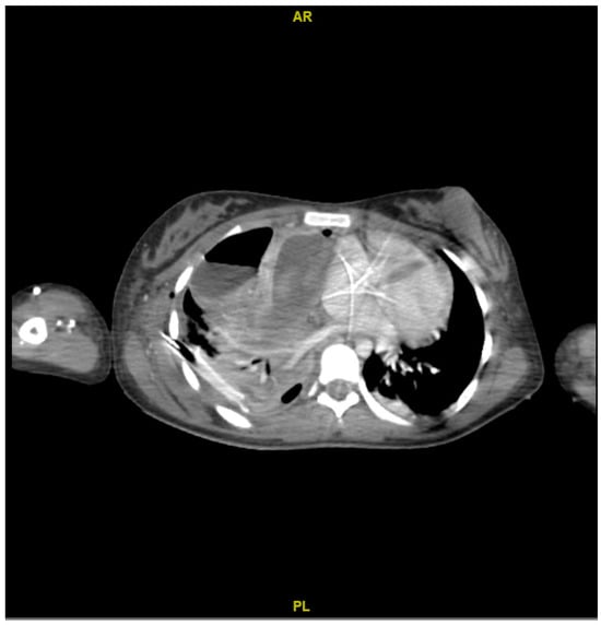
Figure 5. Computed tomography (CT) scan shows subcutaneous emphysema due to gas in soft tissues on the rib cage, with thickening and abscessified collection.
Figure 5. Computed tomography (CT) scan shows subcutaneous emphysema due to gas in soft tissues on the rib cage, with thickening and abscessified collection.
Microorganisms 12 01881 g005
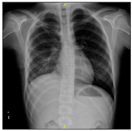
Figure 6. A chest X-ray taken after completely stopping the negative pressure therapy showed resolution of the infectious process, observing only persistent linear atelectasis.
Figure 6. A chest X-ray taken after completely stopping the negative pressure therapy showed resolution of the infectious process, observing only persistent linear atelectasis.
Microorganisms 12 01881 g006
Disclaimer/Publisher’s Note: The statements, opinions and data contained in all publications are solely those of the individual author(s) and contributor(s) and not of MDPI and/or the editor(s). MDPI and/or the editor(s) disclaim responsibility for any injury to people or property resulting from any ideas, methods, instructions or products referred to in the content.

Share and Cite

MDPI and ACS Style

Martínez Castrejón, E.B.; Reina-Bautista, E.; Ventura-Gómez, S.T.; Maldonado Cisneros, A.; Juárez Ramos, J.A.; Durán, M.A.S.; Aguilar Ventura, J.; Valencia-Ledezma, O.E.; Frías-De-León, M.G.; García Salazar, E.; et al. Empyema Necessitatis Caused by Prevotella melaninogenica and Dialister pneumosintes Resolved with Vacuum-Assisted Closure System: A Case Report. Microorganisms 2024, 12, 1881. https://doi.org/10.3390/microorganisms12091881

AMA Style

Martínez Castrejón EB, Reina-Bautista E, Ventura-Gómez ST, Maldonado Cisneros A, Juárez Ramos JA, Durán MAS, Aguilar Ventura J, Valencia-Ledezma OE, Frías-De-León MG, García Salazar E, et al. Empyema Necessitatis Caused by Prevotella melaninogenica and Dialister pneumosintes Resolved with Vacuum-Assisted Closure System: A Case Report. Microorganisms. 2024; 12(9):1881. https://doi.org/10.3390/microorganisms12091881

Chicago/Turabian Style

Martínez Castrejón, Esteban Bladimir, Erika Reina-Bautista, Sandra Tania Ventura-Gómez, Araceli Maldonado Cisneros, Jessica Alejandra Juárez Ramos, Miguel Alejandro Sánchez Durán, Jesús Aguilar Ventura, Omar Esteban Valencia-Ledezma, María Guadalupe Frías-De-León, Eduardo García Salazar, and et al. 2024. "Empyema Necessitatis Caused by Prevotella melaninogenica and Dialister pneumosintes Resolved with Vacuum-Assisted Closure System: A Case Report" Microorganisms 12, no. 9: 1881. https://doi.org/10.3390/microorganisms12091881

APA Style

Martínez Castrejón, E. B., Reina-Bautista, E., Ventura-Gómez, S. T., Maldonado Cisneros, A., Juárez Ramos, J. A., Durán, M. A. S., Aguilar Ventura, J., Valencia-Ledezma, O. E., Frías-De-León, M. G., García Salazar, E., & Castro-Fuentes, C. A. (2024). Empyema Necessitatis Caused by Prevotella melaninogenica and Dialister pneumosintes Resolved with Vacuum-Assisted Closure System: A Case Report. Microorganisms, 12(9), 1881. https://doi.org/10.3390/microorganisms12091881

Note that from the first issue of 2016, this journal uses article numbers instead of page numbers. See further details here.

Article Metrics

Back to TopTop