Recombinant Ixodes scapularis Calreticulin Binds Complement Proteins but Does Not Protect Borrelia burgdorferi from Complement Killing
Abstract
1. Introduction
2. Material and Methods
2.1. Expression and Affinity Purification of Recombinant I. scapularis Calreticulin (rIxsCRT)
2.2. Differential Precipitation (DIffPOP) of rIxsCRT and Human Plasma Proteins
2.3. LC-MS/MS Analysis
2.4. Pull-Down Assays to Validate Interactions between rIxsCRT and Human Complement Proteins
2.5. ELISA Analysis to Validate the rIxsCRT Binding of Complement Proteins
2.6. Effect of rIxsCRT on Complement Activation
2.7. Complement Sensitivity Assay
2.8. Blood Recalcification Time Assay
2.9. Assessing the Effect of rIxsCRT on B. burgdorferi Growth under In Vitro Conditions
2.10. Identifying the Reaction Intensity of rIxsCRT against B. burgdorferi-Infected Rabbit IgG
2.11. Statistical Analysis
3. Results
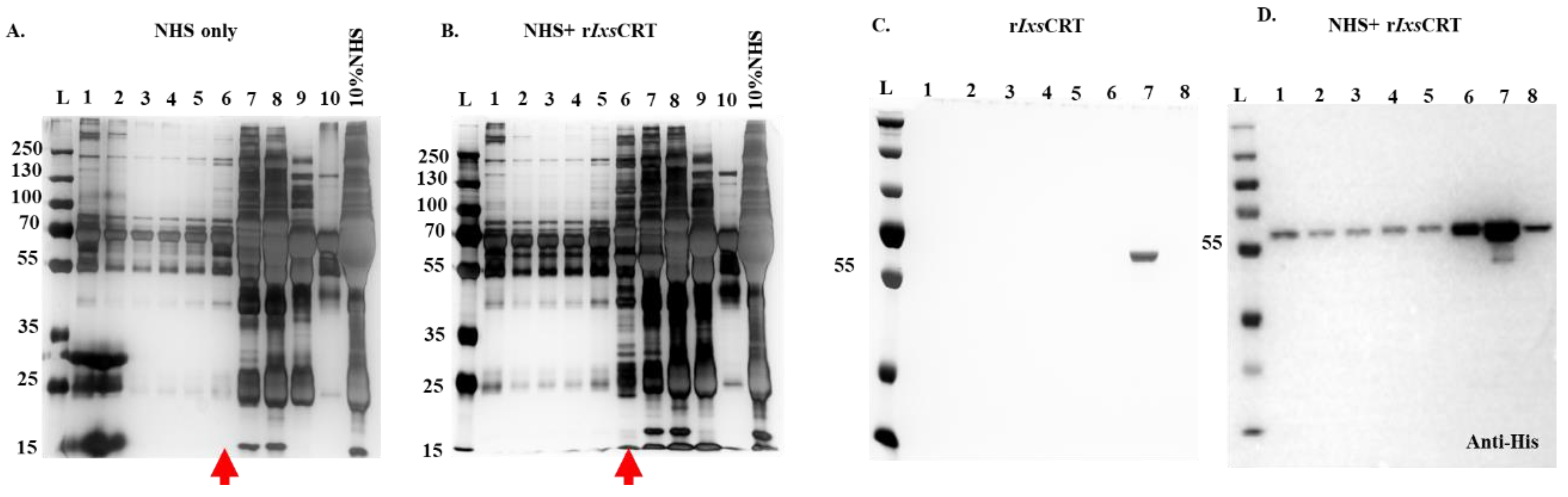
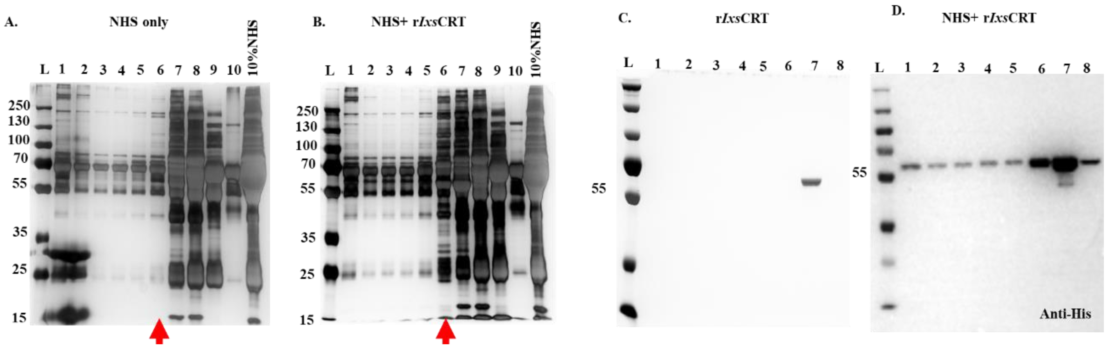
3.1. Differential Precipitation of Proteins (DiffPOP) and LC-MS/MS Analyses Reveal Multiple Interactions between rIxsCRT Human and Plasma Proteins
3.2. rIxsCRT and Complement Protein Interactions Validated by Western Blotting and ELISA Analyses
3.3. rIxsCRT Moderately Inhibits Membrane Attack Complex (MAC) Deposition via the Lectin Complement Cascade but Does Not Protect B. burgdorferi from Complement Killing
3.4. IxsCRT Promotes Borrelia burgdorferi Growth in Culture
3.5. B. burgdorferi-Infected I. scapularis Feeding Elicits High IgG Levels for rIxsCRT in Rabbits
4. Discussion
Supplementary Materials
Author Contributions
Funding
Institutional Review Board Statement
Informed Consent Statement
Data Availability Statement
Acknowledgments
Conflicts of Interest
References
- Sosa, J.P.; Ferreira Caceres, M.M.; Agadi, K.; Pandav, K.; Mehendale, M.; Mehta, J.M.; Go, C.C.; Matos, W.F.; Guntipalli, P.; Belizaire, M.E. Diseases Transmitted by the Black-Legged Ticks in the United States: A Comprehensive Review of the Literature. Cureus 2021, 13, e17526. [Google Scholar] [CrossRef] [PubMed]
- Wolf, M.J.; Watkins, H.R.; Schwan, W.R. Ixodes scapularis: Vector to an Increasing Diversity of Human Pathogens in the Upper Midwest. WMJ 2020, 119, 16–21. [Google Scholar] [PubMed]
- Guzman, N.; Yarrarapu, S.N.S.; Beidas, S.O. Anaplasma Phagocytophilum. In StatPearls; StatPearls Publishing: Treasure Island, FL, USA, 2023. [Google Scholar]
- Krause, P.J. Human babesiosis. Int. J. Parasitol. 2019, 49, 165–174. [Google Scholar] [CrossRef] [PubMed]
- Piantadosi, A.; Solomon, I.H. Powassan Virus Encephalitis. Infect. Dis. Clin. N. Am. 2022, 36, 671–688. [Google Scholar] [CrossRef]
- Wikel, S.K. Ticks and Tick-Borne Infections: Complex Ecology, Agents, and Host Interactions. Vet. Sci. 2018, 5, 60. [Google Scholar] [CrossRef] [PubMed]
