Effects of Dietary Isoleucine Supplementation on the Production Performance, Health Status and Cecal Microbiota of Arbor Acre Broiler Chickens
Abstract
1. Introduction
2. Materials and Methods
2.1. Ethical Approval
2.2. Animals and Diets
2.3. Sample Collection
2.4. Serum Biochemistry, Antioxidants and Inflammatory Factors Analysis
2.5. Genes Expressions in Liver
2.6. Duodenal Morphological Analysis
2.7. Cecum Microflora Analysis
2.8. Statistical Analysis
3. Results
3.1. Production Performance
3.2. Serum Biochemical Parameters
3.3. Serum Antioxidant and Inflammatory Parameters
3.4. Genes Expressions of Liver Fat Metabolism
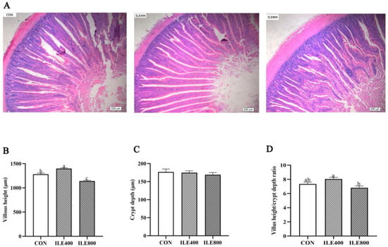
3.5. Measurements of Duodenal Morphology
3.6. Cecal Microbiota Analysis
4. Discussion
5. Conclusions
Supplementary Materials
Author Contributions
Funding
Data Availability Statement
Acknowledgments
Conflicts of Interest
References
- Pan, C. Can China’s Poultry Move Out of Pork’s Shadow. In Still on the Road to Industrialization; Rabobank: Utrecht, The Netherlands, 2013; Volume 5. [Google Scholar]
- Beski, S.S.; Swick, R.A.; Iji, P.A. Specialized protein products in broiler chicken nutrition: A review. Anim. Nutr. 2015, 12, 47–53. [Google Scholar] [CrossRef] [PubMed]
- Hill, B.; Kim, E.J. Precise amino acid availability values key. Feedstuffs 2013, 854, 20–22. [Google Scholar]
- Kobayashi, H.; Nakashima, K.; Ishida, A.; Ashihara, A.; Katsumata, M. Effects of low protein diet and low protein diet supplemented with synthetic essential amino acids on meat quality of broiler chickens. Anim. Sci. J. 2013, 846, 489–495. [Google Scholar] [CrossRef] [PubMed]
- Han, I.K.; Lee, J. The role of synthetic amino acids in monogastric animal production-review. Asian-Australas J. Anim. Sci. 2000, 134, 543–560. [Google Scholar] [CrossRef]
- Corzo, A.; Loar, R., II; Kidd, M. Limitations of dietary isoleucine and valine in broiler chick diets. Poult. Sci. 2009, 889, 1934–1938. [Google Scholar] [CrossRef]
- Berres, J.; Vieira, S.; Kidd, M.; Taschetto, D.; Freitas, D.; Barros, R.; Nogueira, E. Supplementing L-valine and L-isoleucine in low-protein corn and soybean meal all-vegetable diets for broilers. J. Appl. Poultry Res. 2010, 194, 373–379. [Google Scholar] [CrossRef]
- Mack, S.; Bercovici, D.; De Groote, G.; Leclercq, B.; Lippens, M.; Pack, M.; Schutte, J.; Van Cauwenberghe, S. Ideal amino acid profile and dietary lysine specification for broiler chickens of 20 to 40 days of age. Br. Poult. Sci. 1999, 402, 257–265. [Google Scholar] [CrossRef]
- Mejia, L.; Zumwalt, C.; Kim, E.; Tillman, P.; Corzo, A. Digestible isoleucine-to-lysine ratio effects in diets for broilers from 4 to 6 weeks posthatch. J. Appl. Poultry Res. 2011, 204, 485–490. [Google Scholar] [CrossRef]
- Zhao, J.; Liu, Y.; Jiang, J.; Wu, P.; Chen, G.; Jiang, W.; Li, S.; Tang, L.; Kuang, S.; Feng, L. Effects of dietary isoleucine on growth, the digestion and absorption capacity and gene expression in hepatopancreas and intestine of juvenile Jian carp (Cyprinus carpio var. Jian). Aquaculture 2012, 368, 117–128. [Google Scholar] [CrossRef]
