Pathogenicity and Genomic Characteristics Analysis of Pasteurella multocida Serotype A Isolated from Argali Hybrid Sheep
Abstract
1. Introduction
2. Materials and Methods
2.1. Statement on Experimental Animals and Ethics
2.2. Sample Preparation
2.3. Bacterial Isolation and Identification
2.4. Capsular Serological Identification Is Performed
2.5. Assessment of Mouse Pathogenicity
2.6. Library Construction and Genome Sequencing
2.7. Genome Assembly
2.8. Analysis of Genome Components
2.9. Analysis of Genome Functionality
3. Results
3.1. Identification of P. multocida Strains
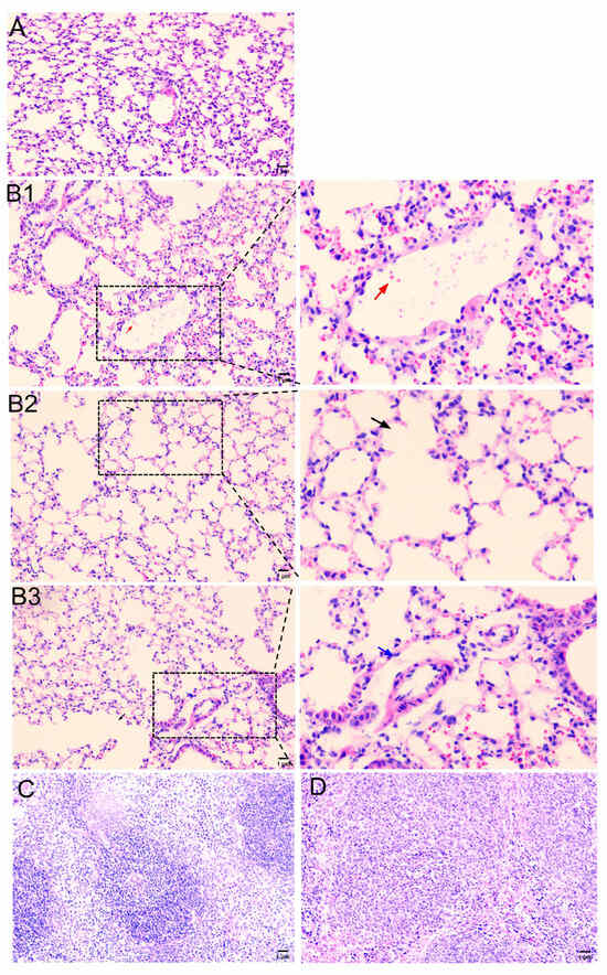
3.2. Mouse Lethality Assay
3.3. Assembly Progress and Overview of the Genome
3.4. Functional Annotation of the P. multocida Genome
3.4.1. Annotation Outcomes for Gene Ontology (GO)
3.4.2. KEGG Annotation Results
3.4.3. COG Annotation Results
3.4.4. NR, Pfam, and Swiss-Prot Annotation
3.4.5. TCDB Annotation
3.4.6. Carbohydrate-Active Enzymes (CAZy) Annotation
3.5. Analysis of Secretion Systems, Secondary Metabolism Gene Clusters
3.6. Analysis of Virulence Genes and Drug Resistance Genes
4. Discussion
5. Conclusions
Supplementary Materials
Author Contributions
Funding
Institutional Review Board Statement
Data Availability Statement
Acknowledgments
Conflicts of Interest
References
- Fang, C. Identification, virulent factors detection and pathogenesis investigation of capsule serotype F Pasteurella multocida isolated from pigs. Chin. J. Prev. Vet. Med. 2017, 39, 210–214. [Google Scholar]
- Carter, G. Studies on Pasteurella multocida. I. A hemagglutination test for the identification of serological types. Am. J. Vet. Res. 1955, 16, 481–484. [Google Scholar] [PubMed]
- Wilkie, I.; Harper, M.; Boyce, J.; Adler, B. Pasteurella multocida: Diseases and pathogenesis. Curr. Top. Microbiol. Immunol. 2012, 361, 1–22. [Google Scholar] [PubMed]
- Getnet, K.; Abera, B.; Getie, H.; Molla, W.; Mekonnen, S.; Megistu, B.; Abat, A.; Dejene, H.; Birhan, M.; Ibrahim, S. Serotyping and Seroprevalence of Mannheimia haemolytica, Pasteurella multocida, and Bibersteinia trehalosi and Assessment of Determinants of Ovine Pasteurellosis in West Amhara Sub-region, Ethiopia. Front. Vet. Sci. 2022, 19, e866206. [Google Scholar] [CrossRef] [PubMed]
- Girma, S.; Getachew, L.; Beyene, A.; Tegegne, D.; Tesgera, T.; Debelo, M.; Debano, J.; Teshome, D.; Abdisa, K.; Wirtu, A.; et al. Identification of serotypes of Mannheimia haemolytica and Pasteurella multocida from pneumonic cases of sheep and goats and their antimicrobial sensitivity profiles in Borana and Arsi zones, Ethiopia. Sci. Rep. 2023, 13, 9008–9018. [Google Scholar] [CrossRef] [PubMed]
- Wu, C. Mixed infections of serotype D Pasteurella multocida and Mycoplasma ovipneumoniae in Goats. Prog. Vet. Med. 2020, 41, 57–61. [Google Scholar]
