The Development of New Primer Sets for the Amplification and Sequencing of the Envelope Gene of All Dengue Virus Serotypes
Abstract
1. Introduction
2. Materials and Methods
2.1. Ethics Statement
2.2. Design of Oligonucleotides
2.3. Viral RNA Extraction
2.4. RT-PCR Assay
2.5. Sequencing
2.6. In Silico PCR
2.7. Viruses
2.8. Clinical Specimens
3. Results
3.1. Primer Design
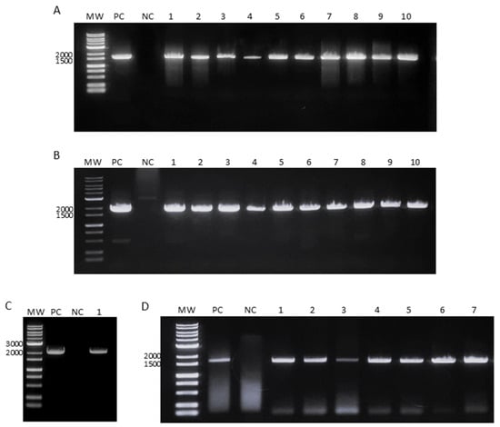
3.2. Viral Sample Detection and Specificity Assay
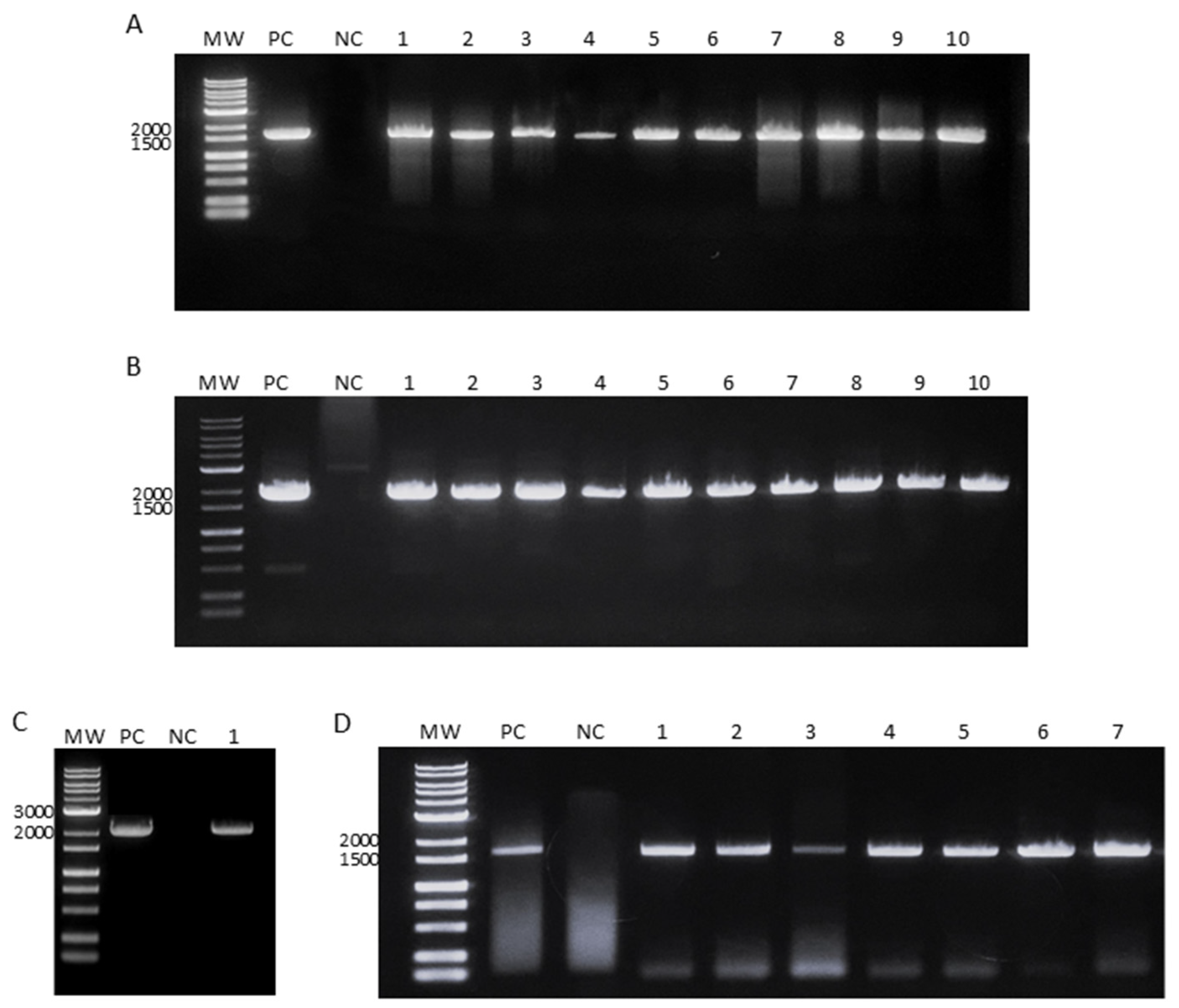
3.3. Clinical Sample Detection
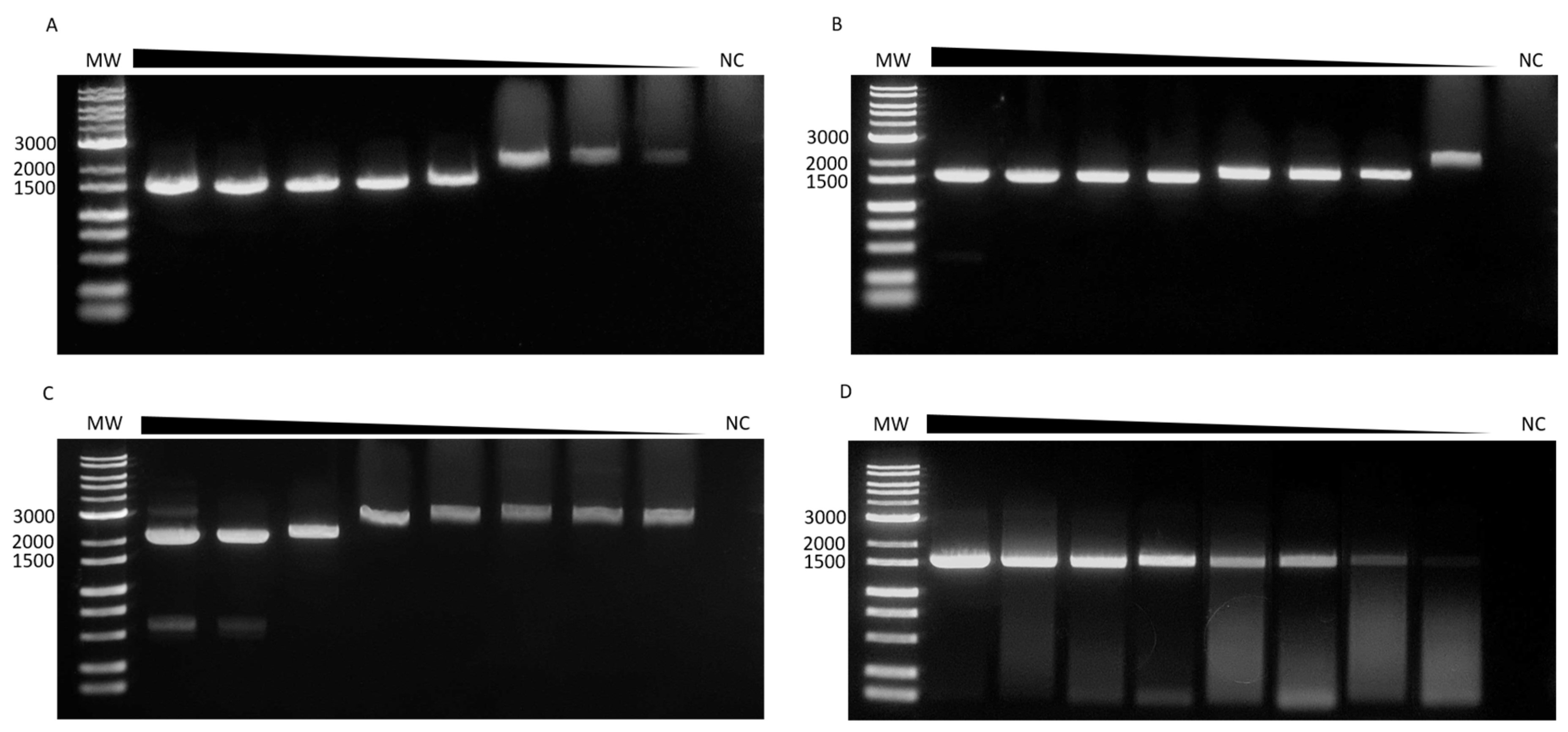
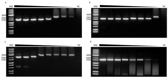
3.4. Sensitivity Analysis
3.5. Sanger Sequencing
4. Discussion
Supplementary Materials
Author Contributions
Funding
Institutional Review Board Statement
Informed Consent Statement
Data Availability Statement
Acknowledgments
Conflicts of Interest
References
- Bhatt, S.; Gething, P.W.; Brady, O.J.; Messina, J.P.; Farlow, A.W.; Moyes, C.L.; Drake, J.M.; Brownstein, J.S.; Hoen, A.G.; Sankoh, O.; et al. The global distribution and burden of dengue. Nature 2013, 496, 504–507. [Google Scholar] [CrossRef] [PubMed]
