You are currently viewing a new version of our website. To view the old version click .
Microorganisms
  • Article
  • Open Access

13 November 2024

Investigation of Antibiotic Resistance of E. coli Associated with Farm Animal Feces with Participation of Citizen Scientists

,
,
,
and
1
Institute of Chemical Biology and Fundamental Medicine SB RAS, 630090 Novosibirsk, Russia
2
Faculty of Natural Sciences, Novosibirsk State University, 630090 Novosibirsk, Russia
3
Chair of Biology and Chemistry, Vologda State University, 160000 Vologda, Russia
4
V.M. Gorbatov Federal Research Center for Food Systems, 109316 Moscow, Russia
This article belongs to the Special Issue Veterinary Microbiology and Diagnostics

Abstract

This paper presents the findings of a large-scale study on antibiotic resistance in bacteria found in farm animal feces across Russia. The study included 6578 samples of farm animal manure from 13 regions in Russia, with the help of citizen scientists. Molecular and microbiological methods were used to analyze 1111 samples of E. coli. The microbiological analysis focused on culturing the microorganisms present in the fecal samples on selective media for E. coli and evaluating the sensitivity of the bacteria to different antibiotics, including ampicillin, tetracycline, chloramphenicol, cefotaxime, and ciprofloxacin. The molecular analysis involved isolating the genomic DNA of the bacteria and conducting PCR assays to detect the vanA, vanB, and mcr-1 antibiotic resistance genes. The results demonstrated significant differences in antibiotic sensitivity of the samples that are morphologically identical to E. coli from different regions. For example, 98.0% and 82.5% of E. coli and other fecal bacterial isolates from the Omsk and Vologda regions lacked antibiotic resistance genes, while 97.7% of samples from the Voronezh region possessed three resistance genes simultaneously. The phenotypic antibiotic sensitivity test also revealed regional differences. For instance, 98.1% of fecal bacterial samples from cattle in the Udmurt Republic were sensitive to all five antibiotics tested, whereas 92.8% of samples from the Voronezh region showed resistance to all five antibiotics. The high level of antibiotic resistance observed may be attributed to their use in farming practices. The distinctive feature of our research is that comprehensive geographical coverage was achieved by using a citizen science platform. Citizen scientists, specifically students from colleges and universities, were responsible for the collection and initial analysis of samples. The project attracted 3096 student participants, enabling the collection and analysis of a significant number of samples from various locations in Russia.

1. Introduction

Antibiotics have proven effective in both human and veterinary medicine, but the inappropriate use of these medications results in the emergence of antibiotic-resistant bacteria [1,2,3]. Livestock production is considered a major factor in the spread of antibiotic resistance genes in the environment. Antibiotic resistance genes have the potential to spread among animals, the environment, and humans through vertical gene transfer caused by the rapid growth of host bacteria or through horizontal gene transfer facilitated by mobile genetic elements [4]. The international community recognizes the gravity of the situation regarding the development of resistance to antibiotics, especially reserved antibiotics. It is possible for resistance genes to propagate on a global scale, including in regions that are already burdened with high levels of antimicrobial resistance. The emergence of multidrug-resistant bacteria can give rise to a grave public health concern [5].
The countries that have the highest proportion of global antibiotic consumption in livestock are China, the USA, Brazil, India, and Germany [6]. Most middle- and low-income countries lack a clear legislative framework for the use of antimicrobials in livestock [7]. The use of antibiotics in Russian agriculture is poorly regulated. Unfortunately, agricultural producers are not held accountable for the uncontrolled use of antibiotics. There is no system for assessing the need to use antibiotics in either livestock or crop production, and there is no control over the decisions of veterinarians and agronomists [8]. In total, several thousand different natural and synthetic substances are known to be used as antibiotics, while only a few types of antibiotics are monitored in Russia [9]. The All-Russian State Center for Quality and Standardization of Animal Drugs and Feed (VGNKI) often finds antibiotics in feed for farm animals, although this is prohibited. Research into the prevalence of antibiotic-resistant microorganisms in Russia is practically non-existent.
Several studies conducted in different countries described antimicrobials in livestock and reported resistance to ampicillin, tetracycline, and streptomycin [10]. The elevated level of resistance to tetracycline and ampicillin can be attributed to the extensive historical usage of these antimicrobials for therapeutic and prophylactic purposes [11]. A low percentage (<20%) of E. coli isolates resistant to at least one antimicrobial have been reported in cattle feces in countries such as the United States, Germany, and Denmark [12]. The widespread use of beta-lactams, aminoglycosides, fluoroquinolones, and macrolides has led to the antimicrobial resistance in Vietnam [13]. Resistance to at least one antibiotic was found in isolates of E. coli from 48% of calves in Sweden [14].
The two most important reserve antibiotics are colistin and vancomycin, and the detection of resistance to these antibiotics poses a serious public health threat. Colistin has been widely used in veterinary medicine in Asian, European, and North American countries, with its human use being limited due to its neuro- and nephrotoxicity [15,16,17]. However, the emergence of multidrug-resistant Gram-negative bacteria (such as Enterobacteriaceae, Pseudomonas aeruginosa, and Acinetobacter baumannii) has led to the increased use of colistin as an antibiotic of last resort [18]. The colistin resistance gene (mcr-1), which confers plasmid-mediated colistin resistance, was first discovered in China in 2015 and in Korea in 2016 [17,19]. Then, the mcr-1 gene was identified in diverse bacterial species in over 50 countries [20]. Following the first discovery of the colistin resistance gene mcr-1, four additional mcr genes were described: mcr-2 [21], mcr-3 [22], mcr-4 [23], and mcr-5 [24]. The mcr genes are more commonly found in animal fecal isolates. However, numerous instances of human infection have been reported caused by strains carrying mcr-1, mcr-3, or mcr-4 [25,26,27].
The resistance to vancomycin is associated with two types of gene clusters, designated vanA and vanB [28]. Vancomycin-resistant enterococci strains were first isolated in the late 1970s and have subsequently exhibited rapid worldwide dissemination [29]. The first documented clinical infection caused by vancomycin-resistant S. aureus was reported in Japan in May 1996 [30]. Later, vancomycin-resistant S. aureus strains were isolated in the United States, Australia, Europe, and other Asian countries [31].
Two main approaches are used to detect antibiotic resistance in farm animal fecal microorganisms: molecular (detection of antibiotic resistance genes based on PCR and sequencing) and microbiological (phenotypic detection of antibiotic resistance). Although culture-based methods are reference methods [32,33], they are time-consuming, more labor-intensive, and less cost-effective [34]. For example, the rapid automated GeneXpert vanA/vanB assay [33,35] provides results in less than an hour, while culture methods can take several days [36,37]. Another limitation of microbiological detection of vancomycin resistance genes is the difficulty in differentiating vanA and vanB genes: the vanA gene confers resistance to vancomycin and teicoplanin, whereas the vanB gene confers variable resistance to vancomycin, but susceptibility to teicoplanin [38]. In addition, according to CLSI guidelines, the disk diffusion method cannot reflect colistin resistance [39].
This study is distinguished by the active participation of citizen scientists in obtaining experimental results, with one objective of the study being to impart training in molecular biology and microbiology to students. Therefore, the crowdsourcing approach to determining antibiotic resistance in bacteria combined both approaches.
Despite the frequent use of antibiotics in veterinary medicine, there has been a lack of practical studies on the prevalence of antibiotic resistance in intestinal bacterial isolates from farm animals in Russia. In addition, the scope of research on microbial communities related to farm animals is usually restricted to the study of a single farm. The lack of large-scale studies on farm microbial communities in Russia can be attributed to the limited number of researchers, logistical challenges, and the high cost [40,41].
Overcoming the barriers discussed above is made possible by the involvement of citizen scientists. Citizen scientists team up to solve a scientific problem in communities guided by researchers [42]. It was our anticipation that using citizen science tools would enable us to gather a substantial number of samples and conduct their initial analysis, ultimately contributing to a comprehensive examination of the fecal microbiome of farm animals in Russia. In this study, the citizen science tools were used to collect 6578 samples of farm animal manure from 13 regions of Russia. Bacterial strains were isolated from animal fecal samples. Antibiotic resistance (ampicillin, tetracycline, chloramphenicol, cefotaxime, and ciprofloxacin) and prevalence of colistin (mcr-1) and vancomycin (vanA and vanB) resistance genes were analyzed for 1111 samples that were identified as E. coli. The research program involved the participation of 27 mentors and 3,096 college and university students. Involvement of citizen scientists became possible through the methods developed by scientists of Gorbatov Federal Research Center for Food Systems (Moscow, Russia), clear description of requirements for sample collection, metadata entry, and results analysis. Special kits with all the necessary reagents to conduct experiments in a crowdsourced format were developed. An educational program was developed to attract mentors to the project. This program provided training for mentors to conduct the collection of research material and its analysis with the students.

2. Materials and Methods

2.1. Citizen Science Recruitment and Mentor Training

This study was implemented in a network format, with scientific supervisors of the project (professional scientists) supervising the work of mentors and the mentors supervising the work of students. At the initial stage, “reference sites” were created based on educational institutions: colleges and universities having the necessary laboratory and educational infrastructure to participate in the research program. An arrangement was made to engage universities and colleges through invitation letters in the study. The outcome of this process led to the selection of 18 educational institutions situated across 13 regions in Russia. At each of the reference sites, a systematic approach was employed to arrange the collection, storage, accounting, analysis, and transportation of samples, followed by a meticulous review of metadata accuracy. One of the primary purposes of these sites was to involve students in conducting research. The study attracted a significant number of participants and mentors from agricultural and agricultural colleges, as access to agricultural facilities was a mandatory requirement.
In this study, crowdsourcing was employed for both sampling and experimentation purposes, specifically for isolating individual colonies and assessing their antibiotic resistance using the proposed methodologies. Specially designed kits containing all the requisite reagents for experiments were developed and distributed to the regions for research, alongside a comprehensive training program for students and their mentors.
The mentors were assigned the following tasks:
  • To organize and supervise the research team for sample collection and investigation;
  • To be familiar with the techniques of collecting, describing, storing, and transporting specimens according to research areas;
  • To organize the transfer of samples to V. M. Gorbatov Federal Research Center for Food Systems;
  • To organize the educational process based on the research activities of the program participants, to analyze the results with the participants, and to record the results under the requirements of educational institutions.

