Next Article in Journal
First Trial of a Novel Caseous Lymphadenitis Inactivated Vaccine in South Korea: Experimental Evaluation across Various Animal Models
Next Article in Special Issue
Gammaherpesvirus Infection Stimulates Lung Tumor-Promoting Inflammation
Previous Article in Journal
PCR Detection of Bartonella spp. and Borreliella spp. DNA in Dry Blood Spot Samples from Human Patients
Previous Article in Special Issue
Detection and Genotyping of Human Papillomavirus (HPV16/18), Epstein–Barr Virus (EBV), and Human Cytomegalovirus (HCMV) in Endometrial Endometroid and Ovarian Cancers
 
 
Font Type:
Arial Georgia Verdana
Font Size:
Aa Aa Aa
Line Spacing:
Column Width:
Background:
Review

Unlocking the Potential: Epstein-Barr Virus (EBV) in Gastric Cancer and Future Treatment Prospects, a Literature Review

by
Salvatore Corallo
1,2,*,
Angioletta Lasagna
2,
Beatrice Filippi
1,2,
Domiziana Alaimo
1,2,
Anna Tortorella
1,2,
Francesco Serra
1,2,
Alessandro Vanoli
3,4 and
Paolo Pedrazzoli
1,2
1
Department of Internal Medicine and Medical Therapy, University of Pavia, 27100 Pavia, Italy
2
Department of Oncology, Fondazione IRCCS Policlinico San Matteo, 27100 Pavia, Italy
3
Department of Molecular Medicine, University of Pavia, 27100 Pavia, Italy
4
Anatomic Pathology Unit, Fondazione IRCCS Policlinico San Matteo, 27100 Pavia, Italy
*
Author to whom correspondence should be addressed.
Pathogens 2024, 13(9), 728; https://doi.org/10.3390/pathogens13090728
Submission received: 1 August 2024 / Revised: 21 August 2024 / Accepted: 23 August 2024 / Published: 28 August 2024
(This article belongs to the Special Issue Oncogenic Viruses)

Abstract

Gastric cancer (GC) is a complex disease with various etiologies. While Helicobacter pylori infection is still one of the leading risk factors for GC, increasing evidence suggests a link between GC and other infective agents such as Epstein Bar Virus (EBV). EBV-associated gastric cancer (EBVaGC) is now recognized as a distinct subgroup of GC, and the complex interactions between the virus and gastric mucosa may influence its development. A recent integrative analysis of the genome and proteome of GC tissues by The Cancer Genome Atlas project has identified EBVaGC as a specific subtype characterized by PIK3CA and ARID1A mutations, extensive DNA hyper-methylation, and activation of immune signaling pathways. These molecular characteristics are markers of the unique molecular profile of this subset of GC and are potential targets for therapy. This review aims to provide an overview of the current knowledge on EBVaGC. It will focus on the epidemiology, clinic-pathological features, and genetic characteristics of EBVaGC. Additionally, it will discuss recent data indicating the potential use of EBV infection as a predictive biomarker of response to chemotherapy and immune checkpoint inhibitors. The review also delves into potential therapeutic approaches for EBVaGC, including targeted therapies and adoptive immunotherapy, highlighting the promising potential of EBV as a therapeutic target.

1. Introduction

Gastric cancer (GC) is the fifth cause of cancer death worldwide [1]. Increasing evidence indicates that Helicobacter pylori (H. pylori) infection is one of the leading causes of GC, along with smoking, alcohol consumption, and obesity [2]. However, H. pylori is not the only biological agent related to GC development. Evidence suggests that Epstein Bar Virus (EBV) infection has a causal link with the development of gastric malignancies, even though clear epidemiological evidence of a direct causal role is currently lacking [3].
EBV is one of the first viral agents to be associated with human malignancies [4]. Several studies have revealed that EBV could be related to various malignancies, including nasopharyngeal carcinoma (NPC), Hodgkin’s lymphoma, extranodal natural killer/T-cell lymphoma, and lymphoproliferative disorders of immunocompromised hosts [5].
The link between EBV infection and GC was first described in 1990 by Burke et al. They reported finding EBV DNA by polymerase chain reaction (PCR) in a case of undifferentiated gastric carcinoma with intense lymphoid infiltration [6]. Since then, several studies have confirmed the connection between EBV and a specific type of GC known as lymphoepithelioma-like carcinoma (LELC), which shares microscopic similarities with nasopharyngeal lymphoepithelioma [7,8,9,10]. Two years after this initial discovery, Shibata and Weiss explored the possibility of EBV presence in typical GCs, detecting EBV sequences in 16% of cases in a small North American study [11]. More recently, The Cancer Genome Atlas (TCGA) network identified EBVaGC as a distinct subgroup, comprising less than 10% of all cases and characterized by DNA hypermethylation, PIK3CA mutations, and activation of immune signaling pathways [12].
In this review, we offer a comprehensive analysis of the molecular, clinicopathological, and therapeutic aspects of EBVaGC based on the latest evidence. We also explore the potential of EBV infection as a predictive biomarker for response to specific therapies. Additionally, we examine ongoing studies and potential future treatment strategies specifically designed to leverage the growing body of evidence on the distinct genetic characteristics of this subset of GC.

2. Epidemiology

The distinct histologic features of LELC make it easily distinguishable from ordinary gastric adenocarcinoma. Although rare, the epidemiology and clinical characteristics of this subtype of GC have been well described. Unlike Burkitt’s lymphoma and nasopharyngeal lymphoepithelioma, which are endemic in equatorial Africa and Southeast Asia, respectively [13,14], EBVaGC is a non-endemic disease found worldwide [15]. Approximately 1–4% of all gastric cases are LELC, and large series suggest that EBV DNA can be detected in 80–90% of LELCs by PCR and in-situ hybridization (ISH) [8,16,17]. However, the prevalence of EBV in LELC appears to be higher in eastern Asia (82.5%), compared to western countries (29.5% in Italy, Portugal, United States) [17].
On the contrary, the global burden of EBVaGC among conventional adenocarcinoma is challenging to estimate due to the lack of routine EBV in GC cases worldwide, especially in the metastatic setting. In The Cancer Genome Atlas (TCGA) project dataset, EBVaGC accounted for 8.8% and 15% of the localized and metastatic GC cases sequenced, respectively [12]. However, due to the low number of metastatic GC patients included in the analysis (20 cases), the TGCA does not provide a reliable prevalence rate of EBVaGC. Recent meta-analyses estimated a global prevalence of EBVaGC of about 7.5–8.8% [15,18,19,20] and a prevalence of 7.5% among conventional adenocarcinomas. However, only a few studies included in these analyses could distinguish between LELC and non-LELC cases. These studies showed that the prevalence of EBV involvement in LELC is significantly higher than that for non-LELC (86.4% versus 6.1%) [18]. Moreover, among advanced-stage GC patients, the prevalence of EBV positivity is much lower (about 3–4%) than reported in limited-stage GC series [21,22]. Based on these data, about 81,000 conventional gastric adenocarcinomas are potentially attributable to EBV worldwide [18].

3. Pathogenesis

EBV is a double-stranded DNA Human Herpes Virus (HHV-4) that belongs to the subfamily of Gammaherpesviridae. Its circular double-stranded genome is approximately 172 kilobases and includes genes coding for almost 85 proteins and around 50 non-coding RNAs [23].
EBV chronically infects 90% of the adult population worldwide and its transmission occurs through saliva [24]. In developing countries, the first infection happens during childhood because of overcrowding and pre-chewing food [25]. In developed countries, the infection hits adolescents due to the exchange of saliva during intimate oral contact [26]. The primary infection can be associated with fever, pharyngitis, and lymphadenopathy, an illness called ‘Infectious Mononucleosis’ [24].
EBV has a biphasic lifecycle delineated into two phases: latency and lysis. The initial lytic phase is associated with primary infection and leads to the constitution of virions. During the infection, EBV releases its circular episome into the host cell. The episome can duplicate simultaneously with the host cell genome using host enzymes. The plasmid segregation in daughter cells is granted by a viral protein (Epstein–Barr nuclear antigen 1 [EBNA-1]) that makes the plasmid tethered to the host genome [27]. The latent phase, instead, is related to the presence of the viral genome in host cells without virus production. EBV genes expressed during the latent cycle are limited, and this characteristic of the EBV latent phase permits the avoidance of the host immune system and increases survival and pathogenesis [28]. Intermittent lysis can interrupt latency to amplify the infectious viral progeny [29].
Latency and its reversibility are important peculiarities of EBV infection. They allow the persistence of the viral genome in host cells and the activation in specific host conditions of immunodeficiency [30]. A state of host immunodeficiency may reactivate EBV-infected B cells, enabling them to infiltrate other mucosal sites where B cells are present [31]. EBV can re-establish its latency when entering the newly infected cells.
The most common question is about how EBV can access the gastric mucosa. EBV first infects oral epithelial cells in the tonsil and B cells in the lymphatic tissues of Waldeyer’s Ring; then, EBV establishes latent infection in lymphocytes, inducing proliferation of the infected cells [26]. When EBV-infected B cells differentiate into plasma cells and enter the lytic phase, EBV can return to the oropharynx for transmission through saliva [26,32]. It is possible that EBV present in ingested saliva can withstand the acidic environment of the stomach, allowing it to infect the inflamed mucosa [33]. Chronic inflammation is probably the key because it enables the arrival of lymphocytes. The epithelial cells secrete vesicular products that induce virus production in EBV-infected B cells, increasing the risk of infection of gastric tissue [34]. Some evidence demonstrates that the co-infection of EBV and H. pylori increases the risk of GC, and a recent study indicates that EBV enters epithelial cells through the ephrin A2 receptor, which is exposed by epithelial cells during gastric inflammation in H. pylori gastritis [35,36]. Indeed, both EBV and H. Pylori promote epithelial-mesenchymal transition, defined as a severe morphological and functional change of cells linked with dedifferentiation and invasion. It has been demonstrated that EBV causes long-lasting inflammation that can damage the gastric epithelium and promote precancerous lesions, such as Atrophic Gastritis, although less frequently than H. pylori [37].
The persistence of the infection and EBV interaction with cell DNA during replications can promote cancer development. However, the pathogenic mechanism of EBVaGC is still not completely understood. Analysis of the terminal repeat of the EBV genome in EBVaGC cases has shown that all tumor cells carry the same clonotype of the virus genome [38], suggesting that each EBVaGC is of monoclonal origin and supporting the theory of a cell tumor development from a single EBV-infected cell. The rare finding of EBV infection in precursor lesions (i.e., chronic gastritis, atrophic gastritis, and dysplasia) supports the hypothesis that EBV could play an early direct role in gastric carcinogenesis [39]. Conversely, it has been proposed that EBV infection is a late event in gastric carcinogenesis, occurring after the clonal expansion of a progenitor cell harboring several genetic/epigenetic alterations, has also been proposed.
In EBVaGCs, the viral genome is present in almost all carcinoma cells but is absent in surrounding normal gastric mucosa [11]. However, there have been reports describing cases where distinct EBV-positive and EBV-negative tumor areas coexist and cases of EBVaGC with intratumoral heterogeneous EBER expression [40,41,42,43,44]. One possible explanation for this is the disappearance of EBV infection in the intermediate and late stages of GC development in tumoral subclones rather than the coexistence of two distinct tumors with independent carcinogenesis. A recent study found that some cases of EBVaGC showed both EBER-positive and -negative components characterized by heterogeneous tumor cells with different viral loads and variable expression of viral transcripts but sharing common genetic/epigenetic alterations [42]. Although extremely rare, these cases may provide evidence supporting the hypothesis that EBV is eliminated from tumor cells during progression in these anecdotal EBV-positive and -negative collision tumors. The ‘hit-and-run’ theory is a fascinating mechanism in which certain viruses (such as herpesviruses, but also adenoviruses and papillomaviruses) can cause a transient infection, promoting the initiation of carcinogenesis (‘hit’) and leave behind epigenetic changes even after the virus has been eliminated (‘run’) [45]. Studies on the comprehension and demonstration of this theory are still in their infancy due to technical difficulties in studying the virome. Still, they could have diagnostic and therapeutic repercussions [46]. Recently, Siciliano et al. documented the presence of EBV infection in 17.5% of a cohort of 40 EBV-negative GCs by applying highly sensitive methods for EBV genome detection. In particular, they used droplet digital PCR (ddPCR) for EBV segments on microdissected tumor cells and RNAscope for EBNA1 mRNA as a confirmatory method [47]. This study does not provide direct proof of the hit-and-run theory but supports the concept that EBV can also be involved in gastric carcinogenesis in some cases of EBV-negative GC.

