A Lipopolysaccharide Synthesis Gene rfaD from Mesorhizobium huakuii Is Involved in Nodule Development and Symbiotic Nitrogen Fixation
Abstract
1. Introduction
2. Materials and Methods
2.1. Bacterial Strains and Plant Material and Growth Conditions
2.2. Symbiotic Phenotype Evaluation
2.3. Construction of the Deletion Mutants and Functional Complement Strains
2.4. LPS Extraction and Silver Staining
2.5. Plate Inhibition Test
2.6. Construction of Promoter-GUS Reporter System and GUS Activity Assay
2.7. Observation and Quantification of Early Infection Events
2.8. Nitrogenase Activity Measurement
2.9. Analysis of Histological Nodule Cross-Sections
2.10. Phylogenetic Analysis and Conserved Sequence Alignment
2.11. Accession Numbers
2.12. Statistical Analysis
3. Results
3.1. Identification of rfaD in the Genome of Mesorhizobium huakuii 7653R
3.2. The 7653RΔrfaD Mutant Was Sensitive to Abiotic Stresses and Antibiotics
3.3. The In-Situ Expression of the rfaD Gene in Nodules during Symbiosis
3.4. M. huakuii 7653R rfaD Gene Engages in the Early Infection Events during Rhizobia-A. sinicus Interaction
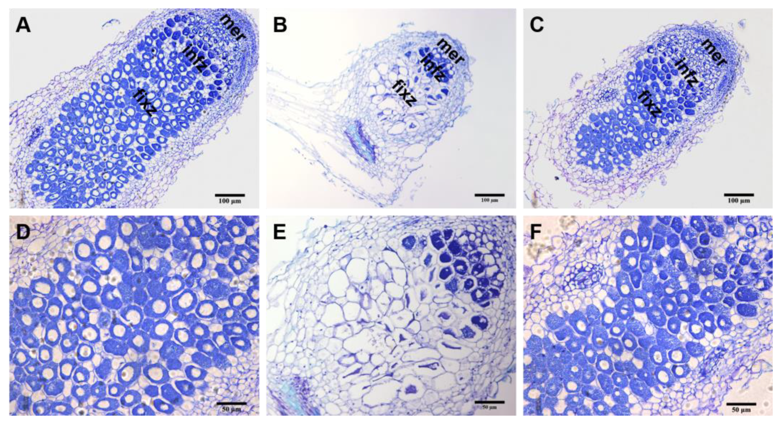
3.5. M. huakuii 7653R rfaD Mutant Results in the Defective Nodules in A. sinicus
4. Discussion
Supplementary Materials
Author Contributions
Funding
Data Availability Statement
Acknowledgments
Conflicts of Interest
References
- Oldroyd, G.E.; Murray, J.D.; Poole, P.S.; Downie, J.A. The rules of engagement in the legume-rhizobial symbiosis. Annu. Rev. Genet. 2011, 45, 119–144. [Google Scholar] [CrossRef]
- Via, V.D.; Zanetti, M.E.; Blanco, F. How legumes recognize rhizobia. Plant Signal. Behav. 2016, 11, e1120396. [Google Scholar] [CrossRef]
- Hassan, S.; Mathesius, U. The role of flavonoids in root-rhizosphere signalling: Opportunities and challenges for improving plant-microbe interactions. J. Exp. Bot. 2012, 63, 3429–3444. [Google Scholar] [CrossRef]
- Wang, D.; Yang, S.; Tang, F.; Zhu, H. Symbiosis specificity in the legume: Rhizobial mutualism. Cell. Microbiol. 2012, 14, 334–342. [Google Scholar] [CrossRef] [PubMed]
- Madsen, E.B.; Madsen, L.H.; Radutoiu, S.; Olbryt, M.; Rakwalska, M.; Szczyglowski, K.; Sato, S.; Kaneko, T.; Tabata, S.; Sandal, N.; et al. A receptor kinase gene of the LysM type is involved in legume perception of rhizobial signals. Nature 2003, 425, 637–640. [Google Scholar] [CrossRef]
- Madsen, L.H.; Tirichine, L.; Jurkiewicz, A.; Sullivan, J.T.; Heckmann, A.B.; Bek, A.S.; Ronson, C.W.; James, E.K.; Stougaard, J. The molecular network governing nodule organogenesis and infection in the model legume Lotus japonicus. Nat. Commun. 2010, 1, 10. [Google Scholar] [CrossRef]
- Oldroyd, G.E. Speak, friend, and enter: Signalling systems that promote beneficial symbiotic associations in plants. Nat. Rev. Microbiol. 2013, 11, 252–263. [Google Scholar] [CrossRef]
- Okazaki, S.; Kaneko, T.; Sato, S.; Saeki, K. Hijacking of leguminous nodulation signaling by the rhizobial type III secretion system. Proc. Natl. Acad. Sci. USA 2013, 110, 17131–17136. [Google Scholar] [CrossRef]
- Sugawara, M.; Takahashi, S.; Umehara, Y.; Iwano, H.; Tsurumaru, H.; Odake, H.; Suzuki, Y.; Kondo, H.; Konno, Y.; Yamakawa, T.; et al. Variation in bradyrhizobial NopP effector determines symbiotic incompatibility with Rj2-soybeans via effector-triggered immunity. Nat. Commun. 2018, 9, 3139. [Google Scholar] [CrossRef]