- Pritt, B.S.; Fernholz, E.C.; Replogle, A.J.; Kingry, L.C.; Sciotto, M.P.; Petersen, J.M. Borrelia mayonii—A cause of Lyme borreliosis that can be visualized by microscopy of thin blood films. Clin. Microbiol. Infect. 2022, 28, 823–824. [Google Scholar] [CrossRef] [PubMed]
- Pritt, B.S.; Respicio-Kingry, L.B.; Sloan, L.M.; Schriefer, M.E.; Replogle, A.J.; Bjork, J.; Liu, G.; Kingry, L.C.; Mead, P.S.; Neitzel, D.F.; et al. Borrelia mayonii sp. nov., a member of the Borrelia burgdorferi sensu lato complex, detected in patients and ticks in the upper midwestern United States. Int. J. Syst. Evol. Microbiol. 2016, 66, 4878–4880. [Google Scholar] [CrossRef] [PubMed]
- Stevenson, B. The Lyme disease spirochete, Borrelia burgdorferi, as a model vector-borne pathogen: Insights on regulation of gene and protein expression. Curr. Opin. Microbiol. 2023, 74, 102332. [Google Scholar] [CrossRef] [PubMed]
- Hook, S.A.; Jeon, S.; Niesobecki, S.A.; Hansen, A.P.; Meek, J.I.; Bjork, J.K.H.; Dorr, F.M.; Rutz, H.J.; Feldman, K.A.; White, J.L.; et al. Economic Burden of Reported Lyme Disease in High-Incidence Areas, United States, 2014–2016. Emerg. Infect. Dis. 2022, 28, 1170–1179. [Google Scholar] [CrossRef]
- Obaid, M.K.; Islam, N.; Alouffi, A.; Khan, A.Z.; da Silva Vaz, I., Jr.; Tanaka, T.; Ali, A. Acaricides Resistance in Ticks: Selection, Diagnosis, Mechanisms, and Mitigation. Front. Cell. Infect. Microbiol. 2022, 12, 941831. [Google Scholar] [CrossRef] [PubMed]
- Nauen, R.; Stumpf, N.; Elbert, A.; Zebitz, C.P.; Kraus, W. Acaricide toxicity and resistance in larvae of different strains of Tetranychus urticae and Panonychus ulmi (Acari: Tetranychidae). Pest Manag. Sci. 2001, 57, 253–261. [Google Scholar] [CrossRef] [PubMed]
- Paucar-Quishpe, V.; Perez-Otanez, X.; Rodriguez-Hidalgo, R.; Cepeda-Bastidas, D.; Perez-Escalante, C.; Grijalva-Olmedo, J.; Enriquez, S.; Arciniegas-Ortega, S.; Sandoval-Travez, L.; Benavides-Erazo, B.; et al. An economic evaluation of cattle tick acaricide-resistances and the financial losses in subtropical dairy farms of Ecuador: A farm system approach. PLoS ONE 2023, 18, e0287104. [Google Scholar] [CrossRef]
- Trager, W. Acquired Immunity to Ticks. J. Parasitol. 1939, 25, 57–81. [Google Scholar] [CrossRef]
- Abbas, M.N.; Jmel, M.A.; Mekki, I.; Dijkgraaf, I.; Kotsyfakis, M. Recent Advances in Tick Antigen Discovery and Anti-Tick Vaccine Development. Int. J. Mol. Sci. 2023, 24, 4969. [Google Scholar] [CrossRef] [PubMed]
- Nepveu-Traversy, M.E.; Fausther-Bovendo, H.; Babuadze, G.G. Human Tick-Borne Diseases and Advances in Anti-Tick Vaccine Approaches: A Comprehensive Review. Vaccines 2024, 12, 141. [Google Scholar] [CrossRef] [PubMed]
- Kim, T.K.; Tirloni, L.; Bencosme-Cuevas, E.; Kim, T.H.; Diedrich, J.K.; Yates, J.R., 3rd; Mulenga, A. Borrelia burgdorferi infection modifies protein content in saliva of Ixodes scapularis nymphs. BMC Genom. 2021, 22, 152. [Google Scholar] [CrossRef] [PubMed]