- Zhao, J.; Feng, L.; Liu, Y.; Jiang, W.; Wu, P.; Jiang, J.; Zhang, Y.; Zhou, X. Effect of dietary isoleucine on the immunity, antioxidant status, tight junctions and microflora in the intestine of juvenile Jian carp (Cyprinus carpio var. Jian). Fish Shellfish Immunol. 2014, 412, 663–673. [Google Scholar] [CrossRef]
- Mao, X.; Sun, R.; Wang, Q.; Chen, D.; Yu, B.; He, J.; Yu, J.; Luo, J.; Luo, Y.; Yan, H. l-Isoleucine Administration Alleviates DSS-Induced Colitis by Regulating TLR4/MyD88/NF-κB Pathway in Rats. Front. Immunol. 2021, 12, 817583. [Google Scholar] [CrossRef] [PubMed]
- Gu, C.; Mao, X.; Chen, D.; Yu, B.; Yang, Q. Isoleucine plays an important role for maintaining immune function. Curr. Protein Pept. Sci. 2019, 207, 644–651. [Google Scholar] [CrossRef] [PubMed]
- Singh, A.; Mandal, R.; Bedford, M.; Jha, R. Xylanase improves growth performance, enhances cecal short-chain fatty acids production, and increases the relative abundance of fiber fermenting cecal microbiota in broilers. Anim. Feed Sci. Technol. 2021, 277, 114956. [Google Scholar] [CrossRef]
- Singh, A.K.; Kim, W.K. Effects of dietary fiber on nutrients utilization and gut health of poultry: A review of challenges and opportunities. Animals 2021, 111, 181. [Google Scholar] [CrossRef]
- Zhao, L.; Wang, G.; Siegel, P.; He, C.; Wang, H.; Zhao, W.; Zhai, Z.; Tian, F.; Zhao, J.; Zhang, H. Quantitative genetic background of the host influences gut microbiomes in chickens. Sci. Rep. 2013, 31, 1163. [Google Scholar] [CrossRef]
- Kumar, S.; Chen, C.; Indugu, N.; Werlang, G.O.; Singh, M.; Kim, W.K.; Thippareddi, H. Effect of antibiotic withdrawal in feed on chicken gut microbial dynamics, immunity, growth performance and prevalence of foodborne pathogens. PLoS ONE 2018, 132, e0192450. [Google Scholar] [CrossRef]
- Goodarzi, P.; Wileman, C.M.; Habibi, M.; Walsh, K.; Sutton, J.; Shili, C.N.; Chai, J.; Zhao, J.; Pezeshki, A. Effect of Isoleucine and Added Valine on Performance, Nutrients Digestibility and Gut Microbiota Composition of Pigs Fed with Very Low Protein Diets. Int. J. Mol. Sci. 2022, 2323, 14886. [Google Scholar] [CrossRef]
- Miranda, D.; Vieira, S.; Favero, A.; Angel, C.; Stefanello, C.; Nogueira, E. Performance and meat production of broiler chickens fed diets formulated at different crude protein levels supplemented or not with L-valine and L-isoleucine. Anim. Feed Sci. Technol. 2015, 206, 39–47. [Google Scholar] [CrossRef]
- Li, Y.; Liu, H.; Zhang, L.; Yang, Y.; Lin, Y.; Zhuo, Y.; Fang, Z.; Che, L.; Feng, B.; Xu, S. Maternal dietary fiber composition during gestation induces changes in offspring antioxidative capacity, inflammatory response, and gut microbiota in a sow model. Int. J. Mol. Sci. 2019, 211, 31. [Google Scholar] [CrossRef]
- Liu, Y.; Wang, Q.; Liu, H.; Niu, J.i.; Jiao, N.; Huang, L.; Jiang, S.; Guan, Q.; Yang, W.; Li, Y. Effects of dietary Bopu powder supplementation on intestinal development and microbiota in broiler chickens. Front. Microbiol. 2022, 13, 1019130. [Google Scholar] [CrossRef]