- Besser, T.; Cassirer, E.; Potter, K.; VanderSchalie, J.; Fischer, A.; Knowles, D.; Herndon, D.; Rurangirwa, F.; Weiser, G.; Srikumaran, S. Association of Mycoplasma ovipneumoniae infection with population-limiting respiratory disease in free-ranging Rocky Mountain bighorn sheep (Ovis canadensis canadensis). J. Clin. Microbiol. 2008, 46, 423–430. [Google Scholar] [CrossRef] [PubMed]
- Cornish, T.E.; Smiley, R.A.; Wagler, B.L.; Gregory, Z.; Lutz, D.; Hnilicka, P.; Monteith, K.L.; Edwards, W.H. Pathology of Chronic Mycoplasma ovipneumoniae Carriers in a Declining Bighorn Sheep (Ovis canadensis) Population. J. Wildl. Dis. 2024, 60, 448–460. [Google Scholar]
- Wood, M.E.; Fox, K.A.; Jennings-Gaines, J.; Killion, H.J.; Amundson, S.; Miller, M.W.; Edwards, W.H. How Respiratory Pathogens Contribute to Lamb Mortality in a Poorly Performing Bighorn Sheep ( Ovis canadensis ) Herd. J. Wildl. Dis. 2017, 53, 126–130. [Google Scholar] [CrossRef]
- Zhou, H. Isolation, identification and biological characteristics of Pasteurella multocida from sheep. Anim. Husb. Vet. Med. 2022, 54, 88–95. [Google Scholar]
- Tagini, F.; Greub, G. Bacterial genome sequencing in clinical microbiology: A pathogen-oriented review. Eur. J. Clin. Microbiol. Infect. Dis. Off. Publ. Eur. Soc. Clin. Microbiol. 2017, 36, 2007–2020. [Google Scholar] [CrossRef] [PubMed]
- Eid, J.; Fehr, A.; Gray, J.; Luong, K.; Lyle, J.; Otto, G.; Peluso, P.; Rank, D.; Baybayan, P.; Bettman, B.; et al. Real-time DNA sequencing from single polymerase molecules. Science 2009, 323, 133–138. [Google Scholar] [CrossRef] [PubMed]
- Zengqiang, L.; Zhihui, D.; Jie, L.; Yanming, S. Comparative analysis on lung transcriptome of Mycoplasma ovipneumoniae (Mo)-infected Bashbay sheep and argali hybrid sheep. BMC Vet. Res. 2021, 17, 327. [Google Scholar]
- Townsend, K.; Boyce, J.; Chung, J.; Frost, A.; Adler, B. Genetic organization of Pasteurella multocida cap Loci and development of a multiplex capsular PCR typing system. J. Clin. Microbiol. 2001, 39, 924–929. [Google Scholar] [CrossRef] [PubMed]
- Ling, X. Losartan regulates oxidative stress via caveolin-1 and NOX4 in mice with ventilator-induced lung injury. J. South. Med. Univ. 2015, 35, 1739–1744. [Google Scholar]
- Besemer, J.; Lomsadze, A.; Borodovsky, M. GeneMarkS: A self-training method for prediction of gene starts in microbial genomes. Implications for finding sequence motifs in regulatory regions. Nucleic Acids Res. 2001, 29, 2607–2618. [Google Scholar] [CrossRef] [PubMed]
- Saha, S.; Bridges, S.; Magbanua, Z.V.; Peterson, D.G. Empirical comparison of ab initio repeat finding programs. Nucleic Acids Res. 2008, 36, 2284–2294. [Google Scholar] [CrossRef] [PubMed]
- Benson, G. Tandem repeats finder: A program to analyze DNA sequences. Nucleic Acids Res. 1999, 27, 573–580. [Google Scholar] [CrossRef]
- Lowe, T.; Eddy, S. tRNAscan-SE: A program for improved detection of transfer RNA genes in genomic sequence. Nucleic Acids Res. 1997, 25, 955–964. [Google Scholar] [CrossRef]
- Lagesen, K.; Hallin, P.; Rødland, E.; Staerfeldt, H.; Rognes, T.; Ussery, D. RNAmmer: Consistent and rapid annotation of ribosomal RNA genes. Nucleic Acids Res. 2007, 35, 3100–3108. [Google Scholar] [CrossRef]