- Kim, T.K.; Tirloni, L.; Pinto, A.F.M.; Diedrich, J.K.; Moresco, J.J.; Yates, J.R., 3rd; da Silva Vaz, I., Jr.; Mulenga, A. Time-resolved proteomic profile of Amblyomma americanum tick saliva during feeding. PLoS Negl. Trop. Dis. 2020, 14, e0007758. [Google Scholar] [CrossRef] [PubMed]
- Kim, T.K.; Tirloni, L.; Pinto, A.F.; Moresco, J.; Yates, J.R., 3rd; da Silva Vaz, I., Jr.; Mulenga, A. Ixodes scapularis Tick Saliva Proteins Sequentially Secreted Every 24 h during Blood Feeding. PLoS Negl. Trop. Dis. 2016, 10, e0004323. [Google Scholar] [CrossRef]
- Alarcon-Chaidez, F.; Ryan, R.; Wikel, S.; Dardick, K.; Lawler, C.; Foppa, I.M.; Tomas, P.; Cushman, A.; Hsieh, A.; Spielman, A.; et al. Confirmation of tick bite by detection of antibody to Ixodes calreticulin salivary protein. Clin. Vaccine Immunol. 2006, 13, 1217–1222. [Google Scholar] [CrossRef] [PubMed]
- Ferreira, C.A.; Da Silva Vaz, I.; da Silva, S.S.; Haag, K.L.; Valenzuela, J.G.; Masuda, A. Cloning and partial characterization of a Boophilus microplus (Acari: Ixodidae) calreticulin. Exp. Parasitol. 2002, 101, 25–34. [Google Scholar] [CrossRef]
- Jaworski, D.C.; Simmen, F.A.; Lamoreaux, W.; Coons, L.B.; Muller, M.T.; Needham, G.R. A secreted calreticulin protein in ixodid tick (Amblyomma americanum) saliva. J. Insect Physiol. 1995, 41, 369–375. [Google Scholar] [CrossRef]
- Oladiran, A.; Belosevic, M. Trypanosoma carassii calreticulin binds host complement component C1q and inhibits classical complement pathway-mediated lysis. Dev. Comp. Immunol. 2010, 34, 396–405. [Google Scholar] [CrossRef] [PubMed]
- Lu, Y.C.; Weng, W.C.; Lee, H. Functional roles of calreticulin in cancer biology. Biomed. Res. Int. 2015, 2015, 526524. [Google Scholar] [CrossRef]
- Suchitra, S.; Joshi, P. Characterization of Haemonchus contortus calreticulin suggests its role in feeding and immune evasion by the parasite. Biochim. Biophys. Acta Gen. Subj. 2005, 1722, 293–303. [Google Scholar] [CrossRef] [PubMed]
- Suchitra, S.; Anbu, K.A.; Rathore, D.K.; Mahawar, M.; Singh, B.P.; Joshi, P. Haemonchus contortus calreticulin binds to C-reactive protein of its host, a novel survival strategy of the parasite. Parasite Immunol. 2008, 30, 371–374. [Google Scholar] [CrossRef] [PubMed]
- Sanders, M.L.; Glass, G.E.; Nadelman, R.B.; Wormser, G.P.; Scott, A.L.; Raha, S.; Ritchie, B.C.; Jaworski, D.C.; Schwartz, B.S. Antibody levels to recombinant tick calreticulin increase in humans after exposure to Ixodes scapularis (Say) and are correlated with tick engorgement indices. Am. J. Epidemiol. 1999, 149, 777–784. [Google Scholar] [CrossRef] [PubMed]
- Sanders, M.L.; Jaworski, D.C.; Sanchez, J.L.; DeFraites, R.F.; Glass, G.E.; Scott, A.L.; Raha, S.; Ritchie, B.C.; Needham, G.R.; Schwartz, B.S. Antibody to a cDNA-derived calreticulin protein from Amblyomma americanum as a biomarker of tick exposure in humans. Am. J. Trop. Med. Hyg. 1998, 59, 279–285. [Google Scholar] [CrossRef] [PubMed]