- Chen, J.; Li, F.; Yang, W.; Jiang, S.; Li, Y. Supplementation with exogenous catalase from Penicillium notatum in the diet ameliorates lipopolysaccharide-induced intestinal oxidative damage through affecting intestinal antioxidant capacity and microbiota in weaned pigs. Microbiol. Spectr. 2021, 93, e00654-21. [Google Scholar] [CrossRef] [PubMed]
- Li, Y.; Yang, M.; Zhang, L.; Mao, Z.; Lin, Y.; Xu, S.; Fang, Z.; Che, L.; Feng, B.; Li, J. Dietary Fiber Supplementation in Gestating Sow Diet Improved Fetal Growth and Placental Development and Function Through Serotonin Signaling Pathway. Front. Vet. Sci. 2022, 9, 831703. [Google Scholar] [CrossRef]
- Mao, X.; Gu, C.; Ren, M.; Chen, D.; Yu, B.; He, J.; Yu, J.; Zheng, P.; Luo, J.; Luo, Y. L-isoleucine administration alleviates rotavirus infection and immune response in the weaned piglet model. Front. Immunol. 2018, 9, 1654. [Google Scholar] [CrossRef]
- Luo, Y.; Zhang, X.; Qin, C.; Jiao, N.; Yin, J. Effects of dietary isoleucine level on growth performance, carcass traits and meat quality of finishing pigs. Chin. J. Anim. Nutr. 2017, 296, 1884–1894. [Google Scholar]
- Dong, X.; Azzam, M.; Zou, X. Effects of dietary L-isoleucine on laying performance and immunomodulation of laying hens. Poult. Sci. 2016, 9510, 2297–2305. [Google Scholar] [CrossRef] [PubMed]
- Wise, T.; Tillman, P.; Soto, J.; Touchette, K.; Dozier, W., III. Determination of the optimum digestible isoleucine to lysine ratios for male Yield Plus× Ross 708 broilers between 1.0 and 4.0 kg body weight utilizing growth performance and carcass characteristics. Poult. Sci. 2021, 1009, 101307. [Google Scholar] [CrossRef]
- Maynard, C.; Mullenix, G.; Maynard, C.; Wells-Crafton, S.; Lee, J.; Rao, S.; Butler, L.; Orlowski, S.; Kidd, M. Titration of dietary isoleucine and evaluation of branched-chain amino acid levels in female Cobb 500 broilers during a 22-to 42-day finisher period. J. Appl. Poultry Res. 2022, 312, 100245. [Google Scholar] [CrossRef]
- Kidd, M.; Burnham, D.; Kerr, B. Dietary isoleucine responses in male broiler chickens. Br. Poult. Sci. 2004, 451, 67–75. [Google Scholar] [CrossRef]
- De Cesare, A.; Sirri, F.; Manfreda, G.; Moniaci, P.; Giardini, A.; Zampiga, M.; Meluzzi, A. Effect of dietary supplementation with Lactobacillus acidophilus D2/CSL (CECT 4529) on caecum microbioma and productive performance in broiler chickens. PLoS ONE 2017, 125, e0176309. [Google Scholar] [CrossRef]
- Tekce, E.; Gül, M. Effects of origanum syriacum essential oil on blood parameters of broilers reared at high ambient heat. Braz. J. Poultry Sci. 2017, 19, 655–662. [Google Scholar] [CrossRef]
- Coma, J.; Zimmerman, D.; Carrion, D. Relationship of rate of lean tissue growth and other factors to concentration of urea in plasma of pigs. J. Anim. Sci. 1995, 7312, 3649–3656. [Google Scholar] [CrossRef] [PubMed]
