Suppression of Nasopharyngeal and Gastric Tumor Growth in a Mouse Model by Antibodies to Epstein–Barr Virus LMP1 Protein
Abstract
1. Introduction
2. Materials and Methods
2.1. Antibodies
2.2. Cell Cultures
2.3. Nude Mouse Experiments
2.4. Exosome/LMP1 Complex Preparation from NPC Patients’ Serum or Implanted Nude Mice
2.5. Immunoblotting Analysis
2.6. Immunofluorescence Analysis
2.7. Electron Microscopy Analysis
2.8. Confocal Microscopy Analysis
2.9. Enzyme-Linked Immunosorbent Assay (ELISA) for NF-κB Components Detection
2.10. RT-PCR Analysis
2.11. Proliferation Analysis
2.12. Statistical Analysis
3. Results
3.1. LMP1 Antibodies’ Impact on Tumor Growth
3.2. Presence of Exosome/LMP1 and Exosome/LMP1/S12 Complex in Mouse Serum and Tumor Cells
3.3. Combination of Confocal Microscopy, Immunoelectron Microscopy, and Immunofluorescence
3.4. Mitogenic Stimulation of Several Cell Lines by LMP1/Exosome Extracted from NPC Serum and Its Deactivation by Anti-LMP1 Antibody
3.5. Effect of S12 Antibodies on Different Cell Lines
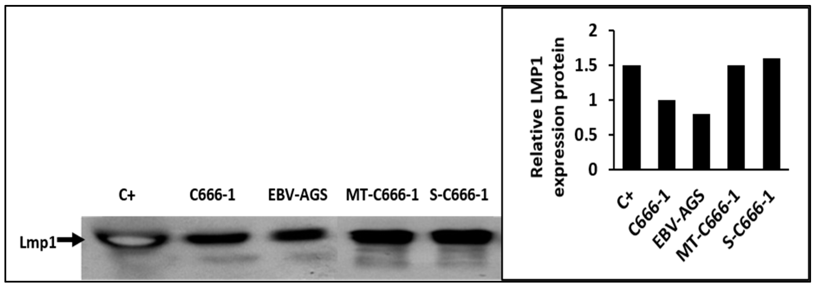
3.6. LMP1 Transcriptional Expression in Cell Lines and Tumors
3.7. Translational Expression of NF-κB
4. Discussion
5. Conclusions
Author Contributions
Funding
Institutional Review Board Statement
Informed Consent Statement
Data Availability Statement
Conflicts of Interest
References
- Lo, A.K.F.; Dawson, C.W.; Lung, H.L.; Wong, K.L.; Young, L.S. The Therapeutic Potential of Targeting BARF1 in EBV-Associated Malignancies. Cancer 2020, 12, 1940. [Google Scholar] [CrossRef]
- Shair, K.H.Y.; Reddy, A.; Cooper, V.S. New Insights from Elucidating the Role of LMP1 in Nasopharyngeal Carcinoma. Cancers 2018, 10, 86. [Google Scholar] [CrossRef]
- Stefańska, K.; Józkowiak, M.; Angelova Volponi, A.; Shibli, J.A.; Golkar-Narenji, A.; Antosik, P.; Bukowska, D.; Piotrowska-Kempisty, H.; Mozdziak, P.; Dzięgiel, P.; et al. The Role of Exosomes in Human Carcinogenesis and Cancer Therapy-Recent Findings from Molecular and Clinical Research. Cells 2023, 12, 356. [Google Scholar] [CrossRef]
- Deng, Y.; Liu, X.; Huang, Y.; Ye, J.; He, Q.; Luo, Y.; Chen, Y.; Li, Q.; Lin, Y.; Liang, R.; et al. STIM1-regulated exosomal EBV-LMP1 empowers endothelial cells with an aggressive phenotype by activating the Akt/ERK pathway in nasopharyngeal carcinoma. Cell. Oncol. 2023. ahead of print. [Google Scholar] [CrossRef] [PubMed]
- Kim, B.; Kim, K.-M. Role of Exosomes and Their Potential as Biomarkers in Epstein-Barr Virus-Associated Gastric Cancer. Cancers 2023, 15, 469. [Google Scholar] [CrossRef] [PubMed]
- Dasari, V.; Sinha, D.; Neller, M.A.; Smith, C.; Khanna, R. Prophylactic and therapeutic strategies for Epstein-Barr virus-associated diseases: Emerging strategies for clinical development. Expert Rev. Vaccines 2019, 18, 457–474. [Google Scholar] [CrossRef]
- Ayee, R.; Ofori, M.E.O.; Wright, E.; Quaye, O. Epstein Barr Virus Associated Lymphomas and Epithelia Cancers in Humans. J. Cancer 2020, 11, 1737–1750. [Google Scholar] [CrossRef]