- Ferreira, V.; Valck, C.; Sanchez, G.; Gingras, A.; Tzima, S.; Molina, M.C.; Sim, R.; Schwaeble, W.; Ferreira, A. The classical activation pathway of the human complement system is specifically inhibited by calreticulin from Trypanosoma cruzi. J. Immunol. 2004, 172, 3042–3050. [Google Scholar] [CrossRef] [PubMed]
- Vaithilingam, A.; Teixeira, J.E.; Miller, P.J.; Heron, B.T.; Huston, C.D. Entamoeba histolytica cell surface calreticulin binds human c1q and functions in amebic phagocytosis of host cells. Infect. Immun. 2012, 80, 2008–2018. [Google Scholar] [CrossRef]
- Radulovic, Z.M.; Kim, T.K.; Porter, L.M.; Sze, S.H.; Lewis, L.; Mulenga, A. A 24–48 h fed Amblyomma americanum tick saliva immuno-proteome. BMC Genom. 2014, 15, 518. [Google Scholar] [CrossRef] [PubMed]
- Kim, T.K.; Ibelli, A.M.; Mulenga, A. Amblyomma americanum tick calreticulin binds C1q but does not inhibit activation of the classical complement cascade. Ticks Tick-Borne Dis. 2015, 6, 91–101. [Google Scholar] [CrossRef] [PubMed][Green Version]
- Mulenga, A.; Kim, T.K.; Ibelli, A.M. Deorphanization and target validation of cross-tick species conserved novel Amblyomma americanum tick saliva protein. Int. J. Parasitol. 2013, 43, 439–451. [Google Scholar] [CrossRef] [PubMed]
- Ryan, B.J.; Kinsella, G.K. Differential Precipitation and Solubilization of Proteins. Methods Mol. Biol. 2017, 1485, 191–208. [Google Scholar] [CrossRef] [PubMed]
- Nguyen, T.T.; Kim, T.H.; Bencosme-Cuevas, E.; Berry, J.; Gaithuma, A.S.K.; Ansari, M.A.; Kim, T.K.; Tirloni, L.; Radulovic, Z.; Moresco, J.J.; et al. A tick saliva serpin, IxsS17 inhibits host innate immune system proteases and enhances host colonization by Lyme disease agent. PLoS Pathog. 2024, 20, e1012032. [Google Scholar] [CrossRef] [PubMed]
- Croft, D.; O’Kelly, G.; Wu, G.; Haw, R.; Gillespie, M.; Matthews, L.; Caudy, M.; Garapati, P.; Gopinath, G.; Jassal, B.; et al. Reactome: A database of reactions, pathways and biological processes. Nucleic Acids Res. 2011, 39, D691–D697. [Google Scholar] [CrossRef] [PubMed]
- Bencosme-Cuevas, E.; Kim, T.K.; Nguyen, T.T.; Berry, J.; Li, J.; Adams, L.G.; Smith, L.A.; Batool, S.A.; Swale, D.R.; Kaufmann, S.H.E.; et al. Ixodes scapularis nymph saliva protein blocks host inflammation and complement-mediated killing of Lyme disease agent, Borrelia burgdorferi. Front. Cell. Infect. Microbiol. 2023, 13, 1253670. [Google Scholar] [CrossRef] [PubMed]
- Garcia, B.L.; Zhi, H.; Wager, B.; Hook, M.; Skare, J.T. Borrelia burgdorferi BBK32 Inhibits the Classical Pathway by Blocking Activation of the C1 Complement Complex. PLoS Pathog. 2016, 12, e1005404. [Google Scholar] [CrossRef] [PubMed]
- Gulliani, G.L.; Hyun, B.H.; Litten, M.B. Blood recalcification time. A simple and reliable test to monitor heparin therapy. Am. J. Clin. Pathol. 1976, 65, 390–396. [Google Scholar] [CrossRef] [PubMed]
