Amelioration of Murine Colitis by Attenuated Salmonella choleraesuis Encoding Interleukin-19
Abstract
1. Introduction
2. Material and Methods
2.1. Isolation of Murine IL-19 Complementary DNA (cDNA)
2.2. Plasmids and Bacteria
2.3. Cell Lines and Mice
2.4. Assays of Gene Transfer In Vitro and In Vivo
2.5. IHC Staining
2.6. Isolation of Spleen Cells
2.7. Induction of Colitis and Injection of S.C. in DSS-Induced Colitis Mice
2.8. TNF-α, IL-6, IL-1β, and IL-10 Concentration in the Colonic Tissue
2.9. Histological Evaluation and Scoring
2.10. Statistical Analysis
3. Results
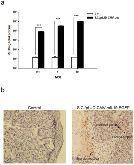
3.1. S. choleraesuis Delivered Reporter Genes In Vitro and In Vivo
3.2. S.C./pLJD-CMV-mIL19-Mediated Gene Transfer Up-Regulated IL-10 Expression In Vitro and In Vivo
3.3. S.C./pLJD-CMV-mIL19 Treatment Reduced Mortality and Body Weight Loss in DSS-Induced Acute Colitis Mice
3.4. S.C./pLJD-CMV-mIL19 Ameliorated Clinical Signs in the DSS-Induced Colitis Mice
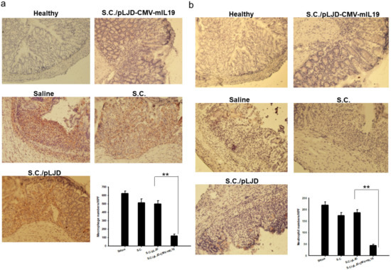
3.5. S.C./pLJD-CMV-mIL19 Decreased Intestinal Inflammation in DSS-Induced Acute Colitis Mice
3.6. S.C./pLJD-CMV-mIL19 Treatment Decreased Colonic Proinflammatory Cytokine Production
4. Discussion
Author Contributions
Funding
Institutional Review Board Statement
Data Availability Statement
Conflicts of Interest
References
- Yen, D.; Cheung, J.; Scheerens, H.; Poulet, F.; McClanahan, T.; McKenzie, B.; Kleinschek, M.A.; Owyang, A.; Mattson, J.; Blumenschein, W.; et al. IL-23 is essential for T cell-mediated colitis and promotes inflammation via IL-17 and IL-6. J. Clin. Investig. 2006, 116, 1310–1316. [Google Scholar] [CrossRef] [PubMed]
- Mak, T.W.; Saunders, M.E.; Jett, B.D. (Eds.) Chapter 19—Autoimmune Diseases. In Primer to the Immune Response, 2nd ed.; Academic Cell: Boston, MA, USA, 2014; pp. 517–552. [Google Scholar]
- Berg, D.J.; Davidson, N.; Kuhn, R.; Muller, W.; Menon, S.; Holland, G.; Thompson-Snipes, L.; Leach, M.W.; Rennick, D. Enterocolitis and colon cancer in interleukin-10-deficient mice are associated with aberrant cytokine production and CD4(+) TH1-like responses. J. Clin. Investig. 1996, 98, 1010–1020. [Google Scholar] [CrossRef] [PubMed]
- Lindsay, J.; Van Montfrans, C.; Brennan, F.; Van Deventer, S.; Drillenburg, P.; Hodgson, H.; Te Velde, A.; Sol Rodriguez Pena, M. IL-10 gene therapy prevents TNBS-induced colitis. Gene Ther. 2002, 9, 1715–1721. [Google Scholar] [CrossRef] [PubMed]
- Kuhn, R.; Lohler, J.; Rennick, D.; Rajewsky, K.; Muller, W. Interleukin-10-deficient mice develop chronic enterocolitis. Cell 1993, 75, 263–274. [Google Scholar] [CrossRef]
- Lindsay, J.O.; Sandison, A.; Cohen, P.; Brennan, F.M.; Hodgson, H.J. IL-10 gene therapy is therapeutic for dextran sodium sulfate-induced murine colitis. Dig. Dis. Sci. 2004, 49, 1327–1334. [Google Scholar] [CrossRef]
- Lindsay, J.O.; Ciesielski, C.J.; Scheinin, T.; Hodgson, H.J.; Brennan, F.M. The prevention and treatment of murine colitis using gene therapy with adenoviral vectors encoding IL-10. J. Immunol. 2001, 166, 7625–7633. [Google Scholar] [CrossRef]