- Houali, K.; Wang, X.H.; Shimizu, Y.; Djennaoui, D.; Nicholls, J.; Fiorini, S.; Bouguermouh, A.; Ooka, T. A new diagnostic marker for secreted Epstein-Barr virus-encoded LMP1 and BARF1 oncoproteins in the serum and saliva of patients with nasopharyngeal carcinoma Clin. Cancer Res. 2007, 13, 4993–5000. [Google Scholar] [CrossRef]
- Sbih-Lammali, F.; Berger, F.; Busson, P.; Ooka, T. Expression of EBV DNAase in the tumor cells of nasopharyngeal Carcinoma. Virology 1996, 222, 64–74. [Google Scholar] [CrossRef] [PubMed]
- Cheung, S.T.; Huang, D.P.; Hui, A.B.; Lo, K.W.; Ko, C.W.; Tsang, Y.S.; Wong, N.; Whitney, B.M.; Lee, J.C. The nasopharyngeal carcinoma cell line (C666-1) consistently harbors the Epstein-Barr virus. Int. J. Cancer 1999, 83, 121–126. [Google Scholar] [CrossRef]
- Kassis, J.; Maeda, A.; Teramoto, N.; Takada, K.; Wu, C.; Klein, G.; Wells, A. EBV-expressing AGS gastric carcinoma cell sublines present increased motility and invasiveness. Int. J. Cancer 2002, 99, 644–651. [Google Scholar] [CrossRef]
- van Niel, G.; Porto-Carreiro, I.; Simones, S.; Raposo, G. Exosomes: A common pathway for a specialized function. J. Biochem. 2006, 140, 13–21. [Google Scholar] [CrossRef]
- Zhao, M.H.; Liu, W.; Zhang, Y.; Liu, J.J.; Song, H.; Luo, B. Epstein-Barr virus miR-BART4-3p regulates cell proliferation, apoptosis, and migration by targeting AXL in gastric carcinoma. Virus Genes 2022, 58, 23–34. [Google Scholar] [CrossRef]
- Flanagan, J.; Middeldorp, J.; Sculley, T. Localization of the Epstein-Barr virus protein LMP 1 to exosomes. J. Gen. Virol. 2003, 84, 1871–1879. [Google Scholar] [CrossRef]
- Kieff, E.; Rickinson, A.B. Epstein-Barr Virus. In Fields Virology, 5th ed.; Fields, B.N., Knipe, D.M., Howley, P.M., Eds.; Lippincott-Williams & Wilkins Publishers: Philadelphia, PA, USA, 2007; pp. 2655–2700. [Google Scholar]
- Aga, M.; Bentz, G.L.; Raffa, S.; Torrisi, M.R.; Kondo, S.; Wakisaka, N.; Yoshizaki, T.; Pagano, J.S.; Shackelford, J. Exosomal HIF1α supports invasive potential of nasopharyngeal carcinoma-associated LMP1-positive exosomes. Oncogene 2014, 33, 4613–4622. [Google Scholar] [CrossRef] [PubMed]
- Meckes, D.G.; Traub, N.R. Microvesicles and viral infection. J. Virol. 2011, 85, 12844–12854. [Google Scholar] [CrossRef] [PubMed]
- Mardi, N.; Haiaty, S.; Rahbarghazi, R.; Mobarak, H.; Milani, M.; Zarebkohan, A.; Nouri, M. Exosomal transmission of viruses is a two-edged biological sword. Cell Commun. Signal. 2023, 21, 19. [Google Scholar] [CrossRef]
- Chen, H.; Wang, L.; Zeng, X.; Schwarz, H.; Nanda, H.S.; Peng, X.; Zhou, Y. Exosomes, a new star for targeted delivery. Front. Cell Dev. Biol. 2021, 9, 751079. [Google Scholar] [CrossRef] [PubMed]
- Guo, M.; Duan, X.; Peng, X.; Jin, Z.; Huang, H.; Xiao, W.; Zheng, Q.; Deng, Y.; Fan, N.; Chen, K.; et al. A lipid-based LMP2-mRNA vaccine to treat nasopharyngeal carcinoma. Nano Res. 2022, 10, 12274. [Google Scholar] [CrossRef] [PubMed]
- Lo, A.K.; Dawson, C.W.; Lung, H.L.; Wong, K.L.; Young, L.S. The Role of EBV-Encoded LMP1 in the NPC Tumor Microenvironment: From Function to Therapy. Front. Oncol. 2021, 11, 640207. [Google Scholar] [CrossRef] [PubMed]