- Doi, M.; Yamaoka, I.; Nakayama, M.; Mochizuki, S.; Sugahara, K.; Yoshizawa, F. Isoleucine, a blood glucose-lowering amino acid, increases glucose uptake in rat skeletal muscle in the absence of increases in AMP-activated protein kinase activity. J. Nutr. 2005, 1359, 2103–2108. [Google Scholar] [CrossRef] [PubMed]
- Doi, M.; Yamaoka, I.; Nakayama, M.; Sugahara, K.; Yoshizawa, F. Hypoglycemic effect of isoleucine involves increased muscle glucose uptake and whole body glucose oxidation and decreased hepatic gluconeogenesis. Am. J. Physiol-Endoc. M. 2007, 2926, E1683–E1693. [Google Scholar]
- Ullah, S.; Ditta, Y.; King, A.; Pasha, T.; Mahmud, A.; Majeed, K. Varying isoleucine level to determine effects on performance, egg quality, serum biochemistry, and ileal protein digestibility in diets of young laying hens. PLoS ONE 2022, 171, e0261159. [Google Scholar] [CrossRef]
- Ajdar, E.; Eila, N.; Yadi, J. The Effect of prebiotics and isoleucine addition to the finisher diet of broilers on their performance and some blood parameters. Iran. J. Appl. Anim. Sci. 2016, 61, 181–185. [Google Scholar]
- Ren, M.; Habte-Tsion, H.M.; Liu, B.; Miao, L.; Ge, X.; Xie, J.; Zhou, Q. Dietary isoleucine requirement of juvenile blunt snout bream, Megalobrama amblycephala. Aquac. Nutr. 2017, 232, 322–330. [Google Scholar] [CrossRef]
- Zhao, L.; Yang, H.; Xu, M.; Wang, X.; Wang, C.; Lian, Y.; Mehmood, A.; Dai, H. Stevia residue extract ameliorates oxidative stress in d-galactose-induced aging mice via Akt/Nrf2/HO-1 pathway. J. Funct. Foods 2019, 52, 587–595. [Google Scholar] [CrossRef]
- Katayama, S.; Mine, Y. Antioxidative activity of amino acids on tissue oxidative stress in human intestinal epithelial cell model. J. Agric. Food Chem. 2007, 5521, 8458–8464. [Google Scholar] [CrossRef]
- Gan, L.; Jiang, W.D.; Wu, P.; Liu, Y.; Jiang, J.; Li, S.H.; Tang, L.; Kuang, S.Y.; Feng, L.; Zhou, X.Q. Flesh Quality Loss in Response to Dietary Isoleucine Deficiency and Excess in Fish: A Link to Impaired Nrf2-Dependent Antioxidant Defense in Muscle. PLoS ONE 2014, 912, e115129. [Google Scholar] [CrossRef]
- Deledda, A.; Annunziata, G.; Tenore, G.C.; Palmas, V.; Manzin, A.; Velluzzi, F. Diet-derived antioxidants and their role in inflammation, obesity and gut microbiota modulation. Antioxidants 2021, 105, 708. [Google Scholar] [CrossRef]
- Ren, M. Branched-chain amino acids modulate intestinal defensing expression and immune barrier function of piglets. Ph.D. Thesis, China Agricultural University, Beijing, China, 2014. [Google Scholar]
- Locksley, R.M.; Killeen, N.; Lenardo, M.J. The TNF and TNF receptor superfamilies: Integrating mammalian biology. Cell 2001, 1044, 487–501. [Google Scholar] [CrossRef] [PubMed]
- Liu, N.; Chen, R.; Du, H.; Wang, J.; Zhang, Y.; Wen, J. Expression of IL-10 and TNF-α in rats with cerebral infarction after transplantation with mesenchymal stem cells. Cell. Mol. Immunol. 2009, 63, 207–213. [Google Scholar] [CrossRef] [PubMed]
- Zhang, L.; Gui, S.; Wang, J.; Chen, Q.; Zeng, J.; Liu, A.; Chen, Z.; Lu, X. Oral administration of green tea polyphenols (TP) improves ileal injury and intestinal flora disorder in mice with Salmonella typhimurium infection via resisting inflammation, enhancing antioxidant action and preserving tight junction. J. Funct. Foods 2020, 64, 103654. [Google Scholar] [CrossRef]