4. Genetic Features

Somatic gene alteration analyses revealed that EBVaGC frequently presents mutations in phosphatidylinositol-4,5-bisphosphate 3-kinase catalytic subunit alpha (PIK3CA) (80%), AT-Rich Interaction Domain 1A (ARID1A) (55%), BCL6 corepressor (BCOR) (23%), copy-number amplifications of Janus kinase 2 (JAK2) and CD274/PDCD1LG2 (15%), and lack of TP53 mutations [12,48].
PIK3CA regulates the PIK3/Akt pathway and is frequently mutated in cancers, including GC [48,49]. The PIK3/Akt pathway controls numerous cell activities, including cell proliferation, survival, and motility [50]. Most known PIK3CA mutations are located in exons 9 and 20, although multiple concomitant PIK3CA genotypes have been described [49,51]. The enrichment of non-silent PIK3CA mutations in EBVaGC makes PI3K inhibitors potential therapeutic options for EBVaGC patients that need further evaluation [52].
ARID1A is a component of the Switch/Sucrose Non-fermentable (SWI/SNF) chromatin remodeling complex and is a tumor suppressor gene [48,53]. ARID1A is frequently mutated in cancer and the majority of ARID1A mutations are inactivating mutations that cause a lack of ARID1A protein expression [48,54]. Most of the ARID1A mutations identified in EBVaGC are single nucleotide truncating mutations, resulting in the loss of ARID1A protein expression. However, some GC shows absent or weak protein expression despite the lack of detectable ARID1A mutations, suggesting that other epigenetic modifications, partially regulated by EBV-encoded micro RNAs (miRNAs), may contribute to ARID1A inactivation [55,56]. During DNA replication, ARID1A is involved in the recruitment of mismatch repair (MMR) protein MutS homolog 2 (MSH2) to chromatin, and its inactivation leads to an increase in gene mutations [53,54]. Loss of ARID1A expression is related to poor prognosis in GC patients [48,53,57,58].
BCOR encodes an anti-apoptotic protein, an epigenetic regulator involved in cell differentiation. BCOR mutations have been found in both solid and hematological tumors [59].
Amplification at 9p24.1 is frequently detected in EBVaGC [12]. This locus contains JAK2, CD274 and PDCD1LG2 leading to overexpression of JAK2, PD-L1 and PD-L2 respectively [12,48]. JAK2 is a receptor tyrosine kinase that regulates cell proliferation, differentiation, and apoptosis [50]. PD-L1 and PD-L2 are immunosuppressant proteins that act as negative regulators of T cell-mediated immunity. Moreover, EBV infection promotes PD-L1 expression through the activation of Interferon regulatory factor 3 (IRF3) via interferon-γ (IFN-γ) [60].
Besides a specific pattern of gene alterations, the comprehensive analysis of The Cancer Genome Atlas (TCGA) project showed that EBVaGC had a higher prevalence of DNA hypermethylation than any other type of cancer evaluated [12]. DNA methylation is involved in the regulation of gene expression and plays a crucial role in tumorigenesis [46]. Hypermethylation in the CpG DNA promoter of a gene suppresses its expression. Consistent with previous reports [61], the TGCA analysis confirmed that EBVaGCs show a specific methylation epigenotype, distinct from that found in GCs with high microsatellite instability (H-MSI). In particular, EBVaGC displayed hypermethylation of the CDKN2A (p16INK4A) promoter but not the MutL protein homolog 1 (MLH1) promoter (typical of MSI-associated CIMP) [12]. Other genes silenced by DNA methylations in EBVaGC include genes involved in cell regulation, DNA repair, and apoptosis [48].

5. Clinical and Histopathological Features

There are no differences between the clinical presentation of EBVaGC and other types of GC. Early-stage disease is often asymptomatic, while common signs and symptoms in the advanced stage include dysphagia, asthenia, indigestion, vomiting, weight loss, early satiety, and iron deficiency anemia. Previous studies showed that EBVaGC has unique clinicopathological features with a predominance in men and younger individuals [19], though the male predominance decreases with age regarding risk estimates [20,62]. EBVaGCs frequently occur in the proximal part of the stomach (cardia and body) and generally show diffuse histological type [48]. Interestingly, several studies and meta-analyses reported a frequent EBV involvement in remnant gastric cancers, defined as tumors developing in the stomach after a previous partial gastrectomy for gastric ulcer or gastric carcinoma [15,19,63]. The higher prevalence of EBVaGC in remnant GCs, particularly in patients who underwent a Billroth II anastomosis, may be related to the chronic damage and the changes of the microenvironment made by pancreatic and bile juice reflux rather than to a more aggressive EBV variant in these subgroup of GCs [64,65].
An international pooled analysis including 4599 gastric cancer patients from 13 studies in Asia, Europe, and Latin America found that tumor EBV positivity was higher in early-stage GC [20]. By this data, a recent prospective observational study including 1146 metastatic GC Asian patients showed that the incidence rate of EBVaGC decreased with advanced TNM stage (9.3%,9.9%,6.7%, and 1.4% for Stage I, II, III, and IV, respectively) [66]. However, other large series did not confirm this higher prevalence in the lower stage [15,18]. The controversy concerning the relation between EBV positivity and lower cancer stage can be related to the fact that several Asian case series collected data on EBV positivity as part of screening programs thus explaining the higher incidence in the lower stage as compared to population-based data [67]. On the other hand, the excellent prognosis of EBVaGC in early or locally advanced stages [68,69] could explain the low incidence of this molecular sub-group in the metastatic setting. Macroscopically, on endoscopic observation, EBVaGC often forms ulcerated and depressed or saucer-like tumors with marked thickening of the gastric wall [48]. In the early stages, EBVaGC usually forms well-demarcated nodular lesions in the submucosa with less fibrosis than other gastric carcinomas [70]. Another characteristic feature is the multiplicity, which is the presence of multiple lesions occurring synchronously or metachronously in the stomach [71,72,73].
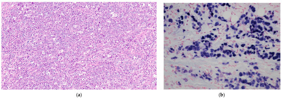
Histologically, there are three types of EBVaGC: LELC-type (or medullary type), conventional-type adenocarcinoma, and carcinoma with Crohn’s disease-like lymphoid reaction (CLR) [74]. LELC-type is a poorly differentiated carcinoma characterized by small clusters of tumor cells with unclear tumor-stroma boundaries and with dense infiltration of lymphocytes (Figure 1a) [75].
The conventional-type adenocarcinoma is well-moderately differentiated with a variable amount of infiltrating lymphocytes and morphologically is similar to EBV-negative gastric carcinoma. The CRC sub-type has a morphology intermediate between the LELC-type and conventional-type adenocarcinoma. Histologically, this type is characterized by three or more lymphoid follicles with active germinal centers at the advancing edge of the tumor and frequent tubule or gland formation. There are fewer lymphocytes compared to tumor cells and minimal or no desmoplasia [74].
Regardless of different morphological subtypes, EBVaGC is often morphologically identical to EBV-negative GC; therefore, identifying the presence of EBV in carcinoma cells is essential to define EBVaGC cases. The gold standard for identifying EBV infection is in situ hybridization (ISH) to detect EBV-encoded RNA (EBER), which is abundant in infected cells (Figure 1b) [11]. The EBER-1 probe used in ISH can be applied to formalin-fixed and paraffin-embedded gastric cancer specimens, enabling the detection of EBV with accurate localization and strong specificity [76]. Genome sequencing or ddPCR are potential alternative techniques to identify EBV-positive gastric tumors. Still, they are expensive and time-consuming, thus limiting their applicability as a primary screening method for EBV in cases of conventional-type adenocarcinomas [77].
On histological examination, most cases of GC are positive for CDX2, though the expression of CDX2 and MUC2 is significantly lower in EBVaGC compared to EBV-negative GCs [78]. Another attractive characteristic is that >80% of EBVaGC cases express Claudin 18 (CLDN18), while Claudin 3 (CLDN3) expression is infrequent (5%) [79]. The expression of CLDN18 is specific for the normal stomach and lung, while CLDN3 is generally expressed in the normal intestine but not in the normal stomach. Hence, EBVaGC demonstrates traits identical to those of mature or immature gastric epithelium but somehow different from classic GC, and this characteristic might be challenging when the histological diagnosis has to be made on metastatic lesions [80].
It is also worth noting that about 50% of EBVaGC are PD-L1 positive in tumor tissue by immunohistochemistry [81]. The higher PD-L1 overexpression in this type of GC is due to high levels of CD274 focal amplification [12,48]. Positive PD-L1 expression is associated with less aggressive clinical and pathological features, predicted superior prognosis, and better efficacy of immunotherapy in EBVaGC [48].