- Fanning, J.P.; Dubeau, A.M. The whole blood recalcification clotting time. A suggested simple and reliable method for monitoring heparin therapy. J. Maine Med. Assoc. 1974, 65, 3. [Google Scholar] [PubMed]
- Labandeira-Rey, M.; Skare, J.T. Decreased infectivity in Borrelia burgdorferi strain B31 is associated with loss of linear plasmid 25 or 28-1. Infect. Immun. 2001, 69, 446–455. [Google Scholar] [CrossRef] [PubMed]
- Pahl, A.; Kuhlbrandt, U.; Brune, K.; Rollinghoff, M.; Gessner, A. Quantitative detection of Borrelia burgdorferi by real-time PCR. J. Clin. Microbiol. 1999, 37, 1958–1963. [Google Scholar] [CrossRef] [PubMed]
- Richard, G. Autosomal Recessive Congenital Ichthyosis. In GeneReviews®; Adam, M.P., Feldman, J., Mirzaa, G.M., Pagon, R.A., Wallace, S.E., Bean, L.J.H., Gripp, K.W., Amemiya, A., Eds.; University of Washington: Seattle, WA, USA, 1993. [Google Scholar]
- Akiyama, M. ABCA12 mutations and autosomal recessive congenital ichthyosis: A review of genotype/phenotype correlations and of pathogenetic concepts. Hum. Mutat. 2010, 31, 1090–1096. [Google Scholar] [CrossRef] [PubMed]
- Akiyama, M. The roles of ABCA12 in epidermal lipid barrier formation and keratinocyte differentiation. Biochim. Biophys. Acta Mol. Cell Biol. Lipids 2014, 1841, 435–440. [Google Scholar] [CrossRef] [PubMed]
- Akiyama, M.; Sugiyama-Nakagiri, Y.; Sakai, K.; McMillan, J.R.; Goto, M.; Arita, K.; Tsuji-Abe, Y.; Tabata, N.; Matsuoka, K.; Sasaki, R.; et al. Mutations in lipid transporter ABCA12 in harlequin ichthyosis and functional recovery by corrective gene transfer. J. Clin. Investig. 2005, 115, 1777–1784. [Google Scholar] [CrossRef] [PubMed]
- Wu, L.; Li, Y.; Song, Y.; Zhou, D.; Jia, S.; Xu, A.; Zhang, W.; You, H.; Jia, J.; Huang, J.; et al. A recurrent ABCC2 p.G693R mutation resulting in loss of function of MRP2 and hyperbilirubinemia in Dubin-Johnson syndrome in China. Orphanet J. Rare Dis. 2020, 15, 74. [Google Scholar] [CrossRef]
- Deroux, A.; Boccon-Gibod, I.; Fain, O.; Pralong, P.; Ollivier, Y.; Pagnier, A.; Djenouhat, K.; Du-Thanh, A.; Gompel, A.; Faisant, C.; et al. Hereditary angioedema with normal C1 inhibitor and factor XII mutation: A series of 57 patients from the French National Center of Reference for Angioedema. Clin. Exp. Immunol. 2016, 185, 332–337. [Google Scholar] [CrossRef] [PubMed]
- Clark, E.A.; Giltiay, N.V. CD22: A Regulator of Innate and Adaptive B Cell Responses and Autoimmunity. Front. Immunol. 2018, 9, 2235. [Google Scholar] [CrossRef]
- Hong, K.; Nishiyama, M.; Henley, J.; Tessier-Lavigne, M.; Poo, M. Calcium signalling in the guidance of nerve growth by netrin-1. Nature 2000, 403, 93–98. [Google Scholar] [CrossRef] [PubMed]
- Xiong, Z.; Wang, Q.; Li, W.; Huang, L.; Zhang, J.; Zhu, J.; Xie, B.; Wang, S.; Kuang, H.; Lin, X.; et al. Platelet-Derived Growth Factor-D Activates Complement System to Propagate Macrophage Polarization and Neovascularization. Front. Cell Dev. Biol. 2021, 9, 686886. [Google Scholar] [CrossRef] [PubMed]
