Rapid Detection of Duck Enteritis Virus with MIRA, MIRA–qPCR, and MIRA–LFD Assays
Abstract
1. Introduction
2. Materials and Methods
2.1. Viruses and Plasmids
2.2. Design and Synthesis of Primers and Probes
2.3. Extraction of RNA and DNA
2.4. Establishment of Basic MIRA, MIRA–qPCR and MIRA–LFD
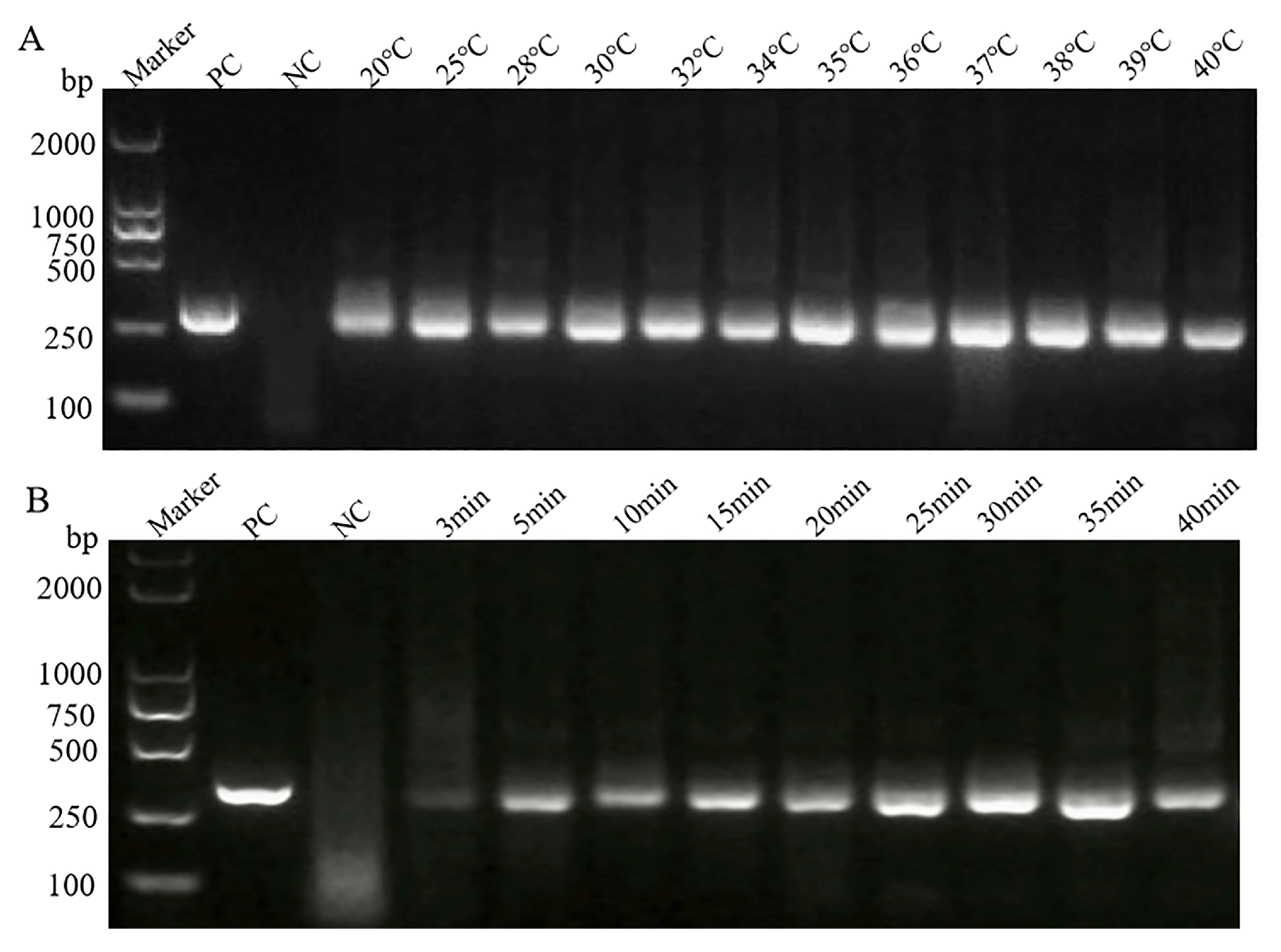
2.5. Optimum Temperature and Time for Basic MIRA Assay
2.6. Specificity and Sensitivity of Three MIRA Assays
2.7. Assay Evaluation with Clinical Samples
3. Results
3.1. Validation of Primers and Probes
3.2. Optimization of Reaction Temperature and Time for Basic MIRA Assay
3.3. Specificity and Sensitivity
3.4. Evaluation of Clinical Samples
4. Discussion
5. Conclusions
Author Contributions
Funding
Institutional Review Board Statement
Informed Consent Statement
Data Availability Statement
Acknowledgments
Conflicts of Interest
References
- El-Tholoth, M.; Hamed, M.F.; Matter, A.A.; Abou El-Azm, K.I. Molecular and pathological characterization of duck enteritis virus in Egypt. Transbound. Emerg. Dis. 2019, 66, 217–224. [Google Scholar] [CrossRef]
- Feng, D.; Cui, M.; Jia, R.; Liu, S.; Wang, M.; Zhu, D.; Chen, S.; Liu, M.; Zhao, X.; Wu, Y.; et al. Co-localization of and interaction between duck enteritis virus glycoprotein H and L. BMC Vet. Res. 2018, 14, 255. [Google Scholar] [CrossRef]
- Jia, W.F.; Wang, A.P.; Wu, Z.; Lei, X.N.; Cheng, Y.T.; Zhu, S.Y. Current status of recombinant duck enteritis virus vector vaccine research. Front. Vet. Sci. 2025, 12, 1453150. [Google Scholar] [CrossRef]
- Tang, W.; Yuan, M.; Mao, M.; Cui, Y.; Wu, Q.; Wu, B.; He, D.; Wei, F.; Zhu, Y.; Diao, Y.; et al. Pathogenicity studies and molecular characterization of DPV infection in ducklings. Poult. Sci. 2024, 103, 103919. [Google Scholar] [CrossRef] [PubMed]
- Dhama, K.; Kumar, N.; Saminathan, M.; Tiwari, R.; Karthik, K.; Kumar, M.A.; Palanivelu, M.; Shabbir, M.Z.; Malik, Y.S.; Singh, R.K. Duck virus enteritis (duck plague)—A comprehensive update. Vet. Q. 2017, 37, 57–80. [Google Scholar] [CrossRef] [PubMed]
- Guo, Z.; Zhang, S.; Sun, Y.; Li, Q.; Tang, Y.; Diao, Y.; Hou, S. Genomic characteristics, pathogenicity and viral shedding of a novel DVEV variant derived from goose. Poult. Sci. 2023, 102, 102392. [Google Scholar] [CrossRef]