2.2. Sample Collection and Reagents

Special universal transportation kits were developed to collect manure samples. Two types of kits “kit for microbiological examination of samples” and “kit for examination of samples by PCR method” (MBU-Technology, Novosibirsk, Russia) were developed for examination of these samples. Each transport kit was provided with an individual unique number for sample labeling and instructions for use.
The protocol used in this work was developed specifically for this study. We relied on data from the study of antibiotic resistance of E. coli strains in feces of cattle [43,44], wild animals [45], and poultry [46,47].
The universal biological sample collection kit included the following:
  • Sample transportation medium;
  • Sample description questionnaire (species, age of the animal, life history of the animal, medication intake, farm coordinates, etc.);
  • Sample collection instructions.
The mentors organized field trips for the trainees to farms for sample collection and description. Fecal samples were collected from farm animals: cows, pigs, horses, and poultry (chickens, ducks, turkeys, and geese). The students, under the guidance of mentors, collected manure samples, filled out questionnaires about animal housing, and entered the data into a common electronic database. Bacterial strains corresponding morphologically and physiologically to E. coli were isolated from the fecal samples. The antibiotic resistance of E. coli was then analyzed using molecular and microbiological methods. Under the guidance of mentors, laboratory tests were conducted on the samples using one of the proposed methods.

2.3. Molecular Analysis of Samples

Genomic DNA was isolated from E. coli samples obtained by microbiological methods (see Section 2.4) by adding 100 µL of buffer containing 25 mM NaOH, 0.2 mM disodium EDTA, pH 12, incubated for 15 min at 95 °C, and centrifuged for 10 min at 12,000× g to the bacterial sample. The supernatant was neutralized by adding 200 μL of 40 mM Tris-HCl, pH 5.
Antibiotic resistance of bacteria was analyzed by PCR using the developed kit “kit for examination of samples by the PCR method” (MBU-Technology, Novosibirsk, Russia). The samples were analyzed for the presence of antibiotic resistance genes vanA, vanB, and mcr-1. The kit included instructions, pre-made reaction mixture containing one primer pair (vanA, vanB, or mcr-1), Taq polymerase, positive and negative controls, molecular weight markers, application buffer (1% SDS, 20 mM EDTA, pH 8.0, 30% glycerol and 0.005% bromophenol blue), DNA extraction solutions (cell lysis buffer: 25 mM NaOH, 0.2 mM disodium EDTA, pH 12, neutralization buffer: 40 mM Tris-HCl, pH 5), agarose, and TAE-50×. The primers used are summarized in Table 1.
Table 1. Primers used in the study.
The reaction mixture (14 μL) was supplemented with 1 μL of Taq polymerase and 5 μL of isolated DNA. Positive and negative controls were used for each reaction. The reaction was performed in an amplifier with the following parameters:
Stage 1: 95 °C for 15 min;
Stage 2: 35 cycles (95 °C for 10 s, 59 °C for 10 s, and 72 °C for 30 s).
The PCR products were separated in a 1.5% agarose gel, stained with ethidium bromide, and visualized using a UV transilluminator or a commercial Gel-doc system.

2.4. Microbiological Analysis of Samples

The “kit for microbiological examination of samples” (MBU-Technology, Novosibirsk, Russia) included instructions, endo-agar medium (Sredoff, St. Petersburg, Russia), nutrient agar—dry nutritional supplement based on fish meal hydrolysate (GRM) (Sredoff, St. Petersburg, Russia), Gram staining kit (Ekvus, St. Petersburg, Russia), antibiotic disks: ampicillin, ciprofloxacin, chloramphenicol, tetracycline, cephataxime (Bio-Rad, Hercules, CA, USA), test tube, and Petri dish with control strain E. coli ATCC922. Further antibiotic sensitivity analysis was performed for E. coli isolated from farm animal fecal samples.
The citizen scientists initially seeded the material in meat peptone broth, which was incubated for 18–20 h at 37 °C. Further analysis was performed by selecting colonies corresponding to the typical morphology of E. coli: cells are usually rod-shaped, about 2.0 μm long and 0.25–1.0 μm in diameter [48,49]. On agar, E. coli forms large, thick, grayish-white, moist, smooth, opaque or translucent colonies [50]. The bacteria were analyzed by Gram staining followed by microscopy. The isolates obtained were prepared for antibacterial susceptibility testing as follows: a daily pure culture of 2–3 colonies was added to 5 mL of PBS and mixed, and the final concentration was adjusted to 0.5 units according to the McFarland turbidity standard [51,52]. Next, the resulting suspension was applied to the surface of Petri dishes over the GRM medium using a sterile cotton swab. Then, the disks with antibacterial drugs were applied and incubated for 18–20 h at 37 °C. Similar manipulations were performed with the control strain E. coli ATCC 25922. The results were recorded by measuring the no-growth zone. First, the results of the control strain were evaluated, and if the growth inhibition zones fell within the specified ranges, the investigated isolates were counted. The results were interpreted according to CLSI criteria (M100 ED34 [53]), 2024 (https://clsi.org/standards/ 30 August 2024). The criteria included the presence or absence of the no-growth zone, which indicates the presence or absence of antibiotic resistance of the tested bacterial strain [54]. All subsequent studies examined only bacteria related to E. coli.

2.5. Analysis of Data Collected by Citizen Scientists

Under the guidance of mentors, volunteers entered the collected data into a joint database, and the data were finally analyzed in Microsoft Excel 2016. The data on antibiotic resistance of microorganisms associated with cattle and small farm animals for each region were analyzed. The qualitative data collected from the interviews were analyzed using a general inductive approach [55] to identify recurring and significant themes.

2.6. Statistical Analysis

The farm data (geographical location), farm animal data (animal type, housing conditions, sex, age, drug intake), and the analysis results were put into a Microsoft Excel spreadsheet. Next, descriptive statistics on animal housing and the prevalence of antimicrobial resistance or insensitivity were prepared. For each region and for each animal species, the resistance or insensitivity status of isolates to each antibiotic was determined.
Multivariate analysis was performed separately for each of the Russian regions for animal data and bacterial antimicrobial susceptibility testing results. The analysis was performed to identify the most important variables that explained variation in the dataset. The dataset comprised 38 data variables that were organized into 6 groups based on relatedness as follows: (1) farm animal species information; (2) herd information: farm location, breed distribution, herd size, pasture type, and animal housing conditions; (3) sampled animals’ life history and treatment history: method of fecal sample collection, date of fecal sample collection, whether the animal was treated with antimicrobials, and antimicrobials used for treatment; (4) analysis of antimicrobial resistance genes; and (4) antimicrobial susceptibility testing results. Variables within each group with loading weights ≥10 components were kept for interpretation. When necessary, the Mann–Whitney U-test with a significance level of 0.05 was used to test for statistical differences between independent groups. Qualitative data co-collected from the interviews were analyzed using a general inductive approach [56] to identify recurring and significant themes.

3. Results

3.1. Sample Collection and Analysis

The study was conducted using the citizen science tool. Figure 1 illustrates the general outline of the experiment. Initially, “reference sites” were organized in educational institutions: colleges and universities. The organization of sample collection, storage, accounting, analysis, and transportation was conducted at each reference site, with an additional step to verify the accuracy of the metadata completion. Under the supervision of mentors, students conducted the collection and analysis of fecal samples from farm animals. Two methods were used for the analysis of the samples: molecular and microbiological. The molecular analysis involved the isolation of genomic DNA from the bacteria being tested, followed by an examination for antibiotic resistance genes vanA, vanB, and mcr-1. The microbiological analysis involved antibiotic sensitivity testing by inoculating the bacterial culture in a “dense dash” onto the surface of a Petri dish and placing antibacterial disks on the surface of the medium. Experts (professional scientists) then collected the results in a single registry online for further analysis.
Figure 1. The general scheme of the study achieved with the use of citizen science tool. A project manager provides the general management of the project and training of mentors. Mentors train students and supervise the collection and analysis of samples. Sampling was conducted at the farm. Students and their mentors analyze the samples using one of the two proposed methods, and professional scientists compile the results in a table for further analysis.
The project started by analyzing the conditions of farm animal housing, collecting its anamnesis, and collecting manure samples for further research. In total, 6578 manure samples were collected from 13 regions of Russia (Figure 2).
Figure 2. Regions of Russia covered by the study. The red circle indicates the region participating in the study, with the circle diameter proportional to the number of samples. The number of collected samples is indicated in brackets. The Voronezh region is indicated by a green circle.
The molecular and microbiological methods were used to analyze 1111 samples of E. coli from all regions of Russia (Table 2), with some regions showing preference for only one method of analysis (e.g., Moscow region, Omsk region, etc.). Further analysis was performed for the regions where over 10 samples were analyzed. Most of the samples analyzed are bovine fecal microorganisms (Table 3).
Table 2. Number of samples collected and analyzed across different regions of Russia.
Table 3. Species diversity of farm animals that had their fecal samples analyzed.
Most samples analyzed were cattle feces (881 samples, 79.3% of all samples). Analysis was conducted on fecal samples of pigs (113 samples, 10.2%), poultry (43 samples, 3.9%), horses (34 samples, 3.1%), and others. Some animals were fed vitamin and mineral supplements, and some were treated with antibiotic therapy. Below, we report only on those animals for which the fecal microbiome was analyzed (Table S1).
Among all animals, the cattle had the highest incidence of antibiotic use. A macrolide group antibiotic was administered to 55 cows in the Udmurt Republic, while a tetracycline antibiotic was given to 11 cows in the same region. The antibiotic drug “Tylosin” (active substance Tylosin) is renowned as the most popular one in the macrolide group. The most commonly used preparations for treating mastitis in cows include “Mastimax” and “Masticef”. These preparations are a combination of multiple antibiotics and contain active substances such as benzylpenicillin novocaine salt, dihydrostreptomycin sulfate, neomycin sulfate, dioxidine, dexamethasone sodium phosphate, gentamicin sulfate, and cephalexin.
The subsequent phase involved the analysis of collected samples of farm animal fecal microorganisms using molecular and microbiological methods, followed by a comparison of the data obtained with information regarding the antibiotics administered to farm animals. The following sections describe the results for those regions where at least 10 samples were analyzed: cattle from seven regions and pigs, poultry, and horses from the Voronezh region.

