Evaluation of the Local and Peripheral Immune Responses in Patients with Cystic Echinococcosis
Abstract
1. Introduction
2. Material and Methods
2.1. Study Population
2.2. Immunohistochemistry
2.3. Whole Blood Test
2.4. Cytokine Analysis
2.5. Statistical Analysis
3. Results
3.1. Population Characteristics
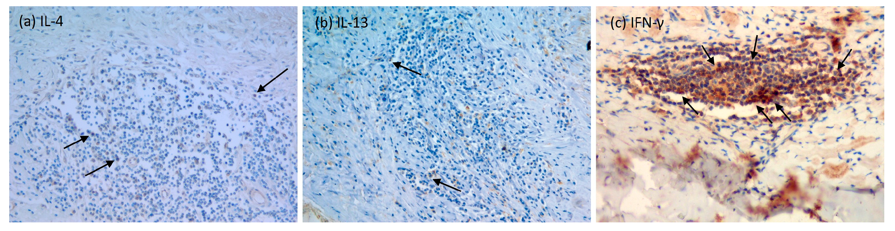
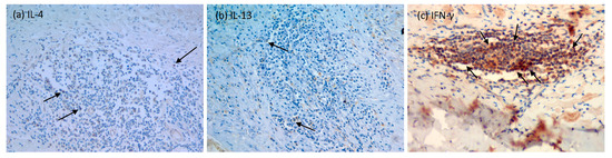
3.2. Lymphocytes CD4+ Infiltrate the Pericyst and the Surrounding Liver Tissue
3.3. An E. granulosus-Specific Response Was Detected in the Periphery but Not at the Site of the Host Inflammatory Reaction
4. Discussion
Supplementary Materials
Author Contributions
Funding
Institutional Review Board Statement
Informed Consent Statement
Data Availability Statement
Acknowledgments
Conflicts of Interest
References
- Tamarozzi, F.; Mariconti, M.; Neumayr, A.; Brunetti, E. The Intermediate Host Immune Response in Cystic Echinococcosis. Parasite Immunol. 2016, 38, 170–181. [Google Scholar] [CrossRef] [PubMed]
- Díaz, Á.; Fernández, C.; Pittini, Á.; Seoane, P.I.; Allen, J.E.; Casaravilla, C. The Laminated Layer: Recent Advances and Insights into Echinococcus Biology and Evolution. Exp. Parasitol. 2015, 158, 23–30. [Google Scholar] [CrossRef] [PubMed]
- Gottstein, B.; Soboslay, P.; Ortona, E.; Wang, J.; Siracusano, A.; Vuitton, D.A. Immunology of Alveolar and Cystic Echinococcosis (AE and CE). Adv. Parasitol. 2017, 96, 1–54. [Google Scholar] [CrossRef]
- Hidalgo, C.; Stoore, C.; Strull, K.; Franco, C.; Corrêa, F.; Jiménez, M.; Hernández, M.; Lorenzatto, K.; Ferreira, H.B.; Galanti, N.; et al. New Insights of the Local Immune Response against Both Fertile and Infertile Hydatid Cysts. PLoS ONE 2019, 14, e0211542. [Google Scholar] [CrossRef]
- Sakamoto, T.; Cabrera, P.A. Immunohistochemical Observations on Cellular Response in Unilocular Hydatid Lesions and Lymph Nodes of Cattle. Acta Trop. 2003, 85, 271–279. [Google Scholar] [CrossRef] [PubMed]
- Li, Z.; Zhang, C.; Li, L.; Bi, X.; Li, L.; Yang, S.; Zhang, N.; Wang, H.; Yang, N.; Abulizi, A.; et al. The Local Immune Response during Echinococcus granulosus Growth in a Quantitative Hepatic Experimental Model. Sci. Rep. 2019, 9, 19612. [Google Scholar] [CrossRef]
- Rogan, M.T. T-Cell Activity Associated with Secondary Infections and Implanted Cysts of Echinococcus granulosus in BALB/c Mice. Parasite Immunol. 1998, 20, 527–533. [Google Scholar] [CrossRef]
- Dorosti, Z.; Tolouei, S.; Khanahmad, H.; Jafari, R.; Jafaee, F.; Sharafi, S.M.; Darani, H.Y. IL-4 Gene Expression in Adventitial Layer (Fibrous Layer) of Hepatic Ovine and Bovine Hydatid Cysts. J. Parasit. Dis. 2016, 40, 855–859. [Google Scholar] [CrossRef]