- Ostwald, T.J.; MacLennan, D.H. Isolation of a high affinity calcium-binding protein from sarcoplasmic reticulum. J. Biol. Chem. 1974, 249, 974–979. [Google Scholar] [CrossRef] [PubMed]
- Michalak, M.; Corbett, E.F.; Mesaeli, N.; Nakamura, K.; Opas, M. Calreticulin: One protein, one gene, many functions. Biochem. J. 1999, 344 Pt 2, 281–292. [Google Scholar] [CrossRef] [PubMed]
- Kuwabara, K.; Pinsky, D.J.; Schmidt, A.M.; Benedict, C.; Brett, J.; Ogawa, S.; Broekman, M.J.; Marcus, A.J.; Sciacca, R.R.; Michalak, M.; et al. Calreticulin, an antithrombotic agent which binds to vitamin K-dependent coagulation factors, stimulates endothelial nitric oxide production, and limits thrombosis in canine coronary arteries. J. Biol. Chem. 1995, 270, 8179–8187. [Google Scholar] [CrossRef] [PubMed]
- Ramirez-Toloza, G.; Aguilar-Guzman, L.; Valck, C.; Ferreira, V.P.; Ferreira, A. The Interactions of Parasite Calreticulin with Initial Complement Components: Consequences in Immunity and Virulence. Front. Immunol. 2020, 11, 1561. [Google Scholar] [CrossRef] [PubMed]
- Esperante, D.; Flisser, A.; Mendlovic, F. The many faces of parasite calreticulin. Front. Immunol. 2023, 14, 1101390. [Google Scholar] [CrossRef] [PubMed]
- Simo, L.; Kazimirova, M.; Richardson, J.; Bonnet, S.I. The Essential Role of Tick Salivary Glands and Saliva in Tick Feeding and Pathogen Transmission. Front. Cell. Infect. Microbiol. 2017, 7, 281. [Google Scholar] [CrossRef] [PubMed]
- Skare, J.T.; Garcia, B.L. Complement Evasion by Lyme Disease Spirochetes. Trends Microbiol. 2020, 28, 889–899. [Google Scholar] [CrossRef] [PubMed]
- Dunkelberger, J.R.; Song, W.C. Complement and its role in innate and adaptive immune responses. Cell Res. 2010, 20, 34–50. [Google Scholar] [CrossRef] [PubMed]
- Beltrame, M.H.; Catarino, S.J.; Goeldner, I.; Boldt, A.B.; de Messias-Reason, I.J. The lectin pathway of complement and rheumatic heart disease. Front. Pediatr. 2014, 2, 148. [Google Scholar] [CrossRef] [PubMed]
- Harboe, M.; Mollnes, T.E. The alternative complement pathway revisited. J. Cell. Mol. Med. 2008, 12, 1074–1084. [Google Scholar] [CrossRef] [PubMed]
- van Dam, A.P.; Oei, A.; Jaspars, R.; Fijen, C.; Wilske, B.; Spanjaard, L.; Dankert, J. Complement-mediated serum sensitivity among spirochetes that cause Lyme disease. Infect. Immun. 1997, 65, 1228–1236. [Google Scholar] [CrossRef] [PubMed]
- Hyde, J.A. Borrelia burgdorferi Keeps Moving and Carries on: A Review of Borrelial Dissemination and Invasion. Front. Immunol. 2017, 8, 114. [Google Scholar] [CrossRef] [PubMed]











| Pathway Name (Reactome Identifier) | Entities | Reactions | |||||
|---|---|---|---|---|---|---|---|
| Found | Ratio | p-Value | FDR * | Found | Ratio | ||
| Fractions 1–5 | Terminal pathway of complement (R-HSA-166665.4) | 2/8 | 6.88 × 10−4 | 0.009 | 0.578 | 4/5 | 3.49 × 10−4 |
| Defective ABCA12 causes ARCI4B (R-HSA-5682294.3) | 1/1 | 8.60 × 10−5 | 0.017 | 0.578 | 1/1 | 6.99 × 10−5 | |