3.2. Molecular Analysis

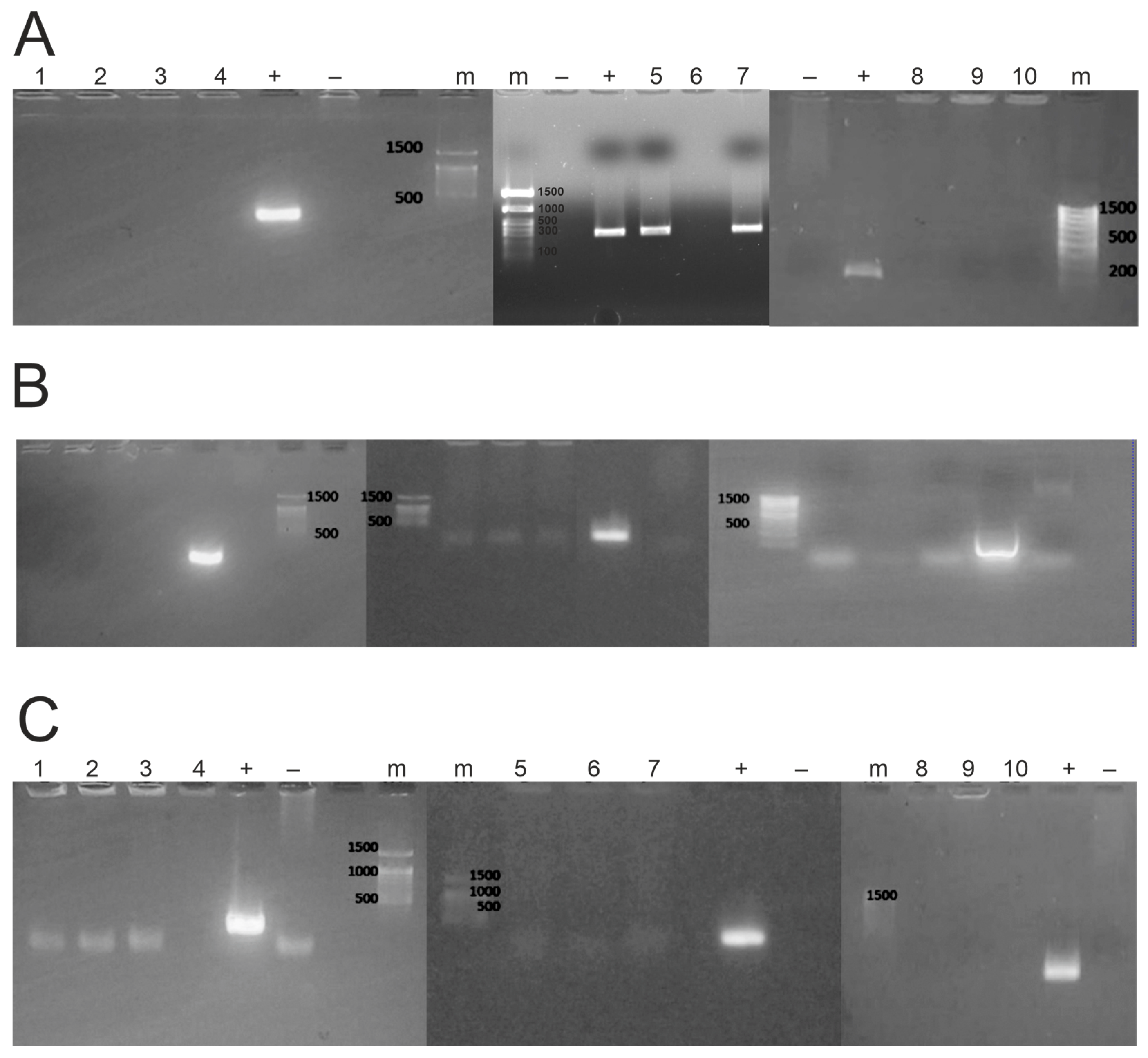
The microorganisms of farm animal feces were analyzed by PCR for resistance genes to three antibiotics: vanA, vanB, and mcr-1. Figure 3 shows an example of microbiological analysis for 10 bacterial strains. The length of the fragment corresponding to the vanA gene is 267 nucleotide pairs, the vanB gene is 237 nucleotide pairs, and the mcr-1 gene is 253 nucleotide pairs.
Figure 3. Screening of farm animal fecal microorganisms for antibiotic resistance genes: vanA (A), vanB (B), and mcr-1 (C) by PCR. Presented here is an example of the analysis of 10 bacterial strains (1–10) derived from cattle fecal samples. The letter M is used to represent markers, while + and − are used to indicate positive and negative controls, respectively.
Tables S2 and S3 and Figure 4 contain a summary of all the results obtained, with significant regional differences. For example, in the Omsk and Vologda regions, most of the isolates under analysis lacked resistance genes to the antibiotics tested (98.0 and 82.5%, respectively), and in the Voronezh region, on the contrary, numerous samples resistant to three antibiotics simultaneously were detected (97.7% of samples).
Figure 4. Analysis of antibiotic resistance of microorganisms associated with farm animals by PCR. A represents the data for cattle fecal microorganisms from five regions. n is the number of samples analyzed.
This study has found a significant number of isolates carrying only the mcr-1 gene (33.9% of all samples in the region) among 549 PCR-analyzed bovine fecal samples in the Krasnoyarsk region (Figure 4). Microbial resistance to colistin is a common phenomenon in farm animal fecal bacterial isolates [17,57,58,59] correlated with the use of colistin in veterinary medicine [57].
E. coli isolates containing vanA genes were identified in 8.2% of isolates in the Vologda region, 63.2% of isolates in the Udmurt Republic, and 34.8% in the Krasnoyarsk region. Similarly, vanB genes were found in 6.6% of isolates in the Vologda region, 31.6% of isolates in the Udmurt Republic, and 13.9% in the Krasnoyarsk region. The occurrence of isolates with both vanA and vanB genes detected simultaneously was rare, with only a few cases observed (2.6% in the Vologda region and 0.9% in the Krasnoyarsk region).
Some studies have reported the increase in the number of multidrug-resistant bacteria in recent years [60,61]. Of greatest concern is the Voronezh region, with 97.7% of cow fecal isolates found to be resistant to three antibiotics tested at the same time. A similarly high detection rate of resistance genes to three antibiotics was observed in the Krasnoyarsk region (16.5%). The high detectability of antibiotic resistance genes may be attributed to the widespread use of antibiotics in agricultural practice in these regions.

3.3. Microbiological Analysis

Microorganisms associated with farm animals were analyzed by microbiological methods for resistance to five antibiotics: ampicillin, tetracycline, chloramphenicol, cefotaxime, and ciprofloxacin (see Figure 5). Phenotypic antibiotic susceptibility testing in the present study revealed significant differences in the results depending on the region of study (Figure 6, Table S4). It was found that 98.1% of fecal bacterial samples of cows from the Udmurt Republic were susceptible to all five antibiotics analyzed. On the contrary, numerous microorganisms associated with cows from the Voronezh region were mostly resistant to five antibiotics simultaneously (92.8% of cow fecal bacteria samples). In the Vologda and Krasnoyarsk regions, 100% of microorganisms were found to be resistant to only one analyzed antibiotic. Within the Orel region, cattle fecal bacteria were resistant to cefotaxime (61.5% of samples) or ciprofloxacin (34.5% of samples). In the Moscow region, microorganisms showed resistance to both a single antibiotic and a combination of two to five antibiotics (Figure 6A).
Figure 5. Example of microbiological analysis of a bacterial strain for resistance to five antibiotics: ampicillin (1), tetracycline (2), chloramphenicol (3), cefotaxime (4), and ciprofloxacin (5).The results of the analysis of bacterial samples from cattle feces are shown.
Figure 6. Analysis of antibiotic resistance of microorganisms associated with farm animals by microbiological methods. (A) The data for cattle fecal microorganisms from six regions of Russia, and (B) the data for different farm animals from the Voronezh region. n—the number of samples analyzed.
Microorganisms resistant to ampicillin, tetracycline, cefotaxime, ciprofloxacin, and a combination of two or five antibiotics were found among bacteria in pig feces from the Voronezh region (Figure 6B). This study detected microorganisms with no antibiotic resistance, as well as those resistant to ampicillin, tetracycline, and a combination of two or five antibiotics among the bacteria of poultry feces from the Voronezh region. The most common were bacteria with multiple resistance (Figure 6B). Therefore, the Voronezh region of Russia is also categorized as the region demonstrating a significant prevalence of antibiotic-resistant microorganisms associated with poultry and pigs.