- Fraysse, N.; Couderc, F.; Poinsot, V. Surface polysaccharide involvement in establishing the rhizobium-legume symbiosis. Eur. J. Biochem. 2003, 270, 1365–1380. [Google Scholar] [CrossRef]
- Kawaharada, Y.; Kelly, S.; Nielsen, M.W.; Hjuler, C.T.; Gysel, K.; Muszyński, A.; Carlson, R.W.; Thygesen, M.B.; Sandal, N.; Asmussen, M.H.; et al. Receptor-mediated exopolysaccharide perception controls bacterial infection. Nature 2015, 523, 308–312. [Google Scholar] [CrossRef] [PubMed]
- Becker, A.; Fraysse, N.; Sharypova, L. Recent advances in studies on structure and symbiosis-related function of rhizobial K-antigens and lipopolysaccharides. Mol. Plant-Microbe Interact. 2005, 18, 899–905. [Google Scholar] [CrossRef] [PubMed]
- Jones, K.M.; Kobayashi, H.; Davies, B.W.; Taga, M.E.; Walker, G.C. How rhizobial symbionts invade plants: The Sinorhizobium-Medicago model. Nat. Rev. Microbiol. 2007, 5, 619–633. [Google Scholar] [CrossRef] [PubMed]
- Janczarek, M.; Rachwał, K.; Marzec, A.; Grządziel, J.; Palusińska-Szysz, M. Signal molecules and cell-surface components involved in early stages of the legume–rhizobium interactions. Appl. Soil Ecol. 2015, 85, 94–113. [Google Scholar] [CrossRef]
- Chu, H.; Mazmanian, S.K. Innate immune recognition of the microbiota promotes host-microbial symbiosis. Nat. Immunol. 2013, 14, 668–675. [Google Scholar] [CrossRef]
- Raetz, C.; Whitfield, C. Lipopolysaccharide endotoxins. Annu. Rev. Biochem. 2002, 71, 365–700. [Google Scholar] [CrossRef]
- Maldonado, R.F.; Sá-Correia, I.; Valvano, M.A. Lipopolysaccharide modification in Gram-negative bacteria during chronic infection. FEMS Microbiol. Rev. 2016, 40, 480–493. [Google Scholar] [CrossRef]
- Lerouge, I.; Vanderleyden, J. O-antigen structural variation: Mechanisms and possible roles in animal/plant-microbe interactions. FEMS Microbiol. Rev. 2002, 26, 17–47. [Google Scholar] [CrossRef]
- Scheidle, H.; Gross, A.; Niehaus, K. The Lipid A substructure of the Sinorhizobium meliloti lipopolysaccharides is sufficient to suppress the oxidative burst in host plants. New Phytol. 2005, 165, 559–565. [Google Scholar] [CrossRef]
- Xiang, Q.; Wang, J.; Qin, P.; Adil, B.; Xu, K.; Gu, Y.; Yu, X.; Zhao, K.; Zhang, X.; Ma, M.; et al. Effect of common bean seed exudates on growth, lipopolysaccharide production, and lipopolysaccharide transport gene expression of Rhizobium anhuiense. Can. J. Microbiol. 2020, 66, 186–193. [Google Scholar] [CrossRef]
- Ardissone, S.; Noel, K.D.; Klement, M.; Broughton, W.J.; Deakin, W.J. Synthesis of the flavonoid-induced lipopolysaccharide of Rhizobium Sp. strain NGR234 requires rhamnosyl transferases encoded by genes rgpF and wbgA. Mol. Plant-Microbe Interact. 2011, 24, 1513–1521. [Google Scholar] [CrossRef]
- Margaret, I.; Lucas, M.M.; Acosta-Jurado, S.; Buendía-Clavería, A.M.; Fedorova, E.; Hidalgo, Á.; Rodríguez-Carvajal, M.A.; Rodriguez-Navarro, D.N.; Ruiz-Sainz, J.E.; Vinardell, J.M. The Sinorhizobium fredii HH103 lipopolysaccharide is not only relevant at early soybean nodulation stages but also for symbiosome stability in mature nodules. PloS ONE 2013, 8, e74717. [Google Scholar] [CrossRef]