- Brady, O.J.; Gething, P.W.; Bhatt, S.; Messina, J.P.; Brownstein, J.S.; Hoen, A.G.; Moyes, C.L.; Farlow, A.W.; Scott, T.W.; Hay, S.I. Refining the Global Spatial Limits of Dengue Virus Transmission by Evidence-Based Consensus. PLoS Neglected Trop. Dis. 2012, 6, e1760. [Google Scholar] [CrossRef] [PubMed]
- Robinson, M.; Einav, S. Towards Predicting Progression to Severe Dengue. Trends Microbiol. 2020, 28, 478–486. [Google Scholar] [CrossRef] [PubMed]
- Guzman, M.G.; Harris, E. Dengue. Lancet 2015, 385, 453–465. [Google Scholar] [CrossRef] [PubMed]
- Ranjit, S.; Kissoon, N. Dengue hemorrhagic fever and shock syndromes. Pediatr. Crit. Care Med. 2011, 12, 90–100. [Google Scholar] [CrossRef] [PubMed]
- Guzman, M.G.; Alvarez, M.; Halstead, S.B. Secondary infection as a risk factor for dengue hemorrhagic fever/dengue shock syndrome: An historical perspective and role of antibody-dependent enhancement of infection. Arch. Virol. 2013, 158, 1445–1459. [Google Scholar] [CrossRef] [PubMed]
- Mizumoto, K.; Ejima, K.; Yamamoto, T.; Nishiura, H. On the risk of severe dengue during secondary infection: A systematic review coupled with mathematical modeling. J. Vector Borne Dis. 2014, 51, 153–164. [Google Scholar]