- Nkosi, D.; Howell, L.A.; Cheerathodi, M.R.; Hurwitz, S.N.; Tremblay, D.C.; Liu, X.; Meckes, D.G., Jr. Transmembrane Domains Mediate Intra-and Extracellular Trafficking of Epstein-Barr Virus Latent Membrane Protein 1. J. Virol. 2018, 92, e00280-18. [Google Scholar] [CrossRef]
- Vazirabadi, G.; Geiger, T.R.; Coffin, W.F.; Martin, J.M. Links Epstein-Barr virus latent membrane protein-1 (LMP1) and lytic LMP1 localization in plasma membrane-derived extracellular vesicles and intracellular virions. J. Gen. Virol. 2003, 84, 1997–2008. [Google Scholar] [CrossRef]
- Albensi, B.C. What Is Nuclear Factor Kappa B (NF-κB) Doing in and to the Mitochondrion? Front. Cell Dev. Biol. 2019, 7, 154. [Google Scholar] [CrossRef] [PubMed]
- Zuo, L.; Xie, Y.; Tang, J.; Xin, S.; Liu, L.; Zhang, S.; Yan, Q.; Zhu, F.; Lu, J. Targeting exosomal EBV-LMP1 transfer and miR-203 expression via the NF-κB pathway: The therapeutic role of aspirin in NPC. Mol. Ther. Nucleic Acids 2019, 17, 175–184. [Google Scholar] [CrossRef] [PubMed]
- Chen, W.; Xie, Y.; Wang, T.; Wang, L. New insights into Epstein-Barr virus-associated tumors: Exosomes (Review). Oncol. Rep. 2022, 47, 13. [Google Scholar] [CrossRef]
- Keller, S.; Sanderson, M.P.; Stoeck, A.; Altevogt, P. Exosomes: From biogenesis and secretion to biological function. Immun. Letter. 2006, 107, 102–108. [Google Scholar] [CrossRef]
- Gruenberg, J.; Van der Goot, F.G. Mechanisms of pathogen entry through the endosomal compartments. Nat. Rev. Mol. Cell Biol. 2006, 7, 495–504. [Google Scholar] [CrossRef]
- Sanderson, M.P.; Keller, S.; Alonso, A.; Riedle, S.; Dempsey, P.J.; Altevogt, P. Generation of novel secreted epidermal growth factor receptor (EGFR/ErbB1) isoforms via metalloprotease-dependent ectodomain shedding and exosome secretion. J. Cell. Biochem. 2008, 103, 1783–1797. [Google Scholar] [CrossRef] [PubMed]
- Marti, U.; Ruchti, C.; Kampf, J.; Thomas, G.A.; Williams, E.D.; Peter, H.J.; Gerber, H.; Gürgi, U. Nuclear localization of epidermal growth factor and epidermal growth factor receptors in human thyroid tissues. Thyroid 2001, 11, 137–145. [Google Scholar] [CrossRef]
- Hu, M.; Scollard, D.; Chan, C.; Chen, P.; Vallis, K.; Reilly, R.M. Effect of the EGFR density of breast cancer cells on nuclear importation in vitro cytotoxicity and tumor and normal-tissue uptake of [111In] DTPA-hEGF. Nucl. Med. Biol. 2007, 34, 887–896. [Google Scholar] [CrossRef]
- Tao, Y.; Song, X.; Deng, X.; Xie, D.; Lee, L.M.; Liu, Y.; Li, W.; Li, L.; Wu, Q.; Gong, J.; et al. Nuclear accumulation of epidermal growth factor receptor and acceleration of G1/S stage by Epstein-Barr -encoded oncoprotein latent membrane protein 1. Exp. Cell Res. 2005, 303, 240–251. [Google Scholar] [CrossRef]
- Le Page, C.; Koumakpayi, I.H.; Lessard, L.; Mes-Masson, A.M.; Saad, F. EGFR, and Her-2 regulate the constitutive activation of NF-κB in PC-3 prostate cancer cells. Prostate 2005, 65, 130–140. [Google Scholar] [CrossRef] [PubMed]