- Yin, D.; Gao, Y.; Xu, M.; Wang, J.; Song, X.; Li, Z.; Peng, J.; Kang, M.; Wei, B.; Yu, C.; et al. Pathogenic mechanisms and molecular features of a novel UL2 gene-deficient duck enteritis virus endemic to China. Virulence 2025, 16, 2547325. [Google Scholar] [CrossRef]
- Ji, J.; Du, L.Q.; Xie, Q.M.; Cao, Y.C.; Zuo, K.J.; Xue, C.Y.; Ma, J.Y.; Chen, F.; Bee, Y.Z. Rapid diagnosis of duck plagues virus infection by loop-mediated isothermal amplification. Res. Vet. Sci. 2009, 87, 53–58. [Google Scholar] [CrossRef]
- Xie, L.; Xie, Z.; Huang, L.; Wang, S.; Huang, J.; Zhang, Y.; Zeng, T.; Luo, S. A polymerase chain reaction assay for detection of virulent and attenuated strains of duck plague virus. J. Virol. Methods 2017, 249, 66–68. [Google Scholar] [CrossRef] [PubMed]
- Yang, F.L.; Jia, W.X.; Yue, H.; Luo, W.; Chen, X.; Xie, Y.; Zen, W.; Yang, W.Q. Development of quantitative real-time polymerase chain reaction for duck enteritis virus DNA. Avian Dis. 2005, 49, 397–400. [Google Scholar] [CrossRef]
- Singh, M.D.; Singh, H.; Singh, N.K.; Singh, N.K.; Kashyap, N.; Sood, N.K.; Rath, S.S. Development of loop-mediated isothermal amplification (LAMP) assay for detection of Hepatozoon canis infection in dogs. Ticks Tick Borne Dis. 2019, 10, 371–376. [Google Scholar] [CrossRef] [PubMed]
- Dai, Y.; Zhong, Y.; Xu, F.; Gu, S.; Zhou, H.; Wang, J.; Yin, D.; Yin, L.; Shen, X.; Pan, X.; et al. Development and evaluation of three multienzyme isothermal rapid amplification assays for fowl adenovirus serotype 4. Poult. Sci. 2024, 103, 104452. [Google Scholar] [CrossRef] [PubMed]
- Li, Y.; Zhao, Y.; Li, C.; Yang, K.; Li, Z.; Shang, W.; Song, X.; Shao, Y.; Qi, K.; Tu, J. Rapid detection of porcine circovirus type 4 via multienzyme isothermal rapid amplification. Front. Vet. Sci. 2022, 9, 949172. [Google Scholar] [CrossRef]
- Park, S.B.; Zhang, Y. Development of Multienzyme Isothermal Rapid Amplification (MIRA) Combined with Lateral-Flow Dipstick (LFD) Assay to Detect Species-Specific tlh and Pathogenic trh and tdh Genes of Vibrio parahaemolyticus. Pathogens 2024, 13, 57. [Google Scholar] [CrossRef] [PubMed]