- Choudhury, M.A.; Lott, W.B.; Aaskov, J. Distribution of Fitness in Populations of Dengue Viruses. PLoS ONE 2014, 9, e107264. [Google Scholar] [CrossRef]
- OhAinle, M.; Balmaseda, A.; Macalalad, A.R.; Tellez, Y.; Zody, M.C.; Saborío, S.; Nuñez, A.; Lennon, N.J.; Birren, B.W.; Gordon, A.; et al. Dynamics of Dengue Disease Severity Determined by the Interplay Between Viral Genetics and Serotype-Specific Immunity. Sci. Transl. Med. 2011, 3, 114ra128. [Google Scholar] [CrossRef]
- Gjenero-Margan, I.; Aleraj, B.; Krajcar, D.; Lesnikar, V.; Klobučar, A.; Pem-Novosel, I.; Kurečić-Filipović, S.; Komparak, S.; Martić, R.; Đuričić, S.; et al. Autochthonous dengue fever in Croatia, August–September 2010. Euro Surveill 2011, 16, 19805. [Google Scholar] [CrossRef]
- Succo, T.; Leparc-Goffart, I.; Ferré, J.; Roiz, D.; Broche, B.; Maquart, M.; Noel, H.; Catelinois, O.; Entezam, F.; Caire, D.; et al. Autochthonous dengue outbreak in Nîmes, South of France, July to September 2015. Eurosurveillance 2016, 21, 30240. [Google Scholar] [CrossRef] [PubMed]
- World Health Organization. Dengue and Severe Dengue. Available online: https://www.who.int/news-room/fact-sheets/detail/dengue-and-severe-dengue (accessed on 1 April 2024).