4. Discussion

Antibiotics are of great significance for maintaining farm animals, but their widespread use threatens the spread of antibiotic resistance. The prevalence of antibiotic-resistant bacteria and their antibiotic resistance genes is increasing due to the extensive use of antibiotics [62]. The most probable pathway for the transmission of antibiotic resistance involves the dissemination of antibiotic residues, antibiotic-resistant bacteria, and their genetic elements originating from the fecal matter of farm animals [63]. According to multiple studies, there is evidence suggesting that pastures [64], farm animal housing [65], land near farms, and field soils could contain higher concentrations of antibiotic residues, antibiotic-resistant bacteria, and antibiotic resistance genes [66,67,68].
It is a key objective of agricultural policy in numerous countries to control the spread and impact of antibiotic-resistant pathogens on humans and animals. For example, Germany has achieved a reduction in the prevalence of mcr-1 from 8.1% in 2011 to 0.5% in 2014 in bacterial isolates of chickens [69]. The spread of antibiotic-resistant bacteria should be carefully monitored because of the high risk of pan-resistant pathogens in humans [70,71,72]. The use of citizen science-related tools allows researchers to organize the collection and initial characterization of specimens by unskilled citizen scientists rather than traveling to regions.
Here, we show that the resistance of E. coli isolates to antibiotics varied significantly depending on the region. For example, E. coli isolates with vanA genes were found in only 8.2% of isolates in the Vologda region, while vanA genes were found in 63.2% of isolates in the Udmurt Republic. The mcr genes associated with colistin resistance are widespread and have been described not only in cattle but also in pigs and poultry in different countries [73,74,75]. In Germany, mcr-1 mediated colistin resistance in E. coli is detected predominantly in poultry chains, whereas the detection rate in cattle and pig isolates is much lower. These findings are in contrast to reports from Asian countries, where mcr-1-positive isolates are frequently identified in pig chains [17,76]. In China, a low prevalence of colistin-resistant E. coli was found in cattle (0.9%), but resistance among E. coli isolated from chickens and pigs was high (14% among chickens and 24% among pigs) [59].
The prevalence of enterococci resistance to vancomycin and other glycopeptide antibiotics has been extensively documented in numerous countries [77,78,79]. VanA is widely recognized as the prevailing resistance variant in numerous countries, excluding Australia and Sweden. However, most vancomycin-resistant enterococci cases have been linked to vanB [80,81,82,83]. The observation of E. faecium carrying both vanA and vanB was documented in 1993 in the UK [84], with such strains still rarely reported [85,86,87,88].
It is possible that swine production may play an important role in the spread of colistin resistance. For example, Enterobacteriaceae (mainly E. coli) isolates from pigs in Portugal tested positive for the mcr-1 gene in 98% of cases [89]. In Ecuador, 41.9% of E. coli isolates from chickens and pigs were reported to contain mcr-1 [90]. In Spain, the prevalence of colistin-resistant E. coli in pigs was 76.9% [91]. In China, a high prevalence of E. coli carrying mcr-1 genes was also found in pigs (79.2%) [92]. In Europe, the prevalence of mcr-1 genes in pigs ranged from 0.5 to 13.5% [93].
In the current study, three antibiotic resistance genes were detected simultaneously in 100% of cases (vanA, vanB, and mcr-1) in the analyzed fecal bacterial samples of pigs, horse, and poultry from the isolates obtained from the farms in Voronezh region. Hence, it can be concluded that the situation in the Voronezh region with antibiotic-resistant bacteria is extremely unfavorable, both on farms with cows and on farms of other types.
Analysis of microorganisms’ resistance to five antibiotics, i.e., ampicillin, tetracycline, chloramphenicol, cefotaxime and ciprofloxacin, also revealed significant differences depending on the region. The worst picture was observed in the Udmurt Republic and Voronezh region, where 98.1% and 92.8% of fecal bacterial samples from cattle, respectively, were resistant to all five analyzed antibiotics.
According to the European Medicines Agency [94], tetracyclines and penicillins (amoxicillin, ampicillin, and metampicillin) dominated the market as the most popular antibiotics used in livestock across 31 European countries from 2011 to 2018. Several countries, including Brazil, Argentina, Indonesia, Iran, Japan, Russia, Indonesia, Iran, Japan, and the USA, have formulated national strategies to address antimicrobial resistance. However, not all nations have successfully implemented measures to monitor the excessive use of antimicrobial agents [95].
Several countries have reported a high prevalence of tetracycline resistance among E. coli isolates from cattle feces [96,97]. The widespread use of tetracycline in human and veterinary medicine is attributed to its low cost, few side effects, and ability to stimulate animal growth [98,99,100,101].
Low rates (less than 2%) of resistance to fluoroquinolones (including ciprofloxacin) have been reported in Korea, Finland, Italy, and Sweden [102], with no cases reported in Canada, France, Denmark, Germany, and Australia [103]. Given that fluoroquinolones are of critical importance in human medicine, their use in veterinary medicine is reduced or banned in several countries [104]. Chloramphenicol is prohibited for animal feed in some countries, but it is still used in animal husbandry [105,106].
In Russia, these antibiotics continue to be actively used in agriculture. This may explain the high levels of resistance of bacteria associated with cattle feces to these antibiotics. The high proportion of strains with multidrug resistance may result from the widespread use of antimicrobial combinations in this region [107].
E. coli resistant to one or several antibiotics were found among bacteria in pig feces from the Voronezh region. In other countries, such as Korea [108,109,110], high levels of resistance to some antibiotics (ampicillin, streptomycin, and tetracycline) have also been reported in bacterial isolates from chickens and pigs. These results are consistent with tetracyclines, penicillin, phenicol (florfenicol), and aminoglycosides being the most marketed antibiotics for use in food animals in Korea [111]. An average of 29% of E. coli isolates collected from healthy pigs were found to be resistant to ampicillin in Denmark in 2012 [112].
In Voronezh, resistance to a combination of antibiotics was also observed in E. coli of poultry feces. This result is not unexpected. A high prevalence of E. coli isolates in broiler chickens showing resistance to ampicillin (87%), tetracycline (95%), ciprofloxacin (91%) and chloramphenicol (51%) has been reported in Brazil [113]. Resistance to tetracycline (93%) and chloramphenicol (50%) in poultry products from China has been found to be similar, while ampicillin resistance (99%) was higher, according to a study [114]. Similar findings have been documented in Mexico, where E. coli strains have exhibited significant resistance to ampicillin (92%), cefotaxime (78%), and tetracycline (75%) [115]. Therefore, the Voronezh region of Russia is also categorized as the region demonstrating a significant prevalence of antibiotic-resistant microorganisms associated with poultry.
In general, the high resistance to antimicrobial drugs is easy to explain because they are frequently used in farm animals, especially pigs and chickens [111]. Thus, the high level of resistance observed in chicken and pig isolates may reflect the use of these antimicrobials in poultry and pig farms.
The lack of correlation between documented antibiotic intake and resistant strains can be explained by resistant strains being developed during antimicrobial treatment and persisting for a long time in the intestinal tract of the animal after the treatment is discontinued [116].
This study was conducted with the help of citizen scientists. Under the guidance of professional scientists, citizen scientists unite to solve a multitude of scientific problems [42]. In recent times, several initiatives have been put into place to offer freshman students research opportunities [117,118]. The SEA-PHAGES Project, supported by the Howard Hughes Medical Institute and backed by the Phage Hunters Science Education Alliance, stands as the most successful discovery-oriented project in the United States [119,120,121,122]. Students participating in the SEA-PHAGES project learn about research methods, experiment design, and data interpretation. An outstanding feature of this project is its emphasis on enabling students to contribute to scientific discovery.
Citizen science is recognized as a highly effective tool for improving the productivity of screening processes. The availability of a comprehensive guide for non-professional researchers to conduct experiments enables the utilization of crowdsourcing not only for sampling but also for specific primary experiments [123]. Two different kits were designed specifically for conducting the required experiments in order to explore the antibiotic resistance of microorganisms found in farm animal feces.
In our project, the involvement of citizen scientists was based on networking, when the project supervisor interacts with mentors and trains them. Mentors interact with students and supervise their work. The participation of qualified mentors makes it possible to solve several significant problems of “scientific volunteering.” These are ensuring the safety of work, data verification, organizational difficulties of remote work with participants, change in generations of students conducting research, continuation of successfully conducted experiments of students, and others.
The purpose of involving citizen scientists in this project is to relieve scientists of the burden of conducting routine laboratory research. To ensure the reliability of the results obtained, the steps taken are as follows:
(1)
We used simple, standardized methods for all participants.
(2)
Positive and negative control samples were developed and submitted to the mentors. These controls provided for all of the methods indicated that the analysis was correct.
(3)
We invited mentors: university and college teachers who worked with citizen scientists and monitored the quality of the work performed.
(4)
Quality control and confirmation of the work performed by qualified scientists were carried out at every stage.
The involvement of citizen scientists has some limitations. Unfortunately, not all academic laboratories in colleges and universities are equipped to perform PCR; therefore, not all samples were analyzed. Citizen scientists performed the analysis that was available for their campus and laboratory. In addition, some participants collected more samples than they could analyze with the reagents provided.
Another limitation of this study is the uneven sampling across regions and across Russia. This problem can be addressed by selecting sample collection sites in advance when planning research involving citizen scientists. We understand all the limitations of this approach and see the merit of the study in the fact that student citizen scientists participated in an important study, learned microbiological and molecular methods, and conducted research that is important for scientists.
The project generated considerable enthusiasm, resulting in a significant number of participants and a significant number of samples collected and analyzed. The research results show that citizen scientists can effectively collect and analyze samples using only basic equipment. Citizen science is a promising field of scientific research. It allows citizen scientists to participate in scientific research and address important questions, such as the prevalence of antibiotic resistance in bacteria. Participation in citizen science projects like the current one can help motivate people to use antibiotics wisely in the long term.

5. Conclusions

This paper presents our findings on the regional variations in antibiotic resistance of E. coli associated with farm animals in Russia, highlighting the unique characteristics of each region. Unfortunately, the analysis conducted by citizen scientists in this study has primarily focused on bacteria from cattle feces, with a lack of comparable analysis on bacteria associated with other farm animals throughout Russia. A sufficient number of swine and poultry fecal samples were analyzed only in the Voronezh region. The examination of antibiotic-resistant bacterial isolates from farm animal guts is of great significance in the development of strategies aimed at mitigating antibiotic resistance in bacteria. Thus, monitoring antimicrobial resistance of bacterial isolates from animals on a regular basis may help to detect new antimicrobial resistance phenotypes in commensal and pathogenic bacteria in the food chain.

Supplementary Materials

The following supporting information can be downloaded at: https://www.mdpi.com/article/10.3390/microorganisms12112308/s1.

Author Contributions

Conceptualization, A.M.T.; methodology, M.R.G.; validation, A.M.T.; formal analysis, A.M.T.; investigation, D.M.K. and S.Y.K.; resources, D.M.K. and S.Y.K.; data curation, A.M.T.; writing—original draft preparation, A.M.T.; writing—review and editing, S.E.S.; visualization, A.M.T.; project administration, M.R.G.; funding acquisition, S.E.S. All authors have read and agreed to the published version of the manuscript.

Funding

This work was supported by the Ministry of Science and Higher Education of the Russian Federation, agreement No. 075-15-2021-1085.

Data Availability Statement

The original contributions presented in the study are included in the article/supplementary material, further inquiries can be directed to the corresponding author.

Conflicts of Interest

The authors declare no conflicts of interest.