- Oliveira, L.R.; Rodrigues, E.P.; Marcelino-Guimarães, F.C.; Oliveira, A.L.; Hungria, M. Fast induction of biosynthetic polysaccharide genes lpxA, lpxE, and rkpI of Rhizobium sp. strain PRF 81 by common bean seed exudates is indicative of a key role in symbiosis. Funct. Integr. Genom. 2013, 13, 275–283. [Google Scholar] [CrossRef]
- Albus, U.; Baier, R.; Holst, O.; Pühler, A.; Niehaus, K. Suppression of an elicitor-induced oxidative burst reaction in Medicago sativa cell cultures by Sinorhizobium meliloti lipopolysaccharides. New Phytol. 2001, 151, 597–606. [Google Scholar] [CrossRef]
- Carlson, R.W.; Forsberg, L.S.; Kannenberg, E.L. Lipopolysaccharides in Rhizobium-legume symbioses. Sub-Cell. Biochem. 2010, 53, 339–386. [Google Scholar] [CrossRef]
- Chang, P.C.; Wang, C.J.; You, C.K.; Kao, M.C. Effects of a HP0859 (rfaD) knockout mutation on lipopolysaccharide structure of Helicobacter pylori 26695 and the bacterial adhesion on AGS cells. Biochem. Biophys. Res. Commun. 2011, 405, 497–502. [Google Scholar] [CrossRef]
- Kuo, C.J.; Chen, J.W.; Chiu, H.C.; Teng, C.H.; Hsu, T.I.; Lu, P.J.; Syu, W.J.; Wang, S.T.; Chou, T.C.; Chen, C.S. Mutation of the enterohemorrhagic Escherichia coli core LPS biosynthesis enzyme RfaD confers hypersusceptibility to host intestinal innate immunity in vivo. Front. Cell. Infect. Microbiol. 2016, 6, 82. [Google Scholar] [CrossRef]
- Valvano, M.A.; Messner, P.; Kosma, P. Novel pathways for biosynthesis of nucleotide-activated glycero-manno-heptose precursors of bacterial glycoproteins and cell surface polysaccharides. Microbiology 2002, 148, 1979–1989. [Google Scholar] [CrossRef]
- Cho, H.J.; Yong, X.; Murooka, Y. Formation of adventitious shoots and plant regeneration by culture of cotyledon segment in Astragalus sinicus (Chinese Milk Vetch). Plant Tissue Cult. Lett. 1995, 12, 87–90. [Google Scholar] [CrossRef]
- Chen, H.K.; Shu, M.K. Note on the root-nodule bacteria of Astragalus sinicus L. Soil Sci. 1944, 58, 291–294. [Google Scholar] [CrossRef]
- Lei, L.; Chen, L.; Shi, X.; Li, Y.; Wang, J.; Chen, D.; Xie, F.; Li, Y. A nodule-specific lipid transfer protein AsE246 participates in transport of plant-synthesized lipids to symbiosome membrane and is essential for nodule organogenesis in Chinese milk vetch. Plant Physiol. 2014, 164, 1045–1058. [Google Scholar] [CrossRef]
- Si, Z.; Guan, N.; Zhou, Y.; Mei, L.; Li, Y.; Li, Y. A methionine sulfoxide reductase B is required for the establishment of Astragalus sinicus-Mesorhizobium symbiosis. Plant Cell Physiol. 2020, 61, 1631–1645. [Google Scholar] [CrossRef]
- Zhou, D.; Li, Y.; Wang, X.; Xie, F.; Chen, D. Mesorhizobium huakuii HtpG Interaction with nsLTP AsE246 Is Required for Symbiotic Nitrogen Fixation. Plant Physiol. 2019, 180, 509–528. [Google Scholar] [CrossRef]
- Wang, S.; Hao, B.; Li, J.; Gu, H.; Peng, J.; Xie, F.; Zhao, X.; Frech, C.; Chen, N.; Ma, B.; et al. Whole-genome sequencing of Mesorhizobium huakuii 7653R provides molecular insights into host specificity and symbiosis island dynamics. BMC Genom. 2014, 15, 440. [Google Scholar] [CrossRef]
- Li, Y.; Zhou, L.; Li, Y.; Chen, D.; Tan, X.; Lei, L.; Zhou, J. A nodule-specific plant cysteine proteinase, AsNODF32, is involved in nodule senescence and nitrogen fixation activity of the green manure legume Astragalus sinicus. New Phytol. 2008, 180, 185–192. [Google Scholar] [CrossRef]
- Marx, C.J.; Lidstrom, M.E. Broad-host-range cre-lox system for antibiotic marker recycling in gram-negative bacteria. BioTechniques 2002, 33, 1062–1067. [Google Scholar] [CrossRef]