- Fu, C.-L.; Ye, Y.-L.; Lee, Y.-L.; Chiang, B.-L. Effects of overexpression of IL-10, IL-12, TGF-β and IL-4 on allergen induced change in bronchial responsiveness. Respir. Res. 2006, 71, 72. [Google Scholar] [CrossRef] [PubMed]
- Terakura, D.; Shimizu, M.; Iwasa, J.; Baba, A.; Kochi, T.; Ohno, T.; Kubota, M.; Shirakami, Y.; Shiraki, M.; Takai, K. Preventive effects of branched-chain amino acid supplementation on the spontaneous development of hepatic preneoplastic lesions in C57BL/KsJ-db/db obese mice. Carcinogenesis 2012, 3312, 2499–2506. [Google Scholar] [CrossRef]
- Halfvarson, J.; Brislawn, C.J.; Lamendella, R.; Vázquez-Baeza, Y.; Walters, W.A.; Bramer, L.M.; D’amato, M.; Bonfiglio, F.; McDonald, D.; Gonzalez, A. Dynamics of the human gut microbiome in inflammatory bowel disease. Nat. Microbiol. 2017, 25, 17004. [Google Scholar] [CrossRef]
- Qiao, Y.; Sun, J.; Ding, Y.; Le, G.; Shi, Y. Alterations of the gut microbiota in high-fat diet mice is strongly linked to oxidative stress. Appl. Microbiol. Biotechnol. 2013, 974, 1689–1697. [Google Scholar] [CrossRef] [PubMed]
- Shin, N.-R.; Whon, T.W.; Bae, J.-W. Proteobacteria: Microbial signature of dysbiosis in gut microbiota. Trends Biotechnol. 2015, 339, 496–503. [Google Scholar] [CrossRef]
- Xie, C.-H.; Yokota, A. Dyella japonica gen. nov., sp. nov., a γ-proteobacterium isolated from soil. Int. J. Syst. Evol. Microbiol. 2005, 552, 753–756. [Google Scholar] [CrossRef]
- Williams, B.A.; Bosch, M.W.; Awati, A.; Konstantinov, S.R.; Smidt, H.; Akkermans, A.D.; Verstegen, M.W.; Tamminga, S. In vitro assessment of gastrointestinal tract (GIT) fermentation in pigs: Fermentable substrates and microbial activity. Anim. Res. 2005, 543, 191–201. [Google Scholar] [CrossRef]
- Bikker, P.; Dirkzwager, A.; Fledderus, J.; Trevisi, P.; Le Huërou-Luron, I.; Lalles, J.P.; Awati, A. Dietary protein and fermentable carbohydrates contents influence growth performance and intestinal characteristics in newly weaned pigs. J. Anim. Sci. 2007, 108, 194–197. [Google Scholar] [CrossRef]
- Libao-Mercado, A.J.O.; Zhu, C.L.; Cant, J.P.; Lapierre, H.; Thibault, J.-N.; Seve, B.; Fuller, M.F.; de Lange, C.F. Dietary and endogenous amino acids are the main contributors to microbial protein in the upper gut of normally nourished pigs. J. Nutr. 2009, 1396, 1088–1094. [Google Scholar] [CrossRef] [PubMed]
- Wellock, I.; Fortomaris, P.; Houdijk, J.; Kyriazakis, I. The effect of dietary protein supply on the performance and risk of post-weaning enteric disorders in newly weaned pigs. Anim. Sci. 2006, 823, 327–335. [Google Scholar] [CrossRef]
- Heo, J.M.; Opapeju, F.; Pluske, J.; Kim, J.; Hampson, D.; Nyachoti, C.M. Gastrointestinal health and function in weaned pigs: A review of feeding strategies to control post-weaning diarrhoea without using in-feed antimicrobial compounds. J. Anim. Physiol. Anim. Nutr. 2013, 972, 207–237. [Google Scholar] [CrossRef]