- Dai, Y.; Li, M.; Hu, X.; Zhao, R.; Xia, L. Development and application of a multiplex PCR method for simultaneous detection of waterfowl parvovirus, duck enteritis virus and goose astrovirus. 3 Biotech 2022, 12, 205. [Google Scholar] [CrossRef]
- Khan, K.A.; Islam, M.A.; Sabuj, A.a.M.; Bashar, M.A.; Islam, M.S.; Hossain, M.G.; Hossain, M.T.; Saha, S. Molecular characterization of duck plague virus from selected Haor areas of Bangladesh. Open Vet. J. 2021, 11, 42–51. [Google Scholar] [CrossRef]
- Aravind, S.; Patil, B.R.; Dey, S.; Mohan, C.M. Recombinant UL30 antigen-based single serum dilution ELISA for detection of duck viral enteritis. J. Virol. Methods 2012, 185, 234–238. [Google Scholar] [CrossRef]
- Liu, F.; Cao, Y.; Yan, M.; Sun, M.; Zhang, Q.; Wang, J.; Fu, G.; Liu, R.; Huang, Y.; Su, J. Development of a Colloidal Gold Immunochromatographic Assay for Duck Enteritis Virus Detection Using Monoclonal Antibodies. Pathogens 2021, 10, 365. [Google Scholar] [CrossRef]
- Qiu, Q.; Hu, R.; Liu, Z.; Yan, L.; Yang, F.; Dai, X.; Xing, C.; Cao, H. Development of a Multiplex Quantitative Polymerase Chain Reaction Assay for the Detection of Duck Enteritis Virus, Goose Parvovirus, and Muscovy Duck Parvovirus. Animals 2025, 15, 1599. [Google Scholar] [CrossRef]
- Ji, T.; Wang, W.; Wang, L.; Gao, Y.; Wang, Y.; Gao, X. Development and application of a rapid visual detection technique for VanA gene in vancomycin-resistant Enterococcus faecium. mSphere 2024, 9, e0066624. [Google Scholar] [CrossRef]
- Liu, M.H.; Guo, X.; Sun, M.L.; Li, J.L.; Liu, S.H.; Chen, Y.Z.; Wang, D.Y.; Wang, L.; Li, Y.Z.; Yao, J.; et al. Rapid detection of human cytomegalovirus by multienzyme isothermal rapid amplification and lateral flow dipsticks. Front. Cell. Infect. Microbiol. 2024, 14, 1430302. [Google Scholar] [CrossRef] [PubMed]
- Qiao, Q.; Ge, Y.Y.; Zhu, X.J.; Zhao, K.C.; Chen, Y.; Cui, L.B.; Wu, T. Establishment and evaluation of MIRA-qPCR assay for the rapid and sensitively detection of Mycoplasma pneumoniae. Future Microbiol. 2024, 19, 1455–1461. [Google Scholar] [CrossRef] [PubMed]




| Method | Primer/Probe | Primer Sequences (5′–3′) | Products (bp) |
|---|---|---|---|
| Basic MIRA | F1 | ACTGTTGTCGGAGGATACCCTTGCAGCCACT | 278 |
| R1 | GCCGATCAATTATGAGCGTAATATCTGGT | ||
| F2 | GCATGTCTTTGCTTCCCAGCAGCTCGTTT | 294 | |
| R2 | CCAATCTTTGTCCCATTTATCACAGTCCC | ||