6. Treatment Options and Future Direction

6.1. Chemotherapy

There has been no systematic investigation about the responsiveness of advanced EBVaGCs to chemotherapies, and no particular regimens have been tested for treating this subgroup of GC in prospective clinical trials. Some in vitro studies reported that EBV-positive GC cell lines have higher chemoresistance to docetaxel and 5-fluorouracil than EBV-negative ones [82,83]. However, retrospective series reported disease control rates ranging from 90.3% to 100% among EBVaGC patients treated with fluoropyrimidine and platin-based first-line therapy and significantly better survival than EBV-negative patients [22,68]. All available evidence is limited by the retrospective nature and the small sample size, so prospective studies with larger samples are warranted to confirm these findings.

6.2. Immunotherapy

The unique clinical and molecular characteristics of EBVaGC indicate a close interaction between the cancer and the immune system. EBVaGCs often show a dense infiltrate of lymphocytes, seen in both undifferentiated (LELC) and typical gastric adenocarcinoma cases. This trait is associated with EBV’s ability, compared to other human viruses, to hyper-activate the cellular immune response, as shown by the elevated CD8+ T cell response observed in patients with infectious mononucleosis [24]. Besides the EBV infection’s direct immunogenicity, EBVaGCs frequently harbor copy-number amplifications of PD-L1 and PD-L2- that induce immune tolerance by activating the PD-1 pathway to inhibit immune checkpoints [12,84]. Moreover, recent evidence suggests that some of the mature microRNAs encoded by EBV, directly and indirectly, upregulate the expression of PD-L1, promoting tumor immune escape [85]. In line with these findings, gene expression data from the TCGA GC cohort revealed that EBV-positive tumors have higher immune checkpoint pathway (PD-1, CTLA-4 pathway) expression than any other type of cancer and dysregulation of immune cell signaling molecules [12,86].
Although a strong rationale suggests the efficacy of immune checkpoint inhibitors (ICIs) in the EBV-positive molecular subgroup, specific evidence from immunotherapy trials in this population is limited, and their efficacy was equivocal.
Kim et al. reported an overall response rate (ORR) of 100% in 6 EBVaGC patients treated with pembrolizumab as salvage treatment in a phase II clinical trial [87]. However, in a phase 2 trial evaluating the safety and efficacy of camrelizumab (an anti-PD-1 antibody) as a salvage treatment in 6 EBVaGC patients, no patient achieved an objective response even if a disease control rate of 67% was reported [88]. Other recent observational studies or subgroup analyses of clinical trials showed ORRs ranging from 0 to 100% in EBVaGC treated with ICIs [86,89,90,91,92,93,94,95,96] (Table 1). Notably, all six patients responsive to ICIs reported by Kim et al. had positive PD-L1 expression in tumor tissues. To investigate the potential impact of PD-L1 expression on the efficacy of ICIs in EBVaGC patients, a recent review analyzed data from 39 patients from 8 reports (3 prospective studies, four retrospective studies, and one case report). The analysis showed that PD-L1 positive patients had a better median progression-free survival (mPFS) compared to PD-L1 negative ones [97]. Moreover, the analysis of public genomic mutation and transcriptome profile datasets of EBVaGC showed enhanced immune-related signal pathways in PD-L1 high EBVaGC. These data suggest that PD-L1-positive EBVaGC could be considered as a specific subgroup with a ‘hot’ immune microenvironment and higher sensitivity to anti-PD-1 immunotherapy. However, this hypothesis must be assessed in a prospective clinical setting to draw definitive conclusions.
An alternative immunotherapeutic approach explored in EBVaGC involves the use of adoptive immunotherapy, based on the adoptive transfer of gene-engineered T cells to induce tumor regression [98,99]. The rationale for applying adoptive immunotherapy for EBVaGCs is that all EBV-associated tumors involve viral latency, and some of the products of viral latent genes are highly immunogenic [98]. Studies exploring the efficacy of the infusion of virus-specific T cells in patients with EBV-associated lymphoma and NPL showed impressive clinical responses [100,101,102]. Unfortunately, EBVaGCs arising in immunocompetent persons express a more limited array of EBV-specific antigens, showing a lower immunogenic activity. However, studies exploring this therapeutic strategy in EBVaGCs and other EBV+ malignancies are still ongoing (Table 2). They may provide a new option for treating EBV-positive recurrent cancer patients resistant to conventional therapies.

6.3. Target Therapies

As previously discussed, the comprehensive analysis conducted by the TCGA showed that EBVaGC is characterized by a unique genetic pattern [12]. Some of the more frequently reported gene alterations or one of their downstream pathways might be potential therapeutic targets for EBVaGCs. Interestingly, about 80% of EBVaGC patients display activating mutations in PIK3CA, suggesting a crucial PI3K/AKT signaling role in this molecular subgroup. PI3K or dual PI3K/mTOR inhibition has been tested preclinically in gastric cancers and showed promising therapeutic results in EBVaGC cell models [103,104,105,106]. Several PI3Ka-mutant selective inhibitors have been tested in clinical trials. However, the activity and efficacy in the specific subgroup of EBVaGCs need further investigation (NCT04526470).
ARID1A is the second most frequently mutated gene in EBVaGCs. Because mutations or the epigenetic inactivation of ARID1A may drive cancer development in EBVaGC, designing target therapies against ARID1A in EBVaGC would be fascinating. Unfortunately, as a tumor suppressor gene, ARID1A is a poor therapeutic target. However, the loss of function of ARID1A has been shown to interact with numerous signaling pathways involved in the oncogenesis: the DNA damage repair machinery, the PI3K/AKT/mammalian target of rapamycin (mTor) pathway, the KRAS pathway, and enhancer of zeste homolog 2 (EZH2) pathway [107]. Targeting these pathways may be effective in EBVaGC. In particular, one of the most intriguing strategies recently proposed is testing specific inhibitors against the histone methyltransferase EZH2.
EZH2 is a methyltransferase that tri-methylates histone H3, silencing gene expression [108]. Previous studies reported that ARID1A and EZH2 bound the promoter of the gene encoding phosphoinositide-3-kinase interacting protein 1 (PIK3IP1), which negatively regulates PI3K-Akt signaling [109]. ARID1A activates PIK3IP1 expression and usually dominates over EZH2, which suppresses PIK3IP1. When ARID1A is absent, EZH2 silences PIK3IP1 thus activating the PI3K-Akt pathway. Interestingly, preclinical models showed that EZH2 inhibitor administration decreases the viability of ARID1A-deficient gastric cells in a dose-dependent manner, therefore suggesting that suppression of EZH2 activity may serve as a synthetic lethal therapeutic strategy to target ARID1A-mutated cancers [110]. Apart from EZH2 inhibition, other treatment strategies based on synthetic lethality, such as poly ADP-ribose polymerase (PARP) inhibitors, could be effective in EBVaGCs. ARID1A facilitates the efficient processing of double-strand breaks to single-strand ends; as a consequence, ARID1A alterations interfere with DNA damage repair. In vitro and in vivo models show that ARID1A deficiency sensitizes cancer cells to PARP inhibitors [111,112]. However, the efficacy of PARP inhibitors in patients with ARID1A alterations is not yet clear, and further research in gastric cancer models is necessary.

7. Prognosis

Many studies have attempted to assess whether patients with EBVaGC have a better prognosis than those with EBV-negative subtypes, drawing different conclusions. Applying a robust, highly sensitive, and specific prediction model to categorize according to the 4 TGCA subtypes a cohort of 267 GC from the MD Anderson Cancer Center, Sohn et al. reported that the EBV subtype was associated with the best prognosis for both relapse-free survival and overall compared to the other TGCA subtypes [113]. This observation aligns with similar data obtained in GC patients with resectable early-stage disease [114,115]. In contrast, Li et al. recently reported no statistically significant difference in survival between EBVaGC and EBV-negative cases in a retrospective cohort of 1031 consecutive GC patients [116]. However, among EBVaGC patients, those with the LELC subtype had the best prognosis compared to Crohn’s-like lymphocytic reaction (CLR) and conventional adenocarcinoma (CA) subtypes. An international pooled analysis including 4599 GC patients from 13 studies showed that, even when adjusted for stage and other prognostic confounders, EBV positivity was associated with lower mortality [20]. However, further evidence is needed to conclusively determine the effect of EBV infection on EBVaGC patient survival.

8. Discussion

After the report by Kim et al. of the exceptional responsiveness of some EBVaGC cases to anti-PD-L1-based immunotherapy [87], extensive research focused on understanding the factors influencing the response of EBVaGC to immunotherapy. Efforts have also been made to improve our understanding of the epidemiology and pathogenesis of EBVaGC through new studies and meta-analyses. In light of this, our paper provides an overview of the most recent knowledge on the epidemiology and clinic-pathologic features of EBVaGC. It also discusses the various hypotheses regarding the carcinogenic mechanisms resulting from the intricate interaction between EBV and gastric mucosa. Furthermore, the review elaborates on the relevant treatment strategies that have recently been evaluated or are currently being explored for this subtype of gastric cancer. The goal is to offer a comprehensive understanding of the disease and its potential future directions. Unfortunately, the existing data is insufficient to comprehend the mechanisms underlying the development of EBVaGC fully and to draw definite conclusions about the prognostic and predictive impact of EBV positivity in perioperative and advanced-stage scenarios. Standard treatment strategies for patients with EBVaGC have yet to be established and further research is needed.
Compared to previous reviews on this field, our review stands out for presenting the latest epidemiological data on EBVaGC and a summary of existing and new theories on the interaction mechanisms between EBV and gastric mucosa that lead to the development of gastric cancer. Our paper is also the first, to our knowledge, to elaborate separately on the prevalence of the two most important pathological subtypes of EBVaGC, namely, the “lymphoepithelioma-like” type and the “conventional” type. Additionally, we provide a comprehensive review of the available evidence on treatment options for EBVaGC and ongoing trials in this area.
Our work has some limitations: first, the lack of universal screening for EBV among GC patients means that most of the epidemiologic and prognostic data in our review come from retrospective series, which may limit their reliability. Second, the paper included many studies with small sample sizes, which makes it difficult to draw definitive conclusions about the effectiveness of different treatment strategies for EBVaGC. However, it should be acknowledged that the relatively low prevalence of this subgroup makes it challenging to design large prospective randomized studies dedicated to this topic. Third, our review may not have included some future treatment strategies, and ongoing trials addressing EBVaGC may not be cited, as they do not explicitly include EBV evaluation in their inclusion criteria or pre-planned subgroup analyses.
In summary, implementing universal screening for EBV among GC patients could provide greater insight into the clinical and prognostic features of EBVaGC. Additionally, ongoing studies are leveraging the unique molecular characteristics of EBVaGCs to investigate different treatment strategies, with the potential to offer effective treatment options in the future. Although there is still much to learn about the features and treatment options for EBVaGC, available data indicates that gaining a better understanding of this distinctive subgroup of GC could potentially revolutionize treatment approaches for a significant portion of GC patients.