- Van Deventer, S.J.; Elson, C.O.; Fedorak, R.N. Multiple doses of intravenous interleukin 10 in steroid-refractory Crohn’s disease. Crohn’s Disease Study Group. Gastroenterology 1997, 113, 383–389. [Google Scholar] [CrossRef]
- Steidler, L.; Hans, W.; Schotte, L.; Neirynck, S.; Obermeier, F.; Falk, W.; Fiers, W.; Remaut, E. Treatment of murine colitis by Lactococcus lactis secreting interleukin-10. Science 2000, 289, 1352–1355. [Google Scholar] [CrossRef]
- Buelens, C.; Verhasselt, V.; De Groote, D.; Thielemans, K.; Goldman, M.; Willems, F. Human dendritic cell responses to lipopolysaccharide and CD40 ligation are differentially regulated by interleukin-10. Eur. J. Immunol. 1997, 27, 1848–1852. [Google Scholar] [CrossRef]
- Moore, K.W.; de Waal Malefyt, R.; Coffman, R.L.; O’Garra, A. Interleukin-10 and the interleukin-10 receptor. Annu. Rev. Immunol. 2001, 19, 683–765. [Google Scholar] [CrossRef]
- Groux, H.; O’Garra, A.; Bigler, M.; Rouleau, M.; Antonenko, S.; de Vries, J.E.; Roncarolo, M.G. A CD4+T-cell subset inhibits antigen-specific T-cell responses and prevents colitis. Nature 1997, 389, 737–742. [Google Scholar] [CrossRef] [PubMed]
- Gallagher, G.; Eskdale, J.; Jordan, W.; Peat, J.; Campbell, J.; Boniotto, M.; Lennon, G.P.; Dickensheets, H.; Donnelly, R.P. Human interleukin-19 and its receptor: A potential role in the induction of Th2 responses. Int. Immunopharmacol. 2004, 4, 615–626. [Google Scholar] [CrossRef] [PubMed]
- Jordan, W.J.; Eskdale, J.; Boniotto, M.; Lennon, G.P.; Peat, J.; Campbell, J.D.; Gallagher, G. Human IL-19 regulates immunity through auto-induction of IL-19 and production of IL-10. Eur. J. Immunol. 2005, 35, 1576–1582. [Google Scholar] [CrossRef] [PubMed]
- Weiss, S.; Chakraborty, T. Transfer of eukaryotic expression plasmids to mammalian host cells by bacterial carriers. Curr. Opin. Biotechnol. 2001, 12, 467–472. [Google Scholar] [CrossRef] [PubMed]
- Paglia, P.; Terrazzini, N.; Schulze, K.; Guzman, C.A.; Colombo, M.P. In vivo correction of genetic defects of monocyte/macrophages using attenuated Salmonella as oral vectors for targeted gene delivery. Gene Ther. 2000, 7, 1725–1730. [Google Scholar] [CrossRef]
- Yuhua, L.; Kunyuan, G.; Hui, C.; Yongmei, X.; Chaoyang, S.; Xun, T.; Daming, R. Oral cytokine gene therapy against murine tumor using attenuated Salmonella typhimurium. Int. J. Cancer 2001, 94, 438–443. [Google Scholar] [CrossRef]
- Shiau, A.L.; Chen, Y.L.; Liao, C.Y.; Huang, Y.S.; Wu, C.L. Prothymosin alpha enhances protective immune responses induced by oral DNA vaccination against pseudorabies delivered by Salmonella choleraesuis. Vaccine 2001, 19, 3947–3956. [Google Scholar] [CrossRef]
- Shiau, A.L.; Chen, C.C.; Yo, Y.T.; Chu, C.Y.; Wang, S.Y.; Wu, C.L. Enhancement of humoral and cellular immune responses by an oral Salmonella choleraesuis vaccine expressing porcine prothymosin alpha. Vaccine 2005, 23, 5563–5571. [Google Scholar] [CrossRef]
- Melgar, S.; Karlsson, A.; Michaelsson, E. Acute colitis induced by dextran sulfate sodium progresses to chronicity in C57BL/6 but not in BALB/c mice: Correlation between symptoms and inflammation. Am. J. Physiol. Gastrointest. Liver Physiol. 2005, 288, G1328–G1338. [Google Scholar] [CrossRef]