- Vismarra, A.; Mangia, C.; Passeri, B.; Brundu, D.; Masala, G.; Ledda, S.; Mariconti, M.; Brindani, F.; Kramer, L.; Bacci, C. Immuno-Histochemical Study of Ovine Cystic Echinococcosis (Echinococcus granulosus) Shows Predominant T Cell Infiltration in Established Cysts. Vet. Parasitol. 2015, 209, 285–288. [Google Scholar] [CrossRef]
- De Biase, D.; Prisco, F.; Pepe, P.; Bosco, A.; Piegari, G.; d’Aquino, I.; Russo, V.; Papparella, S.; Maurelli, M.P.; Rinaldi, L.; et al. Evaluation of the Local Immune Response to Hydatid Cysts in Sheep Liver. Vet. Sci. 2023, 10, 315. [Google Scholar] [CrossRef]
- Petrone, L.; Vanini, V.; Petruccioli, E.; Ettorre, G.M.; Schininà, V.; Busi Rizzi, E.; Ludovisi, A.; Corpolongo, A.; Ippolito, G.; Pozio, E.; et al. Polyfunctional Specific Response to Echinococcus granulosus Associates to the Biological Activity of the Cysts. PLoS Negl. Trop. Dis. 2015, 9, e0004209. [Google Scholar] [CrossRef]
- Vatankhah, A.; Halász, J.; Piurkó, V.; Barbai, T.; Rásó, E.; Tímár, J. Characterization of the Inflammatory Cell Infiltrate and Expression of Costimulatory Molecules in Chronic Echinococcus granulosus Infection of the Human Liver. BMC Infect. Dis. 2015, 15, 530. [Google Scholar] [CrossRef]
- Siracusano, A.; Delunardo, F.; Teggi, A.; Ortona, E. Host-Parasite Relationship in Cystic Echinococcosis: An Evolving Story. Clin. Dev. Immunol. 2012, 2012, 639362. [Google Scholar] [CrossRef] [PubMed]
- Rinaldi, F.; Brunetti, E.; Neumayr, A.; Maestri, M.; Goblirsch, S.; Tamarozzi, F. Cystic Echinococcosis of the Liver: A Primer for Hepatologists. World J. Hepatol. 2014, 6, 293–305. [Google Scholar] [CrossRef]
- Jafari, R.; Sanei, B.; Baradaran, A.; Kolahdouzan, M.; Bagherpour, B.; Yousofi Darani, H. Immunohistochemical Observation of Local Inflammatory Cell Infiltration in the Host-Tissue Reaction Site of Human Hydatid Cysts. J. Helminthol. 2019, 93, 277–285. [Google Scholar] [CrossRef]
- Tilioua, S.; Mezioug, D.; Amir-Tidadini, Z.-C.; Medjdoub, Y.-M.; Touil-Boukoffa, C. Potential Role of NF-κB Pathway in the Immuno-Inflammatory Responses during Human Cystic Echinococcosis. Acta Trop. 2020, 203, 105306. [Google Scholar] [CrossRef] [PubMed]
- Yasen, A.; Li, W.; Aini, A.; Ran, B.; Jiang, T.; Shao, Y.; Aji, T.; Wen, H. Th1/Th2/Th17 Cytokine Profile in Hepatic Cystic Echinococcosis Patients with Different Cyst Stages. Parasite Immunol. 2021, 43, e12839. [Google Scholar] [CrossRef] [PubMed]
- Kern, P.; Menezes da Silva, A.; Akhan, O.; Müllhaupt, B.; Vizcaychipi, K.A.; Budke, C.; Vuitton, D.A. The Echinococcoses: Diagnosis, Clinical Management and Burden of Disease. Adv. Parasitol. 2017, 96, 259–369. [Google Scholar] [CrossRef]
- Brunetti, E.; Kern, P.; Vuitton, D.A. Writing Panel for the WHO-IWGE Expert Consensus for the Diagnosis and Treatment of Cystic and Alveolar Echinococcosis in Humans. Acta Trop. 2010, 114, 1–16. [Google Scholar] [CrossRef]