- Hu, C.; Rzymski, P. Non-Photosynthetic Melainabacteria (Cyanobacteria) in Human Gut: Characteristics and Association with Health. Life 2022, 124, 476. [Google Scholar] [CrossRef] [PubMed]
- Fei, N.; Zhao, L. An opportunistic pathogen isolated from the gut of an obese human causes obesity in germfree mice. ISME J. 2013, 74, 880–884. [Google Scholar] [CrossRef]
- Wexler, H.M. Bacteroides: The good, the bad, and the nitty-gritty. Clin. Microbiol. Rev. 2007, 204, 593–621. [Google Scholar] [CrossRef]
- Zhao, Y.; Wu, J.; Li, J.V.; Zhou, N.-Y.; Tang, H.; Wang, Y. Gut microbiota composition modifies fecal metabolic profiles in mice. J. Proteome Res. 2013, 126, 2987–2999. [Google Scholar] [CrossRef]
- Yang, S.; Hu, T.; Liu, H.; Lv, Y.-L.; Zhang, W.; Li, H.; Xuan, L.; Gong, L.-L.; Liu, L.-H. Akebia saponin D ameliorates metabolic syndrome (MetS) via remodeling gut microbiota and attenuating intestinal barrier injury. Biomed. Pharmacother. 2021, 138, 111441. [Google Scholar] [CrossRef]
- Beumer, J.; Clevers, H. Cell fate specification and differentiation in the adult mammalian intestine. Nat. Rev. Mol. Cell Biol. 2021, 221, 39–53. [Google Scholar] [CrossRef]
- Bai, M.; Wang, L.; Liu, H.; Xu, K.; Deng, J.; Huang, R.; Yin, Y. Imbalanced dietary methionine-to-sulfur amino acid ratio can affect amino acid profiles, antioxidant capacity, and intestinal morphology of piglets. Anim. Nutr. 2020, 64, 447–456. [Google Scholar] [CrossRef] [PubMed]
- Xie, Z.; Zhang, J.; Ma, S.; Huang, X.; Huang, Y. Effect of Chinese herbal medicine treatment on plasma lipid profile and hepatic lipid metabolism in Hetian broiler. Poult. Sci. 2017, 966, 1918–1924. [Google Scholar] [CrossRef] [PubMed]
- Heng, J.; Wu, Z.; Tian, M.; Chen, J.; Song, H.; Chen, F.; Guan, W.; Zhang, S. Excessive BCAA regulates fat metabolism partially through the modification of m6A RNA methylation in weanling piglets. Nutr. Metab. 2020, 171, 10. [Google Scholar] [CrossRef] [PubMed]
- Ma, Q.; Zhou, X.; Hu, L.; Chen, J.; Zhu, J.; Shan, A. Leucine and isoleucine have similar effects on reducing lipid accumulation, improving insulin sensitivity and increasing the browning of WAT in high-fat diet-induced obese mice. Food Funct. 2020, 113, 2279–2290. [Google Scholar] [CrossRef] [PubMed]
- Horton, J.D.; Goldstein, J.L.; Brown, M.S. SREBPs: Activators of the complete program of cholesterol and fatty acid synthesis in the liver. J. Clin. Investig. 2002, 1099, 1125–1131. [Google Scholar] [CrossRef]
- Eberlé, D.; Hegarty, B.; Bossard, P.; Ferré, P.; Foufelle, F. SREBP transcription factors: Master regulators of lipid homeostasis. Biochimie 2004, 8611, 839–848. [Google Scholar] [CrossRef] [PubMed]
- Schweiger, M.; Schreiber, R.; Haemmerle, G.; Lass, A.; Fledelius, C.; Jacobsen, P.; Tornqvist, H.; Zechner, R.; Zimmermann, R. Adipose triglyceride lipase and hormone-sensitive lipase are the major enzymes in adipose tissue triacylglycerol catabolism. J. Biol. Chem. 2006, 28152, 40236–40241. [Google Scholar] [CrossRef] [PubMed]