- Togami, E.; Chiew, M.; Lowbridge, C.; Biaukula, V.; Bell, L.; Yajima, A.; Eshofonie, A.; Saulo, D.; Hien, D.T.H.; Otsu, S.; et al. Epidemiology of dengue reported in the World Health Organization’s Western Pacific Region, 2013–2019. West. Pac. Surveill. Response J. WPSAR 2023, 14, 1. [Google Scholar] [CrossRef] [PubMed]
- Tsheten, T.; Gray, D.J.; Clements, A.C.A.; Wangdi, K. Epidemiology and challenges of dengue surveillance in the WHO South-East Asia Region. Trans. R. Soc. Trop. Med. Hyg. 2021, 115, 583–599. [Google Scholar] [CrossRef] [PubMed]
- WHO Regional Office for South-East Asia. Biweekly Epidemiological Bulletin WHO Health Emergencies Programme WHO Regional Office for South-Eat Asia; World Health Organization: Geneva, Switzerland, 2023; pp. 1–15. [Google Scholar]
- World Health Organization. Update on the Dengue situation in the Western Pacific Region—Dengue Situation Update 683; World Health Organization: Geneva, Switzerland, 2023; pp. 1–12. [Google Scholar]
- Bennett, S.N.; Drummond, A.J.; Kapan, D.D.; Suchard, M.A.; Munoz-Jordán, J.L.; Pybus, O.G.; Holmes, E.C.; Gubler, D.J. Epidemic dynamics revealed in dengue evolution. Mol. Biol. Evol. 2010, 27, 811–818. [Google Scholar] [CrossRef] [PubMed]
- Pollett, S.; Melendrez, M.C.; Maljkovic Berry, I.; Duchêne, S.; Salje, H.; Cummings, D.A.T.; Jarman, R.G. Understanding dengue virus evolution to support epidemic surveillance and counter-measure development. Infect. Genet. Evol. 2018, 62, 279–295. [Google Scholar] [CrossRef] [PubMed]
- Rey, F.A.; Stiasny, K.; Vaney, M.C.; Dellarole, M.; Heinz, F.X. The bright and the dark side of human antibody responses to flaviviruses: Lessons for vaccine design. EMBO Rep. 2018, 19, 206–224. [Google Scholar] [CrossRef] [PubMed]
- Lestari, C.S.W.; Yohan, B.; Yunita, A.; Meutiawati, F.; Hayati, R.F.; Trimarsanto, H.; Sasmono, R.T. Phylogenetic and evolutionary analyses of dengue viruses isolated in Jakarta, Indonesia. Virus Genes 2017, 53, 778–788. [Google Scholar] [CrossRef] [PubMed]
- Hamel, R.; Surasombatpattana, P.; Wichit, S.; Dauvé, A.; Donato, C.; Pompon, J.; Vijaykrishna, D.; Liegeois, F.; Vargas, R.M.; Luplertlop, N.; et al. Phylogenetic analysis revealed the co-circulation of four dengue virus serotypes in Southern Thailand. PLoS ONE 2019, 14, e0221179. [Google Scholar] [CrossRef] [PubMed]
- Santiago, G.A.; Gonzalez, G.L.; Cruz-Lopez, F.; Munoz-Jordan, J.L. Development of a Standardized Sanger-Based Method for Partial Sequencing and Genotyping of Dengue Viruses. J. Clin. Microbiol. 2019, 57, e01957-18. [Google Scholar] [CrossRef]
- Li, W.; Godzik, A. Cd-hit: A fast program for clustering and comparing large sets of protein or nucleotide sequences. Bioinformatics 2006, 22, 1658–1659. [Google Scholar] [CrossRef]
- Katoh, K.; Standley, D.M. MAFFT multiple sequence alignment software version 7: Improvements in performance and usability. Mol. Biol. Evol. 2013, 30, 772–780. [Google Scholar] [CrossRef] [PubMed]
- Gouy, M.; Guindon, S.; Gascuel, O. SeaView version 4: A multiplatform graphical user interface for sequence alignment and phylogenetic tree building. Mol. Biol. Evol. 2010, 27, 221–224. [Google Scholar] [CrossRef]
- Rice, P.; Longden, I.; Bleasby, A. EMBOSS: The European Molecular Biology Open Software Suite. Eur. Mol. Biol. Open Softw. Suite 2000, 16, 276–277. [Google Scholar] [CrossRef]
- Untergasser, A.; Cutcutache, I.; Koressaar, T.; Ye, J.; Faircloth, B.C.; Remm, M.; Rozen, S.G. Primer3--new capabilities and interfaces. Nucleic Acids Res 2012, 40, e115. [Google Scholar] [CrossRef] [PubMed]
- Igarashi, A. Isolation of a Singh’s Aedes albopictus Cell Clone Sensitive to Dengue and Chikungunya Viruses. J. Gen. Virol. 1978, 40, 531–544. [Google Scholar] [CrossRef]
- Ewing, B.; Hillier, L.; Wendl, M.C.; Green, P. Base-calling of automated sequencer traces using phred. I. Accuracy assessment. Genome Res 1998, 8, 175–185. [Google Scholar] [CrossRef]
- Green, P. Documentation for PHRAP and CROSS_MATCH 0.990319. 1999. Available online: http://www.phrap.org/phredphrap/phrap.html (accessed on 24 May 2024).