- Kovach, M.E.; Elzer, P.H.; Hill, D.S.; Robertson, G.T.; Farris, M.A.; Roop, R.M., 2nd; Peterson, K.M. Four new derivatives of the broad-host-range cloning vector pBBR1MCS, carrying different antibiotic-resistance cassettes. Gene 1995, 166, 175–176. [Google Scholar] [CrossRef]
- Van den Eede, G.; Deblaere, R.; Goethals, K.; Van Montagu, M.; Holsters, M. Broad host range and promoter selection vectors for bacteria that interact with plants. Mol. Plant-Microbe Interact. 1992, 5, 228–234. [Google Scholar] [CrossRef]
- Wilson, K.J.; Sessitsch, A.; Corbo, J.C.; Giller, K.E.; Akkermans, A.D.; Jefferson, R.A. beta-Glucuronidase (GUS) transposons for ecological and genetic studies of rhizobia and other gram-negative bacteria. Microbiology 1995, 141 Pt 7, 1691–1705. [Google Scholar] [CrossRef]
- Stuurman, N.; Pacios Bras, C.; Schlaman, H.R.; Wijfjes, A.H.; Bloemberg, G.; Spaink, H.P. Use of green fluorescent protein color variants expressed on stable broad-host-range vectors to visualize rhizobia interacting with plants. Mol. Plant-Microbe Interact. 2000, 13, 1163–1169. [Google Scholar] [CrossRef]
- Hardy, R.; Burns, R.C.; Holsten, R.D. Applications of the acetylene-ethylene assay for measurement of nitrogen fixation. Soil Biol. Biochem. 1973, 5, 47–81. [Google Scholar] [CrossRef]
- Si, Z.; Yang, Q.; Liang, R.; Chen, L.; Chen, D.; Li, Y. Digalactosyldiacylglycerol synthase gene MtDGD1 plays an essential role in nodule development and nitrogen fixation. Mol. Plant-Microbe Interact. 2019, 32, 1196–1209. [Google Scholar] [CrossRef]
- Tamura, K.; Stecher, G.; Kumar, S. MEGA11: Molecular Evolutionary Genetics Analysis Version 11. Mol. Biol. Evol. 2021, 38, 3022–3027. [Google Scholar] [CrossRef]
- Pegues, J.C.; Chen, L.S.; Gordon, A.W.; Ding, L.; Coleman, W.G., Jr. Cloning, expression, and characterization of the Escherichia coli K-12 rfaD gene. J. Bacteriol. 1990, 172, 4652–4660. [Google Scholar] [CrossRef] [PubMed]
- Loutet, S.A.; Flannagan, R.S.; Kooi, C.; Sokol, P.A.; Valvano, M.A. A complete lipopolysaccharide inner core oligosaccharide is required for resistance of Burkholderia cenocepacia to antimicrobial peptides and bacterial survival in vivo. J. Bacteriol. 2006, 188, 2073–2080. [Google Scholar] [CrossRef]
- Walker, L.; Lagunas, B.; Gifford, M.L. Determinants of host range specificity in legume-rhizobia symbiosis. Front. Microbiol. 2020, 11, 585749. [Google Scholar] [CrossRef]
- Kneidinger, B.; Marolda, C.; Graninger, M.; Zamyatina, A.; Mcarthur, F.; Kosma, P.; Valvano, M.A.; Messner, P. Biosynthesis Pathway of ADP-L-glycero-beta-D-manno-Heptose in Escherichia coli. J. Bacteriol. 2002, 184, 363–369. [Google Scholar] [CrossRef]
- Wang, J.; Ma, W.; Wang, Z.; Li, Y.; Wang, X. Construction and characterization of an Escherichia coli mutant producing Kdo₂-lipid A. Mar. Drugs 2014, 12, 1495–1511. [Google Scholar] [CrossRef]
- Tang, G.; Wang, Y.; Luo, L. Transcriptional regulator LsrB of Sinorhizobium meliloti positively regulates the expression of genes involved in lipopolysaccharide biosynthesis. Appl. Environ. Microbiol. 2014, 80, 5265–5273. [Google Scholar] [CrossRef]
- Wakao, S.; Siarot, L.; Aono, T.; Oyaizu, H. Effects of alteration in LPS structure in Azorhizobium caulinodans on nodule development. J. Gen. Appl. Microbiol. 2015, 61, 248–254. [Google Scholar] [CrossRef]