- Ben Salah, E.; Sakly, W.; Barrera, C.; Mosbahi, S.; Bellanger, A.-P.; Farhani, R.; Ksia, A.; Gottstein, B.; Nouri, A.; Babba, H.; et al. Soluble Programmed Death-1 (sPD-1) as Predictor of Early Surgical Outcomes of Paediatric Cystic Echinococcosis. Parasite Immunol. 2021, 43, e12809. [Google Scholar] [CrossRef]
- Shafiei, R.; Mohajerzadeh, M.S.; Masomi, H.F.A.; Tavakoli, M.; Turki, H.; Firouzeh, N. Discordance Therapeutic Protocol of Cystic Echinococcosis with WHO Guideline: A Descriptive Study Based on Liver Ultra-Sonographic Data in North Khorasan Province, Northeastern of Iran. J. Ultrasound Med. 2024. [Google Scholar] [CrossRef] [PubMed]
- Hosch, W.; Junghanss, T.; Stojkovic, M.; Brunetti, E.; Heye, T.; Kauffmann, G.W.; Hull, W.E. Metabolic Viability Assessment of Cystic Echinococcosis Using High-Field 1H MRS of Cyst Contents. NMR Biomed. 2008, 21, 734–754. [Google Scholar] [CrossRef] [PubMed]
- Pagnozzi, D.; Addis, M.F.; Biosa, G.; Roggio, A.M.; Tedde, V.; Mariconti, M.; Tamarozzi, F.; Meroni, V.; Masu, G.; Masala, G.; et al. Diagnostic Accuracy of Antigen 5-Based ELISAs for Human Cystic Echinococcosis. PLoS Negl. Trop. Dis. 2016, 10, e0004585. [Google Scholar] [CrossRef] [PubMed]
- Lissandrin, R.; Tamarozzi, F.; Piccoli, L.; Tinelli, C.; De Silvestri, A.; Mariconti, M.; Meroni, V.; Genco, F.; Brunetti, E. Factors Influencing the Serological Response in Hepatic Echinococcus granulosus Infection. Am. J. Trop. Med. Hyg. 2016, 94, 166–171. [Google Scholar] [CrossRef] [PubMed]
- Hernández-González, A.; González-Bertolín, B.; Urrea, L.; Fleury, A.; Ferrer, E.; Siles-Lucas, M.; Tamarozzi, F.; Perteguer, M.J. Multiple-Bead Assay for the Differential Serodiagnosis of Neglected Human Cestodiases: Neurocysticercosis and Cystic Echinococcosis. PLoS Negl. Trop. Dis. 2022, 16, e0010109. [Google Scholar] [CrossRef] [PubMed]
- Tamarozzi, F. Ultrasound Diagnosis of Cystic Echinococcosis: Updates and Implications for Clinical Management. J. Helminthol. 2024, 98, e34. [Google Scholar] [CrossRef] [PubMed]
- Siles-Lucas, M.; Uchiumi, L.; Tamarozzi, F. “No Cyst, No Echinococcosis”: A Scoping Review Update on the Diagnosis of Cystic Echinococcosis after the Issue of the WHO-IWGE Expert Consensus and Current Perspectives. Curr. Opin. Infect. Dis. 2023, 36, 333–340. [Google Scholar] [CrossRef] [PubMed]
- Petrone, L.; Vanini, V.; Amicosante, M.; Corpolongo, A.; Gomez Morales, M.A.; Ludovisi, A.; Ippolito, G.; Pozio, E.; Teggi, A.; Goletti, D. A T-Cell Diagnostic Test for Cystic Echinococcosis Based on Antigen B Peptides. Parasite Immunol. 2017, 39, e12499. [Google Scholar] [CrossRef] [PubMed]