- Hsiao, W.; Wan, I.; Jones, S.; Brinkman, F. IslandPath: Aiding detection of genomic islands in prokaryotes. Bioinformatics 2003, 19, 418–420. [Google Scholar] [CrossRef]
- Zhou, Y.; Liang, Y.; Lynch, K.; Dennis, J.; Wishart, D. PHAST: A fast phage search tool. Nucleic Acids Res. 2011, 39, W347–W352. [Google Scholar] [CrossRef] [PubMed]
- Grissa, I.; Vergnaud, G.; Pourcel, C. CRISPRFinder: A web tool to identify clustered regularly interspaced short palindromic repeats. Nucleic Acids Res. 2007, 35, W52–W57. [Google Scholar] [CrossRef] [PubMed]
- Eichinger, V.; Nussbaumer, T.; Platzer, A.; Jehl, M.; Arnold, R.; Rattei, T. EffectiveDB--updates and novel features for a better annotation of bacterial secreted proteins and Type III, IV, VI secretion systems. Nucleic Acids Res. 2016, 44, D669–D674. [Google Scholar] [CrossRef] [PubMed]
- Medema, M.; Blin, K.; Cimermancic, P.; de Jager, V.; Zakrzewski, P.; Fischbach, M.; Weber, T.; Takano, E.; Breitling, R. antiSMASH: Rapid identification, annotation and analysis of secondary metabolite biosynthesis gene clusters in bacterial and fungal genome sequences. Nucleic Acids Res. 2011, 39, W339–W346. [Google Scholar] [CrossRef] [PubMed]
- Prajapati, A.; Yogisharadhya, R.; Mohanty, N.; Mendem, S.; Chanda, M.; Siddaramappa, S.; Shivachandra, S. Pasteurella multocidaComparative genome analysis of strains of porcine origin. Genome 2024, 67, 13–23. [Google Scholar] [CrossRef] [PubMed]
- Peng, Z.; Liang, W.; Wang, Y.; Liu, W.; Zhang, H.; Yu, T.; Zhang, A.; Chen, H.; Wu, B. Experimental pathogenicity and complete genome characterization of a pig origin Pasteurella multocida serogroup F isolate HN07. Vet. Microbiol. 2017, 198, 23–33. [Google Scholar] [CrossRef] [PubMed]
- Li, J.; Sun, C.; Cai, W.; Li, J.; Rosen, B.; Chen, J. Insights into S-adenosyl-l-methionine (SAM)-dependent methyltransferase related diseases and genetic polymorphisms. Mutat. Res. Rev. Mutat. Res. 2021, 788, e108396. [Google Scholar] [CrossRef]
- Peng, Z.; Wang, X.; Zhou, R.; Chen, H.; Wilson, B.; Wu, B. Pasteurella multocida: Genotypes and Genomics. Microbiol. Mol. Biol. Rev. MMBR 2019, 83, e00014-19. [Google Scholar] [CrossRef]
- Coburn, B.; Sekirov, I.; Finlay, B. Type III secretion systems and disease. Clin. Microbiol. Rev. 2007, 20, 535–549. [Google Scholar] [CrossRef]
- Schroeder, G.; Petty, N.; Mousnier, A.; Harding, C.; Vogrin, A.; Wee, B.; Fry, N.; Harrison, T.; Newton, H.; Thomson, N.; et al. Legionella pneumophila strain 130b possesses a unique combination of type IV secretion systems and novel Dot/Icm secretion system effector proteins. J. Bacteriol. 2010, 192, 6001–6016. [Google Scholar] [CrossRef] [PubMed]
- Valenzuela-Valderas, K.N.; Moreno-Hagelsieb, G.; Rohde, J.R.; Garduño, R.A. The Functional Differences between the GroEL Chaperonin of Escherichia coli and the HtpB Chaperonin of Legionella pneumophila Can Be Mapped to Specific Amino Acid Residues. Biomolecules 2021, 12, 59. [Google Scholar] [CrossRef] [PubMed]