References

  1. Alexander, J.; Hembach, N.; Schwartz, T. Evaluation of Antibiotic Resistance Dissemination by Wastewater Treatment Plant Effluents with Different Catchment Areas in Germany. Sci. Rep. 2020, 10, 8952. [Google Scholar] [CrossRef] [PubMed]
  2. Templar, H.A.; Dila, D.K.; Bootsma, M.J.; Corsi, S.R.; McLellan, S.L. Quantification of Human-Associated Fecal Indicators Reveal Sewage from Urban Watersheds as a Source of Pollution to Lake Michigan. Water Res. 2016, 100, 556–567. [Google Scholar] [CrossRef] [PubMed]
  3. Schwarz, S.; Loeffler, A.; Kadlec, K. Bacterial Resistance to Antimicrobial Agents and Its Impact on Veterinary and Human Medicine. Vet. Dermatol. 2017, 28, 82. [Google Scholar] [CrossRef] [PubMed]
  4. Wang, J.; Gu, J.; Wang, X.; Song, Z.; Dai, X.; Guo, H.; Yu, J.; Zhao, W.; Lei, L. Enhanced Removal of Antibiotic Resistance Genes and Mobile Genetic Elements During Swine Manure Composting Inoculated with Mature Compost. J. Hazard. Mater. 2021, 411, 125135. [Google Scholar] [CrossRef]
  5. Ezzariai, A.; Hafidi, M.; Khadra, A.; Aemig, Q.; El Fels, L.; Barret, M.; Merlina, G.; Patureau, D.; Pinelli, E. Human and Veterinary Antibiotics during Composting of Sludge or Manure: Global Perspectives on Persistence, Degradation, and Resistance Genes. J. Hazard. Mater. 2018, 359, 465–481. [Google Scholar] [CrossRef]
  6. Van Boeckel, T.P.; Brower, C.; Gilbert, M.; Grenfell, B.T.; Levin, S.A.; Robinson, T.P.; Teillant, A.; Laxminarayan, R. Global Trends in Antimicrobial Use in Food Animals. Proc. Natl. Acad. Sci. USA 2015, 112, 5649–5654. [Google Scholar] [CrossRef]
  7. Maron, D.F.; Smith, T.J.; Nachman, K.E. Restrictions on Antimicrobial Use in Food Animal Production: An International Regulatory and Economic Survey. Glob. Health 2013, 9, 48. [Google Scholar] [CrossRef]
  8. Makarov, D.A.; Ivanova, O.E.; Karabanov, S.Y.; Gergel, M.A.; Pomazkova, A.V. Antimicrobial Resistance of Commensal Escherichia coli from Food-Producing Animals in Russia. Vet. World 2020, 13, 2053–2061. [Google Scholar] [CrossRef] [PubMed]
  9. Ivanova, O.E.; Panin, A.N.; Karabanov, S.Y.; Makarov, D.A.; Ahmetzyanova, A.A.; Gergel, M.A. Veterinary Monitoring of Antimicrobial Resistance in the Russian Federation. Agrar. Sci. 2021, 4S, 7–11. [Google Scholar] [CrossRef]
  10. White, D.G.; Hudson, C.; Maurer, J.J.; Ayers, S.; Zhao, S.; Lee, M.D.; Bolton, L.; Foley, T.; Sherwood, J. Characterization of Chloramphenicol and Florfenicol Resistance in Escherichia Coli Associated with Bovine Diarrhea. J. Clin. Microbiol. 2000, 38, 4593–4598. [Google Scholar] [CrossRef]
  11. Tadesse, D.A.; Zhao, S.; Tong, E.; Ayers, S.; Singh, A.; Bartholomew, M.J.; McDermott, P.F. Antimicrobial Drug Resistance in Escherichia coli from Humans and Food Animals, United States, 1950–2002. Emerg. Infect. Dis. 2012, 18, 741–749. [Google Scholar] [CrossRef] [PubMed]
  12. Lundin, J.I.; Dargatz, D.A.; Wagner, B.A.; Lombard, J.E.; Hill, A.E.; Ladely, S.R.; Fedorka-Cray, P.J. Antimicrobial Drug Resistance of Fecal Escherichia coli and Salmonella spp. Isolates from United States Dairy Cows. Foodborne Pathog. Dis. 2008, 5, 7–19. [Google Scholar] [CrossRef]
  13. Carrique-Mas, J.J.; Trung, N.V.; Hoa, N.T.; Mai, H.H.; Thanh, T.H.; Campbell, J.I.; Wagenaar, J.A.; Hardon, A.; Hieu, T.Q.; Schultsz, C. Antimicrobial Usage in Chicken Production in the Mekong Delta of Vietnam. Zoonoses Public Health 2015, 62, 70–78. [Google Scholar] [CrossRef] [PubMed]
  14. Duse, A.; Waller, K.P.; Emanuelson, U.; Unnerstad, H.E.; Persson, Y.; Bengtsson, B. Risk Factors for Antimicrobial Resistance in Fecal Escherichia coli from Preweaned Dairy Calves. J. Dairy Sci. 2015, 98, 500–516. [Google Scholar] [CrossRef] [PubMed]
  15. Catry, B.; Cavaleri, M.; Baptiste, K.; Grave, K.; Grein, K.; Holm, A.; Jukes, H.; Liebana, E.; Navas, A.L.; Mackay, D.; et al. Use of Colistin-Containing Products within the European Union and European Economic Area (EU/EEA): Development of Resistance in Animals and Possible Impact on Human and Animal Health. Int. J. Antimicrob. Agents 2015, 46, 297–306. [Google Scholar] [CrossRef]
  16. Rhouma, M.; Beaudry, F.; Thériault, W.; Letellier, A. Colistin in Pig Production: Chemistry, Mechanism of Antibacterial Action, Microbial Resistance Emergence, and One Health Perspectives. Front. Microbiol. 2016, 7, 1789. [Google Scholar] [CrossRef]
  17. Liu, Y.-Y.; Wang, Y.; Walsh, T.R.; Yi, L.-X.; Zhang, R.; Spencer, J.; Doi, Y.; Tian, G.; Dong, B.; Huang, X.; et al. Emergence of Plasmid-Mediated Colistin Resistance Mechanism MCR-1 in Animals and Human Beings in China: A Microbiological and Molecular Biological Study. Lancet Infect. Dis. 2016, 16, 161–168. [Google Scholar] [CrossRef]
  18. Rebelo, A.R.; Bortolaia, V.; Kjeldgaard, J.S.; Pedersen, S.K.; Leekitcharoenphon, P.; Hansen, I.M.; Guerra, B.; Malorny, B.; Borowiak, M.; Hammerl, J.A.; et al. Multiplex PCR for Detection of Plasmid-Mediated Colistin Resistance Determinants, Mcr-1, Mcr-2, Mcr-3, Mcr-4 and Mcr-5 for Surveillance Purposes. Eurosurveillance 2018, 23, 17-00672. [Google Scholar] [CrossRef]
  19. Park, J.Y.; Heo, S.T.; Kwon, K.T.; Song, D.Y.; Lee, K.J.; Choi, J.A. MCR1 and KPC2 Co-Producing Klebsiella pneumoniae Bacteremia: First Case in Korea. Infect. Chemother. 2019, 51, 399. [Google Scholar] [CrossRef]
  20. Feng, Y. Transferability of MCR-1/2 Polymyxin Resistance: Complex Dissemination and Genetic Mechanism. ACS Infect. Dis. 2018, 4, 291–300. [Google Scholar] [CrossRef]
  21. Xavier, B.B.; Lammens, C.; Ruhal, R.; Kumar-Singh, S.; Butaye, P.; Goossens, H.; Malhotra-Kumar, S. Identification of a Novel Plasmid-Mediated Colistin-Resistance Gene, Mcr-2, in Escherichia coli, Belgium, June 2016. Eurosurveillance 2016, 21, 30280. [Google Scholar] [CrossRef] [PubMed]
  22. Yin, W.; Li, H.; Shen, Y.; Liu, Z.; Wang, S.; Shen, Z.; Zhang, R.; Walsh, T.R.; Shen, J.; Wang, Y. Novel Plasmid-Mediated Colistin Resistance Gene Mcr-3 in Escherichia coli. MBio 2017, 8, e00543-17. [Google Scholar] [CrossRef] [PubMed]
  23. Carattoli, A.; Villa, L.; Feudi, C.; Curcio, L.; Orsini, S.; Luppi, A.; Pezzotti, G.; Magistrali, C.F. Novel Plasmid-Mediated Colistin Resistance Mcr-4 Gene in Salmonella and Escherichia coli, Italy 2013, Spain and Belgium, 2015 to 2016. Eurosurveillance 2017, 22, 30589. [Google Scholar] [CrossRef]
  24. Borowiak, M.; Fischer, J.; Hammerl, J.A.; Hendriksen, R.S.; Szabo, I.; Malorny, B. Identification of a Novel Transposon-Associated Phosphoethanolamine Transferase Gene, Mcr-5, Conferring Colistin Resistance in d-Tartrate Fermenting Salmonella enterica subsp. Enterica Serovar Paratyphi B. J. Antimicrob. Chemother. 2017, 72, 3317–3324. [Google Scholar] [CrossRef]
  25. Skov, R.L.; Monnet, D.L. Plasmid-Mediated Colistin Resistance (Mcr-1 Gene): Three Months Later, the Story Unfolds. Eurosurveillance 2016, 21, 30155. [Google Scholar] [CrossRef]
  26. Carretto, E.; Brovarone, F.; Nardini, P.; Russello, G.; Barbarini, D.; Pongolini, S.; Gagliotti, C.; Carattoli, A.; Sarti, M. Detection of Mcr-4 Positive Salmonella Enterica Serovar Typhimurium in Clinical Isolates of Human Origin, Italy, October to November 2016. Eurosurveillance 2018, 23, 17-00821. [Google Scholar] [CrossRef] [PubMed]
  27. Kluytmans, J. Plasmid-Encoded Colistin Resistance: Mcr-One, Two, Three and Counting. Eurosurveillance 2017, 22, 30588. [Google Scholar] [CrossRef]
  28. Arthur, M.; Reynolds, P.; Courvalin, P. Glycopeptide Resistance in Enterococci. Trends Microbiol. 1996, 4, 401–407. [Google Scholar] [CrossRef] [PubMed]
  29. Humphreys, H. Controlling the Spread of Vancomycin-Resistant Enterococci. Is Active Screening Worthwhile? J. Hosp. Infect. 2014, 88, 191–198. [Google Scholar] [CrossRef]
  30. Hiramatsu, K. Methicillin-Resistant Staphylococcus Aureus Clinical Strain with Reduced Vancomycin Susceptibility. J. Antimicrob. Chemother. 1997, 40, 135–136. [Google Scholar] [CrossRef]
  31. Howden, B.P.; Davies, J.K.; Johnson, P.D.R.; Stinear, T.P.; Grayson, M.L. Reduced Vancomycin Susceptibility in Staphylococcus Aureus, Including Vancomycin-Intermediate and Heterogeneous Vancomycin-Intermediate Strains: Resistance Mechanisms, Laboratory Detection, and Clinical Implications. Clin. Microbiol. Rev. 2010, 23, 99–139. [Google Scholar] [CrossRef] [PubMed]