- Petrone, L.; Vanini, V.; Petruccioli, E.; Ettorre, G.M.; Busi Rizzi, E.; Schininà, V.; Girardi, E.; Ludovisi, A.; Gómez-Morales, M.Á.; Pozio, E.; et al. IL-4 Specific-Response in Whole Blood Associates with Human Cystic Echinococcosis and Cyst Activity. J. Infect. 2015, 70, 299–306. [Google Scholar] [CrossRef]
- Petrone, L.; Albrich, W.C.; Tamarozzi, F.; Frischknecht, M.; Gomez-Morales, M.A.; Teggi, A.; Hoffmann, M.; Goletti, D. Species Specificity Preliminary Evaluation of an IL-4-Based Test for the Differential Diagnosis of Human Echinococcosis. Parasite Immunol. 2020, 42, e12695. [Google Scholar] [CrossRef]
- Batisti Biffignandi, G.; Vola, A.; Sassera, D.; Najafi-Fard, S.; Gomez Morales, M.A.; Brunetti, E.; Teggi, A.; Goletti, D.; Petrone, L.; Tamarozzi, F. Antigen Discovery by Bioinformatics Analysis and Peptide Microarray for the Diagnosis of Cystic Echinococcosis. PLoS Negl. Trop. Dis. 2023, 17, e0011210. [Google Scholar] [CrossRef] [PubMed]
- Petrone, L.; Petruccioli, E.; Vanini, V.; Cuzzi, G.; Najafi Fard, S.; Alonzi, T.; Castilletti, C.; Palmieri, F.; Gualano, G.; Vittozzi, P.; et al. A Whole Blood Test to Measure SARS-CoV-2-Specific Response in COVID-19 Patients. Clin. Microbiol. Infect. 2021, 27, 286.e7–286.e13. [Google Scholar] [CrossRef] [PubMed]
- Petrone, L.; Petruccioli, E.; Alonzi, T.; Vanini, V.; Cuzzi, G.; Najafi Fard, S.; Castilletti, C.; Palmieri, F.; Gualano, G.; Vittozzi, P.; et al. In-Vitro Evaluation of the Immunomodulatory Effects of Baricitinib: Implication for COVID-19 Therapy. J. Infect. 2021, 82, 58–66. [Google Scholar] [CrossRef] [PubMed]
- Meeting of the WHO Informal Working Group on Echinococcosis (WHO-IWGE) WHO Headquarters, Geneva, Switzerland 15–16 December 2016. Available online: https://www.who.int/publications-detail-redirect/WHO-HTM-NTD-NZD-2017.01 (accessed on 14 May 2024).
- Casulli, A.; Massolo, A.; Saarma, U.; Umhang, G.; Santolamazza, F.; Santoro, A. Species and Genotypes Belonging to Echinococcus granulosus Sensu Lato Complex Causing Human Cystic Echinococcosis in Europe (2000–2021): A Systematic Review. Parasit Vectors 2022, 15, 109. [Google Scholar] [CrossRef] [PubMed]



| (a) | CE | No CE | p Value | |
|---|---|---|---|---|
| N (%) | 61 | 19 | ||
| Median Age year (IQR) * | 55 (41–71) | 52 (49–69) | 0.74 | |
| Female gender N (%) | 30 (49.2) | 10 (52.6) | 0.79 | |
| Serology positive results N (%) | 41 (67.2) | 0 (0) | <0.0001 | |
| Previous pharmacological treatment | 26 (42.6) | NA | ||
| Current pharmacological treatment | 19 (31.1) | NA | ||
| Cyst number/patient median (IQR) ** | 1 (1–2) | 1 (1–2) *** | 0.18 | |
| (b) | CE | No CE | ||
| CE2/CE3b | CE3a | |||
| N (%) | 6 (85.7) | 1 (14.3) | 1 (100.0) | |
| Median Age year (IQR) | 53 (39–69) | 30 (NA) | 50 (NA) | |