- Li, Y.; Xiao, J.; Cai, Q.; Chang, Y.; Li, R.; He, X.; Teng, Y.; Zhang, H.; Zhang, X.; Xie, Q. Whole genome characterization of a multidrug-resistant hypervirulent Pasteurella multocida with a new drug-resistant plasmid. Poult. Sci. 2023, 102, e102583. [Google Scholar] [CrossRef]
- Liu, W.; Yang, M.; Xu, Z.; Zheng, H.; Liang, W.; Zhou, R.; Wu, B.; Chen, H. Complete genome sequence of Pasteurella multocida HN06, a toxigenic strain of serogroup D. J. Bacteriol. 2012, 194, 3292–3293. [Google Scholar] [CrossRef]
- Tatum, F.; Tabatabai, L.; Briggs, R. Protection against fowl cholera conferred by vaccination with recombinant Pasteurella multocida filamentous hemagglutinin peptides. Avian Dis. 2009, 53, 169–174. [Google Scholar] [CrossRef] [PubMed]
- Petruzzi, B.; Briggs, R.; Tatum, F.; Swords, W.; De Castro, C.; Molinaro, A.; Inzana, T. Pasteurella multocidaCapsular Polysaccharide Interferes with Biofilm Formation by Serogroup A. mBio 2017, 8, e01843-17. [Google Scholar] [CrossRef]
- Harper, M.; Boyce, J. The Myriad Properties of Pasteurella multocida Lipopolysaccharide. Toxins 2017, 9, 254–275. [Google Scholar] [CrossRef] [PubMed]
- Elswaifi, S.; Scarratt, W.; Inzana, T. The role of lipooligosaccharide phosphorylcholine in colonization and pathogenesis of Histophilus somni in cattle. Vet. Res. 2012, 43, 49–62. [Google Scholar] [CrossRef] [PubMed]
- Wilson, B.; Ho, M. Pasteurella multocida: From zoonosis to cellular microbiology. Clin. Microbiol. Rev. 2013, 26, 631–655. [Google Scholar] [CrossRef] [PubMed]
- Van Vliet, A.; Wooldridge, K.; Ketley, J. Iron-responsive gene regulation in a campylobacter jejuni fur mutant. J. Bacteriol. 1998, 180, 5291–5298. [Google Scholar] [CrossRef]
- Guerry, P.; Perez-Casal, J.; Yao, R.; McVeigh, A.; Trust, T. A genetic locus involved in iron utilization unique to some Campylobacter strains. J. Bacteriol. 1997, 179, 3997–4002. [Google Scholar] [CrossRef] [PubMed]
- Pickett, C.; Auffenberg, T.; Pesci, E.; Sheen, V.; Jusuf, S. Iron acquisition and hemolysin production by Campylobacter jejuni. Infect. Immun. 1992, 60, 3872–3877. [Google Scholar] [CrossRef] [PubMed]
- Yang, L.; Zhu, Y.; Peng, Z.; Ding, Y.; Jie, K.; Wang, Z.; Peng, Y.; Tang, X.; Wang, X.; Chen, H.; et al. Erysipelothrix rhusiopathiaeComparative Genome Analysis of a Pathogenic Isolate WH13013 from Pig Reveals Potential Genes Involve in Bacterial Adaptions and Pathogenesis. Vet. Sci. 2020, 7, 74–87. [Google Scholar] [CrossRef] [PubMed]
- Lee, N.; Lee, H.; Lee, K.; Han, S.; Park, S. Vibrio vulnificus IlpA induces MAPK-mediated cytokine production via TLR1/2 activation in THP-1 cells, a human monocytic cell line. Mol. Immunol. 2011, 49, 143–154. [Google Scholar] [CrossRef] [PubMed]
- Merino, S.; Tomás, J. Gram-negative flagella glycosylation. Int. J. Mol. Sci. 2014, 15, 2840–2857. [Google Scholar] [CrossRef] [PubMed]
- Verma, A.; Arora, S.; Kuravi, S.; Ramphal, R. Roles of specific amino acids in the N terminus of Pseudomonas aeruginosa flagellin and of flagellin glycosylation in the innate immune response. Infect. Immun. 2005, 73, 8237–8246. [Google Scholar] [CrossRef]