Author Contributions

Conceptualization, S.C., A.L. and P.P; methodology, S.C. and A.L.; validation, S.C., A.L., A.V. and P.P; resources, S.C. and A.V.; writing—original draft preparation, S.C., B.F., A.T. and D.A.; writing—review and editing, S.C., A.L. and F.S.; supervision, P.P. All authors have read and agreed to the published version of the manuscript.

Funding

This research received no external funding.

Institutional Review Board Statement

Not applicable.

Informed Consent Statement

Not applicable.

Data Availability Statement

Not applicable.

Conflicts of Interest

The authors declare no conflicts of interest.

References

  1. Bray, F.; Laversanne, M.; Sung, H.; Ferlay, J.; Siegel, R.L.; Soerjomataram, I.; Jemal, A. Global cancer statistics 2022: GLOBOCAN estimates of incidence and mortality worldwide for 36 cancers in 185 countries. CA Cancer J. Clin. 2024, 74, 229–263. [Google Scholar] [CrossRef] [PubMed]
  2. Thrift, A.P.; Wenker, T.N.; El-Serag, H.B. Global burden of gastric cancer: Epidemiological trends, risk factors, screening and prevention. Nat. Rev. Clin. Oncol. 2023, 20, 338–349. [Google Scholar] [CrossRef] [PubMed]
  3. IARC Working Group on the Evaluation of Carcinogenic Risks to Humans. Biological agents. Volume 100 B. A review of human carcinogens. IARC Monogr. Eval. Carcinog. Risks Hum. 2012, 100 Pt B, 1–441. [Google Scholar]
  4. Epstein, M.; Achong, B.; Barr, Y. Virus particles in cultured lymphoblasts from burkitt’s lymphoma. Lancet 1964, 1, 702–703. [Google Scholar] [CrossRef] [PubMed]
  5. Kaneda, A.; Matsusaka, K.; Aburatani, H.; Fukayama, M. Epstein-Barr virus infection as an epigenetic driver of tumourigenesis. Cancer Res. 2012, 72, 3445–3450. [Google Scholar] [CrossRef] [PubMed]
  6. Burke, A.P.; Yen, T.S.; Shekitka, K.M.; Sobin, L.H. Lymphoepithelial carcinoma of the stomach with Epstein-Barr virus demonstrated by polymerase chain reaction. Mod. Pathol. 1990, 3, 377–380. [Google Scholar]
  7. Shibata, D.; Tokunaga, M.; Uemura, Y.; Sato, E.; Tanaka, S.; Weiss, L.M. Association of Epstein-Barr virus with undifferentiated gastric carcinomas with intense lymphoid infiltration. Lymphoepithelioma-like carcinoma. Am. J. Pathol. 1991, 139, 469–474. [Google Scholar]
  8. Oda, K.; Tamaru, J.; Takenouchi, T.; Mikata, A.; Nunomura, M.; Saitoh, N.; Sarashina, H.; Nakajima, N. Association of Epstein-Barr virus with gastric carcinoma with lymphoid stroma. Am. J. Pathol. 1993, 143, 1063–1071. [Google Scholar]
  9. Takano, Y.; Kato, Y.; Sugano, H. Epstein-Barr-virus-associated medullary carcinomas with lymphoid infiltration of the stomach. J. Cancer Res. Clin. Oncol. 1994, 120, 303. [Google Scholar] [CrossRef] [PubMed]
  10. Nakamura, S.; Ueki, T.; Yao, T.; Ueyama, T.; Tsuneyoshi, M. Epstein-Barr virus in gastric carcinoma with lymphoid stroma. Special reference to its detection by the polymerase chain reaction and in situ hybridization in 99 tumours, including a morphologic analysis. Cancer 1994, 73, 2239–2249. [Google Scholar] [CrossRef]
  11. Shibata, D.; Weiss, L.M. Epstein-Barr virus-associated gastric adenocarcinoma. Am. J. Pathol. 1992, 140, 769–774. [Google Scholar] [PubMed]
  12. Cancer Genome Atlas Research Network. Comprehensive molecular characterization of gastric adenocarcinoma. Nature 2014, 513, 202–209. [Google Scholar] [CrossRef] [PubMed]
  13. Molyneux, E.M.; Rochford, R.; Griffin, B.; Newton, R.; Jackson, G.; Menon, G.; Harrison, C.J.; Israels, T.; Bailey, S. Burkitt’s lymphoma. Lancet 2012, 379, 1234–1244. [Google Scholar] [CrossRef] [PubMed]
  14. Cao, S.-M.; Simons, M.J.; Qian, C.-N. The prevalence and prevention of nasopharyngeal carcinoma in China. Chin. J. Cancer 2011, 30, 114–119. [Google Scholar] [CrossRef]
  15. Lee, J.; Kim, S.; Han, S.; An, J.; Lee, E.; Kim, Y. Clinicopathological and molecular characteristics of Epstein–Barr virus-associated gastric carcinoma: A meta-analysis. J. Gastroenterol. Hepatol. 2009, 24, 354–365. [Google Scholar] [CrossRef] [PubMed]
  16. Lim, H.; Park, Y.S.; Lee, J.H.; Son, D.H.; Ahn, J.Y.; Choi, K.-S.; Kim, D.H.; Choi, K.D.; Song, H.J.; Lee, G.H.; et al. Features of Gastric Carcinoma With Lymphoid Stroma Associated With Epstein-Barr Virus. Clin. Gastroenterol. Hepatol. 2015, 13, 1738–1744.e2. [Google Scholar] [CrossRef]
  17. Park, S.; Choi, M.-G.; Kim, K.-M.; Kim, H.S.; Jung, S.-H.; Lee, J.H.; Noh, J.H.; Sohn, T.S.; Bae, J.M.; Kim, S. Lymphoepithelioma-like carcinoma: A distinct type of gastric cancer. J. Surg. Res. 2015, 194, 458–463. [Google Scholar] [CrossRef]
  18. Hirabayashi, M.; Georges, D.; Clifford, G.M.; de Martel, C. Estimating the Global Burden of Epstein-Barr Virus–Associated Gastric Cancer: A Systematic Review and Meta-Analysis. Clin. Gastroenterol. Hepatol. 2023, 21, 922–930.e21. [Google Scholar] [CrossRef]
  19. Murphy, G.; Pfeiffer, R.; Camargo, M.C.; Rabkin, C.S. Meta-analysis shows that prevalence of epstein–Barr virus-positive gastric cancer differs based on sex and anatomic location. Gastroenterology 2009, 137, 824–833. [Google Scholar] [CrossRef]
  20. Camargo, M.C.; Kim, W.-H.; Chiaravalli, A.M.; Kim, K.-M.; Corvalan, A.; Matsuo, K.; Yu, J.; Sung, J.J.Y.; Herrera-Goepfert, R.; Meneses-Gonzalez, F.; et al. Improved survival of gastric cancer with tumour Epstein–Barr virus positivity: An international pooled analysis. Gut 2014, 63, 236–243. [Google Scholar] [CrossRef]
  21. Hashimoto, T.; Nakamura, Y.; Mishima, S.; Nakayama, I.; Kotani, D.; Kawazoe, A.; Kuboki, Y.; Bando, H.; Kojima, T.; Iida, N.; et al. Whole-transcriptome sequencing in advanced gastric or gastroesophageal cancer: A deep dive into its clinical potential. Cancer Sci. 2024, 115, 1622–1633. [Google Scholar] [CrossRef] [PubMed]
  22. Corallo, S.; Fucà, G.; Morano, F.; Salati, M.; Spallanzani, A.; Gloghini, A.; Volpi, C.C.; Trupia, D.V.; Lobefaro, R.; Guarini, V.; et al. Clinical Behavior and Treatment Response of Epstein-Barr Virus-Positive Metastatic Gastric Cancer: Implications for the Development of Future Trials. Oncologist 2020, 25, 780–786. [Google Scholar] [CrossRef] [PubMed]
  23. Houen, G.; Trier, N.H. Epstein-Barr Virus and Systemic Autoimmune Diseases. Front. Immunol. 2021, 11, 587380. [Google Scholar] [CrossRef] [PubMed]
  24. Cohen, J.I. Epstein-Barr virus infection. N. Engl. J. Med. 2000, 343, 481–492. [Google Scholar] [CrossRef] [PubMed]
  25. Morris, M.C.; Edmunds, W.J. The changing epidemiology of infectious mononucleosis? J. Infect. 2002, 45, 107–109. [Google Scholar] [CrossRef]
  26. Dunmire, S.K.; Verghese, P.S.; Balfour, H.H. Primary Epstein-Barr virus infection. J. Clin. Virol. 2018, 102, 84–92. [Google Scholar] [CrossRef]
  27. Speck, S.H.; Ganem, D. Viral latency and its regulation: Lessons from the gamma-herpesviruses. Cell Host Microbe 2010, 8, 100–115. [Google Scholar] [CrossRef]
  28. Dugan, J.P.; Coleman, C.B.; Haverkos, B. Opportunities to Target the Life Cycle of Epstein-Barr Virus (EBV) in EBV-Associated Lymphoproliferative Disorders. Front. Oncol. 2019, 9, 127. [Google Scholar] [CrossRef]
  29. Chinna, P.; Bratl, K.; Lambarey, H.; Blumenthal, M.J.; Schäfer, G. The Impact of Co-Infections for Human Gammaherpesvirus Infection and Associated Pathologies. Int. J. Mol. Sci. 2023, 24, 13066. [Google Scholar] [CrossRef]
  30. Wen, K.W.; Wang, L.; Menke, J.R.; Damania, B. Cancers associated with human gammaherpesviruses. FEBS J. 2022, 289, 7631–7669. [Google Scholar] [CrossRef]
  31. Thompson, M.P.; Kurzrock, R. Epstein-Barr virus and cancer. Clin. Cancer Res. 2004, 10, 803–821. [Google Scholar] [CrossRef] [PubMed]
  32. Young, L.S.; Rickinson, A.B. Epstein–Barr virus: 40 years on. Nat. Rev. Cancer 2004, 4, 757–768. [Google Scholar] [CrossRef]
  33. Farrell, P.J. Epstein-Barr Virus and Cancer. Annu. Rev. Pathol. 2019, 14, 29–53. [Google Scholar] [CrossRef] [PubMed]
  34. Lin, Z.; Swan, K.; Zhang, X.; Cao, S.; Brett, Z.; Drury, S.; Strong, M.J.; Fewell, C.; Puetter, A.; Wang, X.; et al. Secreted oral epithelial cell membrane vesicles induce epstein-barr virus reactivation in latently infected B cells. J. Virol. 2016, 90, 3469–3479. [Google Scholar] [CrossRef]
  35. Singh, S.; Jha, H.C. Status of Epstein-Barr Virus Coinfection with Helicobacter pylori in Gastric Cancer. J. Oncol. 2017, 2017, 3456264. [Google Scholar] [CrossRef]
  36. Chen, J.; Sathiyamoorthy, K.; Zhang, X.; Schaller, S.; White, B.E.P.; Jardetzky, T.S.; Longnecker, R. Ephrin receptor A2 is a functional entry receptor for Epstein–Barr virus. Nat. Microbiol. 2018, 3, 172–180. [Google Scholar] [CrossRef]
  37. Zhao, K.; Zhang, Y.; Xia, S.; Feng, L.; Zhou, W.; Zhang, M.; Dong, R.; Tian, D.; Liu, M.; Liao, J. Epstein-Barr Virus is Associated with Gastric Cancer Precursor: Atrophic Gastritis. Int. J. Med. Sci. 2022, 19, 924–931. [Google Scholar] [CrossRef]
  38. Raab-Traub, N.; Flynn, K. The structure of the termini of the Epstein-Barr virus as a marker of clonal cellular proliferation. Cell 1986, 47, 883–889. [Google Scholar] [CrossRef]
  39. Angerilli, V.; Galuppini, F.; Pennelli, G.; Fanelli, G.N.; d’Amore, E.S.; Michelotto, M.; Pilati, P.; Spolverato, G.; Pucciarelli, S.; Scarpa, M.; et al. Epstein-Barr virus associated gastric dysplasia: A new rare entity? Virchows Arch. 2022, 480, 939–944. [Google Scholar] [CrossRef] [PubMed]
  40. Park, K.B.; Seo, A.N.; Kim, M. Gastric cancer with distinct Epstein-Barr virus-positive and -negative tumour components and their whole exome sequencing result: A case Report. Diagn. Pathol. 2023, 18, 81. [Google Scholar] [CrossRef]