- Xu, J.-Y.; Wei, X.-L.; Wang, Y.-Q.; Wang, F.-H. Current status and advances of immunotherapy in nasopharyngeal carcinoma. Ther. Adv. Med. Oncol. 2022, 14, 1–27. [Google Scholar] [CrossRef] [PubMed]
- Chen, J. Roles of the PI3K/Akt pathway in Epstein-Barr virus-induced cancers and therapeutic implications. World J. Virol. 2012, 1, 154–161. [Google Scholar] [CrossRef] [PubMed]
- Moon, S.H.; Park, N.S.; Noh, M.H.; Kim, Y.S.; Cheong, S.H.; Hur, D.Y. Olaparib-induced Apoptosis through EBNA1-ATR-p38 MAPK Signaling Pathway in Epstein-Barr Virus-positive Gastric Cancer Cells. Anticancer Res. 2022, 42, 555–563. [Google Scholar] [CrossRef] [PubMed]













| Actin Primers | LMP1 Primers (Exon 3) | |
|---|---|---|
| Sens | 5′-CCTTCCTGGGCATGGAGTCCT-3′ | 5′-CGGGATCCATGGAACGCGACCTTGAGAG-3′ |
| Antisense | 5′-GGAGCAATGATCTTGATCTTC-3′ | 5′-CGGAATTCTAAGCAGGATGATGGCTAGG-3′ |
Disclaimer/Publisher’s Note: The statements, opinions and data contained in all publications are solely those of the individual author(s) and contributor(s) and not of MDPI and/or the editor(s). MDPI and/or the editor(s) disclaim responsibility for any injury to people or property resulting from any ideas, methods, instructions or products referred to in the content. |
© 2023 by the authors. Licensee MDPI, Basel, Switzerland. This article is an open access article distributed under the terms and conditions of the Creative Commons Attribution (CC BY) license (https://creativecommons.org/licenses/by/4.0/).
Share and Cite
Khenchouche, A.; Salem-Bekhit, M.M.; Mansour, A.A.; Alomary, M.N.; Wang, X.; Alzahrani, H.A.; Hosiny, I.M.A.; Taha, E.I.; Shazly, G.A.; Benguerba, Y.; et al. Suppression of Nasopharyngeal and Gastric Tumor Growth in a Mouse Model by Antibodies to Epstein–Barr Virus LMP1 Protein. Microorganisms 2023, 11, 1712. https://doi.org/10.3390/microorganisms11071712
Khenchouche A, Salem-Bekhit MM, Mansour AA, Alomary MN, Wang X, Alzahrani HA, Hosiny IMA, Taha EI, Shazly GA, Benguerba Y, et al. Suppression of Nasopharyngeal and Gastric Tumor Growth in a Mouse Model by Antibodies to Epstein–Barr Virus LMP1 Protein. Microorganisms. 2023; 11(7):1712. https://doi.org/10.3390/microorganisms11071712
Chicago/Turabian StyleKhenchouche, Abdelhalim, Mounir M. Salem-Bekhit, Ahd A. Mansour, Mohammad N. Alomary, Xiaohui Wang, Hayat Ali Alzahrani, Ibrahim M. Al Hosiny, Ehab I. Taha, Gamal A. Shazly, Yacine Benguerba, and et al. 2023. "Suppression of Nasopharyngeal and Gastric Tumor Growth in a Mouse Model by Antibodies to Epstein–Barr Virus LMP1 Protein" Microorganisms 11, no. 7: 1712. https://doi.org/10.3390/microorganisms11071712
APA StyleKhenchouche, A., Salem-Bekhit, M. M., Mansour, A. A., Alomary, M. N., Wang, X., Alzahrani, H. A., Hosiny, I. M. A., Taha, E. I., Shazly, G. A., Benguerba, Y., & Houali, K. (2023). Suppression of Nasopharyngeal and Gastric Tumor Growth in a Mouse Model by Antibodies to Epstein–Barr Virus LMP1 Protein. Microorganisms, 11(7), 1712. https://doi.org/10.3390/microorganisms11071712