- Azuma, Y.-T.; Matsuo, Y.; Kuwamura, M.; Yancopoulos, G.D.; Valenzuela, D.M.; Murphy, A.J.; Nakajima, H.; Karow, M.; Takeuchi, T. Interleukin-19 protects mice from innate-mediated colonic inflammation. Inflamm. Bowel Dis. 2010, 16, 1017–1028. [Google Scholar] [CrossRef]
- Matsuo, Y.; Azuma, Y.-T.; Kuwamura, M.; Kuramoto, N.; Nishiyama, K.; Yoshida, N.; Ikeda, Y.; Fujimoto, Y.; Nakajima, H.; Takeuchi, T. Interleukin 19 reduces inflammation in chemically induced experimental colitis. Int. Immunopharmacol. 2015, 29, 468–475. [Google Scholar] [CrossRef]
- Yamamoto-Furusho, J.K.; Álvarez-León, E.; Fragoso, J.M.; Gozalishvilli, A.; Vallejo, M.; Vargas-Alarcón, G. Protective role of interleukin-19 gene polymorphisms in patients with ulcerative colitis. Hum. Immunol. 2011, 72, 1029–1032. [Google Scholar] [CrossRef] [PubMed]
- Liao, Y.C.; Liang, W.G.; Chen, F.W.; Hsu, J.H.; Yang, J.J.; Chang, M.S. IL-19 induces production of IL-6 and TNF-alpha and results in cell apoptosis through TNF-alpha. J. Immunol. 2002, 169, 4288–4297. [Google Scholar] [CrossRef] [PubMed]
- Pestka, S.; Krause, C.D.; Sarkar, D.; Walter, M.R.; Shi, Y.; Fisher, P.B. Interleukin-10 and related cytokines and receptors. Annu. Rev. Immunol. 2004, 22, 929–979. [Google Scholar] [CrossRef] [PubMed]
- Okayasu, I.; Hatakeyama, S.; Yamada, M.; Ohkusa, T.; Inagaki, Y.; Nakaya, R. A novel method in the induction of reliable experimental acute and chronic ulcerative colitis in mice. Gastroenterology 1990, 98, 694–702. [Google Scholar] [CrossRef]
- Nielsen, O.H.; Kirman, I.; Rudiger, N.; Hendel, J.; Vainer, B. Upregulation of interleukin-12 and -17 in active inflammatory bowel disease. Scand. J. Gastroenterol. 2003, 38, 180–185. [Google Scholar] [CrossRef]
- Kitajima, S.; Takuma, S.; Morimoto, M. Tissue distribution of dextran sulfate sodium (DSS) in the acute phase of murine DSS-induced colitis. J. Vet. Med. Sci. 1999, 61, 67–70. [Google Scholar] [CrossRef]
- Stevceva, L.; Pavli, P.; Husband, A.J.; Doe, W.F. The inflammatory infiltrate in the acute stage of the dextran sulphate sodium induced colitis: B cell response differs depending on the percentage of DSS used to induce it. BMC Clin. Pathol. 2001, 1, 3. [Google Scholar] [CrossRef]
- Parronchi, P.; Romagnani, P.; Annunziato, F.; Sampognaro, S.; Becchio, A.; Giannarini, L.; Maggi, E.; Pupilli, C.; Tonelli, F.; Romagnani, S. Type 1 T-helper cell predominance and interleukin-12 expression in the gut of patients with Crohn’s disease. Am. J. Pathol. 1997, 150, 823–832. [Google Scholar]
- Fiocchi, C. Inflammatory bowel disease: Etiology and pathogenesis. Gastroenterology 1998, 115, 182–205. [Google Scholar] [CrossRef]
- Boirivant, M.; Fuss, I.J.; Chu, A.; Strober, W. Oxazolone colitis: A murine model of T helper cell type 2 colitis treatable with antibodies to interleukin 4. J. Exp. Med. 1998, 188, 1929–1939. [Google Scholar] [CrossRef] [PubMed]
- Hans, W.; Scholmerich, J.; Gross, V.; Falk, W. Interleukin-12 induced interferon-gamma increases inflammation in acute dextran sulfate sodium induced colitis in mice. Eur. Cytokine Netw. 2000, 11, 67–74. [Google Scholar] [PubMed]
- Nagalakshmi, M.L.; Murphy, E.; McClanahan, T.; de Waal Malefyt, R. Expression patterns of IL-10 ligand and receptor gene families provide leads for biological characterization. Int. Immunopharmacol. 2004, 4, 577–592. [Google Scholar] [CrossRef] [PubMed]