- Kannenberg, E.L.; Carlson, R.W. Lipid A and O-chain modifications cause Rhizobium lipopolysaccharides to become hydrophobic during bacteroid development. Mol. Microbiol. 2001, 39, 379–391. [Google Scholar] [CrossRef] [PubMed]
- Noel, K.D.; Box, J.M.; Bonne, V.J. 2-O-methylation of fucosyl residues of a rhizobial lipopolysaccharide is increased in response to host exudate and is eliminated in a symbiotically defective mutant. Appl. Environ. Microbiol. 2004, 70, 1537–1544. [Google Scholar] [CrossRef] [PubMed]
- D’Haeze, W.; Leoff, C.; Freshour, G.; Noel, K.D.; Carlson, R.W. Rhizobium etli CE3 bacteroid lipopolysaccharides are structurally similar but not identical to those produced by cultured CE3 bacteria. J. Biol. Chem. 2007, 282, 17101–17113. [Google Scholar] [CrossRef] [PubMed]
- Ferguson, B.J.; Indrasumunar, A.; Hayashi, S.; Lin, M.H.; Lin, Y.H.; Reid, D.E.; Gresshoff, P.M. Molecular analysis of legume nodule development and autoregulation. J. Integr. Plant Biol. 2010, 52, 61–76. [Google Scholar] [CrossRef] [PubMed]
- Hastwell, A.H.; Corcilius, L.; Williams, J.T.; Gresshoff, P.M.; Payne, R.J.; Ferguson, B.J. Triarabinosylation is required for nodulation-suppressive CLE peptides to systemically inhibit nodulation in Pisum sativum. Plant Cell Environ. 2019, 42, 188–197. [Google Scholar] [CrossRef]
- Simon, R.; Priefer, U.; Puhler, A. A broad host mobilization system for in vivo genetic engineering: Transposon mutagenesis in Gram-negative bacteria. Bio/Technolgy 1983, 1, 37–45. [Google Scholar] [CrossRef]








Disclaimer/Publisher’s Note: The statements, opinions and data contained in all publications are solely those of the individual author(s) and contributor(s) and not of MDPI and/or the editor(s). MDPI and/or the editor(s) disclaim responsibility for any injury to people or property resulting from any ideas, methods, instructions or products referred to in the content. |
© 2022 by the authors. Licensee MDPI, Basel, Switzerland. This article is an open access article distributed under the terms and conditions of the Creative Commons Attribution (CC BY) license (https://creativecommons.org/licenses/by/4.0/).
Share and Cite
Liu, Y.; Lin, Y.; Guan, N.; Song, Y.; Li, Y.; Xie, X. A Lipopolysaccharide Synthesis Gene rfaD from Mesorhizobium huakuii Is Involved in Nodule Development and Symbiotic Nitrogen Fixation. Microorganisms 2023, 11, 59. https://doi.org/10.3390/microorganisms11010059
Liu Y, Lin Y, Guan N, Song Y, Li Y, Xie X. A Lipopolysaccharide Synthesis Gene rfaD from Mesorhizobium huakuii Is Involved in Nodule Development and Symbiotic Nitrogen Fixation. Microorganisms. 2023; 11(1):59. https://doi.org/10.3390/microorganisms11010059
Chicago/Turabian StyleLiu, Yuan, Ye Lin, Ning Guan, Yuting Song, Youguo Li, and Xianan Xie. 2023. "A Lipopolysaccharide Synthesis Gene rfaD from Mesorhizobium huakuii Is Involved in Nodule Development and Symbiotic Nitrogen Fixation" Microorganisms 11, no. 1: 59. https://doi.org/10.3390/microorganisms11010059
APA StyleLiu, Y., Lin, Y., Guan, N., Song, Y., Li, Y., & Xie, X. (2023). A Lipopolysaccharide Synthesis Gene rfaD from Mesorhizobium huakuii Is Involved in Nodule Development and Symbiotic Nitrogen Fixation. Microorganisms, 11(1), 59. https://doi.org/10.3390/microorganisms11010059