  41. Matsuda, I.; Kan, K.; Doi, S.; Motoki, Y.; Onodera, M.; Hirota, S. A case of gastric cancer with heterogeneous components of EB virus (+)/TP53 (+) and EB virus (−)/TP53 (−). Int. J. Clin. Exp. Pathol. 2015, 8, 11766–11871. [Google Scholar]
  42. Miyabe, K.; Saito, M.; Koyama, K.; Umakoshi, M.; Ito, Y.; Yoshida, M.; Kudo-Asabe, Y.; Saito, K.; Nanjo, H.; Maeda, D.; et al. Collision of Epstein–Barr virus-positive and -negative gastric cancer, diagnosed by molecular analysis: A case report. BMC Gastroenterol. 2021, 21, 97. [Google Scholar] [CrossRef] [PubMed]
  43. Ishii, A.; Itakura, J.; Akaike, Y.; Terada, K.; Uchino, K.; Nishitani, K.; Sasaki, Y.; Mouri, H.; Notohara, K. Epstein-Barr virus-associated gastric carcinoma with heterogeneous EBER positivity accompanied by distinctive morphological cellular changes. Pathol. Int. 2020, 70, 306–308. [Google Scholar] [CrossRef]
  44. Kondo, A.; Shinozaki-Ushiku, A.; Rokutan, H.; Kunita, A.; Ikemura, M.; Yamashita, H.; Seto, Y.; Nagae, G.; Tatsuno, K.; Aburatani, H.; et al. Loss of viral genome with altered immune microenvironment during tumour progression of Epstein-Barr virus-associated gastric carcinoma. J. Pathol. 2023, 260, 124–136. [Google Scholar] [CrossRef] [PubMed]
  45. Ferreira, D.A.; Tayyar, Y.; Idris, A.; McMillan, N.A. A “hit-and-run” affair—A possible link for cancer progression in virally driven cancers. Biochim. Biophys. Acta Rev. Cancer 2021, 1875, 188476. [Google Scholar] [CrossRef] [PubMed]
  46. Lasagna, A.; Cassaniti, I.; Sacchi, P.; Figini, S.; Baldanti, F.; Bruno, R.; Pedrazzoli, P. The ‘hit-and-run’ strategy and viral carcinogenesis. Future Oncol. 2023, 5, 341–344. [Google Scholar] [CrossRef]
  47. Siciliano, M.C.; Tornambè, S.; Cevenini, G.; Sorrentino, E.; Granai, M.; Giovannoni, G.; Marrelli, D.; Biviano, I.; Roviello, F.; Yoshiyama, H.; et al. EBV persistence in gastric cancer cases conventionally classified as EBER-ISH negative. Infect. Agents Cancer 2022, 17, 57. [Google Scholar] [CrossRef]
  48. Saito, M.; Kono, K. Landscape of EBV-positive gastric cancer. Gastric Cancer 2021, 24, 983–989. [Google Scholar] [CrossRef]
  49. Böger, C.; Krüger, S.; Behrens, H.M.; Bock, S.; Haag, J.; Kalthoff, H.; Röcken, C. Epstein-Barr virus-associated gastric cancer reveals intratumoural heterogeneity of PIK3CA mutations. Ann. Oncol. 2017, 28, 1005–1014. [Google Scholar] [CrossRef] [PubMed]
  50. Dong, M.; Wang, H.Y.; Zhao, X.X.; Chen, J.N.; Zhang, Y.W.; Huang, Y.; Xue, L.; Li, H.G.; Du, H.; Wu, X.Y.; et al. Expression and prognostic roles of PIK3CA, JAK2, PD-L1, and PD-L2 in Epstein-Barr virus-associated gastric carcinoma. Hum. Pathol. 2016, 53, 25–34. [Google Scholar] [CrossRef]
  51. Zhou, H.; Tan, S.; Li, H.; Lin, X. Expression and significance of EBV, ARID1A and PIK3CA in gastric carcinoma. Mol. Med. Rep. 2019, 19, 2125–2136. [Google Scholar] [CrossRef] [PubMed]
  52. Stanland, L.J.; Ang, H.X.; Hoj, J.P.; Chu, Y.; Tan, P.; Wood, K.C.; Lufting, M.A. CBF-Beta Mitigates PI3K-Alpha–Specific Inhibitor Killing through PIM1 in PIK3CA-Mutant Gastric Cancer. Mol. Cancer Res. 2023, 21, 1148–1162. [Google Scholar] [CrossRef]
  53. Ashizawa, M.; Saito, M.; Min, A.K.T.; Ujiie, D.; Saito, K.; Sato, T.; Kikuchi, T.; Okayama, H.; Fujita, S.; Endo, H.; et al. Prognostic role of ARID1A negative expression in gastric cancer. Sci. Rep. 2019, 9, 6769. [Google Scholar] [CrossRef] [PubMed]
  54. Shen, J.; Ju, Z.; Zhao, W.; Wang, L.; Peng, Y.; Ge, Z.; Nagel, Z.D.; Zou, J.; Wang, C.; Kapoor, P.; et al. ARID1A deficiency promotes mutability and potentiates therapeutic antitumour immunity unleashed by immune checkpoint blockade. Nat. Med. 2018, 24, 556–562. [Google Scholar] [CrossRef]
  55. Wang, K.; Kan, J.; Yuen, S.T.; Shi, S.T.; Chu, K.M.; Law, S.; Chan, T.L.; Kan, Z.; Chan, A.S.Y.; Tsui, W.Y.; et al. Exome sequencing identifies frequent mutation of ARID1A in molecular subtypes of gastric cancer. Nat. Genet. 2011, 43, 1219–1223. [Google Scholar] [CrossRef] [PubMed]
  56. Kase, K.; Saito, M.; Nakajima, S.; Takayanagi, D.; Saito, K.; Yamada, L.; Ashizawa, M.; Nakano, H.; Hanayama, H.; Onozawa, H.; et al. ARID1A deficiency in EBV-positive gastric cancer is partially regulated by EBV-encoded miRNAs, but not by DNA promotor hypermethylation. Carcinogen 2021, 42, 21–30. [Google Scholar] [CrossRef] [PubMed]
  57. Yang, L.; Wei, S.; Zhao, R.; Wu, Y.; Qiu, H.; Xiong, H. Loss of ARID1A expression predicts poor survival prognosis in gastric cancer: A systematic meta-analysis from 14 studies. Sci. Rep. 2016, 6, 28919. [Google Scholar] [CrossRef]
  58. Zhang, Z.; Li, Q.; Sun, S.; Ye, J.; Li, Z.; Cui, Z.; Liu, Q.; Zhang, Y.; Xiong, S.; Zhang, S. Prognostic and immune infiltration significance of ARID1A in TCGA molecular subtypes of gastric adenocarcinoma. Cancer Med. 2023, 12, 16716–16733. [Google Scholar] [CrossRef] [PubMed]
  59. Astolfi, A.; Fiore, M.; Melchionda, F.; Indio, V.; Bertuccio, S.N.; Pession, A. BCOR Involvement in Cancer. Epigenomics 2019, 11, 835–855. [Google Scholar] [CrossRef]
  60. Nakano, H.; Saito, M.; Nakajima, S.; Saito, K.; Nakayama, Y.; Kase, K.; Yamada, L.; Kanke, Y.; Hanayama, H.; Onozawa, H.; et al. PD-L1 overexpression in EBV-positive gastric cancer is caused by unique genomic or epigenomic mechanisms. Sci. Rep. 2021, 11, 1982. [Google Scholar] [CrossRef] [PubMed]
  61. Matsusaka, K.; Kaneda, A.; Nagae, G.; Ushiku, T.; Kikuchi, Y.; Hino, R.; Uozaki, H.; Seto, Y.; Takada, K.; Aburatani, H.; et al. Classification of epstein–barr virus–Positive gastric cancers by definition of DNA methylation epigenotypes. Cancer Res. 2011, 71, 7187–7197. [Google Scholar] [CrossRef] [PubMed]
  62. Camargo, M.C.; Murphy, G.; Koriyama, C.; Pfeiffer, R.M.; Kim, W.H.; Herrera-Goepfert, R.; Corvalan, A.H.; Carrascal, E.; Abdirad, A.; Anwar, M.; et al. Determinants of Epstein-Barr virus-positive gastric cancer: An international pooled analysis. Br. J. Cancer 2011, 105, 38–43. [Google Scholar] [CrossRef] [PubMed]
  63. Fukayama, M.; Ushiku, T. Epstein-Barr virus-associated gastric carcinoma. Pathol. Res. Pract. 2011, 207, 529–537. [Google Scholar] [CrossRef] [PubMed]
  64. Yamamoto, N.; Tokunaga, M.; Uemura, Y.; Tanaka, S.; Shirahama, H.; Nakamura, T.; Land, C.E.; Sato, E. Epstein-Barr virus and gastric remnant cancer. Cancer 1994, 74, 805–809. [Google Scholar] [CrossRef]
  65. Chen, J.-N.; Jiang, Y.; Li, H.-G.; Ding, Y.-G.; Fan, X.-J.; Xiao, L.; Han, J.; Du, H.; Shao, C.-K. Epstein-Barr virus genome polymorphisms of Epstein-Barr virus-associated gastric carcinoma in gastric remnant carcinoma in Guangzhou, southern China, an endemic area of nasopharyngeal carcinoma. Virus Res. 2011, 160, 191–199. [Google Scholar] [CrossRef]
  66. Qiu, M.; He, C.; Lu, S.; Guan, W.; Wang, F.; Wang, X.; Jin, Y.; Wang, F.; Li, Y.; Shao, J.; et al. Prospective observation: Clinical utility of plasma Epstein–Barr virus DNA load in EBV-associated gastric carcinoma patients. Int. J. Cancer 2020, 146, 272–280. [Google Scholar] [CrossRef]
  67. Siegel, R.; Ward, E.; Brawley, O.; Jemal, A. Cancer statistics, 2011: The impact of eliminating socioeconomic and racial disparities on premature cancer deaths. CA Cancer J. Clin. 2011, 61, 212–236. [Google Scholar] [CrossRef]
  68. Qiu, M.-Z.; He, C.-Y.; Yang, D.-J.; Zhou, D.-L.; Zhao, B.-W.; Wang, X.-J.; Yang, L.-Q.; Lu, S.-X.; Wang, F.-H.; Xu, R.-H. Observational cohort study of clinical outcome in Epstein–Barr virus associated gastric cancer patients. Ther. Adv. Med. Oncol. 2020, 12, 1758835920937434. [Google Scholar] [CrossRef]
  69. van Beek, J.; zur Hausen, A.; Kranenbarg, E.M.-K.; van de Velde, C.J.; Middeldorp, J.M.; van den Brule, A.J.C.; Meijer, C.J.L.M.; Bloemena, E. EBV-positive gastric adenocarcinomas: A distinct clinicopathologic entity with a low frequency of lymph node involvement. J. Clin. Oncol. 2004, 22, 664–670. [Google Scholar] [CrossRef]
  70. Lee, J.Y.; Kim, K.M.; Min, B.H.; Lee, J.H.; Rhee, P.L.; Kim, J.J. Epstein-Barr virus-associated lymphoepithelioma-like early gastric carcinomas and endoscopic submucosal dissection: Case series. World J. Gastroenterol. 2014, 20, 1365–1370. [Google Scholar] [CrossRef]
  71. Matsunou, H.; Konishi, F.; Hori, H.; Ikeda, T.; Sasaki, K.; Hirose, Y.; Yamamichi, N. Characteristics of Epstein-Barr virus-associated gastric carcinoma with lymphoid stroma in Japan. Cancer 1996, 77, 1998–2004. [Google Scholar] [CrossRef]
  72. Chang, M.S.; Lee, H.S.; Kim, H.S.; Kim, S.H.; Choi, S.I.; Lee, B.L.; Kim, C.W.; Kim, Y.I.; Yang, M.; Kim, W.H. Epstein–Barr virus and microsatellite instability in gastric carcinogenesis. J. Pathol. 2003, 199, 447–452. [Google Scholar] [CrossRef]
  73. Kaizaki, Y.; Hosokawa, O.; Sakurai, S.; Fukayama, M. Epstein-Barr virus-associated gastric carcinoma in the remnant stomach: De novo and metachronous gastric remnant carcinoma. J. Gastroenterol. 2005, 40, 570–577. [Google Scholar] [CrossRef] [PubMed]
  74. Song, H.-J.; Kim, K.-M. Pathology of epstein-barr virus-associated gastric carcinoma and its relationship to prognosis. Gut Liver 2011, 5, 143–148. [Google Scholar] [CrossRef]
  75. Watanabe, H.; Enjoji, M.; Imai, T. Gastric carcinoma with lymphoid stroma. Its morphologic characteristics and prognostic correlations. Cancer 1976, 38, 232–243. [Google Scholar] [CrossRef]
  76. Weiss, L.M.; Chen, Y.Y. EBER in situ hybridization for Epstein-Barr virus. Methods Mol. Biol. 2013, 999, 223–230. [Google Scholar] [PubMed]