| F3 | CCGCATGTCTTTGCTTCCCAGCAGCTCGTT | 293 | |
| R3 | ATCTTTGTCCCATTTATCACAGTCCCACA | ||
| F4 | AGAAACAACACCACCAGATATTACGCTCAT | 345 | |
| R4 | CAATCTTTGTCCCATTTATCACAGTCCC | ||
| MIRA-qPCR | F1 | ACTGTTGTCGGAGGATACCCTTGCAGCCACT | |
| R1 | GCCGATCAATTATGAGCGTAATATCTGGT | ||
| F1-P | TGCCGAGCCAATGGCGTATTGGAGAAATCA[FAM-dT]T[THF][BHQ-dT]GAAGATGTAATAAAG-[C3spacer] | ||
| MIRA-LFD | F1 | ACTGTTGTCGGAGGATACCCTTGCAGCCACT | |
| [biotin]-R1 | [biotin]-GCCGATCAATTATGAGCGTAATATCTGGT | ||
| F2-P | [FAM]-CCGAGCCAATGGCGTATTGGAGAAATCATT[THF]TGAAGATGTAATAAA-[C3spacer] |
Disclaimer/Publisher’s Note: The statements, opinions and data contained in all publications are solely those of the individual author(s) and contributor(s) and not of MDPI and/or the editor(s). MDPI and/or the editor(s) disclaim responsibility for any injury to people or property resulting from any ideas, methods, instructions or products referred to in the content. |
© 2025 by the authors. Licensee MDPI, Basel, Switzerland. This article is an open access article distributed under the terms and conditions of the Creative Commons Attribution (CC BY) license (https://creativecommons.org/licenses/by/4.0/).
Share and Cite
Dai, Y.; Hu, X.; Zhong, Y.; Chen, L.; Wang, J.; Yin, D.; Yin, L.; Shen, X.; Pan, X.; Liu, X.; et al. Rapid Detection of Duck Enteritis Virus with MIRA, MIRA–qPCR, and MIRA–LFD Assays. Pathogens 2025, 14, 980. https://doi.org/10.3390/pathogens14100980
Dai Y, Hu X, Zhong Y, Chen L, Wang J, Yin D, Yin L, Shen X, Pan X, Liu X, et al. Rapid Detection of Duck Enteritis Virus with MIRA, MIRA–qPCR, and MIRA–LFD Assays. Pathogens. 2025; 14(10):980. https://doi.org/10.3390/pathogens14100980
Chicago/Turabian StyleDai, Yin, Xiaomiao Hu, Yueyi Zhong, Liyuan Chen, Jieru Wang, Dongdong Yin, Lei Yin, Xuehuai Shen, Xiaocheng Pan, Xuelan Liu, and et al. 2025. "Rapid Detection of Duck Enteritis Virus with MIRA, MIRA–qPCR, and MIRA–LFD Assays" Pathogens 14, no. 10: 980. https://doi.org/10.3390/pathogens14100980
APA StyleDai, Y., Hu, X., Zhong, Y., Chen, L., Wang, J., Yin, D., Yin, L., Shen, X., Pan, X., Liu, X., & Zhao, R. (2025). Rapid Detection of Duck Enteritis Virus with MIRA, MIRA–qPCR, and MIRA–LFD Assays. Pathogens, 14(10), 980. https://doi.org/10.3390/pathogens14100980