  32. Bourdon, N.; Bérenger, R.; Lepoultier, R.; Mouet, A.; Lesteven, C.; Borgey, F.; Fines-Guyon, M.; Leclercq, R.; Cattoir, V. Rapid Detection of Vancomycin-Resistant Enterococci from Rectal Swabs by the Cepheid Xpert VanA/VanB Assay. Diagn. Microbiol. Infect. Dis. 2010, 67, 291–293. [Google Scholar] [CrossRef]
  33. Babady, N.E.; Gilhuley, K.; Cianciminio-Bordelon, D.; Tang, Y.-W. Performance Characteristics of the Cepheid Xpert VanA Assay for Rapid Identification of Patients at High Risk for Carriage of Vancomycin-Resistant Enterococci. J. Clin. Microbiol. 2012, 50, 3659–3663. [Google Scholar] [CrossRef]
  34. Zhou, X.; Arends, J.P.; Kampinga, G.A.; Ahmad, H.M.; Dijkhuizen, B.; van Barneveld, P.; Rossen, J.W.A.; Friedrich, A.W. Evaluation of the Xpert VanA / VanB Assay Using Enriched Inoculated Broths for Direct Detection of VanB Vancomycin-Resistant Enterococci. J. Clin. Microbiol. 2014, 52, 4293–4297. [Google Scholar] [CrossRef]
  35. Both, A.; Berneking, L.; Berinson, B.; Lütgehetmann, M.; Christner, M.; Aepfelbacher, M.; Rohde, H. Rapid Identification of the VanA/VanB Resistance Determinant in Enterococcus sp. from Blood Cultures Using the Cepheid Xpert VanA/VanB Cartridge System. Diagn. Microbiol. Infect. Dis. 2020, 96, 114977. [Google Scholar] [CrossRef] [PubMed]
  36. Kreidl, P.; Mayr, A.; Hinterberger, G.; Berktold, M.; Knabl, L.; Fuchs, S.; Posch, W.; Eschertzhuber, S.; Obwegeser, A.; Lass-Flörl, C.; et al. Outbreak Report: A Nosocomial Outbreak of Vancomycin Resistant Enterococci in a Solid Organ Transplant Unit. Antimicrob. Resist. Infect. Control 2018, 7, 86. [Google Scholar] [CrossRef] [PubMed]
  37. Holzknecht, B.J.; Hansen, D.S.; Nielsen, L.; Kailow, A.; Jarløv, J.O. Screening for Vancomycin-Resistant Enterococci with Xpert® VanA/VanB: Diagnostic Accuracy and Impact on Infection Control Decision Making. New Microbes New Infect. 2017, 16, 54–59. [Google Scholar] [CrossRef]
  38. He, Y.-H.; Ruan, G.-J.; Hao, H.; Xue, F.; Ma, Y.-K.; Zhu, S.-N.; Zheng, B. Real-Time PCR for the Rapid Detection of VanA, VanB and VanM Genes. J. Microbiol. Immunol. Infect. 2020, 53, 746–750. [Google Scholar] [CrossRef]
  39. Ilbeigi, K.; Askari Badouei, M.; Vaezi, H.; Zaheri, H.; Aghasharif, S.; Kafshdouzan, K. Molecular Survey of Mcr1 and Mcr2 Plasmid Mediated Colistin Resistance Genes in Escherichia coli Isolates of Animal Origin in Iran. BMC Res. Notes 2021, 14, 107. [Google Scholar] [CrossRef]
  40. Petersen, L.R.; Jamieson, D.J.; Powers, A.M.; Honein, M.A. Zika Virus. N. Engl. J. Med. 2016, 374, 1552–1563. [Google Scholar] [CrossRef]
  41. Tarter, K.D.; Levy, C.E.; Yaglom, H.D.; Adams, L.E.; Plante, L.; Casal, M.G.; Gouge, D.H.; Rathman, R.; Stokka, D.; Weiss, J.; et al. Using Citizen Science to Enhance Surveillance of Aedes Aegypti in Arizona, 2015–2017. J. Am. Mosq. Control Assoc. 2019, 35, 11–18. [Google Scholar] [CrossRef] [PubMed]
  42. Roche, J.; Bell, L.; Galvão, C.; Golumbic, Y.N.; Kloetzer, L.; Knoben, N.; Laakso, M.; Lorke, J.; Mannion, G.; Massetti, L.; et al. Citizen Science, Education, and Learning: Challenges and Opportunities. Front. Sociol. 2020, 5, 613814. [Google Scholar] [CrossRef] [PubMed]
  43. Tello, M.; Ocejo, M.; Oporto, B.; Hurtado, A. Prevalence of Cefotaxime-Resistant Escherichia coli Isolates from Healthy Cattle and Sheep in Northern Spain: Phenotypic and Genome-Based Characterization of Antimicrobial Susceptibility. Appl. Environ. Microbiol. 2020, 86, e00742-20. [Google Scholar] [CrossRef]
  44. Jalil, A.; Gul, S.; Bhatti, M.F.; Siddiqui, M.F.; Adnan, F. High Occurrence of Multidrug-Resistant Escherichia Coli Strains in Bovine Fecal Samples from Healthy Cows Serves as Rich Reservoir for AMR Transmission. Antibiotics 2022, 12, 37. [Google Scholar] [CrossRef] [PubMed]
  45. Sabença, C.; Romero-Rivera, M.; Barbero-Herranz, R.; Sargo, R.; Sousa, L.; Silva, F.; Lopes, F.; Abrantes, A.C.; Vieira-Pinto, M.; Torres, C.; et al. Molecular Characterization of Multidrug-Resistant Escherichia coli from Fecal Samples of Wild Animals. Vet. Sci. 2024, 11, 469. [Google Scholar] [CrossRef]
  46. Eltai, N.O.; Yassine, H.M.; El-Obeid, T.; Al-Hadidi, S.H.; Al Thani, A.A.; Alali, W.Q. Prevalence of Antibiotic-Resistant Escherichia Coli Isolates from Local and Imported Retail Chicken Carcasses. J. Food Prot. 2020, 83, 2200–2208. [Google Scholar] [CrossRef]
  47. Mikhayel, M.; Leclercq, S.O.; Sarkis, D.K.; Doublet, B. Occurrence of the Colistin Resistance Gene Mcr-1 and Additional Antibiotic Resistance Genes in ESBL/AmpC-Producing Escherichia coli from Poultry in Lebanon: A Nationwide Survey. Microbiol. Spectr. 2021, 9, e0002521. [Google Scholar] [CrossRef]
  48. Yu, A.C.S.; Loo, J.F.C.; Yu, S.; Kong, S.K.; Chan, T.-F. Monitoring Bacterial Growth Using Tunable Resistive Pulse Sensing with a Pore-Based Technique. Appl. Microbiol. Biotechnol. 2014, 98, 855–862. [Google Scholar] [CrossRef]
  49. Kubitschek, H.E. Cell Volume Increase in Escherichia Coli after Shifts to Richer Media. J. Bacteriol. 1990, 172, 94–101. [Google Scholar] [CrossRef]
  50. Basavaraju, M.; Gunashree, B.S. Escherichia coli: An Overview of Main Characteristics. In Escherichia coli—Old and New Insights; IntechOpen: London, UK, 2023. [Google Scholar]
  51. Yildirim, K.; Atas, C.; Simsek, E.; Coban, A.Y. The Effect of Inoculum Size on Antimicrobial Susceptibility Testing of Mycobacterium tuberculosis. Microbiol. Spectr. 2023, 11, e0031923. [Google Scholar] [CrossRef]
  52. Sever, E.A.; Aybakan, E.; Beşli, Y.; Karatuna, O.; Kocagoz, T. A Novel Rapid Bioluminescence-Based Antimicrobial Susceptibility Testing Method Based on Adenosine Triphosphate Consumption. Front. Microbiol. 2024, 15, 1357680. [Google Scholar] [CrossRef] [PubMed]
  53. CLSI M100-Ed34; Performance Standards for Antimicrobial Susceptibility Testing. CLSI: Wayne, PA, USA, 2024.
  54. Humphries, R.M.; Abbott, A.N.; Hindler, J.A. Understanding and Addressing CLSI Breakpoint Revisions: A Primer for Clinical Laboratories. J. Clin. Microbiol. 2019, 57, e00203-19. [Google Scholar] [CrossRef] [PubMed]
  55. Thomas, D.R. A General Inductive Approach for Analyzing Qualitative Evaluation Data. Am. J. Eval. 2006, 27, 237–246. [Google Scholar] [CrossRef]
  56. Akaratovic, K.I.; Kiser, J.P.; Gordon, S.; Abadam, C.F. Evaluation of the Trapping Performance of Four Biogents AG Traps and Two Lures for the Surveillance of Aedes Albopictus and Other Host-Seeking Mosquitoes. J. Am. Mosq. Control Assoc. 2017, 33, 108–115. [Google Scholar] [CrossRef] [PubMed]
  57. García, V.; García-Meniño, I.; Mora, A.; Flament-Simon, S.C.; Díaz-Jiménez, D.; Blanco, J.E.; Alonso, M.P.; Blanco, J. Co-Occurrence of Mcr-1, Mcr-4 and Mcr-5 Genes in Multidrug-Resistant ST10 Enterotoxigenic and Shiga Toxin-Producing Escherichia coli in Spain (2006-2017). Int. J. Antimicrob. Agents 2018, 52, 104–108. [Google Scholar] [CrossRef]
  58. Kawanishi, M.; Abo, H.; Ozawa, M.; Uchiyama, M.; Shirakawa, T.; Suzuki, S.; Shima, A.; Yamashita, A.; Sekizuka, T.; Kato, K.; et al. Prevalence of Colistin Resistance Gene Mcr-1 and Absence of Mcr-2 in Escherichia coli Isolated from Healthy Food-Producing Animals in Japan. Antimicrob. Agents Chemother. 2017, 61, e02057-16. [Google Scholar] [CrossRef]
  59. Huang, X.; Yu, L.; Chen, X.; Zhi, C.; Yao, X.; Liu, Y.; Wu, S.; Guo, Z.; Yi, L.; Zeng, Z.; et al. High Prevalence of Colistin Resistance and Mcr-1 Gene in Escherichia coli Isolated from Food Animals in China. Front. Microbiol. 2017, 8, 562. [Google Scholar] [CrossRef]
  60. Moosavian, M.; Ghadri, H.; Samli, Z. Molecular Detection of VanA and VanB Genes among Vancomycin-Resistant Enterococci in ICU-Hospitalized Patients in Ahvaz in Southwest of Iran. Infect. Drug Resist. 2018, 11, 2269–2275. [Google Scholar] [CrossRef]
  61. Yang, J.; Jiang, Y.; Guo, L.; Ye, L.; Ma, Y.; Luo, Y. Prevalence of Diverse Clones of Vancomycin-Resistant Enterococcus faecium ST78 in a Chinese Hospital. Microb. Drug Resist. 2016, 22, 294–300. [Google Scholar] [CrossRef]
  62. D’Costa, V.M.; King, C.E.; Kalan, L.; Morar, M.; Sung, W.W.L.; Schwarz, C.; Froese, D.; Zazula, G.; Calmels, F.; Debruyne, R.; et al. Antibiotic Resistance Is Ancient. Nature 2011, 477, 457–461. [Google Scholar] [CrossRef]
  63. Lupo, A.; Coyne, S.; Berendonk, T.U. Origin and Evolution of Antibiotic Resistance: The Common Mechanisms of Emergence and Spread in Water Bodies. Front. Microbiol. 2012, 3, 18. [Google Scholar] [CrossRef]