| Defective ABCC2 causes DJS (R-HSA-5679001.4) | 1/1 | 8.60 × 10−5 | 0.017 | 0.578 | 1/1 | 6.99 × 10−5 | |
| Regulation of complement cascade (R-HSA-977606.6) | 6/135 | 0.012 | 0.03 | 0.578 | 20/42 | 0.003 | |
| CD22-mediated BCR regulation (R-HSA-5690714.3) | 4/70 | 0.006 | 0.033 | 0.578 | 3/4 | 2.80 × 10−4 | |
| Recycling of bile acids and salts (R-HSA-159418.4) | 2/18 | 0.002 | 0.039 | 0.578 | 2/17 | 0.001 | |
| Complement cascade (R-HSA-166658.5) | 6/146 | 0.013 | 0.041 | 0.578 | 33/72 | 0.005 | |
| Defective factor XII causes hereditary angioedema (R-HSA-9657688.2) | 1/3 | 2.58 × 10−4 | 0.05 | 0.578 | 2/2 | 1.40 × 10−4 | |
| Defective SERPING1 causes hereditary angioedema (R-HSA-9657689.2) | 1/3 | 2.58 × 10−4 | 0.05 | 0.578 | 1/3 | 2.10 × 10−4 | |
| Fraction 6 | Terminal pathway of complement (R-HSA-166665.4) | 4/8 | 6.88 × 10−4 | 9.00 × 10−6 | 0.004 | 5/5 | 3.49 × 10−4 |
| Regulation of complement cascade (R-HSA-977606.6) | 9/135 | 0.012 | 3.14 × 10−4 | 0.064 | 13/42 | 0.003 | |
| Complement cascade (R-HSA-166658.5) | 9/146 | 0.013 | 5.50 × 10−4 | 0.075 | 22/72 | 0.005 | |
| Response to elevated platelet cytosolic Ca2+ (R-HSA-76005.3) | 7/133 | 0.011 | 0.005 | 0.429 | 2/14 | 9.79 × 10−4 | |
| Regulation of Insulin-like Growth Factor (IGF) transport and uptake by Insulin-like Growth Factor Binding Proteins (IGFBPs) (R-HSA-381426.3) | 6/124 | 0.011 | 0.014 | 0.61 | 2/14 | 9.79 × 10−4 | |
| Platelet degranulation (R-HSA-114608.4) | 7/128 | 0.011 | 0.004 | 0.429 | 2/11 | 7.69 × 10−4 | |
| Dissolution of fibrin clot (R-HSA-75205.4) | 2/13 | 0.001 | 0.018 | 0.61 | 15/21 | 0.001 | |
| Post-translational protein phosphorylation (R-HSA-8957275.2) | 5/107 | 0.009 | 0.027 | 0.61 | 1/1 | 6.99 × 10−5 | |
| Other semaphoring interactions (R-HSA-416700.2) | 2/19 | 0.002 | 0.036 | 0.61 | 3/9 | 6.29 × 10−4 | |
| Sema4D-induced cell migration and growth-cone collapse (R-HSA-416572.4) | 2/20 | 0.002 | 0.04 | 0.61 | 4/7 | 4.89 × 10−4 | |
| RHO GTPases activate CIT (R-HSA-5625900.3) | 2/20 | 0.002 | 0.04 | 0.61 | 3/6 | 4.19 × 10−4 | |
| Common pathway of fibrin clot formation (R-HSA-140875.5) | 2/22 | 0.002 | 0.047 | 0.61 | 6/29 | 0.002 | |
| Fractions 7–8 | Collagen chain trimerization (R-HSA-8948216.4) | 8/44 | 0.004 | 1.24 × 10−4 | 0.091 | 7/28 | 0.002 |
| Collagen degradation (R-HSA-1442490.4) | 8/64 | 0.006 | 0.001 | 0.331 | 11/34 | 0.002 | |
| Anchoring fibril formation (R-HSA-2214320.4) | 4/15 | 0.001 | 0.002 | 0.331 | 4/4 | 2.80 × 10−4 | |
| Collagen biosynthesis and modifying enzymes (R-HSA-1650814.5) | 8/67 | 0.006 | 0.002 | 0.331 | 30/51 | 0.004 | |
| Integrin cell–surface interactions (R-HSA-216083.5) | 9/85 | 0.007 | 0.002 | 0.331 | 11/55 | 0.004 | |
| TRKA activation by NGF (R-HSA-187042.2) | 2/3 | 2.58 × 10−4 | 0.005 | 0.551 | 4/4 | 2.80 × 10−4 | |
| Collagen formation (R-HSA-1474290.4) | 8/90 | 0.008 | 0.011 | 0.763 | 39/77 | 0.005 | |