- Tamura, K.; Stecher, G.; Kumar, S. MEGA11: Molecular Evolutionary Genetics Analysis Version 11. Mol. Biol. Evol. 2021, 38, 3022–3027. [Google Scholar] [CrossRef] [PubMed]
- Raafat, N.; Blacksell, S.D.; Maude, R.J. A review of dengue diagnostics and implications for surveillance and control. Trans. R. Soc. Trop. Med. Hyg. 2019, 113, 653–660. [Google Scholar] [CrossRef]
- Sim, S.; Hibberd, M.L. Genomic approaches for understanding dengue: Insights from the virus, vector, and host. Genome Biol. 2016, 17, 38. [Google Scholar] [CrossRef]
- Crossley, B.M.; Bai, J.; Glaser, A.; Maes, R.; Porter, E.; Killian, M.L.; Clement, T.; Toohey-Kurth, K. Guidelines for Sanger sequencing and molecular assay monitoring. J. Vet. Diagn. Investig. 2020, 32, 767–775. [Google Scholar] [CrossRef]
- Santiago, G.A.; Vergne, E.; Quiles, Y.; Cosme, J.; Vazquez, J.; Medina, J.F.; Medina, F.; Colon, C.; Margolis, H.; Munoz-Jordan, J.L. Analytical and clinical performance of the CDC real time RT-PCR assay for detection and typing of dengue virus. PLoS Negl. Trop. Dis. 2013, 7, e2311. [Google Scholar] [CrossRef]
- Kim, J.; Hwang, E.-S. Multiplexed Diagnosis of Four Serotypes of Dengue Virus by Real-time RT-PCR. BioChip J. 2020, 14, 421–428. [Google Scholar] [CrossRef]
- Yin, Z.; Ramshani, Z.; Waggoner, J.J.; Pinsky, B.A.; Senapati, S.; Chang, H.-C. A non-optical multiplexed PCR diagnostic platform for serotype-specific detection of dengue virus. Sens. Actuators B Chem. 2020, 310, 127854. [Google Scholar] [CrossRef]
- Jiang, K.; Lee, J.H.; Fung, T.S.; Wu, J.; Liu, C.; Mi, H.; Rajapakse, R.; Balasuriya, U.B.R.; Peng, Y.K.; Go, Y.Y. Next-generation diagnostic test for dengue virus detection using an ultrafast plasmonic colorimetric RT-PCR strategy. Anal. Chim. Acta 2023, 1274, 341565. [Google Scholar] [CrossRef] [PubMed]
- Rodriguez-Aguilar, E.D.; Martinez-Barnetche, J.; Rodriguez, M.H. Three highly variable genome regions of the four dengue virus serotypes can accurately recapitulate the CDS phylogeny. MethodsX 2022, 9, 101859. [Google Scholar] [CrossRef] [PubMed]
- Drake, J.W.; Holland, J.J. Mutation rates among RNA viruses. Proc. Natl. Acad. Sci. USA 1999, 96, 13910–13913. [Google Scholar] [CrossRef] [PubMed]
- Li, G.; Pan, P.; He, Q.; Kong, X.; Wu, K.; Zhang, W.; Liu, Y.; Huang, H.; Liu, J.; Zhang, Z.; et al. Molecular epidemiology demonstrates that imported and local strains circulated during the 2014 dengue outbreak in Guangzhou, China. Virol. Sin. 2017, 32, 63–72. [Google Scholar] [CrossRef] [PubMed]