  77. Camargo, M.C.; Bowlby, R.; Chu, A.; Pedamallu, C.S.; Thorsson, V.; Elmore, S.; Mungall, A.J.; Bass, A.J.; Gulley, M.L.; Rabkin, C.S. Validation and calibration of next-generation sequencing to identify Epstein-Barr virus-positive gastric cancer in The Cancer Genome Atlas. Gastric Cancer 2015, 19, 676–681. [Google Scholar] [CrossRef] [PubMed]
  78. Hirano, N.; Tsukamoto, T.; Mizoshita, T.; Koriyama, C.; Akiba, S.; Campos, F.; Carrasquilla, G.; Carrascal, E.; Cao, X.; Toyoda, T.; et al. Down regulation of gastric and intestinal phenotypic expression in Epstein-Barr virus-associated stomach cancers. Histol. Histopathol. 2007, 22, 641–649. [Google Scholar] [CrossRef]
  79. Shinozaki, A.; Ushiku, T.; Morikawa, T.; Hino, R.; Sakatani, T.; Uozaki, H.; Fukayama, M. Epstein-barr virus-associated gastric carcinoma: A distinct carcinoma of gastric phenotype by claudin expression profiling. J. Histochem. Cytochem. 2009, 57, 775–785. [Google Scholar] [CrossRef]
  80. Quaquarini, E.; Vanoli, A.; Frascaroli, M.; Viglio, A.; Lucioni, M.; Presti, D.; Lobascio, G.; Pietrabissa, A.; Bernardo, A.; Paulli, M. Bilateral Breast Metastases from Epstein-Barr Virus-Associated Gastric Cancer during Pregnancy: Is There a Method to Its Madness? J. Gastric Cancer 2020, 20, 106–114. [Google Scholar] [CrossRef]
  81. Lima, Á.; Sousa, H.; Medeiros, R.; Nobre, A.; Machado, M. PD-L1 expression in EBV associated gastric cancer: A systematic review and meta-analysis. Discov. Oncol. 2022, 13, 19. [Google Scholar] [CrossRef]
  82. Seo, J.S.; Kim, T.-G.; Hong, Y.S.; Chen, J.-Y.; Lee, S.K. Contribution of Epstein-Barr virus infection to chemoresistance of gastric carcinoma cells to 5-fluorouracil. Arch. Pharmacal Res. 2011, 34, 635–643. [Google Scholar] [CrossRef]
  83. Shin, H.J.; Kim, D.N.; Lee, S.K. Association between Epstein-Barr Virus Infection and Chemoresistance to Docetaxel in Gastric Carcinoma. Mol. Cells 2011, 32, 173–180. [Google Scholar] [CrossRef]
  84. Zak, K.M.; Grudnik, P.; Magiera, K.; Dömling, A.; Dubin, G.; Holak, T.A. Structural Biology of the Immune Checkpoint Receptor PD-1 and Its Ligands PD-L1/PD-L2. Structure 2017, 25, 1163–1174. [Google Scholar] [CrossRef]
  85. Wang, J.; Ge, J.; Wang, Y.; Xiong, F.; Guo, J.; Jiang, X.; Zhang, L.; Deng, X.; Gong, Z.; Zhang, S.; et al. EBV miRNAs BART11 and BART17-3p promote immune escape through the enhancer-mediated transcription of PD-L1. Nat. Commun. 2022, 13, 866. [Google Scholar] [CrossRef] [PubMed]
  86. Panda, A.; Mehnert, J.M.; Hirshfield, K.M.; Riedlinger, G.; Damare, S.; Saunders, T.; Kane, M.; Sokol, L.; Stein, M.N.; Poplin, E.; et al. Immune Activation and Benefit From Avelumab in EBV-Positive Gastric Cancer. J. Natl. Cancer Inst. 2018, 110, 316–320. [Google Scholar] [CrossRef] [PubMed]
  87. Kim, S.T.; Cristescu, R.; Bass, A.J.; Kim, K.-M.; Odegaard, J.I.; Kim, K.; Liu, X.Q.; Sher, X.; Jung, H.; Lee, M.; et al. Comprehensive molecular characterization of clinical responses to PD-1 inhibition in metastatic gastric cancer. Nat. Med. 2018, 24, 1449–1458. [Google Scholar] [CrossRef] [PubMed]
  88. Mishima, S.; Kawazoe, A.; Nakamura, Y.; Sasaki, A.; Kotani, D.; Kuboki, Y.; Bando, H.; Kojima, T.; Doi, T.; Ohtsu, A.; et al. Clinicopathological and molecular features of responders to nivolumab for patients with advanced gastric cancer. J. Immunother. Cancer 2019, 7, 24. [Google Scholar] [CrossRef]
  89. Wang, F.; Wei, X.L.; Wang, F.H.; Xu, N.; Shen, L.; Dai, G.H.; Yuan, X.L.; Chen, Y.; Yang, S.J.; Shi, J.H.; et al. Safety, efficacy and tumour mutational burden as a biomarker of overall survival benefit in chemo-refractory gastric cancer treated with toripalimab, a PD-1 antibody in phase Ib/II clinical trial NCT02915432. Ann. Oncol. 2019, 30, 1479–1486. [Google Scholar] [CrossRef]
  90. Kim, J.; Kim, B.; Kang, S.Y.; Heo, Y.J.; Park, S.H.; Kim, S.T.; Kang, W.K.; Lee, J.; Kim, K.M. Tumour Mutational Burden Determined by Panel Sequencing Predicts Survival After Immunotherapy in Patients With Advanced Gastric Cancer. Front. Oncol. 2020, 10, 314. [Google Scholar] [CrossRef]
  91. Kubota, Y.; Kawazoe, A.; Sasaki, A.; Mishima, S.; Sawada, K.; Nakamura, Y.; Kotani, D.; Kuboki, Y.; Taniguchi, H.; Kojima, T.; et al. The Impact of Molecular Subtype on Efficacy of Chemotherapy and Checkpoint Inhibition in Advanced Gastric Cancer. Clin. Cancer Res. 2020, 26, 3784–3790. [Google Scholar] [CrossRef] [PubMed]
  92. Kwon, M.; Hong, J.Y.; Kim, S.T.; Kim, K.-M.; Lee, J. Association of serine/threonine kinase 11 mutations and response to programmed cell death 1 inhibitors in metastatic gastric cancer. Pathol.-Res. Pract. 2020, 216, 152947. [Google Scholar] [CrossRef]
  93. Xie, T.; Liu, Y.; Zhang, Z.; Zhang, X.; Gong, J.; Qi, C.; Li, J.; Shen, L.; Peng, Z. Positive Status of Epstein-Barr Virus as a Biomarker for Gastric Cancer Immunotherapy: A Prospective Observational Study. J. Immunother. 2020, 43, 139–144. [Google Scholar] [CrossRef] [PubMed]
  94. Sun, Y.-T.; Guan, W.-L.; Zhao, Q.; Wang, D.-S.; Lu, S.-X.; He, C.-Y.; Chen, S.-Z.; Wang, F.-H.; Li, Y.-H.; Zhou, Z.-W.; et al. PD-1 antibody camrelizumab for Epstein-Barr virus-positive metastatic gastric cancer: A single-arm, open-label, phase 2 trial. Am. J. Cancer Res. 2021, 11, 5006–5015. [Google Scholar] [PubMed]
  95. Bai, Y.; Xie, T.; Wang, Z.; Tong, S.; Zhao, X.; Zhao, F.; Cai, J.; Wei, X.; Peng, Z.; Shen, L. Efficacy and predictive biomarkers of immunotherapy in Epstein-Barr virus-associated gastric cancer. J. Immunother. Cancer 2022, 10, e004080. [Google Scholar] [CrossRef]
  96. Duan, Y.; Li, J.; Zhou, S.; Bi, F. Effectiveness of PD-1 inhibitor-based first-line therapy in Chinese patients with metastatic gastric cancer: A retrospective real-world study. Front. Immunol. 2024, 15, 1370860. [Google Scholar] [CrossRef] [PubMed]
  97. Wei, X.-L.; Liu, Q.-W.; Liu, F.-R.; Yuan, S.-S.; Li, X.-F.; Li, J.-N.; Yang, A.-L.; Ling, Y.-H. The clinicopathological significance and predictive value for immunotherapy of programmed death ligand-1 expression in Epstein-Barr virus-associated gastric cancer. OncoImmunology 2021, 10, 1938381. [Google Scholar] [CrossRef] [PubMed]
  98. Rooney, C.M.; Leen, A.M.; Vera, J.F.; Heslop, H.E. T lymphocytes targeting native receptors. Immunol. Rev. 2013, 257, 39–55. [Google Scholar] [CrossRef]
  99. Restifo, N.P.; Dudley, M.E.; Rosenberg, S.A. Adoptive immunotherapy for cancer: Harnessing the T cell response. Nat. Rev. Immunol. 2012, 12, 269–281. [Google Scholar] [CrossRef]
  100. Comoli, P.; Pedrazzoli, P.; Maccario, R.; Basso, S.; Carminati, O.; Labirio, M.; Schiavo, R.; Secondino, S.; Frasson, C.; Perotti, C.; et al. Cell Therapy of stage IV nasopharyngeal carcinoma with autologous epstein-barr virus–targeted cytotoxic T lymphocytes. J. Clin. Oncol. 2005, 23, 8942–8949. [Google Scholar] [CrossRef]
  101. Bollard, C.M.; Gottschalk, S.; Leen, A.M.; Weiss, H.; Straathof, K.C.; Carrum, G.; Khalil, M.; Wu, M.F.; Huls, M.H.; Chang, C.C.; et al. Complete responses of relapsed lymphoma following genetic modification of tumour-antigen presenting cells and T-lymphocyte transfer. Blood 2007, 110, 2838–2845. [Google Scholar] [CrossRef] [PubMed]
  102. Louis, C.U.; Straathof, K.; Bollard, C.M.; Ennamuri, S.; Gerken, C.; Lopez, T.T.; Huls, M.H.; Sheehan, A.; Wu, M.-F.; Liu, H.; et al. Adoptive transfer of EBV-specific T Cells results in sustained clinical responses in patients with locoregional nasopharyngeal carcinoma. J. Immunother. 2010, 33, 983–990. [Google Scholar] [CrossRef] [PubMed]
  103. Mueller, A.; Bachmann, E.; Linnig, M.; Khillimberger, K.; Schimanski, C.C.; Galle, P.R.; Moehler, M. Selective PI3K inhibition by BKM120 and BEZ235 alone or in combination with chemotherapy in wild-type and mutated human gastrointestinal cancer cell lines. Cancer Chemother. Pharmacol. 2012, 69, 1601–1615. [Google Scholar] [CrossRef] [PubMed]
  104. Chen, D.; Lin, X.; Zhang, C.; Liu, Z.; Chen, Z.; Li, Z.; Wang, J.; Li, B.; Hu, Y.; Dong, B.; et al. Dual PI3K/mTOR inhibitor BEZ235 as a promising therapeutic strategy against paclitaxel-resistant gastric cancer via targeting PI3K/Akt/mTOR pathway. Cell Death Dis. 2018, 9, 123. [Google Scholar] [CrossRef]
  105. Bhattacharya, B.; Akram, M.; Balasubramanian, I.; Tam, K.K.; Koh, K.X.; Yee, M.Q.; Soong, R. Pharmacologic synergy between dual phosphoinositide-3-kinase and mammalian target of rapamycin inhibition and 5-fluorouracil in PIK3CA mutant gastric cancer cells. Cancer Biol. Ther. 2012, 13, 34–42. [Google Scholar] [CrossRef]
  106. Kim, M.-Y.; Kruger, A.J.; Jeong, J.-Y.; Kim, J.; Shin, P.K.; Kim, S.Y.; Cho, J.Y.; Hahm, K.B.; Hong, S.P. Combination Therapy with a PI3K/mTOR Dual Inhibitor and Chloroquine Enhances Synergistic Apoptotic Cell Death in Epstein–Barr Virus-Infected Gastric Cancer Cells. Mol. Cells 2019, 42, 448–459. [Google Scholar] [CrossRef]
  107. Mullen, J.; Kato, S.; Sicklick, J.K.; Kurzrock, R. Targeting ARID1A mutations in cancer. Cancer Treat. Rev. 2021, 100, 102287. [Google Scholar] [CrossRef]
  108. Simon, J.A.; Kingston, R.E. Mechanisms of Polycomb gene silencing: Knowns and unknowns. Nat. Rev. Mol. Cell Biol. 2009, 10, 697–708. [Google Scholar] [CrossRef]
  109. Bitler, B.G.; Aird, K.M.; Garipov, A.; Li, H.; Amatangelo, M.; Kossenkov, A.V.; Schultz, D.C.; Liu, Q.; Shih, I.-M.; Conejo-Garcia, J.; et al. Synthetic lethality by targeting EZH2 methyltransferase activity in ARID1A-mutated cancers. Nat. Med. 2015, 21, 231–238. [Google Scholar] [CrossRef]
  110. Yamada, L.; Saito, M.; Min, A.K.T.; Saito, K.; Ashizawa, M.; Kase, K.; Nakajima, S.; Onozawa, H.; Okayama, H.; Endo, H.; et al. Selective sensitivity of EZH2 inhibitors based on synthetic lethality in ARID1A-deficient gastric cancer. Gastric Cancer 2020, 24, 60–71. [Google Scholar] [CrossRef]