| Female gender N (%) | 2 (66.6) | 1 (100.0) | 1 (100.0) | |
| Serology positive results N (%) | 6 (100.0) | 0 (0) | 0 (0) | |
| Previous pharmacological treatment | 4 (66.7) | 0 (0) | NA | |
| Cyst number/patient median (IQR) | 2 (1–3) | 2 (NA) | 2 (NA) | |
| CE | NO CE | ||||||
|---|---|---|---|---|---|---|---|
| CE2/CE3b | CE3a | ||||||
| Type of Cell | % of Positive Cells Evaluated | Pericyst | Liver | Pericyst | Liver | Pericyst | Liver |
| Lymphocytes CD3+ N (%) | 0 | 0 (0) | 0 (0) | 0 (0) | 0 (0) | 1 (100) | 0 (0) |
| <10 | 2 (33.3) | 0 (0) | 1 (100) | 0 (0) | 0 (0) | 1 (100) | |
| 10–30 | 2 (33.3) | 1 (16.7) | 0 (0) | 0 (0) | 0 (0) | 0 (0) | |
| >30 | 2 (33.3) | 5 (83.3) | 0 (0) | 1 (100) | 0 (0) | 0 (0) | |
| Lymphocytes CD4+ N (%) | 0 | 0 (0) | 0 (0) | 0 (0) | 0 (0) | 1 (100) | 0 (0) |
| <10 | 0 (0) | 0 (0) | 1 (100) | 0 (0) | 0 (0) | 1 (100) | |
| 10–30 | 5 (83.3) | 1 (16.7) | 0 (0) | 1 (100) | 0 (0) | 0 (0) | |
| >30 | 1 (16.7) | 5 (83.3) | 0 (0) | 0 (0) | 0 (0) | 0 (0) | |
| Lymphocytes CD8+ N (%) | 0 | 0 (0) | 0 (0) | 0 (0) | 0 (0) | 1 (100) | 0 (0) |
| <10 | 5 (83.3) | 2 (33.3) | 1 (100) | 0 (0) | 0 (0) | 1 (100) | |
| 10–30 | 1 (16.7) | 3 (50.0) | 0 (0) | 1 (100) | 0 (0) | 0 (0) | |
| >30 | 0 (0) | 1 (16.7) | 0 (0) | 0 (0) | 0 (0) | 0 (0) | |
| Lymphocytes CD20+ N (%) | 0 | 3 (50.0) | 0 (0) | 0 (0) | 0 (0) | 1 (100) | 0 (0) |
| <10 | 3 (50.0) | 4 (66.7) | 0 (0) | 0 (0) | 0 (0) | 1 (100) | |
| 10–30 | 0 (0) | 2 (33.3) | 0 (0) | 1 (100) | 0 (0) | 0 (0) | |
| >30 | 0 (0) | 0 (0) | 1 (100) | 0 (0) | 0 (0) | 0 (0) | |
| Lymphocytes CD23+ N (%) | 0 | 6 (100.0) | 4 (66.7) | 1 (100) | 0 (0) | 1 (100) | 1 (100) |
| <10 | 0 (0) | 1 (16.7) | 0 (0) | 1 (100) | 0 (0) | 0 (0) | |
| 10–30 | 0 (0) | 1 (16.7) | 0 (0) | 0 (0) | 0 (0) | 0 (0) | |
| >30 | 0 (0) | 0 (0) | 0 (0) | 0 (0) | 0 (0) | 0 (0) | |
| Monocytes CD14+ N (%) | 0 | 1 (16.7) | 0 (0) | 1 (100) | 0 (0) | 0 (0) | 0 (0) |
| <10 | 2 (33.3) | 3 (50.0) | 0 (0) | 1 (100) | 1 (100) | 1 (100) | |
| 10–30 | 1 (16.7) | 1 (16.7) | 0 (0) | 0 (0) | 0 (0) | 0 (0) | |
| >30 | 2 (33.3) | 2 (33.3) | 0 (0) | 0 (0) | 0 (0) | 0 (0) | |
| Granulocytes CD15+ N (%) | 0 | 2 (33.3) | 0 (0) | 0 (0) | 0 (0) | 1 (100) | 0 (0) |
| 1–5 | 3 (50.0) | 2 (33.3) | 0 (0) | 0 (0) | 0 (0) | 1 (100) | |
| >5<20 | 0 (0) | 2 (33.3) | 1 (100) | 0 (0) | 0 (0) | 0 (0) | |
| >20<50 | 1 (16.7) | 1 (16.7) | 0 (0) | 0 (0) | 0 (0) | 0 (0) | |
| >50 | 0 (0) | 1 (16.7) | 0 (0) | 1 (100) | 0 (0) | 0 (0) | |
| CE | NO CE | ||||||
|---|---|---|---|---|---|---|---|
| CE2/CE3b | CE3a | ||||||
| Type of Cytokine | % of Positive Cells Evaluated * | Pericyst | Liver | Pericyst | Liver | Pericyst | Liver |
| IL-4 N (%) | 0 | 4 (66.7) | 2 (33.3) | 1 (100) | 1 (100) | 1 (100) | 0 (0) |