- Kruis, W.; Fric, P.; Pokrotnieks, J.; Lukas, M.; Fixa, B.; Kascak, M.; Kamm, M.A.; Weismueller, J.; Beglinger, C.; Stolte, M.; et al. Maintaining remission of ulcerative colitis with the probiotic Escherichia coli Nissle 1917 is as effective as with standard mesalazine. Gut 2004, 53, 1617–1623. [Google Scholar] [CrossRef] [PubMed]
- Furrie, E.; Macfarlane, S.; Kennedy, A.; Cummings, J.H.; Walsh, S.V.; O’Neil, D.A.; Macfarlane, G.T. Synbiotic therapy (Bifidobacterium longum/Synergy 1) initiates resolution of inflammation in patients with active ulcerative colitis: A randomised controlled pilot trial. Gut 2005, 54, 242–249. [Google Scholar] [CrossRef] [PubMed]
- Osman, N.; Adawi, D.; Ahrne, S.; Jeppsson, B.; Molin, G. Modulation of the effect of dextran sulfate sodium-induced acute colitis by the administration of different probiotic strains of Lactobacillus and Bifidobacterium. Dig. Dis. Sci. 2004, 49, 320–327. [Google Scholar] [CrossRef]
- Neish, A.S.; Gewirtz, A.T.; Zeng, H.; Young, A.N.; Hobert, M.E.; Karmali, V.; Rao, A.S.; Madara, J.L. Prokaryotic regulation of epithelial responses by inhibition of IkappaB-alpha ubiquitination. Science 2000, 289, 1560–1563. [Google Scholar] [CrossRef]








Disclaimer/Publisher’s Note: The statements, opinions and data contained in all publications are solely those of the individual author(s) and contributor(s) and not of MDPI and/or the editor(s). MDPI and/or the editor(s) disclaim responsibility for any injury to people or property resulting from any ideas, methods, instructions or products referred to in the content. |
© 2023 by the authors. Licensee MDPI, Basel, Switzerland. This article is an open access article distributed under the terms and conditions of the Creative Commons Attribution (CC BY) license (https://creativecommons.org/licenses/by/4.0/).
Share and Cite
Chen, S.-Y.; Chu, C.-T.; Yang, M.-L.; Lin, J.-D.; Wang, C.-T.; Lee, C.-H.; Lin, I.-C.; Shiau, A.-L.; Ling, P.; Wu, C.-L. Amelioration of Murine Colitis by Attenuated Salmonella choleraesuis Encoding Interleukin-19. Microorganisms 2023, 11, 1530. https://doi.org/10.3390/microorganisms11061530
Chen S-Y, Chu C-T, Yang M-L, Lin J-D, Wang C-T, Lee C-H, Lin I-C, Shiau A-L, Ling P, Wu C-L. Amelioration of Murine Colitis by Attenuated Salmonella choleraesuis Encoding Interleukin-19. Microorganisms. 2023; 11(6):1530. https://doi.org/10.3390/microorganisms11061530
Chicago/Turabian StyleChen, Shih-Yao, Chun-Ting Chu, Mei-Lin Yang, Jian-Da Lin, Chung-Teng Wang, Che-Hsin Lee, I-Chen Lin, Ai-Li Shiau, Pin Ling, and Chao-Liang Wu. 2023. "Amelioration of Murine Colitis by Attenuated Salmonella choleraesuis Encoding Interleukin-19" Microorganisms 11, no. 6: 1530. https://doi.org/10.3390/microorganisms11061530
APA StyleChen, S.-Y., Chu, C.-T., Yang, M.-L., Lin, J.-D., Wang, C.-T., Lee, C.-H., Lin, I.-C., Shiau, A.-L., Ling, P., & Wu, C.-L. (2023). Amelioration of Murine Colitis by Attenuated Salmonella choleraesuis Encoding Interleukin-19. Microorganisms, 11(6), 1530. https://doi.org/10.3390/microorganisms11061530