- Prajapati, S.; Napit, R.; Bastola, A.; Rauniyar, R.; Shrestha, S.; Lamsal, M.; Adhikari, A.; Bhandari, P.; Yadav, S.R.; Manandhar, K.D. Molecular phylogeny and distribution of dengue virus serotypes circulating in Nepal in 2017. PLoS ONE 2020, 15, e0234929. [Google Scholar] [CrossRef] [PubMed]
- Dutra, K.R.; Drumond, B.P.; de Rezende, I.M.; Nogueira, M.L.; de Oliveira Lopes, D.; Calzavara Silva, C.E.; Siqueira Ferreira, J.M.; Dos Santos, L.L. Molecular surveillance of dengue in Minas Gerais provides insights on dengue virus 1 and 4 circulation in Brazil. J. Med. Virol. 2017, 89, 966–973. [Google Scholar] [CrossRef]
- Nabeshima, T.; Ngwe Tun, M.M.; Thuy, N.T.T.; Hang, N.L.K.; Mai, L.T.Q.; Hasebe, F.; Takamatsu, Y. An outbreak of a novel lineage of dengue virus 2 in Vietnam in 2022. J. Med. Virol. 2023, 95, e29255. [Google Scholar] [CrossRef]
- Ramos-Castañeda, J.; Barreto dos Santos, F.; Martínez-Vega, R.; Galvão de Araujo, J.M.; Joint, G.; Sarti, E. Dengue in Latin America: Systematic Review of Molecular Epidemiological Trends. PLoS Neglected Trop. Dis. 2017, 11, e0005224. [Google Scholar] [CrossRef] [PubMed]




| Location | Serotype | Genotype | Strain |
|---|---|---|---|
| Philippines | DENV-1 | IV | 99St12A |
| DENV-2 | Asian II | 00St22A | |
| DENV-3 | I | SLMC50 | |
| DENV-4 | I | SLMC318 | |
| Myanmar | DENV-1 | I | CH-156/2018 |
| DENV-2 | Asian I | CH-348/2018 | |
| DENV-3 | I | CH-165/2018 | |
| DENV-4 | I | CH-120/2018 | |
| Vietnam | DENV-1 | I | VT22.3473 |
| DENV-2 | Cosmopolitan | VT22.3673 | |
| DENV-3 | I | 01-TN-426 | |
| DENV-4 | I | VT22.3125 | |
| Sri Lanka | DENV-1 | I | P-185/2019 |
| DENV-2 | Cosmopolitan | N-36/2017 | |
| DENV-3 | III | N-189/2017 | |
| DENV-4 | I | N-92/2017 | |
| Malaysia | DENV-1 | I | Mys-2/2019 |
| DENV-2 | Cosmopolitan | Mys-12/2019 | |
| DENV-3 | III | Mys-66/2019 | |
| Nepal | DENV-1 | V | Nepal-10726/2022 |
| DENV-2 | Cosmopolitan | Nepal-14726/2022 | |
| DENV-3 | III | Nepal-10973/2022 | |
| Japan | JEV | III (OH0566) | |
| Ghana | YFV | 17D vaccine strain | |
| Puerto Rico | ZIKV | Asian (PRVABC59) | |
| Primer ID | Sequence | Location 1 |
|---|---|---|
| * DENV1EF | CACAYRCYATAGGRACATCCAT | 858–879 |
| DENV1Eseq1 | ACGTGYGYYAARTTYRAGTGTGT | 1277–1299 |
| DENV1Eseq2 | ACRTTYAAGACAGCYCATGCAAA | 1649–1671 |
| DENV1Eseq3 | ARCAGAYGCRCCATGCAAGAT | 1918–1938 |
| DENV1Eseq4 | GAGRYACHGCATGGGACTT | 2181–2199 |
| * DENV1ER | CTGATCGWATTCCACACACAC | 2577–2597 |
| * DENV2EF | ATCYTGGCATACACCATAGG | 853–872 |
| DENV2Eseq1 | AGAGGATGGGGAAATGGATG | 1231–1250 |
| DENV2Eseq2 | GAARTYAARRTAACACCACAGAG | 1417–1439 |
| DENV2Eseq3 | RGCYACRGAAATCCARATGTC | 1734–1754 |
| DENV2Eseq4 | AYATAGAAGCMGAACCYCCATT | 2033–2054 |
| * DENV2ER | ATRATWCCTTTRATGTCTCCTGTCAT | 2686–2711 |
| * DENV3EF | GCTGAAGGAGCTTGGAGAC | 773–791 |