  111. Shen, J.; Peng, Y.; Wei, L.; Zhang, W.; Yang, L.; Lan, L.; Kapoor, P.; Ju, Z.; Mo, Q.; Shih, I.M.; et al. ARID1A Deficiency Impairs the DNA Damage Checkpoint and SensitiseSensitises Cells to PARP Inhibitors. Cancer Discov. 2015, 5, 752–767. [Google Scholar] [CrossRef] [PubMed]
  112. Park, Y.; Chui, M.H.; Suryo Rahmanto, Y.; Yu, Z.C.; Shamanna, R.A.; Bellani, M.A.; Gaillard, S.; Ayhan, A.; Viswanathan, A.; Seidman, M.M.; et al. Loss of ARID1A in Tumour Cells Renders Selective Vulnerability to Combined Ionizing Radiation and PARP Inhibitor Therapy. Clin. Cancer Res. 2019, 25, 5584–5594. [Google Scholar] [CrossRef] [PubMed]
  113. Sohn, B.H.; Hwang, J.E.; Jang, H.J.; Lee, H.S.; Oh, S.C.; Shim, J.J.; Lee, K.W.; Kim, E.H.; Yim, S.Y.; Lee, S.H.; et al. Clinical Significance of Four Molecular Subtypes of Gastric Cancer Identified by The Cancer Genome Atlas Project. Clin. Cancer Res. 2017, 23, 4441–4449. [Google Scholar] [CrossRef] [PubMed]
  114. Kohlruss, M.; Grosser, B.; Krenauer, M.; Slotta-Huspenina, J.; Jesinghaus, M.; Blank, S.; Novotny, A.; Reiche, M.; Schmidt, T.; Ismani, L.; et al. Prognostic implication of molecular subtypes and response to neoadjuvant chemotherapy in 760 gastric carcinomas: Role of Epstein–Barr virus infection and high- and low-microsatellite instability. J. Pathol. Clin. Res. 2019, 5, 227–239. [Google Scholar] [CrossRef] [PubMed]
  115. Roh, C.K.; Choi, Y.Y.; Choi, S.; Seo, W.J.; Cho, M.; Jang, E.; Son, T.; Kim, H.-I.; Kim, H.; Hyung, W.J.; et al. Single patient classifier assay, microsatellite instability, and epstein-barr virus status predict clinical outcomes in stage II/III gastric cancer: Results from classic trial. Yonsei Med. J. 2019, 60, 132–139. [Google Scholar] [CrossRef] [PubMed]
  116. Li, L.-L.; Yu, A.-Y.; Zhu, M.; Ma, L.-Y.; Cao, M.-H.; Liu, W.-L.; Qin, X.-B.; Gao, C.; Han, Z.-X.; Wang, H.-M. Clinicopathological characteristics and prognosis of Epstein-Barr virus–associated gastric cancer. Arch. Virol. 2024, 169, 114. [Google Scholar] [CrossRef]
Figure 1. (a) EBV-associated gastric carcinoma exhibiting a typical lymphoepithelioma-like carcinoma morphology; (b) Tumor cells of an EBV-associated lymphoepithelioma-like carcinoma showing strong EBER reactivity (EBER in-situ hybridization).
Figure 1. (a) EBV-associated gastric carcinoma exhibiting a typical lymphoepithelioma-like carcinoma morphology; (b) Tumor cells of an EBV-associated lymphoepithelioma-like carcinoma showing strong EBER reactivity (EBER in-situ hybridization).
Pathogens 13 00728 g001
Table 1. Published studies evaluating immune checkpoint inhibitors against EBVaGC.
Table 1. Published studies evaluating immune checkpoint inhibitors against EBVaGC.
ReferencePhaseTarget PopulationNumber of
EBVaGC pts
Immunotherapy
Regimen
ORR
(%)
PFS (Months)OS (Months)
Kim et al., 2018 [87]IIStage IV GOJ or GC pts treated with at least 1 line of chemotherapy and naive to anti-PD-1, anti-PD-L1, or anti-PD-L2 antibodies.6Pembrolizumab100.0%8.5NR
Panda et al., 2018 [86]IMetastatic or locally advanced solid tumors, who failed or were not candidable to standard therapies1Avelumab100.0%NRNR
Mishima et al., 2019 [88]ObservationalAdvanced GC pts who were treated with nivolumab after two or more chemotherapy regimens4Nivolumab25.0%NRNR
Wang et al., 2019 [89]Ib/IIPatients with advanced GC, esophageal SCC, NPC, and head and neck SCC4Toripalimab25.0%NRNR
Kim et al., 2020 [90]ObservationalAdvanced GC patients treated with
pembrolizumab or nivolumab
4Nivolumab/
Pembrolizumab
50.0%NRNR
Kubota et al., 2020 [91]ObservationalLocally advanced, or metastatic
GC patients treated with an anti PD-1 inhibitor after standard chemotherapies
6PD-1 inhibitors33.3%3.7NR
Kwon et al., 2020 [92]ObservationalStage IV GC patients treated
with PD-1 inhibitors
7Nivolumab or
Pembrolizumab
42.9%NRNR
Xie et al., 2020 [93]ObservationalStage IV EBVaGC patients treated with ICIs as the first-, second-, or third-line therapy9PD-1 inhibitors, PD-1 inhibitors +XELOX, nivolumab + ipilimumab33.3%NRNR
Sun et al., 2021 [94]IIMetastatic or unresectable HER2-, pMMR, EBVaGC pts not previously treated with ICIs who failed or were intolerant to or prior chemotherapy6Camrelizumab0%2.26.8
Bai et al., 2022 [95]ObservationalLocally advanced or metastatic
pMMR EBVaGC patients treated with
an anti PD-1 inhibitors
22PD-1/PD-L1 inhibiros (8 pts) or combination of anti-CTLA-4 plus anti-PD-1/L1 (14 pts)54.5%NRNR
Duan et al., 2024 [96]ObservationalMetastatic GC pts who underwent various PD-1 inhibitor-based treatments as first-line therapy6PD-1 inhibitors +/−chemotherapyNR17.028.0
EBVaGC: Epstein-Barr virus-associated gastric cancer; GC: gastric cancer; GOJ: gastroesophageal junction; HER2-: human epidermal growth factor receptor 2 negative; ICI: immune checkpoint inhibitor; NPC: nasopharyngeal carcinoma; NR: not reported; ORR: overall response rate; OS: overall survival; PD-1: programmed cell death protein 1; PD-L1: programmed cell death protein ligand 1; PD-L2: programmed cell death protein ligand 2; PFS: progression-free survival; pMMR: mismatch repair proficient; pts: patients; SCC: squamous cell carcinoma.
Table 2. Ongoing studies evaluating different therapeutic options against EBVaGC.
Table 2. Ongoing studies evaluating different therapeutic options against EBVaGC.
Study Title (Clinical Trial
Registration Number)
PhaseTarget PopulationSetting of DiseaseTreatment RegimenPrimary
End-Point
Recruitment State
Immunotherapy in MSI/dMMR Tumors in Perioperative Setting (IMHOTEP)
(NCT04795661)
IINon-metastatic, resectable-EBV+ GC, MSI/dMMR CRC, esophago-gastric cancer, endometrial carcinoma, biliary tract adc, pancreatic adc, and small bowel adc.LocalizedPembrolizumab *pCROngoing
D-1 Knockout EBV-CTLs for Advanced Stage Epstein-Barr Virus (EBV) Associated Malignancies
(NCT03044743)
I/IIStage IV EBV+ NPC, lymphoma or
stage IV GC
Advanced stagePD-1 knockout
EBV-CTLs
SafetyUnknown
Nanatinostat Plus Valganciclovir in Patients With Advanced EBV+ Solid Tumors, and in Combination With Pembrolizumab in EBV+ RM-NPC
(NCT05166577)
Ib/IIRecurrent or metastatic EBV+ NPC (experimental choort) and advanced/metastatic EBV+ non-NPC solid tumors (exploratory proof-of-concept cohort only)Advanced stageNanatinostat **+valganciclovir
vs.
Nanatinostat + valganciclovir + pembrolizumab **
Safety (Ib)
ORR (II)
Ongoing
A Study to Evaluate Serplulimab in Combination with Docetaxel +S-1 VS. Docetaxel +S-1 as Adjuvant Treatment Therapy in Stage IIIc Gastric Cancer (NCT05769725)IIPD-L1+ or MSI-H or dMMR
or EBV+ GC patients
Stage IIICDocetaxel + S1 +
Serplulimab (HLX10) *
DFSOngoing
Neoadjuvant Immunotherapy and Chemotherapy for Locally Advanced Esophagogastric Junction and Gastric Cancer Trial (NICE)
(NCT04744649)
IIGC patients with one of the following:
-
PD-L1 CPS ≥ 5. (experimental group)
-
EBV+ (exploratory group).
-
dMMR (exploratory group)
-
MSI-H (exploratory group)
cT3/4a Nx
or
T2 N+, M0
(AJCC 8th)
XELOX or SOX
vs.
XELOX or SOX + JS001 (toripalimab) *
MPR
(residual tumor defined as less than 10%)
Ongoing
A Phase II Study of Preoperative Pembrolizumab for Mismatch-Repair Deficient and Epstein-Barr Virus Positive Gastric Cancer Followed by Chemotherapy and Chemoradiation With Pembrolizumab (NCT03257163)IIResectable dMMR or EBV+
GC patients
Stage
Ib-IIIC
Pembrolizumab (2 cycles) followed by surgery, followed by
pembrolizumab +capecitabine (5 cycles), followed by pembrolizumab (11 cycles) and radiotherapy (5 weeks).
RFS rateOngoing
A Multi-center, Single-arm, Open, Phase I/IIa Clinical Trial to Evaluate the Efficacy and Safety of EBViNT Cell (EBV Specific Autologous CD8+ T Cell) in Patients With Treatment Failed Epstein Barr Virus (EBV)-Positive Malignancies (NCT03789617)I/IIaEBV+ Extranodal NK/T-cell lymphoma, and EBV+ GC or esophageal adenocarcinomaAdvanced
stage
EBV specific autologous blood-derived T lymphocytesSafety
ORR
Ongoing
A Study of a Selective T Cell Receptor (TCR) Targeting, Bifunctional Antibody-fusion Molecule STAR0602 in Participants With Advanced Solid Tumors (START-001) (NCT05592626)I/IITMB-H tumors, or MSI/dMMR tumors, or virally associated tumors, or metastatic triple negative breast cancer, or relapsed and refractory epithelial ovarian cancer, or metastatic castration-resistance prostate cancer, or KRAS wild type CRC, or KRAS mutant CRC, or stage IV NSCLCAdvanced stageSTAR0602 ***Safety and ORROngoing
* anti-PD-1 antibody; ** histone deacetylase inhibitor; *** Bifunctional antibody-fusion molecule that selectively activates and expands a sub-set of human aβ T cells expressing the germline-encoded variable b6 and b10 regions of the T cell receptor; Adc: adenocarcinoma; CRC: colorectal cancer; CPS: combined positive score; CTLs: cytotoxic T lymphocytes; DFS: disease-free survival; dMMR: deficient mismatch repair; EBV+: EBV-positive; GC: gastric cancer; MSI microsatellite instable; MPR: Major pathologic response; NPC: nasopharyngeal carcinoma; NSCLC: non-small cell lung cancer; pCR: pathologic complete response; RFS: Recurrence-free survival; TMB-H: tumor mutational burden high.
Disclaimer/Publisher’s Note: The statements, opinions and data contained in all publications are solely those of the individual author(s) and contributor(s) and not of MDPI and/or the editor(s). MDPI and/or the editor(s) disclaim responsibility for any injury to people or property resulting from any ideas, methods, instructions or products referred to in the content.