- Low, K.; Howell, P. Gram-negative synthase-dependent exopolysaccharide biosynthetic machines. Curr. Opin. Struct. Biol. 2018, 53, 32–44. [Google Scholar] [CrossRef] [PubMed]
- Gao, L.; Qiao, X.; Zhang, L.; Wang, Y.; Wan, Y.; Chen, C. Nitric oxide inhibits alginate biosynthesis in Pseudomonas aeruginosa and increases its sensitivity to tobramycin by downregulating algU gene expression. Nitric Oxide Biol. Chem. 2022, 128, 50–58. [Google Scholar] [CrossRef]
- Roy Chowdhury, P.; Alhamami, T.; Venter, H.; Veltman, T.; Carr, M.; Mollinger, J.; Trott, D.; Djordjevic, S. Complete Genome Sequence of Pasteurella multocida Sequence Type 394, Isolated from a Case of Bovine Respiratory Disease in Australia. Microbiol. Resour. Announc. 2022, 11, e0089021. [Google Scholar] [CrossRef]







| Item | Number | Item | Number | 
|---|---|---|---|
| Genome Size (bp) | 2,378,508 | Genomics Islands Number | 2 | 
| Gene Number | 2418 | Genomics Islands Total Length (bp) | 12,256 | 
| Combined Gene Length (bp) | 2,051,916 | Average Genomics Islands Length (bp) | 6128 | 
| Gene Average Length (bp) | 849 | Prophage Number | 19 | 
| Total Length of Intergenic Region (bp) | 326,592 | Prophage Total Length (bp) | 137,621 | 
| GC Content (%) | 40.89 | Prophage Average Length (bp) | 7243.21 | 
| Intergenic Region GC Content (%) | 35.72 | rRNA Number | 13 | 
| Gene Length/of Genome (%) | 86.27 | tRNA Number | 58 | 
| Intergenic region Length/Genome (%) | 13.73 | sRNA Number | 8 | 
| Tandem Repeat Number | 80 | CRISPR Number | 8 | 
| Tandem Repeat (bp) | 5–144 | CRISPR Length (bp) | 1199 | 
| Tandem Repeat Total Length (bp) | 4511 | CRISPR Average Length (bp) | 149.875 | 
| Tandem Repeat Total Length/Genome (%) | 0.1897 | Microsatellite DNA Number | 4 | 
| Minisatellite DNA Number | 64 | 
| Strain (GenBank Accession No.) | Host | Year | Country | Serogroup | 
|---|---|---|---|---|
| Pasteurella multocida 40540 (CP097796.1) | turkey | 2022 | Denmark | A:12 | 
| Pasteurella multocida 29135 (CP097797.1) | turkey | 2022 | Denmark | A:10, 12 | 
| Pasteurella multocida LXSS001 (CP119523.1) | rabbit | 2022 | China | / | 
| Pasteurella multocida 33011 (CP097612.1) | avian | 2022 | USA | / | 
| Pasteurella multocida PF17 (CP112895.1) | rabbit | 2021 | China | F | 
| Pasteurella multocida IMT47951 (CP087380.1) | bovine | 2019 | Germany | / | 
| Pasteurella multocida HN02 (CP037865.1) | sheep | 2018 | China | / | 
| Pasteurella multocida RCAD0730 (CP059704.1) | duck | 2018 | China | / | 
| Pasteurella multocida HN07 (CP007040.1) | pig | 2017 | China | F | 
| Pasteurella multocida Pm1 (AP025519.1) | bovine | 2017 | Japan | / | 
| Pasteurella multocida 17BRD-035 (CP082272.1) | bovine | 2017 | Australia | / | 
| Pasteurella multocida 3480 (CP001409.1) | pig | 2014 | USA | A | 
| Pasteurella multocida USDA-ARS-USMARC-60712 (CP015566.1) | bovine | 2014 | USA | / | 