- Vianna, D.; Resende, G.F.T.; Torres-Leal, F.L.; Pantaleão, L.C.; Donato, J., Jr.; Tirapegui, J. Long-term leucine supplementation reduces fat mass gain without changing body protein status of aging rats. Nutrition 2012, 282, 182–189. [Google Scholar] [CrossRef]
- Walker, A.K.; Yang, F.; Jiang, K.; Ji, J.-Y.; Watts, J.L.; Purushotham, A.; Boss, O.; Hirsch, M.L.; Ribich, S.; Smith, J.J. Conserved role of SIRT1 orthologs in fasting-dependent inhibition of the lipid/cholesterol regulator SREBP. Genes Dev. 2010, 2413, 1403–1417. [Google Scholar] [CrossRef]
- Zhou, X.; Chen, J.; Sun, B.; Wang, Z.; Zhu, J.; Yue, Z.; Zhang, Y.; Shan, A.; Ma, Q.; Wang, J. Leucine, but not isoleucine or valine, affects serum lipid profiles and browning of WAT in mice. Food Funct. 2021, 1215, 6712–6724. [Google Scholar] [CrossRef]





| Items | Start Stage 0–14 d | Growth Stage 14–21 d | Finishing Stage 21–42 d |
|---|---|---|---|
| Ingredients, % | |||
| Corn | 47.44 | 49.48 | 44.83 |
| Soybean meal | 35.81 | 28.43 | 26.21 |
| Wheat | 5 | 10 | 15 |
| Fermented sesame meal | 2 | 2 | 2 |
| Fermented cottonseed protein | 3 | 3 | 3 |
| Soybean oil | 2.33 | 2.60 | 4.96 |
| Stone powder | 1.42 | 1.24 | 1.12 |
| Dicalcium phosphate | 0.93 | 0.78 | 0.51 |
| Sodium chloride | 0.17 | 0.20 | 0.12 |
| Liquid methionine | 0.37 | 0.42 | 0.39 |
| L-lysine HCl | 0.52 | 0.71 | 0.68 |
| Premix 1 | 1.01 | 1.14 | 1.18 |
| Total | 100.00 | 100.00 | 100.00 |
| Nutritional levels 2, % | |||
| Poultry Metabolizable Energy, MJ/Kg | 11.97 | 12.43 | 13.08 |
| Crude protein | 22.4 | 20.2 | 19.5 |
| Calcium | 0.78 | 0.68 | 0.60 |
| Available phosphorus | 0.34 | 0.31 | 0.26 |
| Chicken available methionine | 0.63 | 0.63 | 0.60 |
| Chicken available lysine | 1.25 | 1.20 | 1.14 |
| Items | Start Stage 0–14 d | Growth Stage 14–21 d | Finishing Stage 21–42 d |
|---|---|---|---|
| Amino acid, % | |||
| Lysine | 1.55 | 1.48 | 1.46 |
| Isoleucine | 0.97 | 0.86 | 0.83 |
| Isoleucine/Lysine | 0.62 | 0.58 | 0.56 |
| Methionine | 0.40 | 0.62 | 0.31 |
| Threonine | 1.04 | 1.00 | 0.96 |
| Tryptophan | 0.27 | 0.24 | 0.22 |
| Leucine | 1.84 | 1.69 | 1.58 |
| Valine | 1.09 | 1.02 | 1.00 |
| Arginine | 1.44 | 1.28 | 1.27 |
| Histidine | 0.64 | 0.61 | 0.59 |
| Items | CON | ILE400 | ILE800 | SEM | p Value |
|---|---|---|---|---|---|
| Growth Performance (day 1 to 42) | |||||
| Initial Body Wight, g | 45.30 | 45.91 | 45.24 | 0.279 | 0.571 |
| Final Body Weight, g | 2737.37 b | 2818.57 a | 2756.97 b | 10.953 | 0.003 |
| Average Daily Gain, g/d | 64.13 b | 66.07 a | 64.60 b | 0.261 | 0.003 |
| Average Daily Feed Intake, g/d | 113.01 | 109.98 | 108.20 | 0.867 | 0.067 |
| Feed Conversion Ratio | 1.74 a | 1.66 b | 1.67 b | 0.011 | 0.002 |
| Survival Rate, % | 93.82 b | 96.54 a | 96.01 a | 0.379 | 0.003 |
| Carcass Characteristics | |||||
| Eviscerated Carcass Rate, % | 74.38 b | 76.33 a | 75.16 b | 0.224 | <0.001 |
| Semi-Eviscerated Carcass Rate, % | 84.18 | 84.36 | 84.49 | 0.081 | 0.321 |
| Abdominal Fat Rate, % | 3.03 a | 1.88 b | 2.12 b | 0.130 | <0.001 |