| NCAM1 interactions (R-HSA-419037.2) | 5/42 | 0.004 | 0.013 | 0.763 | 1/10 | 6.99 × 10−4 | |
| ECM proteoglycans (R-HSA-3000178.5) | 7/76 | 0.007 | 0.014 | 0.763 | 7/23 | 0.002 | |
| Assembly of collagen fibrils and other multimeric structures (R-HSA-2022090.4) | 6/61 | 0.005 | 0.016 | 0.763 | 9/26 | 0.002 | |
| Laminin interactions (R-HSA-3000157.3) | 4/30 | 0.003 | 0.018 | 0.763 | 4/15 | 0.001 | |
| Degradation of the extracellular matrix (R-HSA-1474228.5) | 10/140 | 0.012 | 0.019 | 0.763 | 13/105 | 0.007 | |
| Crosslinking of collagen fibrils (R-HSA-2243919.4) | 3/18 | 0.002 | 0.022 | 0.763 | 1/13 | 9.09 × 10−4 | |
| Activation of TRKA receptors (R-HSA-187015.3) | 2/7 | 6.02 × 10−4 | 0.023 | 0.763 | 8/8 | 5.59 × 10−4 | |
| Defective SLC2A9 causes hypouricemia renal 2 (RHUC2) (R-HSA-5619047.3) | 1/1 | 8.60 × 10−5 | 0.032 | 0.763 | 1/1 | 6.99 × 10−5 | |
| Role of second messengers in netrin-1 signaling (R-HSA-418890.2) | 2/10 | 8.60 × 10−4 | 0.043 | 0.763 | 1/4 | 2.80 × 10−4 | |
| Signaling by PDGF (R-HSA-186797.5) | 5/60 | 0.005 | 0.049 | 0.763 | 1/31 | 0.002 | |
Disclaimer/Publisher’s Note: The statements, opinions and data contained in all publications are solely those of the individual author(s) and contributor(s) and not of MDPI and/or the editor(s). MDPI and/or the editor(s) disclaim responsibility for any injury to people or property resulting from any ideas, methods, instructions or products referred to in the content. |
© 2024 by the authors. Licensee MDPI, Basel, Switzerland. This article is an open access article distributed under the terms and conditions of the Creative Commons Attribution (CC BY) license (https://creativecommons.org/licenses/by/4.0/).
Share and Cite
Ansari, M.A.; Nguyen, T.-T.; Kocurek, K.I.; Kim, W.T.H.; Kim, T.K.; Mulenga, A. Recombinant Ixodes scapularis Calreticulin Binds Complement Proteins but Does Not Protect Borrelia burgdorferi from Complement Killing. Pathogens 2024, 13, 560. https://doi.org/10.3390/pathogens13070560
Ansari MA, Nguyen T-T, Kocurek KI, Kim WTH, Kim TK, Mulenga A. Recombinant Ixodes scapularis Calreticulin Binds Complement Proteins but Does Not Protect Borrelia burgdorferi from Complement Killing. Pathogens. 2024; 13(7):560. https://doi.org/10.3390/pathogens13070560
Chicago/Turabian StyleAnsari, Moiz Ashraf, Thu-Thuy Nguyen, Klaudia Izabela Kocurek, William Tae Heung Kim, Tae Kwon Kim, and Albert Mulenga. 2024. "Recombinant Ixodes scapularis Calreticulin Binds Complement Proteins but Does Not Protect Borrelia burgdorferi from Complement Killing" Pathogens 13, no. 7: 560. https://doi.org/10.3390/pathogens13070560
APA StyleAnsari, M. A., Nguyen, T.-T., Kocurek, K. I., Kim, W. T. H., Kim, T. K., & Mulenga, A. (2024). Recombinant Ixodes scapularis Calreticulin Binds Complement Proteins but Does Not Protect Borrelia burgdorferi from Complement Killing. Pathogens, 13(7), 560. https://doi.org/10.3390/pathogens13070560