| Pasteurella multocida CQ2 (CP033599.1) | bovine | 2013 | China | A | 
| Pasteurella multocida HN06 (NC_017027.1) | pig | 2003 | China | D | 
| Function | Virulence Factors | Related Genes | 
|---|---|---|
| Adherence | Polar flagella | flmH | 
| IlpA | IlpA | |
| Flagella | fleR/flrC | |
| Alginate | algU | |
| type IV pili | vfr, hofC, ptfA, comE/pilQ | |
| Hsp60 | htpB | |
| P5 protein | ompP5 | |
| EF-Tu | Fphi_1039 | |
| Autoinducer-2 | luxS | |
| ClpP | clpP | |
| Invasion | LPS | OOM_1046, fabZ, acpXL, kdtB | 
| Polar flagella | flmH | |
| LOS | rfaD, rfaE | |
| Chu | chuV | |
| Capsule | lipA | |
| Immune modulation | LOS | wecA, msbB, lpxB, lpxA, lpxD, rfaD, rffG, yhxB/manB, lpxC, gmhA/lpcA, lpxH, lsgA, lsgB, lsgD, lsgE, lsgF, kpsF, kdsA, lex2B, lic2A, lgtA, lgtC, orfM, htrB, rfaE, msbA, lpxK, kdsB, galU, waaQ, msbA, opsX/rfaC, kdkA, kdtA, lgtF, CFF8240_1412, galE, opsX/rfaC, rfaF | 
| Motility | Polar flagella | flmH | 
| Antiphagocytosis | Capsule | KOX_25165, uppS, oppF, BJAB07104_00090, bexA, ctrC, bexC, bexD, ugd, oppF, hscB, lipA, gnd, Fphi_1467 | 
| Iron uptake | Fur | fur | 
| Chu | chuV | |
| Biofilm formation | Flagella | fleR/flrC | 
| Alginate | algU | 
| Disclaimer/Publisher’s Note: The statements, opinions and data contained in all publications are solely those of the individual author(s) and contributor(s) and not of MDPI and/or the editor(s). MDPI and/or the editor(s) disclaim responsibility for any injury to people or property resulting from any ideas, methods, instructions or products referred to in the content. | 
© 2024 by the authors. Licensee MDPI, Basel, Switzerland. This article is an open access article distributed under the terms and conditions of the Creative Commons Attribution (CC BY) license (https://creativecommons.org/licenses/by/4.0/).
Share and Cite
Cao, X.; Gu, L.; Gao, Z.; Fan, W.; Zhang, Q.; Sheng, J.; Zhang, Y.; Sun, Y. Pathogenicity and Genomic Characteristics Analysis of Pasteurella multocida Serotype A Isolated from Argali Hybrid Sheep. Microorganisms 2024, 12, 1072. https://doi.org/10.3390/microorganisms12061072
Cao X, Gu L, Gao Z, Fan W, Zhang Q, Sheng J, Zhang Y, Sun Y. Pathogenicity and Genomic Characteristics Analysis of Pasteurella multocida Serotype A Isolated from Argali Hybrid Sheep. Microorganisms. 2024; 12(6):1072. https://doi.org/10.3390/microorganisms12061072
Chicago/Turabian StyleCao, Xinyan, Lanying Gu, Zhiyu Gao, Wenyu Fan, Qinchuan Zhang, Jinliang Sheng, Yanbing Zhang, and Yanming Sun. 2024. "Pathogenicity and Genomic Characteristics Analysis of Pasteurella multocida Serotype A Isolated from Argali Hybrid Sheep" Microorganisms 12, no. 6: 1072. https://doi.org/10.3390/microorganisms12061072
APA StyleCao, X., Gu, L., Gao, Z., Fan, W., Zhang, Q., Sheng, J., Zhang, Y., & Sun, Y. (2024). Pathogenicity and Genomic Characteristics Analysis of Pasteurella multocida Serotype A Isolated from Argali Hybrid Sheep. Microorganisms, 12(6), 1072. https://doi.org/10.3390/microorganisms12061072
 
        


 
       