  64. López, L.; Santamaría, J.; Sánchez, A.; Castro, L.; Moreno, J.L. Presence of Tetracycline Resistant Bacteria and Genes in Grassland-Based Animal Production Systems. Cienc. Investig. Agrar. 2012, 39, 411–423. [Google Scholar] [CrossRef]
  65. Li, X.; Watanabe, N.; Xiao, C.; Harter, T.; McCowan, B.; Liu, Y.; Atwill, E.R. Antibiotic-Resistant E. coli in Surface Water and Groundwater in Dairy Operations in Northern California. Environ. Monit. Assess. 2014, 186, 1253–1260. [Google Scholar] [CrossRef] [PubMed]
  66. Heuer, H.; Schmitt, H.; Smalla, K. Antibiotic Resistance Gene Spread Due to Manure Application on Agricultural Fields. Curr. Opin. Microbiol. 2011, 14, 236–243. [Google Scholar] [CrossRef]
  67. Peng, S.; Feng, Y.; Wang, Y.; Guo, X.; Chu, H.; Lin, X. Prevalence of Antibiotic Resistance Genes in Soils after Continually Applied with Different Manure for 30 Years. J. Hazard. Mater. 2017, 340, 16–25. [Google Scholar] [CrossRef] [PubMed]
  68. Pollard, A.T.; Morra, M.J. Fate of Tetracycline Antibiotics in Dairy Manure-Amended Soils. Environ. Rev. 2018, 26, 102–112. [Google Scholar] [CrossRef]
  69. Irrgang, A.; Roschanski, N.; Tenhagen, B.-A.; Grobbel, M.; Skladnikiewicz-Ziemer, T.; Thomas, K.; Roesler, U.; Käsbohrer, A. Prevalence of Mcr-1 in E. coli from Livestock and Food in Germany, 2010–2015. PLoS ONE 2016, 11, e0159863. [Google Scholar] [CrossRef]
  70. Yao, X.; Doi, Y.; Zeng, L.; Lv, L.; Liu, J.-H. Carbapenem-Resistant and Colistin-Resistant Escherichia coli Co-Producing NDM-9 and MCR-1. Lancet Infect. Dis. 2016, 16, 288–289. [Google Scholar] [CrossRef]
  71. Li, A.; Yang, Y.; Miao, M.; Chavda, K.D.; Mediavilla, J.R.; Xie, X.; Feng, P.; Tang, Y.-W.; Kreiswirth, B.N.; Chen, L.; et al. Complete Sequences of Mcr-1 -Harboring Plasmids from Extended-Spectrum-β-Lactamase- and Carbapenemase-Producing Enterobacteriaceae. Antimicrob. Agents Chemother. 2016, 60, 4351–4354. [Google Scholar] [CrossRef]
  72. Du, H.; Chen, L.; Tang, Y.-W.; Kreiswirth, B.N. Emergence of the Mcr-1 Colistin Resistance Gene in Carbapenem-Resistant Enterobacteriaceae. Lancet Infect. Dis. 2016, 16, 287–288. [Google Scholar] [CrossRef]
  73. Perrin-Guyomard, A.; Bruneau, M.; Houée, P.; Deleurme, K.; Legrandois, P.; Poirier, C.; Soumet, C.; Sanders, P. Prevalence of Mcr-1 in Commensal Escherichia coli from French Livestock, 2007 to 2014. Eurosurveillance 2016, 21, 301351. [Google Scholar] [CrossRef] [PubMed][Green Version]
  74. Veldman, K.; van Essen-Zandbergen, A.; Rapallini, M.; Wit, B.; Heymans, R.; van Pelt, W.; Mevius, D. Location of Colistin Resistance Gene Mcr-1 in Enterobacteriaceae from Livestock and Meat: Table 1. J. Antimicrob. Chemother. 2016, 71, 2340–2342. [Google Scholar] [CrossRef]
  75. Hasman, H.; Hammerum, A.M.; Hansen, F.; Hendriksen, R.S.; Olesen, B.; Agersø, Y.; Zankari, E.; Leekitcharoenphon, P.; Stegger, M.; Kaas, R.S.; et al. Detection of Mcr-1 Encoding Plasmid-Mediated Colistin-Resistant Escherichia Coli Isolates from Human Bloodstream Infection and Imported Chicken Meat, Denmark 2015. Eurosurveillance 2015, 20, 30085. [Google Scholar] [CrossRef]
  76. Malhotra-Kumar, S.; Xavier, B.B.; Das, A.J.; Lammens, C.; Hoang, H.T.T.; Pham, N.T.; Goossens, H. Colistin-Resistant Escherichia Coli Harbouring Mcr-1 Isolated from Food Animals in Hanoi, Vietnam. Lancet Infect. Dis. 2016, 16, 286–287. [Google Scholar] [CrossRef] [PubMed]
  77. Metan, G.; Zarakolu, P.; Unal, S. Rapid Detection of Antibacterial Resistance in Emerging Gram-Positive Cocci. J. Hosp. Infect. 2005, 61, 93–99. [Google Scholar] [CrossRef]
  78. Corso, A.C.; Gagetti, P.S.; Rodríguez, M.M.; Melano, R.G.; Ceriana, P.G.; Faccone, D.F.; Galas, M.F. Molecular Epidemiology of Vancomycin-Resistant Enterococcus Faecium in Argentina. Int. J. Infect. Dis. 2007, 11, 69–75. [Google Scholar] [CrossRef][Green Version]
  79. Panesso, D.; Reyes, J.; Rincón, S.; Díaz, L.; Galloway-Peña, J.; Zurita, J.; Carrillo, C.; Merentes, A.; Guzmán, M.; Adachi, J.A.; et al. Molecular Epidemiology of Vancomycin-Resistant Enterococcus Faecium: A Prospective, Multicenter Study in South American Hospitals. J. Clin. Microbiol. 2010, 48, 1562–1569. [Google Scholar] [CrossRef]
  80. Söderblom, T.; Aspevall, O.; Erntell, M.; Hedin, G.; Heimer, D.; Hökeberg, I.; Kidd-Ljunggren, K.; Melhus, Å.; Olsson-Liljequist, B.; Sjögren, I.; et al. Alarming Spread of Vancomycin Resistant Enterococci in Sweden since 2007. Eurosurveillance 2010, 15, 19620. [Google Scholar] [CrossRef] [PubMed]
  81. Cekin, Y.; Daloğlu, A.E.; Öğünç, D.; Baysan, B.Ö.; Dağlar, D.; İnan, D.; Mutlu, D.; Öngüt, G.; Çolak, D. Evaluation of Vancomycin Resistance 3 Multiplexed PCR Assay for Detection of Vancomycin-Resistant Enterococci from Rectal Swabs. Ann. Lab. Med. 2013, 33, 326–330. [Google Scholar] [CrossRef]
  82. Marner, E.S.; Wolk, D.M.; Carr, J.; Hewitt, C.; Dominguez, L.L.; Kovacs, T.; Johnson, D.R.; Hayden, R.T. Diagnostic Accuracy of the Cepheid GeneXpert VanA/VanB Assay Ver. 1.0 to Detect the VanA and VanB Vancomycin Resistance Genes in Enterococcus from Perianal Specimens. Diagn. Microbiol. Infect. Dis. 2011, 69, 382–389. [Google Scholar] [CrossRef]
  83. Kang, M.; Xie, Y.; He, C.; Chen, Z.X.; Guo, L.; Yang, Q.; Liu, J.Y.; Du, Y.; Ou, Q.S.; Wang, L.L. Molecular Characteristics of Vancomycin-Resistant Enterococcus Faecium from a Tertiary Care Hospital in Chengdu, China. Eur. J. Clin. Microbiol. Infect. Dis. 2014, 33, 933–939. [Google Scholar] [CrossRef] [PubMed]
  84. Woodford, N.; Chadwick, P.R.; Morrison, D.; Cookson, B.D. Strains of Glycopeptide-Resistant Enterococcus Faecium Can Alter Their van Genotypes during an Outbreak. J. Clin. Microbiol. 1997, 35, 2966–2968. [Google Scholar] [CrossRef] [PubMed]
  85. Marcade, G.; Micol, J.-B.; Jacquier, H.; Raskine, L.; Donay, J.-L.; Nicolas-Viaud, S.; Rouveau, M.; Ribaud, P.; Dombret, H.; Leclercq, R.; et al. Outbreak in a Haematology Unit Involving an Unusual Strain of Glycopeptide-Resistant Enterococcus Faecium Carrying Both VanA and VanB Genes. J. Antimicrob. Chemother. 2014, 69, 500–505. [Google Scholar] [CrossRef][Green Version]
  86. Papagiannitsis, C.C.; Malli, E.; Florou, Z.; Medvecky, M.; Sarrou, S.; Hrabak, J.; Petinaki, E. First Description in Europe of the Emergence of Enterococcus Faecium ST117 Carrying Both VanA and VanB Genes, Isolated in Greece. J. Glob. Antimicrob. Resist. 2017, 11, 68–70. [Google Scholar] [CrossRef]
  87. Khan, M.A.; Shorman, M.; Al-Tawfiq, J.; Hays, J.P. New Type F Lineage-Related Tn 1546 and a VanA/VanB Type Vancomycin-Resistant Enterococcus faecium Isolated from Patients in Dammam, Saudi Arabia during 2006–2007. Epidemiol. Infect. 2013, 141, 1109–1114. [Google Scholar] [CrossRef]
  88. Santona, A.; Taviani, E.; Hoang, H.M.; Fiamma, M.; Deligios, M.; Ngo, T.V.Q.; Van Le, A.; Cappuccinelli, P.; Rubino, S.; Paglietti, B. Emergence of Unusual VanA/VanB Genotype in a Highly Mutated VanB-Vancomycin-Resistant Hospital-Associated E. Faecium Background in Vietnam. Int. J. Antimicrob. Agents 2018, 52, 586–592. [Google Scholar] [CrossRef]
  89. Zhang, X.; Zhang, B.; Guo, Y.; Wang, J.; Zhao, P.; Liu, J.; He, K. Colistin Resistance Prevalence in Escherichia coli from Domestic Animals in Intensive Breeding Farms of Jiangsu Province. Int. J. Food Microbiol. 2019, 291, 87–90. [Google Scholar] [CrossRef] [PubMed]
  90. Yamamoto, Y.; Calvopina, M.; Izurieta, R.; Villacres, I.; Kawahara, R.; Sasaki, M.; Yamamoto, M. Colistin-Resistant Escherichia Coli with Mcr Genes in the Livestock of Rural Small-Scale Farms in Ecuador. BMC Res. Notes 2019, 12, 121. [Google Scholar] [CrossRef]
  91. García-Meniño, I.; Díaz-Jiménez, D.; García, V.; de Toro, M.; Flament-Simon, S.C.; Blanco, J.; Mora, A. Genomic Characterization of Prevalent Mcr-1, Mcr-4, and Mcr-5 Escherichia Coli Within Swine Enteric Colibacillosis in Spain. Front. Microbiol. 2019, 10, 2469. [Google Scholar] [CrossRef]
  92. Zhang, J.; Chen, L.; Wang, J.; Yassin, A.K.; Butaye, P.; Kelly, P.; Gong, J.; Guo, W.; Li, J.; Li, M.; et al. Molecular Detection of Colistin Resistance Genes (Mcr-1, Mcr-2 and Mcr-3) in Nasal/Oropharyngeal and Anal/Cloacal Swabs from Pigs and Poultry. Sci. Rep. 2018, 8, 3705. [Google Scholar] [CrossRef]
  93. Kieffer, N.; Aires-de-Sousa, M.; Nordmann, P.; Poirel, L. High Rate of MCR-1–Producing Escherichia coli and Klebsiella pneumoniae among Pigs, Portugal. Emerg. Infect. Dis. 2017, 23, 2023–2029. [Google Scholar] [CrossRef] [PubMed]