| Breast Muscle Rate, % | 25.04 b | 26.95 a | 27.12 a | 0.292 | 0.002 |
| Thighs Muscle Rate, % | 17.24 | 17.14 | 17.13 | 0.298 | 0.986 |
| Items | CON | ILE400 | ILE800 | SEM | p Value |
|---|---|---|---|---|---|
| TP, g/L | 21.26 | 22.21 | 22.76 | 0.652 | 0.664 |
| ALB, g/L | 6.70 | 6.86 | 6.26 | 0.222 | 0.665 |
| UREA, mmol/L | 0.49 a | 0.28 b | 0.32 b | 0.021 | <0.001 |
| TG, mmol/L | 0.27 | 0.24 | 0.24 | 0.010 | 0.483 |
| GLU, mmol/L | 11.02 a | 8.55 b | 8.03 b | 0.330 | <0.001 |
| TCHO, mmol/L | 3.25 a | 2.42 b | 2.49 b | 0.110 | <0.001 |
| HDL, mmol/L | 0.99 | 1.02 | 0.93 | 0.041 | 0.622 |
| HDL, mmol/L | 0.50 | 0.54 | 0.45 | 0.030 | 0.452 |
| Items | CON | ILE400 | ILE800 | SEM | p Value |
|---|---|---|---|---|---|
| MDA, nmol/L | 2.65 | 2.35 | 2.61 | 0.064 | 0.099 |
| T-SOD, U/mL | 73.52 | 82.08 | 82.51 | 1.782 | 0.057 |
| GSH-PX, U/mL | 1583.87 b | 1763.87 a | 1608.39 b | 24.307 | <0.001 |
| TNF-α, ng/L | 74.38 a | 59.37 c | 66.40 b | 1.925 | 0.001 |
| IL-6, ng/L | 55.61 | 54.34 | 51.32 | 1.928 | 0.675 |
| IL-10, ng/L | 33.48 b | 31.98 b | 37.65 a | 0.714 | <0.001 |
Disclaimer/Publisher’s Note: The statements, opinions and data contained in all publications are solely those of the individual author(s) and contributor(s) and not of MDPI and/or the editor(s). MDPI and/or the editor(s) disclaim responsibility for any injury to people or property resulting from any ideas, methods, instructions or products referred to in the content. |
© 2023 by the authors. Licensee MDPI, Basel, Switzerland. This article is an open access article distributed under the terms and conditions of the Creative Commons Attribution (CC BY) license (https://creativecommons.org/licenses/by/4.0/).
Share and Cite
Liu, H.; Sun, J.; Jiang, S.; Jiao, N.; Huang, L.; Yuan, X.; Guan, Q.; Li, Y.; Yang, W. Effects of Dietary Isoleucine Supplementation on the Production Performance, Health Status and Cecal Microbiota of Arbor Acre Broiler Chickens. Microorganisms 2023, 11, 236. https://doi.org/10.3390/microorganisms11020236
Liu H, Sun J, Jiang S, Jiao N, Huang L, Yuan X, Guan Q, Li Y, Yang W. Effects of Dietary Isoleucine Supplementation on the Production Performance, Health Status and Cecal Microbiota of Arbor Acre Broiler Chickens. Microorganisms. 2023; 11(2):236. https://doi.org/10.3390/microorganisms11020236
Chicago/Turabian StyleLiu, Hengchen, Jianli Sun, Shuzhen Jiang, Ning Jiao, Libo Huang, Xuejun Yuan, Qinglin Guan, Yang Li, and Weiren Yang. 2023. "Effects of Dietary Isoleucine Supplementation on the Production Performance, Health Status and Cecal Microbiota of Arbor Acre Broiler Chickens" Microorganisms 11, no. 2: 236. https://doi.org/10.3390/microorganisms11020236
APA StyleLiu, H., Sun, J., Jiang, S., Jiao, N., Huang, L., Yuan, X., Guan, Q., Li, Y., & Yang, W. (2023). Effects of Dietary Isoleucine Supplementation on the Production Performance, Health Status and Cecal Microbiota of Arbor Acre Broiler Chickens. Microorganisms, 11(2), 236. https://doi.org/10.3390/microorganisms11020236