| <10 | 2 (33.3) | 4 (66.7) | 0 (0) | 0 (0) | 0 (0) | 0 (0) | |
| 10–30 | 0 (0) | 0 (0) | 0 (0) | 0 (0) | 0 (0) | 1 (100) | |
| >30 | 0 (0) | 0 (0) | 0 (0) | 0 (0) | 0 (0) | 0 (0) | |
| IL-13 N (%) | 0 | 5 (83.3) | 2(33.3) | 0 (0) | 0 (0) | 1 (100) | 0 (0) |
| <10 | 1 (16.7) | 2 (33.3) | 1 (100) | 0 (0) | 0 (0) | 0 (0) | |
| 10–30 | 0 (0) | 2 (33.3) | 0 (0) | 1 (100) | 0 (0) | 1 (100) | |
| >30 | 0 (0) | 0 (0) | 0 (0) | 0 (0) | 0 (0) | 0 (0) | |
| IFN-γ (%) * | 0 | 0 (0) | 0 (0) | 0 (0) | 0 (0) | - | - |
| 1–5 | 0 (0) | 0 (0) | 1 (100) | 0 (0) | - | - | |
| >5 < 20 | 3 (100) | 2 (66.7) | 0 (0) | 1 (100) | - | - | |
| >20 < 50 | 0 (0) | 1 (33.3) | 0 (0) | 0 (0) | - | - | |
| >50 | 0 (0) | 0 (0) | 0 (0) | 0 (0) | - | - | |
Disclaimer/Publisher’s Note: The statements, opinions and data contained in all publications are solely those of the individual author(s) and contributor(s) and not of MDPI and/or the editor(s). MDPI and/or the editor(s) disclaim responsibility for any injury to people or property resulting from any ideas, methods, instructions or products referred to in the content. |
© 2024 by the authors. Licensee MDPI, Basel, Switzerland. This article is an open access article distributed under the terms and conditions of the Creative Commons Attribution (CC BY) license (https://creativecommons.org/licenses/by/4.0/).
Share and Cite
Petrone, L.; Najafi-Fard, S.; Falasca, L.; Sbarra, S.; Teggi, A.; Nicastri, E.; Grillo, L.R.; Burocchi, M.; Ettorre, G.M.; Ludovisi, A.; et al. Evaluation of the Local and Peripheral Immune Responses in Patients with Cystic Echinococcosis. Pathogens 2024, 13, 477. https://doi.org/10.3390/pathogens13060477
Petrone L, Najafi-Fard S, Falasca L, Sbarra S, Teggi A, Nicastri E, Grillo LR, Burocchi M, Ettorre GM, Ludovisi A, et al. Evaluation of the Local and Peripheral Immune Responses in Patients with Cystic Echinococcosis. Pathogens. 2024; 13(6):477. https://doi.org/10.3390/pathogens13060477
Chicago/Turabian StylePetrone, Linda, Saeid Najafi-Fard, Laura Falasca, Settimia Sbarra, Antonella Teggi, Emanuele Nicastri, Lucia Rosalba Grillo, Mirco Burocchi, Giuseppe Maria Ettorre, Alessandra Ludovisi, and et al. 2024. "Evaluation of the Local and Peripheral Immune Responses in Patients with Cystic Echinococcosis" Pathogens 13, no. 6: 477. https://doi.org/10.3390/pathogens13060477
APA StylePetrone, L., Najafi-Fard, S., Falasca, L., Sbarra, S., Teggi, A., Nicastri, E., Grillo, L. R., Burocchi, M., Ettorre, G. M., Ludovisi, A., Colombo, D., Del Nonno, F., & Goletti, D. (2024). Evaluation of the Local and Peripheral Immune Responses in Patients with Cystic Echinococcosis. Pathogens, 13(6), 477. https://doi.org/10.3390/pathogens13060477