  94. Kozak, G.K.; Boerlin, P.; Janecko, N.; Reid-Smith, R.J.; Jardine, C. Antimicrobial Resistance in Escherichia Coli Isolates from Swine and Wild Small Mammals in the Proximity of Swine Farms and in Natural Environments in Ontario, Canada. Appl. Environ. Microbiol. 2009, 75, 559–566. [Google Scholar] [CrossRef] [PubMed]
  95. Founou, L.L.; Founou, R.C.; Essack, S.Y. Antibiotic Resistance in the Food Chain: A Developing Country-Perspective. Front. Microbiol. 2016, 7, 1881. [Google Scholar] [CrossRef] [PubMed]
  96. Teshager, T.; Herrero, I.A.; Porrero, M.C.; Garde, J.; Moreno, M.A.; Domínguez, L. Surveillance of Antimicrobial Resistance in Escherichia coli Strains Isolated from Pigs at Spanish Slaughterhouses. Int. J. Antimicrob. Agents 2000, 15, 137–142. [Google Scholar] [CrossRef]
  97. Sayah, R.S.; Kaneene, J.B.; Johnson, Y.; Miller, R. Patterns of Antimicrobial Resistance Observed in Escherichia coli Isolates Obtained from Domestic- and Wild-Animal Fecal Samples, Human Septage, and Surface Water. Appl. Environ. Microbiol. 2005, 71, 1394–1404. [Google Scholar] [CrossRef] [PubMed]
  98. Chopra, I.; Roberts, M. Tetracycline Antibiotics: Mode of Action, Applications, Molecular Biology, and Epidemiology of Bacterial Resistance. Microbiol. Mol. Biol. Rev. 2001, 65, 232–260. [Google Scholar] [CrossRef]
  99. Alexander, T.W.; Inglis, G.D.; Yanke, L.J.; Topp, E.; Read, R.R.; Reuter, T.; McAllister, T.A. Farm-to-Fork Characterization of Escherichia coli Associated with Feedlot Cattle with a Known History of Antimicrobial Use. Int. J. Food Microbiol. 2010, 137, 40–48. [Google Scholar] [CrossRef]
  100. Love, D.C.; Davis, M.F.; Bassett, A.; Gunther, A.; Nachman, K.E. Dose Imprecision and Resistance: Free-Choice Medicated Feeds in Industrial Food Animal Production in the United States. Environ. Health Perspect. 2011, 119, 279–283. [Google Scholar] [CrossRef]
  101. Marshall, B.M.; Levy, S.B. Food Animals and Antimicrobials: Impacts on Human Health. Clin. Microbiol. Rev. 2011, 24, 718–733. [Google Scholar] [CrossRef]
  102. Harada, K.; Asai, T.; Kojima, A.; Ishihara, K.; Takahashi, T. Role of Coresistance in the Development of Resistance to Chloramphenicol in Escherichia coli Isolated from Sick Cattle and Pigs. Am. J. Vet. Res. 2006, 67, 230–235. [Google Scholar] [CrossRef]
  103. Kaesbohrer, A.; Schroeter, A.; Tenhagen, B.-A.; Alt, K.; Guerra, B.; Appel, B. Emerging Antimicrobial Resistance in Commensal Escherichia coli with Public Health Relevance. Zoonoses Public Health 2012, 59, 158–165. [Google Scholar] [CrossRef] [PubMed]
  104. Cheng, A.C.; Turnidge, J.; Collignon, P.; Looke, D.; Barton, M.; Gottlieb, T. Control of Fluoroquinolone Resistance through Successful Regulation, Australia. Emerg. Infect. Dis. 2012, 18, 1453–1460. [Google Scholar] [CrossRef]
  105. Hang, B.P.T.; Wredle, E.; Börjesson, S.; Sjaunja, K.S.; Dicksved, J.; Duse, A. High Level of Multidrug-Resistant Escherichia coli in Young Dairy Calves in Southern Vietnam. Trop. Anim. Health Prod. 2019, 51, 1405–1411. [Google Scholar] [CrossRef]
  106. Nhung, N.; Cuong, N.; Thwaites, G.; Carrique-Mas, J. Antimicrobial Usage and Antimicrobial Resistance in Animal Production in Southeast Asia: A Review. Antibiotics 2016, 5, 37. [Google Scholar] [CrossRef]
  107. Ström, G.; Halje, M.; Karlsson, D.; Jiwakanon, J.; Pringle, M.; Fernström, L.-L.; Magnusson, U. Antimicrobial Use and Antimicrobial Susceptibility in Escherichia coli on Small- and Medium-Scale Pig Farms in North-Eastern Thailand. Antimicrob. Resist. Infect. Control 2017, 6, 75. [Google Scholar] [CrossRef] [PubMed]
  108. Lim, S.-K.; Nam, H.-M.; Moon, D.-C.; Jang, G.-C.; Jung, S.-C.; Korean, V. Antimicrobial Resistance of Escherichia coli Isolated from Healthy Animals during 2010–2012. Korean J. Vet. Res. 2014, 54, 131–137. [Google Scholar] [CrossRef]
  109. Kyung-Hyo, D.; Jae-Won, B.; Wan-Kyu, L. Antimicrobial Resistance Profiles of Escherichia coli from Diarrheic Weaned Piglets after the Ban on Antibiotic Growth Promoters in Feed. Antibiotics 2020, 9, 755. [Google Scholar] [CrossRef] [PubMed]
  110. Do, K.-H. Serogroups, Virulence Genes and Antimicrobial Resistance of F4+ and F18+ Escherichia coli Isolated from Weaned Piglets. Pak. Vet. J. 2019, 39, 266–270. [Google Scholar] [CrossRef]
  111. Song, H.-J.; Kim, S.-J.; Moon, D.C.; Mechesso, A.F.; Choi, J.-H.; Kang, H.Y.; Boby, N.; Yoon, S.-S.; Lim, S.-K. Antimicrobial Resistance in Escherichia coli Isolates from Healthy Food Animals in South Korea, 2010–2020. Microorganisms 2022, 10, 524. [Google Scholar] [CrossRef]
  112. Ahmad, A.; Zachariasen, C.; Christiansen, L.E.; Græsbøll, K.; Toft, N.; Matthews, L.; Nielsen, S.S.; Olsen, J.E. Modeling the Growth Dynamics of Multiple Escherichia coli Strains in the Pig Intestine Following Intramuscular Ampicillin Treatment. BMC Microbiol. 2016, 16, 205. [Google Scholar] [CrossRef]
  113. Bezerra, W.G.A.; da Silva, I.N.G.; Vasconcelos, R.H.; Machado, D.N.; Lopes, E.D.S.; Lima, S.V.G.; de C. Teixeira, R.S.; Lima, J.B.; Oliveira, F.R.; Maciel, W.C. Isolation and Antimicrobial Resistance of Escherichia coli and Salmonella enterica subsp. enterica (O:6,8) in Broiler Chickens. Acta Sci. Vet. 2016, 44, 7. [Google Scholar] [CrossRef]
  114. Jiang, H.-X.; Lü, D.-H.; Chen, Z.-L.; Wang, X.-M.; Chen, J.-R.; Liu, Y.-H.; Liao, X.-P.; Liu, J.-H.; Zeng, Z.-L. High Prevalence and Widespread Distribution of Multi-Resistant Escherichia coli Isolates in Pigs and Poultry in China. Vet. J. 2011, 187, 99–103. [Google Scholar] [CrossRef] [PubMed]
  115. Martínez-Vázquez, A.V.; Rivera-Sánchez, G.; Lira-Méndez, K.; Reyes-López, M.Á.; Bocanegra-García, V. Prevalence, Antimicrobial Resistance and Virulence Genes of Escherichia coli Isolated from Retail Meat in Tamaulipas, Mexico. J. Glob. Antimicrob. Resist. 2018, 14, 266–272. [Google Scholar] [CrossRef]
  116. Roca-Saavedra, P.; Mendez-Vilabrille, V.; Miranda, J.M.; Nebot, C.; Cardelle-Cobas, A.; Franco, C.M.; Cepeda, A. Food Additives, Contaminants and Other Minor Components: Effects on Human Gut Microbiota—A Review. J. Physiol. Biochem. 2018, 74, 69–83. [Google Scholar] [CrossRef]
  117. Summers, M.F.; Hrabowski, F.A. Preparing Minority Scientists and Engineers. Science 2006, 311, 1870–1871. [Google Scholar] [CrossRef]
  118. Temple, L.; Cresawn, S.G.; Monroe, J.D. Genomics and Bioinformatics in Undergraduate Curricula: Contexts for Hybrid Laboratory/Lecture Courses for Entering and Advanced Science Students. Biochem. Mol. Biol. Educ. 2010, 38, 23–28. [Google Scholar] [CrossRef]
  119. Hanauer, D.I.; Jacobs-Sera, D.; Pedulla, M.L.; Cresawn, S.G.; Hendrix, R.W.; Hatfull, G.F. Teaching Scientific Inquiry. Science 2006, 314, 1880–1881. [Google Scholar] [CrossRef] [PubMed]
  120. Caruso, S.M.; Sandoz, J.; Kelsey, J. Non-STEM Undergraduates Become Enthusiastic Phage-Hunters. CBE—Life Sci. Educ. 2009, 8, 278–282. [Google Scholar] [CrossRef]
  121. Harrison, M.; Dunbar, D.; Ratmansky, L.; Boyd, K.; Lopatto, D. Classroom-Based Science Research at the Introductory Level: Changes in Career Choices and Attitude. CBE—Life Sci. Educ. 2011, 10, 279–286. [Google Scholar] [CrossRef]
  122. Jordan, T.C.; Burnett, S.H.; Carson, S.; Caruso, S.M.; Clase, K.; DeJong, R.J.; Dennehy, J.J.; Denver, D.R.; Dunbar, D.; Elgin, S.C.R.; et al. A Broadly Implementable Research Course in Phage Discovery and Genomics for First-Year Undergraduate Students. MBio 2014, 5, e01051-13. [Google Scholar] [CrossRef]
  123. Volynkina, I.A.; Zakalyukina, Y.V.; Alferova, V.A.; Belik, A.R.; Yagoda, D.K.; Nikandrova, A.A.; Buyuklyan, Y.A.; Udalov, A.V.; Golovin, E.V.; Kryakvin, M.A.; et al. Mechanism-Based Approach to New Antibiotic Producers Screening Among Actinomycetes in the Course of the Citizen Science Project. Antibiotics 2022, 11, 1198. [Google Scholar] [CrossRef] [PubMed]
Disclaimer/Publisher’s Note: The statements, opinions and data contained in all publications are solely those of the individual author(s) and contributor(s) and not of MDPI and/or the editor(s). MDPI and/or the editor(s) disclaim responsibility for any injury to people or property resulting from any ideas, methods, instructions or products referred to in the content.

Article Metrics

Citations

Article Access Statistics

Multiple requests from the same IP address are counted as one view.