Share and Cite

MDPI and ACS Style

Corallo, S.; Lasagna, A.; Filippi, B.; Alaimo, D.; Tortorella, A.; Serra, F.; Vanoli, A.; Pedrazzoli, P. Unlocking the Potential: Epstein-Barr Virus (EBV) in Gastric Cancer and Future Treatment Prospects, a Literature Review. Pathogens 2024, 13, 728. https://doi.org/10.3390/pathogens13090728

AMA Style

Corallo S, Lasagna A, Filippi B, Alaimo D, Tortorella A, Serra F, Vanoli A, Pedrazzoli P. Unlocking the Potential: Epstein-Barr Virus (EBV) in Gastric Cancer and Future Treatment Prospects, a Literature Review. Pathogens. 2024; 13(9):728. https://doi.org/10.3390/pathogens13090728

Chicago/Turabian Style

Corallo, Salvatore, Angioletta Lasagna, Beatrice Filippi, Domiziana Alaimo, Anna Tortorella, Francesco Serra, Alessandro Vanoli, and Paolo Pedrazzoli. 2024. "Unlocking the Potential: Epstein-Barr Virus (EBV) in Gastric Cancer and Future Treatment Prospects, a Literature Review" Pathogens 13, no. 9: 728. https://doi.org/10.3390/pathogens13090728

APA Style

Corallo, S., Lasagna, A., Filippi, B., Alaimo, D., Tortorella, A., Serra, F., Vanoli, A., & Pedrazzoli, P. (2024). Unlocking the Potential: Epstein-Barr Virus (EBV) in Gastric Cancer and Future Treatment Prospects, a Literature Review. Pathogens, 13(9), 728. https://doi.org/10.3390/pathogens13090728

Note that from the first issue of 2016, this journal uses article numbers instead of page numbers. See further details here.

Article Metrics

Back to TopTop