| DENV3Eseq1 | ARCCYACGYTRGAYATAGAGCT | 1047–1068 |
| DENV3Eseq2 | TCATYACAGTKCACACAGGAGA | 1353–1374 |
| DENV3Eseq3 | CRCAAGAGGGAGCAATGCA | 1692–1710 |
| DENV3Eseq4 | RGGTGCAAGGCGCATG | 2149–2164 |
| * DENV3ER | ARAGWGTGTGTGATTTTGGCC | 3087–3107 |
| * DENV4EF | GARACRTGGATGTCATCGGA | 762–781 |
| DENV4Eseq1 | CAAGATGTCCAACRCAAGGAGA | 1153–1174 |
| DENV4Eseq2 | ATAACYCCYAGGTCACCATC | 1428–1447 |
| DENV4Eseq3 | GGGAATGTCATACACKATGTG | 1823–1843 |
| DENV4Eseq4 | GAYTTTGGYTCHGTTGGTGGA | 2199–2219 |
| * DENV4ER | TCCARGTGTGCACRTTGTC | 2490–2508 |
Disclaimer/Publisher’s Note: The statements, opinions and data contained in all publications are solely those of the individual author(s) and contributor(s) and not of MDPI and/or the editor(s). MDPI and/or the editor(s) disclaim responsibility for any injury to people or property resulting from any ideas, methods, instructions or products referred to in the content. |
© 2024 by the authors. Licensee MDPI, Basel, Switzerland. This article is an open access article distributed under the terms and conditions of the Creative Commons Attribution (CC BY) license (https://creativecommons.org/licenses/by/4.0/).
Share and Cite
Fraenkel, S.; Nabeshima, T.; Xayavong, D.; Nguyen, T.T.N.; Xu, Q.; Kapandji, M.; Yamao, K.; Balingit, J.C.; Pandey, B.D.; Morita, K.; et al. The Development of New Primer Sets for the Amplification and Sequencing of the Envelope Gene of All Dengue Virus Serotypes. Microorganisms 2024, 12, 1092. https://doi.org/10.3390/microorganisms12061092
Fraenkel S, Nabeshima T, Xayavong D, Nguyen TTN, Xu Q, Kapandji M, Yamao K, Balingit JC, Pandey BD, Morita K, et al. The Development of New Primer Sets for the Amplification and Sequencing of the Envelope Gene of All Dengue Virus Serotypes. Microorganisms. 2024; 12(6):1092. https://doi.org/10.3390/microorganisms12061092
Chicago/Turabian StyleFraenkel, Stefania, Takeshi Nabeshima, Dalouny Xayavong, Thi Thanh Ngan Nguyen, Qiang Xu, Merveille Kapandji, Kano Yamao, Jean Claude Balingit, Basu Dev Pandey, Kouichi Morita, and et al. 2024. "The Development of New Primer Sets for the Amplification and Sequencing of the Envelope Gene of All Dengue Virus Serotypes" Microorganisms 12, no. 6: 1092. https://doi.org/10.3390/microorganisms12061092
APA StyleFraenkel, S., Nabeshima, T., Xayavong, D., Nguyen, T. T. N., Xu, Q., Kapandji, M., Yamao, K., Balingit, J. C., Pandey, B. D., Morita, K., Hasebe, F., Ngwe Tun, M. M., & Takamatsu, Y. (2024). The Development of New Primer Sets for the Amplification and Sequencing of the Envelope Gene of All Dengue Virus Serotypes. Microorganisms, 12(6), 1092. https://doi.org/10.3390/microorganisms12061092

